HÌNH ẢNH CLVT BỆNH LÝ
     GAN LAN TỎA
     BSNT. TRẦN VĂN LƯỢNG
     BSNT. NGUYỄN TỐ NGÂN
PHÂN LOẠI


1. Nhóm bệnh lý liên quan đến chuyển hóa.

    2. Nhóm bệnh lý liên quan mạch máu.

        3. Nhóm bệnh lý nhiễm trùng gan.

                   4. Xơ gan ( cirrhosis ).
PHÂN LOẠI

1. Nhóm bệnh lý liên quan đến chuyển hóa:
      - Gan nhiễm mỡ.
      - Bệnh Wilson.
      - Một số bệnh lý khác:
             + Gan nhiễm sắt.
             + Thoái hóa dạng tinh bột ở gan.
             + Bệnh dự trữ glycogen ở gan.
PHÂN LOẠI

2. Bệnh lý liên quan đến mạch máu:
      - Bệnh lý TM gan:
             + Huyết khối TMC.
             + Cavernoma TMC.        Tăng áp lực tĩnh mạch cửa
      - HC Budd-Chiari.
      - Bệnh lý gan do suy tim.
      - Bệnh lý ĐM gan:
             + Tắc ĐM gan.
             + Nhồi máu gan.
             + Phình ĐM gan.
PHÂN LOẠI

3. Bệnh lý nhiễm trùng:
      - Viêm gan virus.
      - U hạt ở gan.
      - Nấm gan.
4. Xơ gan:
      Là hậu quả của nhiều quá trình bệnh lý khác nhau.
BỆNH LÝ LIÊN QUAN ĐẾN
    CHUYỂN HÓA
       (Storage Diseases)
GAN NHIỄM MỠ
Đặc điểm chung

- Lắng đọng triglycerid và cholesterol trong tế bào gan.
- Rải rác, khu trú hoặc lan tỏa.
- Yếu tố nguy cơ:
       + Uống rượu.
       + Béo phì.
       + ĐTĐ type II.
       + RL lipid máu.
Sinh lý bệnh học

- Gan nhiễm mỡ không có TCLS, chủ yếu phát hiện tình cờ.
- Gan nhiễm mỡ nặng còn gọi là gan nhiễm mỡ bệnh lý, có 4gđ:
       + Gan nhiễm mỡ không viêm.
       + Gan nhiễm mỡ có viêm.
       + Xơ hóa.
       + Xơ gan.
Vùng đốm trắng là vùng gan nhiễm mỡ và vi thể các tế bào gan
Hình ảnh trên CLVT

- Trước tiêm, tỷ trọng gan < tỷ trọng lách 10 HU.
- Các mạch máu trong gan hiện rõ.
- Sau tiêm, tỷ trọng gan < tỷ trọng lách 25HU or < tỷ trọng cơ.
- Gan nhiễm mỡ khu trú:
       + Thường ở HPT IV, cạnh dây chằng liềm.
       + Vùng nhiễm mỡ lan đến ngoại vi sát bao gan.
       + Không làm biến đổi bờ gan,
       + Không biến đổi cấu trúc mạch máu đi qua.
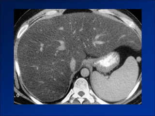
Fatty infiltration of the liver parenchyma in a 46-year-old woman with ovarian cancer who was
                                         undergoing chemotherapy.




©2009 by Radiological Society of North America   Boll D T , Merkle E M Radiographics 2009;29:1591-1614
Fatty infiltration of the liver parenchyma in a 46-year-old woman with ovarian cancer who was
                                         undergoing chemotherapy.




©2009 by Radiological Society of North America   Boll D T , Merkle E M Radiographics 2009;29:1591-1614
Gan nhiễm mỡ khu trú
Gan nhiễm mỡ khu trú
BỆNH LÝ CHUYẾN HÓA KHÁC
Histologically proved Wilson disease in a 41-year-old man.




©2009 by Radiological Society of North America   Boll D T , Merkle E M Radiographics 2009;29:1591-1614
Thoái hóa dạng tinh bột ở gan và lách
BỆNH LÝ MẠCH MÁU GAN
     (Hepatic Vascular Diseases)
TĂNG ÁP LỰC TĨNH MẠCH CỬA
Đặc điểm chung

- Khí áp lực TMC >15mmHg và chênh áp cửa – chủ > 5mmHg.
- Hình thành hệ thống vòng nối cửa – chủ.
       + Vòng nối qua TM lách.
       + Vòng nối qua TM vành vị.
       + Vòng nối qua TM thực quản.
       + Vòng nối qua TM trực tràng dưới.
       + Vòng nối qua TM rốn.
Nguyên nhân

Có 3 nhóm nguyên nhân
- Trước gan: HK TMC hoặc chèn ép TM cửa.
       + HCC, ung thư BM tuyến của tụy, sau PT cắt lách.
       + Có thể gặp trong chấn thương, NT huyết, can thiệp…
- Tại gan:
       + Xơ gan.
       + Sarcoidose, amylosis, bệnh máu ác tĩnh ở gan.
- Sau gan:
       + HC Budd-Chiari.
Hình ảnh trên CLVT
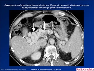
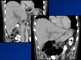
Cavernous transformation of the portal vein in a 57-year-old man with a history of recurrent
                       acute pancreatitis and benign portal vein thrombosis.




©2011 by Radiological Society of North America   Lee W et al. Radiographics 2011;31:905-926
Tăng áp lực TMC
Dấu hiệu tăng ALTMC
Dấu hiệu tăng ALTMC
Tăng áp lực TMC
Dấu hiệu tăng ALTMC
Dấu hiệu tăng ALTMC– giả hạch mạc treo
HỘI CHỨNG BUDD-CHIARI
Đặc điểm chung

- Bệnh lý này được đặc trưng bởi tăng áp lực TMC và lách to
 do tắc nghẽn các tĩnh mạch dẫn lưu của gan.
- Nguyên nhân:
       + Xơ gan.
       + HCC.
       + Bệnh lý Hodgkin.
       + Viêm màng ngoài tim.
Phân loại

- Có 3 type trong HC Budd-Chiari:
       + Type I      (HK gây tắc TMCD).
       + Type II     (HK gây tắc các TM trên gan).
       + Type III    (HK gây tắc các TM trung tâm tiểu thùy).
Mô bệnh học
Vai trò của chẩn đoán hình ảnh

- Chẩn đoán xác định.
- Chẩn đoán nguyên nhân.
- Chẩn đoán phân loại.
- Đánh giá tình trạng tuần hoàn bàng hệ.
- Đưa ra chiến lược điều trị.
Hình ảnh trên CLVT

- Teo gan ở ngoại vi.
- Phì đại thùy gan trung tâm - phân thùy đuôi.
- Tuần hoàn bàng hệ qua hệ cửa.
- Huyết khối TM cửa – TM dẫn lưu.
- Các shunt mạch máu trong gan.
Figure 2a. Large regenerative nodules in a 34-year-old woman with subacute (25 days) Budd-Chiari
                           syndrome due to factor V Leiden deficiency.




©2002 by Radiological Society of North America   Brancatelli G et al. Radiographics 2002;22:847-862
Figure 3a. Large regenerative nodules in a 31-year-old woman with Budd-Chiari syndrome of
                                         unknown origin.




©2002 by Radiological Society of North America
                                                 Brancatelli G et al. Radiographics 2002;22:847-862
Figure 3a. Large regenerative nodules in a 31-year-old woman with Budd-Chiari syndrome of
                                         unknown origin.




©2002 by Radiological Society of North America
                                                 Brancatelli G et al. Radiographics 2002;22:847-862
Figure 4a. Large regenerative nodules in a 27-year-old woman with chronic (2 years) Budd-Chiari
                                            syndrome.




©2002 by Radiological Society of North America   Brancatelli G et al. Radiographics 2002;22:847-862
BỆNH LÝ NHIỄM TRÙNG GAN
VIÊM GAN VIRUS
Đặc điểm chung

- Chủ yếu là viêm gan do virus, gồm 6 type (A,B,C,D,F,G).
- Về mặt mô bệnh học, gồm các quá trình
       + Hoại tử tế bào gan vùng quanh cửa nhiều mức độ.
       + Chuyển dạng tế bào Kuppffer.
       + Viêm cửa của tương bào.
- Phân loại
       + Cấp tính (<6 tháng).
       + Mạn tính (>6 tháng).
Hình ảnh trên CLVT

- Gan to, phù nền ở ngoại vi và bao gan.
- Trước tiêm, tỷ trọng nhu mô gan không đồng nhất, bằng
 hoặc thấp hơn tỷ trọng lách.
- Sau tiêm, có vùng ngấm thuốc không đồng nhất.
- Phù nề quanh các nhánh TMC.
- Viêm gan mạn thường gây hậu quả xơ gan – bụng ascite và
 lách to.
Acute viral hepatitis in a 39-year-old man.




©2009 by Radiological Society of North America      Boll D T , Merkle E M Radiographics 2009;29:1591-1614
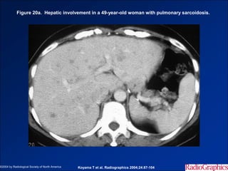
U HẠT Ở GAN
Đặc điểm chung

- Cơ chế bệnh sinh chưa được biết rõ nhưng thường có liên
 quan đến viêm xơ đường mật nguyên phát.
- Tổn thương nhiều cơ quan khác trong ổ bụng.
Hình ảnh trên CLVT

- Trước tiêm, nhiều ổ giảm tỷ trọng trong nhu mô gan và lách.
- Gan – lách to.
- Hạch ổ bụng.
- Sau tiêm, các ổ tổn thương đồng tỷ trọng với nhu mô gan.
Figure 20a. Hepatic involvement in a 49-year-old woman with pulmonary sarcoidosis.




©2004 by Radiological Society of North America   Koyama T et al. Radiographics 2004;24:87-104
NẤM GAN
Đặc điểm chung

- Chủ yếu là do Candida Albicans.
- Trên cơ địa suy giảm miễn dịch.
- Thường gây viêm đường mật tạo thành nhiều microabcess.
Hình ảnh trên CLVT

- Nhiều ổ giảm tỷ trọng trong nhu mô gan.
- Tròn hoặc bầu dục.
- Ranh giới rõ.
- Không ngấm thuốc sau tiêm.
- Có thể có vôi hóa rải rác (giai đoạn phục hồi).
XƠ GAN – CIRRHOSIS
Định nghĩa

Xơ gan là hậu quả của nhiều quá trình bệnh lý, được đặc trưng
bởi quá trình xơ hóa lan tỏa toàn bộ nhu mô gan:
       + Đảo lộn cấu trúc của gan.
       + Hình thành các nốt tân tạo.
Nguyên nhân

- Thường gặp:
      + Rượu.
      + Virus (B, C, D).
      + Xơ gan mật.
- Hiếm gặp:
      + Viêm gan tự miễn.
      + Bệnh gan tim.
      + HC Budd-chiari.
      + Một sộ bệnh di truyền (Wilson – Rendu Osler..)
Mô bệnh học
Sinh lý bệnh học

- Tăng áp lực tĩnh mạch cửa:
       + Lách to.
       + Tuần hoàn bàng hệ.
       + XHTH.
- Suy tế bào gan:
       + Vàng da.
       + BL não gan.
       + Nhiễm trùng.
- Ung thư biểu mô tế bào gan.
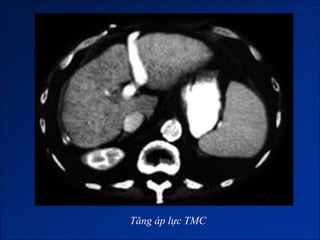
Hình ảnh trên CLVT

- Giai đoạn sớm:
      + Gan to.
      + Tăng tỷ trọng do xơ hóa.
- Giai đoạn muộn:
      + Gan biến đổi hình thái và đường bờ.
      + Dấu hiệu tăng ALTMC.
      + Dấu hiệu khác:
             Dịch ascite – Lách to – Dày thành TM.
             Nốt tân tạo.
             Biến chứng (HCC).
Figure 1. Transverse contrast material-enhanced gradient-echo MR image (120/2.3, 90° flip angle)
                                       shows method of obtaining the C/RL.




©2002 by Radiological Society of North America   Awaya H et al. Radiology 2002;224:769-774
HPT I / Gan trái < 0,35
HPT I / Gan phải > 0,65
1. Gan biến đổi hình thái và đường bờ
1. Gan biến đổi hình thái và đường bờ
1. Gan biến đổi hình thái và đường bờ (thể nốt lớn)
1. Gan biến đổi hình thái và đường bờ (thể nốt nhỏ)
2. Dấu hiệu tăng ALTMC
2. Dấu hiệu tăng ALTMC
2. Dấu hiệu tăng ALTMC
2. Dấu hiệu tăng ALTMC
2. Dấu hiệu tăng ALTMC
2. Dấu hiệu tăng ALTMC
2. Dấu hiệu tăng ALTMC
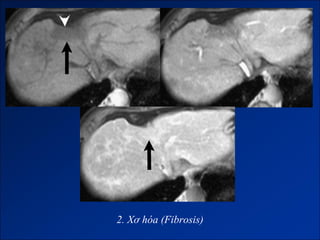
Vấn đề trong chẩn đoán xơ gan

1. Bệnh lý giả xơ gan (Micmic cirrhosis).
2. Xơ hóa trong gan xơ (Fibriosis).
3. Nốt tân tạo (Regeneration nodule).
4. Ung thư biểu mô tế bào gan (HCC).
5. U máu trong xơ gan (Hemangioma).
1. Bệnh lý giả xơ gan
1. Bệnh lý giả xơ gan
2. Xơ hóa (Fibrosis)
3. Nốt tân tạo
—Small hepatocellular carcinoma on dynamic contrast-enhanced CT in 49-year-old man.




         4. HCC/Xơ gan

©2005 by American Roentgen Ray Society   Jeong Y Y et al. AJR 2005;185:1024-1032
Multifocal hepatocellular carcinoma on dual-phase CT in 74-year-old man.




                                                  4. HCC/Xơ gan

©2005 by American Roentgen Ray Society
                                         Jeong Y Y et al. AJR 2005;185:1024-1032
—Hepatocellular carcinoma with portal vein thrombosis in 69-year-old man.




           4. HCC/Xơ gan



©2005 by American Roentgen Ray Society   Jeong Y Y et al. AJR 2005;185:1024-1032
U máu trên gan xơ – T2W.
Chiến lược chẩn đoán

 Việc phát hiện tổn thương HCC/Xơ gan sẽ làm thay đổi hoàn toàn
tiên lượng và góp phần quan trọng trong xác định chiến lược điều trị.
       - Theo dõi siêu âm 6-12 tháng / 1 lần hoặc ít hơn.
       - Nếu có tổn thương:
              + <2cm (Biopsy(-) thì theo dõi tiếp).
              + >2cm (Washout trên CLVT hoặc CHT)
       - Nếu biến chứng HCC: RF – Hóa chất – Phẫu thuật.


     “ EASL – Europe Association for the Study of the Liver ”
Tài liệu tham khảo

1. “Diffuse Liver Disease: Strategies for Hepatic CT and MR
   Imaging”. Daniel T. Boll, MD and Elmar M.Merkle, MD.
2. “Diffuse disease of the liver: Radiologic-pathological correlation”.
  Patricia J.Mergo, MD. Pablo R.Ros, MD. Peter C.Buetow, MD.
  James L. Buck, MD.
3. “Cirrhosis: CT and MR evaluation”. Giuseppe Brancatelli, Michael
  P.Federle and etc.
Nhóm BSNT - Khoa CĐHA BV. Việt Đức 01/2013

CDHA benh ly gan lan toa

  • 1.
    HÌNH ẢNH CLVTBỆNH LÝ GAN LAN TỎA BSNT. TRẦN VĂN LƯỢNG BSNT. NGUYỄN TỐ NGÂN
  • 2.
    PHÂN LOẠI 1. Nhómbệnh lý liên quan đến chuyển hóa. 2. Nhóm bệnh lý liên quan mạch máu. 3. Nhóm bệnh lý nhiễm trùng gan. 4. Xơ gan ( cirrhosis ).
  • 3.
    PHÂN LOẠI 1. Nhómbệnh lý liên quan đến chuyển hóa: - Gan nhiễm mỡ. - Bệnh Wilson. - Một số bệnh lý khác: + Gan nhiễm sắt. + Thoái hóa dạng tinh bột ở gan. + Bệnh dự trữ glycogen ở gan.
  • 4.
    PHÂN LOẠI 2. Bệnhlý liên quan đến mạch máu: - Bệnh lý TM gan: + Huyết khối TMC. + Cavernoma TMC. Tăng áp lực tĩnh mạch cửa - HC Budd-Chiari. - Bệnh lý gan do suy tim. - Bệnh lý ĐM gan: + Tắc ĐM gan. + Nhồi máu gan. + Phình ĐM gan.
  • 5.
    PHÂN LOẠI 3. Bệnhlý nhiễm trùng: - Viêm gan virus. - U hạt ở gan. - Nấm gan. 4. Xơ gan: Là hậu quả của nhiều quá trình bệnh lý khác nhau.
  • 6.
    BỆNH LÝ LIÊNQUAN ĐẾN CHUYỂN HÓA (Storage Diseases)
  • 7.
  • 8.
    Đặc điểm chung -Lắng đọng triglycerid và cholesterol trong tế bào gan. - Rải rác, khu trú hoặc lan tỏa. - Yếu tố nguy cơ: + Uống rượu. + Béo phì. + ĐTĐ type II. + RL lipid máu.
  • 9.
    Sinh lý bệnhhọc - Gan nhiễm mỡ không có TCLS, chủ yếu phát hiện tình cờ. - Gan nhiễm mỡ nặng còn gọi là gan nhiễm mỡ bệnh lý, có 4gđ: + Gan nhiễm mỡ không viêm. + Gan nhiễm mỡ có viêm. + Xơ hóa. + Xơ gan.
  • 10.
    Vùng đốm trắnglà vùng gan nhiễm mỡ và vi thể các tế bào gan
  • 11.
    Hình ảnh trênCLVT - Trước tiêm, tỷ trọng gan < tỷ trọng lách 10 HU. - Các mạch máu trong gan hiện rõ. - Sau tiêm, tỷ trọng gan < tỷ trọng lách 25HU or < tỷ trọng cơ. - Gan nhiễm mỡ khu trú: + Thường ở HPT IV, cạnh dây chằng liềm. + Vùng nhiễm mỡ lan đến ngoại vi sát bao gan. + Không làm biến đổi bờ gan, + Không biến đổi cấu trúc mạch máu đi qua.
  • 13.
    Fatty infiltration ofthe liver parenchyma in a 46-year-old woman with ovarian cancer who was undergoing chemotherapy. ©2009 by Radiological Society of North America Boll D T , Merkle E M Radiographics 2009;29:1591-1614
  • 14.
    Fatty infiltration ofthe liver parenchyma in a 46-year-old woman with ovarian cancer who was undergoing chemotherapy. ©2009 by Radiological Society of North America Boll D T , Merkle E M Radiographics 2009;29:1591-1614
  • 16.
  • 17.
  • 18.
  • 19.
    Histologically proved Wilsondisease in a 41-year-old man. ©2009 by Radiological Society of North America Boll D T , Merkle E M Radiographics 2009;29:1591-1614
  • 20.
    Thoái hóa dạngtinh bột ở gan và lách
  • 21.
    BỆNH LÝ MẠCHMÁU GAN (Hepatic Vascular Diseases)
  • 22.
    TĂNG ÁP LỰCTĨNH MẠCH CỬA
  • 23.
    Đặc điểm chung -Khí áp lực TMC >15mmHg và chênh áp cửa – chủ > 5mmHg. - Hình thành hệ thống vòng nối cửa – chủ. + Vòng nối qua TM lách. + Vòng nối qua TM vành vị. + Vòng nối qua TM thực quản. + Vòng nối qua TM trực tràng dưới. + Vòng nối qua TM rốn.
  • 24.
    Nguyên nhân Có 3nhóm nguyên nhân - Trước gan: HK TMC hoặc chèn ép TM cửa. + HCC, ung thư BM tuyến của tụy, sau PT cắt lách. + Có thể gặp trong chấn thương, NT huyết, can thiệp… - Tại gan: + Xơ gan. + Sarcoidose, amylosis, bệnh máu ác tĩnh ở gan. - Sau gan: + HC Budd-Chiari.
  • 25.
  • 28.
    Cavernous transformation ofthe portal vein in a 57-year-old man with a history of recurrent acute pancreatitis and benign portal vein thrombosis. ©2011 by Radiological Society of North America Lee W et al. Radiographics 2011;31:905-926
  • 29.
  • 30.
  • 31.
  • 32.
  • 33.
  • 34.
    Dấu hiệu tăngALTMC– giả hạch mạc treo
  • 35.
  • 36.
    Đặc điểm chung -Bệnh lý này được đặc trưng bởi tăng áp lực TMC và lách to do tắc nghẽn các tĩnh mạch dẫn lưu của gan. - Nguyên nhân: + Xơ gan. + HCC. + Bệnh lý Hodgkin. + Viêm màng ngoài tim.
  • 37.
    Phân loại - Có3 type trong HC Budd-Chiari: + Type I (HK gây tắc TMCD). + Type II (HK gây tắc các TM trên gan). + Type III (HK gây tắc các TM trung tâm tiểu thùy).
  • 38.
  • 39.
    Vai trò củachẩn đoán hình ảnh - Chẩn đoán xác định. - Chẩn đoán nguyên nhân. - Chẩn đoán phân loại. - Đánh giá tình trạng tuần hoàn bàng hệ. - Đưa ra chiến lược điều trị.
  • 40.
    Hình ảnh trênCLVT - Teo gan ở ngoại vi. - Phì đại thùy gan trung tâm - phân thùy đuôi. - Tuần hoàn bàng hệ qua hệ cửa. - Huyết khối TM cửa – TM dẫn lưu. - Các shunt mạch máu trong gan.
  • 41.
    Figure 2a. Largeregenerative nodules in a 34-year-old woman with subacute (25 days) Budd-Chiari syndrome due to factor V Leiden deficiency. ©2002 by Radiological Society of North America Brancatelli G et al. Radiographics 2002;22:847-862
  • 42.
    Figure 3a. Largeregenerative nodules in a 31-year-old woman with Budd-Chiari syndrome of unknown origin. ©2002 by Radiological Society of North America Brancatelli G et al. Radiographics 2002;22:847-862
  • 43.
    Figure 3a. Largeregenerative nodules in a 31-year-old woman with Budd-Chiari syndrome of unknown origin. ©2002 by Radiological Society of North America Brancatelli G et al. Radiographics 2002;22:847-862
  • 44.
    Figure 4a. Largeregenerative nodules in a 27-year-old woman with chronic (2 years) Budd-Chiari syndrome. ©2002 by Radiological Society of North America Brancatelli G et al. Radiographics 2002;22:847-862
  • 45.
  • 46.
  • 47.
    Đặc điểm chung -Chủ yếu là viêm gan do virus, gồm 6 type (A,B,C,D,F,G). - Về mặt mô bệnh học, gồm các quá trình + Hoại tử tế bào gan vùng quanh cửa nhiều mức độ. + Chuyển dạng tế bào Kuppffer. + Viêm cửa của tương bào. - Phân loại + Cấp tính (<6 tháng). + Mạn tính (>6 tháng).
  • 48.
    Hình ảnh trênCLVT - Gan to, phù nền ở ngoại vi và bao gan. - Trước tiêm, tỷ trọng nhu mô gan không đồng nhất, bằng hoặc thấp hơn tỷ trọng lách. - Sau tiêm, có vùng ngấm thuốc không đồng nhất. - Phù nề quanh các nhánh TMC. - Viêm gan mạn thường gây hậu quả xơ gan – bụng ascite và lách to.
  • 49.
    Acute viral hepatitisin a 39-year-old man. ©2009 by Radiological Society of North America Boll D T , Merkle E M Radiographics 2009;29:1591-1614
  • 50.
  • 51.
    Đặc điểm chung -Cơ chế bệnh sinh chưa được biết rõ nhưng thường có liên quan đến viêm xơ đường mật nguyên phát. - Tổn thương nhiều cơ quan khác trong ổ bụng.
  • 52.
    Hình ảnh trênCLVT - Trước tiêm, nhiều ổ giảm tỷ trọng trong nhu mô gan và lách. - Gan – lách to. - Hạch ổ bụng. - Sau tiêm, các ổ tổn thương đồng tỷ trọng với nhu mô gan.
  • 54.
    Figure 20a. Hepaticinvolvement in a 49-year-old woman with pulmonary sarcoidosis. ©2004 by Radiological Society of North America Koyama T et al. Radiographics 2004;24:87-104
  • 55.
  • 56.
    Đặc điểm chung -Chủ yếu là do Candida Albicans. - Trên cơ địa suy giảm miễn dịch. - Thường gây viêm đường mật tạo thành nhiều microabcess.
  • 57.
    Hình ảnh trênCLVT - Nhiều ổ giảm tỷ trọng trong nhu mô gan. - Tròn hoặc bầu dục. - Ranh giới rõ. - Không ngấm thuốc sau tiêm. - Có thể có vôi hóa rải rác (giai đoạn phục hồi).
  • 59.
    XƠ GAN –CIRRHOSIS
  • 60.
    Định nghĩa Xơ ganlà hậu quả của nhiều quá trình bệnh lý, được đặc trưng bởi quá trình xơ hóa lan tỏa toàn bộ nhu mô gan: + Đảo lộn cấu trúc của gan. + Hình thành các nốt tân tạo.
  • 61.
    Nguyên nhân - Thườnggặp: + Rượu. + Virus (B, C, D). + Xơ gan mật. - Hiếm gặp: + Viêm gan tự miễn. + Bệnh gan tim. + HC Budd-chiari. + Một sộ bệnh di truyền (Wilson – Rendu Osler..)
  • 62.
  • 63.
    Sinh lý bệnhhọc - Tăng áp lực tĩnh mạch cửa: + Lách to. + Tuần hoàn bàng hệ. + XHTH. - Suy tế bào gan: + Vàng da. + BL não gan. + Nhiễm trùng. - Ung thư biểu mô tế bào gan.
  • 64.
    Hình ảnh trênCLVT - Giai đoạn sớm: + Gan to. + Tăng tỷ trọng do xơ hóa. - Giai đoạn muộn: + Gan biến đổi hình thái và đường bờ. + Dấu hiệu tăng ALTMC. + Dấu hiệu khác: Dịch ascite – Lách to – Dày thành TM. Nốt tân tạo. Biến chứng (HCC).
  • 66.
    Figure 1. Transversecontrast material-enhanced gradient-echo MR image (120/2.3, 90° flip angle) shows method of obtaining the C/RL. ©2002 by Radiological Society of North America Awaya H et al. Radiology 2002;224:769-774
  • 67.
    HPT I /Gan trái < 0,35
  • 68.
    HPT I /Gan phải > 0,65
  • 69.
    1. Gan biếnđổi hình thái và đường bờ
  • 70.
    1. Gan biếnđổi hình thái và đường bờ
  • 71.
    1. Gan biếnđổi hình thái và đường bờ (thể nốt lớn)
  • 72.
    1. Gan biếnđổi hình thái và đường bờ (thể nốt nhỏ)
  • 73.
    2. Dấu hiệutăng ALTMC
  • 74.
    2. Dấu hiệutăng ALTMC
  • 75.
    2. Dấu hiệutăng ALTMC
  • 76.
    2. Dấu hiệutăng ALTMC
  • 77.
    2. Dấu hiệutăng ALTMC
  • 78.
    2. Dấu hiệutăng ALTMC
  • 79.
    2. Dấu hiệutăng ALTMC
  • 82.
    Vấn đề trongchẩn đoán xơ gan 1. Bệnh lý giả xơ gan (Micmic cirrhosis). 2. Xơ hóa trong gan xơ (Fibriosis). 3. Nốt tân tạo (Regeneration nodule). 4. Ung thư biểu mô tế bào gan (HCC). 5. U máu trong xơ gan (Hemangioma).
  • 83.
    1. Bệnh lýgiả xơ gan
  • 84.
    1. Bệnh lýgiả xơ gan
  • 85.
    2. Xơ hóa(Fibrosis)
  • 86.
  • 87.
    —Small hepatocellular carcinomaon dynamic contrast-enhanced CT in 49-year-old man. 4. HCC/Xơ gan ©2005 by American Roentgen Ray Society Jeong Y Y et al. AJR 2005;185:1024-1032
  • 88.
    Multifocal hepatocellular carcinomaon dual-phase CT in 74-year-old man. 4. HCC/Xơ gan ©2005 by American Roentgen Ray Society Jeong Y Y et al. AJR 2005;185:1024-1032
  • 89.
    —Hepatocellular carcinoma withportal vein thrombosis in 69-year-old man. 4. HCC/Xơ gan ©2005 by American Roentgen Ray Society Jeong Y Y et al. AJR 2005;185:1024-1032
  • 90.
    U máu trêngan xơ – T2W.
  • 91.
    Chiến lược chẩnđoán Việc phát hiện tổn thương HCC/Xơ gan sẽ làm thay đổi hoàn toàn tiên lượng và góp phần quan trọng trong xác định chiến lược điều trị. - Theo dõi siêu âm 6-12 tháng / 1 lần hoặc ít hơn. - Nếu có tổn thương: + <2cm (Biopsy(-) thì theo dõi tiếp). + >2cm (Washout trên CLVT hoặc CHT) - Nếu biến chứng HCC: RF – Hóa chất – Phẫu thuật. “ EASL – Europe Association for the Study of the Liver ”
  • 92.
    Tài liệu thamkhảo 1. “Diffuse Liver Disease: Strategies for Hepatic CT and MR Imaging”. Daniel T. Boll, MD and Elmar M.Merkle, MD. 2. “Diffuse disease of the liver: Radiologic-pathological correlation”. Patricia J.Mergo, MD. Pablo R.Ros, MD. Peter C.Buetow, MD. James L. Buck, MD. 3. “Cirrhosis: CT and MR evaluation”. Giuseppe Brancatelli, Michael P.Federle and etc.
  • 93.
    Nhóm BSNT -Khoa CĐHA BV. Việt Đức 01/2013

Editor's Notes

  • #12 Bình thường tỷ trọng của nhu mô gan lớn hơn tỷ trọng của nhu mô lách thì trước tiêm là 8 HU.
  • #14 Fatty infiltration of the liver parenchyma in a 46-year-old woman with ovarian cancer who was undergoing chemotherapy. Sequential nonenhanced (a–c) and portal venous perfusion phase contrast material–enhanced (d–f) images from multidetector CT, obtained at 3-month intervals, show a progressive decrease in hepatic attenuation. Circle = region of interest, number = attenuation in Hounsfield units.
  • #15 Fatty infiltration of the liver parenchyma in a 46-year-old woman with ovarian cancer who was undergoing chemotherapy. Sequential nonenhanced (a–c) and portal venous perfusion phase contrast material–enhanced (d–f) images from multidetector CT, obtained at 3-month intervals, show a progressive decrease in hepatic attenuation. Circle = region of interest, number = attenuation in Hounsfield units.
  • #17 Ranh giơi giữa vùng gan nhiễm mỡ và vùng gan bình thường Không làm thay đổi cấu trúc mạch máu đi trong Không gây hiệu ứng khối, không làm biếnđổi bờ gan.
  • #20 Histologically proved Wilson disease in a 41-year-old man. Nonenhanced image from multidetector CT shows increased attenuation of the hepatic parenchyma. Circle = region of interest, number = attenuation in Hounsfield units.
  • #21 Thoái hóa dạng tinh bột là bệnh lý toàn thân do sự lắng đọng protein muco-polysaccarid trong cơ thể Chủ yếu ở gan và não. Ở gan, lắng đọng protein vào khoảng Disse làm đảo lộn cấu trúc của gan nhưng không làm thay đổi chức năng. Trên hình ảnh - Gan to – Lách to. - giảm tỷ trọng toàn bộ nhu mô gan. - Có thể có tổn thương khu trú, vùng giảm tỷ trọng ngoại vi sát bao gan và quanh mạch máu.
  • #29 Cavernous transformation of the portal vein in a 57-year-old man with a history of recurrent acute pancreatitis and benign portal vein thrombosis. Axial contrast-enhanced CT image obtained during the venous phase shows multiple serpentine enhancing collateral vessels (arrows) at the hepatic hilum and an obliterated main portal vein, findings indicative of cavernous transformation of the portal vein in the setting of long-standing thrombosis.
  • #42 Figure 2a.  Large regenerative nodules in a 34-year-old woman with subacute (25 days) Budd-Chiari syndrome due to factor V Leiden deficiency. (a) Nonenhanced CT scan shows an enlarged liver, and lesions are difficult to identify. (b) Arterial phase CT scan shows multiple hyperattenuating lesions (arrows) with homogeneous marked enhancement. (c) Portal venous phase CT scan shows that the lesions (white arrows) are still hyperattenuating relative to the surrounding parenchyma; the liver demonstrates heterogeneous, patchy enhancement. Note the ascites (A) and the compressed inferior vena cava (black arrow).
  • #43 Figure 3a.  Large regenerative nodules in a 31-year-old woman with Budd-Chiari syndrome of unknown origin. (a) Nonenhanced CT scan shows a heterogeneous liver with a hypertrophic caudate lobe (c). Note the ascites (a). (b) Arterial phase CT scan shows multiple small, hyperattenuating lesions (arrows) with homogeneous marked enhancement. (c) Portal venous phase CT scan shows that the lesions fade toward isoattenuation, whereas the liver demonstrates mottled, patchy enhancement. (d) Axial arterial phase T1-weighted magnetic resonance (MR) image obtained after intravenous bolus injection of gadopentetate dimeglumine shows several nodules with homogeneous marked enhancement (arrows). (e) Axial T2-weighted MR image shows that the nodules are hypointense (arrow).
  • #44 Figure 3a.  Large regenerative nodules in a 31-year-old woman with Budd-Chiari syndrome of unknown origin. (a) Nonenhanced CT scan shows a heterogeneous liver with a hypertrophic caudate lobe (c). Note the ascites (a). (b) Arterial phase CT scan shows multiple small, hyperattenuating lesions (arrows) with homogeneous marked enhancement. (c) Portal venous phase CT scan shows that the lesions fade toward isoattenuation, whereas the liver demonstrates mottled, patchy enhancement. (d) Axial arterial phase T1-weighted magnetic resonance (MR) image obtained after intravenous bolus injection of gadopentetate dimeglumine shows several nodules with homogeneous marked enhancement (arrows). (e) Axial T2-weighted MR image shows that the nodules are hypointense (arrow).
  • #45 Figure 4a.  Large regenerative nodules in a 27-year-old woman with chronic (2 years) Budd-Chiari syndrome. (a) Arterial phase CT scan shows multiple hyperattenuating lesions (straight arrows) with homogeneous marked enhancement. Note the mesocaval shunt (curved arrow). (b) Nonenhanced CT scan obtained 2 years later shows that one lesion has a hypoattenuating central area (arrow), which is probably due to necrosis or poor perfusion. Splenomegaly (S) and hypertrophy of the lateral segment (LS) are also noted. (c) Late arterial phase CT scan (obtained at 55 seconds) shows many more hyperattenuating lesions with homogeneous marked enhancement. One lesion (arrow) has the same attenuation as the aorta. (d) Late arterial phase CT scan obtained at a different level also shows innumerable lesions.
  • #50 Acute viral hepatitis in a 39-year-old man. Arterial phase image from contrast-enhanced multidetector CT shows heterogeneous enhancement (arrows) of the edematous enlarged liver.
  • #54 Figure 20a.  Hepatic involvement in a 49-year-old woman with pulmonary sarcoidosis. (a) Contrast-enhanced abdominal CT scan shows multiple, irregularly shaped nodules of variable size in the liver. (b) T2-weighted MR image obtained after the administration of ferumoxides (Feridex; Advanced Magnetics, Cambridge, Mass) demonstrates multiple small, high-signal-intensity nodules throughout the liver.
  • #55 Figure 20a.  Hepatic involvement in a 49-year-old woman with pulmonary sarcoidosis. (a) Contrast-enhanced abdominal CT scan shows multiple, irregularly shaped nodules of variable size in the liver. (b) T2-weighted MR image obtained after the administration of ferumoxides (Feridex; Advanced Magnetics, Cambridge, Mass) demonstrates multiple small, high-signal-intensity nodules throughout the liver.
  • #63 Xơ gan nốt nhỏ do rượu (đường kính nốt tân tạo &lt;3mm) Xơ gan nốt lớn do virus (ĐK nốt &gt;3mm) Xơ gan thể hỗn hợp
  • #67 Figure 1. Transverse contrast material-enhanced gradient-echo MR image (120/2.3, 90° flip angle) shows method of obtaining the C/RL. Line 1 is drawn through the right lateral wall of the bifurcation of the main portal vein and parallel to the midsagittal plane of the body. Line 2 is drawn through the most medial margin of the caudate lobe and parallel to line 1. Line 3 is drawn perpendicular to lines 1 and 2 and midway between the main portal vein and inferior vena cava. Line 1′ is drawn through the right lateral wall of the bifurcation of the right portal vein rather than the bifurcation of the main portal vein. Distance C is the width of the caudate lobe measured by using the main portal vein. Distance R is the width of the right lobe measured by using the main portal vein. The ratio of C to R is the C/RL-m. Distance C′ is the width of the caudate lobe measured by using the right portal vein. Distance R′ is the width of right lobe measured by using the right portal vein. The ratio of C′ to R′ is the C/RL-r.
  • #71 Dấu hiệu Hobnail sign (đầu đinh) Interposition Rộng dây chằng liềm
  • #84 Bệnh lý giả xơ gan do - Congenital hepatic fibrosis (phì đại HPT I và thùy bên gan trái, teo gan phải, HPT IV bình thường) - Di căn từ ung thư tuyến vú (phì đại HPT I, bờ gan không đều) - U hạt ở gan (thường phải sinh thiêt). - HC Budd-Chiari (phì đại HPT I, dấu hiệu TALTMC, ).
  • #85 Bệnh lý giả xơ gan do - Congenital hepatic fibrosis (phì đại HPT I và thùy bên gan trái, teo gan phải, HPT IV bình thường) - Di căn từ ung thư tuyến vú (phì đại HPT I, bờ gan không đều) - U hạt ở gan (thường phải sinh thiêt). - HC Budd-Chiari (phì đại HPT I, dấu hiệu TALTMC, ).
  • #86 Cấu trúc xơ hóa bao quanh các nốt tân tạo Thường ở HPT IV, V, VIII Tổn thương dạng khối nhưng phân biệt với HCC là ngấm thuốc muộn.
  • #88 — Small hepatocellular carcinoma on dynamic contrast-enhanced CT in 49-year-old man. Arterial phase CT scan shows small enhancing nodule (arrow) in lateral segment of left hepatic lobe.
  • #89 — Multifocal hepatocellular carcinoma on dual-phase CT in 74-year-old man. Arterial phase CT scan shows heterogeneous enhancement of three hepatocellular carcinomas (arrows).
  • #90 — Hepatocellular carcinoma with portal vein thrombosis in 69-year-old man. Arterial phase CT scan shows low-attenuating mass (white arrows) in lateral segment of left hepatic lobe. There is heterogeneous enhancing lesion (black arrows) within left portal vein. Cirrhosis and ascites are seen.