PRESENTED BY: DR. XAVIER PRADEEP D’MELLO A
GUIDED BY: DR. DINKAR DESAI
PROFAND HEAD
INTRODUCTION
DEFINITION
CLASSIFICATION.
PATHOGENESIS.
CLINICAL
PRESENTATION.
DIAGNOSTIC
METHODS.
DIFFERENTIAL
DIAGNOSIS.
TREATMENT .
CONCLUSION.
REFERENCES.
INTRODUCTION
 Tumor like mass of normal cells in abnormal location.
 Term applies to a cohesive tumor like mass consisting of normal cells in an abnormal
location.
 Distinguished from hamartoma which is a tumor like malformation composed of a focal
overgrowth of mature normal cells located where they are normally found.
 Teratoma composed with tissue or organ components resembling normal derivatives of
more than one germ layer.
DEFINITION
“Tumor like growth developed from groups of primordial cells (organ rudiments),
which are separated from their original tissue or organ”.
Albrecht in 1904
Batra R. The pathogenesis of oral choristomas. Journal of Oral and Maxillofacial Surgery, Medicine, and Pathology 24 (2012) 110–114
“Masses arising from displaced heterotopic tissues that are histologically normal
but are foreign to the site in which they are found”.
Smart and Lendon
Batra R. The pathogenesis of oral choristomas. Journal of Oral and Maxillofacial Surgery, Medicine, and Pathology 24 (2012) 110–114
CLASSIFICATION
Salivary gland
choristoma
a. Central
b. Gingival
Cartilaginous
choristoma
Osseous choristoma
Lingual thyroid
choristoma
Lingual sebaceous
choristoma
Glial choristoma
Gastric mucosal
choristoma
a. Cystic
b. Solid
SALIVARY GLAND CHORISTOMAS
Describes
non-
neoplastic
aberrant or
ectopic
salivary gland
tissue
appearing
either as a
raised tumor
like mass or
as a tumor
like
radioluscency.
These ectopic
or aberrant
tissues should
not have any
connection
with normal
minor or
major salivary
glands.
Birth, 9–56
yrs.
Soft tissue
swelling in
gingival
gingival
salivary gland
choristomas.
Bone 
central
salivary gland
choristomas.
Gingival by
Moskow and
Baden in
1964.
Central by
Richard and
Ziskind in
1958.
PATHOGENESIS
CENTRAL
 The exact cause unknown.
Bhaskar offered a
possible origin of
intrabony salivary
gland tissue 
inclusion of retromolar
mucous glands.
Due to close proximity
of sites of
development of
retromolar mucous
glands, from oral
epithelium, to
retromolar area of
mandible, it is possible
for some of glandular
tissue to become
included in superior
aspect of mandible.
Such glandular tissue
would be located
above mandibular
canal.
Abbas and Bras agree.
 This theory fails to explain origin of lesion of anterior mandible.
Another theory
mucous metaplasia of
lining epithelium of an
odontogenic cyst.
Although it is
conceivable that
epithelial lining of
odontogenic cysts may
exhibit isolated areas
of mucous metaplasia,
it is unlikely that this
epithelium can
differentiate into
normal salivary gland
tissue.
Keeping in view
innocent nature and
relatively small size of
intraosseous gland.
Chou et al. presume that lesion may differentiate and develop from ectodermal cells
within mandible.
Exact cause unknown.
Ide et al., explained only
on basis of
developmental
displacement of minor
salivary glands.
G & D some of salivary
gland tissue located in
oral mucosa becomes
“trapped” & maintains its
relative position, within
gingiva producing an
outgrowth.
GINGIVAL
Brannon et al. also agree.
Another theory glandular
tissue demonstrates
pluripotentially of gingival
epithelium.
Appearance of aberrant
position of tissue may
reflect an ectopic location
of original
“ectomesenchymal
condensation” whose
presence induces
subsequent formation of
primordial epithelial bud of
salivary gland.
CARTILAGINOUS CHORISTOMAS
Zahn in
1885, first
described
oral soft
tissues.
Later, in 1892,
Berry reported
a case of
fibrochondroma
of tongue.
Cartilage,
metaplastic
cartilage, dystrophic
chondrometaplasia,
osteocartilage,
fibrochondroma,
chondroma,
enchondroma and
calcifying
chondroma.
In 1971 when
Knoll and
coworkers
favored term
‘choristoma’
because these
represented
heterotopic
tumor like
growths of
histologically
normal tissue.
 Reported in 1-day old infants to 90-year old female, mean age being 47 years.
 The most common site is tongue # gingival, buccal mucosa & soft palate.
 Distinguished from cartilaginous metaplasia, occurs in soft tissues beneath ill-fitting
dentures.
Characterized histologically by diffuse deposits of calcium & scattered cartilaginous
cells arranged in various stages of maturation in single or clustered foci.
PATHOGENESIS
 Exact cause unknown.
 Embryonal theory: Cartilage is developed from heterotropic fetal cartilaginous remnants.
 Moore et al. believe in embryonic development of cartilaginous choristomas of tongue.
 Similarly remnants, of Meckel’s cartilage another possibility of embryonic origin.
 Gentscheff found microscopic islands of hyaline cartilage in tongue of new borns &
adults, thus supporting theory of embryonic origin.
 Metaplastic theory: Development from pluripotent mesenchymal cells is resumed either
de novo or stimulated by some type of trauma, irritation or chronic inflammation.
 According to Unal and Erturk, origin might be from cartilaginous embryonic remnants
and this is a developmental phenomenon, although it is possible that this type of lesions
may originate from pluripotent mesenchymal cells, which occur more commonly in the
older age group.
Chou et al. undifferentiated mesenchymal cells as speculative.
 Result of cartilage formation from multipotential mesenchymal cells with proper
stimulation & by its active interstitial & appositional growth.
 Milles suggested that cartilaginous choristoma may arise from vestigial rests of cartilage.
OSSEOUS CHORISTOMAS
Tumor
like growth
normal, mature
lamellated bone
occurring in
soft tissues.
“osteoma mucosae” or “soft tissue
osteoma”,“osteoma cutis”.
Monserrat 1913.
“osseous choristoma” Krolls et al. 1917.
PATHOGENESIS
 Cause obscure.
 Monserrat believed that these lesions represent ossification of branchial arch remnants.
 He based his theory on the presence of these lesions in the area of foramen caecum, as
this is the site for development of structures of the first and third branchial arches and also
the area from where the second branchial arch normally disappears.
 Hirsch thought that they represented epignathous formation.
 Epignathous is a benign congenital teratoma of the oral cavity and the palato pharyngeal
region.
 Zuckerman favored congenital abnormality.
 Others included ossified lymphatic tissue, degenerating fibroma undergoing ossification
and metaplastic formation based on the transformation of mesenchymal cells under
traumatic or chronic inflammatory stimulation.
 Another theory proposed a focus of heterotopic bone formation within the soft tissues of
the tongue.
 Catalodo et al. and Jahnke and Daly proposed a developmental theory associated with the
remnants of thyroid gland tissue.
All these theories have been divided into two main categories:
1. The developmental theory.
2. The post traumatic theory.
 It is generally believed that post traumatic theory stands true for osseous choristomas of
buccal mucosa & anterior tongue.
 Developmental theories associated with remnants of branchial arch or thyroid gland
would account for occurrence of such lesions in posterior third of dorsum of tongue, in
vicinity of foramen caecum & circumvallate papillae.
LINGUAL THYROID CHORISTOMAS
 Ectopic thyroid tissue has been found from tongue to diaphragm. Lingual thyroid is
termed choristoma in some cases because its tumor like manifestation arising from ectopic
thyroid tissue differentiates this clinical entity from simple latent thyroid tissue.
 Latent ectopic thyroid tissue is a developmental anomaly consisting of an aggregate or
small scattered islands of thyroid tissue occurring in base of tongue or any other point
along route of descent of thyroid primordium.
Approximately, one of every 10 people but lingual thyroid choristoma is rare.
 First reported case is by Hickman in a new born child who died of suffocation from a
lingual thyroid 16 h after birth.
 Incidence is 1:100,000  dysphagia, dysphonia, dyspnoea, pain, hemorrhage or “fullness
in throat”.
1. Lesion should be a tumor like mass occurring in mid portion of tongue b/w foramen
cecum & epiglottis.
2. Diagnosis is confirmed by radioactive iodine methods or by histological examination.
PATHOGENESIS
Embryonic development of thyroid gland is from endodermal invagination of ventral
floor of pharynx.
Tongue also forming in pharyngeal floor, is anatomically associated with thyroid gland.
Attached to it by means of thyroid tract.
Extends from foramen cecum at base of tongue to thyroid isthmus.
After birth, foramen cecum represents vestigial remnant of this tract.
Possible for thyroid tissue to be located anywhere along this tract.
Here probably tissue arises from a thyroid anlage which failed to migrate to its
predetermined position.
SEBACEOUS GLANDCHORISTOMAS
Term first
used by
Leider et al.
Sebaceous glands
have been reported
to occur in various
sites in the oral
cavity {Fordyce’s
granules}.
Mass of
sebaceous
glands in an
unusual
location,
dorsum of
tongue.
PATHOGENESIS
According to
Guiducci and
Hyman, due to
ectodermal
sequestration
within tongue
during
embryogenesis.
According to
Leider et al. and
Knapp sebaceous
glands associated
with thyroglossal
duct like structures
originated from
remnants of
thyroglossal tract.
But Guiducci and
Hyman did not
agree with this
theory as there
was no lymphoid
tissue in the
vicinity of their
lesion such as is
usually found
associated with
vestigial
thyroglossal ducts.
Other possible
origin in tongue
is from ductus
lingualis.
GLIAL CHORISTOMAS
Occurrence of
extracranial brain
tissue very rare.
Most observed nasal
region.
For these masses to
occur in oral cavity
with no connection
with CNS is
extremely rare.
Reid in 1852,
described by Schmidt.
“Heterotopic brain
tissue” “Extracranial
gliopma”.
Cannot be called
heterotopic brain
tissue because this
term does not reflect
fact that ectopic
tissue grows like a
tumor like mass
 Term glioma inappropriate, represents true neoplasm.
 Term “teratoma” when no mesodermal or endodermal components identified.
 Chou et al., proposed term “glial choristoma” which represents both normal ectopic tissue
& its tumor like growth.
 Thus, considered as brain heterotopias composed of ectopic CN tissue arising as
developmental malformation with a tumor like growth.
1. Paraneuroaxial glial choristomas.
2. Glial choristomas remote from neuroaxis.
PATHOGENESIS
 Generally considered congenital malformations.
 No single theory fulfills all criteria.
 Origin of PNAGC attributed to herniation of fetal cerebral tissue occurs during embryonic
development, as in development of encephaloceles, but with subsequent separation from
cranial cavity.
 Such herniations occur through cleft in bone or through a foramen of skull.
 Proposed by Karma et al. & later Whitaker et al. agreed.
 Does not explain presence of glial choristomas in ventral foregut structures such as
tongue, far from known embryonic canals.
 Absence of neural cells & failure to find site of herniation, has lead authors to consider
origin of glial choristomas from neural crest cells in head and neck which have ability to
undergo neuroglial development.
 Macomber & Wang proposed that glial choristomas are caused by separation of cells
from anterior part of brain in early embryonal development.
 Occur before closure of palate.
 Explains involvement of tongue to some extent.
 Displaced neural tissue present early in occipital somites from which tongue muscles
originate.
 It seems that nests of pluripotential cells become separated prior to complete fusion of
neural tube & are brought to extra cranial tissues in association with normally migrating
cells.
 Shapiro, Mix & Kurzer et al.  lesion develops from misplaced primordium.
 Other investigators recommended that glial choristomas arise from preferential
development of one germinal layer of a teratoma in a neural cellular line.
GASTRIC/RESPIRATORY MUCOSAL CHORISTOMAS
Heterotopic gastric
elements present in
oral cavity.
First
description
given by
Toymar as
stomach
mucosa at
base of
tongue.
Present as a
cyst within
oral cavity but
also as solid
entities.
1. Gastric cystic choristoma: Defined as a cystic lesion in oral cavity, that is usually lined
partially by stratified squamous epithelium & partially by gastric mucosa, & occasionally
by intestinal epithelium.
2. Solid gastric mucosal choristoma: Solid mass in oral cavity that usually contains gastric
mucosal elements & some times, intestinal components also.
PATHOGENESIS
 Postulated to arise from misplaced embryonic gastric rests, because in 3–4mm embryo (4
weeks) undifferentiated primitive stomach lies in mid neck region close to primordium of
tongue.
 Assumed that endodermal gastric mucosa becomes entrapped in midline of tongue by
fusion of lateral lingual swelling over tuberculum impar.
 Also gastric epithelium occur in oesophagus of 7.8% of infants, & in 51% located in
upper third.
 Woolgar & Smith reported that mucin in heterotopic gastrointestinal cyst wall is
different in composition from that in histologically similar normal gastrointestinal
mucosa, suggesting that this lesion originates from undifferentiated endoderm subjected
to inductive influences, which result in varying amounts of differentiation.
 This concept however, would not account for undifferentiated endoderm of ventrally
migrated gastric anlage or entrapped endoderm of floor of primitive stomodeum.
 Lingual cystic choristomas lined by respiratory epithelium have also been reported and
have been labeled as anterior median lingual cyst, median lingual cyst, lingual
bronchogenic cyst or lingual cyst of foregut origin.
 Both respiratory & enteral epithelium have been found to line same cyst.
 Pathogenesis for these choristomatous cysts has been attributed to embryogenic theory of
respiratory and gastrointestinal lingual cysts, which maintains that both are derived from
primitive foregut.
 During 3rd & 4th weeks of gestation, human embryonic folding results in formation of
endodermal gut tube.
 Cranial portion of gut tube is foregut, which gives rise to proximal digestive tract
(pharynx to proximal duodenum) & tracheobronchial tree (via a keel-shaped outpouching
called the respiratory diverticulum).
EPIDERMAL & FOLICULLAR CHORISTOMAS
Unusual finding characterized by abrupt replacement of normal oral mucosal epithelium
with epidermis-like epithelium exhibiting hyperorthokeratosis, hypergranulosis, melanin
pigmentation, and underlying adnexal structures, such as sebaceous glands, hair follicles,
and/or sweat glands.
Epidermal choristoma 1st reported by Azorin et al. 2005 1-month-old boy with three
pigmented macula on tongue.
Oral follicular choristoma, 1st reported by Arwill et al 9-year-old girl with a nodular lesion
on lingual alveolar mucosa adjacent to mandibular central incisors.
Microscopic examination showed presence of hair follicles, sebaceous glands, a keratin-
containing cyst, and pigmented cells within connective tissue.
These investigators thought that these features were suggestive of a folliculoma as
described by Kligman and Pinkus, and thus they proposed the term “follicular
choristoma.”
Sood described a second case 46-year-old anterior floor of mouth.
PATHOGENESIS
 Mechanism not well understood.
Skin graft procedures, traumatic skin implantation, or migration of skin structures due to
adjacent pathologic processes.
 Sood theorized that mechanisms for follicular choristoma development might include
formation of dermal appendages by ectodermal epithelial remnants or spontaneous
marsupialization of an undetected submucosal dermoid cyst.
 Although an epidermal choristoma is extremely rare, D/d of melanin containing lesions
within oral cavity.
DIAGNOSITC METHODS
 HISTORY.
 CLINICAL EXAMINATION.
 HISTOPATHOLOGY.
 RADIOGRAPHS.
 ENDOSCOPY.
TREATMENT
CASE REPORTS
to conclude…
REFERENCES
R. Batra. The pathogenesis of oral choristomas. Journal of Oral and Maxillofacial Surgery, Medicine,
and Pathology 24 (2012) 110–114.
Chou et.al.. Choristomas of the oral cavity: A review oral surc oral med oral pathol. November 1991(72)
5.
Mainak Dutta. Naso-oropharyngeal choristoma (hairy polyps): an overview and current update on
presentation, management, origin and related controversies. Eur Arch Otorhinolaryngol. 2004.
Edoardo Gorini. Osseous Choristoma of the Tongue: A Review of Etiopathogenesis. Case Reports in
Otolaryngology Volume 2014.
Izumi Yoshioka. Epidermal choristoma arising on the midline gingiva as a congenital epulis: A case
Report. Journal of Cranio-Maxillo-Facial Surgery 40 (2012) 812e814.
Arwill T, Heyden G, Ramstadt A: Follicular choristoma of the gingiva: A peculiar lesion. Oral Surg Oral
Med Oral Pathol 35(1): 89e92, 1973.
Raymond L. Chai. Congenital Choristomas of the Oral Cavity in Children. Laryngoscope, 121:2100–
2106, 2011.
Mandell DL, Ranganathan S, Bluestone CD. Neonatal lingual choristoma with respiratory and gastric
epithelium. Arch Otolaryngol Head Neck Surg 2002;128:1321–1324.
Angela C. Chi. Epidermal Choristoma of the Oral Cavity: Report of 2 Cases of an Extremely Rare
Entity. J Oral Maxillofac Surg 2010.
S. O. Krolls, J. R. Jacoway, and W. N. Alexander, “Osseous choristomas (osteomas) of intraoral soft
tissues,” Oral Surgery, Oral Medicine, Oral Pathology, vol. 32, no. 4, pp. 588–595, 1971.
M. Nash, T. Harrison, P.-T. Lin, and F. E. Lucente, “Osteoma of the tongue,” Ear, Nose and Throat
Journal, vol. 68, no. 1, pp. 63–65, 1989.
S. Weitzner, “Osseous choristoma of the tongue,” Southern Medical Journal, vol. 79, no. 1, pp. 69–70,
1986.
Arwill T, Heyden G, Ramstedt A: Follicular choristoma of the gingiva: A peculiar lesion. Oral Surg
Oral Med Oral Pathol 35:88, 1973.
Unal T, Erturk S (1994) Cartilaginous choristoma of the gingiva. Report of two cases; review of the
literature of both gingival choristomas and intraoral chondromas. Ann Dent 53:19–27.
Kainz J, Kobierski S, Jakse R et al (1990) Choristoma of the soft palate. Eur Arch Otorhinolaryngol
247(4):264–266.
Horta et.al, Oral glial choristoma. Oral Oncology EXTRA (2005) 41, 53–55.
Choristoma

Choristoma

  • 2.
    PRESENTED BY: DR.XAVIER PRADEEP D’MELLO A GUIDED BY: DR. DINKAR DESAI PROFAND HEAD
  • 3.
  • 4.
  • 5.
     Tumor likemass of normal cells in abnormal location.  Term applies to a cohesive tumor like mass consisting of normal cells in an abnormal location.  Distinguished from hamartoma which is a tumor like malformation composed of a focal overgrowth of mature normal cells located where they are normally found.  Teratoma composed with tissue or organ components resembling normal derivatives of more than one germ layer.
  • 6.
  • 7.
    “Tumor like growthdeveloped from groups of primordial cells (organ rudiments), which are separated from their original tissue or organ”. Albrecht in 1904 Batra R. The pathogenesis of oral choristomas. Journal of Oral and Maxillofacial Surgery, Medicine, and Pathology 24 (2012) 110–114
  • 8.
    “Masses arising fromdisplaced heterotopic tissues that are histologically normal but are foreign to the site in which they are found”. Smart and Lendon Batra R. The pathogenesis of oral choristomas. Journal of Oral and Maxillofacial Surgery, Medicine, and Pathology 24 (2012) 110–114
  • 9.
  • 10.
    Salivary gland choristoma a. Central b.Gingival Cartilaginous choristoma Osseous choristoma Lingual thyroid choristoma Lingual sebaceous choristoma Glial choristoma Gastric mucosal choristoma a. Cystic b. Solid
  • 11.
  • 12.
    Describes non- neoplastic aberrant or ectopic salivary gland tissue appearing eitheras a raised tumor like mass or as a tumor like radioluscency. These ectopic or aberrant tissues should not have any connection with normal minor or major salivary glands. Birth, 9–56 yrs. Soft tissue swelling in gingival gingival salivary gland choristomas. Bone  central salivary gland choristomas. Gingival by Moskow and Baden in 1964. Central by Richard and Ziskind in 1958.
  • 13.
  • 14.
    CENTRAL  The exactcause unknown. Bhaskar offered a possible origin of intrabony salivary gland tissue  inclusion of retromolar mucous glands. Due to close proximity of sites of development of retromolar mucous glands, from oral epithelium, to retromolar area of mandible, it is possible for some of glandular tissue to become included in superior aspect of mandible. Such glandular tissue would be located above mandibular canal.
  • 15.
    Abbas and Brasagree.  This theory fails to explain origin of lesion of anterior mandible.
  • 16.
    Another theory mucous metaplasiaof lining epithelium of an odontogenic cyst. Although it is conceivable that epithelial lining of odontogenic cysts may exhibit isolated areas of mucous metaplasia, it is unlikely that this epithelium can differentiate into normal salivary gland tissue. Keeping in view innocent nature and relatively small size of intraosseous gland. Chou et al. presume that lesion may differentiate and develop from ectodermal cells within mandible.
  • 17.
    Exact cause unknown. Ideet al., explained only on basis of developmental displacement of minor salivary glands. G & D some of salivary gland tissue located in oral mucosa becomes “trapped” & maintains its relative position, within gingiva producing an outgrowth. GINGIVAL
  • 18.
    Brannon et al.also agree. Another theory glandular tissue demonstrates pluripotentially of gingival epithelium. Appearance of aberrant position of tissue may reflect an ectopic location of original “ectomesenchymal condensation” whose presence induces subsequent formation of primordial epithelial bud of salivary gland.
  • 19.
  • 20.
    Zahn in 1885, first described oralsoft tissues. Later, in 1892, Berry reported a case of fibrochondroma of tongue. Cartilage, metaplastic cartilage, dystrophic chondrometaplasia, osteocartilage, fibrochondroma, chondroma, enchondroma and calcifying chondroma. In 1971 when Knoll and coworkers favored term ‘choristoma’ because these represented heterotopic tumor like growths of histologically normal tissue.
  • 21.
     Reported in1-day old infants to 90-year old female, mean age being 47 years.  The most common site is tongue # gingival, buccal mucosa & soft palate.  Distinguished from cartilaginous metaplasia, occurs in soft tissues beneath ill-fitting dentures. Characterized histologically by diffuse deposits of calcium & scattered cartilaginous cells arranged in various stages of maturation in single or clustered foci.
  • 22.
  • 23.
     Exact causeunknown.  Embryonal theory: Cartilage is developed from heterotropic fetal cartilaginous remnants.  Moore et al. believe in embryonic development of cartilaginous choristomas of tongue.
  • 24.
     Similarly remnants,of Meckel’s cartilage another possibility of embryonic origin.  Gentscheff found microscopic islands of hyaline cartilage in tongue of new borns & adults, thus supporting theory of embryonic origin.
  • 25.
     Metaplastic theory:Development from pluripotent mesenchymal cells is resumed either de novo or stimulated by some type of trauma, irritation or chronic inflammation.  According to Unal and Erturk, origin might be from cartilaginous embryonic remnants and this is a developmental phenomenon, although it is possible that this type of lesions may originate from pluripotent mesenchymal cells, which occur more commonly in the older age group.
  • 26.
    Chou et al.undifferentiated mesenchymal cells as speculative.  Result of cartilage formation from multipotential mesenchymal cells with proper stimulation & by its active interstitial & appositional growth.  Milles suggested that cartilaginous choristoma may arise from vestigial rests of cartilage.
  • 27.
  • 28.
    Tumor like growth normal, mature lamellatedbone occurring in soft tissues. “osteoma mucosae” or “soft tissue osteoma”,“osteoma cutis”. Monserrat 1913. “osseous choristoma” Krolls et al. 1917.
  • 29.
  • 30.
     Cause obscure. Monserrat believed that these lesions represent ossification of branchial arch remnants.  He based his theory on the presence of these lesions in the area of foramen caecum, as this is the site for development of structures of the first and third branchial arches and also the area from where the second branchial arch normally disappears.  Hirsch thought that they represented epignathous formation.  Epignathous is a benign congenital teratoma of the oral cavity and the palato pharyngeal region.
  • 31.
     Zuckerman favoredcongenital abnormality.  Others included ossified lymphatic tissue, degenerating fibroma undergoing ossification and metaplastic formation based on the transformation of mesenchymal cells under traumatic or chronic inflammatory stimulation.  Another theory proposed a focus of heterotopic bone formation within the soft tissues of the tongue.  Catalodo et al. and Jahnke and Daly proposed a developmental theory associated with the remnants of thyroid gland tissue.
  • 32.
    All these theorieshave been divided into two main categories: 1. The developmental theory. 2. The post traumatic theory.  It is generally believed that post traumatic theory stands true for osseous choristomas of buccal mucosa & anterior tongue.  Developmental theories associated with remnants of branchial arch or thyroid gland would account for occurrence of such lesions in posterior third of dorsum of tongue, in vicinity of foramen caecum & circumvallate papillae.
  • 33.
  • 34.
     Ectopic thyroidtissue has been found from tongue to diaphragm. Lingual thyroid is termed choristoma in some cases because its tumor like manifestation arising from ectopic thyroid tissue differentiates this clinical entity from simple latent thyroid tissue.  Latent ectopic thyroid tissue is a developmental anomaly consisting of an aggregate or small scattered islands of thyroid tissue occurring in base of tongue or any other point along route of descent of thyroid primordium.
  • 35.
    Approximately, one ofevery 10 people but lingual thyroid choristoma is rare.  First reported case is by Hickman in a new born child who died of suffocation from a lingual thyroid 16 h after birth.  Incidence is 1:100,000  dysphagia, dysphonia, dyspnoea, pain, hemorrhage or “fullness in throat”.
  • 36.
    1. Lesion shouldbe a tumor like mass occurring in mid portion of tongue b/w foramen cecum & epiglottis. 2. Diagnosis is confirmed by radioactive iodine methods or by histological examination.
  • 37.
  • 38.
    Embryonic development ofthyroid gland is from endodermal invagination of ventral floor of pharynx. Tongue also forming in pharyngeal floor, is anatomically associated with thyroid gland. Attached to it by means of thyroid tract. Extends from foramen cecum at base of tongue to thyroid isthmus.
  • 39.
    After birth, foramencecum represents vestigial remnant of this tract. Possible for thyroid tissue to be located anywhere along this tract. Here probably tissue arises from a thyroid anlage which failed to migrate to its predetermined position.
  • 40.
  • 41.
    Term first used by Leideret al. Sebaceous glands have been reported to occur in various sites in the oral cavity {Fordyce’s granules}. Mass of sebaceous glands in an unusual location, dorsum of tongue.
  • 42.
  • 43.
    According to Guiducci and Hyman,due to ectodermal sequestration within tongue during embryogenesis. According to Leider et al. and Knapp sebaceous glands associated with thyroglossal duct like structures originated from remnants of thyroglossal tract. But Guiducci and Hyman did not agree with this theory as there was no lymphoid tissue in the vicinity of their lesion such as is usually found associated with vestigial thyroglossal ducts. Other possible origin in tongue is from ductus lingualis.
  • 44.
  • 45.
    Occurrence of extracranial brain tissuevery rare. Most observed nasal region. For these masses to occur in oral cavity with no connection with CNS is extremely rare. Reid in 1852, described by Schmidt. “Heterotopic brain tissue” “Extracranial gliopma”. Cannot be called heterotopic brain tissue because this term does not reflect fact that ectopic tissue grows like a tumor like mass
  • 46.
     Term gliomainappropriate, represents true neoplasm.  Term “teratoma” when no mesodermal or endodermal components identified.  Chou et al., proposed term “glial choristoma” which represents both normal ectopic tissue & its tumor like growth.  Thus, considered as brain heterotopias composed of ectopic CN tissue arising as developmental malformation with a tumor like growth. 1. Paraneuroaxial glial choristomas. 2. Glial choristomas remote from neuroaxis.
  • 47.
  • 48.
     Generally consideredcongenital malformations.  No single theory fulfills all criteria.  Origin of PNAGC attributed to herniation of fetal cerebral tissue occurs during embryonic development, as in development of encephaloceles, but with subsequent separation from cranial cavity.  Such herniations occur through cleft in bone or through a foramen of skull.
  • 49.
     Proposed byKarma et al. & later Whitaker et al. agreed.  Does not explain presence of glial choristomas in ventral foregut structures such as tongue, far from known embryonic canals.  Absence of neural cells & failure to find site of herniation, has lead authors to consider origin of glial choristomas from neural crest cells in head and neck which have ability to undergo neuroglial development.
  • 50.
     Macomber &Wang proposed that glial choristomas are caused by separation of cells from anterior part of brain in early embryonal development.  Occur before closure of palate.  Explains involvement of tongue to some extent.  Displaced neural tissue present early in occipital somites from which tongue muscles originate.
  • 51.
     It seemsthat nests of pluripotential cells become separated prior to complete fusion of neural tube & are brought to extra cranial tissues in association with normally migrating cells.  Shapiro, Mix & Kurzer et al.  lesion develops from misplaced primordium.  Other investigators recommended that glial choristomas arise from preferential development of one germinal layer of a teratoma in a neural cellular line.
  • 52.
  • 53.
    Heterotopic gastric elements presentin oral cavity. First description given by Toymar as stomach mucosa at base of tongue. Present as a cyst within oral cavity but also as solid entities.
  • 54.
    1. Gastric cysticchoristoma: Defined as a cystic lesion in oral cavity, that is usually lined partially by stratified squamous epithelium & partially by gastric mucosa, & occasionally by intestinal epithelium. 2. Solid gastric mucosal choristoma: Solid mass in oral cavity that usually contains gastric mucosal elements & some times, intestinal components also.
  • 55.
  • 56.
     Postulated toarise from misplaced embryonic gastric rests, because in 3–4mm embryo (4 weeks) undifferentiated primitive stomach lies in mid neck region close to primordium of tongue.  Assumed that endodermal gastric mucosa becomes entrapped in midline of tongue by fusion of lateral lingual swelling over tuberculum impar.  Also gastric epithelium occur in oesophagus of 7.8% of infants, & in 51% located in upper third.
  • 57.
     Woolgar &Smith reported that mucin in heterotopic gastrointestinal cyst wall is different in composition from that in histologically similar normal gastrointestinal mucosa, suggesting that this lesion originates from undifferentiated endoderm subjected to inductive influences, which result in varying amounts of differentiation.
  • 58.
     This concepthowever, would not account for undifferentiated endoderm of ventrally migrated gastric anlage or entrapped endoderm of floor of primitive stomodeum.  Lingual cystic choristomas lined by respiratory epithelium have also been reported and have been labeled as anterior median lingual cyst, median lingual cyst, lingual bronchogenic cyst or lingual cyst of foregut origin.  Both respiratory & enteral epithelium have been found to line same cyst.
  • 59.
     Pathogenesis forthese choristomatous cysts has been attributed to embryogenic theory of respiratory and gastrointestinal lingual cysts, which maintains that both are derived from primitive foregut.  During 3rd & 4th weeks of gestation, human embryonic folding results in formation of endodermal gut tube.  Cranial portion of gut tube is foregut, which gives rise to proximal digestive tract (pharynx to proximal duodenum) & tracheobronchial tree (via a keel-shaped outpouching called the respiratory diverticulum).
  • 60.
  • 61.
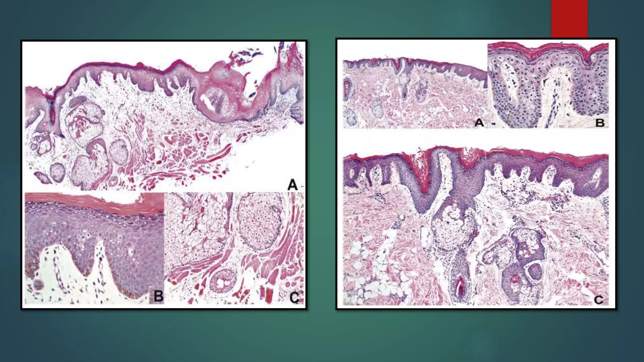
    Unusual finding characterizedby abrupt replacement of normal oral mucosal epithelium with epidermis-like epithelium exhibiting hyperorthokeratosis, hypergranulosis, melanin pigmentation, and underlying adnexal structures, such as sebaceous glands, hair follicles, and/or sweat glands. Epidermal choristoma 1st reported by Azorin et al. 2005 1-month-old boy with three pigmented macula on tongue. Oral follicular choristoma, 1st reported by Arwill et al 9-year-old girl with a nodular lesion on lingual alveolar mucosa adjacent to mandibular central incisors.
  • 62.
    Microscopic examination showedpresence of hair follicles, sebaceous glands, a keratin- containing cyst, and pigmented cells within connective tissue. These investigators thought that these features were suggestive of a folliculoma as described by Kligman and Pinkus, and thus they proposed the term “follicular choristoma.” Sood described a second case 46-year-old anterior floor of mouth.
  • 63.
  • 64.
     Mechanism notwell understood. Skin graft procedures, traumatic skin implantation, or migration of skin structures due to adjacent pathologic processes.  Sood theorized that mechanisms for follicular choristoma development might include formation of dermal appendages by ectodermal epithelial remnants or spontaneous marsupialization of an undetected submucosal dermoid cyst.  Although an epidermal choristoma is extremely rare, D/d of melanin containing lesions within oral cavity.
  • 68.
  • 69.
     HISTORY.  CLINICALEXAMINATION.  HISTOPATHOLOGY.  RADIOGRAPHS.  ENDOSCOPY.
  • 70.
  • 71.
  • 80.
  • 81.
  • 82.
    R. Batra. Thepathogenesis of oral choristomas. Journal of Oral and Maxillofacial Surgery, Medicine, and Pathology 24 (2012) 110–114. Chou et.al.. Choristomas of the oral cavity: A review oral surc oral med oral pathol. November 1991(72) 5. Mainak Dutta. Naso-oropharyngeal choristoma (hairy polyps): an overview and current update on presentation, management, origin and related controversies. Eur Arch Otorhinolaryngol. 2004. Edoardo Gorini. Osseous Choristoma of the Tongue: A Review of Etiopathogenesis. Case Reports in Otolaryngology Volume 2014.
  • 83.
    Izumi Yoshioka. Epidermalchoristoma arising on the midline gingiva as a congenital epulis: A case Report. Journal of Cranio-Maxillo-Facial Surgery 40 (2012) 812e814. Arwill T, Heyden G, Ramstadt A: Follicular choristoma of the gingiva: A peculiar lesion. Oral Surg Oral Med Oral Pathol 35(1): 89e92, 1973. Raymond L. Chai. Congenital Choristomas of the Oral Cavity in Children. Laryngoscope, 121:2100– 2106, 2011. Mandell DL, Ranganathan S, Bluestone CD. Neonatal lingual choristoma with respiratory and gastric epithelium. Arch Otolaryngol Head Neck Surg 2002;128:1321–1324.
  • 84.
    Angela C. Chi.Epidermal Choristoma of the Oral Cavity: Report of 2 Cases of an Extremely Rare Entity. J Oral Maxillofac Surg 2010. S. O. Krolls, J. R. Jacoway, and W. N. Alexander, “Osseous choristomas (osteomas) of intraoral soft tissues,” Oral Surgery, Oral Medicine, Oral Pathology, vol. 32, no. 4, pp. 588–595, 1971. M. Nash, T. Harrison, P.-T. Lin, and F. E. Lucente, “Osteoma of the tongue,” Ear, Nose and Throat Journal, vol. 68, no. 1, pp. 63–65, 1989. S. Weitzner, “Osseous choristoma of the tongue,” Southern Medical Journal, vol. 79, no. 1, pp. 69–70, 1986.
  • 85.
    Arwill T, HeydenG, Ramstedt A: Follicular choristoma of the gingiva: A peculiar lesion. Oral Surg Oral Med Oral Pathol 35:88, 1973. Unal T, Erturk S (1994) Cartilaginous choristoma of the gingiva. Report of two cases; review of the literature of both gingival choristomas and intraoral chondromas. Ann Dent 53:19–27. Kainz J, Kobierski S, Jakse R et al (1990) Choristoma of the soft palate. Eur Arch Otorhinolaryngol 247(4):264–266. Horta et.al, Oral glial choristoma. Oral Oncology EXTRA (2005) 41, 53–55.

Editor's Notes

  • #2 A teratoma is a tumor with tissue or organ components resembling normal derivatives of more than one germ layer. Although the teratoma may be monodermal or polydermal (originating from one or more germ layers), its cells may differentiate in ways suggesting other germ layers. The tissues of a teratoma, although normal in themselves, may be quite different from surrounding tissues and may be highly disparate; teratomas have been reported to contain hair, teeth, bone and, very rarely, more complex organs or processes such as eyes,[1][2] torso,[3][4] and hands, feet, or other limbs.[5] Usually, a teratoma will contain no organs but rather one or more tissues normally found in organs such as the brain, thyroid, liver, and lung. Sometimes, the teratoma has within its capsule one or more fluid-filled cysts; when a large cyst occurs, there is a potential for the teratoma to produce a structure within the cyst that resembles a fetus. Because they are encapsulated, teratomas are usuallybenign, although several forms of malignant teratoma are known and some of these are common forms of teratoma. A mature teratoma is typically benign and found more commonly in women, while an immature teratoma is typically malignant and is more often found in men. Teratomas are thought to be present at birth (congenital), but small ones often remain undiscovered until much later in life.
  • #3 adrenal choristoma = myelolipoma nasopharyngeal choristoma facial nerve choristoma optic nerve choristoma trigeminal nerve choristoma ocular choristoma pituitary choristoma Mullerianosis
  • #6 The choristoma is a tumor like mass of normal cells in an abnormal location. Intraoral choristomas have been reported under a wide variety of names. The term choristoma applies to a cohesive tumor like mass consisting of normal cells in an abnormal location. It should be distinguished from hamartoma which is a tumor like malformation composed of a focal overgrowth of mature normal cells located where they are normally found.
  • #13  Term salivary gland choristoma accurately describes the non-neoplastic aberrant or ectopic salivary gland tissue appearing either as a raised tumor like mass or as a tumor like radioluscency. These ectopic or aberrant tissues should not have any connection with normal minor or major salivary glands. Birth, 9–56 yrs.
  • #15 Central salivary gland choristoma The exact cause for the presence of salivary gland tissue within the bone the bone is unknown. But a number of theories have been Proposed. Bhaskar offered a possible origin of intrabony salivary gland tissue and this deals with the inclusion of retromolar mucous glands. Due to the close proximity of sites of development of retromolar mucous glands, from oral epithelium, to the retromolar area of the mandible, it is possible for some of the glandular tissue to become included in the superior aspect of the mandible. Such glandular tissue would be located above the mandibular canal. Abbas and Bras agree with this theory of origin of central salivary gland choristomas. This theory fails to explain the origin of the lesion of the anterior mandible. Another theory as to possible origin of salivary gland tissue in the intra osseous site is the mucous metaplasia of the lining epithelium of an odontogenic cyst. Although it is conceivable that the epithelial lining of the odontogenic cysts may exhibit isolated areas of mucous metaplasia, it is unlikely that this epithelium can differentiate into normal salivary gland tissue. Keeping in view the innocent nature and relatively small size of the intraosseous gland, Chou et al. presume that the lesion may differentiate and develop from the ectodermal cells within the mandible.
  • #16 Abbas and Bras agree with this theory of origin of central salivary gland choristomas. This theory fails to explain the origin of the lesion of the anterior mandible. Another theory as to possible origin of salivary gland tissue in the intra osseous site is the mucous metaplasia of the lining epithelium of an odontogenic cyst. Although it is conceivable that the epithelial lining of the odontogenic cysts may exhibit isolated areas of mucous metaplasia, it is unlikely that this epithelium can differentiate into normal salivary gland tissue. Keeping in view the innocent nature and relatively small size of the intraosseous gland, Chou et al. presume that the lesion may differentiate and develop from the ectodermal cells within the mandible.
  • #17  Another theory as to possible origin of salivary gland tissue in the intra osseous site is the mucous metaplasia of the lining epithelium of an odontogenic cyst. Although it is conceivable that the epithelial lining of the odontogenic cysts may exhibit isolated areas of mucous metaplasia, it is unlikely that this epithelium can differentiate into normal salivary gland tissue. Keeping in view the innocent nature and relatively small size of the intraosseous gland, Chou et al. presume that the lesion may differentiate and develop from the ectodermal cells within the mandible.
  • #18 GINGIVAL The exact cause of origin of the gingival salivary gland choristoma is unknown but a few theories have been proposed. According to Ide et al., the possible origin of salivary glands in the gingiva can be explained only on the basis of the developmental displacement of the minor salivary glands. It is conceivable that during growth and development some of the salivary gland tissue located in the oral mucosa becomes “trapped” and maintains its relative position, within the gingiva producing an outgrowth. Brannon et al. also agree that this could be the possible theory of origin of gingival salivary gland choristomas. Another theory concerning the presence of salivary gland tissue in the gingiva is such that glandular tissue demonstrates the pluripotentially of the gingival epithelium. Therefore, the appearance of the aberrant position of the gingival salivary gland tissue may reflect an ectopic location of the original “ectomesenchymal condensation” whose presence induces the subsequent formation of the primordial epithelial bud of the salivary gland.
  • #19  Brannon et al. also agree that this could be the possible theory of origin of gingival salivary gland choristomas. Another theory concerning the presence of salivary gland tissue in the gingiva is such that glandular tissue demonstrates the pluripotentially of the gingival epithelium. Therefore, the appearance of the aberrant position of the gingival salivary gland tissue may reflect an ectopic location of the original “ectomesenchymal condensation” whose presence induces the subsequent formation of the primordial epithelial bud of the salivary gland.
  • #21 Cartilaginous choristomas Zahn, in 1885, first described the presence of cartilaginous tissue in the oral soft tissues. Later, in 1892, Berry reported a case of fibrochondroma of the tongue. Since then, the occurrence of a benign cartilaginous lesion in the oral soft tissues has been namedas cartilage, metaplastic cartilage, dystrophic chondrometaplasia, osteocartilage, fibrochondroma, chondroma, enchondroma and calcifying chondroma by various authors, but it was only in 1971 when Knoll and coworkers, in their review, favored the term ‘choristoma’ for these lesions because these represented heterotopic tumor like growths of histologically normal tissue. These have been reported in 1-day old infants to 90-year old female, with the mean age being 47 years. The most common site is the tongue followed by the gingival, buccal mucosa and the soft palate. Cartilaginous choristomas should be distinguished from cartilaginous metaplasia, which usually occurs in the soft tissues beneath ill-fitting dentures and is characterized histologically by diffuse deposits of calcium and scattered cartilaginous cells arranged in various stages of maturation in single or clustered foci.
  • #22  These have been reported in 1-day old infants to 90-year old female, with the mean age being 47 years. The most common site is the tongue followed by the gingival, buccal mucosa and the soft palate. Cartilaginous choristomas should be distinguished from cartilaginous metaplasia, which usually occurs in the soft tissues beneath ill-fitting dentures and is characterized histologically by diffuse deposits of calcium and scattered cartilaginous cells arranged in various stages of maturation in single or clustered foci.
  • #24 Pathogenesis Several authors have proposed various histogenetic theories to explain the origin of cartilage in the soft tissues of the oral cavity, but the exact cause of such cartilaginous masses is unknown. (1) Embryonal theory: According to this theory, cartilage is developed from the heterotropic fetal cartilaginous remnants. Moore et al. believe in the embryonic development of cartilaginous choristomas of the tongue.
  • #25 According to them, during the embryonic development, the mesenchyme of the ventromedian part of the first and the second branchial arches give rise to the anterior two-third of tongue and posterior one third is derived from the third and fourth branchial arches. Displacement of cartilaginous elements from any of the first four branchial arches to the areas of the tongue could explain the development of cartilaginous choristoma of the tongue. Similarly remnants, of the Meckel’s cartilage may offer another possibility of embryonic origin. Gentscheff found microscopic islands of hyaline cartilage in tongue of new borns and adults, thus supporting the theory of embryonic origin.
  • #26  Metaplastic theory: Development from the pluripotent mesenchymal cells is resumed either de novo or stimulated by some type of trauma, irritation or chronic inflammation. According to Unal and Erturk, the origin might be from cartilaginous embryonic remnants and this is a developmental phenomenon, although it is possible that this type of lesions may originate from the pluripotent mesenchymal cells, which occur more commonly in the older age group.
  • #27 Chou et al. regard the theory of the development of the cartilaginous choristoma from the undifferentiated mesenchymal cells as speculative. They explain its tumor like expansion to be the result of the cartilage formation from multipotential mesenchymal cells with proper stimulation and by its active interstitial and appositional growth. Milles suggested that the cartilaginous choristoma may arise from the vestigial rests of cartilage.
  • #29 Osseous choristomas Osseous choristoma is a tumor like growth of normal, mature lamellated bone occurring in the soft tissues of the oral cavity. This lesion has also been known as “osteoma mucosae” or “soft tissue osteoma” and is analogous to the dermal lesion “osteoma cutis”. Monserrat published the first case of osseous choristoma in 1913. The term “osseous choristoma” was first introduced by Krolls et al. in 1917.
  • #31  The cause of osseous choristomas is obscure, but various hypotheses have been proposed. Monserrat believed that these lesions represent ossification of branchial arch remnants. He based his theory on the presence of these lesions in the area of foramen caecum, as this is the site for development of structures of the first and third branchial arches and also the area from where the second branchial arch normally disappears. Hirsch thought that they represented epignathous formation.
  • #32  Epignathous is a benign congenital teratoma of the oral cavity and the palato pharyngeal region. Zuckerman favored congenital abnormality. Others included ossified lymphatic tissue, degenerating fibroma undergoing ossification and metaplastic formation based on the transformation of mesenchymal cells under traumatic or chronic inflammatory stimulation. Another theory proposed a focus of heterotopic bone formation within the soft tissues of the tongue. Catalodo et al. and Jahnke and Daly proposed a developmental theory associated with the remnants of thyroid gland tissue.
  • #33 All these theories have been divided into two main categories: 1. The developmental theories and 2. The post traumatic theory It is generally believed that the post traumatic theory stands true for osseous choristomas of the buccal mucosa and the anterior tongue. Developmental theories associated with the remnants of branchial arch or thyroid gland would account for the occurrence of such lesions in the posterior third of the dorsum of tongue, in the vicinity of foramen caecum and circumvallate papillae.
  • #35 Lingual thyroid choristomas Ectopic thyroid tissue has been found from the tongue to the diaphragm. This tissue is important because it may be mistaken for a neoplasm. It is subject to the same pathological change as normally situated thyroid gland and may be the patient’s only functional thyroid tissue. Lingual thyroid is termed choristoma in some cases because its tumor like manifestation arising from ectopic thyroid tissue differentiates this clinical entity from simple latent thyroid tissue. The latent ectopic thyroid tissue is a developmental anomaly consisting of an aggregate or small scattered islands of thyroid tissue occurring in the base of the tongue or at any other point along the route of descent of the thyroid primordium.
  • #36 Approximately, one of every 10 people may have such microscopic lingual remnants of thyroid tissue but the lingual thyroid choristoma is rare The case considered as lingual thyroid choristoma should meet the following two points: 1.The lesion should be a tumor like mass occurring in the mid portion of the tongue between the foramencecum and the epiglottis. 2. The diagnosis is confirmed by radioactive iodine methods or by histological examination. The first reported case is by Hickman in a new born child who died of suffocation from a lingual thyroid 16 h after birth. The incidence of lingual thyroid choristoma is 1:100,000 and the presentation may be in the form of dysphagia, dysphonia, dyspnoea, pain, hemorrhage or “fullness in the throat”
  • #39 Pathogenesis The embryonic development of the thyroid gland is from the endodermal invagination of the ventral floor of the pharynx. The tongue also forming in the pharyngeal floor, is the anatomically associated with the thyroid gland. It is attached to it by means of the thyroid tract. This tract extends from foramen cecum at the base of the tongue to the thyroid isthmus. After birth, the foramen cecum represents the vestigial remnant of this tract. It is therefore, possible for thyroid tissue to be located anywhere along this tract. In lingual thyroid choristoma, probably the tissue arises from a thyroid anlage which failed to migrate to its predetermined position.
  • #40 Pathogenesis After birth, the foramen cecum represents the vestigial remnant of this tract. It is therefore, possible for thyroid tissue to be located anywhere along this tract. In lingual thyroid choristoma, probably the tissue arises from a thyroid anlage which failed to migrate to its predetermined position.
  • #42 Sebaceous gland choristoma Sebaceous glands have been reported to occur in various sites in the oral cavity especially in the labial and buccal mucosa. Sebaceous glands in these locations, the so called Fordyce’s granules, are not regarded as choristomas because they are present in such locations in more than 80% of the population. So are the sebaceous glands on the retromolar area, gingival and palate. However, there are rare reports of a mass of sebaceous glands in an unusual location, the dorsum of the tongue. The term sebaceous choristoma was first used for this entity by Leider et al.
  • #44 Pathogenesis According to Guiducci and Hyman the sebaceous choristomas may be due to ectodermal sequestration within the tongue during embryogenesis. According to Leider et al. and Knapp sebaceous glands associated with thyroglossal duct like structures originated from the remnants of thyroglossal tract. But Guiducci and Hyman did not agree with this theory as there was no lymphoid tissue in the vicinity of their lesion such as is usually found associated with the vestigial thyroglossal ducts. The other possible origin of sebaceous glands in the tongue is from the ductus lingualis.
  • #46 Glial choristomas The occurrence of extracranial brain tissue in the head and neck region is very rare. Most of the reported cases have been observed in the nasal region. For these masses to occur in the oral cavity with no connection with the central nervous system is extremely rare. The lesion was first reported by Reid in 1852 and was described by Schmidt. The terms most often used are “heterotopic brain tissue” and extracranial gliopma but neither is satisfactory. Such lesions cannot be called heterotopic brain tissue because this term does not reflect the fact that the ectopic tissue grows like a tumor like mass
  • #47  The term glioma is also inappropriate since this term represents a true neoplasm. Some investigators have used the term “teratoma” which is inadequate as no mesodermal or endodermal components are identified. Chou et al., thus proposed the term “glial chorstoma” which represents both the normal ectopic tissue and its tumor like growth. Thus, glial choristomas of the oral cavity are considered as brain heterotopias composed of ectopic central nervous tissue arising as a developmental malformation with a tumor like growth. Glial choristomas have been divided into two types: 1. The paraneuroaxial glial choristomas. 2. Glial choristomas remote from the neuroaxis.
  • #49 Pathogenesis Glial choristomas are generally considered congenital malformations. Various theories have been proposed as to the histogenesis of these glial choristomas but no single theory fulfills all criteria. The origin of the paraneuro axial glial choristomas has been attributed to the herniation of the fetal cerebral tissue occurs during the embryonic development, as in development of encephaloceles, but with subsequent separation from the cranial cavity. Such herniations occur through cleft in the bone or through a foramen of skull.
  • #50  This theory was proposed by Karma et al. and later Whitaker et al. agreed to their theory. This theory does not explain the presence of glial choristomas in the ventral foregut structures such as tongue, far from known embryonic canals. However, the absence of neural cells and failure to find the site of herniation, has lead authors to consider the origin of glial choristomas from neural crest cells in the head and neck which have the ability to undergo neuroglial development.
  • #51  Macomber and Wang proposed that glial choristomas are caused by the separation of cells from the anterior part of the brain in early embryonal development. This may occur before closure of the palate. This theory explains the involvement of tongue to some extent. In the case of glial choristomas of tongue, the most likely origin seems to be from the displaced neural tissue present early in occipital somites from which tongue muscles originate.
  • #52 It seems that the nests of pluripotential cells become separated prior to complete fusion of the neural tube and are brought to the extra cranial tissues in association with normally migrating cells. Shapiro and Mix and Kurzer et al. considered that the lesion develops from amisplaced primordium. Other investigators recommended that the glial choristomas arise from the preferential development of one germinal layer of a teratoma in a neural cellular line.
  • #54 Gastric/respiratory mucosal choristomas The gastric mucosal choristomas are heterotopic gastric elements present in the oral cavity. The first description of such heterotopic elements was given by Toymar as stomach mucosa at the base of the tongue. Usually, these cases present as a cyst within the oral cavity but may also be present as solid entities.
  • #55 So gastric mucosal choristomas can be divided into two types. 1. Gastric cystic choristoma: it is defined as a cystic lesion in the oral cavity, that is usually lined partially by stratified squamous epithelium and partially by gastric mucosa, and occasionally by intestinal epithelium. 2. Solid gastric mucosal choristoma: it is a solid mass in the oral cavity that usually contains gastric mucosal elements and some times, intestinal components also.
  • #57 Pathogenesis Heterotrophic gastric mucosa has been postulated to arise from misplaced embryonic gastric rests, because in the 3–4mmembryo (4 weeks) the undifferentiated primitive stomach lies in the mid neck region close to the primordium of the tongue. It has been assumed that the endodermal gastric mucosa becomes entrapped in the midline of the tongue by the fusion of the lateral lingual swelling over the tuberculum impar. Also gastric epithelium has been shown to occur in the oesophagus of 7.8% of infants, and in 51% of these cases the heterotrophic tissue was located in the upper third.
  • #58  Woolgar and Smith reported that the mucin in the heterotopic gastrointestinal cyst wall is different in composition from that in histologically similar normal gastrointestinal mucosa, suggesting that this lesion originates from the undifferentiated endoderm subjected to inductive influences, which result in varying amounts of differentiation. The variety of epithelial types found in many cases supports this view.
  • #59  This concept however, would not account for the undifferentiated endoderm of ventrally migrated gastric anlage or entrapped endoderm of the floor of primitive stomodeum. Lingual cystic choristomas lined by respiratory epithelium have also been reported and have been labeled as anterior median lingual cyst, median lingual cyst, lingual bronchogenic cyst or lingual cyst of foregut origin. Both respiratory and enteral epithelium have been found to line the same cyst.
  • #60  The pathogenesis for these choristomatous cysts has been attributed to the embryogenic theory of respiratory and gastrointestinal lingual cysts, which maintains that both are derived from the primitive foregut. During the third and fourth weeks of gestation, human embryonic folding results in formation of the endodermal gut tube. The cranial portion of the gut tube is the foregut, which gives rise to the proximal digestive tract (pharynx to proximal duodenum) and the tracheobronchial tree (via a keel-shaped outpouching called the respiratory diverticulum).
  • #62 An even more unusual finding is “epidermal choristoma” or “cutaneous choristoma,” characterized by the abrupt replacement of normal oral mucosal epithelium with epidermis-like epithelium exhibiting hyperorthokeratosis, hypergranulosis, melanin pigmentation, and underlying adnexal structures, such as sebaceous glands, hair follicles, and/or sweat glands. lesion with some features resembling the epidermal choristoma is the oral follicular choristoma, which was first reported by Arwill et al.13 These investigators presented a case of a 9-year-old girl with a nodular lesion on the lingual alveolar mucosa adjacent to the mandibular central incisors. Microscopic examination showed the presence of hair follicles, sebaceous glands, a keratin-containing cyst, and pigmented cells within the connective tissue. These investigators thought that these features were suggestive of a folliculoma as described by Kligman and Pinkus,14 and thus they proposed the term “follicular choristoma.” Subsequently, Sood15 described a second case of follicular choristoma arising in a 46-year-old Asian man in the anterior floor of mouth. An excisional biopsy showed an involution of surface epithelium lined by pigmented epidermis and surrounded by sebaceous glands, sweat glands, and mature hair follicles. In accordance with current terminology, these cases characterized by cyst formation or surface invagination with surrounding adnexal structures are reminiscent of a trichofolliculoma or sebaceous trichofolliculoma of the skin, in which one would find a central infundibular pore with surrounding hair follicles and possibly sebaceous glands.
  • #63  These investigators presented a case of a 9-year-old girl with a nodular lesion on the lingual alveolar mucosa adjacent to the mandibular central incisors. Microscopic examination showed the presence of hair follicles, sebaceous glands, a keratin-containing cyst, and pigmented cells within the connective tissue. These investigators thought that these features were suggestive of a folliculoma as described by Kligman and Pinkus,14 and thus they proposed the term “follicular choristoma.” Subsequently,
  • #65 Sood15 described a second case of follicular choristoma arising in a 46-year-old Asian man in the anterior floor of mouth. An excisional biopsy showed an involution of surface epithelium lined by pigmented epidermis and surrounded by sebaceous glands, sweat glands, and mature hair follicles. In accordance with current terminology, these cases characterized by cyst formation or surface invagination with surrounding adnexal structures are reminiscent of a trichofolliculoma or sebaceous trichofolliculoma of the skin, in which one would find a central infundibular pore with surrounding hair follicles and possibly sebaceous glands.
  • #81 Oral choristomas are rare but distinct clinical entities and need to be distinguished from neoplasms because of their developmental origin and benign behavior especially as these generally do not show any recurrence after complete excision.