AGE CHANGES IN ENAMEL,
DENTIN , PULP AND CEMENTUM
PRESENTED BY-
DR. AISHWARYA ARYA
MMCDSR
1. Introduction
2. Various terminologies
3. What causes aging ?
4. Theories of ageing
5. Factors affecting ageing
6. Importance in dentistry
7. Importance in Conservative dentistry Endodontics
8. General factors of aging
9. Dental age estimation methods
10. Age related changes in oral tissues
11. Age changes in Enamel
12. Age changes in Dentin
13. Age changes in Cementum
14. Age changes in pulp
15. New Updates
16. Conclusion
17. References
CONTENTS
2
Aging is a continuous, detrimental, and innate phenomenon in an
organism. It is a time-related process, which happens in a constant and
steady manner right from birth and continues till death…
3
4
GROWTH
DEVELOPMENT
MATURATION
INFLAMMAGING
AGING
SENESCENCE
5
WHAT CAUSES AGING
The census today states that aging is the end result of various multiple biological process
GENETIC LEVEL
Where information
for the initiation and
maintainence of
cellular functions are
involved
CELLULAR LEVEL
Where integrity of
somatic cells are
maintained
6
THEORIES OF AGEING
WEAR AND
TEAR THEORY
NEURO
ENDOCRINE
THEORY
FREE
RADICAL
THEORY
GENETIC
CONTROL
THEORY
TELOMERASE
THEORY 7
WEAR AND TEAR THEORY
8
Given by August Weihmann (1882)
These theories (also called simple deterioration
theories)
Proposed that organs and tissues were damaged
by continuous use and abuse
When a person ages , body’s mechanism to
repair the damage caused by wear and tear is
reduced.
Hence , in old age people die of diseases which
they could have resisted when they were young
FREE RADICAL THEORY
 First postulated by Harman in 1956, this theory
suggests that free radicals cause oxidative damage to
cells and their products, resulting in aging.
 Free radicals are atoms or molecules that have one
free electron.
 They are very reactive due to the tendency to pair.
 Free radical activity is required to produce energy ,
maintain immunity, nerve transmission.
 But free radicals also attack cell membranes producing
metabolic waste products –lipofuschins
9
GENETIC THEORY
Another theory proposed by
Leo Szilard in 1959
He puts forth the idea that
genes involved in DNA
metabolism and repair become
faulty with time.
This leads to accumulation of
DNA damage that manifests as
aging.
10
NEUROENDOCRINE THEORY
•
•
•
•
•
•
•
11
THE TELOMERASE THEORY OF
AGEING
•
Similarly, Watson in 1972
suggested that telomeres may be
involved in aging.
Age related changes do not occur
uniformly in individuals , but they
are under the influence of genetic
and environment factors
12
IMPORTANCE OF AGING IN DENTISTRY
FORENSIC
DENTISTRY
PROPER
EVALUATION
AND DIAGNOSIS
RESPONSE OF TOOTH
STRUCTURE TO
VARIOUS
ENIVRONMENTAL
FACTORS OVER A
PERIOD OF TIME
MORPHOLOGY OF
THE TOOTH
STRUCTURE
DIFFERENT
TREATMENT
PROTOCOLS
AGE RELATED
DISORDERS
13
RELEVANCE IN CONSERVATIVE DENTISTRY AND ENDOODNTICS
 Etiology behind the pathology
 Differentiating between normal and abnormal pathologies
 Prognosis of the treatment
 Restorative material used,
 Endodontic outcomes-Interproximal root caries is difficult to restore, and restoration
failure as a result of continued decay is common
14
GENERAL EFFECTS OF AGEING
•
•
•
•
REPARATIVE CAPACITY
15
DENTALAGE ESTIMATION METHODS-ROLE IN
FORENSIC DENTISTRY
• Based on the evaluation of the sequence of teeth eruption in
oral cavity and the morphological changes on tooth structure
due to functions such as attrition, changes in color that are
indicators of aging.
VISUAL METHOD
• The development of each tooth can be assessed over long
periods of time using radiographs in a continuous pattern,
using different crown and root maturity stages of tooth
formation
RADIOGRAPHIC
METHODS
• Calculates the correlation between the reduction of the
coronal pulp cavity and the chronological age. The tooth-
coronal index (TCI) is calculated for each tooth and regressed
on the real age of the sample using a formula
CORONAL PULP
CAVITY INDEX
• They measured pulp length and width as well as root length
and width. Because of magnification and angulation on the
radiographs, different ratios between root and pulp were
measured
PULP TO TOOTH
RATIO METHOD
16
MORPHOLOGICAL METHODS
Morphological methods are based on assessment of ex-vivo teeth for age estimation of adults.
The samples of the extracted tooth can be sectioned or unsectioned and observed with the eye or with
microscope .
The first technique was published by Gustafson in 1950 AND noted the following changes:
1.Attrition of the incisal or occlusal surfaces due
to mastication [A]
1.Periodontitis [P]—the loss of periodontal attachment
Cementum apposition [C] at the root apex
Transparency of the root [T]
Root resorption [R] amount
1.Secondary dentin [S]—the amount of coronal secondary
dentine formation
17
Prenatal stage (up to 6 months) radiological methods cannot be accurate in dental
age estimation given that the dentin and enamel images are radiolucent.
BIOCHEMICAL METHODS
.
STACK S METHOD
Fetal age is linearly related to the square root of the weight of mineralized
tissue in the deciduous anterior teeth during the last trimester
At 6 months intrauterine life, the weight is 60 mg; in the newborn child,
18
Biochemical and histological methods are preferred in
adults.
The biochemical methods determine alterations in ion
levels with age.
The calcium/phosphorus ratio in peritubular dentine
increases significantly with age
The rate of racemization of D and L enantiomers of
aspartic acid residues in the collagen of dentin is time-
dependent
Aspartic acid racemization is demonstrated to be an
19
The d/l ratio has been shown to be highly correlated with age
The racemization rate of the cementum shows the fastest
reaction than enamel and dentine.
l-aspartic
acids
d-aspartic
acids
The levels of d-aspartic acid
in human enamel, dentine
and cementum
Increase
with age.
20
This technique is more appropriate
for postmortem situations.
 The histological methods can detect
mineralization before being detected
in the radiographs.
Prenatal dental maturity can be
assessed by using dissection and
alizarin staining of fetal tooth germs.
HISTOLOGICAL METHOD
21
NEONATAL LINES
 The neonatal lines are an optical phenomenon produced
due to alteration in the dimension, degree and
mineralization of enamel prisms caused due to the
sudden change from intrauterine to extrauterine
environment .
 Neonatal lines can be used to differentiate between
live birth and still birth and are an important tool in
forensic cases and for pre epidemiological studies.
22
Role of Cross Striations
DIAGNOSTIC BIOMARKERS IN SALIVA RELATING TO AGE
 Noninvasive approach for prediction of aging
processes as saliva biomarkers are related to age
features of teeth.
 The saliva status during the different age periods
is related to age features of tooth enamel.
23
AGE RELATED CHANGES IN ORAL TISSUES
TISSUE CHANGES
1. TEETH
2.PERIODONTIUM
- BONE
- PDL
ORAL MUCOUS
MEMBRANE
FUNCTIONAL CHANGE
1. SALIVARY CHANGES
2. TASTE
3. MASTICATION
4. DEGLUTITION
24
25
MORPHOLOGICAL AND HISTOLOGICAL CHANGES IN ENAMEL
The outer surfaces of the enamel remain in equilibrium with the surrounding oral fluids.
When this equilibrium is not maintained, such as during an acid attack, H+ ions from the acid adhere
to different sites on the surface of the dental hard tissues and cause demineralization
In acidic environment, the concentrations of PO4 3– and OH– ions are lower, so PO4 3– and OH– ions
dissolve out of the tooth and into the surrounding fluids to maintain the equilibrium.
Throughout our lifetime, the teeth are not only constantly subjected to such acidic environments, but
also to mechanical forces, which intensify the wear of the tooth surfaces.
TOOTH WEAR IS A CHEMICAL-MECHANICAL PROCESS.
26
PHYSICAL CHANGES
 Wearing away of occlusal and proximal
contacts due to overload of mastication
CLINICAL MANIFESTATIONS-
 Appearance of small polished facets on cusp
tip and ridges and slight flattening of incisal
edges.
 Reduction of cuspal height and flattening of
proximal contour
 Shortening of the length of dental arch
 Loss of vertical dimensions
 Enamel becomes harder and brittle with age
CHEMICAL CHANGES:
• Increase in the Organic content while
some state there is decrease
• Increase in Nitrogen and Fluoride
• Increase in size of enamel crystals
27
AGE CHANGES IN ENAMEL
- CHANGES IN COLOUR-
BECOMES DARKER
-ATTRITION, EROSION, ABRASION
, ABFRACTION
- PRESENCE OF LONGITUDINAL
CRACKS
DECREASED - PERIKYMATA
- ENAMEL RODS
- PERMEABILITY TO FLUIDS
INCREASED – RESISTANCE TO DECAY.
- NITROGEN
- FLUORINE
28
COLOUR CHANGES IN ENAMEL
The nitrogen content of enamel appears to increase, which correlates with increased pigment,
leading to tooth darkening.
Refractive and light absorptive changes are related to enamel and dentinal structural changes.
29
DISCOLORATION AND STAINS
 With ageing, the teeth become darker.
 Extrinsic causes- staining brought about by tobaceo, tea, coffee, red
wine, chlorhexidene or discoloured restorations.
 Intrinsic causes- staining by leakage of breakdown products of
haemoglobin into the dentinal tubules in non-vital teeth or contaminants
from root-filling materials or caries or resorption.
Clinical significance
 The alterations to tooth colour and contour leads to modification in
treatment relating to esthetics
 Use of adhesive restorations through bleaching, veneers and crowns to
the provision of prostheses.
 Very subjective area as patients' perception of their oral self image varies
from individual to individual. 30
AGE CHANGES IN PERMEABILITY
LESS
PERMEABLE
31
 Increase in the size of the crystal.
 The crystal size increases due to ions
acquired by it from the oral fluids- saliva.
 The pores between th crystals decreases
 Permits the slow passage of water and
substances of small molecular size
through pores between the crystals.
 The increase in size of the crystal
decreases the pores between them
causing a reduction in permeability
HARDNESS
An increase in brittleness,' The organic substance
between enamel prisms apparently becomes calcified,
causing brittleness and fractures
Some studies have shown that enamel surface hardness
presents a decreasing slope from the enamel surface
towards the dentino-enamel junction
 Older teeth, which have already lost their surface layer
have lower hardness values.
 Teeth from older patients (55 years or older) had
higher elastic modulus and surface hardness than
teeth from younger patients (between 18 and 30 years
old).
This increase in elastic modulus
 Reduction in the interprismatic organic matrix 32
CONCENTRATION OF FLUORIDE
 In enamel of young teeth the concentration is highest
towards the incisal edge and lowest towards the cervical
edge.
 With increasing age, a great part of the surface fluoride is
lost
 After the age of 30, there is a shift in the gradient of
fluoride concentration, which increases towards the cervical
edge of the teeth
 Anterior teeth of elderly patients present relatively high
fluoride concentration on the cervical margin of the enamel,
Relatively low fluoride concentration on the remaining
enamel surface.
33
 Root-surface caries lesions develops on exposed root dentine surfaces or exposed cementum as a result of
gingival recession and not on the actual cervical enamel itself
 In addition, the lower fluoride concentration on the remaining enamel surface has also been associated
with a greater liability to demineralization (greater porosity within the lesion) than young teeth
 Role of saliva as the age advances
34
ATTROPHIES ASSOCIATED WITH
ENAMEL
35
NCCL’S – NON CARIOUS CERVICAL LESIONS
 ABRASION
 EROSION
 ABFRACTION
ABRASION
• CAUSES
Pathological and physiological abrasion occurs in dental
hard tissues with age. These changes produce differences
in mineral exchange in different age groups
Definition — The pathologic wearing away of a substance or structure (such as a tooth), through some
unusual or abnormal mechanical process. (Glossary of Endodontics- Updated March 2020)
36
FEATURES OF ABRASION
Most common teeth involved are the premolars and the cuspids
Surface – extremely smooth and polished walls
On probing it stimulates pain 37
Saucer shaped defects.
 Exposed root surface.
 Associated with Gingival recession.
EROSION
38
A loss of tooth substance by a chemical process without
bacteria. (Glossary of Endodontics- Updated March 2020)
TYPES
i. Intrinsic
ii. Extrinsic
BROAD concavities with smooth surface
enamel.
Cupping of occlusal surface with dentinal
exposure.
 In deciduous teeth –Loss of enamel surface
characteristics and pulp exposure .
EXTRINSIC FACTORS INTRINSIC FACTORS
39
 Carbonated & soft drink
 Poor oral hygiene
 Food colours added in diet
 Existing restorations
Remnants of nasmyth’s membrane
Chromogenic bacteria
Gastric relux disease
 Caries.
 Fluorosis.
Drugs like tetracyclines
Porphyria
 Blood dyscrasias
Regurgitaion
ABFRACTION
40
The article was titled "Abfractions: A New
Classification of Hard Tissue Lesions of Teeth"
by John O. Grippo.
Definition — A V-shaped loss of hard tooth structure caused by biomechanical loading forces such as from flexure
and/or chemical fatigue degradation of enamel and/or dentin at some location distant from the actual point of
loading. (Glossary of Endodontics- Updated March 2020
ATTRITION
The physiologic wearing away of a substance or
structure, such as a tooth, in the course of normal
use or parafunctional habits. (Glossary of
Endodontics- Updated March 2020)
The initial signs of tooth wear are-
 The flattening of the tooth surface
 Loss of the outer layers of enamel, resulting in
smoother enamel surfaces without perikymata
41
CAUSES:
- MASTICATORY STRESS
- PARA-FUNCTIONAL HABITS.
-ABNORMAL OCCLUSION
CLINICAL PRESENTATION OF ATTRITION
• Loss of tooth anatomy.
• Sensitivity and pain.
•Tooth discoloration.
• Compromised periodontal support
leading to drifting of teeth.
• Altered occlusion due to decreasing
occlusal vertical dimension.
42
43
Gustafson's criteria of attrition were measured by slicing the images sagitally in the centre of the
tooth and classified in accordance to the stages reported by Olze et al.
Stage 0: No attrition
Stage 1: Beginning attrition with loss of cusp tips
Stage 2: Attrition reaching into dentine
Stage 3: Attrition reaching into dentine with opening of pulp cavity
REFERENCE-Age estimation from structural changes of teeth and buccal alveolar bone level K.K. Koh a , J.S. Tan a , P
. Nambiar b, * , Norliza
Ibrahim b , Sunil Mutalik c , Muhammad Khan Asif. 2017 Elsevier Ltd and Faculty of Forensic and Legal Medicine
RELATIONSHIP BETWEEN ATTRITION AND DENTAL CARIES
• Physiological Attrition wears out the protective enamel increasing seeding of acid into the enamel matrix
therefore increasing demineralization and the chance of developing carious lesions.
• Pathological attrition which involves severe enamel wear, the dentine is exposed and this predisposes the tooth
to bacterial invasion by S. mutans which consequently leads to development and rapid progression of dental
caries .
44
DIFFERENTIATE BETWEEN THE THREE
45
SHARP ANGLES
LESS SHARP ANGLES
CLINICAL CONSIDERATION IN ENAMEL
BLEACHING
ACID ETCHING
CAVITY PREPARATION
FLUORIDE
APPLICATION
46
47
.
CHANGES IN DENTIN TAKES PLACE TO ENSURE THAT THE FUNCTION OF PROTECTION IS TAKEN
OVER FROM ENAMEL AS THE ENAMEL WEARS WITH AGING.
TWO MOST IMPORTANT CHANGES
Increase in the thickness of dentin due
to continuous, gradual deposition of
secondary dentin
Increased sclerosis or obliteration
of dentinal tubules
The increase in the mineral
density is responsible for
increased hardness of dentin
with aging. 48
ODONTOBLASTIC CHANGES
Degeneration of odontoblasts with presence of vacuoles being visible prior to their atrophy .
Odontoblasts lining sclerotic dentine become reduced in number and disappear
Due to a cell mediated change.
49
Aged odontoblasts have a Decreased Secretory Function
 Oodontoblasts reduce their secretory machinery acquire
a mature stage characterized by the presence of
autophagic vacuoles (AV).
 Accumulation of lipofuscin deposits- LF
 The size of the odontoblast layer changes from columnar
in young to cuboidal in older indivuals.
Nestin and Notch protein, which are expressed in young
odontoblasts , are absent in adult tissue
but are reexpressed during reparative dentin formation
50
REPARATIVE DENTIN
The hard tissue thus formed is best termed reparative
dentin, although the terms tertiary dentin, response, or
reactive dentin are also used.
Reparative dentin is characterized as having fewer and
more twisted tubules than normal dentin.
Tertiary dentin matrix secreted by odontoblast-like
cells in response to an appropriate stimulus after
the death of odontoblasts;
stimuli tend to be much stronger than those causing
reactionary dentin formation.( Glossary of
Endodontics- Updated March 2020)
51
ARRANGEMENT OF TUBULES IN REPARATIVE DENTIN
A- NORMAL DENTIN
B-E- OTHERTYPES OF REPARATIVE
DENTIN
B- REPARATIVE DENTIN CONTAINS
FEWER TUBULES THAN NORMAL TUBULES
C- IT INCLUDES CELLS WITHIN THE
MATRIX
D- SHOWS IRREGULARLY ARRANGED
TUBULES
E- COMBINATION OF DIFFERENT TYPES
52
 Dead tracts In dried ground sections of
normal dentin shows the odontoblast
processes disintegrate, and the empty
tubules are filled with air.
 Their degeneration is often observed in
the area of narrow pulpal horns because
of crowding of odontoblasts.
 Where reparative dentin seals dentinal
tubules at their pulpal ends, dentinal
tubules fill with fluid or gaseous
substances.
DEAD TRACTS
Dentinal tubules seen in histologic sections to be devoid of cellular processes indicating odontoblastic destruction;
may contain debris and microorganisms. (Glossary of Endodontics- Updated March 2020)
53
54
SCLEROTIC DENTIN/ TRANSPARENT DENTIN
Dentin characterized by calcification of the dentinal tubules as a result of injury or normal aging; it appears
translucent in ground sections due to the difference in refractive indices of calcified dentinal tubules and adjacent
normal tubules when examined by transmitted light. (Glossary of Endodontics- Updated March 2020)
PREVELANT IN
OLDER INDIVUALS
An increase in the transluceney of older sclerotic dentine would tend to confine caries to the
dentinoenamel junction as opposed to the dead tracts in younger dentine which would allow caries
to progress towards the pulp more easily.
55
CLINICAL SIGNIFICANCE
Have a profound influence on surface treatment
techniques for adhesive materials.
When non-sclerotic dentine was treated with maleic acid
primer, patent tubules resulted into which resinous tags
could penetrate.
However, with increasing sclerosis of the dentine the
primer solution was less effective in opening patent
tubules
On application of one resin (CIcarfil Liner Bond System)
to normal dentine there was extensive resin tag
development into the opened tubules .
However when the same resin was applied to sclerotic
dentine there were few resin tags formation.
CASE 1
CASE 2
56
Reference- Progressive changes in the pulpo-dentinal complex and their clinical consequences F.M. Burke and D.Y.D. Samarawickrama Department of Conservative Dentistry,
St Bartholomew's and the Royal Eondon School of Medicine and Dentistry, London, UK. Gerodontology 1995; 12(2): 57-66
Use of an adhesive system which bonded chemically to
calcium, N (p-toly) giycine glycidyl methacrylate
resulted in reduced microleakage compared to an
adhesive which bonded to the organic portion of
dentine in aged teeth. The higher content of calcified
tissue in aged dentine may be responsible for this.
Cervical lesions which were more highly sclerosed
performed less well than less sclerosed lesions in terms of
loss of retention, marginal integrity and discolouration
CASE 4
CASE 3
57
Reference- Progressive changes in the pulpo-dentinal complex and their clinical consequences F.M. Burke and D.Y.D. Samarawickrama Department of Conservative Dentistry, St
Bartholomew's and the Royal Eondon School of Medicine and Dentistry, London, UK. Gerodontology 1995; 12(2): 57-66
PERITUBULAR DENTIN
 This dentine lines the walls of dentinal
tubules.
 Old dentine has deposition of a
phosphoric acid-resistant intratubular
material.
 This dentine has a reduced permeability
when compared with younger dentin.
 An increase in the amount of peritubular dentine
has been reported with attrition.
Clinical Significance
The pulps of young teeth with open dentinal tubules
would be more susceptible to toxic stimuli from dental
materials than older teeth with sclerosed canals
58
SECONDARY DENTIN
 Secondary dentine forms pulpally throughout life
mainly on the floor and to a lesser extent, on the roof of
the pulp chamber .
 In older patients, the dentine deposited on the pulpal
floor is thicker and more irregular than that on the
roof of the pulp chamber.
 This irregular floor dentine also appeared to be more
radiolucent due few odontoblasts in this site having to
cover an increasing surface area with a consequent
irregular deposition of dentine.
59
Reference- Progressive changes in the pulpo-dentinal complex and their clinical consequences F.M. Burke and D.Y.D. Samarawickrama Department of Conservative Dentistry, St
Bartholomew's and the Royal Eondon School of Medicine and Dentistry, London, UK. Gerodontology 1995; 12(2): 57-66
GUSTAFSON'S CRITERIA
60
Stage 0: Pulp horn reaches to above crown equator*
Stage 1: Pulp horn reaches at maximum to crown equator*
Stage 2: Pulp horn exceeds enamel-cementum boundary and falls short to crown equator*
Stage 3: Pulp horn reaches at maximum to enamel-cementum boundary
*crown equator refers to the mid-point of crown length measured from cervical line to the highest cusp tip.
REFERENCE-Age estimation from structural changes of teeth and buccal alveolar bone level K.K. Koh a , J.S. Tan a , P
. Nambiar b, * , Norliza
Ibrahim b , Sunil Mutalik c , Muhammad Khan Asif. 2017 Elsevier Ltd and Faculty of Forensic and Legal Medicine
CLINICAL SIGNIFICANCE OF SECONDARY DENTIN FORMATION
61
While it is more difficult to expose the pulp during tooth preparation it is
also more difficult to locate the pulp chamber and canals when carrying
out root canal therapy
Increasing deposition of dentine in the pulp canal reduces the amount of
instrumentation necessary during root canal treatment
 The increased amount of dentin at the apical foramen increases the
amount of apical slops.
Reference- Progressive changes in the pulpo-dentinal complex and their clinical consequences F.M. Burke and D.Y.D. Samarawickrama Department of Conservative Dentistry, St
Bartholomew's and the Royal Eondon School of Medicine and Dentistry, London, UK. Gerodontology 1995; 12(2): 57-66
PROGRESSION OF CARIES RELATING TO AGE
The carious process
often develops during
the first months after
tooth eruption but is
much less in adulthood
and old age
Leading to LESSER
progression of
caries
These processes are
mainly associated with
the mechanisms of ionic
exchange between the
oral cavity and hard
dental tissues.
A mature enamel has
small intercrystalline
spaces and, in this
connection, is poorly
adapted for ion
exchange.
62
CLINICAL CONSIDERATION IN DENTIN
DENTIN PERMEABILITY DENTIN SENITIVITY
REACTIONS TO DIFFERENT
CAVITY PREPARATION
63
64
CELLULAR CHANGES
VOLUME-The volume of pulp decreases with age,
which may be attributed to continuous deposition of
secondary dentin throughout the life.
CELLS- The number, nature, properties, and capabilities
of the cells change.
DENSITY- The decrease in pulp cell density is greater in root compared to crown and
at all ages . The pulp cell densities including odontoblasts is greater within the crown
compared to the root.The density of odontoblasts and the pulpal fibroblasts decreases
with age in general
NERVE SUPPLY-There is also considerable decrease in the nerve supply. This
compounded with increased thickness of dentin may be responsible for the decreased
pulpal response and its healing capability.
65
CYTOPLASMIC ORGANELLES- the cells are characterized by a
decrease in size and number of cytoplasmic organelles.
FIBROCYTES-The fibroblasts in the aging pulp exhibit less perinuclear
cytoplasm and possess long, thin cytoplasmic processes.
INTRACELLULAR ORGANELLES- The intracellular
organelles, mainly the mitochondria and endoplasmic
reticulum are reduced in number and size.
CHANGE IN THE SIZE OF THE PULP CAVITY - The continuous secondary
dentin deposition on the pulpal wall especially the floor of the pulp chamber leads
to its gradual reduction in size and its irregularity by age.
66
IF CELLS DIE THEN HOW DOES
FIBRES INCREASE IN THE PULP ?
67
The canal entrances also narrow and move centrally, whilst
in cross-section, the canals narrow concentrically.
Pulps continue to secrete dentine throughout life. In
molars, this is mainly on the floor and roof of the chamber,
converting it from a deep cavern to a flat disc .
This process also narrows the entrances and moves
them closer to the centre of the tooth.
68
VASCULAR CHANGES
 Blood flow decreases with age.
 This is due to decrease in the number of blood vessels
and due to formation of atherosclerotic plaques within
pulpal vessels.
 In other cases, the outer diameter of vessel walls
becomes greater as collagen fibers increase in the
medial and adventitial layers.
 Calcification in the walls of blood vessels is found
most often in the region near the apical foramen.
69
FIBROSIS OF PULP
In the aging pulp accumulations of both diffuse fibrillar
components as well as bundles of collagen fibers appear.
ARRANGEMENT CHANGES- Fiber bundles may appear
arranged longitudinally in bundles in the radicular pulp,
and in a random more diffuse arrangement in the
coronal area.
The increase in fibers in the pulp organ is gradual and is
generalized throughout the organ.
70
THEN WHY THE SIZE AND VOLUME OF PULP
DECREASES ?
 Collagen increase Is noted in the medial and
adventitial layers of blood vessels as well.
 The increase in collagen fibers may be more
apparent than actual, being attributable to the
decrease in the size of the pulp
 This makes the fibers present occupy less space,
and hence they become more concentrated
without increasing in total volume
71
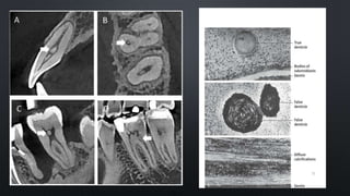
PULP STONES
Pulp stones or denticles are nodular, calcified masses
appearing in either or both coronal and root portions of
the pulp organ.
Calcifications in the coronal region are known as pulp
stones
whereas those in the radicular pulp are diffuse and may
lead to a complete calcific degeneration, a process
termed pulpal obliteration (Murray et al., 2002; Goldberg,
2014; Montoya et al., 2015).
All these events take place approximately in the same
period (20-39 years of age), and they are often followed
by a decrease in odontoblast cellularity
72
CALCIFICATION OF PULP
True denticles
Its structure is similar to dentin.
They exhibit dentinal tubules containing the processes
of the odontoblasts that exist on their surface. They are
rare and are usually located near the apical foramen.
False denticles
These denticles do not exhibit dentinal tubules but
appear as concentric layers of calcified tissue.
The surrounding pulp tissue may appear quite
normal. They are seen more frequently in the
coronal pulp.
73
Diffuse calcifications appear as irregular calcific deposits in the pulp
tissue, usually following collagenous fiber bundles or blood vessels .
Larger masses or fine calcified spicules.
DIFFUSE CALCIFICATIONS
74
TEENAGE-EXTENSIVE
BRANCHING OF PULP
NERVES AND RICH
ODONTOBLASIC
NETWORK
30 YEAR OLD- CENTRAL
PORTION OF THE PULP
CHAMBER- INTERIOR
VASCULAR CHAMBERS
ARE REDUCED
40-70 YEAR OLD-
CENTRALLY LOCATED
VESSSLES VISIBLE-
SUBODONTOBLASTIC
CAPILLARY PLEXUS
ABSENT
50 YEAR OLD-Only the
pulpal nerve is
demonstrable; the cuspal
branches and
subodontoblastic network
are absent
Reference- Seltzer and Bender's Dental Pulp, Second Edition
75
A
D
C
B
PULP CHAMBER SUBODONTOBLASTIC
CAPILLARY NERVES OF PULP
A- irregular secondary dentin formation is visible,
mostly on the lingual wall of the pulp chamber
B-The irregular secondary dentin fills the entire pulp
chamber of the crown and extends down to the
apical third of the root canal.
15-year-old subject.
Unmyelinated axons
form groups of
varying sizes
34-year-old-
Unmyelinated axons
are usually in small
groupings
Reference- Seltzer and Bender's Dental Pulp, Second Edition
76
SECONDARY DENTIN
UNMYELINATED AXONS
NEW UPDATE- AGING IN DENTAL PULP
STEM CELLS- DPSC
Dental pulp cells from aged individuals are
still metabolically active and secrete pro-
inflammatory and matrix-degrading
molecules.
Furthermore, mRNAs and exosomes derived
from dental pulp stem cells constitute an
attractive source of nanovesicles for the
treatment of age-related dental pathologies
77
REFERENCE- THE EFFECTS OF AGEING ON DENTAL PULP STEM CELLS, THE TOOTH LONGEVITY ELIXIR I. Iezzi1,2, P
. Pagella2 , M. Mattioli-
Belmonte1 , T.A. Mitsiadis2 *. European cells and volume-vol 27-2019
78
THICKNESS- the thickness of
cementum increases with age
Commonly seen in the apex of the root
reason- passive eruption occurring to
compensate the occlusal and proximal wear
due to attrition
Triples from the age 0f 10 to 70
WIDTH- increases- due to elimination of waste
products from cementum
CEMENTOCYTES-
Lowest proliferative stage
Gradually die due to reduced
accessibility to nutrition
HYERCEMENTOSIS- Abnormal thickening
of cementum which might be diffused or
circumscribed,
2 types- cementum hypertrophy
Cementum hyperplsia
EXCEMENTOSIS- Localized
hypercementosis observed in areas of
enamel drops that have been
developed over dentin.
CEMENTICLES- calcified bodies
present in the PDL and are also
referred to as coronal cementum
79
AGING IN ENDODONTICS- COHEN
• MEDICAL HISTORY
• OBJECTIVE SIGNS AND SYMTOMS
• ROLE OF SALIVA
• PREVALANCE OF ROOT CARIES ROOT CARIES
• PULP TESTING
• RADIOGRAPHS
• TREATMENT PLAN
• ASSOCIATION OF PERIODONTALLY COMPROMISED TOOTH WITH ENDODONTICS
• ACCESS PREPARATION
• SUCCESS AND FAILURE
80
IMPORTANCE OF PULP TESTING
81
CONCLUSION
The increased longevity of the dentition, made possible by expanding fields of
advanced restorative procedures and endodontics, implies that dentistry will see a
substantial growth in the number of older patients. The desire for root canal treatment
among aging patients has increased considerably in recent years. Older patients are
aware that treatment can be performed comfortably and that age is not a factor in
predicting success
82
“ Geriatric endodontics will gain importance as the aging
population recognises that COMPLETE DENTITION , AND NOT
COMPLETE DENTURE AS ITS DESTINY ” -Cohen
REFERENCES
REFERENCE-Age estimation from structural changes of teeth and buccal alveolar bone level K.K. Koh a , J.S. Tan a , P. Nambiar
b, * , Norliza Ibrahim b , Sunil Mutalik c , Muhammad Khan Asif. 2017 Elsevier Ltd and Faculty of Forensic and Legal Medicine
Seltzer and Bender's Dental Pulp, Second Edition
BOOKS
ARTICLES
ORBANS- ORAL HISTOLOGY AND EMBRYOLOGY- SN BHASKAR, GS KUMAR
Cohen – pathways of pulp- Kenneth M. Hargreaves, Stephen Cohen- 11th edition
Textbook of dental and oral histology with embryology- Satish Chandra
Oral anatomy , histology and embryology – international edition- B.K.B Berkovitz, G.R Holland , B.J.
moxham
Age Changes In Oral Tissues Dr Abhishek Khare Reader Dept. of Oral Pathology & Microbiology Career Post
Graduate Institute of Dental Science Lucknow Dr Amit thahriani Private Practicinor
Progressive changes in the pulpo-dentinal complex and their clinical consequences F.M. Burke and D.Y.D. Samarawickrama
Department of Conservative Dentistry, St Bartholomew's and the Royal Eondon School of Medicine and Dentistry, London, UK.
Glossary of Endodntics- Updated March 2020
84
THANK YOU

Age changes in tooth

  • 1.
    AGE CHANGES INENAMEL, DENTIN , PULP AND CEMENTUM PRESENTED BY- DR. AISHWARYA ARYA MMCDSR
  • 2.
    1. Introduction 2. Variousterminologies 3. What causes aging ? 4. Theories of ageing 5. Factors affecting ageing 6. Importance in dentistry 7. Importance in Conservative dentistry Endodontics 8. General factors of aging 9. Dental age estimation methods 10. Age related changes in oral tissues 11. Age changes in Enamel 12. Age changes in Dentin 13. Age changes in Cementum 14. Age changes in pulp 15. New Updates 16. Conclusion 17. References CONTENTS 2
  • 3.
    Aging is acontinuous, detrimental, and innate phenomenon in an organism. It is a time-related process, which happens in a constant and steady manner right from birth and continues till death… 3
  • 4.
  • 5.
  • 6.
    WHAT CAUSES AGING Thecensus today states that aging is the end result of various multiple biological process GENETIC LEVEL Where information for the initiation and maintainence of cellular functions are involved CELLULAR LEVEL Where integrity of somatic cells are maintained 6
  • 7.
    THEORIES OF AGEING WEARAND TEAR THEORY NEURO ENDOCRINE THEORY FREE RADICAL THEORY GENETIC CONTROL THEORY TELOMERASE THEORY 7
  • 8.
    WEAR AND TEARTHEORY 8 Given by August Weihmann (1882) These theories (also called simple deterioration theories) Proposed that organs and tissues were damaged by continuous use and abuse When a person ages , body’s mechanism to repair the damage caused by wear and tear is reduced. Hence , in old age people die of diseases which they could have resisted when they were young
  • 9.
    FREE RADICAL THEORY First postulated by Harman in 1956, this theory suggests that free radicals cause oxidative damage to cells and their products, resulting in aging.  Free radicals are atoms or molecules that have one free electron.  They are very reactive due to the tendency to pair.  Free radical activity is required to produce energy , maintain immunity, nerve transmission.  But free radicals also attack cell membranes producing metabolic waste products –lipofuschins 9
  • 10.
    GENETIC THEORY Another theoryproposed by Leo Szilard in 1959 He puts forth the idea that genes involved in DNA metabolism and repair become faulty with time. This leads to accumulation of DNA damage that manifests as aging. 10
  • 11.
  • 12.
    THE TELOMERASE THEORYOF AGEING • Similarly, Watson in 1972 suggested that telomeres may be involved in aging. Age related changes do not occur uniformly in individuals , but they are under the influence of genetic and environment factors 12
  • 13.
    IMPORTANCE OF AGINGIN DENTISTRY FORENSIC DENTISTRY PROPER EVALUATION AND DIAGNOSIS RESPONSE OF TOOTH STRUCTURE TO VARIOUS ENIVRONMENTAL FACTORS OVER A PERIOD OF TIME MORPHOLOGY OF THE TOOTH STRUCTURE DIFFERENT TREATMENT PROTOCOLS AGE RELATED DISORDERS 13
  • 14.
    RELEVANCE IN CONSERVATIVEDENTISTRY AND ENDOODNTICS  Etiology behind the pathology  Differentiating between normal and abnormal pathologies  Prognosis of the treatment  Restorative material used,  Endodontic outcomes-Interproximal root caries is difficult to restore, and restoration failure as a result of continued decay is common 14
  • 15.
    GENERAL EFFECTS OFAGEING • • • • REPARATIVE CAPACITY 15
  • 16.
    DENTALAGE ESTIMATION METHODS-ROLEIN FORENSIC DENTISTRY • Based on the evaluation of the sequence of teeth eruption in oral cavity and the morphological changes on tooth structure due to functions such as attrition, changes in color that are indicators of aging. VISUAL METHOD • The development of each tooth can be assessed over long periods of time using radiographs in a continuous pattern, using different crown and root maturity stages of tooth formation RADIOGRAPHIC METHODS • Calculates the correlation between the reduction of the coronal pulp cavity and the chronological age. The tooth- coronal index (TCI) is calculated for each tooth and regressed on the real age of the sample using a formula CORONAL PULP CAVITY INDEX • They measured pulp length and width as well as root length and width. Because of magnification and angulation on the radiographs, different ratios between root and pulp were measured PULP TO TOOTH RATIO METHOD 16
  • 17.
    MORPHOLOGICAL METHODS Morphological methodsare based on assessment of ex-vivo teeth for age estimation of adults. The samples of the extracted tooth can be sectioned or unsectioned and observed with the eye or with microscope . The first technique was published by Gustafson in 1950 AND noted the following changes: 1.Attrition of the incisal or occlusal surfaces due to mastication [A] 1.Periodontitis [P]—the loss of periodontal attachment Cementum apposition [C] at the root apex Transparency of the root [T] Root resorption [R] amount 1.Secondary dentin [S]—the amount of coronal secondary dentine formation 17
  • 18.
    Prenatal stage (upto 6 months) radiological methods cannot be accurate in dental age estimation given that the dentin and enamel images are radiolucent. BIOCHEMICAL METHODS . STACK S METHOD Fetal age is linearly related to the square root of the weight of mineralized tissue in the deciduous anterior teeth during the last trimester At 6 months intrauterine life, the weight is 60 mg; in the newborn child, 18
  • 19.
    Biochemical and histologicalmethods are preferred in adults. The biochemical methods determine alterations in ion levels with age. The calcium/phosphorus ratio in peritubular dentine increases significantly with age The rate of racemization of D and L enantiomers of aspartic acid residues in the collagen of dentin is time- dependent Aspartic acid racemization is demonstrated to be an 19
  • 20.
    The d/l ratiohas been shown to be highly correlated with age The racemization rate of the cementum shows the fastest reaction than enamel and dentine. l-aspartic acids d-aspartic acids The levels of d-aspartic acid in human enamel, dentine and cementum Increase with age. 20
  • 21.
    This technique ismore appropriate for postmortem situations.  The histological methods can detect mineralization before being detected in the radiographs. Prenatal dental maturity can be assessed by using dissection and alizarin staining of fetal tooth germs. HISTOLOGICAL METHOD 21
  • 22.
    NEONATAL LINES  Theneonatal lines are an optical phenomenon produced due to alteration in the dimension, degree and mineralization of enamel prisms caused due to the sudden change from intrauterine to extrauterine environment .  Neonatal lines can be used to differentiate between live birth and still birth and are an important tool in forensic cases and for pre epidemiological studies. 22 Role of Cross Striations
  • 23.
    DIAGNOSTIC BIOMARKERS INSALIVA RELATING TO AGE  Noninvasive approach for prediction of aging processes as saliva biomarkers are related to age features of teeth.  The saliva status during the different age periods is related to age features of tooth enamel. 23
  • 24.
    AGE RELATED CHANGESIN ORAL TISSUES TISSUE CHANGES 1. TEETH 2.PERIODONTIUM - BONE - PDL ORAL MUCOUS MEMBRANE FUNCTIONAL CHANGE 1. SALIVARY CHANGES 2. TASTE 3. MASTICATION 4. DEGLUTITION 24
  • 25.
  • 26.
    MORPHOLOGICAL AND HISTOLOGICALCHANGES IN ENAMEL The outer surfaces of the enamel remain in equilibrium with the surrounding oral fluids. When this equilibrium is not maintained, such as during an acid attack, H+ ions from the acid adhere to different sites on the surface of the dental hard tissues and cause demineralization In acidic environment, the concentrations of PO4 3– and OH– ions are lower, so PO4 3– and OH– ions dissolve out of the tooth and into the surrounding fluids to maintain the equilibrium. Throughout our lifetime, the teeth are not only constantly subjected to such acidic environments, but also to mechanical forces, which intensify the wear of the tooth surfaces. TOOTH WEAR IS A CHEMICAL-MECHANICAL PROCESS. 26
  • 27.
    PHYSICAL CHANGES  Wearingaway of occlusal and proximal contacts due to overload of mastication CLINICAL MANIFESTATIONS-  Appearance of small polished facets on cusp tip and ridges and slight flattening of incisal edges.  Reduction of cuspal height and flattening of proximal contour  Shortening of the length of dental arch  Loss of vertical dimensions  Enamel becomes harder and brittle with age CHEMICAL CHANGES: • Increase in the Organic content while some state there is decrease • Increase in Nitrogen and Fluoride • Increase in size of enamel crystals 27
  • 28.
    AGE CHANGES INENAMEL - CHANGES IN COLOUR- BECOMES DARKER -ATTRITION, EROSION, ABRASION , ABFRACTION - PRESENCE OF LONGITUDINAL CRACKS DECREASED - PERIKYMATA - ENAMEL RODS - PERMEABILITY TO FLUIDS INCREASED – RESISTANCE TO DECAY. - NITROGEN - FLUORINE 28
  • 29.
    COLOUR CHANGES INENAMEL The nitrogen content of enamel appears to increase, which correlates with increased pigment, leading to tooth darkening. Refractive and light absorptive changes are related to enamel and dentinal structural changes. 29
  • 30.
    DISCOLORATION AND STAINS With ageing, the teeth become darker.  Extrinsic causes- staining brought about by tobaceo, tea, coffee, red wine, chlorhexidene or discoloured restorations.  Intrinsic causes- staining by leakage of breakdown products of haemoglobin into the dentinal tubules in non-vital teeth or contaminants from root-filling materials or caries or resorption. Clinical significance  The alterations to tooth colour and contour leads to modification in treatment relating to esthetics  Use of adhesive restorations through bleaching, veneers and crowns to the provision of prostheses.  Very subjective area as patients' perception of their oral self image varies from individual to individual. 30
  • 31.
    AGE CHANGES INPERMEABILITY LESS PERMEABLE 31  Increase in the size of the crystal.  The crystal size increases due to ions acquired by it from the oral fluids- saliva.  The pores between th crystals decreases  Permits the slow passage of water and substances of small molecular size through pores between the crystals.  The increase in size of the crystal decreases the pores between them causing a reduction in permeability
  • 32.
    HARDNESS An increase inbrittleness,' The organic substance between enamel prisms apparently becomes calcified, causing brittleness and fractures Some studies have shown that enamel surface hardness presents a decreasing slope from the enamel surface towards the dentino-enamel junction  Older teeth, which have already lost their surface layer have lower hardness values.  Teeth from older patients (55 years or older) had higher elastic modulus and surface hardness than teeth from younger patients (between 18 and 30 years old). This increase in elastic modulus  Reduction in the interprismatic organic matrix 32
  • 33.
    CONCENTRATION OF FLUORIDE In enamel of young teeth the concentration is highest towards the incisal edge and lowest towards the cervical edge.  With increasing age, a great part of the surface fluoride is lost  After the age of 30, there is a shift in the gradient of fluoride concentration, which increases towards the cervical edge of the teeth  Anterior teeth of elderly patients present relatively high fluoride concentration on the cervical margin of the enamel, Relatively low fluoride concentration on the remaining enamel surface. 33
  • 34.
     Root-surface carieslesions develops on exposed root dentine surfaces or exposed cementum as a result of gingival recession and not on the actual cervical enamel itself  In addition, the lower fluoride concentration on the remaining enamel surface has also been associated with a greater liability to demineralization (greater porosity within the lesion) than young teeth  Role of saliva as the age advances 34
  • 35.
    ATTROPHIES ASSOCIATED WITH ENAMEL 35 NCCL’S– NON CARIOUS CERVICAL LESIONS  ABRASION  EROSION  ABFRACTION
  • 36.
    ABRASION • CAUSES Pathological andphysiological abrasion occurs in dental hard tissues with age. These changes produce differences in mineral exchange in different age groups Definition — The pathologic wearing away of a substance or structure (such as a tooth), through some unusual or abnormal mechanical process. (Glossary of Endodontics- Updated March 2020) 36
  • 37.
    FEATURES OF ABRASION Mostcommon teeth involved are the premolars and the cuspids Surface – extremely smooth and polished walls On probing it stimulates pain 37 Saucer shaped defects.  Exposed root surface.  Associated with Gingival recession.
  • 38.
    EROSION 38 A loss oftooth substance by a chemical process without bacteria. (Glossary of Endodontics- Updated March 2020) TYPES i. Intrinsic ii. Extrinsic BROAD concavities with smooth surface enamel. Cupping of occlusal surface with dentinal exposure.  In deciduous teeth –Loss of enamel surface characteristics and pulp exposure .
  • 39.
    EXTRINSIC FACTORS INTRINSICFACTORS 39  Carbonated & soft drink  Poor oral hygiene  Food colours added in diet  Existing restorations Remnants of nasmyth’s membrane Chromogenic bacteria Gastric relux disease  Caries.  Fluorosis. Drugs like tetracyclines Porphyria  Blood dyscrasias Regurgitaion
  • 40.
    ABFRACTION 40 The article wastitled "Abfractions: A New Classification of Hard Tissue Lesions of Teeth" by John O. Grippo. Definition — A V-shaped loss of hard tooth structure caused by biomechanical loading forces such as from flexure and/or chemical fatigue degradation of enamel and/or dentin at some location distant from the actual point of loading. (Glossary of Endodontics- Updated March 2020
  • 41.
    ATTRITION The physiologic wearingaway of a substance or structure, such as a tooth, in the course of normal use or parafunctional habits. (Glossary of Endodontics- Updated March 2020) The initial signs of tooth wear are-  The flattening of the tooth surface  Loss of the outer layers of enamel, resulting in smoother enamel surfaces without perikymata 41 CAUSES: - MASTICATORY STRESS - PARA-FUNCTIONAL HABITS. -ABNORMAL OCCLUSION
  • 42.
    CLINICAL PRESENTATION OFATTRITION • Loss of tooth anatomy. • Sensitivity and pain. •Tooth discoloration. • Compromised periodontal support leading to drifting of teeth. • Altered occlusion due to decreasing occlusal vertical dimension. 42
  • 43.
    43 Gustafson's criteria ofattrition were measured by slicing the images sagitally in the centre of the tooth and classified in accordance to the stages reported by Olze et al. Stage 0: No attrition Stage 1: Beginning attrition with loss of cusp tips Stage 2: Attrition reaching into dentine Stage 3: Attrition reaching into dentine with opening of pulp cavity REFERENCE-Age estimation from structural changes of teeth and buccal alveolar bone level K.K. Koh a , J.S. Tan a , P . Nambiar b, * , Norliza Ibrahim b , Sunil Mutalik c , Muhammad Khan Asif. 2017 Elsevier Ltd and Faculty of Forensic and Legal Medicine
  • 44.
    RELATIONSHIP BETWEEN ATTRITIONAND DENTAL CARIES • Physiological Attrition wears out the protective enamel increasing seeding of acid into the enamel matrix therefore increasing demineralization and the chance of developing carious lesions. • Pathological attrition which involves severe enamel wear, the dentine is exposed and this predisposes the tooth to bacterial invasion by S. mutans which consequently leads to development and rapid progression of dental caries . 44
  • 45.
    DIFFERENTIATE BETWEEN THETHREE 45 SHARP ANGLES LESS SHARP ANGLES
  • 46.
    CLINICAL CONSIDERATION INENAMEL BLEACHING ACID ETCHING CAVITY PREPARATION FLUORIDE APPLICATION 46
  • 47.
  • 48.
    . CHANGES IN DENTINTAKES PLACE TO ENSURE THAT THE FUNCTION OF PROTECTION IS TAKEN OVER FROM ENAMEL AS THE ENAMEL WEARS WITH AGING. TWO MOST IMPORTANT CHANGES Increase in the thickness of dentin due to continuous, gradual deposition of secondary dentin Increased sclerosis or obliteration of dentinal tubules The increase in the mineral density is responsible for increased hardness of dentin with aging. 48
  • 49.
    ODONTOBLASTIC CHANGES Degeneration ofodontoblasts with presence of vacuoles being visible prior to their atrophy . Odontoblasts lining sclerotic dentine become reduced in number and disappear Due to a cell mediated change. 49
  • 50.
    Aged odontoblasts havea Decreased Secretory Function  Oodontoblasts reduce their secretory machinery acquire a mature stage characterized by the presence of autophagic vacuoles (AV).  Accumulation of lipofuscin deposits- LF  The size of the odontoblast layer changes from columnar in young to cuboidal in older indivuals. Nestin and Notch protein, which are expressed in young odontoblasts , are absent in adult tissue but are reexpressed during reparative dentin formation 50
  • 51.
    REPARATIVE DENTIN The hardtissue thus formed is best termed reparative dentin, although the terms tertiary dentin, response, or reactive dentin are also used. Reparative dentin is characterized as having fewer and more twisted tubules than normal dentin. Tertiary dentin matrix secreted by odontoblast-like cells in response to an appropriate stimulus after the death of odontoblasts; stimuli tend to be much stronger than those causing reactionary dentin formation.( Glossary of Endodontics- Updated March 2020) 51
  • 52.
    ARRANGEMENT OF TUBULESIN REPARATIVE DENTIN A- NORMAL DENTIN B-E- OTHERTYPES OF REPARATIVE DENTIN B- REPARATIVE DENTIN CONTAINS FEWER TUBULES THAN NORMAL TUBULES C- IT INCLUDES CELLS WITHIN THE MATRIX D- SHOWS IRREGULARLY ARRANGED TUBULES E- COMBINATION OF DIFFERENT TYPES 52
  • 53.
     Dead tractsIn dried ground sections of normal dentin shows the odontoblast processes disintegrate, and the empty tubules are filled with air.  Their degeneration is often observed in the area of narrow pulpal horns because of crowding of odontoblasts.  Where reparative dentin seals dentinal tubules at their pulpal ends, dentinal tubules fill with fluid or gaseous substances. DEAD TRACTS Dentinal tubules seen in histologic sections to be devoid of cellular processes indicating odontoblastic destruction; may contain debris and microorganisms. (Glossary of Endodontics- Updated March 2020) 53
  • 54.
  • 55.
    SCLEROTIC DENTIN/ TRANSPARENTDENTIN Dentin characterized by calcification of the dentinal tubules as a result of injury or normal aging; it appears translucent in ground sections due to the difference in refractive indices of calcified dentinal tubules and adjacent normal tubules when examined by transmitted light. (Glossary of Endodontics- Updated March 2020) PREVELANT IN OLDER INDIVUALS An increase in the transluceney of older sclerotic dentine would tend to confine caries to the dentinoenamel junction as opposed to the dead tracts in younger dentine which would allow caries to progress towards the pulp more easily. 55
  • 56.
    CLINICAL SIGNIFICANCE Have aprofound influence on surface treatment techniques for adhesive materials. When non-sclerotic dentine was treated with maleic acid primer, patent tubules resulted into which resinous tags could penetrate. However, with increasing sclerosis of the dentine the primer solution was less effective in opening patent tubules On application of one resin (CIcarfil Liner Bond System) to normal dentine there was extensive resin tag development into the opened tubules . However when the same resin was applied to sclerotic dentine there were few resin tags formation. CASE 1 CASE 2 56 Reference- Progressive changes in the pulpo-dentinal complex and their clinical consequences F.M. Burke and D.Y.D. Samarawickrama Department of Conservative Dentistry, St Bartholomew's and the Royal Eondon School of Medicine and Dentistry, London, UK. Gerodontology 1995; 12(2): 57-66
  • 57.
    Use of anadhesive system which bonded chemically to calcium, N (p-toly) giycine glycidyl methacrylate resulted in reduced microleakage compared to an adhesive which bonded to the organic portion of dentine in aged teeth. The higher content of calcified tissue in aged dentine may be responsible for this. Cervical lesions which were more highly sclerosed performed less well than less sclerosed lesions in terms of loss of retention, marginal integrity and discolouration CASE 4 CASE 3 57 Reference- Progressive changes in the pulpo-dentinal complex and their clinical consequences F.M. Burke and D.Y.D. Samarawickrama Department of Conservative Dentistry, St Bartholomew's and the Royal Eondon School of Medicine and Dentistry, London, UK. Gerodontology 1995; 12(2): 57-66
  • 58.
    PERITUBULAR DENTIN  Thisdentine lines the walls of dentinal tubules.  Old dentine has deposition of a phosphoric acid-resistant intratubular material.  This dentine has a reduced permeability when compared with younger dentin.  An increase in the amount of peritubular dentine has been reported with attrition. Clinical Significance The pulps of young teeth with open dentinal tubules would be more susceptible to toxic stimuli from dental materials than older teeth with sclerosed canals 58
  • 59.
    SECONDARY DENTIN  Secondarydentine forms pulpally throughout life mainly on the floor and to a lesser extent, on the roof of the pulp chamber .  In older patients, the dentine deposited on the pulpal floor is thicker and more irregular than that on the roof of the pulp chamber.  This irregular floor dentine also appeared to be more radiolucent due few odontoblasts in this site having to cover an increasing surface area with a consequent irregular deposition of dentine. 59 Reference- Progressive changes in the pulpo-dentinal complex and their clinical consequences F.M. Burke and D.Y.D. Samarawickrama Department of Conservative Dentistry, St Bartholomew's and the Royal Eondon School of Medicine and Dentistry, London, UK. Gerodontology 1995; 12(2): 57-66
  • 60.
    GUSTAFSON'S CRITERIA 60 Stage 0:Pulp horn reaches to above crown equator* Stage 1: Pulp horn reaches at maximum to crown equator* Stage 2: Pulp horn exceeds enamel-cementum boundary and falls short to crown equator* Stage 3: Pulp horn reaches at maximum to enamel-cementum boundary *crown equator refers to the mid-point of crown length measured from cervical line to the highest cusp tip. REFERENCE-Age estimation from structural changes of teeth and buccal alveolar bone level K.K. Koh a , J.S. Tan a , P . Nambiar b, * , Norliza Ibrahim b , Sunil Mutalik c , Muhammad Khan Asif. 2017 Elsevier Ltd and Faculty of Forensic and Legal Medicine
  • 61.
    CLINICAL SIGNIFICANCE OFSECONDARY DENTIN FORMATION 61 While it is more difficult to expose the pulp during tooth preparation it is also more difficult to locate the pulp chamber and canals when carrying out root canal therapy Increasing deposition of dentine in the pulp canal reduces the amount of instrumentation necessary during root canal treatment  The increased amount of dentin at the apical foramen increases the amount of apical slops. Reference- Progressive changes in the pulpo-dentinal complex and their clinical consequences F.M. Burke and D.Y.D. Samarawickrama Department of Conservative Dentistry, St Bartholomew's and the Royal Eondon School of Medicine and Dentistry, London, UK. Gerodontology 1995; 12(2): 57-66
  • 62.
    PROGRESSION OF CARIESRELATING TO AGE The carious process often develops during the first months after tooth eruption but is much less in adulthood and old age Leading to LESSER progression of caries These processes are mainly associated with the mechanisms of ionic exchange between the oral cavity and hard dental tissues. A mature enamel has small intercrystalline spaces and, in this connection, is poorly adapted for ion exchange. 62
  • 63.
    CLINICAL CONSIDERATION INDENTIN DENTIN PERMEABILITY DENTIN SENITIVITY REACTIONS TO DIFFERENT CAVITY PREPARATION 63
  • 64.
  • 65.
    CELLULAR CHANGES VOLUME-The volumeof pulp decreases with age, which may be attributed to continuous deposition of secondary dentin throughout the life. CELLS- The number, nature, properties, and capabilities of the cells change. DENSITY- The decrease in pulp cell density is greater in root compared to crown and at all ages . The pulp cell densities including odontoblasts is greater within the crown compared to the root.The density of odontoblasts and the pulpal fibroblasts decreases with age in general NERVE SUPPLY-There is also considerable decrease in the nerve supply. This compounded with increased thickness of dentin may be responsible for the decreased pulpal response and its healing capability. 65
  • 66.
    CYTOPLASMIC ORGANELLES- thecells are characterized by a decrease in size and number of cytoplasmic organelles. FIBROCYTES-The fibroblasts in the aging pulp exhibit less perinuclear cytoplasm and possess long, thin cytoplasmic processes. INTRACELLULAR ORGANELLES- The intracellular organelles, mainly the mitochondria and endoplasmic reticulum are reduced in number and size. CHANGE IN THE SIZE OF THE PULP CAVITY - The continuous secondary dentin deposition on the pulpal wall especially the floor of the pulp chamber leads to its gradual reduction in size and its irregularity by age. 66
  • 67.
    IF CELLS DIETHEN HOW DOES FIBRES INCREASE IN THE PULP ? 67
  • 68.
    The canal entrancesalso narrow and move centrally, whilst in cross-section, the canals narrow concentrically. Pulps continue to secrete dentine throughout life. In molars, this is mainly on the floor and roof of the chamber, converting it from a deep cavern to a flat disc . This process also narrows the entrances and moves them closer to the centre of the tooth. 68
  • 69.
    VASCULAR CHANGES  Bloodflow decreases with age.  This is due to decrease in the number of blood vessels and due to formation of atherosclerotic plaques within pulpal vessels.  In other cases, the outer diameter of vessel walls becomes greater as collagen fibers increase in the medial and adventitial layers.  Calcification in the walls of blood vessels is found most often in the region near the apical foramen. 69
  • 70.
    FIBROSIS OF PULP Inthe aging pulp accumulations of both diffuse fibrillar components as well as bundles of collagen fibers appear. ARRANGEMENT CHANGES- Fiber bundles may appear arranged longitudinally in bundles in the radicular pulp, and in a random more diffuse arrangement in the coronal area. The increase in fibers in the pulp organ is gradual and is generalized throughout the organ. 70
  • 71.
    THEN WHY THESIZE AND VOLUME OF PULP DECREASES ?  Collagen increase Is noted in the medial and adventitial layers of blood vessels as well.  The increase in collagen fibers may be more apparent than actual, being attributable to the decrease in the size of the pulp  This makes the fibers present occupy less space, and hence they become more concentrated without increasing in total volume 71
  • 72.
    PULP STONES Pulp stonesor denticles are nodular, calcified masses appearing in either or both coronal and root portions of the pulp organ. Calcifications in the coronal region are known as pulp stones whereas those in the radicular pulp are diffuse and may lead to a complete calcific degeneration, a process termed pulpal obliteration (Murray et al., 2002; Goldberg, 2014; Montoya et al., 2015). All these events take place approximately in the same period (20-39 years of age), and they are often followed by a decrease in odontoblast cellularity 72
  • 73.
    CALCIFICATION OF PULP Truedenticles Its structure is similar to dentin. They exhibit dentinal tubules containing the processes of the odontoblasts that exist on their surface. They are rare and are usually located near the apical foramen. False denticles These denticles do not exhibit dentinal tubules but appear as concentric layers of calcified tissue. The surrounding pulp tissue may appear quite normal. They are seen more frequently in the coronal pulp. 73
  • 74.
    Diffuse calcifications appearas irregular calcific deposits in the pulp tissue, usually following collagenous fiber bundles or blood vessels . Larger masses or fine calcified spicules. DIFFUSE CALCIFICATIONS 74
  • 75.
    TEENAGE-EXTENSIVE BRANCHING OF PULP NERVESAND RICH ODONTOBLASIC NETWORK 30 YEAR OLD- CENTRAL PORTION OF THE PULP CHAMBER- INTERIOR VASCULAR CHAMBERS ARE REDUCED 40-70 YEAR OLD- CENTRALLY LOCATED VESSSLES VISIBLE- SUBODONTOBLASTIC CAPILLARY PLEXUS ABSENT 50 YEAR OLD-Only the pulpal nerve is demonstrable; the cuspal branches and subodontoblastic network are absent Reference- Seltzer and Bender's Dental Pulp, Second Edition 75 A D C B PULP CHAMBER SUBODONTOBLASTIC CAPILLARY NERVES OF PULP
  • 76.
    A- irregular secondarydentin formation is visible, mostly on the lingual wall of the pulp chamber B-The irregular secondary dentin fills the entire pulp chamber of the crown and extends down to the apical third of the root canal. 15-year-old subject. Unmyelinated axons form groups of varying sizes 34-year-old- Unmyelinated axons are usually in small groupings Reference- Seltzer and Bender's Dental Pulp, Second Edition 76 SECONDARY DENTIN UNMYELINATED AXONS
  • 77.
    NEW UPDATE- AGINGIN DENTAL PULP STEM CELLS- DPSC Dental pulp cells from aged individuals are still metabolically active and secrete pro- inflammatory and matrix-degrading molecules. Furthermore, mRNAs and exosomes derived from dental pulp stem cells constitute an attractive source of nanovesicles for the treatment of age-related dental pathologies 77 REFERENCE- THE EFFECTS OF AGEING ON DENTAL PULP STEM CELLS, THE TOOTH LONGEVITY ELIXIR I. Iezzi1,2, P . Pagella2 , M. Mattioli- Belmonte1 , T.A. Mitsiadis2 *. European cells and volume-vol 27-2019
  • 78.
  • 79.
    THICKNESS- the thicknessof cementum increases with age Commonly seen in the apex of the root reason- passive eruption occurring to compensate the occlusal and proximal wear due to attrition Triples from the age 0f 10 to 70 WIDTH- increases- due to elimination of waste products from cementum CEMENTOCYTES- Lowest proliferative stage Gradually die due to reduced accessibility to nutrition HYERCEMENTOSIS- Abnormal thickening of cementum which might be diffused or circumscribed, 2 types- cementum hypertrophy Cementum hyperplsia EXCEMENTOSIS- Localized hypercementosis observed in areas of enamel drops that have been developed over dentin. CEMENTICLES- calcified bodies present in the PDL and are also referred to as coronal cementum 79
  • 80.
    AGING IN ENDODONTICS-COHEN • MEDICAL HISTORY • OBJECTIVE SIGNS AND SYMTOMS • ROLE OF SALIVA • PREVALANCE OF ROOT CARIES ROOT CARIES • PULP TESTING • RADIOGRAPHS • TREATMENT PLAN • ASSOCIATION OF PERIODONTALLY COMPROMISED TOOTH WITH ENDODONTICS • ACCESS PREPARATION • SUCCESS AND FAILURE 80
  • 81.
  • 82.
    CONCLUSION The increased longevityof the dentition, made possible by expanding fields of advanced restorative procedures and endodontics, implies that dentistry will see a substantial growth in the number of older patients. The desire for root canal treatment among aging patients has increased considerably in recent years. Older patients are aware that treatment can be performed comfortably and that age is not a factor in predicting success 82 “ Geriatric endodontics will gain importance as the aging population recognises that COMPLETE DENTITION , AND NOT COMPLETE DENTURE AS ITS DESTINY ” -Cohen
  • 83.
    REFERENCES REFERENCE-Age estimation fromstructural changes of teeth and buccal alveolar bone level K.K. Koh a , J.S. Tan a , P. Nambiar b, * , Norliza Ibrahim b , Sunil Mutalik c , Muhammad Khan Asif. 2017 Elsevier Ltd and Faculty of Forensic and Legal Medicine Seltzer and Bender's Dental Pulp, Second Edition BOOKS ARTICLES ORBANS- ORAL HISTOLOGY AND EMBRYOLOGY- SN BHASKAR, GS KUMAR Cohen – pathways of pulp- Kenneth M. Hargreaves, Stephen Cohen- 11th edition Textbook of dental and oral histology with embryology- Satish Chandra Oral anatomy , histology and embryology – international edition- B.K.B Berkovitz, G.R Holland , B.J. moxham Age Changes In Oral Tissues Dr Abhishek Khare Reader Dept. of Oral Pathology & Microbiology Career Post Graduate Institute of Dental Science Lucknow Dr Amit thahriani Private Practicinor Progressive changes in the pulpo-dentinal complex and their clinical consequences F.M. Burke and D.Y.D. Samarawickrama Department of Conservative Dentistry, St Bartholomew's and the Royal Eondon School of Medicine and Dentistry, London, UK. Glossary of Endodntics- Updated March 2020
  • 84.

Editor's Notes

  • #6 Aging should not be confused with senescence. Senescence occurs after maturation, and it increases the amenability of an organism to death
  • #9 according to these theories, humans age for the same reasons and because of the same processes that cause aging in automobiles and exterior paint.
  • #10 Lipofuschin is considered to be wear and tear aging pigment found in the liver ,kidney heart retina,nerve cells. One such widely accepted theory is the concept of free radicals. First postulated by Harman in 1956, this theory suggests that free radicals cause oxidative damage to cells and their products, resulting in aging. Another theory proposed by Leo Szilard in 1959 puts forth the idea that genes involved in DNA metabolism and repair become faulty with time. This leads to accumulation of DNA damage that manifests as aging. Similarly, Watson in 1972 suggested that telomeres may be involved in aging. Telomeres are small repetitive sequences seen at the ends of chromosomes. During every cell division, some of this telomere is lost. This theory was based on the fact that cells with short telomeres do not divide and become senescent. Although it can be replenished by the enzyme telomerase, over time, the length of telomere becomes short, and cell division no longer happens. The main drawback of these theories is that it is very difficult to prove whether each characteristic is a cause for aging, or is the result of aging. Lipofuscin, an intracellular pigment seen in many organisms, was initially thought to be a cause for aging. However, experiments have shown that lipofuscin is rather a product of aging process than being its cause
  • #16 DESICCATION TO DRY OUT/ REMOVAL OF WATER
  • #17 Fully formed teeth show aging changes. Thus, examination of dentition considering the tooth wear/attrition, tooth color and stains, periodontal status, etc. can provide valuable information on an individual’s development and age Radiographic methods Dental age may be estimated by two approaches: based on the time of emergence of the tooth in the oral cavity and the pattern of tooth development, in another word the dental maturity stages. Dental maturity is considered to be more reliable than the emergence of teeth into the oral cavity with a high heritability and low coefficient variation, and to be independent of environmental effects, nutritional and endocrine status [6, 7, 8]. The development of each tooth can be assessed over long periods of time using radiographs in a continuous pattern, using different crown and root maturity stages of tooth formation as criteria [27, 28]. Radiological methods are based on the evaluation of tooth development on the various radiographic images as intraoral periapical, panoramic radiographs, digital and advanced imaging technologies to assess the extent of tooth mineralization from the moment when radiopaque spots become visible prior to tooth calcification until the tooth apex is closed (Figure
  • #19 Stack’s method  he demonstrated that the dry weight of the mineralized tooth cusps gives an approximate age of the child by using gravimetric methods.
  • #23 Cross striations are seen across enamel rods representing the daily incremental deposition of enamel can be used to find the exact age of the baby in days by counting the cross striations from the neonatal line. the detection of neonatal line depends on various factors like axis of tooth section, thickness of the section and light source used
  • #29 PERIKYMATA- TRANSVERSE GROOVES RUN THAT RUN OVER THE ENAMEL. EXT.MANIFESTATION OF STRIAE OF RETZIUS. LONGITUDINAL CRACKS-DECREASES WITH AGE DUE TO REDUCTION IN PORE SIZE MAY BE DUE TO ACQUISITION F IONS FROM SALIVA DO NOT INCREASE WITH AGE , THEY BECOME MORE OBVIOUS PERMEABILITY AND WATER CONTENT:
  • #32 an aging change is the greatly reduced permeability of older teeth to fluids.. Though there is insufficient evidence to show that enamel becomes harder with age, recent studies have suggested that the superficial layers of enamel become extremely hard with age and that both hardness and modulus of elasticity of enamel increases by about 12% by 55 years. This has been attributed to the uptake of fluoride by the surface layers. Though the hardness of enamel increases with age, it has been suggested that it tends to become more brittle in nature. The level of enamel permeability is different at different ages. It is the highest in non-erupted teeth it reduces in permanent teeth immediately after their eruption; primary teeth are less permeable, and permanent teeth of adults have the lowest permeability It should be noted that the enamel permeability decreases with age due to the deposition of mineral substances in the enamel coming from the saliva. Dental plaque plays a significant role in changing enamel permeability. It contributes the penetration of mineral components into the enamel by increasing its permeability
  • #35 Despite the higher fluoride concentration on the cervical margin of enamel, root caries incidence among the elderly is still high. This is because
  • #49 2-Increased sclerosis or obliteration of dentinal tubules during which minerals are added into the tubules with an associated decrease in the amount of dentinal fluid, reduced sensitivity and permeability. the continuous formation of dentin and sclerosis are interlinked with functional demands placed on dentin. The stimuli for their formation may be either physiological or pathological. Therefore, these age changes and functional changes are considered together
  • #52 Reparative dentin If by extensive abrasion, erosion, caries, or operative procedures the odontoblast processes are exposed or cut, the odontoblasts die or survive, depending on the intensity of the injury. Those odontoblasts that die are replaced by the migration of undifferentiated cells arising in deeper regions of the pulp to the dentin interface. The newly differentiated odontoblasts then begin deposition of reparative dentin. The odontoblast processes are exposed or cut, the odontoblasts die or survive, depending on the intensity of the injury. If they survive the dentin that is produced is known as reactionary or regenerated dentin.
  • #54 In ground sections, such groups of tubules may entrap air and appear black in transmitted and white in reflected light. Dentin areas characterized by degenerated odontoblast processes give rise to dead tracts. These areas demonstrate decreased sensitivity and appear to a greater extent in older teeth. Dead tracts are probably the initial step in the formation of sclerotic dentin. They appear black in transmitted and white in reflected light .
  • #56  Stimuli may not only induce additional formation of reparative dentin but also lead to protective changes in the existing dentin. Apatite crystals are initially only sporadic in a dentinal tubule, but gradually the tubule becomes filled with a fine meshwork of crystals . Gradually, the tubular lumen is obliterated with mineral, which appears very much like the peritubular dentin Transparent or sclerotic dentin can be observed in the teeth of elderly people, especially in the roots . This may be regarded as an age change. The sclerosis of radicular dentin begins at the apex in the dentin adjacent to the cementodentinal junction and progresses inward and coronally with advancing age. Due to the formation of sclerotic dentin in the roots, the roots become more brittle and may fracture during extraction. Sclerotic dentin may also be found under slowly progressing caries. Sclerosis reduces the permeability of the dentin and may help prolong pulp vitality. Mineral density is greater in this area of dentin, as shown both by radiography and permeability studies. The hardness of sclerotic dentin varied, those formed as a result of aging were harder than those found below carious lesions. Caries, attrition, abrasion, erosion, or cavity preparation, sufficient stimuli are generated to cause collagen fibers and apatite crystals to begin appearing in the dentinal tubules. In such cases, blocking of the tubules may be considered a defensive reaction of the dentin
  • #57 The altered response of scleroscd dentine may have an influence on the usage of dentine adhesive systems and alteration in tooth preparation; application or composition of adhesive systems will have to be explored further.
  • #59 and is more mineralised than intertubular dentine
  • #69 Dentine deposition on the chamber roof and floor converts it to a flat disc which is easily traversed without realising by a poorly orientated bur.
  • #70 Vascular changes occur in the aging pulp organ as they do in any organ. The basement membrane was noted to be discontinuous in old pulp vessels and appeared more thick and homogeneous. Cytoplasm of endothelial cells showed certain remarkable changes like an increase in the pinocytic and micropinocytic vesicles,
  • #74 It has been postulated that remnants of epithelial root sheath have become enclosed in the pulp as a result of local disturbance at the root apex during development. These epithelial remnants induce the cells of the pulp to differentiate into odontoblasts that form dentin masses of the true pulp stones. FALSE- Remnants of necrotic and calcified cells and calcification of thrombi in blood vessels may serve as nidus for the deposition of concentric layers in typical calcospherite form giving rise to small nodules, these nodules increase in size by incremental growth in their surface. A theory has been advanced that the development of the true denticle is caused by the inclusion of remnants of the epithelial root sheath within the pulp. These epithelial remnants induce the cells of the pulp to differentiate into odontoblasts, which then form the dentin masses called true pulp
  • #75 The pulp organ may appear quite normal in its coronal portion without signs of inflammation or other pathologic changes but may exhibit these calcifications in the roots
  • #81 The location of canal orifices is difficult Iatrogenic errors Reduces the size of pulp chamber MORE DEPOSITION OF CALICIFIED CANALS MORE AMOUNT OF SECONDARY DENTIN FORMATION