Thyroid carcinomaDr. Zahoor AhmadPGR, SU-ISZMC/H. RYK, Pakisatan
Anatomy of Thyroid gland includes 2 lobes.Isthmus: conical or pyramidal shape.
Embryology• 4th week: thyroid gland appears.• 5th week: break down of the thyroglossal duct, thyroid gland continue descending• 7th week: thyroid gland migrates to its position, anterior to the trachea• 10th week: thyroglossal duct disappears
AnatomyLocate deep to the sternohyoid muscle, from level C5 to T1 vertebrae or anterior to the 2nd and 3rd tracheal rings.Thyroid gland is attached to the trachea by the lateral suspensory (Berry) ligaments.
Blood supplyBlood supply: sup. & inf. thyroid arteriesthyroid ima artery (1.5% to 12%)
Lymph vessels: drain to prelaryngeal,
pretracheal
paratrachealnodes.
Innervation:
superior,
middle,
inferior sympathetic gangliaVenous drainage Superior thyroid v  (to IJV)middle thyroid v.  (to IJV)Inferior thyroid v. (to brachiocephalic trunk)
Rec. laryngeal nerve locationSim’s triangleCarotid artery TracheaInferior pole of thyroid LRLN runs parallel with the TEG
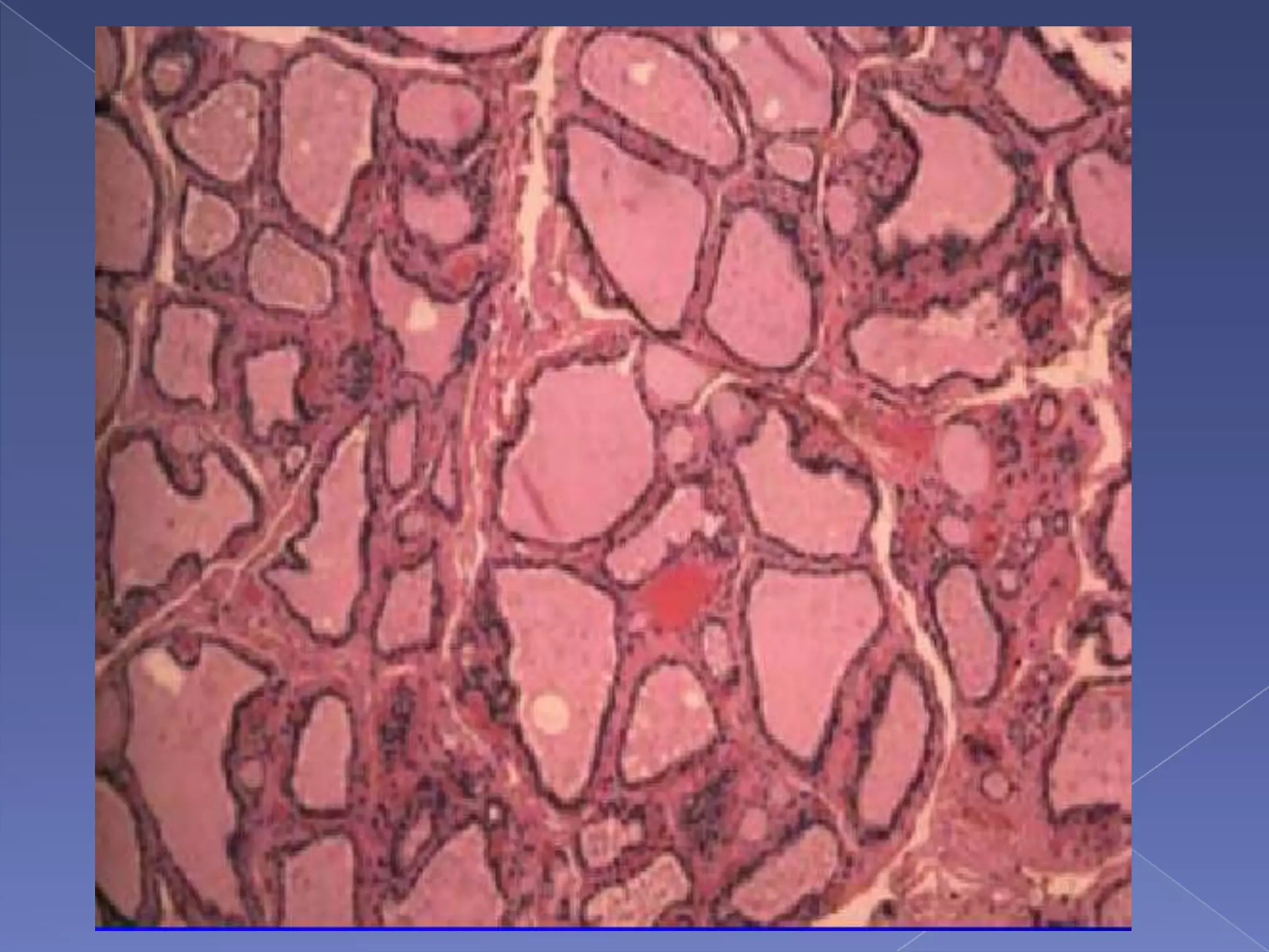
RRLN runs diagonal with the TEGHistology of thyroid glandLobule:  20-30 folliclesFollicle:functional unit
 Follicular cells
Contains colloidParafollicular cell or C-cell
Thyroid physiology5 steps of thyroid hormone formationIodide absorption in gutPeroxidation of iodideBinding with tyrosineFormation of MIT & DITCoupling and formation of T3 & T4Negative feed back mechanismFrequency17,000 cases diagnosed annually.Women 3 times more than men.Peak incidence 30-40s.Papillary 80%, follicular 10%, medullary 5-10%, anaplastic 1-2%.
Etiology/Risk factorsRADIATION (most important)
Family history of Goiter (ret oncogene)
Family history of familial polyposis
Personal history of Autoimmune thyroiditis
Inheritance of oncogenes (ret/PTC1, ret/PTC3)
Female sex
Age > 45 yearsChernobyl (26-04-1986, 1:23 a.m.)
HistoryChief complaints
Rapidly growing, Painless, palpable, irregular, solitary nodule.
Cervical lymph node enlargement
Associated symptomsNeck pain, hoarseness, dysphagia, dyspnea, stridor, hemoptysis
Physical ExaminationThyroid glandSoft tissues of neckSolid, soft, mobile, or fixed?Tenderness?Laryngoscopy if hoarse preop!
Labs & investigationsBaseline labsS. calcium & S. phosphateTumor markers (S. thyroglobulin, S. calcitonin)CXR TFTs
Labs & investigations(cont.....)FNACTrucut biopsyIncisional biopsyUSG neckCT scan neck & thoraxMRI Thyroid scan
Classification ofCA thyroid
According to origin of cellTumors of Follicular Cell OriginDifferentiated„ „ Papillary 75%„ „ Follicular 10%„ „ Hurthle Cell 5%Undifferentiated „ „ Anaplastic  5%Tumors of Parafollicular„ „ Medullary 5%„Other„ „ Lymphoma <1%
TypesPrimaryFollicular cells (papillary, follicular, and anaplastic)Para-follicular cells (medullary)Lymphocytes (lymphoma)SecondaryMetastasesLocal infiltration
STAGING FOR DIFFERENTIATED  STAGING FOR DIFFERENTIATED THYROID CANCER THYROID CANCER„TNM systemAMES systemAGES SystemGAMES systemMACIS systemUniversity of Chicago systemOhio State University systemNational Thyroid Cancer Treatment Cooperative Study (NTCTCS)
TNM ClassificationTx- size of primary tumor unknownT1- tumor size < 2 cmT2- tumor size 2-4 cmT3- tumor size >4 cm with minimal extra-thyroidal extensionT4a- tumor of any size with extra-thyroidal involvement up to trachea, esophagus, larynx, RLNT4b- tumor invades paravertebral fascia, carotid artery, mediastinal lymph nodes
Nx- nodes not assesedN0- no nodes involvedN1- node involvement up to level 1(pretracheal. Paratracheal, prelaryngeal)N2- cervical or superior mediastinal l/node involvement
Mx- extent of mets can not be assesedM0- no metastasesM1- presence of distant mets
University of Chicago systemAn easy An easy- to-remember staging system for papillary carcinoma Class I— disease limited to the thyroid glandClass II— lymph node involvementClass III— extrathyroidal invasionClass IV — distant metastases
National Thyroid Cancer Treatment Cooperative Study (NTCTCS)The NTCTCS created a staging approach that wasapplied prospectively to a registry of patients drawnfrom 14 cooperating institutions . pathologic staging was based upon:„ „ patient age at diagnosis„ „ tumor histology„ „ tumor size„ „ intrathyroidalmultifocality„ „ extraglandular invasion„ „ metastases„ „ tumor differentiation
MAICS Scoring  MAICS Scoring„ „ Developed by the Mayo Clinic for staging„ „ It is known to be the most accurate predictor of a patient's outcome  patient's outcome with papillary thyroid cancer(M = Metastasis, A = Age, I  = Invasion, C = Completeness of  (M = Metastasis, A = Age, I  = Invasion, C = Completeness of Resection, S = Size) Resection, S = Size)MAICS Score MAICS Score 20 year Survival 20 year Survival<6  <6  =  =  99% 99%6 6- -7  7  =  =  89%  89% 7 7- -8  8  = = 56%  56% >8   >8   =  =  24% 24%P
Papillary CarcinomaMost common (80%)Women 3 times more common30-40 years of ageFamilial alsoRadiation exposure as a childPatients with Hashimoto’s  thyroiditisSlow growing, TSH sensitive, take up iodine, TSH stimulation produces thryroglobulin response.
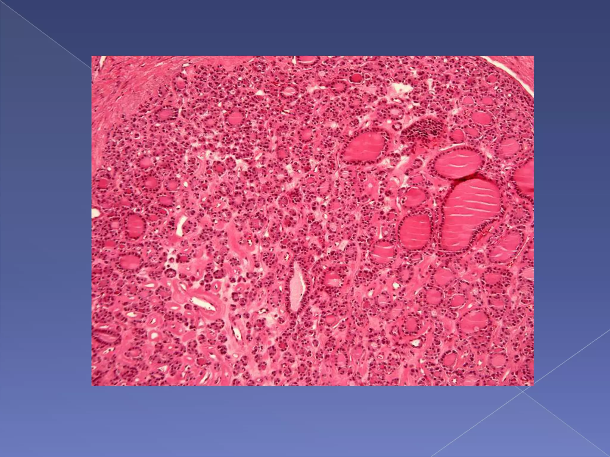
Papillary CarcinomaPathology:Unencapsulated, arborizing papillae. Well differentiated, rare mitoses.50% have psammoma bodies (calcific concretions, circular laminations.Multicentric with tumor present in contralateral lobe as well.
Papillary CarcinomaLocal invasion through capsule, invading trachea, nerve, causing dyspnea, hoarseness.Propensity to spread to the cervical lymph nodes. Clinically evident in 1/3 patients. Most commonly central compartment, located medial to carotids, from hyoid to sternal notch.Distant spread to bone, lungs.
Follicular CarcinomaSecond most common (10%)Iodine deficient areas3 times more in womenPresent more advanced in stage than papillaryLate 40’sAlso TSH sensitive, takes up iodine, produces thryroglobulin.
Follicular CarcinomaPathology: round, encapsulated, cystic changes, fibrosis, hemorrhages. Microscopically, neoplastic follicular cells.Differentiated from follicular adenomas by the presence of capsule invasion, vascular invasion.Cannot reliably diagnose basedon FNA.
Follicular CarcinomaLocal invasion is similar to papillary cancer with the same presentation.Cervical metastases are uncommon.Distant metastases is significantly higher (20%), with lung and bone most common sites.
Treatment and PrognosisControversy regarding extent of therapy continues.Surgical excision whenever possible.Total thyroidectomy has been mainstay (all apparent thyroid tissue removed). Complications include nerve damage bilaterally, parathyroid injury bilaterally.After, get radioiodine scan, ablation if residual disease or recurrence.
Treatment and PrognosisOver the years, modification to procedure to reduce the above complications.Subtotal thyroidectomy( small portion of thyroid tissue opposite the side of malignancy is left in place) and postop ablation.Thyroid lobectomy and isthmectomy also a viable option with small tumors

Carcinoma thyroid final

  • 2.
    Thyroid carcinomaDr. ZahoorAhmadPGR, SU-ISZMC/H. RYK, Pakisatan
  • 3.
    Anatomy of Thyroidgland includes 2 lobes.Isthmus: conical or pyramidal shape.
  • 6.
    Embryology• 4th week:thyroid gland appears.• 5th week: break down of the thyroglossal duct, thyroid gland continue descending• 7th week: thyroid gland migrates to its position, anterior to the trachea• 10th week: thyroglossal duct disappears
  • 7.
    AnatomyLocate deep tothe sternohyoid muscle, from level C5 to T1 vertebrae or anterior to the 2nd and 3rd tracheal rings.Thyroid gland is attached to the trachea by the lateral suspensory (Berry) ligaments.
  • 8.
    Blood supplyBlood supply:sup. & inf. thyroid arteriesthyroid ima artery (1.5% to 12%)
  • 9.
    Lymph vessels: drainto prelaryngeal,
  • 10.
  • 11.
  • 12.
  • 13.
  • 14.
  • 15.
    inferior sympathetic gangliaVenousdrainage Superior thyroid v (to IJV)middle thyroid v. (to IJV)Inferior thyroid v. (to brachiocephalic trunk)
  • 17.
    Rec. laryngeal nervelocationSim’s triangleCarotid artery TracheaInferior pole of thyroid LRLN runs parallel with the TEG
  • 18.
    RRLN runs diagonalwith the TEGHistology of thyroid glandLobule: 20-30 folliclesFollicle:functional unit
  • 19.
  • 20.
  • 22.
    Thyroid physiology5 stepsof thyroid hormone formationIodide absorption in gutPeroxidation of iodideBinding with tyrosineFormation of MIT & DITCoupling and formation of T3 & T4Negative feed back mechanismFrequency17,000 cases diagnosed annually.Women 3 times more than men.Peak incidence 30-40s.Papillary 80%, follicular 10%, medullary 5-10%, anaplastic 1-2%.
  • 23.
  • 24.
    Family history ofGoiter (ret oncogene)
  • 25.
    Family history offamilial polyposis
  • 26.
    Personal history ofAutoimmune thyroiditis
  • 27.
    Inheritance of oncogenes(ret/PTC1, ret/PTC3)
  • 28.
  • 29.
    Age > 45yearsChernobyl (26-04-1986, 1:23 a.m.)
  • 30.
  • 31.
    Rapidly growing, Painless,palpable, irregular, solitary nodule.
  • 32.
  • 33.
    Associated symptomsNeck pain,hoarseness, dysphagia, dyspnea, stridor, hemoptysis
  • 34.
    Physical ExaminationThyroid glandSofttissues of neckSolid, soft, mobile, or fixed?Tenderness?Laryngoscopy if hoarse preop!
  • 36.
    Labs & investigationsBaselinelabsS. calcium & S. phosphateTumor markers (S. thyroglobulin, S. calcitonin)CXR TFTs
  • 37.
    Labs & investigations(cont.....)FNACTrucutbiopsyIncisional biopsyUSG neckCT scan neck & thoraxMRI Thyroid scan
  • 38.
  • 39.
    According to originof cellTumors of Follicular Cell OriginDifferentiated„ „ Papillary 75%„ „ Follicular 10%„ „ Hurthle Cell 5%Undifferentiated „ „ Anaplastic 5%Tumors of Parafollicular„ „ Medullary 5%„Other„ „ Lymphoma <1%
  • 40.
    TypesPrimaryFollicular cells (papillary,follicular, and anaplastic)Para-follicular cells (medullary)Lymphocytes (lymphoma)SecondaryMetastasesLocal infiltration
  • 41.
    STAGING FOR DIFFERENTIATED STAGING FOR DIFFERENTIATED THYROID CANCER THYROID CANCER„TNM systemAMES systemAGES SystemGAMES systemMACIS systemUniversity of Chicago systemOhio State University systemNational Thyroid Cancer Treatment Cooperative Study (NTCTCS)
  • 42.
    TNM ClassificationTx- sizeof primary tumor unknownT1- tumor size < 2 cmT2- tumor size 2-4 cmT3- tumor size >4 cm with minimal extra-thyroidal extensionT4a- tumor of any size with extra-thyroidal involvement up to trachea, esophagus, larynx, RLNT4b- tumor invades paravertebral fascia, carotid artery, mediastinal lymph nodes
  • 43.
    Nx- nodes notassesedN0- no nodes involvedN1- node involvement up to level 1(pretracheal. Paratracheal, prelaryngeal)N2- cervical or superior mediastinal l/node involvement
  • 44.
    Mx- extent ofmets can not be assesedM0- no metastasesM1- presence of distant mets
  • 45.
    University of ChicagosystemAn easy An easy- to-remember staging system for papillary carcinoma Class I— disease limited to the thyroid glandClass II— lymph node involvementClass III— extrathyroidal invasionClass IV — distant metastases
  • 46.
    National Thyroid CancerTreatment Cooperative Study (NTCTCS)The NTCTCS created a staging approach that wasapplied prospectively to a registry of patients drawnfrom 14 cooperating institutions . pathologic staging was based upon:„ „ patient age at diagnosis„ „ tumor histology„ „ tumor size„ „ intrathyroidalmultifocality„ „ extraglandular invasion„ „ metastases„ „ tumor differentiation
  • 47.
    MAICS Scoring MAICS Scoring„ „ Developed by the Mayo Clinic for staging„ „ It is known to be the most accurate predictor of a patient's outcome patient's outcome with papillary thyroid cancer(M = Metastasis, A = Age, I = Invasion, C = Completeness of (M = Metastasis, A = Age, I = Invasion, C = Completeness of Resection, S = Size) Resection, S = Size)MAICS Score MAICS Score 20 year Survival 20 year Survival<6 <6 = = 99% 99%6 6- -7 7 = = 89% 89% 7 7- -8 8 = = 56% 56% >8 >8 = = 24% 24%P
  • 48.
    Papillary CarcinomaMost common(80%)Women 3 times more common30-40 years of ageFamilial alsoRadiation exposure as a childPatients with Hashimoto’s thyroiditisSlow growing, TSH sensitive, take up iodine, TSH stimulation produces thryroglobulin response.
  • 49.
    Papillary CarcinomaPathology:Unencapsulated, arborizingpapillae. Well differentiated, rare mitoses.50% have psammoma bodies (calcific concretions, circular laminations.Multicentric with tumor present in contralateral lobe as well.
  • 50.
    Papillary CarcinomaLocal invasionthrough capsule, invading trachea, nerve, causing dyspnea, hoarseness.Propensity to spread to the cervical lymph nodes. Clinically evident in 1/3 patients. Most commonly central compartment, located medial to carotids, from hyoid to sternal notch.Distant spread to bone, lungs.
  • 52.
    Follicular CarcinomaSecond mostcommon (10%)Iodine deficient areas3 times more in womenPresent more advanced in stage than papillaryLate 40’sAlso TSH sensitive, takes up iodine, produces thryroglobulin.
  • 53.
    Follicular CarcinomaPathology: round,encapsulated, cystic changes, fibrosis, hemorrhages. Microscopically, neoplastic follicular cells.Differentiated from follicular adenomas by the presence of capsule invasion, vascular invasion.Cannot reliably diagnose basedon FNA.
  • 55.
    Follicular CarcinomaLocal invasionis similar to papillary cancer with the same presentation.Cervical metastases are uncommon.Distant metastases is significantly higher (20%), with lung and bone most common sites.
  • 56.
    Treatment and PrognosisControversyregarding extent of therapy continues.Surgical excision whenever possible.Total thyroidectomy has been mainstay (all apparent thyroid tissue removed). Complications include nerve damage bilaterally, parathyroid injury bilaterally.After, get radioiodine scan, ablation if residual disease or recurrence.
  • 57.
    Treatment and PrognosisOverthe years, modification to procedure to reduce the above complications.Subtotal thyroidectomy( small portion of thyroid tissue opposite the side of malignancy is left in place) and postop ablation.Thyroid lobectomy and isthmectomy also a viable option with small tumors
  • 58.
    NeckExamine the neckprior to surgery to detect lymph node spread.Gross cervical mets should be removed en bloc with a dissection in the compartment in which they reside.Excision of single nodes is not adequate.Elective lymph node dissection is not done, as radioactive iodine takes care of this.
  • 59.
    Postoperative Radioiodine andAblationRadioiodine targets residual thyroid tissue and tumor after thyroidectomy.Given in diagnostic doses and therapeutic doses to ablate tissue.
  • 60.
    Thyroid Suppression TherapyMaintainedon thyroxine after surgery and ablation. Low TSH levels reduce tumor growth rates and reduce recurrence rates.Most recommend TSH levels of 0.1 mU/l.Follow-up q 6 months with thyroglobulin levels and repeat scans.Thyroglobulin is good because well differentiated tumors produce it.
  • 61.
    PrognosisAge: at diagnosis.Cancer relate death more common if patient is older than 40 years.
  • 62.
    Recurrences common inpatients diagnosed when they were less than 20 years or olderthan 60 years.
  • 63.
    Men are twicemore likely as women to die.
  • 64.
    Tumors greater than4 cm have higher recurrence, death.PrognosisHistology:papillary has 30 year cancer related death rate of 6%. Follicular has a 30 year cancer related death rate of 15%.
  • 65.
    Local invasion portendspoorer prognosis.
  • 66.
    After surgery, thyroxineis given. Do I scanning after stopping it for 6 weeks, TSH high now. Do scan, if some tissue remains on diagnostic dose, ablate it. Do it again if needed.
  • 67.
    LN metastases notimportant for prognosis.
  • 68.
    Distant metastases associatedwith a 68.1-fold increase in the rate of disease specific death.Hurthle CellA variant of follicular, also known as oncocytic carcinoma. 5 year survival 50%.
  • 69.
    More common inwomen than men, presents in 5th decade of life.
  • 70.
  • 71.
  • 72.
    Does not takeup iodine, so treat aggressively.
  • 73.
    Thyroid suppression andradioiodine don’t work.Medullary Carcinoma5%, female preponderance75% sporadically, 25% familial. Familial cases are usually all over the gland, sporadic usually not multifocal.MEN 2A, MEN2B and FMTC syndromes.
  • 74.
    Men 2a, 2b,FMTCMEN 2a is Sipple syndrome,MTC, pheochromocytoma, hyperparathyroidism.
  • 75.
    MEN 2b isMTC, pheo, ganglionomas, marfan habitus.
  • 76.
  • 77.
    Medullary cancer inthese are most aggressive, younger age, rapid growth and metastases.
  • 78.
    In sporadic youget painless nodule, symptoms of invasion.Biochemical TestingStimulating calcitonin release with IV pentagastrin increases sensitivity of test.First measure baseline calcitonin, then give pentagastrin. Measure calcitonin serially 1.5 and 5 min later.Used as tumor marker postop rather than screening now.Use genetic testing for screening.Histologically test for calcitonin and CEA.
  • 79.
    TreatmentTotal thyroidectomyLymph nodedissection of level VI.Parathyroid reimplantation if necessary.Lymph node mets are very common.Prophylactic thyroidectomy in children with MEN 2a,b.Surveillance with CEA, calcitonin.Does not take up iodine, so no radioiodine.Prognosis 10 y is 65%.
  • 80.
  • 81.
    Indications for ThyroidLobectomySuspicion for malignancyCompressive symptomsCosmetic issuesPatient wishesWell-differentiated thyroid carcinoma in low risk patient (controversial)
  • 82.
    Indications for TotalThyroidectomyWell-differentiated thyroid cancerMedullary thyroid cancerSarcoma of thyroidLymphoma of thyroidObstructive goiter

Editor's Notes

  • #18 Radiation exposure (papillary).Populations with low dietary iodine have a higher proportion of follicular and anaplastic cancers.
  • #19 On April 26, 1986 at 1.23 a.m. the world&apos;s 1.23 a.m. the world&apos;s worst nuclear disaster worst nuclear disaster took place at the took place at the Chernobyl nuclear Chernobyl nuclear power station in power station in northern Ukraine
  • #28 „ In differentiated thyroid carcinoma, several classification and In differentiated thyroid carcinoma, several classification and staging systems have been introduced. However, no clear staging systems have been introduced. However, no clear consensus has emerged favoring any one method over another consensus has emerged favoring any one method over another