ABDOMINAL
TUBERCULOSIS
DR. MD. KAWSER HAMID
Assistant Registrar
Department of Gastroenterology
SSMC & MH
INTRODUCTION
• Abdominal TB is an increasingly common
disease that poses diagnostic challenge, as
the nonspecific features of the disease which
may lead to diagnostic delays and
development of complications.
• The spread of the disease is aided by poverty,
overcrowding and drug resistance.
• Approximately 15% - 25% of cases with
abdominal TB have concomitant pulmonary
TB.
• Abdominal involvement may occur in the
gastrointestinal tract, peritoneum,
lymphnodes or solid viscera.
PATHOPHYSIOLOGY
Tubercle bacilli enter the GI tract
Mucosal layer can be infected
Formation of epithelioid tubercles in lymphoid tissue of
submucosa.
after 2-4 wks
Caseous necrosis of the tubercle lead to ulceration of
overlying mucosa.
later
Spread into deeper layers and into adjacent lymphnodes
& peritoneum.
Modes of involvement in
abdominal tuberculosis
• By ingestion
 Infected food or milk - Primary intestinal TB
 Infected sputum - Secondary intestinal TB
• Hematogenous spread from distant tubercular
focus
• Contagious spread from infected adjacent foci
• Through lymphatic channel
Classification of abdominal
tuberculosis
a. Tubercular lymphadenopathy
b. Peritoneal tuberculosis
Acute
Chronic
Wet ascitic type
Fixed fibrotic type
Dry plastic type
Encysted/loculated type
c. Visceral tuberculosis
Liver, pancreas, spleen etc.
d. Gastrointestinal TB
Esophageal tuberculosis
Gastric tuberculosis
Duodenal tuberculosis
Jejunal and ileocecal TB
Colorectal tuberculosis
CLINICAL PRESENTATION
Tubercular lymphadenopathy
• Most common manifestation of abdominal TB.
• Can affect any lymph node of abdomen.
• Most commonly – mesentaric, omental, those
at porta hepatis, along with celiac axis and
peripancreatic.
• As a mass or lump of matted lymph nodes in
the central abdomen or as vague abdominal
pain.
• There is associated fever, night sweats and
malaise.
Peritoneal tuberculosis
1. Wet ascitic type : more common and associated with
ascitis.
2. Fixed fibrotic type : relatively less common and
characterized by involvement of omentum &
mesentary.
3. Dry plastic type : characterized by peritoneal
reaction, peritoneal nodules & presence of adhesions.
Visceral tuberculosis
• Occurs in 15% - 20% of all patients with
abdominal TB.
• Genitourinary system is most commonly
involved followed by liver, spleen and
pancreas.
• Mode of spread – hematogenous route.
• Isolated involvement is relatively uncommon.
Gastrointestinal tuberculosis
• Most common site is ileocecal region,
followed by jejunum and colon.
• Esophagus, stomach and duodenum are rarely
involved.
• Three types of intestinal lesions are commonly
seen – ulcerative,stricturous and hypertrophic.
Esophageal TB
• Extremely rare, common in AIDS patients.
• Middle third of the esophagus is most
commonly affected due to proximity to
mediastinal LNs.
• Symptoms are usually retrosternal pain,
dysphagea & odynophagea.
• Rarely patient may present with
bronchoesophageal fistula or diverticulum.
Gastric TB
• Primary involvement is rare due to
bactericidal property of gastric acid, thick
intact mucosa & scarcity of lymphoid tissue in
gastric wall.
• Most common type is ulcerative lesion along
lesser curvature & pylorus.
• Non specific symptoms like epigastric
discomfort, wt loss & fever or may be gastric
outlet obstrution.
Duodenal TB
• Most common site is third part of duodenum.
• Can be extrinsic or intrinsic.
• Most patients have symptoms of duodenal
obstruction and history of dyspepsia.
• Complications may be perforation, fistula,
obstructive jaundice & choledocho-duodenal
fistula.
Jejunal and ileocecal TB
• Most common site of GI involvement is
ileocecal region (64%).
• The terminal ileum, ileocecal junction &
caecum are concomitantly involved in majority
of cases.
• Clinical features – colicky abdominal pain,
borborygmi & vomiting.
• Common complications are bowel obstruction
& perforation.
• The terminal ileum is more commonly
involved because 
 Stasis.
 Presence of abundant lymphoid tissue.
 Increased rate of absorption at this site.
 Closer contact of bacili with mucosa.
Colorectal TB
• Isolated involement of colon is 10.8%.
• Multifocal involvement is seen in 28% - 44% of
cases with colorectal TB.
• Most common site of involvement is caecum
but usually contiguous with terminal ileum
and IC junction.
• C/Fs – abdominal pain followed by loss of
weight & appetite and altered bowel habits.
Type Clinical presentations
1.Ulcerative Chronic diarrhea, malabsorption, intestinal perforation
(occasional).Rectal bleeding is rare but reported
occasionally in colonic tuberculosis.
2. Hypertrophic Intestinal obstruction or an abdominal (ileocaecal) lump.
3. Stricturous / constrictive Recurrent subacute intestinal obstruction (e.g.
vomiting, constipation,distention and colicky pain).
There may be associated gurgling sounds or feeling of
moving ball of wind in the abdomen and visible
distended intestinal loops with visible peristalsis.
These symptoms get relieved with passage of flatus
/stool. Sometimes, acute int. obstruction may occur.
4. Anorectal Stricture or fistula-in-ano.
5. Gastroduodenal Peptic ulcer with or without gastric outlet
obstruction or perforation.
6. Liver and spleen Hepatosplenomegaly usually a part and parcel
of disseminated TB is accompanied with fever,
night sweats and decreased or loss of appetite.
Microscopic involvement shows granulomatous
hepatitis.
7. Peritoneum Abdominal distention and ascites, sometimes
there may be a soft cystic lump due to loculated
ascites.
8. Lymph node As a mass or lump of matted lymph nodes in
the central abdomen or as vague abdominal
pain associated fever, night sweats & malaise.
Diagnosis
New criteria for the diagnosis were suggested by
Lingenfelser as follows:
i. Clinical manifestations suggestive of TB
ii. Imaging evidence indicative of
abdominal TB
iii. Histopathological or microbiological
evidence of TB and/or
iv. Therapeutic response to treatment.
Investigations
1. Blood examination: may show varying
degree of anemia, leucopenia and raised ESR.
2. Serum biochemistry: Serum albumin level
may be low. Serum transaminases are
normal. A high level of serum ALP may be
observed in hepatic tuberculosis.
3. Montoux test :
 Supportive evidence to the diagnosis of
abdominal TB in 55% - 70% (if positive).
 Negative result may be observed in one-third
of patients.
 Both false positive & false negative reactions
are common.
 Limited value due to its low sensibility &
specificity.
4. Imaging techniques
Plain X-ray of abdomen & chest :
• Plain X-ray abdomen may show presence of multiple
air fluid levels and dilated loops of gut in case of acute
or sub-acute obstruction.
• Calcification in the abdominal lymph nodes also
indicates TB.
• Plain X-ray chest done simultaneously but remind this,
normal CXR doesn’t rule out the diagnosis.
(A) - SUPINE (B) - ERECT
Barium studies
• It has been documented that barium studies are
useful in 75% patients with suspected intestinal
tuberculosis.
• Different barium studies are used to diagnosis at
the basis of involved site.
Barium swallow
Barium meal follow through
Barium enema
In esophageal TB, barium swallow may show ulceration,
stricture or traction diverticulum.
Long segment circumferential
narrowing in first and second
part of duodenum.
Ba meal follow through
• Best diagnostic test for intestinal lesions.
• In Ba studies features may be seen :
1. Accelerated intestinal transit.
2. Hyper-segmentation of Ba column(chicken
intestine)
3. Luminal stenosis with smooth but stiff
contours(hourglass stenosis)
4. Multiple strictures with segmental dilatation of
bowel loops and matted.
Findings of barium meal follow
through study in intestinal TB
Group I Highly suggestive of intestinal tuberculosis if one or
more of the following features are present.
• Deformed ileocaecal valve with dilated ileum
• Contracted caecum with abnormal ileocaecal valve or terminal ileum.
• Stricture of ascending colon with shortening or
involvement of ileocaecal region.
Group II Suggestive of intestinal tuberculosis if one of the
following is present:
• Contracted caecum
• Ulceration or narrowing of terminal ileum
• Stricture of ascending colon
• Multiple sites of narrowing and dilatation leading to
formation of small bowel loops.
Group III Non-specific changes
Features of adhesions, dilatation and mucosal thickening of small bowel loops
Group IV Normal study
Barium enema study
• The thickening of ileocaecal valve with triangular
appearance, pulled up caecum and/or wide gaping of
the valve with narrowing of the terminal ileum (an
inverted umbrella sign, or Fleischner’s sign.
• Rapid transit and lack of retention of the barium in an
inflamed segment of the small bowel constitutes
Stierlin’s sign”)
• A persistent narrowing or stenosis of the bowel leads
to consistent narrowing of stream of barium called the
“string sign”.
Ultrsonography
I. Intra-abdominal fluid which may be free or
loculated.
II. “Club sandwich” or “sliced bread” sign due
to interloop ascitis.
III. Lymphadenopathy- discrete or matted.
IV. Bowel wall thickening in ileocecal region
which is uniform & concentric.
V. Pseudo kidney sign.
Multiple enlarged conglomerate lymphnodes in retroperitoneum
with hypoechoic centers due to caseation.
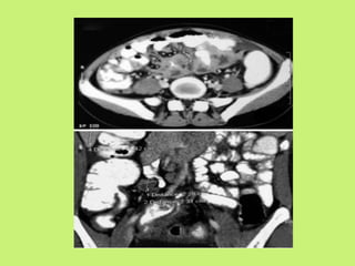
CT scan
• Abdominal CT is better than USG.
• Contrast enhanced CT is preferred.
• Most common CT finding is concentric mural
thickening of ileocecal region, with or without
proximal intestinal dilatation.
• It also shows abdominal lymphadenopathy
involving predominantly mesentaric, para-
aortic, peri-portal.
Tuberculosis Crohn’s Disease
• Mural thickening
without stratification.
• Strictures concentric.
• Fibrofatty proliferation
of mesentary very rare.
• No vascular
engorgement in
mesentary.
• High dense ascitis.
• Mural thickening with
stratification.
• Strictures eccentric.
• Fibrofatty proliferation
of mesentary.
• Hypervascular
mesentary.
• Abscesses.
Colonoscopy
• The TB ulcers tend to be circumferential and are
usually surrounded by inflamed mucosa.
• A patulous valve with surrounding heaped up
folds or a destroyed valve with a fish mouth
opening is more likely to be caused by TB than
CD.
• Site of frequent involvement- 32% ileocecal
region, 28% ileocecal region with ascending
colon, 26% segmental involvement.
Laparoscopy
• Laparoscopy facilitates an accurate diagnosis
in 80% - 90% of patients.
• Laparoscopic biopsy may reveal AFB in 75%
patients and caseating granuloma in 85% -
90% patients.
• It is effective method due to direct
visualization of thickened inflammed
peritoneum and adhesion or fibrous strands
within turbid ascitis.
Histopathology
• In case of TB, typically shows granulomatous
inflammation.
• Granuloma characteristically contains
epithelioid macrophages, Langhans giant cells
and lymphocytes.
• The center of granuloma often have
charateristic caseation (cheese-like) necrosis.
• Above mentioned features strongly suggests
TB but not pathognomonic.
TB granuloma
• Caseating.
• 5 or more granulomas in
biopsies from one segment.
• Granulomas >400 µm in
diameter.
• Located in sub mucosa or in
granulation tissue, often
epithelioid histiocutes.
• Confluent granulomas.
• Lymphoid cuff around
granuloma.
Crohn’s granuloma
• Non-caseating.
• Infrequent (<5) granulomas
in biopsies from one
segment.
• Usually < 200 µm in
diameter.
• Located in mucosa.Poorly
organized or discrete.Crypt
inflammation present.
• No confluent granulomas.
• Not present.
Ascitic fluid study
1. Protien : > 3 g/dL.
2. Total cell count : 150-4000/ µL, predominantly
lymphocytes.
3. SAAG : < 1.1 g/dL.
4. ADA level : > 36 U/L. ( normal or low in case of
co-infection with AIDS )
Staining for AFB is positive in less than 3% of cases
and positive culture is seen in only 20% of cases.
Newer techniques
1. Quantiferon – TB Gold (QFT-G)
2. Anti-Saccharomyces Cerevisiae Antibody (ASCA)
3. T-cell Based Testing for Mycobacterium
Tuberculosis (ELISPOT)
4. Nucleic Acid Amplification.
5. Gene Xpert Assay.
6. MTBDR Plus.
7. TB PCR.
Management
A. Medical :
• All the diagnosed cases should receive 6 months anti-
TB therapy which is highly effective.
• Now proven that 6 months therapy is as effective as 9
months therapy.
• Majority of ulcers, nodules, luminal narrowing,
ileocecal valve deformities resolved with anti-TB after 4
weeks.
B. Surgical
Surgeries performed in cases of non-resolving
intestinal obstruction, perforation,massive
bleeding and abscess or fistula formation.
a. First type : Bypass the involved segments of
bowel.
b. Second type : Radical resection like right
hemicolectomy.
c. Third type : conservative like stricturoplasty.
Conclusion
• Abdominal TB is frequently rising extra-
pulmonary TB now-a-days.
• The peritoneum and ileocaecal region are
commonly involved in majority of the cases by
hematogenous spread or through swallowing of
infected sputum.
• The symptoms of abdominal TB can be non-
specific.
• Various imaging features and radiological signs
have led to early diagnosis of this disease.
• Gastrointestinal TB is generally managed with
medical therapy with antituberculous drugs
and surgeries are usually conservative & are
done only if absolutely indicated.

abdominaltuberculosis-181221163344.asddfpdf

  • 1.
    ABDOMINAL TUBERCULOSIS DR. MD. KAWSERHAMID Assistant Registrar Department of Gastroenterology SSMC & MH
  • 2.
    INTRODUCTION • Abdominal TBis an increasingly common disease that poses diagnostic challenge, as the nonspecific features of the disease which may lead to diagnostic delays and development of complications. • The spread of the disease is aided by poverty, overcrowding and drug resistance.
  • 3.
    • Approximately 15%- 25% of cases with abdominal TB have concomitant pulmonary TB. • Abdominal involvement may occur in the gastrointestinal tract, peritoneum, lymphnodes or solid viscera.
  • 4.
    PATHOPHYSIOLOGY Tubercle bacilli enterthe GI tract Mucosal layer can be infected Formation of epithelioid tubercles in lymphoid tissue of submucosa. after 2-4 wks Caseous necrosis of the tubercle lead to ulceration of overlying mucosa. later Spread into deeper layers and into adjacent lymphnodes & peritoneum.
  • 5.
    Modes of involvementin abdominal tuberculosis • By ingestion  Infected food or milk - Primary intestinal TB  Infected sputum - Secondary intestinal TB • Hematogenous spread from distant tubercular focus • Contagious spread from infected adjacent foci • Through lymphatic channel
  • 6.
    Classification of abdominal tuberculosis a.Tubercular lymphadenopathy b. Peritoneal tuberculosis Acute Chronic Wet ascitic type Fixed fibrotic type Dry plastic type Encysted/loculated type
  • 7.
    c. Visceral tuberculosis Liver,pancreas, spleen etc. d. Gastrointestinal TB Esophageal tuberculosis Gastric tuberculosis Duodenal tuberculosis Jejunal and ileocecal TB Colorectal tuberculosis
  • 8.
    CLINICAL PRESENTATION Tubercular lymphadenopathy •Most common manifestation of abdominal TB. • Can affect any lymph node of abdomen. • Most commonly – mesentaric, omental, those at porta hepatis, along with celiac axis and peripancreatic.
  • 9.
    • As amass or lump of matted lymph nodes in the central abdomen or as vague abdominal pain. • There is associated fever, night sweats and malaise.
  • 10.
    Peritoneal tuberculosis 1. Wetascitic type : more common and associated with ascitis. 2. Fixed fibrotic type : relatively less common and characterized by involvement of omentum & mesentary. 3. Dry plastic type : characterized by peritoneal reaction, peritoneal nodules & presence of adhesions.
  • 11.
    Visceral tuberculosis • Occursin 15% - 20% of all patients with abdominal TB. • Genitourinary system is most commonly involved followed by liver, spleen and pancreas. • Mode of spread – hematogenous route. • Isolated involvement is relatively uncommon.
  • 12.
    Gastrointestinal tuberculosis • Mostcommon site is ileocecal region, followed by jejunum and colon. • Esophagus, stomach and duodenum are rarely involved. • Three types of intestinal lesions are commonly seen – ulcerative,stricturous and hypertrophic.
  • 13.
    Esophageal TB • Extremelyrare, common in AIDS patients. • Middle third of the esophagus is most commonly affected due to proximity to mediastinal LNs. • Symptoms are usually retrosternal pain, dysphagea & odynophagea. • Rarely patient may present with bronchoesophageal fistula or diverticulum.
  • 14.
    Gastric TB • Primaryinvolvement is rare due to bactericidal property of gastric acid, thick intact mucosa & scarcity of lymphoid tissue in gastric wall. • Most common type is ulcerative lesion along lesser curvature & pylorus. • Non specific symptoms like epigastric discomfort, wt loss & fever or may be gastric outlet obstrution.
  • 15.
    Duodenal TB • Mostcommon site is third part of duodenum. • Can be extrinsic or intrinsic. • Most patients have symptoms of duodenal obstruction and history of dyspepsia. • Complications may be perforation, fistula, obstructive jaundice & choledocho-duodenal fistula.
  • 16.
    Jejunal and ileocecalTB • Most common site of GI involvement is ileocecal region (64%). • The terminal ileum, ileocecal junction & caecum are concomitantly involved in majority of cases. • Clinical features – colicky abdominal pain, borborygmi & vomiting. • Common complications are bowel obstruction & perforation.
  • 17.
    • The terminalileum is more commonly involved because   Stasis.  Presence of abundant lymphoid tissue.  Increased rate of absorption at this site.  Closer contact of bacili with mucosa.
  • 18.
    Colorectal TB • Isolatedinvolement of colon is 10.8%. • Multifocal involvement is seen in 28% - 44% of cases with colorectal TB. • Most common site of involvement is caecum but usually contiguous with terminal ileum and IC junction. • C/Fs – abdominal pain followed by loss of weight & appetite and altered bowel habits.
  • 19.
    Type Clinical presentations 1.UlcerativeChronic diarrhea, malabsorption, intestinal perforation (occasional).Rectal bleeding is rare but reported occasionally in colonic tuberculosis. 2. Hypertrophic Intestinal obstruction or an abdominal (ileocaecal) lump. 3. Stricturous / constrictive Recurrent subacute intestinal obstruction (e.g. vomiting, constipation,distention and colicky pain). There may be associated gurgling sounds or feeling of moving ball of wind in the abdomen and visible distended intestinal loops with visible peristalsis. These symptoms get relieved with passage of flatus /stool. Sometimes, acute int. obstruction may occur. 4. Anorectal Stricture or fistula-in-ano.
  • 20.
    5. Gastroduodenal Pepticulcer with or without gastric outlet obstruction or perforation. 6. Liver and spleen Hepatosplenomegaly usually a part and parcel of disseminated TB is accompanied with fever, night sweats and decreased or loss of appetite. Microscopic involvement shows granulomatous hepatitis. 7. Peritoneum Abdominal distention and ascites, sometimes there may be a soft cystic lump due to loculated ascites. 8. Lymph node As a mass or lump of matted lymph nodes in the central abdomen or as vague abdominal pain associated fever, night sweats & malaise.
  • 21.
    Diagnosis New criteria forthe diagnosis were suggested by Lingenfelser as follows: i. Clinical manifestations suggestive of TB ii. Imaging evidence indicative of abdominal TB iii. Histopathological or microbiological evidence of TB and/or iv. Therapeutic response to treatment.
  • 22.
    Investigations 1. Blood examination:may show varying degree of anemia, leucopenia and raised ESR. 2. Serum biochemistry: Serum albumin level may be low. Serum transaminases are normal. A high level of serum ALP may be observed in hepatic tuberculosis.
  • 23.
    3. Montoux test:  Supportive evidence to the diagnosis of abdominal TB in 55% - 70% (if positive).  Negative result may be observed in one-third of patients.  Both false positive & false negative reactions are common.  Limited value due to its low sensibility & specificity.
  • 24.
    4. Imaging techniques PlainX-ray of abdomen & chest : • Plain X-ray abdomen may show presence of multiple air fluid levels and dilated loops of gut in case of acute or sub-acute obstruction. • Calcification in the abdominal lymph nodes also indicates TB. • Plain X-ray chest done simultaneously but remind this, normal CXR doesn’t rule out the diagnosis.
  • 25.
    (A) - SUPINE(B) - ERECT
  • 26.
    Barium studies • Ithas been documented that barium studies are useful in 75% patients with suspected intestinal tuberculosis. • Different barium studies are used to diagnosis at the basis of involved site. Barium swallow Barium meal follow through Barium enema
  • 27.
    In esophageal TB,barium swallow may show ulceration, stricture or traction diverticulum.
  • 28.
    Long segment circumferential narrowingin first and second part of duodenum.
  • 29.
    Ba meal followthrough • Best diagnostic test for intestinal lesions. • In Ba studies features may be seen : 1. Accelerated intestinal transit. 2. Hyper-segmentation of Ba column(chicken intestine) 3. Luminal stenosis with smooth but stiff contours(hourglass stenosis) 4. Multiple strictures with segmental dilatation of bowel loops and matted.
  • 30.
    Findings of bariummeal follow through study in intestinal TB Group I Highly suggestive of intestinal tuberculosis if one or more of the following features are present. • Deformed ileocaecal valve with dilated ileum • Contracted caecum with abnormal ileocaecal valve or terminal ileum. • Stricture of ascending colon with shortening or involvement of ileocaecal region. Group II Suggestive of intestinal tuberculosis if one of the following is present: • Contracted caecum • Ulceration or narrowing of terminal ileum • Stricture of ascending colon • Multiple sites of narrowing and dilatation leading to formation of small bowel loops. Group III Non-specific changes Features of adhesions, dilatation and mucosal thickening of small bowel loops Group IV Normal study
  • 31.
    Barium enema study •The thickening of ileocaecal valve with triangular appearance, pulled up caecum and/or wide gaping of the valve with narrowing of the terminal ileum (an inverted umbrella sign, or Fleischner’s sign. • Rapid transit and lack of retention of the barium in an inflamed segment of the small bowel constitutes Stierlin’s sign”) • A persistent narrowing or stenosis of the bowel leads to consistent narrowing of stream of barium called the “string sign”.
  • 35.
    Ultrsonography I. Intra-abdominal fluidwhich may be free or loculated. II. “Club sandwich” or “sliced bread” sign due to interloop ascitis. III. Lymphadenopathy- discrete or matted. IV. Bowel wall thickening in ileocecal region which is uniform & concentric. V. Pseudo kidney sign.
  • 36.
    Multiple enlarged conglomeratelymphnodes in retroperitoneum with hypoechoic centers due to caseation.
  • 37.
    CT scan • AbdominalCT is better than USG. • Contrast enhanced CT is preferred. • Most common CT finding is concentric mural thickening of ileocecal region, with or without proximal intestinal dilatation. • It also shows abdominal lymphadenopathy involving predominantly mesentaric, para- aortic, peri-portal.
  • 39.
    Tuberculosis Crohn’s Disease •Mural thickening without stratification. • Strictures concentric. • Fibrofatty proliferation of mesentary very rare. • No vascular engorgement in mesentary. • High dense ascitis. • Mural thickening with stratification. • Strictures eccentric. • Fibrofatty proliferation of mesentary. • Hypervascular mesentary. • Abscesses.
  • 40.
    Colonoscopy • The TBulcers tend to be circumferential and are usually surrounded by inflamed mucosa. • A patulous valve with surrounding heaped up folds or a destroyed valve with a fish mouth opening is more likely to be caused by TB than CD. • Site of frequent involvement- 32% ileocecal region, 28% ileocecal region with ascending colon, 26% segmental involvement.
  • 42.
    Laparoscopy • Laparoscopy facilitatesan accurate diagnosis in 80% - 90% of patients. • Laparoscopic biopsy may reveal AFB in 75% patients and caseating granuloma in 85% - 90% patients. • It is effective method due to direct visualization of thickened inflammed peritoneum and adhesion or fibrous strands within turbid ascitis.
  • 43.
    Histopathology • In caseof TB, typically shows granulomatous inflammation. • Granuloma characteristically contains epithelioid macrophages, Langhans giant cells and lymphocytes. • The center of granuloma often have charateristic caseation (cheese-like) necrosis. • Above mentioned features strongly suggests TB but not pathognomonic.
  • 44.
    TB granuloma • Caseating. •5 or more granulomas in biopsies from one segment. • Granulomas >400 µm in diameter. • Located in sub mucosa or in granulation tissue, often epithelioid histiocutes. • Confluent granulomas. • Lymphoid cuff around granuloma. Crohn’s granuloma • Non-caseating. • Infrequent (<5) granulomas in biopsies from one segment. • Usually < 200 µm in diameter. • Located in mucosa.Poorly organized or discrete.Crypt inflammation present. • No confluent granulomas. • Not present.
  • 45.
    Ascitic fluid study 1.Protien : > 3 g/dL. 2. Total cell count : 150-4000/ µL, predominantly lymphocytes. 3. SAAG : < 1.1 g/dL. 4. ADA level : > 36 U/L. ( normal or low in case of co-infection with AIDS ) Staining for AFB is positive in less than 3% of cases and positive culture is seen in only 20% of cases.
  • 46.
    Newer techniques 1. Quantiferon– TB Gold (QFT-G) 2. Anti-Saccharomyces Cerevisiae Antibody (ASCA) 3. T-cell Based Testing for Mycobacterium Tuberculosis (ELISPOT) 4. Nucleic Acid Amplification. 5. Gene Xpert Assay. 6. MTBDR Plus. 7. TB PCR.
  • 47.
    Management A. Medical : •All the diagnosed cases should receive 6 months anti- TB therapy which is highly effective. • Now proven that 6 months therapy is as effective as 9 months therapy. • Majority of ulcers, nodules, luminal narrowing, ileocecal valve deformities resolved with anti-TB after 4 weeks.
  • 48.
    B. Surgical Surgeries performedin cases of non-resolving intestinal obstruction, perforation,massive bleeding and abscess or fistula formation. a. First type : Bypass the involved segments of bowel. b. Second type : Radical resection like right hemicolectomy. c. Third type : conservative like stricturoplasty.
  • 49.
    Conclusion • Abdominal TBis frequently rising extra- pulmonary TB now-a-days. • The peritoneum and ileocaecal region are commonly involved in majority of the cases by hematogenous spread or through swallowing of infected sputum. • The symptoms of abdominal TB can be non- specific.
  • 50.
    • Various imagingfeatures and radiological signs have led to early diagnosis of this disease. • Gastrointestinal TB is generally managed with medical therapy with antituberculous drugs and surgeries are usually conservative & are done only if absolutely indicated.