VOIDING DYSFUNCTION IN WOMEN
​Dr Mayank Mohan Agarwal
MBBS, MS, MRCS(Ed), ​DNB, MCh (PGIMER, Chandigarh)
VMMF and IAUA Fellowships Uro-Oncology, Pelvic Floor Reconstruction
(MSKCC, NY; UCLA, LA; WFUBMC, NC)​
Ex-Associate Professor of Urology (PGIMER, Chandigarh)
Consultant and Head of Urology
(Aster) Dr. Ramesh Cardiac and Multispecialty Hospitals Pvt. Ltd.
Guntur (AP), India
INTRODUCTION
• PHYSIOLOGY OF LOWER URINARY TRACT
• THE DYSFUNCTIONAL VOIDING / BBD
• WHAT TO LOOK FOR IN URODYNAMICS
• MANAGEMENT OUTLINE
• CONCLUSION
FILLING PHASE
• INTRINSIC PROPERTIES – elastic / viscoelastic
• AUTONOMIC NERVOUS CONTROL
• PARASYMPATHETIC α1
• SYMPATHETIC β3
• SOMATIC NERVOUS CONTROL Aδ
FILLING PHASE
• INTRINSIC PROPERTIES
• AUTONOMIC NERVOUS CONTROL
• PARASYMPATHETIC
• SYMPATHETIC
• SOMATIC NERVOUS CONTROL
+ SY
+ SO
- PSY
+ -
BLADDER ↔ URETHRA REFLEXES
VOIDING PHASE
- SY
- SO
+ PSY
- +
BLADDER ↔ URETHRA REFLEXES
Defecatory reflex
SAMPLING REFLEX
VOIDING DYSFUNCTION
ANATOMIC FUNCTIONAL NEUROGENIC
STRICTURE
POST-SURGICAL
PROLAPSE
BLADDER NECK OBSTRUCTION
PELVIC FLOOR DYSFUNCTION
FOWLER’S SYNDROME
Meier K, Padmanabhan P. Curr Opin Urol 2016; Kuo HC. Urology 2005.
1
23
4
KEY QUESTIONS TO BE ANSWERED
• How is bladder storage function?
• Is there an obstruction – how much? Where?
• Is there an underactivity
• Both?
Urodynamic perspective
• Bladder diary
• Free uroflowmetry ± EMG
• Cystometry + pressure-flow study
• Urethral pressure profilometry
• Micturating cystourethrography
• Video-urodynamics
Urodynamic perspective
• Bladder diary
• Free uroflowmetry ± EMG
• Cystometry + pressure-flow study
• Urethral pressure profilometry
• Micturating cystourethrography
• Video-urodynamics
Uroflowmetry ± EMG
• Ideal location – within toilet
• Ideal – “comfortably full bladder”
Never ask to hold “too much” or “hurry up”
• Always in “most preferred” voiding position
• If straining pattern (+),
ask to repeat without straining, if possible
• Always check PVR by USG
Interpretation
• Flow rates – Qmax
• Qave – particularly in intermittent flow
Agarwal et al. Neurourol & urodynam 2013, Agarwal MM. Manual of Urodynamics 2014
Qmax 11ml/s
Qave 2.9 ml/s
Interpretation
• Flow rates – Qmax
• Qave – particularly in intermittent flow
• Q α V2
• Voided volume
• Post-void residue
• Volume-normalized flow-rate index (VQI) ≡ BMI
VQI = Q/√(VV+PVR)
Agarwal et al. Neurourol & urodynam 2013
Flow-rates Indian reference values
0
5
10
15
20
25
30
35
adult male boy 5-10 boy 11-15 adult female girl 5-10 girl 11-15
Flow-rate comparison
Qmax Qave VV
0.00
0.20
0.40
0.60
0.80
1.00
1.20
1.40
1.60
1.80
2.00
adult male boy 5-10 boy 11-15 adult female girl 5-10 girl 11-15
VQI comparison
VQImax VQave
Agarwal et al. Neurourol & urodynam 2013, Barapatre et al. Neurourol & urodynam 2009, Gupta et al. J urol 2013
MALES FEMALES MALES FEMALES
Uroflow with EMG
Urodynamic perspective
• Bladder diary
• Free uroflowmetry ± EMG
• Cystometry + pressure-flow study
• Urethral pressure profilometry
• Micturating cystourethrography
• Video-urodynamics
Multichannel urodynamics
Cystometry / pressure-flow study / urethral pressure profilometry
• Not a stand-alone investigation – clinical feedback essential
• It is imperative to have bladder diary and results of free uroflowmetry with
post-void residual urine, available
• The interpretation best done in real-time
“NURSE, RUSH THIS PATIENT TO THE MATERNITY
WARD! SHE IS ABOUT TO DELIVER A BABY!”
Multichannel urodynamics
Cystometry / pressure-flow study / urethral pressure profilometry
• Not a stand-alone investigation – clinical feedback essential
• It is imperative to have bladder diary and results of free uroflowmetry with
post-void residual urine, available
• The interpretation best done in real-time
• Interpretation format –
Filling phase Voiding phase
Bladder Sensations
Capacity
Compliance
DO, LPP
Pdet – max, @Qmax,
pattern
Qmax
AG
DAMPF
Urethra Length
MUCP
Pressure-gradient
location of gradient
EMG Guarding reflex
cough reflex
Relaxation pattern
LUTD : What are we looking for in filling phase
+
+
-
+ -
+/- +/-
+/-
Filling phase
• Bladder –
 Over-activity
Filling phase
• Bladder –
 Over-activity
 Compliance
∆V/∆P
Filling phase
• Bladder –
 Over-activity
 Compliance
• Urethra –
 Resting profile
 MUCP
Filling phase
• Bladder –
 Over-activity
 Compliance
• Urethra –
 Resting profile
 MUCP
• EMG –
 Guarding reflex
Filling phase
• Bladder –
 Over-activity
 Compliance
• Urethra –
 Resting profile
 MUCP
• EMG –
 Guarding reflex
Meier K, Padmanabhan P. Curr Opin Urol 2016
LUTD : What are we looking for in voiding phase
• BN Dysfunction
-
-
+
- +
+
++
BNO
• Bladder –
 Pdet
 Qmax
 PVR
 Bell-shaped curve
Pdetmax 72
PdetQmax 62
Qmax 8
BNO
• Bladder –
 Pdet
 Qmax
 PVR
 Bell shaped curve
• Urethra –
 Pressure gradient
 Starting point
Jain et al. Urology 2014
• Bladder –
 Pdet
 Qmax
 PVR
• Urethra –
 Pressure gradient
 Starting point
• EMG –
 Relaxation
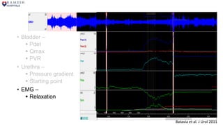
Batavia et al. J Urol 2011
• Bladder –
 Pdet
 Qmax
 PVR
• Urethra –
 Pressure gradient
 Starting point
• EMG –
 Relaxation
• Nomogram –
 Blaivas
Batavia et al. J Urol 2011
LUTD : What are we looking for in voiding phase
• EUS Dysfunction
-
-
+
- +
+/-
+ -
EUSD
• Plateau pattern
• Flow starts at Pdetmax
• PdetQmax ≈ Pdetmax
Agarwal et al. Ind J Urol 2016
EUSD
• Plateau pattern
• Flow starts at Pdetmax
• PdetQmax ≈ Pdetmax
Agarwal et al. Ind J Urol 2016
EUSD
• Plateau pattern
• Flow starts at Pdexmax
• PdetQmax ≈ Pdetmax
Agarwal et al. Ind J Urol 2016
EUSD
• Plateau pattern
• Flow starts at Pdexmax
• PdetQmax ≈ Pdetmax
Agarwal et al. Ind J Urol 2016
EUSD
• Plateau pattern
• Flow starts at Pdexmax
• PdetQmax ≈ Pdetmax
• Pura gradient at EUS
Jain et al. Urology 2014
EUSD
• Plateau pattern
• Flow starts at Pdexmax
• PdetQmax ≈ Pdetmax
• Pura gradient at EUS
Jain et al. Urology 2014
EUSD
• Plateau pattern
• Flow starts at Pdexmax
• PdetQmax ≈ Pdetmax
• Pura gradient at EUS
Jain et al. Urology 2014
EUSD
• Plateau pattern
• Flow starts at Pdexmax
• PdetQmax ≈ Pdetmax
• Pura gradient at EUS
Jain et al. Urology 2014
EUSD
• Plateau pattern
• Flow starts at Pdexmax
• PdetQmax ≈ Pdetmax
• Pura gradient at EUS
• EMG –
• Relaxation with intermittent spikes
Batavia et al. J Urol 2011
EUSD
• Plateau pattern
• Flow starts at Pdexmax
• PdetQmax ≈ Pdetmax
• Pura gradient at EUS
• EMG –
• Non-Relaxation
Batavia et al. J Urol 2011
EUSD
• Plateau pattern
• Flow starts at Pdexmax
• PdetQmax ≈ Pdetmax
• Pura gradient at EUS
• EMG –
• Increased activity
Batavia et al. J Urol 2011
Urodynamic perspective
• Bladder diary
• Free uroflowmetry ± EMG
• Cystometry + pressure-flow study
• Urethral pressure profilometry
• Micturating cystourethrography
• Video-urodynamics
Video-urodynamics / MCUG
• Anatomical correlation with functional findings
• EUSD
Video-urodynamics / MCUG
• Anatomical correlation with functional findings
• Bladder neck
Video-urodynamics / MCUG
• Anatomical correlation with functional findings
• No BOO
Video-urodynamics / MCUG
• Anatomical correlation with functional findings
• Additional co-diagnosis
Agarwal MM. Manual of Urodynamics 2014
Video-urodynamics / MCUG
• Anatomical correlation with functional findings
• Additional co-diagnosis
• If done separately –
 Cost effective
 Catheter-less – less artefacts
 ? Difficult co-interpretation
Abrams P. Urodynamics 2006.
Agarwal MM. Manual of Urodynamics 2014
Agarwal MM. Manual of Urodynamics 2014
CONSERVATIVE MEASURES
STANDARD MEASURES –
1. Education is the key to success
2. Behavioral modification –
• Fluid and diet
• Timed voiding
• Treatment of constipation
SPECIFIC MEASURES –
1. Pelvic floor muscle exercises
2. Biofeedback
3. pharmacotherapy
4. Interventions
• CIC
• Botox
• Neuromodulation
Registration of
symptoms and
behaviors
Positive
reinforcement
and support
Behavioral Modification
• Eat and drink well – high fiber, adequate fluids
• Avoid caffeinated beverages
• Maintain hygiene
• Void timely
• Spend enough time
Santos et al. Can Asso Urol J 2017
Behavioral Modification
• Eat and drink well – high fiber, adequate fluids
• Avoid caffeinated beverages
• Maintain hygiene
• Void timely (typically every 2 hours or depending on bladder diary)
• Spend enough time
• Good posture for toilet –
“SQUATTING TYPE”
Behavioral Modification
• Eat and drink well – high fiber, adequate fluids
• Avoid caffeinated beverages
• Maintain hygiene
• Void timely (typically every 2 hours or depending on bladder diary)
• Spend enough time
• Good posture for toilet –
“SQUATTING TYPE”
Behavioral Modification
• Eat and drink well – high fiber, adequate fluids
• Avoid caffeinated beverages
• Maintain hygiene
• Void timely (typically every 2 hours or depending on bladder diary)
• Spend enough time
• Good posture for toilet –
“SQUATTING TYPE”
Behavioral Modification
Treatment of constipation –
• Manual evacuation
• Polyethylene glycol 3350 1.5g/kg stat  0.6-1.0g/kg/d
• Sodium picosulfate
• Enema
• Mineral oil
Physical therapy
• Pelvic floor exercises
• Relaxation
• Urge inhibition
Physical therapy
• Pelvic floor exercises
• Relaxation
• Urge inhibition
• Step I – IDENTIFY THE MUSCLES TO EXERCISE
• By verbal explanation –
“like stop urine stream”
“like stopping gas”
Physical therapy
• Pelvic floor exercises
• Relaxation
• Urge inhibition
• Step I – IDENTIFY THE MUSCLES TO EXERCISE
• By physical examination –
DRE
PV
perianal examination
Physical therapy
• Pelvic floor exercises
• Relaxation
• Urge inhibition
• Step I – IDENTIFY THE MUSCLES TO EXERCISE
• By dedicated Biofeedback –
if above two don’t work or
while doing the UDS
Biofeedback training
Ed used to be an incurable optimist
But now ne is cured
Biofeedback – done during uroflo with EMG
Biofeedback – done during UPP with EMG
Biofeedback – done during UPP with EMG
Biofeedback – done during UPP with EMG
Biofeedback – urge inhibition during UDS
STEP 2 - Exercise schedule
• For pelvic floor relaxation –
Squeeze 3-10 sec Relax 20-30 sec
• For urge inhibition –
Squeeze 5-10 times Relax for a sec
• For strengthening –
Squeeze 2-10 sec Relax for 1:1
45-60 SQUEEZES / D TO START WITH
± BIOFEEDBACK SESSIONS 1-2/WEEK FOR 45-60MIN 6-12 WEEKS
Outlet relaxation: PHARMACOTHERAPY
Alpha blockers
• Tizanidine
• Baclofen
Outlet relaxation
Alpha blockers
• Terazosin – α1 (-)
• Tamsulosin – α1a (-)
Skeletal muscle relaxants
• Baclofen – GABA-B (+) @ CNS
• Tizanidine – α2(+) @ CNS
• Effort should be made to diagnose level of non-relaxation
• EUD non-relaxation more common than BN obstruction in women
• α1 receptors possibly present in EUS too – combination may be acceptable
option
• High quality evidence is lacking – so treatment is empirical
Athanasopoulos et al. IUJ 2009; Constantini et al. Urol int 2009; Cisternino et al. Urol Int 2006; Xu et al. BJUI 2007; Chen et
al. J obs gyn res 2016;
Outlet relaxation: SURGERY
BNI
• BOTOX
• SNM
Outlet relaxation: SURGERY
• BNO: Bladder neck incision /
resection
• 5-7 or 10-2 or 3-6-9-12 O’clock
• Excellent functional results
• SUI
• VVF
• EUSD: Botox into sphincter
• SNM: S3
• Pain
• Reoperation
• Loss of efficacy
• High quality evidence is lacking
Zhang et al. Urology 2014; Jin et al. Urology 2012
Phelan et al. J urol 2001; Kuo HC. Urology 2003; Kerrebroek et al.
J urol 2007; Sutherland Neurourol Urodynam 2006
Conclusion
• Urodynamics has a great role to play in diagnosis of voiding dysfunction.
• ‘Reading between the lines’ beyond convention is required
• Real-time interpretation is most preferred
• Biofeedback can be taught during the urodynamic study as well
• High quality evidence is lacking, therefore balance of art and science
of treatment
-HAND HYGIENE-
-PLACE HYGIENE-
-LESS ANTIBIOTICS-
Compiled experience 2014-2017
• 33 adults with EUSD / double obstruction (median 46.6, IQR 39-53)
• Duration of symptoms (48m, 15-96)
• LUTS – all
• Constipation – 9, fecal urgency – 1
• Pelvic &/or low back pain – 16
• Improvement with alpha blocker – 8 (4 mild)
• Improvement with addition of tizanidine – 13 (3 mild)

Voiding dysfunction in female final presentation

  • 1.
    VOIDING DYSFUNCTION INWOMEN ​Dr Mayank Mohan Agarwal MBBS, MS, MRCS(Ed), ​DNB, MCh (PGIMER, Chandigarh) VMMF and IAUA Fellowships Uro-Oncology, Pelvic Floor Reconstruction (MSKCC, NY; UCLA, LA; WFUBMC, NC)​ Ex-Associate Professor of Urology (PGIMER, Chandigarh) Consultant and Head of Urology (Aster) Dr. Ramesh Cardiac and Multispecialty Hospitals Pvt. Ltd. Guntur (AP), India
  • 2.
    INTRODUCTION • PHYSIOLOGY OFLOWER URINARY TRACT • THE DYSFUNCTIONAL VOIDING / BBD • WHAT TO LOOK FOR IN URODYNAMICS • MANAGEMENT OUTLINE • CONCLUSION
  • 3.
    FILLING PHASE • INTRINSICPROPERTIES – elastic / viscoelastic • AUTONOMIC NERVOUS CONTROL • PARASYMPATHETIC α1 • SYMPATHETIC β3 • SOMATIC NERVOUS CONTROL Aδ
  • 4.
    FILLING PHASE • INTRINSICPROPERTIES • AUTONOMIC NERVOUS CONTROL • PARASYMPATHETIC • SYMPATHETIC • SOMATIC NERVOUS CONTROL + SY + SO - PSY + - BLADDER ↔ URETHRA REFLEXES
  • 5.
    VOIDING PHASE - SY -SO + PSY - + BLADDER ↔ URETHRA REFLEXES
  • 6.
  • 7.
  • 9.
    VOIDING DYSFUNCTION ANATOMIC FUNCTIONALNEUROGENIC STRICTURE POST-SURGICAL PROLAPSE BLADDER NECK OBSTRUCTION PELVIC FLOOR DYSFUNCTION FOWLER’S SYNDROME Meier K, Padmanabhan P. Curr Opin Urol 2016; Kuo HC. Urology 2005. 1 23 4
  • 10.
    KEY QUESTIONS TOBE ANSWERED • How is bladder storage function? • Is there an obstruction – how much? Where? • Is there an underactivity • Both?
  • 11.
    Urodynamic perspective • Bladderdiary • Free uroflowmetry ± EMG • Cystometry + pressure-flow study • Urethral pressure profilometry • Micturating cystourethrography • Video-urodynamics
  • 12.
    Urodynamic perspective • Bladderdiary • Free uroflowmetry ± EMG • Cystometry + pressure-flow study • Urethral pressure profilometry • Micturating cystourethrography • Video-urodynamics
  • 13.
    Uroflowmetry ± EMG •Ideal location – within toilet • Ideal – “comfortably full bladder” Never ask to hold “too much” or “hurry up” • Always in “most preferred” voiding position • If straining pattern (+), ask to repeat without straining, if possible • Always check PVR by USG
  • 14.
    Interpretation • Flow rates– Qmax • Qave – particularly in intermittent flow Agarwal et al. Neurourol & urodynam 2013, Agarwal MM. Manual of Urodynamics 2014 Qmax 11ml/s Qave 2.9 ml/s
  • 15.
    Interpretation • Flow rates– Qmax • Qave – particularly in intermittent flow • Q α V2 • Voided volume • Post-void residue • Volume-normalized flow-rate index (VQI) ≡ BMI VQI = Q/√(VV+PVR) Agarwal et al. Neurourol & urodynam 2013
  • 16.
    Flow-rates Indian referencevalues 0 5 10 15 20 25 30 35 adult male boy 5-10 boy 11-15 adult female girl 5-10 girl 11-15 Flow-rate comparison Qmax Qave VV 0.00 0.20 0.40 0.60 0.80 1.00 1.20 1.40 1.60 1.80 2.00 adult male boy 5-10 boy 11-15 adult female girl 5-10 girl 11-15 VQI comparison VQImax VQave Agarwal et al. Neurourol & urodynam 2013, Barapatre et al. Neurourol & urodynam 2009, Gupta et al. J urol 2013 MALES FEMALES MALES FEMALES
  • 17.
  • 18.
    Urodynamic perspective • Bladderdiary • Free uroflowmetry ± EMG • Cystometry + pressure-flow study • Urethral pressure profilometry • Micturating cystourethrography • Video-urodynamics
  • 19.
    Multichannel urodynamics Cystometry /pressure-flow study / urethral pressure profilometry • Not a stand-alone investigation – clinical feedback essential • It is imperative to have bladder diary and results of free uroflowmetry with post-void residual urine, available • The interpretation best done in real-time “NURSE, RUSH THIS PATIENT TO THE MATERNITY WARD! SHE IS ABOUT TO DELIVER A BABY!”
  • 20.
    Multichannel urodynamics Cystometry /pressure-flow study / urethral pressure profilometry • Not a stand-alone investigation – clinical feedback essential • It is imperative to have bladder diary and results of free uroflowmetry with post-void residual urine, available • The interpretation best done in real-time • Interpretation format – Filling phase Voiding phase Bladder Sensations Capacity Compliance DO, LPP Pdet – max, @Qmax, pattern Qmax AG DAMPF Urethra Length MUCP Pressure-gradient location of gradient EMG Guarding reflex cough reflex Relaxation pattern
  • 21.
    LUTD : Whatare we looking for in filling phase + + - + - +/- +/- +/-
  • 22.
    Filling phase • Bladder–  Over-activity
  • 23.
    Filling phase • Bladder–  Over-activity  Compliance ∆V/∆P
  • 24.
    Filling phase • Bladder–  Over-activity  Compliance • Urethra –  Resting profile  MUCP
  • 25.
    Filling phase • Bladder–  Over-activity  Compliance • Urethra –  Resting profile  MUCP • EMG –  Guarding reflex
  • 26.
    Filling phase • Bladder–  Over-activity  Compliance • Urethra –  Resting profile  MUCP • EMG –  Guarding reflex
  • 27.
    Meier K, PadmanabhanP. Curr Opin Urol 2016
  • 28.
    LUTD : Whatare we looking for in voiding phase • BN Dysfunction - - + - + + ++
  • 29.
    BNO • Bladder – Pdet  Qmax  PVR  Bell-shaped curve Pdetmax 72 PdetQmax 62 Qmax 8
  • 30.
    BNO • Bladder – Pdet  Qmax  PVR  Bell shaped curve • Urethra –  Pressure gradient  Starting point Jain et al. Urology 2014
  • 31.
    • Bladder – Pdet  Qmax  PVR • Urethra –  Pressure gradient  Starting point • EMG –  Relaxation Batavia et al. J Urol 2011
  • 32.
    • Bladder – Pdet  Qmax  PVR • Urethra –  Pressure gradient  Starting point • EMG –  Relaxation • Nomogram –  Blaivas Batavia et al. J Urol 2011
  • 33.
    LUTD : Whatare we looking for in voiding phase • EUS Dysfunction - - + - + +/- + -
  • 34.
    EUSD • Plateau pattern •Flow starts at Pdetmax • PdetQmax ≈ Pdetmax Agarwal et al. Ind J Urol 2016
  • 35.
    EUSD • Plateau pattern •Flow starts at Pdetmax • PdetQmax ≈ Pdetmax Agarwal et al. Ind J Urol 2016
  • 36.
    EUSD • Plateau pattern •Flow starts at Pdexmax • PdetQmax ≈ Pdetmax Agarwal et al. Ind J Urol 2016
  • 37.
    EUSD • Plateau pattern •Flow starts at Pdexmax • PdetQmax ≈ Pdetmax Agarwal et al. Ind J Urol 2016
  • 38.
    EUSD • Plateau pattern •Flow starts at Pdexmax • PdetQmax ≈ Pdetmax • Pura gradient at EUS Jain et al. Urology 2014
  • 39.
    EUSD • Plateau pattern •Flow starts at Pdexmax • PdetQmax ≈ Pdetmax • Pura gradient at EUS Jain et al. Urology 2014
  • 40.
    EUSD • Plateau pattern •Flow starts at Pdexmax • PdetQmax ≈ Pdetmax • Pura gradient at EUS Jain et al. Urology 2014
  • 41.
    EUSD • Plateau pattern •Flow starts at Pdexmax • PdetQmax ≈ Pdetmax • Pura gradient at EUS Jain et al. Urology 2014
  • 42.
    EUSD • Plateau pattern •Flow starts at Pdexmax • PdetQmax ≈ Pdetmax • Pura gradient at EUS • EMG – • Relaxation with intermittent spikes Batavia et al. J Urol 2011
  • 43.
    EUSD • Plateau pattern •Flow starts at Pdexmax • PdetQmax ≈ Pdetmax • Pura gradient at EUS • EMG – • Non-Relaxation Batavia et al. J Urol 2011
  • 44.
    EUSD • Plateau pattern •Flow starts at Pdexmax • PdetQmax ≈ Pdetmax • Pura gradient at EUS • EMG – • Increased activity Batavia et al. J Urol 2011
  • 45.
    Urodynamic perspective • Bladderdiary • Free uroflowmetry ± EMG • Cystometry + pressure-flow study • Urethral pressure profilometry • Micturating cystourethrography • Video-urodynamics
  • 46.
    Video-urodynamics / MCUG •Anatomical correlation with functional findings • EUSD
  • 47.
    Video-urodynamics / MCUG •Anatomical correlation with functional findings • Bladder neck
  • 48.
    Video-urodynamics / MCUG •Anatomical correlation with functional findings • No BOO
  • 49.
    Video-urodynamics / MCUG •Anatomical correlation with functional findings • Additional co-diagnosis Agarwal MM. Manual of Urodynamics 2014
  • 50.
    Video-urodynamics / MCUG •Anatomical correlation with functional findings • Additional co-diagnosis • If done separately –  Cost effective  Catheter-less – less artefacts  ? Difficult co-interpretation Abrams P. Urodynamics 2006. Agarwal MM. Manual of Urodynamics 2014
  • 51.
    Agarwal MM. Manualof Urodynamics 2014
  • 52.
    CONSERVATIVE MEASURES STANDARD MEASURES– 1. Education is the key to success 2. Behavioral modification – • Fluid and diet • Timed voiding • Treatment of constipation SPECIFIC MEASURES – 1. Pelvic floor muscle exercises 2. Biofeedback 3. pharmacotherapy 4. Interventions • CIC • Botox • Neuromodulation Registration of symptoms and behaviors Positive reinforcement and support
  • 53.
    Behavioral Modification • Eatand drink well – high fiber, adequate fluids • Avoid caffeinated beverages • Maintain hygiene • Void timely • Spend enough time Santos et al. Can Asso Urol J 2017
  • 54.
    Behavioral Modification • Eatand drink well – high fiber, adequate fluids • Avoid caffeinated beverages • Maintain hygiene • Void timely (typically every 2 hours or depending on bladder diary) • Spend enough time • Good posture for toilet – “SQUATTING TYPE”
  • 55.
    Behavioral Modification • Eatand drink well – high fiber, adequate fluids • Avoid caffeinated beverages • Maintain hygiene • Void timely (typically every 2 hours or depending on bladder diary) • Spend enough time • Good posture for toilet – “SQUATTING TYPE”
  • 56.
    Behavioral Modification • Eatand drink well – high fiber, adequate fluids • Avoid caffeinated beverages • Maintain hygiene • Void timely (typically every 2 hours or depending on bladder diary) • Spend enough time • Good posture for toilet – “SQUATTING TYPE”
  • 57.
    Behavioral Modification Treatment ofconstipation – • Manual evacuation • Polyethylene glycol 3350 1.5g/kg stat  0.6-1.0g/kg/d • Sodium picosulfate • Enema • Mineral oil
  • 58.
    Physical therapy • Pelvicfloor exercises • Relaxation • Urge inhibition
  • 59.
    Physical therapy • Pelvicfloor exercises • Relaxation • Urge inhibition • Step I – IDENTIFY THE MUSCLES TO EXERCISE • By verbal explanation – “like stop urine stream” “like stopping gas”
  • 60.
    Physical therapy • Pelvicfloor exercises • Relaxation • Urge inhibition • Step I – IDENTIFY THE MUSCLES TO EXERCISE • By physical examination – DRE PV perianal examination
  • 61.
    Physical therapy • Pelvicfloor exercises • Relaxation • Urge inhibition • Step I – IDENTIFY THE MUSCLES TO EXERCISE • By dedicated Biofeedback – if above two don’t work or while doing the UDS Biofeedback training Ed used to be an incurable optimist But now ne is cured
  • 62.
    Biofeedback – doneduring uroflo with EMG
  • 63.
    Biofeedback – doneduring UPP with EMG
  • 64.
    Biofeedback – doneduring UPP with EMG
  • 65.
    Biofeedback – doneduring UPP with EMG
  • 66.
    Biofeedback – urgeinhibition during UDS
  • 67.
    STEP 2 -Exercise schedule • For pelvic floor relaxation – Squeeze 3-10 sec Relax 20-30 sec • For urge inhibition – Squeeze 5-10 times Relax for a sec • For strengthening – Squeeze 2-10 sec Relax for 1:1 45-60 SQUEEZES / D TO START WITH ± BIOFEEDBACK SESSIONS 1-2/WEEK FOR 45-60MIN 6-12 WEEKS
  • 68.
    Outlet relaxation: PHARMACOTHERAPY Alphablockers • Tizanidine • Baclofen
  • 69.
    Outlet relaxation Alpha blockers •Terazosin – α1 (-) • Tamsulosin – α1a (-) Skeletal muscle relaxants • Baclofen – GABA-B (+) @ CNS • Tizanidine – α2(+) @ CNS • Effort should be made to diagnose level of non-relaxation • EUD non-relaxation more common than BN obstruction in women • α1 receptors possibly present in EUS too – combination may be acceptable option • High quality evidence is lacking – so treatment is empirical Athanasopoulos et al. IUJ 2009; Constantini et al. Urol int 2009; Cisternino et al. Urol Int 2006; Xu et al. BJUI 2007; Chen et al. J obs gyn res 2016;
  • 70.
  • 71.
    Outlet relaxation: SURGERY •BNO: Bladder neck incision / resection • 5-7 or 10-2 or 3-6-9-12 O’clock • Excellent functional results • SUI • VVF • EUSD: Botox into sphincter • SNM: S3 • Pain • Reoperation • Loss of efficacy • High quality evidence is lacking Zhang et al. Urology 2014; Jin et al. Urology 2012 Phelan et al. J urol 2001; Kuo HC. Urology 2003; Kerrebroek et al. J urol 2007; Sutherland Neurourol Urodynam 2006
  • 72.
    Conclusion • Urodynamics hasa great role to play in diagnosis of voiding dysfunction. • ‘Reading between the lines’ beyond convention is required • Real-time interpretation is most preferred • Biofeedback can be taught during the urodynamic study as well • High quality evidence is lacking, therefore balance of art and science of treatment
  • 73.
  • 74.
    Compiled experience 2014-2017 •33 adults with EUSD / double obstruction (median 46.6, IQR 39-53) • Duration of symptoms (48m, 15-96) • LUTS – all • Constipation – 9, fecal urgency – 1 • Pelvic &/or low back pain – 16 • Improvement with alpha blocker – 8 (4 mild) • Improvement with addition of tizanidine – 13 (3 mild)