X-RAYS
DR.G.S.R.HAREESH
X-RAYS
• Plain X- Rays
• Contrast X-rays
• Barium swallow
• Barium meal
• Barium enema
• Intravenous urography
• Endoscopic retrograde cholangiopancreaticography
• T-tube cholangiogram
• Percutaneous transhepatic cholangiography
X-Ray Reading
1. Plain / Contrast
2. View or Orientation
3. Part of body
4. Systematic examination (ABCDE)
ABCDE
• A - A is for Air in the wrong place
 Look for pneumoperitoneum & pneumoretroperitoneum
 Look for gas in the biliary tree and portal vein
• B - B is for Bowel
 Look for dilated small and large bowel
 Look for a volvulus
 Look for a distended stomach
 Look for a hernia
 Look for evidence of bowel wall thickening
ABCDE
• C - C is for Calcification
 Look for clinically significant calcified structures such as
renal calculus, nephrocalcinosis, pancreatic calcification and
an abdominal aortic aneurysm (AAA), calcified gallstones
 Look for clinically insignificant calcified structures such as
costal cartilage calcification, phleboliths, mesenteric lymph
nodes, calcified fibroids, prostate calcification and vascular
calcification
 Look for a foetus (females)
ABCDE
• D - D is for Disability (bones and solid organs)
 Look at the bony skeleton for fractures and sclerotic/lytic bone
lesions
 Look at the spine for vertebral body height, alignment, pedicles and
a ‘bamboo spine’
 Look for solid organ enlargement
• E - E is for Everything else
 Look for evidence of previous surgery and other medical devices
 Look for foreign bodies
 Look at the lung bases
Plain X-Rays
1. Pneumoperitoneum
2. Small Bowel Obstruction
3. Sigmoid Volvulus
4. Renal Caluculus
5. Bladder Calculus
6. Pancreatic Calculi
7. Canon Ball Secondaries
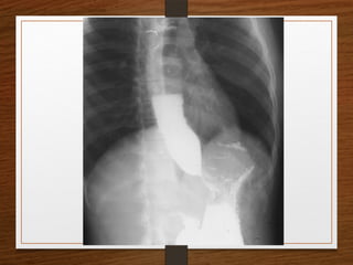
Contrast X-rays
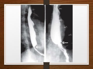
• Barium Swallow
• Achalasia
• Ca Esophagus
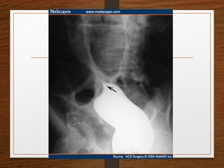
• Barium Meal
• GOO
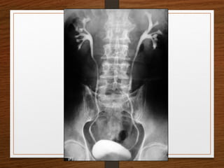
• Barium Enema
• Ca Colon
• IVP
PNEUMOPERITONEUM
• Miss it and the patient may die
• Bilateral dark crescents of gas under both domes of diaphragm
• Erect posture
• Left lateral decubitus
• 1 ml of air is more than enough
Signs of pneumoperitoneum
• Double wall sign ( RIGLER’S sign )
• Football sign – centrally placed intraperitoneal free air
• Dome sign
• Cupola sign of air under the central diaphragm
• Silver’s sign – visualization of falciform ligament
• Continuous diaphragm sign
• Lucent liver sign – air overlying or outlining liver
• Doges cap sign – triangle of air outlinig morrison’s
pouch
• Inverted V sign - air in umbilical ligaments
• Visualization of both the outer and inner walls of a bowel
loop is known as Rigler's sign
Causes of pneumoperitoneum
With peritonitis
Perforation of a hollow viscus , peptic ulcer most often
Intestinal obstruction
Ruptured diverticular disease
Penetrating injury – gun shot , knife wounds
Ruptured inflammatory bowel disease(megacolon)
Colonic infections (typhoid)
Causes of pneumoperitoneum
Without peritonitis
 Post laparotomy
 Post laparoscopy
 Jejunal diverticulosis
 Steroids
 Tracking from chest (pneumothorax)
 Peritoneal dialysis
 Vaginal insufflation (douching, hysteroscopy)
 Pneumatosis coli
Conditions mimicking pneumoperitoneum
Intestine between liver and diaphragm—Chilaiditi's
syndrome
Subphrenic abscess
Curvilinear atelectasis in the lung
Subdiaphragmatic fat
Diaphragmatic irregularity
Cysts in pneumatosis intestinalis
Meteorism
Distended gastric fundus
Curvilinear
atelectasis in
the lung
Chilaiditi's syndrome
Meteorism
Fat
Peptic Ulcer Perforation
• Aetiology
• Clinical features
• Stages
• Investigation
• Management
• Resuscitation
• Surgery
• Fluid levels are common in normal people, and they
usually lie in the colon.
• Three to five fluid levels less than 2.5 cm in length may
be seen, particularly in the right lower quadrant, without
any evidence of intestinal obstruction or paralytic ileus.
• More than two fluid levels in dilated small bowel (calibre
greater than 2.5 cm) are said to be abnormal, and
usually indicate
• Paralytic ileus or
• Intestinal obstruction
• The causes of SBO are myriad, but can be largely divided into
• Mural lesions
• tumour,
• stricture due to Crohn's disease,
• irradiation,
• ischaemia
• Luminal
• bezoar,
• gallstone,
• Ascaris lumbricoides bolus,
• intussusception
• Extrinsic
• adhesions,
• hernia,
• volvulus,
• abdominal malignancy
Distinction between small- and large-bowel
dilatation
• Dilated small-bowel loops are usually more numerous and arranged centrally in
the abdomen.
• The loops show a small radius of curvature and rarely exceed 5 cm in diameter.
• The presence of solid faeces is the only reliable sign that the loop is large
bowel. The other signs can be misleading.
• The small-bowel folds or valvulae conniventes form thin, complete bands across
the bowel gas shadow, prominent in the jejunum but becoming less marked as
the ileum is reached.
• The valvulae conniventes are much closer together than colonic haustra and
become thinner when stretched.
Sigmoid volvulus
The inverted U-shaped loop is usually massively distended
Commonly devoid of haustra, an important diagnostic point.
The ahaustral margin can often be identified overlapping respectively
 the lower border of the liver shadow (the liver overlap sign),
 the haustrated, dilated descending colon (the left flank overlap sign)
 the left side of the pelvis (the pelvic overlap sign).
The top of the sigmoid volvulus usually lies very high in the abdomen
(above the level of T10) with its apex on the left side.
Signs
 Grossly distended loop of sigmoid colon
 Coffee bean sign
 Air – fluid ratio > 2:1
 Lack of haustra
 Apex above 10th
thoracic vertebra
 Liver overlap sign
 Left flank overlap sign
 Pelvis overlap sign
 Bird of prey /twisted bird beak appearance
Doubt about the
diagnosis on the plain
radiographs
Contrast enema
Contrast enema
• Features seen at the point of torsion include a
smooth, curved tapering of the colonic lumen, like a
hooked beak (the bird of prey sign)
• the mucosal folds often show a ‘screw’ pattern at the
point of twist
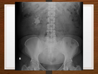
What are the D/D of a radiopaque shadow in this region?
• Kidney stone
• Gallstones
• Pancreatic calculi
• Foreign body
• Fecolith
• Phleboliths
• calcified lymph node
• calcified renal tuberculosis
• calcified adrenal gland
• chip fracture of a transverse process of vertebra or calcification of costal
cartilage
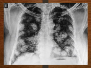
What are the important causes of
cannon ball shadows in chest X-ray?
• Metastasis
• Benign lesion
 Fungal infection—Histoplasmosis, coccidioodomycosis,
aspergillosis.
 Parasitic infection—Filarial infection, hydatid disease.
 Sarcoidosis.
 Wegener’s granulomatosis.
 Rheumatoid nodules.
Contrast Films
• Barium Swallow
• Barium Meal
• Barium Enema
• IVP
Barium Studies
Barium studies can demonstrate GI abnormalities in three ways
1. Mucosal relief views of the collapsed or partially collapsed
lumen obtained with a small volume of barium.
• particularly useful for showing abnormalities involving the
submucosa, such as esophageal varices.
2. Single-contrast views of the filled lumen obtained with a
large volume of low-density barium
• These views enable visualization of contour abnormalities,
strictures, and large polypoid defects.
3. Double-contrast views obtained after the mucosal surface
has been coated with a thin layer of high-density barium
and the lumen has been distended with gas
• These views enable visualization of subtle mucosal lesions, such as
the early changes of inflammatory bowel disease and early
neoplastic lesions
• Barium suspensions for single-contrast studies
should be of moderate density (50%-100% w/v)
when not diluted.
• For the double-contrast examination, we use high-
density 250% w/v barium
X-Rays.pptx egfhgfegfgefgfigfriegiuergrg
X-Rays.pptx egfhgfegfgefgfigfriegiuergrg
X-Rays.pptx egfhgfegfgefgfigfriegiuergrg
X-Rays.pptx egfhgfegfgefgfigfriegiuergrg
X-Rays.pptx egfhgfegfgefgfigfriegiuergrg
X-Rays.pptx egfhgfegfgefgfigfriegiuergrg
X-Rays.pptx egfhgfegfgefgfigfriegiuergrg
X-Rays.pptx egfhgfegfgefgfigfriegiuergrg
X-Rays.pptx egfhgfegfgefgfigfriegiuergrg
X-Rays.pptx egfhgfegfgefgfigfriegiuergrg
X-Rays.pptx egfhgfegfgefgfigfriegiuergrg
X-Rays.pptx egfhgfegfgefgfigfriegiuergrg
X-Rays.pptx egfhgfegfgefgfigfriegiuergrg
X-Rays.pptx egfhgfegfgefgfigfriegiuergrg
X-Rays.pptx egfhgfegfgefgfigfriegiuergrg
X-Rays.pptx egfhgfegfgefgfigfriegiuergrg
X-Rays.pptx egfhgfegfgefgfigfriegiuergrg

X-Rays.pptx egfhgfegfgefgfigfriegiuergrg

  • 1.
  • 2.
    X-RAYS • Plain X-Rays • Contrast X-rays • Barium swallow • Barium meal • Barium enema • Intravenous urography • Endoscopic retrograde cholangiopancreaticography • T-tube cholangiogram • Percutaneous transhepatic cholangiography
  • 3.
    X-Ray Reading 1. Plain/ Contrast 2. View or Orientation 3. Part of body 4. Systematic examination (ABCDE)
  • 4.
    ABCDE • A -A is for Air in the wrong place  Look for pneumoperitoneum & pneumoretroperitoneum  Look for gas in the biliary tree and portal vein • B - B is for Bowel  Look for dilated small and large bowel  Look for a volvulus  Look for a distended stomach  Look for a hernia  Look for evidence of bowel wall thickening
  • 5.
    ABCDE • C -C is for Calcification  Look for clinically significant calcified structures such as renal calculus, nephrocalcinosis, pancreatic calcification and an abdominal aortic aneurysm (AAA), calcified gallstones  Look for clinically insignificant calcified structures such as costal cartilage calcification, phleboliths, mesenteric lymph nodes, calcified fibroids, prostate calcification and vascular calcification  Look for a foetus (females)
  • 6.
    ABCDE • D -D is for Disability (bones and solid organs)  Look at the bony skeleton for fractures and sclerotic/lytic bone lesions  Look at the spine for vertebral body height, alignment, pedicles and a ‘bamboo spine’  Look for solid organ enlargement • E - E is for Everything else  Look for evidence of previous surgery and other medical devices  Look for foreign bodies  Look at the lung bases
  • 7.
    Plain X-Rays 1. Pneumoperitoneum 2.Small Bowel Obstruction 3. Sigmoid Volvulus 4. Renal Caluculus 5. Bladder Calculus 6. Pancreatic Calculi 7. Canon Ball Secondaries
  • 8.
    Contrast X-rays • BariumSwallow • Achalasia • Ca Esophagus • Barium Meal • GOO • Barium Enema • Ca Colon • IVP
  • 12.
    PNEUMOPERITONEUM • Miss itand the patient may die • Bilateral dark crescents of gas under both domes of diaphragm • Erect posture • Left lateral decubitus • 1 ml of air is more than enough
  • 15.
    Signs of pneumoperitoneum •Double wall sign ( RIGLER’S sign ) • Football sign – centrally placed intraperitoneal free air • Dome sign • Cupola sign of air under the central diaphragm • Silver’s sign – visualization of falciform ligament • Continuous diaphragm sign • Lucent liver sign – air overlying or outlining liver • Doges cap sign – triangle of air outlinig morrison’s pouch • Inverted V sign - air in umbilical ligaments
  • 16.
    • Visualization ofboth the outer and inner walls of a bowel loop is known as Rigler's sign
  • 17.
    Causes of pneumoperitoneum Withperitonitis Perforation of a hollow viscus , peptic ulcer most often Intestinal obstruction Ruptured diverticular disease Penetrating injury – gun shot , knife wounds Ruptured inflammatory bowel disease(megacolon) Colonic infections (typhoid)
  • 18.
    Causes of pneumoperitoneum Withoutperitonitis  Post laparotomy  Post laparoscopy  Jejunal diverticulosis  Steroids  Tracking from chest (pneumothorax)  Peritoneal dialysis  Vaginal insufflation (douching, hysteroscopy)  Pneumatosis coli
  • 19.
    Conditions mimicking pneumoperitoneum Intestinebetween liver and diaphragm—Chilaiditi's syndrome Subphrenic abscess Curvilinear atelectasis in the lung Subdiaphragmatic fat Diaphragmatic irregularity Cysts in pneumatosis intestinalis Meteorism Distended gastric fundus
  • 20.
  • 21.
  • 22.
  • 23.
  • 24.
    Peptic Ulcer Perforation •Aetiology • Clinical features • Stages • Investigation • Management • Resuscitation • Surgery
  • 26.
    • Fluid levelsare common in normal people, and they usually lie in the colon. • Three to five fluid levels less than 2.5 cm in length may be seen, particularly in the right lower quadrant, without any evidence of intestinal obstruction or paralytic ileus. • More than two fluid levels in dilated small bowel (calibre greater than 2.5 cm) are said to be abnormal, and usually indicate • Paralytic ileus or • Intestinal obstruction
  • 27.
    • The causesof SBO are myriad, but can be largely divided into • Mural lesions • tumour, • stricture due to Crohn's disease, • irradiation, • ischaemia • Luminal • bezoar, • gallstone, • Ascaris lumbricoides bolus, • intussusception • Extrinsic • adhesions, • hernia, • volvulus, • abdominal malignancy
  • 28.
    Distinction between small-and large-bowel dilatation • Dilated small-bowel loops are usually more numerous and arranged centrally in the abdomen. • The loops show a small radius of curvature and rarely exceed 5 cm in diameter. • The presence of solid faeces is the only reliable sign that the loop is large bowel. The other signs can be misleading. • The small-bowel folds or valvulae conniventes form thin, complete bands across the bowel gas shadow, prominent in the jejunum but becoming less marked as the ileum is reached. • The valvulae conniventes are much closer together than colonic haustra and become thinner when stretched.
  • 30.
    Sigmoid volvulus The invertedU-shaped loop is usually massively distended Commonly devoid of haustra, an important diagnostic point. The ahaustral margin can often be identified overlapping respectively  the lower border of the liver shadow (the liver overlap sign),  the haustrated, dilated descending colon (the left flank overlap sign)  the left side of the pelvis (the pelvic overlap sign). The top of the sigmoid volvulus usually lies very high in the abdomen (above the level of T10) with its apex on the left side.
  • 31.
    Signs  Grossly distendedloop of sigmoid colon  Coffee bean sign  Air – fluid ratio > 2:1  Lack of haustra  Apex above 10th thoracic vertebra  Liver overlap sign  Left flank overlap sign  Pelvis overlap sign  Bird of prey /twisted bird beak appearance
  • 32.
    Doubt about the diagnosison the plain radiographs Contrast enema
  • 33.
    Contrast enema • Featuresseen at the point of torsion include a smooth, curved tapering of the colonic lumen, like a hooked beak (the bird of prey sign) • the mucosal folds often show a ‘screw’ pattern at the point of twist
  • 36.
    What are theD/D of a radiopaque shadow in this region? • Kidney stone • Gallstones • Pancreatic calculi • Foreign body • Fecolith • Phleboliths • calcified lymph node • calcified renal tuberculosis • calcified adrenal gland • chip fracture of a transverse process of vertebra or calcification of costal cartilage
  • 41.
    What are theimportant causes of cannon ball shadows in chest X-ray? • Metastasis • Benign lesion  Fungal infection—Histoplasmosis, coccidioodomycosis, aspergillosis.  Parasitic infection—Filarial infection, hydatid disease.  Sarcoidosis.  Wegener’s granulomatosis.  Rheumatoid nodules.
  • 42.
    Contrast Films • BariumSwallow • Barium Meal • Barium Enema • IVP
  • 43.
    Barium Studies Barium studiescan demonstrate GI abnormalities in three ways 1. Mucosal relief views of the collapsed or partially collapsed lumen obtained with a small volume of barium. • particularly useful for showing abnormalities involving the submucosa, such as esophageal varices. 2. Single-contrast views of the filled lumen obtained with a large volume of low-density barium • These views enable visualization of contour abnormalities, strictures, and large polypoid defects. 3. Double-contrast views obtained after the mucosal surface has been coated with a thin layer of high-density barium and the lumen has been distended with gas • These views enable visualization of subtle mucosal lesions, such as the early changes of inflammatory bowel disease and early neoplastic lesions
  • 44.
    • Barium suspensionsfor single-contrast studies should be of moderate density (50%-100% w/v) when not diluted. • For the double-contrast examination, we use high- density 250% w/v barium