APPROACH TO MALABSORPTION
SYNDROMES
MALABSORPTION
• Maldigestion
• Malabsorption
• Clinical presentation is similar.
• Even both doesn’t cover pathophysiological
spectrum of malabsorption syndromes.
ETIOLOGY & PATHOPHYSIOLOGY
• Mechanisms can be devided into
1)pre mucosal
2)mucosal
3)post mucosal
• It has limited clinical value
ABSORPTIVE MECHANISMS
• Solubilisation.
• Digestion.
• Liberation.
• Chemical changes.
• Intestinal sensory or motor function.
• Neuronal or harmonal functions.
FAT MALABSORPTION
• Defective mixing.
• Reduced solubilisation of fat.
• Decreased lipolysis.
• Decreased mucosal absorption and
chylomicron formation.
• Defective lymphatic transport of
chylomicrons.
PROTEINS & AMINO ACIDS
• Defective intraluminal proteolysis.
• Defective Mucosal Hydrolysis of Peptides and
Decreased Absorption of Oligopeptides and
Amino Acids
CARBOHYDRATES
• Defective Intraluminal Hydrolysis of
Carbohydrates.
• Mucosal Defects of Carbohydrate Digestion
and Absorption.
VITAMINS
• Fat soluble vitamins
• Water-Soluble Vitamins
1) vit B12.
2)Folic acid
3)other water soluble vitamins.
MINERALS
• Calcium.
• Magnesium.
• Iron.
• Zinc.
• Copper
• Other minerals
MECHANISMS THAT COMPENSATE
FOR MALABSORPTION
• Role of the colon.
• Role of Intestinal Transit in the Salvage of
Malabsorbed Nutrients
CLINICAL FEATURES AND
EVALUATION
History and Physical Examination
• Greasy stools may indicate fat malabsorption
or mucus in stools.
• Floating of stool in the toilet water.
Laboratory Findings
• blood tests-raise the suspicion of
malabsorption.
• stool tests -confirm that suspicion.
• Low levels of serum β-carotene, cholesterol,
triglycerides, and calcium and a prolonged
prothrombin time suggest malabsorption of
fat and fat-soluble vitamins.
Laboratory Findings
• Low levels of vitamin B12, folate, iron, and
albumin suggest malabsorption of water-
soluble substances.
• Low levels of plasma citrulline are associated
with destructive small intestinal disease (e.g.,
celiac disease) or can follow intestinal
resection
Diagnostic Approach
Clinical Clues to the Presence of
Specific Diseases
• h/o previous surgery.
• history of celiac disease
• history of travel
• alcohol consumption
• history of chronic pancreatitis or symptoms
pancreatic tumor
Clinical Clues to the Presence of
Specific Diseases
• clinical features of thyrotoxicosis, Addison’s
disease, Whipple’s disease, biliary or liver
disease, or diabetic neuropathy.
• diet high in poorly absorbable carbohydrates.
• likelihood of human immunodeficiency virus n
infection.
• treatment with a drug that can cause
malabsorption
Clinical Clues to the Presence of
Specific Diseases
• history of stem cell or organ transplantation or
abdominal radiation.
• history of extraintestinal manifestations of
inflammatory bowel disease, celiac disease, or
Whipple’s disease
• first-line tests.
• second-line tests.
• third-line tests.
• observation of the response to therapy
v
Anatomic Investigations
• Endoscopic examination and biopsy
Anatomic Investigations
• Video Capsule Endoscopy and
• Balloon Enteroscopy
Abdominal Imaging
• Small Bowel Follow-through and Small Bowel
Enteroclysis.
• Abdominal CT
• MRI of the Small Intestine
• US Examination
• Other Studies
WHIPPLES DISEASE
Noninvasive Evaluation of GI
Digestive
and Absorptive Function
• Fat Malabsorption
1) Quantitative Fecal Fat Analysis
2) Semiquantitative Fat Analysis
3) Qualitative Fecal Fat Analysis
4) Breath Tests for Fat Malabsorption
5) Serum Tests for Fat Malabsorption
Noninvasive Evaluation of GI
Digestive
and Absorptive Function
• Carbohydrate Malabsorption
1) The hydrogen breath test
2) lactose tolerance test
3) fecal pH
4) Total SCFAs and lactic acid
Noninvasive Evaluation of GI
Digestive
and Absorptive Function
• Protein Malabsorption
1) fecal nitrogen content
2) 14C-octanoic acid–13C-egg white breath
test &urinary output of phenol & p-cresol
Noninvasive Evaluation of GI
Digestive
and Absorptive Function
• Vitamin B12 (Cobalamin) Malabsorption
1) Schilling Test
2) Serum Test for Vitamin B12 and Folate
Deficiency
Noninvasive Evaluation of GI
Digestive
and Absorptive Function
• SIBO
1) the quantitative culture of a small intestinal
aspirate
2) deconjugated bile acids or vitamin B12 analogs
in intestinal aspirates
3) serum folate
4) breath tests(14C-glycocholate breath test, the
14C-dxylose breath test, the lactulose hydrogen
breath test, and the glucose hydrogen breath test.)
Noninvasive Evaluation of GI
Digestive
and Absorptive Function
• Exocrine Pancreatic Insufficiency
1) measurement of pancreatic enzyme,
volume, and bicarbonate output.
2) fecal chymotrypsin or elastase
concentration.
3) fluorescein dilaurate test.
4) (NBT-PABA) test
5) Secretin-enhanced MRCP
Noninvasive Evaluation of GI
Digestive
and Absorptive Function
• Bile Salt Malabsorption
1) Measurement of Fecal Bile Acid Output
2) 14Carbon-Taurocholate Bile Acid
Absorption Test.
3) Therapeutic Trial of Bile Acid-Binding
Resins.
4) Selenium-75-Labeled Homotaurocholic
Acid Test (SeHCAT
Noninvasive Evaluation of GI
Digestive
and Absorptive Function
• D-Xylose Test
• Intestinal Permeability Tests
• 13Carbon Breath Tests
Lactose Malabsorption
• Types
1)congenital
2)adult onset
3)acquired
• Clinical features
• Diagnosis
• Management.
Fructose Malabsorption
• Etiology
• Clinical features
• Diagnosis
• management
Bile Acid Malabsorption
• Etiology
• Compensated and decompensated
• Cholestyramine therapy
• mutations in the ileal sodium-bile
acid cotransporter gene (SLC10A2).
Amyloidosis
• Types causing amyloiosis.
• Pathology
• Factors causing diarrhoea & malabsorption.
• Clinical features.
• Diagnosis
barium studies
endoscpic features
histology
• Treatment
Gastric Resection or Bariatric Surgery
• Gastric resection
mechanisms
protein & fat malabsorption
hypovitaminosis E
vit B12 & iron Deficiency
calcium malabsorption
Treatment
Gastric Resection or Bariatric Surgery
• Bariatric Surgery
types
SHORT BOWEL SYNDROME
SHORT BOWEL SYNDROME
1. Loss of Absorptive Surface Area
• Nutrient Malabsorption
• Water and Electrolyte Malabsorption
• Loss of Site-Specific Transport Processes
• Loss of the Ileocecal Valve
• Loss of Site-Specific Enteroendocrine Cells
and GI Hormones
• INTESTINAL ADAPTATION TO RESECTION
MEDICAL MANAGEMENT
• MEDICAL MANAGEMENT
1. low-fat (40 g), high-carbohydrate diet
2. medium-chain triglycerides
3. Supplementation with vitamins, calcium, and
possibly magnesium
• Extensive Small Intestinal Resection and
Partial Colectomy
Fluid and Electrolyte
Diet
HOME PARENTERAL
NUTRITION
Connective Tissue Diseases
• Scleroderma
pathology
mechanisms
treatment
• Lupus Erythematosus and Other Connective
Tissue Diseases
Disaccharidase Deficiency and
Transport Defects
for Monosaccharides
• sucrase-isomaltase deficiency
• glucose-galactose malabsorption
Congenital Disorders of Lipid
Absorption
• Abetalipoproteinemia(MTP Gene)
• Familial hypobetalipoproteinemia(apo B)
• Chylomicron retention disease
• Anderson’s disease
• TREATMENT-replacement of triglycerides that
contain long-chain fatty acids with medium-chain
triglycerides and dietary supplementation with
tocopherol.
Congenital Disorders of Cobalamin
Absorption
• congenital cobalamin deficiency
• Imerslund-Graesbeck syndrome
• transcobalamin II deficiency,
• TREATMENT-All congenital disorders of
cobalamin absorption are treated by the
parenteral administration of cobalamin, although
high-dose oral cobalamin also might be effective.
Primary Immunodeficiency Diseases
• Selective Immunoglobulin A Deficiency
gluten-sensitive enteropathy
sprue-like small intestinal lesions
Pernicious anemia, giardiasis, and
secondary disaccharidase deficiencies
• Common Variable Immunodeficiency
respond to antimicrobial treatment &
glucocorticoids
Primary Immunodeficiency Diseases
• X-Linked Infantile Agammaglobulinemia
(Bruton’s Agammaglobulinemia)
• Immune Dysregulation-Polyendocrinopathy-
Enteropathy–X-Linked Syndrome (FOXP3)
• Neurofibromatosis Type 1 (von
Recklinghausen’s Disease)
• Nongranulomatous Chronic Idiopathic
Enterocolitis and Autoimmune Enteropathy
Endocrine and Metabolic Disorders
• Adrenal Insufficiency (Addison’s Disease)
associations
fat malabsorption
treatment
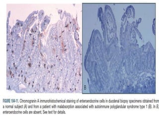
• Autoimmune Polyglandular Syndrome Type 1
etiology
mechanisms of malabsorption
endocrine system involved
diagnosis(staining and harmone levels)
• Hyperthyroidism
fat malabsorption
mechanisms
histopathology
increased prevalence of celiac disease
and PBC,
autoimmune gastritis
• Diabetes Mellitus
presents
mechanisms
celiac disease, SIBO, and pancreatic
insufficiency.
autoimmune atrophic gastritis
• Metabolic Bone Disease
GENERAL APPROACH TO
MANAGEMENT
• directed against the underlying condition if
possible.
• nutritional deficits must be corrected.
• In sugar malabsorption, diet with reduced
content of poorly absorbable carbohydrates is
an effective long-term therapy.
• Fermentable Oligosaccharides in patients with
symptoms of IBS.
GENERAL APPROACH TO
MANAGEMENT
• pancreatic insufficiency, disorders of intestinal
fat absorption, and short bowel syndrome,
medium-chain triglycerides can be used as a
source of dietary calories. diet rich in
carbohydrates and medium-chain
triglycerides.
• Teduglutide
GENERAL APPROACH TO
MANAGEMENT
• bile acid malabsorption-absorption can be
improved markedly by oral administration of
natural conjugated bile acids or synthetic
cholylsarcosine.
• special care should be given to the
replacement of vitamins, iron, calcium, and
trace elements to avoid deficiency syndromes
GENERAL APPROACH TO
MANAGEMENT
• symptomatic treatment with opiates or
loperamide can increase the time available for
absorption of nutrients.
• home parenteral nutrition-taurolidine.

Approach to malabsorption syndromes

  • 1.
  • 2.
    MALABSORPTION • Maldigestion • Malabsorption •Clinical presentation is similar. • Even both doesn’t cover pathophysiological spectrum of malabsorption syndromes.
  • 5.
    ETIOLOGY & PATHOPHYSIOLOGY •Mechanisms can be devided into 1)pre mucosal 2)mucosal 3)post mucosal • It has limited clinical value
  • 6.
    ABSORPTIVE MECHANISMS • Solubilisation. •Digestion. • Liberation. • Chemical changes. • Intestinal sensory or motor function. • Neuronal or harmonal functions.
  • 8.
    FAT MALABSORPTION • Defectivemixing. • Reduced solubilisation of fat. • Decreased lipolysis. • Decreased mucosal absorption and chylomicron formation. • Defective lymphatic transport of chylomicrons.
  • 9.
    PROTEINS & AMINOACIDS • Defective intraluminal proteolysis. • Defective Mucosal Hydrolysis of Peptides and Decreased Absorption of Oligopeptides and Amino Acids
  • 10.
    CARBOHYDRATES • Defective IntraluminalHydrolysis of Carbohydrates. • Mucosal Defects of Carbohydrate Digestion and Absorption.
  • 11.
    VITAMINS • Fat solublevitamins • Water-Soluble Vitamins 1) vit B12. 2)Folic acid 3)other water soluble vitamins.
  • 12.
    MINERALS • Calcium. • Magnesium. •Iron. • Zinc. • Copper • Other minerals
  • 13.
    MECHANISMS THAT COMPENSATE FORMALABSORPTION • Role of the colon. • Role of Intestinal Transit in the Salvage of Malabsorbed Nutrients
  • 14.
  • 15.
  • 18.
    • Greasy stoolsmay indicate fat malabsorption or mucus in stools. • Floating of stool in the toilet water.
  • 19.
    Laboratory Findings • bloodtests-raise the suspicion of malabsorption. • stool tests -confirm that suspicion. • Low levels of serum β-carotene, cholesterol, triglycerides, and calcium and a prolonged prothrombin time suggest malabsorption of fat and fat-soluble vitamins.
  • 20.
    Laboratory Findings • Lowlevels of vitamin B12, folate, iron, and albumin suggest malabsorption of water- soluble substances. • Low levels of plasma citrulline are associated with destructive small intestinal disease (e.g., celiac disease) or can follow intestinal resection
  • 23.
  • 24.
    Clinical Clues tothe Presence of Specific Diseases • h/o previous surgery. • history of celiac disease • history of travel • alcohol consumption • history of chronic pancreatitis or symptoms pancreatic tumor
  • 25.
    Clinical Clues tothe Presence of Specific Diseases • clinical features of thyrotoxicosis, Addison’s disease, Whipple’s disease, biliary or liver disease, or diabetic neuropathy. • diet high in poorly absorbable carbohydrates. • likelihood of human immunodeficiency virus n infection. • treatment with a drug that can cause malabsorption
  • 26.
    Clinical Clues tothe Presence of Specific Diseases • history of stem cell or organ transplantation or abdominal radiation. • history of extraintestinal manifestations of inflammatory bowel disease, celiac disease, or Whipple’s disease
  • 29.
    • first-line tests. •second-line tests. • third-line tests. • observation of the response to therapy
  • 31.
  • 34.
  • 39.
    Anatomic Investigations • VideoCapsule Endoscopy and • Balloon Enteroscopy
  • 43.
    Abdominal Imaging • SmallBowel Follow-through and Small Bowel Enteroclysis. • Abdominal CT • MRI of the Small Intestine • US Examination • Other Studies
  • 45.
  • 46.
    Noninvasive Evaluation ofGI Digestive and Absorptive Function • Fat Malabsorption 1) Quantitative Fecal Fat Analysis 2) Semiquantitative Fat Analysis 3) Qualitative Fecal Fat Analysis 4) Breath Tests for Fat Malabsorption 5) Serum Tests for Fat Malabsorption
  • 47.
    Noninvasive Evaluation ofGI Digestive and Absorptive Function • Carbohydrate Malabsorption 1) The hydrogen breath test 2) lactose tolerance test 3) fecal pH 4) Total SCFAs and lactic acid
  • 48.
    Noninvasive Evaluation ofGI Digestive and Absorptive Function • Protein Malabsorption 1) fecal nitrogen content 2) 14C-octanoic acid–13C-egg white breath test &urinary output of phenol & p-cresol
  • 49.
    Noninvasive Evaluation ofGI Digestive and Absorptive Function • Vitamin B12 (Cobalamin) Malabsorption 1) Schilling Test 2) Serum Test for Vitamin B12 and Folate Deficiency
  • 50.
    Noninvasive Evaluation ofGI Digestive and Absorptive Function • SIBO 1) the quantitative culture of a small intestinal aspirate 2) deconjugated bile acids or vitamin B12 analogs in intestinal aspirates 3) serum folate 4) breath tests(14C-glycocholate breath test, the 14C-dxylose breath test, the lactulose hydrogen breath test, and the glucose hydrogen breath test.)
  • 51.
    Noninvasive Evaluation ofGI Digestive and Absorptive Function • Exocrine Pancreatic Insufficiency 1) measurement of pancreatic enzyme, volume, and bicarbonate output. 2) fecal chymotrypsin or elastase concentration. 3) fluorescein dilaurate test. 4) (NBT-PABA) test 5) Secretin-enhanced MRCP
  • 52.
    Noninvasive Evaluation ofGI Digestive and Absorptive Function • Bile Salt Malabsorption 1) Measurement of Fecal Bile Acid Output 2) 14Carbon-Taurocholate Bile Acid Absorption Test. 3) Therapeutic Trial of Bile Acid-Binding Resins. 4) Selenium-75-Labeled Homotaurocholic Acid Test (SeHCAT
  • 53.
    Noninvasive Evaluation ofGI Digestive and Absorptive Function • D-Xylose Test • Intestinal Permeability Tests • 13Carbon Breath Tests
  • 54.
    Lactose Malabsorption • Types 1)congenital 2)adultonset 3)acquired • Clinical features • Diagnosis • Management.
  • 55.
    Fructose Malabsorption • Etiology •Clinical features • Diagnosis • management
  • 56.
    Bile Acid Malabsorption •Etiology • Compensated and decompensated • Cholestyramine therapy • mutations in the ileal sodium-bile acid cotransporter gene (SLC10A2).
  • 57.
    Amyloidosis • Types causingamyloiosis. • Pathology • Factors causing diarrhoea & malabsorption. • Clinical features. • Diagnosis barium studies endoscpic features histology • Treatment
  • 61.
    Gastric Resection orBariatric Surgery • Gastric resection mechanisms protein & fat malabsorption hypovitaminosis E vit B12 & iron Deficiency calcium malabsorption Treatment
  • 62.
    Gastric Resection orBariatric Surgery • Bariatric Surgery types
  • 63.
  • 64.
    SHORT BOWEL SYNDROME 1.Loss of Absorptive Surface Area • Nutrient Malabsorption • Water and Electrolyte Malabsorption • Loss of Site-Specific Transport Processes • Loss of the Ileocecal Valve • Loss of Site-Specific Enteroendocrine Cells and GI Hormones • INTESTINAL ADAPTATION TO RESECTION
  • 65.
    MEDICAL MANAGEMENT • MEDICALMANAGEMENT 1. low-fat (40 g), high-carbohydrate diet 2. medium-chain triglycerides 3. Supplementation with vitamins, calcium, and possibly magnesium
  • 66.
    • Extensive SmallIntestinal Resection and Partial Colectomy Fluid and Electrolyte Diet HOME PARENTERAL NUTRITION
  • 68.
    Connective Tissue Diseases •Scleroderma pathology mechanisms treatment • Lupus Erythematosus and Other Connective Tissue Diseases
  • 69.
    Disaccharidase Deficiency and TransportDefects for Monosaccharides • sucrase-isomaltase deficiency • glucose-galactose malabsorption
  • 70.
    Congenital Disorders ofLipid Absorption • Abetalipoproteinemia(MTP Gene) • Familial hypobetalipoproteinemia(apo B) • Chylomicron retention disease • Anderson’s disease • TREATMENT-replacement of triglycerides that contain long-chain fatty acids with medium-chain triglycerides and dietary supplementation with tocopherol.
  • 71.
    Congenital Disorders ofCobalamin Absorption • congenital cobalamin deficiency • Imerslund-Graesbeck syndrome • transcobalamin II deficiency, • TREATMENT-All congenital disorders of cobalamin absorption are treated by the parenteral administration of cobalamin, although high-dose oral cobalamin also might be effective.
  • 72.
    Primary Immunodeficiency Diseases •Selective Immunoglobulin A Deficiency gluten-sensitive enteropathy sprue-like small intestinal lesions Pernicious anemia, giardiasis, and secondary disaccharidase deficiencies • Common Variable Immunodeficiency respond to antimicrobial treatment & glucocorticoids
  • 73.
    Primary Immunodeficiency Diseases •X-Linked Infantile Agammaglobulinemia (Bruton’s Agammaglobulinemia) • Immune Dysregulation-Polyendocrinopathy- Enteropathy–X-Linked Syndrome (FOXP3)
  • 74.
    • Neurofibromatosis Type1 (von Recklinghausen’s Disease) • Nongranulomatous Chronic Idiopathic Enterocolitis and Autoimmune Enteropathy
  • 75.
    Endocrine and MetabolicDisorders • Adrenal Insufficiency (Addison’s Disease) associations fat malabsorption treatment
  • 76.
    • Autoimmune PolyglandularSyndrome Type 1 etiology mechanisms of malabsorption endocrine system involved diagnosis(staining and harmone levels)
  • 77.
    • Hyperthyroidism fat malabsorption mechanisms histopathology increasedprevalence of celiac disease and PBC, autoimmune gastritis
  • 78.
    • Diabetes Mellitus presents mechanisms celiacdisease, SIBO, and pancreatic insufficiency. autoimmune atrophic gastritis
  • 79.
  • 80.
    GENERAL APPROACH TO MANAGEMENT •directed against the underlying condition if possible. • nutritional deficits must be corrected. • In sugar malabsorption, diet with reduced content of poorly absorbable carbohydrates is an effective long-term therapy. • Fermentable Oligosaccharides in patients with symptoms of IBS.
  • 81.
    GENERAL APPROACH TO MANAGEMENT •pancreatic insufficiency, disorders of intestinal fat absorption, and short bowel syndrome, medium-chain triglycerides can be used as a source of dietary calories. diet rich in carbohydrates and medium-chain triglycerides. • Teduglutide
  • 82.
    GENERAL APPROACH TO MANAGEMENT •bile acid malabsorption-absorption can be improved markedly by oral administration of natural conjugated bile acids or synthetic cholylsarcosine. • special care should be given to the replacement of vitamins, iron, calcium, and trace elements to avoid deficiency syndromes
  • 83.
    GENERAL APPROACH TO MANAGEMENT •symptomatic treatment with opiates or loperamide can increase the time available for absorption of nutrients. • home parenteral nutrition-taurolidine.