BONE
Connective tissue with cells and fibers embedded
in a hard, mineralized substance that is well suited
for supportive and protective functions.
Connective and Supportive Tissues
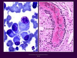
Connective and supportive tissue -
Bone
www.TheStuffPoint.Com
Abu Bakar Soomro
Functions
– Provides internal support for the entire body as well as
attachment sites for the muscles and tendons necessary for
movement.
– Protects the brain and organs in the thoracic cavity and
contains the bone marrow within its medullary space.
– Functions metabolically by providing a source of calcium to
maintain proper blood calcium levels and various growth
factors (e.g. transforming growth factor- beta) that play a role
in remodeling.
– Bone is a dynamic tissue that is renewed and remodeled
throughout the life of all mammal.
– Its construction is unique because it provides the greatest
tensile strength with the least amount of weight of any tissue.
Connective and supportive tissue -
Bone
1. Osteoblast –bone forming cells
• Responsible for active formation and mineralization of bone matrix.
• Columnar to squamous in shape, located on surfaces of bone where new
bone deposits.
• The nucleus is located in the basal region of the intensely basophilic
cytoplasm. The Golgi apparatus and rER are prominent between the
nucleus and the secretory surface of the osteoblast.
• The cell deposits osteoid (type-1collagen (90%) and proteoglycans), the
unmineralized matrix of bone.
• Ostecblasts originate from pluripotent mesenchymal stem cells
(osteoproginator cells) that also give rise to chondroblasts, fibroblasts,
and other cell types.
Connective and supportive tissues
Bone cells
Connective and supportive tissue -
Bone
• Flattened, resting osteoblasts are known as bone lining cells - found on the
surfaces of adult trabeculae and compact bone, capable of becoming
active osteoblasts when appropriately stimulated.
• Osteoblasts have receptors for parathyroid hormone on their surface.
When PTH binds to the osteoblast, the cell releases factors that stimulate
osteoclastic activity.
1. Osteoblast –bone forming cells
Connective and supportive tissue -
Bone
Connective and supportive tissue -
Bone
2. Osteocytes – true bone cells
• The osteocyte is the principal cell in mature bone and resides in a lacuna
surrounded by calcified interstitial matrix.
• Numerous long, slender processes extend from the cell body into canaliculi within
the matrix to contact adjacent osteocytes. Gap junctions are present at the contact
points and provide communication between osteocytes.
• The long cellular processes of the osteocyte are able to shorten and lengthen. This
activity may serve as a ‘pump” to move fluid through lacunae and canaliculi to
transfer metabolites from the surface of the bone.
• The organelles of young osteocytes resemble osteoblasts, but as they mature, the
Golgi complex and rER are less prominent and lysosomes increase in number.
• Osteocytes are essential in presenting bone structure because, upon their death,
osteoclasts immediately move to the area and resorb the bone. Therefore, signals
from apoptotic osteocytes may be part of a signaling pathway to initiate bone
remodeling.
Bone cells
Connective and supportive tissue -
Bone
Connective and supportive tissues
Osteocytes
Connective and supportive tissue -
Bone
3. Osteoclast –bone resorbing cells
• The osteoclast is a large, multinucleared cell located on the surface of bone (15 to
30 nuclei per cell, 40 to 100 µm in diameter). Occasional mono-nuclear
osteoclasts are not easily recognized.
• The cytoplasm is acidophilic and contains a small amount of rER, ribosomes,
numerous smooth vesicles, and mitochondria.
• The activated osteoclast has a ruffled border created by extensive infoldings of the
cell membrane that sweep across the bony surface. The cell secretes acid and
lysosomal enzymes into this region. The cell membrane immediately adjacent to
the ruffled border adheres tightly to the bony surface, thereby scaling the area of
active bone resorption.
• Osteoclasts are derived from pluripotent stem cells of the bone marrow that also
give rise to monocytes and macrophages. Final differentiation to an osteoclast
from a circulating monocyte occurs after the cells are recruited to bone resorption
sites. At the end of their cell life span, osteoclasts undergo apoptosis.
Connective and supportive tissues
Bone cells
Connective and supportive tissue -
Bone
Osteoclasts
Connective and supportive tissue -
Bone
Connective and supportive tissue -
Bone
Osteoclast
Osteoblast
Osteocyte in
Lacuna
Bone Matrix
Connective and supportive tissue -
Bone
Bone Matrix
• The matrix of bone is composed of osteoid produced by the osteoblasts.
• Mineralization of the osteoid occurs as hydrocrystals are deposited in the osteoid
framework.
• The organic intercellular substance of bone contains sulfated glycosaminoglycans,
glycoproteins, and collagen- Glycoproteins of bone include alkaline phosphatase,
osteonectin, osteopontin, and sialoprotein. These glycoproteins are thought to
play various roles in bone mineralization.
• The inorganic component of bone consists of submicroscopic hydroxyapatite
crystals deposited as slender needles within the collagen fibril network. Such an
efficient arrangement enhances the tensile strength.
• The principal ions in bone salt are Ca, CO3, P04 and OH, and the amounts of Na,
Mg, and Fe are substantial.
• Bone, thus, is a major storehouse for calcium and phosphorus, which are
mobilized whenever they are needed.
Connective and supportive tissuesConnective and supportive tissue -
Bone
Structural and Functional Characteristics
• Adult bone is distinguished from cartilage by the presence of both a
canalicular system and a direct vascular supply.
• The growth process of bone also differs from that of cartilage, bone has a
unique lacunar-canalicular system for supplying the bone cells with
metabolites in a mineralized matrix in which diffusion is not an option.
• The canalicular system provides a conduit system for nourishment of the
mature osteocytes located deep in the bone, and the extensive capillary
supply of bone further enhances the efficiency of the canalicular system.
• Unlike cartilage, bone grows by apposition only, because the intercellular
substance mineralizes so rapidly. Interstitial growth of bone is not possible.
Connective and supportive tissuesConnective and supportive tissue -
Bone
Macroscopic Structure
• An adult long bone (e.g., humerus) consists of
- Epiphyses - enlarged ends
- Diaphysis - hollow cylindrical shaft
- Articular cartilage - thin layer of hyaline cartilage covering epiphyseal ends
- The periosteum - vascular fibrous membrane covering ext. surface of bone
• Each region of the bone is composed of lamellar bone, but it is arranged differently to best
perform its biomechanical function.
• The epiphyses have a thin shell of dense bone (subchondral bone) under the articular
cartilage.
• A network of trabeculae forms spongy bone, which extends from the subchondral bone to
form the center of the bone.
• The wall of the diaphysis is composed of compact bone, which contains osteons. The inner
(medullary) cavity of bone is lined by endosteum and contains adipose tissue or red
(hemopoietic) or yellow (adipose) bone marrow, depending on the age of the animal or the
region of the bone.
Connective and supportive tissue -
Bone
• In the growing animal, the diaphysis and epiphysis are separated by the
yaline cartilage plate, also referred to as the epiphyseal plate,
hresponsible for growth in length of bone.
• During the growth process, temporary trabeculae with cartilaginous cores
are formed in the metaphysis and later modeled to permanent bony
trabeculae.
• Upon cessation of growth, the cartilage cells of the epiphyseal plate stop
proliferating but bone formation on the metaphyseal side of the physis
continues.
• A transverse, perforated plate of bone (epiphyseal scar) takes the place of
the physis in the skeletally mature animal.
Connective and supportive tissues
Macroscopic Structure – cont.
Connective and supportive tissue -
Bone
Connective and supportive tissue -
Bone
Connective and supportive tissuesConnective and supportive tissue -
Bone
Microscopic structure
• The outermost layers of the shaft of a long bone consist of compact bone
arranged as outer circumferential lamellae (2 to 8 thick).
•
• Deep to the outer circumferential lamellae are osteons (Haversian systems)
formed by concentric Iamellae surrounding longitudinally oriented
vascular channels (central canals).
• Internal surfaces of compact bone from adult animals are composed of
inner circumferential lamellae encircling the medullary cavity.
• Lacunae are located between each lamella of the compact bone. Radiating
from the lacunae are the branching canaliculi that penetrate and join
canaliculi of adjacent lamelIae.
• The lacunae and canaliculi form an extensive system of interconnecting
passageways for the transport of nutrients.
Connective and supportive tissue -
Bone
• The central canal (Haversian canal) of each osteon contains capillaries,
lymphatic vessels, and nonmyelinated nerve fibers, all supported by reticular
connective tissue.
• Central canals are connected with each other and with the free surfrce by
transverse or horizontal channels called perforating canal (Volkmann’s canals).
• Most bones are invested with a tough connective tissue layer, the
periosteum having two layers:
an inner osteogenic layer that provides cells necessary to form bone, an
outer fibrous layer - irregularly arranged collagen fibers and blood vessels.
• The vessels branch and enter the perforating canals and ultimately reach the
central canal of the osteons. The cellular layer is more evident in young
animals than in adults. The periosteum is attached firmly to the bone by
bundles of coarse collagen fibers that have been incorporated into the outer
circumferential lamellae of the bone. These fibers are called perforating
(Sharpey’s) fibers.
• A periosteum is absent over surface of hyaline articular cartilage and at sites
where tendons and ligaments insert on bones.
Microscopic structure - conti.
Connective and supportive tissue -
Bone
Connective and supportive tissue -
Bone
Connective and supportive tissues
Connective and supportive tissue -
Bone
Connective and supportive tissues
Connective and supportive tissue -
Bone
Connective and supportive tissue -
Bone
Connective and supportive tissuesConnective and supportive tissue -
Bone
OSTEOGENESIS
• The process of bone formation is called as Ossification.
• Ossification starts in the early embryonic life and continues in the
adulthood
• The bony tissue like all other types of CT, derived from the
mesenchyme
Connective and supportive tissue - Bone
Bones develop from mesenchyme by two methods:
1) Intramembranous Ossification
Mesenchyme is directly converted into bone without any intervening
stage of cartilage formation – may be called as direct method of bone
formation
Flat bones of skull develop by intramembranous method of bone
formation. In addition, maxilla, mandible and clavical bones develop
by this method.
2) Endochondral Ossification
Mesenchyme is first converted into cartilage which serves as a
temporary framework – Indirect method of bone formation
Replacement of the cartilage is a slow process which is not achieved
until the bone has reached its full size and the growth has ceased.
Most of the bones of the body develop by this method of ossification
Connective and supportive tissue - Bone
Intramembranous Ossification
• The process begins in the 2nd month of intrauterine life
• In the areas where bone is to be formed, the mesechyme becomes condensed in the form of
sheet or membrane
• The mesenchymal membrane becomes highly vascularized at several regions by the ingrowth
of capillaries which give rise to profuse networks.
• The mesenchymal cells in the center of the vascularized region gradually differentiate into
osteoblasts, such regions are known as centers of ossification
• The osteeoblasts secrete in each center of ossification a special type of intercellular
substance called as OSTEOID
• OSTEOID IS A SOFT AND PLIABLE HYALINE MATERIAL WHICH CONSISTS OF COLLAGEN FIBERS
EMBEDDED IN AMORPHOUS GROUND SUBSTANCE
• The osteoid represents the organic component of bone matrix
• The osteoid is converted into mature bone matrix ny the deposition of minerals in close
association with collagen fibers
• These minerals mainly Calcium and Phosphorus, are deposited as crystals of calcium
phosphorus which occurs in the form of hydroxyapatite.
• This process which converts osteoid into bone matrix is known as Calcification
Connective and supportive tissue - Bone
• It occurs under the influence of the enzyme alkaline phosphatas
• As the bone formation progresses at several foci, a number of needle like
bone spicules are formed which progressively radiate from each of such
foci
• Initially, bone mass is spongy in nature consisting of spicules and
trabeculae of bone tissue
• Later, spongy bone is replaced by the compact bone as the spaces
between the trabeculae become filled with lamellar bone. Thus, inner
and outer tables of the flat bones are formed.
• Between the tables, the spongy bone remains as diploe, and the spaces
within it form primary marrow cavities which become occupied by bone
marrow
• The entire primordium of the developing bone becomes surrounded by
dense mesenchyme which gives rise to a layer of fibrous CT – THE
PERICHONDRIUM.
Conti….
Intramembranous Ossification
Connective and supportive tissues
Endochondral Ossification
• In the early embryonic life the long bones are represented by small models of
condensed mesenchyme. Soon this mesenchyme is converted into hyaline
cartilage covered by perichondrium
• Following are the two basic events which occur during the intracartilagindus
ossification:
• 1) Destruction and removal of the hyaline cartilage except at the joint surfaces
where it remains as the articular cartilage.
• 2) Formation of bone tissue in the space formerly occupied by the cartilage. This
step is basically similar to the intramembranous ossification i.e., transformation of
mesenchymal cells into osteoblasts, secretion of osteoid tissue by the osteoblasts,
and conversion of osteoid into bone matrix by the deposition of minerals.
• It is important to note that the cartilage is not converted into bone but is
replaced by bone.
• Within each cartilage model of bone an orderly sequence changes occurs with the
appearance of centers of ossification. In a long bone there appear at least three
centers of Ossification. These include: a primary center which is located in the
center of the shaft, and two or more secondary centers, at least one of which is
situated in each of the two ends of the bone.
• The primary center usually appears in the third month of intra-uterine life,
whereas the secondary centers usually appear after birth.
Connective and supportive tissue - Bone
Course of Events in the intracartilaginous ossification
Primary Centers of Ossification
• A vascular bud invades the central region of the shaft of the cartilaginous
model of bone. In this region the chondrocytes, along with their lacunae,
undergo an enlargement in size.
• As the process of lacunar enlargement continues, the enlarging
chondrocytes undergo progressive degeneration and they ultimately die,
leaving their enlarged lacunae vacant.
• The cartilage matrix forming the intervening walls of these lacunae
becomes calcified. Just at the time when these changes are occurring in
the cartilage, the perichondrium around the primary center of
ossification changes its character and becomes periosteum, i.e., the cells
in its inner (cellular) layer transform into osteoblasts.
• These periosteal osteoblasts lay down a peripheral collar of bone in the
same way as in intramembranous ossification (i.e., secretion of osteoid
and its conversion into bone matrix by deposition of minerals).
• This bony collar surrounds the primary center of ossification.
Connective and supportive tissue - Bone
• They bony collar surrounding the walls of empty and
enlarged lacunae of the calcified hyaline cartilage is invaded
by vascular sprouts from the periosteum.
• These sprouts consist of blood capillaries which are
accompanied by mesenchymal cells. These cells continually
divide and transform into osteoclasts.
• The osteoclasts exacavate passages through the bony collar
to pass into the underlying calcified cartilage in the primary
center of ossification.
• These osteoclasts also erode the calcified cartilage matrix
and produce an irregular system of intercommunicating
spaces, known as primary marrow spaces.
• These spaces become filled with embryonic bone marrow.
The delicate walls of the primary marrow spaces (which are
formed of calcified cartilage) become covered with a layer of
osteoblasts.
• These cells lay down osteoid which is soon converted into
bone matrix by the deposition of mineral salts.
Connective and supportive tissue - Bone
• Formation of bone by osteoblasts in the center of ossification is
known as interstitial growth, whereas the deposition of
periosteal layers of the bone is called appositional growth of the
bone.
• With cotinuous deposition of subperiosteal bone, formation of
bone on the walls of the centrally placed lacunae stops and a
process of erosion begins.
• This results in the removal of early spicules of bone and
enlargement and confluence of the primary marrow spaces until
a primitive medullary cavity is produced in the center of the
growing bone.
• The process of ossification gradually spreads from the primary
center of ossification toward the ends of the bone.
• Progressively, the regions adjoining the primary center of
ossification also undergo the above described sequence of
changes and the none formation extends above and below the
primary center.
• That part of long bone which develops from the primary center
of ossification (i.e., the shaft) is known as diaphysis.
Connective and supportive tissue - Bone
Connective and supportive tissues
cartilaginous growth
plate
Secondary Centers of Ossification
• These appear in the cartilaginous ends of the developing bone
and, here also, the cartilage is replaced by bone through the
same sequence of events as described for th primary center
of ossificataion. Those parts of long bone which develop from
secondary centers of ossification (i.e., the ends) are known as
epiphyses.
• The plate of cartilage intervening between the diaphysis and
epiphysis is known as epiphyseal cartilage or growth plate.
This plate. This plate is responsible for he longitudinal growth
of the bone during childhood and early adult age. Sg from
epiphyseal side, following five successive zones can be
recognized in the epiphyseal cartilage:
• Zone of Reserve Cartilage. This is the zone of hyaline cartilage in which the
chondrocytes are arranged as groups.
• Zone of Cell Multiplication. In this zone the cartilage cells divide mitotically
and become aligned in longitudinal columns. It is the continuous mitotic
division of cartilage cells in this zone which is responsible for the
longitudinal growth of the bone.
• Zone of Lacunar Enlargtement and Cellular Hypertrophy. In this zone the
cartilage cells increase in size which corresponding increase in the size of
the lacunae. Later on, the chondrocytes die leaving the enlarged lacunae
vacant.
• Zone of Cartilage Calcification. In this zone the cartilage matrix, forming
the walls of enlarged lacunae, becomes calcified.
• Zone of Cartilage Removal and Bone Deposition. In this zone the vascular
buds from the diaphyseal side approach the epiphyseal cartilage. With
them, they bring osteoblasts and osteoclasts.
• The osteoclasts remove the calcified cartilage and produce bigger spaces.
On the walls of these spaces the osteoblasts align themselves and deposit
osteoid tissue which is converted into bone by deposition of minerals. This
zone, which is the most active region of bone growth, is also known as
metaphysis.
Connective and supportive tissues
Connective and supportive tissue -
Bone
Zone of reserve cartilage
Zone of multiplication
Zone of hypertrophy
Zone of calcification
Osteocytes
Osteoblast
Connective and supportive tissue -
Bone
Zone of multiplication
Zone of hypertrophy
Zone of Calcification
Zone of ossification
Osteoclast
• When adequate size of the bone has been achieved and no
more increase in length is required, the chondrocytes of the
epiphyseal cartilage cease to divide mitotically and very
soon the whole growth plate becomes replaced by bone and
the diaphysis joins the epiphysis. This junction is indicated in
later life by a faint ridge (the epiphyseal line) on the outer
surface of the bone.
Connective and supportive tissues
Connective and supportive tissue -
Bone

Bone

  • 1.
    BONE Connective tissue withcells and fibers embedded in a hard, mineralized substance that is well suited for supportive and protective functions. Connective and Supportive Tissues Connective and supportive tissue - Bone www.TheStuffPoint.Com Abu Bakar Soomro
  • 2.
    Functions – Provides internalsupport for the entire body as well as attachment sites for the muscles and tendons necessary for movement. – Protects the brain and organs in the thoracic cavity and contains the bone marrow within its medullary space. – Functions metabolically by providing a source of calcium to maintain proper blood calcium levels and various growth factors (e.g. transforming growth factor- beta) that play a role in remodeling. – Bone is a dynamic tissue that is renewed and remodeled throughout the life of all mammal. – Its construction is unique because it provides the greatest tensile strength with the least amount of weight of any tissue. Connective and supportive tissue - Bone
  • 3.
    1. Osteoblast –boneforming cells • Responsible for active formation and mineralization of bone matrix. • Columnar to squamous in shape, located on surfaces of bone where new bone deposits. • The nucleus is located in the basal region of the intensely basophilic cytoplasm. The Golgi apparatus and rER are prominent between the nucleus and the secretory surface of the osteoblast. • The cell deposits osteoid (type-1collagen (90%) and proteoglycans), the unmineralized matrix of bone. • Ostecblasts originate from pluripotent mesenchymal stem cells (osteoproginator cells) that also give rise to chondroblasts, fibroblasts, and other cell types. Connective and supportive tissues Bone cells Connective and supportive tissue - Bone
  • 4.
    • Flattened, restingosteoblasts are known as bone lining cells - found on the surfaces of adult trabeculae and compact bone, capable of becoming active osteoblasts when appropriately stimulated. • Osteoblasts have receptors for parathyroid hormone on their surface. When PTH binds to the osteoblast, the cell releases factors that stimulate osteoclastic activity. 1. Osteoblast –bone forming cells Connective and supportive tissue - Bone
  • 5.
  • 6.
    2. Osteocytes –true bone cells • The osteocyte is the principal cell in mature bone and resides in a lacuna surrounded by calcified interstitial matrix. • Numerous long, slender processes extend from the cell body into canaliculi within the matrix to contact adjacent osteocytes. Gap junctions are present at the contact points and provide communication between osteocytes. • The long cellular processes of the osteocyte are able to shorten and lengthen. This activity may serve as a ‘pump” to move fluid through lacunae and canaliculi to transfer metabolites from the surface of the bone. • The organelles of young osteocytes resemble osteoblasts, but as they mature, the Golgi complex and rER are less prominent and lysosomes increase in number. • Osteocytes are essential in presenting bone structure because, upon their death, osteoclasts immediately move to the area and resorb the bone. Therefore, signals from apoptotic osteocytes may be part of a signaling pathway to initiate bone remodeling. Bone cells Connective and supportive tissue - Bone
  • 7.
    Connective and supportivetissues Osteocytes Connective and supportive tissue - Bone
  • 8.
    3. Osteoclast –boneresorbing cells • The osteoclast is a large, multinucleared cell located on the surface of bone (15 to 30 nuclei per cell, 40 to 100 µm in diameter). Occasional mono-nuclear osteoclasts are not easily recognized. • The cytoplasm is acidophilic and contains a small amount of rER, ribosomes, numerous smooth vesicles, and mitochondria. • The activated osteoclast has a ruffled border created by extensive infoldings of the cell membrane that sweep across the bony surface. The cell secretes acid and lysosomal enzymes into this region. The cell membrane immediately adjacent to the ruffled border adheres tightly to the bony surface, thereby scaling the area of active bone resorption. • Osteoclasts are derived from pluripotent stem cells of the bone marrow that also give rise to monocytes and macrophages. Final differentiation to an osteoclast from a circulating monocyte occurs after the cells are recruited to bone resorption sites. At the end of their cell life span, osteoclasts undergo apoptosis. Connective and supportive tissues Bone cells Connective and supportive tissue - Bone
  • 9.
  • 10.
  • 11.
  • 12.
    Bone Matrix • Thematrix of bone is composed of osteoid produced by the osteoblasts. • Mineralization of the osteoid occurs as hydrocrystals are deposited in the osteoid framework. • The organic intercellular substance of bone contains sulfated glycosaminoglycans, glycoproteins, and collagen- Glycoproteins of bone include alkaline phosphatase, osteonectin, osteopontin, and sialoprotein. These glycoproteins are thought to play various roles in bone mineralization. • The inorganic component of bone consists of submicroscopic hydroxyapatite crystals deposited as slender needles within the collagen fibril network. Such an efficient arrangement enhances the tensile strength. • The principal ions in bone salt are Ca, CO3, P04 and OH, and the amounts of Na, Mg, and Fe are substantial. • Bone, thus, is a major storehouse for calcium and phosphorus, which are mobilized whenever they are needed. Connective and supportive tissuesConnective and supportive tissue - Bone
  • 13.
    Structural and FunctionalCharacteristics • Adult bone is distinguished from cartilage by the presence of both a canalicular system and a direct vascular supply. • The growth process of bone also differs from that of cartilage, bone has a unique lacunar-canalicular system for supplying the bone cells with metabolites in a mineralized matrix in which diffusion is not an option. • The canalicular system provides a conduit system for nourishment of the mature osteocytes located deep in the bone, and the extensive capillary supply of bone further enhances the efficiency of the canalicular system. • Unlike cartilage, bone grows by apposition only, because the intercellular substance mineralizes so rapidly. Interstitial growth of bone is not possible. Connective and supportive tissuesConnective and supportive tissue - Bone
  • 14.
    Macroscopic Structure • Anadult long bone (e.g., humerus) consists of - Epiphyses - enlarged ends - Diaphysis - hollow cylindrical shaft - Articular cartilage - thin layer of hyaline cartilage covering epiphyseal ends - The periosteum - vascular fibrous membrane covering ext. surface of bone • Each region of the bone is composed of lamellar bone, but it is arranged differently to best perform its biomechanical function. • The epiphyses have a thin shell of dense bone (subchondral bone) under the articular cartilage. • A network of trabeculae forms spongy bone, which extends from the subchondral bone to form the center of the bone. • The wall of the diaphysis is composed of compact bone, which contains osteons. The inner (medullary) cavity of bone is lined by endosteum and contains adipose tissue or red (hemopoietic) or yellow (adipose) bone marrow, depending on the age of the animal or the region of the bone. Connective and supportive tissue - Bone
  • 15.
    • In thegrowing animal, the diaphysis and epiphysis are separated by the yaline cartilage plate, also referred to as the epiphyseal plate, hresponsible for growth in length of bone. • During the growth process, temporary trabeculae with cartilaginous cores are formed in the metaphysis and later modeled to permanent bony trabeculae. • Upon cessation of growth, the cartilage cells of the epiphyseal plate stop proliferating but bone formation on the metaphyseal side of the physis continues. • A transverse, perforated plate of bone (epiphyseal scar) takes the place of the physis in the skeletally mature animal. Connective and supportive tissues Macroscopic Structure – cont. Connective and supportive tissue - Bone
  • 16.
  • 17.
    Connective and supportivetissuesConnective and supportive tissue - Bone
  • 18.
    Microscopic structure • Theoutermost layers of the shaft of a long bone consist of compact bone arranged as outer circumferential lamellae (2 to 8 thick). • • Deep to the outer circumferential lamellae are osteons (Haversian systems) formed by concentric Iamellae surrounding longitudinally oriented vascular channels (central canals). • Internal surfaces of compact bone from adult animals are composed of inner circumferential lamellae encircling the medullary cavity. • Lacunae are located between each lamella of the compact bone. Radiating from the lacunae are the branching canaliculi that penetrate and join canaliculi of adjacent lamelIae. • The lacunae and canaliculi form an extensive system of interconnecting passageways for the transport of nutrients. Connective and supportive tissue - Bone
  • 19.
    • The centralcanal (Haversian canal) of each osteon contains capillaries, lymphatic vessels, and nonmyelinated nerve fibers, all supported by reticular connective tissue. • Central canals are connected with each other and with the free surfrce by transverse or horizontal channels called perforating canal (Volkmann’s canals). • Most bones are invested with a tough connective tissue layer, the periosteum having two layers: an inner osteogenic layer that provides cells necessary to form bone, an outer fibrous layer - irregularly arranged collagen fibers and blood vessels. • The vessels branch and enter the perforating canals and ultimately reach the central canal of the osteons. The cellular layer is more evident in young animals than in adults. The periosteum is attached firmly to the bone by bundles of coarse collagen fibers that have been incorporated into the outer circumferential lamellae of the bone. These fibers are called perforating (Sharpey’s) fibers. • A periosteum is absent over surface of hyaline articular cartilage and at sites where tendons and ligaments insert on bones. Microscopic structure - conti. Connective and supportive tissue - Bone
  • 20.
  • 21.
    Connective and supportivetissues Connective and supportive tissue - Bone
  • 22.
    Connective and supportivetissues Connective and supportive tissue - Bone
  • 23.
  • 24.
    Connective and supportivetissuesConnective and supportive tissue - Bone
  • 25.
    OSTEOGENESIS • The processof bone formation is called as Ossification. • Ossification starts in the early embryonic life and continues in the adulthood • The bony tissue like all other types of CT, derived from the mesenchyme Connective and supportive tissue - Bone
  • 26.
    Bones develop frommesenchyme by two methods: 1) Intramembranous Ossification Mesenchyme is directly converted into bone without any intervening stage of cartilage formation – may be called as direct method of bone formation Flat bones of skull develop by intramembranous method of bone formation. In addition, maxilla, mandible and clavical bones develop by this method. 2) Endochondral Ossification Mesenchyme is first converted into cartilage which serves as a temporary framework – Indirect method of bone formation Replacement of the cartilage is a slow process which is not achieved until the bone has reached its full size and the growth has ceased. Most of the bones of the body develop by this method of ossification Connective and supportive tissue - Bone
  • 27.
    Intramembranous Ossification • Theprocess begins in the 2nd month of intrauterine life • In the areas where bone is to be formed, the mesechyme becomes condensed in the form of sheet or membrane • The mesenchymal membrane becomes highly vascularized at several regions by the ingrowth of capillaries which give rise to profuse networks. • The mesenchymal cells in the center of the vascularized region gradually differentiate into osteoblasts, such regions are known as centers of ossification • The osteeoblasts secrete in each center of ossification a special type of intercellular substance called as OSTEOID • OSTEOID IS A SOFT AND PLIABLE HYALINE MATERIAL WHICH CONSISTS OF COLLAGEN FIBERS EMBEDDED IN AMORPHOUS GROUND SUBSTANCE • The osteoid represents the organic component of bone matrix • The osteoid is converted into mature bone matrix ny the deposition of minerals in close association with collagen fibers • These minerals mainly Calcium and Phosphorus, are deposited as crystals of calcium phosphorus which occurs in the form of hydroxyapatite. • This process which converts osteoid into bone matrix is known as Calcification Connective and supportive tissue - Bone
  • 28.
    • It occursunder the influence of the enzyme alkaline phosphatas • As the bone formation progresses at several foci, a number of needle like bone spicules are formed which progressively radiate from each of such foci • Initially, bone mass is spongy in nature consisting of spicules and trabeculae of bone tissue • Later, spongy bone is replaced by the compact bone as the spaces between the trabeculae become filled with lamellar bone. Thus, inner and outer tables of the flat bones are formed. • Between the tables, the spongy bone remains as diploe, and the spaces within it form primary marrow cavities which become occupied by bone marrow • The entire primordium of the developing bone becomes surrounded by dense mesenchyme which gives rise to a layer of fibrous CT – THE PERICHONDRIUM. Conti…. Intramembranous Ossification
  • 30.
  • 31.
    Endochondral Ossification • Inthe early embryonic life the long bones are represented by small models of condensed mesenchyme. Soon this mesenchyme is converted into hyaline cartilage covered by perichondrium • Following are the two basic events which occur during the intracartilagindus ossification: • 1) Destruction and removal of the hyaline cartilage except at the joint surfaces where it remains as the articular cartilage. • 2) Formation of bone tissue in the space formerly occupied by the cartilage. This step is basically similar to the intramembranous ossification i.e., transformation of mesenchymal cells into osteoblasts, secretion of osteoid tissue by the osteoblasts, and conversion of osteoid into bone matrix by the deposition of minerals. • It is important to note that the cartilage is not converted into bone but is replaced by bone. • Within each cartilage model of bone an orderly sequence changes occurs with the appearance of centers of ossification. In a long bone there appear at least three centers of Ossification. These include: a primary center which is located in the center of the shaft, and two or more secondary centers, at least one of which is situated in each of the two ends of the bone. • The primary center usually appears in the third month of intra-uterine life, whereas the secondary centers usually appear after birth. Connective and supportive tissue - Bone
  • 33.
    Course of Eventsin the intracartilaginous ossification Primary Centers of Ossification • A vascular bud invades the central region of the shaft of the cartilaginous model of bone. In this region the chondrocytes, along with their lacunae, undergo an enlargement in size. • As the process of lacunar enlargement continues, the enlarging chondrocytes undergo progressive degeneration and they ultimately die, leaving their enlarged lacunae vacant. • The cartilage matrix forming the intervening walls of these lacunae becomes calcified. Just at the time when these changes are occurring in the cartilage, the perichondrium around the primary center of ossification changes its character and becomes periosteum, i.e., the cells in its inner (cellular) layer transform into osteoblasts. • These periosteal osteoblasts lay down a peripheral collar of bone in the same way as in intramembranous ossification (i.e., secretion of osteoid and its conversion into bone matrix by deposition of minerals). • This bony collar surrounds the primary center of ossification. Connective and supportive tissue - Bone
  • 35.
    • They bonycollar surrounding the walls of empty and enlarged lacunae of the calcified hyaline cartilage is invaded by vascular sprouts from the periosteum. • These sprouts consist of blood capillaries which are accompanied by mesenchymal cells. These cells continually divide and transform into osteoclasts. • The osteoclasts exacavate passages through the bony collar to pass into the underlying calcified cartilage in the primary center of ossification. • These osteoclasts also erode the calcified cartilage matrix and produce an irregular system of intercommunicating spaces, known as primary marrow spaces. • These spaces become filled with embryonic bone marrow. The delicate walls of the primary marrow spaces (which are formed of calcified cartilage) become covered with a layer of osteoblasts. • These cells lay down osteoid which is soon converted into bone matrix by the deposition of mineral salts. Connective and supportive tissue - Bone
  • 36.
    • Formation ofbone by osteoblasts in the center of ossification is known as interstitial growth, whereas the deposition of periosteal layers of the bone is called appositional growth of the bone. • With cotinuous deposition of subperiosteal bone, formation of bone on the walls of the centrally placed lacunae stops and a process of erosion begins. • This results in the removal of early spicules of bone and enlargement and confluence of the primary marrow spaces until a primitive medullary cavity is produced in the center of the growing bone. • The process of ossification gradually spreads from the primary center of ossification toward the ends of the bone. • Progressively, the regions adjoining the primary center of ossification also undergo the above described sequence of changes and the none formation extends above and below the primary center. • That part of long bone which develops from the primary center of ossification (i.e., the shaft) is known as diaphysis. Connective and supportive tissue - Bone
  • 37.
  • 38.
  • 39.
    Secondary Centers ofOssification • These appear in the cartilaginous ends of the developing bone and, here also, the cartilage is replaced by bone through the same sequence of events as described for th primary center of ossificataion. Those parts of long bone which develop from secondary centers of ossification (i.e., the ends) are known as epiphyses. • The plate of cartilage intervening between the diaphysis and epiphysis is known as epiphyseal cartilage or growth plate. This plate. This plate is responsible for he longitudinal growth of the bone during childhood and early adult age. Sg from epiphyseal side, following five successive zones can be recognized in the epiphyseal cartilage:
  • 40.
    • Zone ofReserve Cartilage. This is the zone of hyaline cartilage in which the chondrocytes are arranged as groups. • Zone of Cell Multiplication. In this zone the cartilage cells divide mitotically and become aligned in longitudinal columns. It is the continuous mitotic division of cartilage cells in this zone which is responsible for the longitudinal growth of the bone. • Zone of Lacunar Enlargtement and Cellular Hypertrophy. In this zone the cartilage cells increase in size which corresponding increase in the size of the lacunae. Later on, the chondrocytes die leaving the enlarged lacunae vacant. • Zone of Cartilage Calcification. In this zone the cartilage matrix, forming the walls of enlarged lacunae, becomes calcified. • Zone of Cartilage Removal and Bone Deposition. In this zone the vascular buds from the diaphyseal side approach the epiphyseal cartilage. With them, they bring osteoblasts and osteoclasts. • The osteoclasts remove the calcified cartilage and produce bigger spaces. On the walls of these spaces the osteoblasts align themselves and deposit osteoid tissue which is converted into bone by deposition of minerals. This zone, which is the most active region of bone growth, is also known as metaphysis.
  • 41.
  • 42.
    Connective and supportivetissue - Bone Zone of reserve cartilage Zone of multiplication Zone of hypertrophy Zone of calcification Osteocytes Osteoblast
  • 43.
    Connective and supportivetissue - Bone Zone of multiplication Zone of hypertrophy Zone of Calcification Zone of ossification Osteoclast
  • 44.
    • When adequatesize of the bone has been achieved and no more increase in length is required, the chondrocytes of the epiphyseal cartilage cease to divide mitotically and very soon the whole growth plate becomes replaced by bone and the diaphysis joins the epiphysis. This junction is indicated in later life by a faint ridge (the epiphyseal line) on the outer surface of the bone.
  • 45.
  • 46.