ABDOMINAL TUBERCULOSIS
TUBERCULOSIS
Major health problem R .
7-10 million new cases annually
6% of deaths world wide
Abdominal tuberculosis is a common extrapulmonary
manifestation of tuberculosis.
Of non HIV patients 10 - 15 % have extrapulmonary manifestations of
tuberculosis .
HIV infected patients > 50% have extra pulmonary manifestations of
tuberculosis
'A
There is a resurgence of abdominal tuberculosis due to multidrug resistance and co
existence of HIV - AIDS.
♦>
♦>
♦>
In India, around 3 - 20 % of all cases of bowel obstruction are due to
tuberculosis.
Tuberculosis accounts for 5 - 9 % of all small intestinal perforations in
India, second commonest cause after typhoid fever.
Abdominal tuberculosis is an important cause of Malabsorption
syndrome in India.
• Epidemiology:
- Both gender: equally affected
- Most common age: 35-45 years
• Riskfictors:
— Alcoholic liver disease
- HIV infection
• 9% of all new TB cases are related to HIV
— Advanced age
— Low socioeconomic status
4
Etiology
□ Mycobacterium tuberculosis
Pathogen for most cases of abdominal tuberculosis
□ Mycobacterium bovis
Cause in small percentage of cases, in developing
Transmitted by unpasteurized diary products.
□ Mycobacterium Avium complex more likely in HIV
infected patients
countries.
Agent
■ Slightly curved,
rod shaped bacilli
■ 0.2 - 0.5 microns
in diameter; 2-4
microns in length
■ Acid fast - resists
decolorization with
acid/alcohol
■ Multiplies slowly
(every 1 8 - 2 4 hrs)
■ Thick lipid cell wall
■ Can remain
dormant for decades
■ Aerobic
■ Non-motile
Extra-pulmonary Tuberculosis
100
80
8
60
v
CL
40
20
0
------ ------------ - - - - -----------—>
Extra-Pulmonary
17.5%

v
v


Pulmonary
82.5%

S


Peritoneal 3.3 %
Meningeal 4.6 %
Miliary 7.3%
Other 9.8%
Bone/Joint 9.8 %
Genitourinary 119%
Pleural23 %
Adapted from
Mandell, et al.
Lymphatic 30 %
All Cases All Extra-pulmonary Cases
PathogenesisofabdominalTB
Ingestion of contaminated
milk products
Hematogenous spread
from pulmonary focus
Direct spread from
adjacent organs
 Swallowing of
infected sputum
Potentialfates..
The bacilli have 4 potential fates:
1. They may be killed by the immune system,
2. They may multiply and cause primary TB,
3. They may become dormant and remain
asymptomatic, or
4. They may proliferate after a latency period
(reactivation disease).
9
‘Vbdomtnaituberculo
Nodal Solid v
4% 5
Others
1.3%
1
1.Intestinal tUberculosis
Small bowel
& colon
Ileocaecal
region
Order of Frequency
Ileum > caecum > ascending colon > jejunum
>appendix > sigmoid > rectum > duodenum >
stomach > oesophagus • More than one site
may be involved
1.Intestinal tuberculosis
Ileocaecal region
1
• Ulcerative 60%
• Hypertrophic 10%
• Ulcerohypertrophic 30%
Ileal region
I
• Stricture type
lleocaecal Tuberculosis
• Most common site of abdominal tuberculosis
due to:
— Stasis
— Abundant payer's patches
— Alkaline media
— Bacterial contact time is more
— Minimal digestive activity
— Maximum absorption in the area
lleocaecal tuberculosis
A. Ulcerative type (60%)
— Secondary to pulmonary tuberculosis
— Old malnutritioned people
— Virulent organism
— Poor body resistance
— Multiple circumferential transverse ulcers (Girdle
ulcers) with skip leisons
— Commonly in ileum
— Rarely in caecum
IteocaecalTuberculosis
— Napkin ring strictures in longstanding ulcers
(common in ileum)
— Intestinal nodes involvement with caseation and
abscess
— May present with blood in stools, diarrhoea, loss of
appetite and reduced weight
— Complications:
• Acute: Ulcer perforation
• Chronic: Stricture ^ Subacute obstruction
lleocaecalTuberculosis
lleocaecalTuberculosis
B. Hyperplastic Type -10%
• Primary GIT tuberculosis
• Less virulent organism
• Good body resistance
• Chronic granulomatous lesions in ileoceacal region
• Fibroblastic activity in submucosa and subserosa causes
thickening of bowel wall with lymph node enlargement
• Presenting as Mass in Right Iliac Fossa (Nodular fixed and firm
mass)
• Caseation is very rare
• No primary lesion in the chest
Ileocaecal Tuberculosis
B. Hyperplastic Type -10%
C. Ulcerohypertrophic type-30%
□ 30% of patients
□ Inflammatory mass with thickened and
ulcerated mucosa
□ Commonly in ileocaecal region
□ Cone shaped deformity of caecum
□ Shortening of ascending colon
□ Thickening of ileocaecal valve
20
PATHOLOGY
Most active inflammation in submucosa.
PATHOLOGY
Submucosal tubercles enlarge
Endarteritis & edema
Sloughing
Ulcer formation
Accumulation of collagenous tissue
Thickening & Stenosis
PATHOLOGY
Inflammatory process in submucosa penetrates to serosa
J Tubercles on serosal surface
i Bacilli reach lymphatics
I Bacilli via lymphatics I
Lym
of m
^ Tl
phatic obstruction
iesentery and bowel hick
fixed mass
Regional lymph nodes
• Hyperplasia
• Caseation necrosis
• Calcification
Clinical Features
• Mainly disease of young adults
• ~ 2/3 of pt. are 21-40 yr old
• Sex incidence equal.
Indian studies ^ slight female predominance
• Clinical presentation ^ Acute / Chronic / Acute on
Chronic.
• Constitutional symptoms
- fever, night sweats, anorexia, weight loss, failure
to thrive(in children), malaise, anaemia, lethargy,
lassitude
- Observed in 30% patients
• Atypical symptoms
- Lower GI bleed, fistulas, PID like pain, dysphagia
• Pain (80%-95%)
- Colicky (luminal stenosis)
- Continous ( LN involvement)
• Diarrhoea (11%-20%)
• Constipation
• Alternating constipation and diarrhoea
• Abdominal mass
- in right iliac fossa (35%)
— Hard, nodular, fixed, nontender mass mimicing ca
caecum
• Subacute intestinal obstruction (20%)
26
Differential Diagnosis
1. Ca Caecum
2. Appendicular
mass
3. Lymph node mass
4. Psoas abscess
5. Crohn's disease
Diagnosis: intestinal TB or CD
• They can present exactly with same clinical
pictures (same age group, symptoms and
signs)
• Same radiological findings and same
endoscopic findings
• Mostly with same pathological findings
• So how can we make the diagnosis?
Blood tests
• No specific diagnostic blood tests
available
• Common blood parameters:
- Elevated ESR
• Almost always raised but not exceed 60 mm/hr
- Mild anemia
• normochromic/ normocytic
- Mild leukocytosis
- Raised CRP
- Hypoproteinemia
- Hypoalbuminemia
Tuberculinskintest
A +ve tuberculin skin test has been reported in 55 to 100
% pts. with abdominal tuberculosis. However in areas
where TB is highly endemic , +ve tst neither confirms the
diagnosis of abdominal TB nor excludes it
QUANTI-FERON TB TEST
> Whole blood cytokine assay
> Approved by U.S. food and drug administration as an aid in
the diagnosis of latent TB infection
> Recommended for screening for latent TB infection in
population at low risk of TB.
> The test's performance will probably be enhanced by use of
antigen such as ESAT-6 and CPF-10 that are present in M.
tuberculosis but absent in others.
31
Concomitant PTB
Concomitant PTB
— Present in 15-25% only
Sputum smear and culture
for AFB:
— Low diagnostic yield
Abnormal CXR:
— 19-83%
— Average = 38%
USGabdomen
— Thickened bowel wall
— Loculated ascites
— Interloop ascites-club sandwitch sign
— Mesenteric thickening hyperechoic >15mm
— Lymph node enlargement
— Pulled up caecum (Pseudokidney sign)
33
USGab
Ascites
domen
Right lower quadrant mass
consisting of matted bowel
COMPUTED TOMOGRAPHY
• Abdominal lymphadenopathy -commonest
manifestation
• Enlarged lymph nodes
- mesenteric,
- peri-portal,
- peri-pancreatic, and
- upper para-aortic groups of nodes.
CECT
• The CECT have been described as -
>peripheral rim enhancement,
>non-homogenous enhancement,
>homogenous enhancement and
>homogenous non-enhancement, in that order of
frequency.
• Different patterns are seen same nodal group,
possibly related to the different stages of the
pathological process.
CECT
• Conglomerate mass of
6cm.
• Enlarged nodes with
hypo enhancing areas are
seen.
Fig. 1: Contrast enhanced abdominal CT of a 21 year-old female patient demonstrates
multiple mesenteric lymphadenopathy forming a conglomerate mass (arrows) with 6 cm
in major axis. Most enlarged nodes have central hypoenhancing areas due to necrosis.
CECT
• presence of nodal calcification in the absence
of a known primary tumour in patients from
endemic areas suggests a tubercular aetiology
m
• CECT imaging criteria differentiating
abdominal lymph node enlargement due to
tuberculosis or lymphoma suggested some
differences in the anatomic distribution and the
CT enhancement patterns
CECT
CECT FINDINGS Tuberculosis lymphoma
Lymph nodes lesser omental, lower para-aortic lymph
mesenteric, and upper
para-aortic
nodes
Lymphadenopathy features peripheral rim homogenous
enhancement, frequently
with a multilocular
appearance
attenuation.
CECT
• Ascites can be free or loculated.
• Characteristically, it is a high density ascites which
could be because of high protein and cellular contents
of the fluid.
• Mesenteric involvement and presence of
> macronodules (> 5mm in diameter),
> a thin omental line (fibrous wall covering the infiltrated
omentum),
> peritoneal or extraperitoneal masses with low density
centres and calcification,
> and splenomegaly or splenic calcification have been more
commonly seen with tuberculous peritonitis.
CECT
High density ascitic fluid
Peritonial and mesenteric
thickening and
enhancement are seen.
Fig. 11: Contrast enhanced abdominal CT of a 19 year-old female patient demonstrates
large volume of high density ascitic fluid (*). It is also visible pronounced peritoneal and
mesenteric thickening and enhancement (arrows).
CECT
• The diagnosis of tuberculosis is suggestive
when
>loculated fluid collections are detected in the presence
of omental infiltration,
> peritoneal enhancement,
>transperitoneal reaction, and
> mesenteric or bowel involvement.
>mural thickening affecting the ileocaecal region.
CECT
Multiple small
hypoenhancing focci in
liver parenchyma.
Computertomographyscan
Gross ascites
Computertomographyscan
Thickened omentum
45
Computertomographyscan
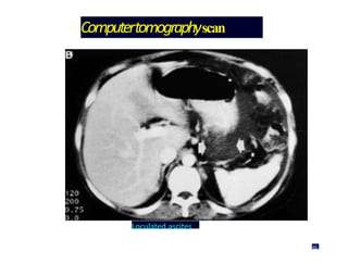
Loculated ascites
46
Thickened ileocaecal bowel
47
Computertomographyscan
Enlarged paraaortic LN
48
Computertomographyscan
• Tubercles in spleen & liver
49
• Barium study Xray (barium enema or barium follow through x-
ray)
— Pulled up caecum, conical caecum, pulled down hepatic
flexure
— Obtuse ileocaecal angle; straightening (Goose neck)
— Steirlin sign: Hurrying of barium due to rapid flow and lack
of barium in inflamed site
— Fleischner sign (Inverted umbrella sign): Narrow ileum
with thickened ileocaecal valve
— Napkin leisons- ulcers and strictures in the terminal ileum
— Increased transient time:Hypersegmentation(chicken
intestine)
— Mega Ileum: Dilatation of proximal ileum
Contraststudy
Good for intestinal tuberculosis affecting small or large bowel
Stricture in ileocaecal region Stricture in descending colon
Barium enema:
• increased (obtuse)
ileocaecal angle
• retracted, fibrosed
caecum ("goose neck
deformity") ;
Ileocecal tuberculosis. Radiograph
obtained with peroral pneumocolon
technique demonstrates a conical and
shrunken cecum (straight arrow)
retracted out of the iliac fossa by
contraction of the mesocolon. Note also
the narrowing of the terminal ileum
(curved arrow).
• Barium
Study
showing
Mega Ileum
Endoscopy
□ Colonoscopy is of value to rule out malignancy.
□ It is easiest and most direct method in establishing
the diagnosis.
□ Shows mucosal nodules or ulcers , deformed ileo
caecal valve, mucosal oedema and pseudopolyps and
occasionally diffuse colitis. Biopsy can be taken to
confirm diagnosis.
□ Capsule endoscopy is also useful to see small
intestine pathology in difficult cases .
56
□ Nodules
□ Variable sizes (2 to 6mm)
□ Non friable
□ Most common in caecum especially near IC valve.
□ Tubercular ulcers
□ Large (10 to 20mm) or small (3 to 5mm)
□ Located between the nodules
□ Single or multiple
□ Transversely oriented / circumferential contrast to
Crohns
□ Healing of these ‘girdle ulcers’^ strictures
□ Deformed and edematous ileocaecal valve
57
61
Definitive diagnosis:
• Ziehl-Neelsen stain for
AFB
• Tissue culture for
mycobacteria
• Caseating granulomas
on histology
Histological
exam
Tissue Biopsy
• Peritoneal tapping
• Endoscopic biopsy
• Laparoscopy
• Laparotomy
Microbiological
Smear & culture
Molecular Methods
• Polymerase chain reaction (PCR)
— PCR analysis for Mycobacterium tuberculosis
complex in tissues
— Reported as 100% sensitivity in some series
Peritoneal tapping
• Ziehl-Neelsen stain: 3% positive
- At least 5000 bacteria/ ml is required
• Culture for AFB: 35% positive
- At least 10 bacteria is required
- 66-83% positive if 1L of ascitic fluid is cultured after centrifugation
Diagnostic laproscopy
□ Diagnostic laproscopy
□ Direct visualization
□ Collect acsitic fluid
□ Take biopsy from mass, omentum or peritoneum
□ is very useful method of investigation .
□ Transabdominal peritoneoscopy is visualization of the
peritoneal cavity using endoscope through small incision
in the abdomen.
□ It aids in visualization ,to collect ascitic fluid for analysis
and to biopsy.
68
Complications
1. Obstruction 20%
2. Malabsoprption, blind loop syndrome
3. Dissemination of tuberculosis
4. Cold abscess formation
5. Hemorrhage
6. Perforation
7. Fecal fistula
TREATMENT
THERE ARE TWO MODILATIES OF TREATMENT:
1. Medical treatment
2. Surgical treatment
70
Medical treatment
The cornerstone of antituberculous therapy
is multidrug treatment to decrease the
duration of therapy and diminish the
likelihood that drug-resistant organisms will
develop
71
Antituberculosis Drugs
Drug/Form ulation Adult Dosage (Daily) Main Adverse Effects
First-Line Drugs
Hepatic toxicity,
Isoniazid (INH)[*] 5
mg/kg (max 300 mg)
PO, IM, IV peripheral
neuropathy
100, 300 mg tabs
50 mg/5 mL syrup
100 mg/mL injection
Rifampin (Rifadin,
Rimactane) 10
mg/kg (max 600
mg) PO, IV Hepatic
toxicity,
flulike syndrome,
pruritus
150, 300 mg caps
600 mg injection
powder
72
Pyrazinamide 500 mg tabs 20-25 mg/kg PO Arthralgias, hepatic
toxicity, hyperuricemia,
gastrointestinal upset
Ethambutol[*] (Myambutol) 100, 400
mg tabs
15-25 mg/kg PO
Decreased red-green color
discrimination, decreased
visual acuity
73
Adverse effect
Vestibular and auditory
toxicity, renal damage
74
Second-Line Drugs
Drug Dosage Adverse effect
Capreomycin (Capastat) 15 mg/kg IM (max 1 g)
Auditory and vestibular
toxicity, renal damage
Kanamycin (Kantrex and others) 15 mg/kg IM, IV (max 1 g) Auditory toxicity, renal
damage
Amikacin (Amikin) 15 mg/kg IM, IV (max 1 g) Auditory toxicity, renal
damage
10-15 mg/kg in two doses Psychiatric symptoms,
Cycloserine™ (Seromycin and others) (max 500 mg bid) PO seizures
Ethionamide (Trecator-SC) 15-20 mg/kg in two doses Gastrointestinal and
(max 500 mg bid) PO hepatic toxicity,
hypothyroidism
Ciprofloxacin (Cipro and others) 750-1500 mg PO, IV Nausea, abdominal pain,
restlessness, confusion
Ofloxacin (Floxin) 600-800 mg PO, IV
Nausea, abdominal pain,
restlessness, confusion
Drug Dosage Adverse effect
Levofloxacin (Levaquin) 500-1000 mg PO, IV Nausea, abdominal pain,
restlessness, confusion
Gatifloxacin™ (Tequin) 400 mg PO, IV
Nausea, abdominal pain,
restlessness, confusion
Moxifloxacinm] (Avelox)
Aminosalicylic acid (PAS; Paser)
400 mg PO, IV 8-12 g in
2-3 doses PO
Nausea, abdominal pain,
restlessness, confusion
Gastrointestinal disturbance
76
Treatment categories according to
DOTS strategy:
Category of Type of patient Regimen
treatment
Category I
New sputum smear- positive
2(HRZE)3
4(HR)3
- sputum smear negative
- extra-pulmonary
- Relapse 2(HRZES)3
Category II - Failure 1(HRZE)3
- Defaulters 5(HRE)3
77
Treatment
• Surgical Management:
— Indications:
• Intestinal obstruction
• Severe hemorrhage
• Acute abdomen (perforation)
• Intra-abdominal abscesses/ fistula formation
• Uncertain diagnosis
Treatment
• Surgical Management:
1. Limited Ileocaecal resection with 5 cm margin
2. Stricturoplasty- single stricture
3. Single strictutre with friable bowel : Resection
4. Multiple Strictures: Resection and anastomosis
5. Multiple strictures with long segment gaps:
Multiple stricturiplasty
Treatment
• Surgical Management:
6. Early perforation: resection and anastomosis
(due to friable bowels)
7. Perforation with severe contamination:
resection with colostomy
8. Adhesiolysis by laproscopy (Very difficult
procedure)
9. Drainage of abscesses and treatment for fistula
in ano
Ileal Tuberculosis
• It is usually stricture type
• May be multiple
• Presents with intestinal obstruction
• Bowel adhesions, localization, fibrosis,
secondary infection are common
• Perforation (5%)
• Plain Xray - Multiple air fluid levels
• Resection and
anastomosis/stricturoplasty with Anti-
tubercular drugs
Ano-Recto-SigmoidalTuberculosis
• Mimics ca rectum
• Occurs within 10 cmof anal verge
• Presents with tenesmus, diarrhoea and multiple discahrging
fistula in ano
• Fistula is painless, not indurated with undermined edges
• Shallow bluish ulcers with undermined edges
• Investigation:
- Sigmoidoscopy
- USG
- Discharge study
- fistulectomy and biopsy
• Treatment: Drugs, fistulectomy or sigmoid resection
2.PeritonealTuberculosis
1 1
Acute form Chronic form
I
Tuberculous peritonitis
• Acute abdomen
• Exploratory laparotomy
> ascitic fluid
> thickened
omentum
> scattered
tubercles
Ascitic
Clear straw-coloured ascitic fluid
Fibrous
Intestines and viscera matted
together causing obstruction
Encysted
Matted intestines enclosing a
loculation of serous fluid
Purulent
Purulent ascitic fluid
Peritoneal Tuberculosis
• It is post primary
• Becoming more common
• Activation of long standing latent foci
• Blood spread
• Can develop from diseased mesenteric lymph
nodes, intestines or fallopian tubes
Pathogenesis
Peritoneal seeding by tuberculosis bacilli
4
Granulomatous multiple whitish npdules(<5 mm) over
visceral and parietal peritoneum
>95% of patients develop exudative free/ loculated ascitis Small
group of patients ... dry fibroadhesive (plastic)
Adhesions/ matting of bowel loops  _
Adenopathy, mesenteric omeHtal thickening (omental cake)
Purulent peritonitis
Secondary to tuberculous salpingitis
Abscess formation ... lymph nOde, mesentery , omentum
Fistula formation.. Cutaneous/ enteric
Peritoneal Tuberculosis
• Basic pathology
— Enormous thickening of the parietal peritoneum
— Multiple tiny yellowish tubercles
— Dense adhesions in peritoneum and omentum with
small intestines
— May precipitate obstruction
— Thickening of bowel wall
87
PeritonealTuberculosis
• Abdominal Cocoon Syndrome
— Dense adhesions in peritoneum and omentum
with contents inside as small bowel causing
intestinal obstruction
Ascitic fluid analysis
-exudate with protein level >3gm/dl -SAAG <1.1
-lymphocyte predominant cells with cell count as high
as 4000 / mm3 -AFB +ve seen only < 3%
-specific gravity > 1.016 -glucose < 30mg -LDH > 90
units/lit -ADA activity>33U/L in ascitic fluid
89
PeritonealTuberculosis
A. Acute type -mimics acute abdomen
— Rare
— On-table diagnosis
— Features of peritonitis
— Due to perforation or rupture of mesenteric lymph nodes
— Exploratory laparotomy reveals straw coloured fluid with
tubercles in the peritoneum, greater omentum and bowel wall
— Fluid evacuated and sent for culture and AFB study
— Biopsy taken from omentum
— To be closed without drains
— ATD is started
PeritonealTuberculosis
A. Chronic
- Presents as
• Abdominal pain
• Fever
• Ascites
• Loss of appetite and weight
• Abdominal mass
• Doughy abdomen (10%)
- Types
a) Ascitic form
b) Encysted form
c) Plastic form
d) Purulent form
Peritoneal Tuberculosis
a) Ascitic peritoneal tuberculosis:
— Intense exudate caused ascitis
— Common in children and young adults
— Enormous abdominal distension
— May cause congenital hydrdocele, umbilical
hernia, shifting dullness, fluid thrill and mass
per abdomen
— Rolled up omentum and nodular due to
extensive fibrosis
PeritonealTuberculosis
a) Ascitic peritoneal tuberculosis:
— Asitic tap reveals straw coloured fluid from which
AFB can be isolated (<3%). Fluid is pale yellow, clear,
rich in lymphocytes with high specific gravity
— Anti-tubercular drugs for one year
— Repeated tapping may be required initially as a part
of treatment
Peritoneal Tuberculosis
b) Encysted (Loculated) peritoneal tuberculosis
- Exudation with minimal fibroblastic reaction
- Ascites gets loculated due to fibrinous deposition
- Non shifting Dullness is the typical feature
- May present as intra-abdominal mass mimicing ovorain
cyst, mesenteric cyst
- USG guided aspiration and antitubercular drugs to be
given
Peritoneal Tuberculosis
c) Plastic Peritoneal Tuberculosis
— Extensive fibroblastic reaction
— Widespread adhesions
— Between coils of intestine (matted intestines),
abdominal wall, omentum
— Obstruction Distension of abdomen
— Colicky abdominal pain (recurrent)
— Diarrhoea, loss of weight, mass per abdomen
— Doughy abdomen
Peritoneal Tuberculosis
c) Plastic Peritoneal Tuberculosis
- Open or laproscopic biopsy (to rule out peritoneal
carcinomatosis)
- Anti-tubercular drugs
- Surgery to relieve obstruction by adhesolysis
Peritoneal Tuberculosis
d) Purulent peritoneal tuberculosis
— Direct spread from tuberculous salpingitis
— Mass per abdomen containing pus, omentum,
fallopian tubes, small and large bowel
— Cold abscess may get adherant to umbilicus
— May cause umbilical discharge
— Genitourinary tuberculosis usually present
— Anti-tubercular drugs with exporation of umbilical
fistula
3.Nodal/Glandulartuberculosis
A. Calcified lesion
B. Acute Mesenteric lymphadeniti:
C. Pseudo-mesenteric cyst
D. Tabes mesenterica
n#
E. Chronic Lymphadenitis
• Complications
— Abscess formation
Tuberculous Mesenteric Lymphadenitis
1. Calcified lesion:
- Along the line of the mesentery a single or multiple
calcified lesions
- Payer's patches involved
- No active infection
- May be on right or left side (R>L)
- Antitubercular drugs
TuberculousMesentericLymphadenitis
2. Acute mesenteric lymphadenits
- Common in children
- Mimics acute appendicitis
- Tender mass of lymph node palpapble in Right iliac
fossa which are matted and non-mobile
- Intestines adherant to caseating lymph nodes
^obstruction
- Surgery for appendicitis or obstruction with lymph
node biopsy
- Antitubercular drugs
TuberculousMesentericLymphadenitis
3. Pseudo-mesenteric cyst
- Caseating material collected between the layers of mesentery
- Forms cold abscess
- Mimicking a mesenteric cyst
4. Tabes mesenterica
- Massive enlargement of mesenteric lymph nodes due to
tuberculosis
5. Chronic Lyphadenitis
- Children
- Failure to thrive
- Protuberant abdomen and emaciation
- Lymph node on deep palpation in right iliac fossa
4.Solidvisceraltuberculosis
Intraabdominal viscera:
□ Liver‘
□ Spleen
□ Pancreas
HEPATIC TB
• the portal of entry :hematogenous
dissemination
• miliary tuberculosis :hepatic artery
• focal liver tuberculosis :portal vein.
three forms
• diffuse hepatic involvement- most common
• granulomatous hepatitis
• focal/local tuberculoma or abscess- rare
• INVESTIGATIONS
- Percutaneous liver biopsy.
- laparoscopy liver biopsy- cheesy white irregular
nodules.
- CTSCAN.
CT abdomen
— miliary micronodular with miliary calcifications
- Multiloculated cystic mass(cluster sign)
• MILIARY TB
— lesions are small 1 to 2 mm epitheloid
granulomas.
TUBERCULOMA
Masses larger than 2mm in diameter
SPLENIC TUBERCULOSIS
• It can occur due to disseminated or miliary form
of the disease
• Most commonly encountered in HIV
pt(developed countries)
• Fever, weight loss, diarrhea, left upper
abdominal pain, splenomegaly
• Investigations
• Image-guided percutaneous needle biopsy is the
gold standard for diagnosis.
CECT-abdomen-multiple hypo echoic foci(<2cm)
Gross pathology of resected spleen showing innumerable caseating granulomas consistent
with splenic tuberculosis.
Mackowiak P A et al. Clin Infect Dis. 2011;52:418-420
Clinical Infectious Diseases
The Author 2011. Published by Oxford University Press on behalf of the Infectious Diseases Society of
America. All rights reserved. For Permissions, please e-mail: journals.permissions@oup.com.
Computed tomograph scan of the abdomen showing a spleen diffusely infiltrated by small,
hypodense lesions consistent with splenic granulomas.
Mackowiak P A et al. Clin Infect Dis. 2011 ;52:418-420
Clinical Infectious Diseases
The Author 2011. Published by Oxford University Press on behalf of the Infectious Diseases Society of
America. All rights reserved. For Permissions, please e-mail: journals.permissions@oup.com.
PANCREATIC TB
• It is rare
• Often associated with miliary TB &
immunocompromised pt
• Result from lymphohaematogenous
dissemimation after pulmonary exposure
• Anorexia,malaise fever,weight loss,mass
• Investication: FNAC & BIOPSY (CT guided)
5.Raretypes
A. Oesophageal (0.2% of abdominal)
B. Gastroduodenal(1%)
C. Retroperitoneal tuberculosis
• Extension of the disease from mediastinal lymph nodes or from pulmonary focus.
• Rarely without a primary contiguous focus.
• Ulceration, nodularity, stricture, sinus track formation, and fistulae with trachea or bronchus.
• Dysphagia, odynophagia, choking, and aspiration due to tracheoesophageal or
bronchoesophageal fistula and upper GI bleeding. Massive bleed from aortoesophageal
fistula has been reported.
• CXR and CT scan .... Active pulmonary lesions and mediastinal masses.
• Barium swallow .... Ulcerations, strictures, pseudotomor masses,fistulae, sinuses, and
traction diverticula.
Upper GI Endoscopy with biopsy is the diagnostic procedure of choice.
THANKYOU

abdominaltuberculosis

  • 1.
  • 2.
    TUBERCULOSIS Major health problemR . 7-10 million new cases annually 6% of deaths world wide Abdominal tuberculosis is a common extrapulmonary manifestation of tuberculosis. Of non HIV patients 10 - 15 % have extrapulmonary manifestations of tuberculosis . HIV infected patients > 50% have extra pulmonary manifestations of tuberculosis 'A There is a resurgence of abdominal tuberculosis due to multidrug resistance and co existence of HIV - AIDS.
  • 3.
    ♦> ♦> ♦> In India, around3 - 20 % of all cases of bowel obstruction are due to tuberculosis. Tuberculosis accounts for 5 - 9 % of all small intestinal perforations in India, second commonest cause after typhoid fever. Abdominal tuberculosis is an important cause of Malabsorption syndrome in India.
  • 4.
    • Epidemiology: - Bothgender: equally affected - Most common age: 35-45 years • Riskfictors: — Alcoholic liver disease - HIV infection • 9% of all new TB cases are related to HIV — Advanced age — Low socioeconomic status 4
  • 5.
    Etiology □ Mycobacterium tuberculosis Pathogenfor most cases of abdominal tuberculosis □ Mycobacterium bovis Cause in small percentage of cases, in developing Transmitted by unpasteurized diary products. □ Mycobacterium Avium complex more likely in HIV infected patients countries.
  • 6.
    Agent ■ Slightly curved, rodshaped bacilli ■ 0.2 - 0.5 microns in diameter; 2-4 microns in length ■ Acid fast - resists decolorization with acid/alcohol ■ Multiplies slowly (every 1 8 - 2 4 hrs) ■ Thick lipid cell wall ■ Can remain dormant for decades ■ Aerobic ■ Non-motile
  • 7.
    Extra-pulmonary Tuberculosis 100 80 8 60 v CL 40 20 0 ------ ------------- - - - -----------—> Extra-Pulmonary 17.5% v v Pulmonary 82.5% S Peritoneal 3.3 % Meningeal 4.6 % Miliary 7.3% Other 9.8% Bone/Joint 9.8 % Genitourinary 119% Pleural23 % Adapted from Mandell, et al. Lymphatic 30 % All Cases All Extra-pulmonary Cases
  • 8.
    PathogenesisofabdominalTB Ingestion of contaminated milkproducts Hematogenous spread from pulmonary focus Direct spread from adjacent organs Swallowing of infected sputum
  • 9.
    Potentialfates.. The bacilli have4 potential fates: 1. They may be killed by the immune system, 2. They may multiply and cause primary TB, 3. They may become dormant and remain asymptomatic, or 4. They may proliferate after a latency period (reactivation disease). 9
  • 10.
  • 11.
  • 12.
    Order of Frequency Ileum> caecum > ascending colon > jejunum >appendix > sigmoid > rectum > duodenum > stomach > oesophagus • More than one site may be involved
  • 13.
    1.Intestinal tuberculosis Ileocaecal region 1 •Ulcerative 60% • Hypertrophic 10% • Ulcerohypertrophic 30% Ileal region I • Stricture type
  • 14.
    lleocaecal Tuberculosis • Mostcommon site of abdominal tuberculosis due to: — Stasis — Abundant payer's patches — Alkaline media — Bacterial contact time is more — Minimal digestive activity — Maximum absorption in the area
  • 15.
    lleocaecal tuberculosis A. Ulcerativetype (60%) — Secondary to pulmonary tuberculosis — Old malnutritioned people — Virulent organism — Poor body resistance — Multiple circumferential transverse ulcers (Girdle ulcers) with skip leisons — Commonly in ileum — Rarely in caecum
  • 16.
    IteocaecalTuberculosis — Napkin ringstrictures in longstanding ulcers (common in ileum) — Intestinal nodes involvement with caseation and abscess — May present with blood in stools, diarrhoea, loss of appetite and reduced weight — Complications: • Acute: Ulcer perforation • Chronic: Stricture ^ Subacute obstruction
  • 17.
  • 18.
    lleocaecalTuberculosis B. Hyperplastic Type-10% • Primary GIT tuberculosis • Less virulent organism • Good body resistance • Chronic granulomatous lesions in ileoceacal region • Fibroblastic activity in submucosa and subserosa causes thickening of bowel wall with lymph node enlargement • Presenting as Mass in Right Iliac Fossa (Nodular fixed and firm mass) • Caseation is very rare • No primary lesion in the chest
  • 19.
  • 20.
    C. Ulcerohypertrophic type-30% □30% of patients □ Inflammatory mass with thickened and ulcerated mucosa □ Commonly in ileocaecal region □ Cone shaped deformity of caecum □ Shortening of ascending colon □ Thickening of ileocaecal valve 20
  • 21.
  • 22.
    PATHOLOGY Submucosal tubercles enlarge Endarteritis& edema Sloughing Ulcer formation Accumulation of collagenous tissue Thickening & Stenosis
  • 23.
    PATHOLOGY Inflammatory process insubmucosa penetrates to serosa J Tubercles on serosal surface i Bacilli reach lymphatics I Bacilli via lymphatics I Lym of m ^ Tl phatic obstruction iesentery and bowel hick fixed mass Regional lymph nodes • Hyperplasia • Caseation necrosis • Calcification
  • 24.
    Clinical Features • Mainlydisease of young adults • ~ 2/3 of pt. are 21-40 yr old • Sex incidence equal. Indian studies ^ slight female predominance • Clinical presentation ^ Acute / Chronic / Acute on Chronic.
  • 25.
    • Constitutional symptoms -fever, night sweats, anorexia, weight loss, failure to thrive(in children), malaise, anaemia, lethargy, lassitude - Observed in 30% patients • Atypical symptoms - Lower GI bleed, fistulas, PID like pain, dysphagia • Pain (80%-95%) - Colicky (luminal stenosis) - Continous ( LN involvement)
  • 26.
    • Diarrhoea (11%-20%) •Constipation • Alternating constipation and diarrhoea • Abdominal mass - in right iliac fossa (35%) — Hard, nodular, fixed, nontender mass mimicing ca caecum • Subacute intestinal obstruction (20%) 26
  • 27.
    Differential Diagnosis 1. CaCaecum 2. Appendicular mass 3. Lymph node mass 4. Psoas abscess 5. Crohn's disease
  • 28.
    Diagnosis: intestinal TBor CD • They can present exactly with same clinical pictures (same age group, symptoms and signs) • Same radiological findings and same endoscopic findings • Mostly with same pathological findings • So how can we make the diagnosis?
  • 29.
    Blood tests • Nospecific diagnostic blood tests available • Common blood parameters: - Elevated ESR • Almost always raised but not exceed 60 mm/hr - Mild anemia • normochromic/ normocytic - Mild leukocytosis - Raised CRP - Hypoproteinemia - Hypoalbuminemia
  • 30.
    Tuberculinskintest A +ve tuberculinskin test has been reported in 55 to 100 % pts. with abdominal tuberculosis. However in areas where TB is highly endemic , +ve tst neither confirms the diagnosis of abdominal TB nor excludes it
  • 31.
    QUANTI-FERON TB TEST >Whole blood cytokine assay > Approved by U.S. food and drug administration as an aid in the diagnosis of latent TB infection > Recommended for screening for latent TB infection in population at low risk of TB. > The test's performance will probably be enhanced by use of antigen such as ESAT-6 and CPF-10 that are present in M. tuberculosis but absent in others. 31
  • 32.
    Concomitant PTB Concomitant PTB —Present in 15-25% only Sputum smear and culture for AFB: — Low diagnostic yield Abnormal CXR: — 19-83% — Average = 38%
  • 33.
    USGabdomen — Thickened bowelwall — Loculated ascites — Interloop ascites-club sandwitch sign — Mesenteric thickening hyperechoic >15mm — Lymph node enlargement — Pulled up caecum (Pseudokidney sign) 33
  • 34.
  • 35.
    domen Right lower quadrantmass consisting of matted bowel
  • 36.
    COMPUTED TOMOGRAPHY • Abdominallymphadenopathy -commonest manifestation • Enlarged lymph nodes - mesenteric, - peri-portal, - peri-pancreatic, and - upper para-aortic groups of nodes.
  • 37.
    CECT • The CECThave been described as - >peripheral rim enhancement, >non-homogenous enhancement, >homogenous enhancement and >homogenous non-enhancement, in that order of frequency. • Different patterns are seen same nodal group, possibly related to the different stages of the pathological process.
  • 38.
    CECT • Conglomerate massof 6cm. • Enlarged nodes with hypo enhancing areas are seen. Fig. 1: Contrast enhanced abdominal CT of a 21 year-old female patient demonstrates multiple mesenteric lymphadenopathy forming a conglomerate mass (arrows) with 6 cm in major axis. Most enlarged nodes have central hypoenhancing areas due to necrosis.
  • 39.
    CECT • presence ofnodal calcification in the absence of a known primary tumour in patients from endemic areas suggests a tubercular aetiology m • CECT imaging criteria differentiating abdominal lymph node enlargement due to tuberculosis or lymphoma suggested some differences in the anatomic distribution and the CT enhancement patterns
  • 40.
    CECT CECT FINDINGS Tuberculosislymphoma Lymph nodes lesser omental, lower para-aortic lymph mesenteric, and upper para-aortic nodes Lymphadenopathy features peripheral rim homogenous enhancement, frequently with a multilocular appearance attenuation.
  • 41.
    CECT • Ascites canbe free or loculated. • Characteristically, it is a high density ascites which could be because of high protein and cellular contents of the fluid. • Mesenteric involvement and presence of > macronodules (> 5mm in diameter), > a thin omental line (fibrous wall covering the infiltrated omentum), > peritoneal or extraperitoneal masses with low density centres and calcification, > and splenomegaly or splenic calcification have been more commonly seen with tuberculous peritonitis.
  • 42.
    CECT High density asciticfluid Peritonial and mesenteric thickening and enhancement are seen. Fig. 11: Contrast enhanced abdominal CT of a 19 year-old female patient demonstrates large volume of high density ascitic fluid (*). It is also visible pronounced peritoneal and mesenteric thickening and enhancement (arrows).
  • 43.
    CECT • The diagnosisof tuberculosis is suggestive when >loculated fluid collections are detected in the presence of omental infiltration, > peritoneal enhancement, >transperitoneal reaction, and > mesenteric or bowel involvement. >mural thickening affecting the ileocaecal region.
  • 44.
  • 45.
  • 46.
  • 47.
  • 48.
  • 49.
  • 50.
  • 51.
    • Barium studyXray (barium enema or barium follow through x- ray) — Pulled up caecum, conical caecum, pulled down hepatic flexure — Obtuse ileocaecal angle; straightening (Goose neck) — Steirlin sign: Hurrying of barium due to rapid flow and lack of barium in inflamed site — Fleischner sign (Inverted umbrella sign): Narrow ileum with thickened ileocaecal valve — Napkin leisons- ulcers and strictures in the terminal ileum — Increased transient time:Hypersegmentation(chicken intestine) — Mega Ileum: Dilatation of proximal ileum
  • 52.
    Contraststudy Good for intestinaltuberculosis affecting small or large bowel Stricture in ileocaecal region Stricture in descending colon
  • 53.
    Barium enema: • increased(obtuse) ileocaecal angle • retracted, fibrosed caecum ("goose neck deformity") ;
  • 55.
    Ileocecal tuberculosis. Radiograph obtainedwith peroral pneumocolon technique demonstrates a conical and shrunken cecum (straight arrow) retracted out of the iliac fossa by contraction of the mesocolon. Note also the narrowing of the terminal ileum (curved arrow).
  • 57.
  • 58.
    Endoscopy □ Colonoscopy isof value to rule out malignancy. □ It is easiest and most direct method in establishing the diagnosis. □ Shows mucosal nodules or ulcers , deformed ileo caecal valve, mucosal oedema and pseudopolyps and occasionally diffuse colitis. Biopsy can be taken to confirm diagnosis. □ Capsule endoscopy is also useful to see small intestine pathology in difficult cases . 56
  • 59.
    □ Nodules □ Variablesizes (2 to 6mm) □ Non friable □ Most common in caecum especially near IC valve. □ Tubercular ulcers □ Large (10 to 20mm) or small (3 to 5mm) □ Located between the nodules □ Single or multiple □ Transversely oriented / circumferential contrast to Crohns □ Healing of these ‘girdle ulcers’^ strictures □ Deformed and edematous ileocaecal valve 57
  • 63.
  • 66.
    Definitive diagnosis: • Ziehl-Neelsenstain for AFB • Tissue culture for mycobacteria • Caseating granulomas on histology
  • 67.
    Histological exam Tissue Biopsy • Peritonealtapping • Endoscopic biopsy • Laparoscopy • Laparotomy Microbiological Smear & culture
  • 68.
    Molecular Methods • Polymerasechain reaction (PCR) — PCR analysis for Mycobacterium tuberculosis complex in tissues — Reported as 100% sensitivity in some series
  • 69.
    Peritoneal tapping • Ziehl-Neelsenstain: 3% positive - At least 5000 bacteria/ ml is required • Culture for AFB: 35% positive - At least 10 bacteria is required - 66-83% positive if 1L of ascitic fluid is cultured after centrifugation
  • 70.
    Diagnostic laproscopy □ Diagnosticlaproscopy □ Direct visualization □ Collect acsitic fluid □ Take biopsy from mass, omentum or peritoneum □ is very useful method of investigation . □ Transabdominal peritoneoscopy is visualization of the peritoneal cavity using endoscope through small incision in the abdomen. □ It aids in visualization ,to collect ascitic fluid for analysis and to biopsy.
  • 71.
  • 72.
    Complications 1. Obstruction 20% 2.Malabsoprption, blind loop syndrome 3. Dissemination of tuberculosis 4. Cold abscess formation 5. Hemorrhage 6. Perforation 7. Fecal fistula
  • 73.
    TREATMENT THERE ARE TWOMODILATIES OF TREATMENT: 1. Medical treatment 2. Surgical treatment 70
  • 74.
    Medical treatment The cornerstoneof antituberculous therapy is multidrug treatment to decrease the duration of therapy and diminish the likelihood that drug-resistant organisms will develop 71
  • 75.
    Antituberculosis Drugs Drug/Form ulationAdult Dosage (Daily) Main Adverse Effects First-Line Drugs Hepatic toxicity, Isoniazid (INH)[*] 5 mg/kg (max 300 mg) PO, IM, IV peripheral neuropathy 100, 300 mg tabs 50 mg/5 mL syrup 100 mg/mL injection Rifampin (Rifadin, Rimactane) 10 mg/kg (max 600 mg) PO, IV Hepatic toxicity, flulike syndrome, pruritus 150, 300 mg caps 600 mg injection powder 72
  • 76.
    Pyrazinamide 500 mgtabs 20-25 mg/kg PO Arthralgias, hepatic toxicity, hyperuricemia, gastrointestinal upset Ethambutol[*] (Myambutol) 100, 400 mg tabs 15-25 mg/kg PO Decreased red-green color discrimination, decreased visual acuity 73
  • 78.
    Adverse effect Vestibular andauditory toxicity, renal damage 74
  • 79.
    Second-Line Drugs Drug DosageAdverse effect Capreomycin (Capastat) 15 mg/kg IM (max 1 g) Auditory and vestibular toxicity, renal damage Kanamycin (Kantrex and others) 15 mg/kg IM, IV (max 1 g) Auditory toxicity, renal damage Amikacin (Amikin) 15 mg/kg IM, IV (max 1 g) Auditory toxicity, renal damage 10-15 mg/kg in two doses Psychiatric symptoms, Cycloserine™ (Seromycin and others) (max 500 mg bid) PO seizures Ethionamide (Trecator-SC) 15-20 mg/kg in two doses Gastrointestinal and (max 500 mg bid) PO hepatic toxicity, hypothyroidism Ciprofloxacin (Cipro and others) 750-1500 mg PO, IV Nausea, abdominal pain, restlessness, confusion Ofloxacin (Floxin) 600-800 mg PO, IV Nausea, abdominal pain, restlessness, confusion
  • 80.
    Drug Dosage Adverseeffect Levofloxacin (Levaquin) 500-1000 mg PO, IV Nausea, abdominal pain, restlessness, confusion Gatifloxacin™ (Tequin) 400 mg PO, IV Nausea, abdominal pain, restlessness, confusion Moxifloxacinm] (Avelox) Aminosalicylic acid (PAS; Paser) 400 mg PO, IV 8-12 g in 2-3 doses PO Nausea, abdominal pain, restlessness, confusion Gastrointestinal disturbance 76
  • 81.
    Treatment categories accordingto DOTS strategy: Category of Type of patient Regimen treatment Category I New sputum smear- positive 2(HRZE)3 4(HR)3 - sputum smear negative - extra-pulmonary - Relapse 2(HRZES)3 Category II - Failure 1(HRZE)3 - Defaulters 5(HRE)3 77
  • 82.
    Treatment • Surgical Management: —Indications: • Intestinal obstruction • Severe hemorrhage • Acute abdomen (perforation) • Intra-abdominal abscesses/ fistula formation • Uncertain diagnosis
  • 83.
    Treatment • Surgical Management: 1.Limited Ileocaecal resection with 5 cm margin 2. Stricturoplasty- single stricture 3. Single strictutre with friable bowel : Resection 4. Multiple Strictures: Resection and anastomosis 5. Multiple strictures with long segment gaps: Multiple stricturiplasty
  • 84.
    Treatment • Surgical Management: 6.Early perforation: resection and anastomosis (due to friable bowels) 7. Perforation with severe contamination: resection with colostomy 8. Adhesiolysis by laproscopy (Very difficult procedure) 9. Drainage of abscesses and treatment for fistula in ano
  • 85.
    Ileal Tuberculosis • Itis usually stricture type • May be multiple • Presents with intestinal obstruction • Bowel adhesions, localization, fibrosis, secondary infection are common • Perforation (5%) • Plain Xray - Multiple air fluid levels • Resection and anastomosis/stricturoplasty with Anti- tubercular drugs
  • 86.
    Ano-Recto-SigmoidalTuberculosis • Mimics carectum • Occurs within 10 cmof anal verge • Presents with tenesmus, diarrhoea and multiple discahrging fistula in ano • Fistula is painless, not indurated with undermined edges • Shallow bluish ulcers with undermined edges • Investigation: - Sigmoidoscopy - USG - Discharge study - fistulectomy and biopsy • Treatment: Drugs, fistulectomy or sigmoid resection
  • 87.
    2.PeritonealTuberculosis 1 1 Acute formChronic form I Tuberculous peritonitis • Acute abdomen • Exploratory laparotomy > ascitic fluid > thickened omentum > scattered tubercles Ascitic Clear straw-coloured ascitic fluid Fibrous Intestines and viscera matted together causing obstruction Encysted Matted intestines enclosing a loculation of serous fluid Purulent Purulent ascitic fluid
  • 88.
    Peritoneal Tuberculosis • Itis post primary • Becoming more common • Activation of long standing latent foci • Blood spread • Can develop from diseased mesenteric lymph nodes, intestines or fallopian tubes
  • 89.
    Pathogenesis Peritoneal seeding bytuberculosis bacilli 4 Granulomatous multiple whitish npdules(<5 mm) over visceral and parietal peritoneum >95% of patients develop exudative free/ loculated ascitis Small group of patients ... dry fibroadhesive (plastic) Adhesions/ matting of bowel loops _ Adenopathy, mesenteric omeHtal thickening (omental cake) Purulent peritonitis Secondary to tuberculous salpingitis Abscess formation ... lymph nOde, mesentery , omentum Fistula formation.. Cutaneous/ enteric
  • 90.
    Peritoneal Tuberculosis • Basicpathology — Enormous thickening of the parietal peritoneum — Multiple tiny yellowish tubercles — Dense adhesions in peritoneum and omentum with small intestines — May precipitate obstruction — Thickening of bowel wall
  • 91.
  • 92.
    PeritonealTuberculosis • Abdominal CocoonSyndrome — Dense adhesions in peritoneum and omentum with contents inside as small bowel causing intestinal obstruction
  • 93.
    Ascitic fluid analysis -exudatewith protein level >3gm/dl -SAAG <1.1 -lymphocyte predominant cells with cell count as high as 4000 / mm3 -AFB +ve seen only < 3% -specific gravity > 1.016 -glucose < 30mg -LDH > 90 units/lit -ADA activity>33U/L in ascitic fluid 89
  • 94.
    PeritonealTuberculosis A. Acute type-mimics acute abdomen — Rare — On-table diagnosis — Features of peritonitis — Due to perforation or rupture of mesenteric lymph nodes — Exploratory laparotomy reveals straw coloured fluid with tubercles in the peritoneum, greater omentum and bowel wall — Fluid evacuated and sent for culture and AFB study — Biopsy taken from omentum — To be closed without drains — ATD is started
  • 95.
    PeritonealTuberculosis A. Chronic - Presentsas • Abdominal pain • Fever • Ascites • Loss of appetite and weight • Abdominal mass • Doughy abdomen (10%) - Types a) Ascitic form b) Encysted form c) Plastic form d) Purulent form
  • 96.
    Peritoneal Tuberculosis a) Asciticperitoneal tuberculosis: — Intense exudate caused ascitis — Common in children and young adults — Enormous abdominal distension — May cause congenital hydrdocele, umbilical hernia, shifting dullness, fluid thrill and mass per abdomen — Rolled up omentum and nodular due to extensive fibrosis
  • 97.
    PeritonealTuberculosis a) Ascitic peritonealtuberculosis: — Asitic tap reveals straw coloured fluid from which AFB can be isolated (<3%). Fluid is pale yellow, clear, rich in lymphocytes with high specific gravity — Anti-tubercular drugs for one year — Repeated tapping may be required initially as a part of treatment
  • 98.
    Peritoneal Tuberculosis b) Encysted(Loculated) peritoneal tuberculosis - Exudation with minimal fibroblastic reaction - Ascites gets loculated due to fibrinous deposition - Non shifting Dullness is the typical feature - May present as intra-abdominal mass mimicing ovorain cyst, mesenteric cyst - USG guided aspiration and antitubercular drugs to be given
  • 99.
    Peritoneal Tuberculosis c) PlasticPeritoneal Tuberculosis — Extensive fibroblastic reaction — Widespread adhesions — Between coils of intestine (matted intestines), abdominal wall, omentum — Obstruction Distension of abdomen — Colicky abdominal pain (recurrent) — Diarrhoea, loss of weight, mass per abdomen — Doughy abdomen
  • 100.
    Peritoneal Tuberculosis c) PlasticPeritoneal Tuberculosis - Open or laproscopic biopsy (to rule out peritoneal carcinomatosis) - Anti-tubercular drugs - Surgery to relieve obstruction by adhesolysis
  • 101.
    Peritoneal Tuberculosis d) Purulentperitoneal tuberculosis — Direct spread from tuberculous salpingitis — Mass per abdomen containing pus, omentum, fallopian tubes, small and large bowel — Cold abscess may get adherant to umbilicus — May cause umbilical discharge — Genitourinary tuberculosis usually present — Anti-tubercular drugs with exporation of umbilical fistula
  • 102.
    3.Nodal/Glandulartuberculosis A. Calcified lesion B.Acute Mesenteric lymphadeniti: C. Pseudo-mesenteric cyst D. Tabes mesenterica n# E. Chronic Lymphadenitis • Complications — Abscess formation
  • 103.
    Tuberculous Mesenteric Lymphadenitis 1.Calcified lesion: - Along the line of the mesentery a single or multiple calcified lesions - Payer's patches involved - No active infection - May be on right or left side (R>L) - Antitubercular drugs
  • 104.
    TuberculousMesentericLymphadenitis 2. Acute mesentericlymphadenits - Common in children - Mimics acute appendicitis - Tender mass of lymph node palpapble in Right iliac fossa which are matted and non-mobile - Intestines adherant to caseating lymph nodes ^obstruction - Surgery for appendicitis or obstruction with lymph node biopsy - Antitubercular drugs
  • 105.
    TuberculousMesentericLymphadenitis 3. Pseudo-mesenteric cyst -Caseating material collected between the layers of mesentery - Forms cold abscess - Mimicking a mesenteric cyst 4. Tabes mesenterica - Massive enlargement of mesenteric lymph nodes due to tuberculosis 5. Chronic Lyphadenitis - Children - Failure to thrive - Protuberant abdomen and emaciation - Lymph node on deep palpation in right iliac fossa
  • 106.
  • 107.
    HEPATIC TB • theportal of entry :hematogenous dissemination • miliary tuberculosis :hepatic artery • focal liver tuberculosis :portal vein.
  • 108.
    three forms • diffusehepatic involvement- most common • granulomatous hepatitis • focal/local tuberculoma or abscess- rare
  • 109.
    • INVESTIGATIONS - Percutaneousliver biopsy. - laparoscopy liver biopsy- cheesy white irregular nodules. - CTSCAN.
  • 110.
    CT abdomen — miliarymicronodular with miliary calcifications - Multiloculated cystic mass(cluster sign)
  • 111.
    • MILIARY TB —lesions are small 1 to 2 mm epitheloid granulomas. TUBERCULOMA Masses larger than 2mm in diameter
  • 112.
    SPLENIC TUBERCULOSIS • Itcan occur due to disseminated or miliary form of the disease • Most commonly encountered in HIV pt(developed countries) • Fever, weight loss, diarrhea, left upper abdominal pain, splenomegaly • Investigations • Image-guided percutaneous needle biopsy is the gold standard for diagnosis. CECT-abdomen-multiple hypo echoic foci(<2cm)
  • 113.
    Gross pathology ofresected spleen showing innumerable caseating granulomas consistent with splenic tuberculosis. Mackowiak P A et al. Clin Infect Dis. 2011;52:418-420 Clinical Infectious Diseases The Author 2011. Published by Oxford University Press on behalf of the Infectious Diseases Society of America. All rights reserved. For Permissions, please e-mail: journals.permissions@oup.com.
  • 114.
    Computed tomograph scanof the abdomen showing a spleen diffusely infiltrated by small, hypodense lesions consistent with splenic granulomas. Mackowiak P A et al. Clin Infect Dis. 2011 ;52:418-420 Clinical Infectious Diseases The Author 2011. Published by Oxford University Press on behalf of the Infectious Diseases Society of America. All rights reserved. For Permissions, please e-mail: journals.permissions@oup.com.
  • 115.
    PANCREATIC TB • Itis rare • Often associated with miliary TB & immunocompromised pt • Result from lymphohaematogenous dissemimation after pulmonary exposure • Anorexia,malaise fever,weight loss,mass • Investication: FNAC & BIOPSY (CT guided)
  • 117.
    5.Raretypes A. Oesophageal (0.2%of abdominal) B. Gastroduodenal(1%) C. Retroperitoneal tuberculosis
  • 118.
    • Extension ofthe disease from mediastinal lymph nodes or from pulmonary focus. • Rarely without a primary contiguous focus. • Ulceration, nodularity, stricture, sinus track formation, and fistulae with trachea or bronchus. • Dysphagia, odynophagia, choking, and aspiration due to tracheoesophageal or bronchoesophageal fistula and upper GI bleeding. Massive bleed from aortoesophageal fistula has been reported. • CXR and CT scan .... Active pulmonary lesions and mediastinal masses. • Barium swallow .... Ulcerations, strictures, pseudotomor masses,fistulae, sinuses, and traction diverticula. Upper GI Endoscopy with biopsy is the diagnostic procedure of choice.
  • 119.