POSTMENOPAUSAL BLEEDING
POSTMENOPAUSAL BLEEDING
DR;MANAL BEHERY
Professor OB &GYNE
2014
Def
Def
Postmenopausal bleeding is any
Postmenopausal bleeding is any
vaginal bleeding that occurs after
vaginal bleeding that occurs after
12 months of amenorrhoea in a
12 months of amenorrhoea in a
postmenopausal women .
postmenopausal women .
The age of menopause is variable,
The age of menopause is variable,
but for most women it is 51 year
but for most women it is 51 year
Causes of postmenopausal uterine
Causes of postmenopausal uterine
bleeding
bleeding
Atrophic vaginitis
Atrophic vaginitis
60-80%
60-80%
Estrogen treatments
Estrogen treatments
15-25%
15-25%
Polyp cervical –uterine
Polyp cervical –uterine
2-12%
2-12%
Endometrial Hyperplasia
Endometrial Hyperplasia
5-10%
5-10%
Enodometrial cancer
Enodometrial cancer
10%
10%
No cause found
No cause found
10%
10%
Atrophic Vaginitis
Atrophic Vaginitis
It is the most common cause of
It is the most common cause of
postmenopausal uterine bleeding
postmenopausal uterine bleeding
4-5 years after the menopause, 25-
4-5 years after the menopause, 25-
50% of women experience
50% of women experience
symptoms due to atophic vaginitis.
symptoms due to atophic vaginitis.
Cervical polyp
Cervical polyp
It is the second most
It is the second most
common cause of
common cause of
postmenopausal
postmenopausal
bleeding
bleeding
Hormone replacement therapy(HRT
Hormone replacement therapy(HRT
(
(

Any vaginal bleeding in a
Any vaginal bleeding in a
menopausal woman other than the
menopausal woman other than the
expected cyclical bleeding that
expected cyclical bleeding that
occurs in women taking sequential
occurs in women taking sequential
HRT should be managed
HRT should be managed
Endometrial hyperplasia &Endometrial
Endometrial hyperplasia &Endometrial
cancer
cancer
reassure women that only 10 percent of those
presenting with postmenopausal bleeding will
have endometrial cancer
90 per cent of women with endometrial
cancer will present with vaginal bleeding
idiopathic cause
idiopathic cause
10–15 %of patients, no evident cause for the
10–15 %of patients, no evident cause for the
bleeding will be found.
bleeding will be found.
It is therefore necessary to look for blood in the stool
It is therefore necessary to look for blood in the stool
or urine, especially if the source of bleeding is
or urine, especially if the source of bleeding is
unclear.
unclear.
Investigations
Investigations
History
History
Clinical examination
Clinical examination
Cervical cytology (if appropriate(
Cervical cytology (if appropriate(
Ultrasound scan
Ultrasound scan
Saline infusion sonography
Saline infusion sonography
Outpatient hysteroscopy
Outpatient hysteroscopy
Endometrial biopsy
Endometrial biopsy
History
History
1
1
-
-
Duration and severity
Duration and severity
No evidence of
association with pattern of
bleeding and malignancy
eg: one off bleed vs regular
bleeding
-
-
2
2
-
-
Associated symptoms
Associated symptoms
Hormonal treatement
Hormonal treatement
Past medical and surgical history
Past medical and surgical history
•
FHistory of colorectal, endometrial or other cancers
associated with hereditary non-polyposis colorectal
cancer Lynch ll syndrome
Clinical examination
Clinical examination
•General:
•obesity?
•thyroid? pallor?
•pulse? Cachexia?
Abdominal and pelvic
Abdominal and pelvic
examination
examination
Speculum examination of the cervix
Speculum examination of the cervix
Bimanual examination
Bimanual examination
Cervical smear
Cervical smear
Colposcopy
Colposcopy
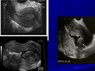
Ultrasound scan
Ultrasound scan
Transvaginal ultrasound (TVUS
Transvaginal ultrasound (TVUS
(
(
•
Thickened (>5mm( endometrial stripe in postmenopause ALWAYS needs
further evaluation
.
Normal TVUS with endometrial
Normal TVUS with endometrial
thickness <4mm,
thickness <4mm,
with normal examination does not
with normal examination does not
require further investigation
require further investigation
providing bleeding has STOPPED.
providing bleeding has STOPPED.
Saline infusion sonography
Saline infusion sonography
Sonohysterography
Sonohysterography
TVS may miss small polyps
TVS may miss small polyps
Difficult to distinguish from thickened
Difficult to distinguish from thickened
endometrium
endometrium
SHG helps in
SHG helps in
accurate diagnosis
accurate diagnosis
normal cavity
normal cavity
Endometrial
Endometrial biopsy
biopsy
 a tissue sample is taken from the lining of the uterus
a tissue sample is taken from the lining of the uterus
(endometrium(,
(endometrium(,
 and is checked under a microscope for any abnormal
and is checked under a microscope for any abnormal
cells or signs of cancer.
cells or signs of cancer.
Endometrial sampling
Endometrial sampling
All women with persistent menorrhogia
All women with persistent menorrhogia
To diagnose or exclude
To diagnose or exclude
endometrial carcinoma or
endometrial carcinoma or
Hyperplasia
Hyperplasia
Endometrial Suction Curette
Endometrial Suction Curette
Pippelle : most commonly used, least
discomfort
Karman Cannula
Endometrial Brush
Superior in Post-Menopausal
Same as Pipelle in Pre-Menop.
A( Pipelle endometrial suction curette. (B( Vabra aspirat
.
Tao Endometrial Brush
Sampling How
Sampling How
?
?
 Endometrial aspiration
Endometrial aspiration
 Conventional D&C
Conventional D&C
 Hysteroscopy & directed biopsy
Hysteroscopy & directed biopsy
hysteroscopy
hysteroscopy
The Gold Standard-
The Gold Standard-
Allows Direct Visualisation Of Uterine Cavity,
Allows Direct Visualisation Of Uterine Cavity,
Indication of hystroscopy
Indication of hystroscopy
When sampling cannot be performed
When sampling cannot be performed
due to cervical stenos is
due to cervical stenos is
Or when bleeding persists after negative
Or when bleeding persists after negative
biopsy.
biopsy.
Endometrial hyperplasis&endometrial polyp
Endometrial hyperplasis&endometrial polyp
Endometrial polyp
Management of postmenopausal
Management of postmenopausal
bleeding
bleeding
General treatment
General treatment
:
:
In some cases the blood loss may be
In some cases the blood loss may be
excessive, rapid and possibly life threatening
excessive, rapid and possibly life threatening
Correct
Correct general condition
general condition(Anti-shock
(Anti-shock
measure(
measure(
-Hospitalization
-Hospitalization
Rapid restoration of blood
Rapid restoration of blood
volume,vital parameters
volume,vital parameters
followed by local examination to find out
followed by local examination to find out
the site and source of bleeding
the site and source of bleeding
It is according to the
It is according to the cause
cause
:
:
Atrophic vaginitis
Atrophic vaginitis
treated by administration of topical oestrogen
treated by administration of topical oestrogen
-
-
Vagifem
Vagifem an oestrogen within a small pessary
an oestrogen within a small pessary
inserted into vagina
inserted into vagina
,
,
Endometrial Polyps
Endometrial Polyps
Removed by hysteroscopy
Removed by hysteroscopy
When patient presents with recurrent
When patient presents with recurrent
attack of bleeding
attack of bleeding
 Do
Do pelvic MRI
pelvic MRI to exclude early stage E
to exclude early stage E
cancer
cancer
 Do
Do cytoscopy
cytoscopy to exclude bladder tumors
to exclude bladder tumors
 -DO
-DO sigmoidscopy
sigmoidscopy to exclude large bowel
to exclude large bowel
tumors if the site of bleeding is unclear
tumors if the site of bleeding is unclear
MRI early stage cancer
MRI early stage cancer
Endometrial hyperplasia and
Endometrial hyperplasia and
carcinoma
carcinoma
In postmenopausal women it should be surgical and include
In postmenopausal women it should be surgical and include
Total hystrectomy and bliateral salpingo-oophorectomy
Total hystrectomy and bliateral salpingo-oophorectomy
-
-
To avoid unnecessary risk form treatment with progesteron
To avoid unnecessary risk form treatment with progesteron
therapy
therapy
Summary
Summary
Vaginal atrophy: oestrogen daily for 2 weeks,
Vaginal atrophy: oestrogen daily for 2 weeks,
then once- twice weekly for maintenance.
then once- twice weekly for maintenance.
Polyps- removed as OP
Polyps- removed as OP
Endometrial hyperplasia- treated with IUS or
Endometrial hyperplasia- treated with IUS or
progest
progest
Endometrial hyperplasia with atypia- should
Endometrial hyperplasia with atypia- should
be treated as cancer.
be treated as cancer.
How to approach a case of
How to approach a case of
abnormal Vaginal bleeding
abnormal Vaginal bleeding
DR;MANAL BEHERY
Professor, Zagazig University
2014
Definition
Definition
Any uterine bleeding that is excessive in
Any uterine bleeding that is excessive in
amount ,duration or frequancy
amount ,duration or frequancy
Characteristics of Normal Menstruation
Characteristics of Normal Menstruation
Regulation of Normal
Regulation of Normal
Menstruation
Menstruation
How do hormones work
How do hormones work
?
?
Why EP withdrawal bleeding
is self limited
?
Why EP withdrawal bleeding
is self limited
?
3
3
reasons
reasons
1
-
It is a universal endometrial event
Menstrual changes occurs simultaneously
in all segments of endometriaum
3
3
reasons
reasons
2
-
the endometrium is structurly stable
,
Randome breakdown of tissue is avoided
3
3
reasons
reasons
Factors involved in stopping of menses
Waves of vacoconstriction
Vacular stasis
Endometrial collapse
Clotting factors
0
2
4
6
8
10
12
14
16
18
20
22
24
26
28
Hormone
Level
Estradiol
Progesterone
FSH
LH
Menstrual Cycle Day
Ovulation
Endometrial
Thickness
0
2
4
6
8
10
12
14
16
18
20
22
24
26
28
Normal
Menstrual
Cycle
Hormone
Level
Estradiol
Progesterone
Endometrial
Thickness
0
2
4
6
8
10
12
14
16
18
20
0
2
4
6
8
10
12
14
16
18
20
Weeks
Breakthrough
Withdrawal
Anovulatory
Bleeding in PCOS
Lower limit
of normal
Menorrhagia
Menorrhagia Prolonged (> 7 days) or excessive (> 80mL)
Prolonged (> 7 days) or excessive (> 80mL)
uterine bleeding occurring at regular
uterine bleeding occurring at regular
intervals
intervals
Metrorrhagia
Metrorrhagia Uterine bleeding occurring at irregular
Uterine bleeding occurring at irregular
intervals or between periods
intervals or between periods
Menometrorrhagia
Menometrorrhagia Uterine bleeding occurring at irregular
Uterine bleeding occurring at irregular
intervals, with heavy (> 80mL) or prolonged
intervals, with heavy (> 80mL) or prolonged
(> 7 days) menstrual flow
(> 7 days) menstrual flow
Polymenhorrhea
Polymenhorrhea Uterine bleeding occurring at regular
Uterine bleeding occurring at regular
intervals of < 21 days
intervals of < 21 days
Oligomenorrhea
Oligomenorrhea Uterine bleeding occurring at intervals of 35
Uterine bleeding occurring at intervals of 35
days or longer
days or longer
Amenorrhea
Amenorrhea Absence of uterine bleeding for 6 months or
Absence of uterine bleeding for 6 months or
longer in a non-menopausal woman
longer in a non-menopausal woman
classification
classification
Organic
Organic
–
Systemic
Systemic
–
Reproductive tract disease
Reproductive tract disease
–
Iatrogenic
Iatrogenic
Dysfunctional
Dysfunctional
–
Ovulatory
Ovulatory
–
Anovulatory
Anovulatory
Systemic Etiologies
Systemic Etiologies
Coagulation defects
Coagulation defects
Leukemia
Leukemia
ITP
ITP
Thyroid dysfunction
Thyroid dysfunction
Liver disease
Liver disease
Reproductive Tract Causes
Reproductive Tract Causes
Gestational events
Gestational events
Malignancies
Malignancies
Benign
Benign
– Atrophy
Atrophy
– Leiomyoma
Leiomyoma
– Polyps
Polyps
– Cervical lesions
Cervical lesions
– Foreign body
Foreign body
– Infections
Infections
Most Common Causes of
Most Common Causes of
Reproductive Tract AUB
Reproductive Tract AUB
Pre-menarchal
Pre-menarchal
–Foreign body
Foreign body
Reproductive age
Reproductive age
–Gestational event
Gestational event
Post-menopausa
Post-menopausal
l
–Atrophy
Atrophy
Iatrogenic Causes of AUB
Iatrogenic Causes of AUB
Intra-uterine device
Intra-uterine device
Oral and injectable steroids
Oral and injectable steroids
Psychotropic drugs
Psychotropic drugs
Dysfunctional causes
Dysfunctional causes
DUB is the most
DUB is the most
After puberty
After puberty
Before menopause
Before menopause
After labor or abortion
After labor or abortion
“
“
Doctor, I’m bleeding funny
Doctor, I’m bleeding funny
”
”
What is your first question?
What is your first question?
How do you help her define
How do you help her define “bleeding
“bleeding
funny”?
funny”?
How do you quantify her bleeding?
How do you quantify her bleeding?
A practical approach (step1) HISTORY
A practical approach (step1) HISTORY
•
1
1
-
-
Age
Age(before puberty, reproductive age ,PM
(before puberty, reproductive age ,PM
(
(
•
2
2
-
-
Pattern of bleeding
Pattern of bleeding: cyclic or a cyclic
: cyclic or a cyclic
•
3Marital state
3Marital state: complication of pregnancy
: complication of pregnancy
•
4
4
Drug intake
Drug intake ,hormonal ttt, HRT
,hormonal ttt, HRT
•
:
:
5
5
previous
previous treatment
treatment
)
)
Step2) Physical examination
Step2) Physical examination
• Abdomen
Abdomen: palpable mass?
: palpable mass?
• Pelvis
Pelvis: cervical or vaginal lesion?
: cervical or vaginal lesion?
• Bimanual exa
Bimanual exam:uterine size
m:uterine size
• Speculum
Speculum :cervical lesion
:cervical lesion
• PR
PR: rectum or parametrium
: rectum or parametrium
)
)
Step 3) investigation
Step 3) investigation
 TVS
TVS to assess endometrial thickness
to assess endometrial thickness
 Sonohystrography
Sonohystrography
 endometrial aspirate
endometrial aspirate
 Hysteroscopy
Hysteroscopy
 CT ,MRI for endometrial invasion
CT ,MRI for endometrial invasion
Consider those investigations ONLY IF
Consider those investigations ONLY IF
–
cervical smear
cervical smear if sexually active and last
if sexually active and last
smear more than 1 year ago
smear more than 1 year ago
–
CBC
CBC if menorrhagia
if menorrhagia
–
Thyroid function, coagulation profile only
Thyroid function, coagulation profile only
when history suggestive
when history suggestive
)
)
Step4) medical ttt
Step4) medical ttt
For women under 40 with no suspicion of
For women under 40 with no suspicion of
organic lesions either
organic lesions either
Hormonal (for irregular bleeding as well as
Hormonal (for irregular bleeding as well as
menorrhagia
menorrhagia
(
(
–
combined OC
combined OC
–
progestogen only (21 days needed
progestogen only (21 days needed
(
(
Non-hormonal (for menorrhagia
Non-hormonal (for menorrhagia
(
(
–
NSAID
NSAID
–
antifibrinolytic agent
antifibrinolytic agent
Step 5 When to refer
Step 5 When to refer
?
?
 No response to medical treatment
No response to medical treatment
 Over the age of 40
Over the age of 40
 Uterus > 10 week size or irregular
Uterus > 10 week size or irregular
 High risk of endometrial Cancer (obesity, DM,
High risk of endometrial Cancer (obesity, DM,
PCOD)
PCOD)
 Cervical pathology suspected
Cervical pathology suspected
Surgery treatment of
Surgery treatment of AUB
AUB
– Dilation and Curettage
Dilation and Curettage
quickest way to stop bleeding in patients
quickest way to stop bleeding in patients
who are hypovolemic
who are hypovolemic
appropriate in older women (>35)to exclude
appropriate in older women (>35)to exclude
malignancy but is inferior to hysteroscopy
malignancy but is inferior to hysteroscopy
follow with medroxyprogesterone acetate,
follow with medroxyprogesterone acetate,
OCP’s, or NSAID’s to prevent recurrence
OCP’s, or NSAID’s to prevent recurrence
hystrectomy
hystrectomy
Other modalities of treatment
Other modalities of treatment
Levonorgesterol releasing IUCD (Mirena
Levonorgesterol releasing IUCD (Mirena
(
(
2
2
.
.
Endometrial ablation
Endometrial ablation
Hysteroscopic methods
Hysteroscopic methods
– Endometrial laser ablation
Endometrial laser ablation
– Electrosurgical endometrial ablation
Electrosurgical endometrial ablation
– Loop endometrial ablation
Loop endometrial ablation
– Roller-ball endometriaal ablation usting resectoscope
Roller-ball endometriaal ablation usting resectoscope
Nonhysteroscopic methods
Nonhysteroscopic methods
– Radio-frequency-induced thermal endometrial ablation
Radio-frequency-induced thermal endometrial ablation
– Microwave
Microwave endometrial ablation
endometrial ablation
– Uterine balloon therapy
Uterine balloon therapy
– 3.Hysterectomy
3.Hysterectomy
ENDOMETRIAL ABLATION
ENDOMETRIAL ABLATION
Uterine balloon therapy
Uterine balloon therapy Roller-ball endometriaal
Roller-ball endometriaal
ablation usting
ablation usting
resectoscope
resectoscope
Abnormal Uterine Bleeding in
Abnormal Uterine Bleeding in
Women of Childbearing Age
Women of Childbearing Age
Abnormal postmenopausal bleeding P
Abnormal postmenopausal bleeding P
Bleeding
Bleeding
THANK YOU

1.pdf

  • 1.
  • 2.
    Def Def Postmenopausal bleeding isany Postmenopausal bleeding is any vaginal bleeding that occurs after vaginal bleeding that occurs after 12 months of amenorrhoea in a 12 months of amenorrhoea in a postmenopausal women . postmenopausal women . The age of menopause is variable, The age of menopause is variable, but for most women it is 51 year but for most women it is 51 year
  • 3.
    Causes of postmenopausaluterine Causes of postmenopausal uterine bleeding bleeding Atrophic vaginitis Atrophic vaginitis 60-80% 60-80% Estrogen treatments Estrogen treatments 15-25% 15-25% Polyp cervical –uterine Polyp cervical –uterine 2-12% 2-12% Endometrial Hyperplasia Endometrial Hyperplasia 5-10% 5-10% Enodometrial cancer Enodometrial cancer 10% 10% No cause found No cause found 10% 10%
  • 4.
    Atrophic Vaginitis Atrophic Vaginitis Itis the most common cause of It is the most common cause of postmenopausal uterine bleeding postmenopausal uterine bleeding 4-5 years after the menopause, 25- 4-5 years after the menopause, 25- 50% of women experience 50% of women experience symptoms due to atophic vaginitis. symptoms due to atophic vaginitis.
  • 5.
    Cervical polyp Cervical polyp Itis the second most It is the second most common cause of common cause of postmenopausal postmenopausal bleeding bleeding
  • 6.
    Hormone replacement therapy(HRT Hormonereplacement therapy(HRT ( (  Any vaginal bleeding in a Any vaginal bleeding in a menopausal woman other than the menopausal woman other than the expected cyclical bleeding that expected cyclical bleeding that occurs in women taking sequential occurs in women taking sequential HRT should be managed HRT should be managed
  • 7.
    Endometrial hyperplasia &Endometrial Endometrialhyperplasia &Endometrial cancer cancer reassure women that only 10 percent of those presenting with postmenopausal bleeding will have endometrial cancer 90 per cent of women with endometrial cancer will present with vaginal bleeding
  • 8.
    idiopathic cause idiopathic cause 10–15%of patients, no evident cause for the 10–15 %of patients, no evident cause for the bleeding will be found. bleeding will be found. It is therefore necessary to look for blood in the stool It is therefore necessary to look for blood in the stool or urine, especially if the source of bleeding is or urine, especially if the source of bleeding is unclear. unclear.
  • 9.
    Investigations Investigations History History Clinical examination Clinical examination Cervicalcytology (if appropriate( Cervical cytology (if appropriate( Ultrasound scan Ultrasound scan Saline infusion sonography Saline infusion sonography Outpatient hysteroscopy Outpatient hysteroscopy Endometrial biopsy Endometrial biopsy
  • 10.
  • 11.
    1 1 - - Duration and severity Durationand severity No evidence of association with pattern of bleeding and malignancy eg: one off bleed vs regular bleeding
  • 12.
  • 13.
  • 14.
    Past medical andsurgical history Past medical and surgical history • FHistory of colorectal, endometrial or other cancers associated with hereditary non-polyposis colorectal cancer Lynch ll syndrome
  • 15.
  • 16.
    Abdominal and pelvic Abdominaland pelvic examination examination
  • 17.
    Speculum examination ofthe cervix Speculum examination of the cervix
  • 18.
  • 19.
  • 20.
  • 21.
  • 22.
    Transvaginal ultrasound (TVUS Transvaginalultrasound (TVUS ( ( • Thickened (>5mm( endometrial stripe in postmenopause ALWAYS needs further evaluation .
  • 23.
    Normal TVUS withendometrial Normal TVUS with endometrial thickness <4mm, thickness <4mm, with normal examination does not with normal examination does not require further investigation require further investigation providing bleeding has STOPPED. providing bleeding has STOPPED.
  • 24.
  • 25.
    Sonohysterography Sonohysterography TVS may misssmall polyps TVS may miss small polyps Difficult to distinguish from thickened Difficult to distinguish from thickened endometrium endometrium SHG helps in SHG helps in accurate diagnosis accurate diagnosis
  • 26.
  • 28.
    Endometrial Endometrial biopsy biopsy  atissue sample is taken from the lining of the uterus a tissue sample is taken from the lining of the uterus (endometrium(, (endometrium(,  and is checked under a microscope for any abnormal and is checked under a microscope for any abnormal cells or signs of cancer. cells or signs of cancer.
  • 29.
    Endometrial sampling Endometrial sampling Allwomen with persistent menorrhogia All women with persistent menorrhogia To diagnose or exclude To diagnose or exclude endometrial carcinoma or endometrial carcinoma or Hyperplasia Hyperplasia
  • 30.
    Endometrial Suction Curette EndometrialSuction Curette Pippelle : most commonly used, least discomfort Karman Cannula Endometrial Brush Superior in Post-Menopausal Same as Pipelle in Pre-Menop. A( Pipelle endometrial suction curette. (B( Vabra aspirat . Tao Endometrial Brush
  • 31.
    Sampling How Sampling How ? ? Endometrial aspiration Endometrial aspiration  Conventional D&C Conventional D&C  Hysteroscopy & directed biopsy Hysteroscopy & directed biopsy
  • 32.
    hysteroscopy hysteroscopy The Gold Standard- TheGold Standard- Allows Direct Visualisation Of Uterine Cavity, Allows Direct Visualisation Of Uterine Cavity,
  • 33.
    Indication of hystroscopy Indicationof hystroscopy When sampling cannot be performed When sampling cannot be performed due to cervical stenos is due to cervical stenos is Or when bleeding persists after negative Or when bleeding persists after negative biopsy. biopsy.
  • 34.
  • 35.
  • 36.
    Management of postmenopausal Managementof postmenopausal bleeding bleeding
  • 37.
    General treatment General treatment : : Insome cases the blood loss may be In some cases the blood loss may be excessive, rapid and possibly life threatening excessive, rapid and possibly life threatening Correct Correct general condition general condition(Anti-shock (Anti-shock measure( measure( -Hospitalization -Hospitalization
  • 38.
    Rapid restoration ofblood Rapid restoration of blood volume,vital parameters volume,vital parameters followed by local examination to find out followed by local examination to find out the site and source of bleeding the site and source of bleeding
  • 39.
    It is accordingto the It is according to the cause cause : :
  • 40.
    Atrophic vaginitis Atrophic vaginitis treatedby administration of topical oestrogen treated by administration of topical oestrogen - - Vagifem Vagifem an oestrogen within a small pessary an oestrogen within a small pessary inserted into vagina inserted into vagina , ,
  • 41.
    Endometrial Polyps Endometrial Polyps Removedby hysteroscopy Removed by hysteroscopy
  • 42.
    When patient presentswith recurrent When patient presents with recurrent attack of bleeding attack of bleeding  Do Do pelvic MRI pelvic MRI to exclude early stage E to exclude early stage E cancer cancer  Do Do cytoscopy cytoscopy to exclude bladder tumors to exclude bladder tumors  -DO -DO sigmoidscopy sigmoidscopy to exclude large bowel to exclude large bowel tumors if the site of bleeding is unclear tumors if the site of bleeding is unclear
  • 43.
    MRI early stagecancer MRI early stage cancer
  • 44.
    Endometrial hyperplasia and Endometrialhyperplasia and carcinoma carcinoma In postmenopausal women it should be surgical and include In postmenopausal women it should be surgical and include Total hystrectomy and bliateral salpingo-oophorectomy Total hystrectomy and bliateral salpingo-oophorectomy - - To avoid unnecessary risk form treatment with progesteron To avoid unnecessary risk form treatment with progesteron therapy therapy
  • 45.
    Summary Summary Vaginal atrophy: oestrogendaily for 2 weeks, Vaginal atrophy: oestrogen daily for 2 weeks, then once- twice weekly for maintenance. then once- twice weekly for maintenance. Polyps- removed as OP Polyps- removed as OP Endometrial hyperplasia- treated with IUS or Endometrial hyperplasia- treated with IUS or progest progest Endometrial hyperplasia with atypia- should Endometrial hyperplasia with atypia- should be treated as cancer. be treated as cancer.
  • 46.
    How to approacha case of How to approach a case of abnormal Vaginal bleeding abnormal Vaginal bleeding DR;MANAL BEHERY Professor, Zagazig University 2014
  • 47.
    Definition Definition Any uterine bleedingthat is excessive in Any uterine bleeding that is excessive in amount ,duration or frequancy amount ,duration or frequancy
  • 48.
    Characteristics of NormalMenstruation Characteristics of Normal Menstruation
  • 49.
    Regulation of Normal Regulationof Normal Menstruation Menstruation
  • 50.
    How do hormoneswork How do hormones work ? ?
  • 52.
    Why EP withdrawalbleeding is self limited ? Why EP withdrawal bleeding is self limited ?
  • 53.
    3 3 reasons reasons 1 - It is auniversal endometrial event Menstrual changes occurs simultaneously in all segments of endometriaum
  • 54.
    3 3 reasons reasons 2 - the endometrium isstructurly stable , Randome breakdown of tissue is avoided
  • 55.
    3 3 reasons reasons Factors involved instopping of menses Waves of vacoconstriction Vacular stasis Endometrial collapse Clotting factors
  • 56.
  • 57.
  • 58.
    Menorrhagia Menorrhagia Prolonged (>7 days) or excessive (> 80mL) Prolonged (> 7 days) or excessive (> 80mL) uterine bleeding occurring at regular uterine bleeding occurring at regular intervals intervals Metrorrhagia Metrorrhagia Uterine bleeding occurring at irregular Uterine bleeding occurring at irregular intervals or between periods intervals or between periods Menometrorrhagia Menometrorrhagia Uterine bleeding occurring at irregular Uterine bleeding occurring at irregular intervals, with heavy (> 80mL) or prolonged intervals, with heavy (> 80mL) or prolonged (> 7 days) menstrual flow (> 7 days) menstrual flow Polymenhorrhea Polymenhorrhea Uterine bleeding occurring at regular Uterine bleeding occurring at regular intervals of < 21 days intervals of < 21 days Oligomenorrhea Oligomenorrhea Uterine bleeding occurring at intervals of 35 Uterine bleeding occurring at intervals of 35 days or longer days or longer Amenorrhea Amenorrhea Absence of uterine bleeding for 6 months or Absence of uterine bleeding for 6 months or longer in a non-menopausal woman longer in a non-menopausal woman
  • 59.
    classification classification Organic Organic – Systemic Systemic – Reproductive tract disease Reproductivetract disease – Iatrogenic Iatrogenic Dysfunctional Dysfunctional – Ovulatory Ovulatory – Anovulatory Anovulatory
  • 60.
    Systemic Etiologies Systemic Etiologies Coagulationdefects Coagulation defects Leukemia Leukemia ITP ITP Thyroid dysfunction Thyroid dysfunction Liver disease Liver disease
  • 61.
    Reproductive Tract Causes ReproductiveTract Causes Gestational events Gestational events Malignancies Malignancies Benign Benign – Atrophy Atrophy – Leiomyoma Leiomyoma – Polyps Polyps – Cervical lesions Cervical lesions – Foreign body Foreign body – Infections Infections
  • 62.
    Most Common Causesof Most Common Causes of Reproductive Tract AUB Reproductive Tract AUB Pre-menarchal Pre-menarchal –Foreign body Foreign body Reproductive age Reproductive age –Gestational event Gestational event Post-menopausa Post-menopausal l –Atrophy Atrophy
  • 63.
    Iatrogenic Causes ofAUB Iatrogenic Causes of AUB Intra-uterine device Intra-uterine device Oral and injectable steroids Oral and injectable steroids Psychotropic drugs Psychotropic drugs
  • 64.
    Dysfunctional causes Dysfunctional causes DUBis the most DUB is the most After puberty After puberty Before menopause Before menopause After labor or abortion After labor or abortion
  • 65.
    “ “ Doctor, I’m bleedingfunny Doctor, I’m bleeding funny ” ” What is your first question? What is your first question? How do you help her define How do you help her define “bleeding “bleeding funny”? funny”? How do you quantify her bleeding? How do you quantify her bleeding?
  • 66.
    A practical approach(step1) HISTORY A practical approach (step1) HISTORY • 1 1 - - Age Age(before puberty, reproductive age ,PM (before puberty, reproductive age ,PM ( ( • 2 2 - - Pattern of bleeding Pattern of bleeding: cyclic or a cyclic : cyclic or a cyclic • 3Marital state 3Marital state: complication of pregnancy : complication of pregnancy • 4 4 Drug intake Drug intake ,hormonal ttt, HRT ,hormonal ttt, HRT • : : 5 5 previous previous treatment treatment
  • 67.
    ) ) Step2) Physical examination Step2)Physical examination • Abdomen Abdomen: palpable mass? : palpable mass? • Pelvis Pelvis: cervical or vaginal lesion? : cervical or vaginal lesion? • Bimanual exa Bimanual exam:uterine size m:uterine size • Speculum Speculum :cervical lesion :cervical lesion • PR PR: rectum or parametrium : rectum or parametrium
  • 68.
    ) ) Step 3) investigation Step3) investigation  TVS TVS to assess endometrial thickness to assess endometrial thickness  Sonohystrography Sonohystrography  endometrial aspirate endometrial aspirate  Hysteroscopy Hysteroscopy  CT ,MRI for endometrial invasion CT ,MRI for endometrial invasion
  • 69.
    Consider those investigationsONLY IF Consider those investigations ONLY IF – cervical smear cervical smear if sexually active and last if sexually active and last smear more than 1 year ago smear more than 1 year ago – CBC CBC if menorrhagia if menorrhagia – Thyroid function, coagulation profile only Thyroid function, coagulation profile only when history suggestive when history suggestive
  • 70.
    ) ) Step4) medical ttt Step4)medical ttt For women under 40 with no suspicion of For women under 40 with no suspicion of organic lesions either organic lesions either Hormonal (for irregular bleeding as well as Hormonal (for irregular bleeding as well as menorrhagia menorrhagia ( ( – combined OC combined OC – progestogen only (21 days needed progestogen only (21 days needed ( ( Non-hormonal (for menorrhagia Non-hormonal (for menorrhagia ( ( – NSAID NSAID – antifibrinolytic agent antifibrinolytic agent
  • 71.
    Step 5 Whento refer Step 5 When to refer ? ?  No response to medical treatment No response to medical treatment  Over the age of 40 Over the age of 40  Uterus > 10 week size or irregular Uterus > 10 week size or irregular  High risk of endometrial Cancer (obesity, DM, High risk of endometrial Cancer (obesity, DM, PCOD) PCOD)  Cervical pathology suspected Cervical pathology suspected
  • 72.
    Surgery treatment of Surgerytreatment of AUB AUB – Dilation and Curettage Dilation and Curettage quickest way to stop bleeding in patients quickest way to stop bleeding in patients who are hypovolemic who are hypovolemic appropriate in older women (>35)to exclude appropriate in older women (>35)to exclude malignancy but is inferior to hysteroscopy malignancy but is inferior to hysteroscopy follow with medroxyprogesterone acetate, follow with medroxyprogesterone acetate, OCP’s, or NSAID’s to prevent recurrence OCP’s, or NSAID’s to prevent recurrence
  • 73.
  • 74.
    Other modalities oftreatment Other modalities of treatment Levonorgesterol releasing IUCD (Mirena Levonorgesterol releasing IUCD (Mirena ( (
  • 75.
    2 2 . . Endometrial ablation Endometrial ablation Hysteroscopicmethods Hysteroscopic methods – Endometrial laser ablation Endometrial laser ablation – Electrosurgical endometrial ablation Electrosurgical endometrial ablation – Loop endometrial ablation Loop endometrial ablation – Roller-ball endometriaal ablation usting resectoscope Roller-ball endometriaal ablation usting resectoscope Nonhysteroscopic methods Nonhysteroscopic methods – Radio-frequency-induced thermal endometrial ablation Radio-frequency-induced thermal endometrial ablation – Microwave Microwave endometrial ablation endometrial ablation – Uterine balloon therapy Uterine balloon therapy – 3.Hysterectomy 3.Hysterectomy
  • 76.
    ENDOMETRIAL ABLATION ENDOMETRIAL ABLATION Uterineballoon therapy Uterine balloon therapy Roller-ball endometriaal Roller-ball endometriaal ablation usting ablation usting resectoscope resectoscope
  • 77.
    Abnormal Uterine Bleedingin Abnormal Uterine Bleeding in Women of Childbearing Age Women of Childbearing Age
  • 78.
    Abnormal postmenopausal bleedingP Abnormal postmenopausal bleeding P Bleeding Bleeding
  • 79.