Lecture № 4
• BelSU
Institute of Medicine
• Department Biomedical
Sciences
• Academic year 2017/18
• Spring term
• March 24, 2018
Excitation transfer between cells.
Synapses.
Распрост ранение возбуждения между
клет ками. Синапсы.
Guyton And Hall
Textbook Of
Medical Physiology
P. 559–569, 85-89.
The concepts of
"synapse", "nexus“
Question No 1.
• The word synapse first appeared in 1897,
in the seventh edition of Michael Foster's
Textbook of Physiology.
• Foster was assisted in writing the volume
on the nervous system by Charles
Sherrington, who can be credited with
developing and advocating the
physiological concept of a synapse.
• The word itself however, was derived by a
Cambridge classicist, Arthur Verrall.
Sir Michael Foster
• 1836 –1907
• An English physiologist
• One of his most famous
students at Cambridge
was Charles Scott
Sherrington who went on
to win the Nobel Prize in
1932.
Sir Charles Scott
Sherrington
• 1857 – 1952
• was an English
neurophysiologist
• He received the Nobel
Prize in Physiology or
Medicine with Edgar
Adrian, 1932 for their
work on the functions
of neurons..
The word "synapse"
• from Greek synapsis "conjunction,"
• from synaptein "to clasp,"
• from syn- "together" and haptein "to
fasten")
• Pronunciation: /’sʌɪnaps, ‘sɪn-/
• plural synapses
The words "synapse“,
"synapses" and "synapsis"
• Do not confuse "synapses" and
"synapsis"
• synapses pl synapse
• Synapsis (also called syndesis) is the
pairing of two homologous
chromosomes that occurs during meiosis.
• synapsis
Synapse
is a structure that permits a neuron
to pass an excitation to another cell
(neural or otherwise).
• Pronunciation: /’nɛksəs/
• or a gap junction
Nexus
Nexus
• is a specialized
intercellular connection
between a multitude of
animal cell-types
• It directly connects the
cytoplasm of two cells, which
allows
various molecules and ions to
pass freely between cells.
Nexus
• (in physiology) is a
specialized intercellular
connection between a
multitude of animal non-
nerve cell-types that
transmits an excitation.
Classification of
synapses
Question No 2.
Classification of synapses
Classification Criteria: The nature of
contacting cells I
• neuron  neuron
• neuron  effector cell (myocyte,
glandulocyte)
• neuron  receptor cell of secondary
receptors (efferent synapses)
• receptor cell of secondary receptors
 neuron (afferent synapses)
Classification of synapses
Classification Criteria: The nature of
contacting cells II
• Neuroneuronal junction (neuron 
neuron)
• Neuromuscular junction (neuron 
myocyte)
• Neurosecretory junction (neuron 
glandulocyte)
• neuron  receptor cell of secondary
receptors (efferent synapses)
• receptor cell of secondary receptors
 neuron (afferent synapses)
What is the difference between primary
and secondary receptors (neurology)?
• In primary receptors, the substrate that
reacts to an external influence is
embedded in the sensory neuron itself,
which is directly (primarily) excited by the
stimulus.
• In secondary receptors, additional
specialized (receptive) cells are situated
between the acting agent and the sensory
neuron. The energy of external stimuli is
transformed into impulses in these cells.
An effector cell may refer to:
• The muscle, gland cell capable of
responding to a stimulus at the terminal
end of an efferent neuron or motor neuron.
Synaptic Physiology of
Cochlear Hair Cells
• Schematic of hair
cell with afferent
and efferent
synapses and
presumptive
calcium signals in
violet color.
Classification of synapses
Classification Criteria: Signal
transduction mechanism
• Electrical synapses
• Chemical synapses
• Mixed Electrical–Chemical Synapses
Classification of synapses
• Classification Criteria: Responses of
the postsynaptic neuron
• excitatory synapses
• inhibitory synapses
How are excitatory synapses diffrent
from inhibitory synapses?
An excitatory synapse
• is a synapse in which an action potential in
the presynaptic cell increases the
probability of an action potential occurring
in the postsynaptic cell.
An inhibitory synapse
• is a synapse in which an action potential in
the presynaptic cell decreases the
probability of an action potential occurring
in the postsynaptic cell.
An inhibitory synapse
• hyperpolarizing
• depolarizing (the inhibition of the impulse
activity is similar to that during cathodic
depression)
The Russian physiologist B. F.
Verigo (1883, 1888),
• significantly supplemented Pflüger’s data
• found that upon prolonged exposure to a
current the initial catelectrotonic increase
in excitability gives way to “cathodic
depression,” that is, excitability decreases,
while a decrease in excitability in the
region of the anode is converted to “anodic
exaltation.”
Responses of the
postsynaptic neuron
• Excitatory Postsynaptic
Potentials (EPSP)
• Inhibitory Postsynaptic
Potentials (IPSP)
Graph displaying an EPSP, an IPSP, and the
summation of an EPSP and an IPSP. When the
two are summed together the potential is still
below the action potential threshold.
A model to demonstrate the effect of Excitatory
Postsynaptic Potentials (EPSP) and Inhibitory
Postsynaptic Potentials (IPSP) on a neuron.
Classification of synapses
Classification Criteria: Common
presynaptic arrangements
Types of Synapses within the
Central Nervous System
Synaptic Formation and
Neural Pruning
Common presynaptic arrangements:
1) axon terminal branches have terminal
enlargements (called boutons or bulbs)
2) axon terminal branches feature
varicosities (for synapses “in passing”)
3) neuromuscular synapse: axon branches
have terminal ramifications that form motor
end plates on skeletal muscle fibers.
• Varicosity
synapses
Classification of
neuronal synaptic types:
Most synapses connect
• axons to dendrites,
but there are also other types of connections,
including
• axon-to-cell-body,
• axon-to-axon,
• dendrite-to-dendrite.
Classification of
neuronal synaptic types:
• axodendritic — axon terminal branch
(presynaptic element) synapses on a dendrite;
• axosomatic — axon terminal branch synapses
on a soma (cell body);
• axoaxonic — axon terminal branch synapses on
another axon terminal branch (for presynaptic
inhibition) or beside the initial segment of an
axon;
• dendrodendritic — dendrite synapsing on
another dendrite (very localized effect).
Types of synaptic
connections
• AD - axodendritic
• AS - axosomatic
• AA -axoaxonic
• DD - dendrodendritic
Types of synaptic connections
Classification Criteria: Localization
• Central (located in the brain and spinal
cord, ie in the central nervous system)
• Peripheral (in the peripheral nervous
system).
Structure of a
typical chemical
synapse
Question No 3.
Structure of a
typical chemical synapse
Events of signal transmission at
a chemical synapse
Excitatory and inhibitory responses in
postsynaptic cells stimulated by acetylcholine
Variation of the structure of
synapses.
Electrical synapses
• - cells connect via gap junctions:
• - membranes are separated by 2 nm
• - gap junctions link the cytosol of two cells
and provide a passageway for movement
of very small molecules and ions between
the cells - this can be measured with a
fluorescent dye and using a fluorescence
microscope to observe whether they pass
into neighboring cells
Electron micrograph of a thin section
through a gap junction connecting two
mouse liver cells
Transmission of action potentials across
electric and chemical synapses
Release of neurotransmitters and
the recycling of synaptic vesicles
Neurotransmitter - goes through a
number of separate stages in its
actions
1. Synthesis
2. Packaging into vesicles
1. Synthesis
- all small chemical neurotransmitters are
made in the nerve terminal
- responsible for fast synaptic signalling
- synthetic enzymes + precursors
transported into nerve terminal
- subject to feedback inhibition (from
recycled neurotransmitters)
- can be stimulated to increase activity (via
Ca+2 stimulated phosphorylation)
2. Packaging into vesicles
- neurotransmitters packaged into vesicles
- packaged in small "classical" vesicles
- involves a pump powered by a pH gradient
between outside and inside of vesicle
- pump blocked by drugs and these block
neurotransmitter release
Chemical synapses
• pass information directionally from a
presynaptic cell to a postsynaptic cell and
are therefore asymmetric in structure and
function.
One-Way” Conduction at
Chemical Synapses
Chemical Synapse
• Presynapse and postsynapse are well
differentiated morphologically
Electron photomicrograph of synaptic knob (S) ending
on a dendrite (D) in the central nervous system.
• P - postsynaptic
thickening;
• M - mitochondrion.
(x56,000).
Amino acid sequence of enkephalin: N-Tyr-Gly-Gly-Phe-Met-C.
Types of Summation
Types of Summation
• The combination of graded potentials (EPSPs and IPSPs) in the
post-synaptic neuron is known as summation
• Cancellation occurs when excitatory and inhibitory graded potentials
cancel each other out (no threshold potential reached)
• Spatial summation occurs when EPSPs are generated from multiple
presynaptic neurons simultaneously to reach threshold
• Temporal summation occurs when multiple EPSPs are generated
from a single presynaptic neuron in quick succession
• These summative effects determine which nerve pathways are
activated and hence lead to alternate decision-making processes
Excitatory vs Inhibitory Synapses
Fast Acting versus Slow
Acting Neurotransmission
Long Term Potentiation
Mechanism of Drug Action
Suppression of Pain
Perception by Endorphins
Effect of Drug Addiction on
Dopamine Activity
Major Classes of
Neurotransmitter
Transmitter Substances.
Loewi's experiment.
Question No 4.
Otto Loewi
• 1873 – 1961
• Was a German born pharmacologis
whose discovery
of acetylcholine helped enhance
medical therapy.
• The discovery earned for him
the Nobel Prize in Physiology or
Medicine in 1936 which he shared
with Sir Henry Dale.
• Нобелевская премия (1936, совместно с Г.Х. Дейлом).
• Before Loewi's experiments, it was unclear
whether signalling across the synapse was
bioelectrical or chemical.
• Loewi's famous experiment, published in
1921, largely answered this question.
According to Loewi, the idea for his key
experiment came to him in his sleep.
• Loewi dissected out of frogs two beating
hearts: one with the vagus nerve which
controls heart rate attached, the other
heart on its own.
Loewi's experiment
• Both hearts were bathed in a saline
solution (i.e. Ringer's solution). By
electrically stimulating the vagus nerve,
Loewi made the first heart beat slower.
• Then, Loewi took some of the liquid
bathing the first heart and applied it to the
second heart.
• The application of the liquid made the
second heart also beat slower, proving
that some soluble chemical released by
the vagus nerve was controlling the heart
rate.
• He called the unknown chemical
Vagusstoff. It was later found that this
chemical corresponded to Acetylcholin.
• Thirteen years later, Loewi was awarded
the Nobel Prize in Physiology or Medicine,
which he shared with Sir Henry Hallett
Dale.
Identification of
Neurotransmitters
Question No 5.
There are four main criteria for
identifying neurotransmitters:
1. The chemical must be synthesized in the
neuron or otherwise be present in it.
2. When the neuron is active, the chemical must
be released and produce a response in some
target.
3. The same response must be obtained when the
chemical is experimentally placed on the target.
4. A mechanism must exist for removing the
chemical from its site of activation after its work
is done.
Dale's principle
Question No 6.
Dale, Sir Henry Hallett,
1875-1968
• The Nobel Prize in
Physiology or
Medicine 1936
Генри Дейл
Dale's principle
• A neuron performs the same chemical action at
all of its synaptic connections to other cells,
regardless of the identity of the target cell.
However, there has been disagreement
about the precise wording.
• Some modern writers have understood the
principle
• to state that neurons release one and only one
transmitter at all of their synapses.
• to mean that neurons release the same set of
transmitters at all of their synapses.
Neurotransmitters
Question No 7.
Neurotransmitters
• are endogenous chemicals that transmit
signals from a neuron to a target cell
across a synapse.
• There are many different ways to classify
neurotransmitters.
• Dividing them into amino acids, peptides,
and monoamines is sufficient for some
classification purposes.
Major neurotransmitters:
• Amino acids: glutamate, aspartate, D-
serine, Îł-aminobutyric acid (GABA),
glycine
• Gasotransmitters: nitric oxide (NO),
carbon monoxide (CO), hydrogen sulfide
(H2S)
• Monoamines: dopamine (DA),
norepinephrine (noradrenaline; NE, NA),
epinephrine (adrenaline), histamine,
serotonin (SER, 5-HT)
Major neurotransmitters:
• Trace amines: tyramine, octopamine,
tryptamine, etc.
• Peptides: somatostatin, substance P,
cocaine and amphetamine regulated
transcript, opioid peptides
• Purines: adenosine triphosphate (ATP),
adenosine
• Others: acetylcholine (ACh),
anandamide, etc.
Steps of the synaptic
transmission
Question No 8.
Steps of the synaptic transmission
• AP on the pre-synaptic neuron
• opening of voltage-gated calcium channels
• increase in [Ca2+]
• migration and fusion of vesicles containing the
neurotransmitter
• neurotransmitter release
• diffusion of the neurotransmitter in the synaptic cleft
• binding of neurotransmitter to receptors on the post-
synaptic cell
• change in the permeability (membrane potential) of the
postsynaptic cell
• Mechanism by Which an Action
Potential Causes Transmitter Release
from the Presynaptic Terminals — Role
of Calcium Ions
Forma of release of the mediator
depending on the concentration of calcium
Kiss-and-run fusion
• is a type of synaptic vesicle release where
the vesicle opens and closes transiently.
• In this form of exocytosis, the vesicle
docks and transiently fuses at the
presynaptic membrane and releases its
neurotransmitters across the synapse,
after which the vesicle can then be reused.
• Kiss-and-run differs from full fusion, where
the vesicle collapses fully into the plasma
Vesicle fusions frozen during
transmitter release:
• fusion pores can be seen, wide-open
vesicles are rare, late events
Types of agonists
Question No 9.
An agonist
• is a chemical capable of binding to a
receptor, such as a neurotransmitter
receptor, and initiating the same reaction
typically produced by the binding of the
endogenous substance.
• of a neurotransmitter will thus initiate the
same receptor response as the
transmitter.
An agonist
• may activate neurotransmitter receptors
either directly or indirectly.
• Direct-binding agonists can be further
characterized as full agonists, partial
agonists, inverse agonists.
Direct agonists
• act similar to a neurotransmitter by binding
directly to its associated receptor site(s),
which may be located on the presynaptic
neuron or postsynaptic neuron, or both.
Direct agonists
• Typically, neurotransmitter receptors are
located on the postsynaptic neuron, while
neurotransmitter autoreceptors are located
on the presynaptic neuron, as is the case
for monoamine neurotransmitters;
Direct agonists
• in some cases, a neurotransmitter utilizes
retrograde neurotransmission, a type of
feedback signaling in neurons where the
neurotransmitter is released
postsynaptically and binds to target
receptors located on the presynaptic
neuron.
Indirect agonists
• increase the binding of neurotransmitters
at their target receptors by stimulating the
release or preventing the reuptake of
neurotransmitters.
Types of Antagonists
Question No 10.
An antagonist
• is a chemical that acts within the body to
reduce the physiological activity of another
chemical substance (as an opiate);
especially one that opposes the action on
the nervous system of a drug or a
substance occurring naturally in the body
by combining with and blocking its nervous
receptor.
Direct-acting antagonist
• takes up space present on receptors
which are otherwise taken up by
neurotransmitters themselves.
• This results in neurotransmitters being
blocked from binding to the receptors.
• The most common is called Atropine.
Indirect-acting antagonist
• drugs that inhibit the release/production of
neurotransmitters
• e.g., Reserpine
Electrical synapse
Question No 11.
An electrical
• synapse is a mechanical and
electrically conductive link between
two neighboring neurons that is formed
at a narrow gap between the pre- and
postsynaptic neurons known as a gap
junction.
Characteristics of electrical
synapses I
• electrotonic potential change
– information is transmitted in both
directions
– the potential change spreads with
“decrement”
– information is transmitted “without time
delay”
• small molecules can also cross
Characteristics of electrical
synapses II.
• in special cases it can “rectify”
– cations can move in one direction, while
anions in the other
– the depolarization thus spreads in a given
direction
Electrical synapse
2.4.lecture 4- synapses
2.4.lecture 4- synapses
2.4.lecture 4- synapses
2.4.lecture 4- synapses
2.4.lecture 4- synapses
2.4.lecture 4- synapses
2.4.lecture 4- synapses

2.4.lecture 4- synapses

  • 1.
    Lecture № 4 •BelSU Institute of Medicine • Department Biomedical Sciences • Academic year 2017/18 • Spring term • March 24, 2018 Excitation transfer between cells. Synapses. Распрост ранение возбуждения между клет ками. Синапсы.
  • 2.
    Guyton And Hall TextbookOf Medical Physiology P. 559–569, 85-89.
  • 3.
    The concepts of "synapse","nexus“ Question No 1.
  • 4.
    • The wordsynapse first appeared in 1897, in the seventh edition of Michael Foster's Textbook of Physiology. • Foster was assisted in writing the volume on the nervous system by Charles Sherrington, who can be credited with developing and advocating the physiological concept of a synapse. • The word itself however, was derived by a Cambridge classicist, Arthur Verrall.
  • 5.
    Sir Michael Foster •1836 –1907 • An English physiologist • One of his most famous students at Cambridge was Charles Scott Sherrington who went on to win the Nobel Prize in 1932.
  • 6.
    Sir Charles Scott Sherrington •1857 – 1952 • was an English neurophysiologist • He received the Nobel Prize in Physiology or Medicine with Edgar Adrian, 1932 for their work on the functions of neurons..
  • 7.
    The word "synapse" •from Greek synapsis "conjunction," • from synaptein "to clasp," • from syn- "together" and haptein "to fasten") • Pronunciation: /’sʌɪnaps, ‘sɪn-/ • plural synapses
  • 8.
    The words "synapse“, "synapses"and "synapsis" • Do not confuse "synapses" and "synapsis" • synapses pl synapse • Synapsis (also called syndesis) is the pairing of two homologous chromosomes that occurs during meiosis.
  • 9.
  • 10.
    Synapse is a structurethat permits a neuron to pass an excitation to another cell (neural or otherwise).
  • 11.
  • 12.
    Nexus • is aspecialized intercellular connection between a multitude of animal cell-types • It directly connects the cytoplasm of two cells, which allows various molecules and ions to pass freely between cells.
  • 13.
    Nexus • (in physiology)is a specialized intercellular connection between a multitude of animal non- nerve cell-types that transmits an excitation.
  • 14.
  • 15.
    Classification of synapses ClassificationCriteria: The nature of contacting cells I • neuron  neuron • neuron  effector cell (myocyte, glandulocyte) • neuron  receptor cell of secondary receptors (efferent synapses) • receptor cell of secondary receptors  neuron (afferent synapses)
  • 16.
    Classification of synapses ClassificationCriteria: The nature of contacting cells II • Neuroneuronal junction (neuron  neuron) • Neuromuscular junction (neuron  myocyte) • Neurosecretory junction (neuron  glandulocyte) • neuron  receptor cell of secondary receptors (efferent synapses) • receptor cell of secondary receptors  neuron (afferent synapses)
  • 17.
    What is thedifference between primary and secondary receptors (neurology)? • In primary receptors, the substrate that reacts to an external influence is embedded in the sensory neuron itself, which is directly (primarily) excited by the stimulus. • In secondary receptors, additional specialized (receptive) cells are situated between the acting agent and the sensory neuron. The energy of external stimuli is transformed into impulses in these cells.
  • 18.
    An effector cellmay refer to: • The muscle, gland cell capable of responding to a stimulus at the terminal end of an efferent neuron or motor neuron.
  • 19.
    Synaptic Physiology of CochlearHair Cells • Schematic of hair cell with afferent and efferent synapses and presumptive calcium signals in violet color.
  • 20.
    Classification of synapses ClassificationCriteria: Signal transduction mechanism • Electrical synapses • Chemical synapses • Mixed Electrical–Chemical Synapses
  • 21.
    Classification of synapses •Classification Criteria: Responses of the postsynaptic neuron • excitatory synapses • inhibitory synapses
  • 22.
    How are excitatorysynapses diffrent from inhibitory synapses?
  • 23.
    An excitatory synapse •is a synapse in which an action potential in the presynaptic cell increases the probability of an action potential occurring in the postsynaptic cell.
  • 24.
    An inhibitory synapse •is a synapse in which an action potential in the presynaptic cell decreases the probability of an action potential occurring in the postsynaptic cell.
  • 25.
    An inhibitory synapse •hyperpolarizing • depolarizing (the inhibition of the impulse activity is similar to that during cathodic depression)
  • 26.
    The Russian physiologistB. F. Verigo (1883, 1888), • significantly supplemented Pflüger’s data • found that upon prolonged exposure to a current the initial catelectrotonic increase in excitability gives way to “cathodic depression,” that is, excitability decreases, while a decrease in excitability in the region of the anode is converted to “anodic exaltation.”
  • 27.
    Responses of the postsynapticneuron • Excitatory Postsynaptic Potentials (EPSP) • Inhibitory Postsynaptic Potentials (IPSP)
  • 28.
    Graph displaying anEPSP, an IPSP, and the summation of an EPSP and an IPSP. When the two are summed together the potential is still below the action potential threshold.
  • 29.
    A model todemonstrate the effect of Excitatory Postsynaptic Potentials (EPSP) and Inhibitory Postsynaptic Potentials (IPSP) on a neuron.
  • 30.
    Classification of synapses ClassificationCriteria: Common presynaptic arrangements
  • 31.
    Types of Synapseswithin the Central Nervous System
  • 32.
  • 36.
    Common presynaptic arrangements: 1)axon terminal branches have terminal enlargements (called boutons or bulbs) 2) axon terminal branches feature varicosities (for synapses “in passing”) 3) neuromuscular synapse: axon branches have terminal ramifications that form motor end plates on skeletal muscle fibers.
  • 37.
  • 38.
    Classification of neuronal synaptictypes: Most synapses connect • axons to dendrites, but there are also other types of connections, including • axon-to-cell-body, • axon-to-axon, • dendrite-to-dendrite.
  • 39.
    Classification of neuronal synaptictypes: • axodendritic — axon terminal branch (presynaptic element) synapses on a dendrite; • axosomatic — axon terminal branch synapses on a soma (cell body); • axoaxonic — axon terminal branch synapses on another axon terminal branch (for presynaptic inhibition) or beside the initial segment of an axon; • dendrodendritic — dendrite synapsing on another dendrite (very localized effect).
  • 40.
    Types of synaptic connections •AD - axodendritic • AS - axosomatic • AA -axoaxonic • DD - dendrodendritic
  • 41.
    Types of synapticconnections Classification Criteria: Localization • Central (located in the brain and spinal cord, ie in the central nervous system) • Peripheral (in the peripheral nervous system).
  • 42.
    Structure of a typicalchemical synapse Question No 3.
  • 43.
    Structure of a typicalchemical synapse
  • 44.
    Events of signaltransmission at a chemical synapse
  • 45.
    Excitatory and inhibitoryresponses in postsynaptic cells stimulated by acetylcholine
  • 46.
    Variation of thestructure of synapses.
  • 47.
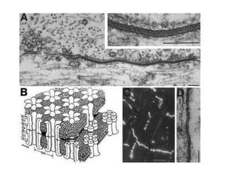
    Electrical synapses • -cells connect via gap junctions: • - membranes are separated by 2 nm • - gap junctions link the cytosol of two cells and provide a passageway for movement of very small molecules and ions between the cells - this can be measured with a fluorescent dye and using a fluorescence microscope to observe whether they pass into neighboring cells
  • 50.
    Electron micrograph ofa thin section through a gap junction connecting two mouse liver cells
  • 51.
    Transmission of actionpotentials across electric and chemical synapses
  • 52.
    Release of neurotransmittersand the recycling of synaptic vesicles
  • 53.
    Neurotransmitter - goesthrough a number of separate stages in its actions 1. Synthesis 2. Packaging into vesicles
  • 54.
    1. Synthesis - allsmall chemical neurotransmitters are made in the nerve terminal - responsible for fast synaptic signalling - synthetic enzymes + precursors transported into nerve terminal - subject to feedback inhibition (from recycled neurotransmitters) - can be stimulated to increase activity (via Ca+2 stimulated phosphorylation)
  • 55.
    2. Packaging intovesicles - neurotransmitters packaged into vesicles - packaged in small "classical" vesicles - involves a pump powered by a pH gradient between outside and inside of vesicle - pump blocked by drugs and these block neurotransmitter release
  • 56.
    Chemical synapses • passinformation directionally from a presynaptic cell to a postsynaptic cell and are therefore asymmetric in structure and function.
  • 57.
  • 58.
    Chemical Synapse • Presynapseand postsynapse are well differentiated morphologically
  • 59.
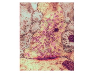
    Electron photomicrograph ofsynaptic knob (S) ending on a dendrite (D) in the central nervous system. • P - postsynaptic thickening; • M - mitochondrion. (x56,000).
  • 72.
    Amino acid sequenceof enkephalin: N-Tyr-Gly-Gly-Phe-Met-C.
  • 73.
  • 74.
    Types of Summation •The combination of graded potentials (EPSPs and IPSPs) in the post-synaptic neuron is known as summation • Cancellation occurs when excitatory and inhibitory graded potentials cancel each other out (no threshold potential reached) • Spatial summation occurs when EPSPs are generated from multiple presynaptic neurons simultaneously to reach threshold • Temporal summation occurs when multiple EPSPs are generated from a single presynaptic neuron in quick succession • These summative effects determine which nerve pathways are activated and hence lead to alternate decision-making processes
  • 75.
  • 76.
    Fast Acting versusSlow Acting Neurotransmission
  • 77.
  • 78.
  • 79.
  • 80.
    Effect of DrugAddiction on Dopamine Activity
  • 81.
  • 109.
  • 110.
    Otto Loewi • 1873– 1961 • Was a German born pharmacologis whose discovery of acetylcholine helped enhance medical therapy. • The discovery earned for him the Nobel Prize in Physiology or Medicine in 1936 which he shared with Sir Henry Dale. • Нобелевская премия (1936, совместно с Г.Х. Дейлом).
  • 111.
    • Before Loewi'sexperiments, it was unclear whether signalling across the synapse was bioelectrical or chemical. • Loewi's famous experiment, published in 1921, largely answered this question. According to Loewi, the idea for his key experiment came to him in his sleep.
  • 112.
    • Loewi dissectedout of frogs two beating hearts: one with the vagus nerve which controls heart rate attached, the other heart on its own.
  • 113.
  • 114.
    • Both heartswere bathed in a saline solution (i.e. Ringer's solution). By electrically stimulating the vagus nerve, Loewi made the first heart beat slower. • Then, Loewi took some of the liquid bathing the first heart and applied it to the second heart.
  • 115.
    • The applicationof the liquid made the second heart also beat slower, proving that some soluble chemical released by the vagus nerve was controlling the heart rate. • He called the unknown chemical Vagusstoff. It was later found that this chemical corresponded to Acetylcholin.
  • 116.
    • Thirteen yearslater, Loewi was awarded the Nobel Prize in Physiology or Medicine, which he shared with Sir Henry Hallett Dale.
  • 117.
  • 118.
    There are fourmain criteria for identifying neurotransmitters: 1. The chemical must be synthesized in the neuron or otherwise be present in it. 2. When the neuron is active, the chemical must be released and produce a response in some target. 3. The same response must be obtained when the chemical is experimentally placed on the target. 4. A mechanism must exist for removing the chemical from its site of activation after its work is done.
  • 119.
  • 120.
    Dale, Sir HenryHallett, 1875-1968 • The Nobel Prize in Physiology or Medicine 1936 Генри Дейл
  • 121.
    Dale's principle • Aneuron performs the same chemical action at all of its synaptic connections to other cells, regardless of the identity of the target cell.
  • 122.
    However, there hasbeen disagreement about the precise wording. • Some modern writers have understood the principle • to state that neurons release one and only one transmitter at all of their synapses. • to mean that neurons release the same set of transmitters at all of their synapses.
  • 123.
  • 124.
    Neurotransmitters • are endogenouschemicals that transmit signals from a neuron to a target cell across a synapse.
  • 125.
    • There aremany different ways to classify neurotransmitters. • Dividing them into amino acids, peptides, and monoamines is sufficient for some classification purposes.
  • 126.
    Major neurotransmitters: • Aminoacids: glutamate, aspartate, D- serine, γ-aminobutyric acid (GABA), glycine • Gasotransmitters: nitric oxide (NO), carbon monoxide (CO), hydrogen sulfide (H2S) • Monoamines: dopamine (DA), norepinephrine (noradrenaline; NE, NA), epinephrine (adrenaline), histamine, serotonin (SER, 5-HT)
  • 127.
    Major neurotransmitters: • Traceamines: tyramine, octopamine, tryptamine, etc. • Peptides: somatostatin, substance P, cocaine and amphetamine regulated transcript, opioid peptides • Purines: adenosine triphosphate (ATP), adenosine • Others: acetylcholine (ACh), anandamide, etc.
  • 128.
    Steps of thesynaptic transmission Question No 8.
  • 130.
    Steps of thesynaptic transmission • AP on the pre-synaptic neuron • opening of voltage-gated calcium channels • increase in [Ca2+] • migration and fusion of vesicles containing the neurotransmitter • neurotransmitter release • diffusion of the neurotransmitter in the synaptic cleft • binding of neurotransmitter to receptors on the post- synaptic cell • change in the permeability (membrane potential) of the postsynaptic cell
  • 131.
    • Mechanism byWhich an Action Potential Causes Transmitter Release from the Presynaptic Terminals — Role of Calcium Ions
  • 132.
    Forma of releaseof the mediator depending on the concentration of calcium
  • 133.
    Kiss-and-run fusion • isa type of synaptic vesicle release where the vesicle opens and closes transiently. • In this form of exocytosis, the vesicle docks and transiently fuses at the presynaptic membrane and releases its neurotransmitters across the synapse, after which the vesicle can then be reused. • Kiss-and-run differs from full fusion, where the vesicle collapses fully into the plasma
  • 134.
    Vesicle fusions frozenduring transmitter release: • fusion pores can be seen, wide-open vesicles are rare, late events
  • 137.
  • 138.
    An agonist • isa chemical capable of binding to a receptor, such as a neurotransmitter receptor, and initiating the same reaction typically produced by the binding of the endogenous substance. • of a neurotransmitter will thus initiate the same receptor response as the transmitter.
  • 139.
    An agonist • mayactivate neurotransmitter receptors either directly or indirectly. • Direct-binding agonists can be further characterized as full agonists, partial agonists, inverse agonists.
  • 140.
    Direct agonists • actsimilar to a neurotransmitter by binding directly to its associated receptor site(s), which may be located on the presynaptic neuron or postsynaptic neuron, or both.
  • 141.
    Direct agonists • Typically,neurotransmitter receptors are located on the postsynaptic neuron, while neurotransmitter autoreceptors are located on the presynaptic neuron, as is the case for monoamine neurotransmitters;
  • 142.
    Direct agonists • insome cases, a neurotransmitter utilizes retrograde neurotransmission, a type of feedback signaling in neurons where the neurotransmitter is released postsynaptically and binds to target receptors located on the presynaptic neuron.
  • 143.
    Indirect agonists • increasethe binding of neurotransmitters at their target receptors by stimulating the release or preventing the reuptake of neurotransmitters.
  • 144.
  • 145.
    An antagonist • isa chemical that acts within the body to reduce the physiological activity of another chemical substance (as an opiate); especially one that opposes the action on the nervous system of a drug or a substance occurring naturally in the body by combining with and blocking its nervous receptor.
  • 146.
    Direct-acting antagonist • takesup space present on receptors which are otherwise taken up by neurotransmitters themselves. • This results in neurotransmitters being blocked from binding to the receptors. • The most common is called Atropine.
  • 147.
    Indirect-acting antagonist • drugsthat inhibit the release/production of neurotransmitters • e.g., Reserpine
  • 148.
  • 149.
    An electrical • synapseis a mechanical and electrically conductive link between two neighboring neurons that is formed at a narrow gap between the pre- and postsynaptic neurons known as a gap junction.
  • 150.
    Characteristics of electrical synapsesI • electrotonic potential change – information is transmitted in both directions – the potential change spreads with “decrement” – information is transmitted “without time delay” • small molecules can also cross
  • 151.
    Characteristics of electrical synapsesII. • in special cases it can “rectify” – cations can move in one direction, while anions in the other – the depolarization thus spreads in a given direction
  • 152.