BỆNH LÝ GAN
Ths Bs Huỳnh Ngọc Linh
BM MÔ – GPB KHOA Y ĐHQG
BM GPB – TRƯỜNG ĐH YK PNT
Lý thuyết Giải Phẫu Bệnh - 2014
BỆNH LÝ GAN
MỞ ĐẦU: GiẢI PHẪU, MÔ HỌC, TẾ BÀO Ở GAN. SINH LÝ GAN
GiỚI THIỆU CÁC LOẠI BỆNH GAN
VIÊM GAN SIÊU VI
- Virus : A,B,C,D,E
- Viêm gan cấp – mãn – tối cấp
TỔN THƯƠNG GAN DO RƯỢU
TỔN THƯƠNG GAN DO DƯỢC PHẨM – HÓA CHẤT
TỔN THƯƠNG GAN DO Ứ MẬT
TỔN THƯƠNG DO RỐI LOẠN HUYẾT ĐỘNG
XƠ GAN
U GAN: LÀNH - ÁC
và mặt sau - trong
XÉT NGHIỆM CHỨC NĂNG GAN
CHẨN ĐOÁN HÌNH ẢNH HỌC
- aspartate aminotransferase (AST) = serum glutamic oxaloacetic
transaminase (SGOT);
- alanine aminotransferase (ALT) = serum glutamic pyruvic
transaminase (SGPT).
BỆNH SỐT RÉT
ÁP XE GAN DO AMÍP
(Entameba histolytica)
NHIỄM SÁN CHÓ (Echinococcus granulosus)
Tổn thƣơng gan do sán
máng. Nhiễm Schistosoma
japonicum mãn tính ở gan
dẫn đến xơ hóa dạng ống
tẩu thuốc ("pipestem“) đặc
trƣng
.
Hepatic schistosomiasis. A hepatic granuloma surrounds
a degenerating egg of Schistosoma mansoni.
VIÊM HẠT Ở GAN DO TRỨNG THOÁI HÓA CỦA S. mansoni
GAN NHIỄM SÁN Clonorchis sinensis
lòng ống mật có sán trƣởng thành,
lớp niêm mạc tăng sản
Ống mật dày nhiều và dãn rộng
do chứa sán trƣởng thành
Sán lá gan lớn
(Fasciola hepatica và
Fasciola gigantica)
là một bệnh sán lá truyền từ
động vật sang người, trước
đây chỉ xem người là vật chủ
tình cờ thì nay người lại là vật
chủ dần thích nghi và vì thế
bệnh vốn dĩ là căn bệnh bị
lãng quên nay thành bệnh
quan trọng toàn cầu
(WHO, 2010).
VIÊM GAN TỰ MIỄN
BỆNH HEMOCHROMATOSIS
VIÊM GAN SIÊU VI A
BỆNH NHÂN SUY GAN, CỦNG MẠC MẮT VÀNG
Electron micrograph of
hepatitis A virus ( HAV).
A fecal extract was treated with
convalescent serum containing
anti-HAV.
Teá baøo gan daïng "kính môø" HBsAg dƣơng tính ở bào tƣơng tế bào
gan (màu đỏ).
Hoại tử lan
rộng với các
ổ tái tạo
trong viêm
gan tiến
triển đến
suy gan
trong vài
tuần.
Các vùng có
các nốt vàng
nâu tiêu biểu
cho ổ tái tạo,
và các vùng
màu đỏ
đại diện cho
hoại tử lan
rộng không
có tế bào
gan còn lại.
VIÊM GAN SIÊU VI
CẤP GIAI ĐOẠN CÓ
NỐT TÁI TẠO
VGSV B mạn tính - xơ gan nốt lớn
VGSV C mạn tính - xơ gan - HCC
Xơ gan nốt
nhỏ < 3mm
ổ ung thƣ tế bào gan
TỔN
THƢƠNG
GAN DO
RƢỢU
(Alcoholic
liver
disease)
Các hình ảnh
vi thể của viêm
gan do gan
rƣợu
TỔN
THƢƠNG
GAN DO
DƢỢC
PHẨM
VÀ HOÁ
CHẤT
TỔN THƢƠNG GAN DO Ứ MẬT
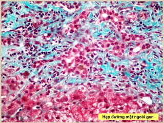
Hẹp đƣờng mật ngoài gan
TỔN THƢƠNG GAN DO RỐI LOẠN HUYẾT ĐỘNG HỌC
CARCINOMA TẾ BÀO GAN – ĐẠI THỂ - VI THỂ
CARCINOMA TUYẾN ĐƢỜNG MẬT TRONG GAN
CARCINOMA TUYẾN ĐẠI TRÀNG DI CĂN GAN,
TỔN THƢƠNG ĐA Ổ, Ở CẢ 2 THÙY GAN
BỆNH LÝ GAN
BỆNH LÝ GAN
BỆNH LÝ GAN
BỆNH LÝ GAN
BỆNH LÝ GAN

BỆNH LÝ GAN

  • 1.
    BỆNH LÝ GAN ThsBs Huỳnh Ngọc Linh BM MÔ – GPB KHOA Y ĐHQG BM GPB – TRƯỜNG ĐH YK PNT Lý thuyết Giải Phẫu Bệnh - 2014
  • 2.
    BỆNH LÝ GAN MỞĐẦU: GiẢI PHẪU, MÔ HỌC, TẾ BÀO Ở GAN. SINH LÝ GAN GiỚI THIỆU CÁC LOẠI BỆNH GAN VIÊM GAN SIÊU VI - Virus : A,B,C,D,E - Viêm gan cấp – mãn – tối cấp TỔN THƯƠNG GAN DO RƯỢU TỔN THƯƠNG GAN DO DƯỢC PHẨM – HÓA CHẤT TỔN THƯƠNG GAN DO Ứ MẬT TỔN THƯƠNG DO RỐI LOẠN HUYẾT ĐỘNG XƠ GAN U GAN: LÀNH - ÁC
  • 3.
  • 9.
    XÉT NGHIỆM CHỨCNĂNG GAN CHẨN ĐOÁN HÌNH ẢNH HỌC - aspartate aminotransferase (AST) = serum glutamic oxaloacetic transaminase (SGOT); - alanine aminotransferase (ALT) = serum glutamic pyruvic transaminase (SGPT).
  • 11.
  • 12.
    ÁP XE GANDO AMÍP (Entameba histolytica)
  • 13.
    NHIỄM SÁN CHÓ(Echinococcus granulosus)
  • 14.
    Tổn thƣơng gando sán máng. Nhiễm Schistosoma japonicum mãn tính ở gan dẫn đến xơ hóa dạng ống tẩu thuốc ("pipestem“) đặc trƣng .
  • 15.
    Hepatic schistosomiasis. Ahepatic granuloma surrounds a degenerating egg of Schistosoma mansoni. VIÊM HẠT Ở GAN DO TRỨNG THOÁI HÓA CỦA S. mansoni
  • 17.
    GAN NHIỄM SÁNClonorchis sinensis lòng ống mật có sán trƣởng thành, lớp niêm mạc tăng sản Ống mật dày nhiều và dãn rộng do chứa sán trƣởng thành
  • 18.
    Sán lá ganlớn (Fasciola hepatica và Fasciola gigantica) là một bệnh sán lá truyền từ động vật sang người, trước đây chỉ xem người là vật chủ tình cờ thì nay người lại là vật chủ dần thích nghi và vì thế bệnh vốn dĩ là căn bệnh bị lãng quên nay thành bệnh quan trọng toàn cầu (WHO, 2010).
  • 20.
  • 22.
  • 24.
  • 25.
    BỆNH NHÂN SUYGAN, CỦNG MẠC MẮT VÀNG
  • 26.
    Electron micrograph of hepatitisA virus ( HAV). A fecal extract was treated with convalescent serum containing anti-HAV.
  • 37.
    Teá baøo gandaïng "kính môø" HBsAg dƣơng tính ở bào tƣơng tế bào gan (màu đỏ).
  • 39.
    Hoại tử lan rộngvới các ổ tái tạo trong viêm gan tiến triển đến suy gan trong vài tuần. Các vùng có các nốt vàng nâu tiêu biểu cho ổ tái tạo, và các vùng màu đỏ đại diện cho hoại tử lan rộng không có tế bào gan còn lại. VIÊM GAN SIÊU VI CẤP GIAI ĐOẠN CÓ NỐT TÁI TẠO
  • 42.
    VGSV B mạntính - xơ gan nốt lớn
  • 43.
    VGSV C mạntính - xơ gan - HCC Xơ gan nốt nhỏ < 3mm ổ ung thƣ tế bào gan
  • 45.
  • 47.
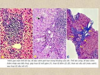
    Các hình ảnh vithể của viêm gan do gan rƣợu
  • 50.
  • 53.
    TỔN THƢƠNG GANDO Ứ MẬT
  • 55.
  • 56.
    TỔN THƢƠNG GANDO RỐI LOẠN HUYẾT ĐỘNG HỌC
  • 67.
    CARCINOMA TẾ BÀOGAN – ĐẠI THỂ - VI THỂ
  • 68.
  • 70.
    CARCINOMA TUYẾN ĐẠITRÀNG DI CĂN GAN, TỔN THƢƠNG ĐA Ổ, Ở CẢ 2 THÙY GAN