Dr Nirmal Jaiswal MD(med);FCCS 
ICU Director and Consultant Physician 
Suretech Hospital,Nagpur
• VAP is the 2nd most common nosocomial 
infection = 15% of all hospital acquired 
infections 
• Incidence = 9% to 70% of patients on 
ventilators 
• Increased ICU stay by several days 
• Increased avg. hospital stay 1 to 3 weeks 
• Mortality = 13% to 55% 
Centers for Disease Control and Prevention, 2003. 
Rumbak, M. J. (2000). Stra te g ie s fo r p re ve ntio n a nd tre a tm e nt. Journal of 
Respiratory Disease, 21 (5), p. 321;
• “There is no doubt that the 
diagnosis and management of 
VAP remains one of the most 
controversial and challenging 
topics in management of 
critically ill patients.” 
Chan C, Chest 2005;127:425
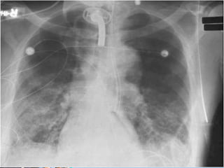
• VAP is a Nosocomial Pneumonia = 
Hospital acquired 
• Diagnosis is imprecise and usually 
based on a Combination of: 
– Clinical factors - fever or hypothermia; 
change in secretions; cough; 
apnea/bradycardia; tachypnea 
– Microbiological factors - positive 
cultures of blood/sputum/tracheal 
aspirate/pleural fluids 
– CXR factors - new or changing infiltrates
• Pathogens that cause VAP differ 
depending on whether the condition 
occurs early (less than 96 hours after 
intubation or admission to ICU) or 
late (greater than 96 hours after 
intubation or admission to ICU) 
Kollef M, Chest 2005;128:3854-62
• Early–Onset Pneumonia (< 96 hours of 
intubation or ICU admission) 
– Community-acquired 
– Pathogens: 
• Stre p to c o c c us p ne um o nia e 
• Ha e m o philus influe nz a e 
• Sta phy lo c o c c us a ure us 
– Antibiotic-sensitive
• Late-Onset Pneumonia (> 96 hours of 
intubation or ICU admission) 
– Hospital-acquired 
– Pathogens: 
• Ps e ud o m o na s a e rug ino s a 
• Methicillin resistant Sta phy lo c o c c us a ure us 
(MRSA) 
• Ac ine to ba c te r 
• Ente ro ba c te r 
• Antibiotic-resistant
• Major risk factor = mechanical intubation 
• Factors that enhance colonization of the oropharynx &/or 
stomach: 
– Administration of antibiotics 
– Admission to ICU 
– Underlying chronic lung disease 
• Conditions favoring aspiration into the respiratory tract 
or reflux from GI tract: 
– Supine position *GERD 
– NGT placement *Coma/delirium 
– Intubation and self-extubation 
– Immobilization 
– Surgery of head/neck/thorax/upper abdomen
• Conditions requiring prolonged use of 
mechanical ventilatory support with 
potential exposure to contaminated 
respiratory devices &/or contact with 
contaminated hands 
• Host Factors: 
– Extremes of age 
– Malnutrition 
– Immunocompromised 
– Underlying condition/disease process
Four Algorithms : 
Algorithm #1: Adolescents and adults 
Algorithm #2: Immunocompromised p 
Algorithm #3: Children 1 to <12 years 
Algorithm #4: Infants (<1 year)
Algorithm #2: Diagnosing VAP in Immunocompromised Patients
Algorithm #3: Diagnosing VAP in Children (Age >1 and <13 years)
Algorithm #4: Diagnosing VAP in Infants (Age <1 year old)
• A "bundle" is a group of 
evidence-based care 
components for a given disease 
that, when executed together, 
may result in better outcomes 
than if implemented individually.
• In a bundle, the individual elements are 
built around best evidence-based practices. 
• The science supporting the individual 
treatment strategies in a bundle is 
sufficiently mature such that 
implementation of the approach should be 
considered either best practice or a 
reasonable and generally accepted 
practice.
VAP BUNDLE
• Ventilator-Associated Pneumonia 
(VAP)Bundle: 
– DVT prophylaxis 
– GI prophylaxis 
– Head of bed (HOB) elevated to 30-45° 
– Daily Sedation Vacation 
– Daily Spontaneous Breathing Trial connected
• Include deep venous prophylaxis as part of your ICU 
order admission set and ventilator order set. Make 
application of prophylaxis the default value on the form. 
• Include deep venous prophylaxis as an item for 
discussion on daily multidisciplinary rounds. 
• Empower pharmacy to review orders for patients in the 
ICU to ensure that some form of deep venous prophylaxis 
is in place at all times on ICU patients. 
• Post compliance with the intervention in a prominent 
place in your ICU to encourage change and motivate 
staff.
• Include peptic ulcer disease prophylaxis as part of 
your ICU order admission set and ventilator order 
set. Make application of prophylaxis the default 
value on the form. 
• Include peptic ulcer disease prophylaxis as an item 
for discussion on daily multidisciplinary rounds. 
• Empower pharmacy to review orders for patients in 
the ICU to ensure that some form of peptic ulcer 
disease prophylaxis is in place at all times on ICU 
patients. 
• Post compliance with the intervention in a 
prominent place in your ICU to encourage change 
and motivate staff.
• Elevate HOB to 30 to 45 degrees (if no 
contraindications): 
• Aspiration can occur even with a properly inflated 
ET cuff. 
Bacterial counts higher in aspirated secretions obtained 
while pts were in the supine (flat) position than in those 
obtained while patients were in the semirecumbent 
position (45 degrees). 
Torres et al. Ann Int Med 1992;116:540-3. 
■ Time spent with HOB in low position on day 1 of 
mechanical ventilation is most predictive of VAP in 
patients with high APACHE II scores. 
Grap MJ, Munro CL, et al. 2005 Am J Crit Care 14(4)
• Use visual cues so it is easy to identify when 
the bed is in the proper position, such as a line 
on the wall that can only be seen if the bed is 
below a 30-degree angle. 
• Include this intervention on order sets for 
initiation and weaning of mechanical 
ventilation, delivery of tube feedings, and 
provision of oral care. 
• Post compliance with the intervention in a 
prominent place in your ICU to encourage 
change and motivate staff.
• Implement a protocol to lighten sedation 
daily at an appropriate time to assess for 
neurological readiness to extubate. 
– Include precautions to prevent self-extubation such as 
increased monitoring and vigilance during the trial. 
• Include a sedation vacation strategy in your 
overall plan to wean the patient from the 
ventilator 
– if you have a weaning protocol, add "sedation vacation" to 
that strategy.
• Assess that compliance is occurring each 
day on multidisciplinary rounds. 
• Consider implementation of a sedation 
scale such as Riker or Ramsay scoring 
scale to avoid oversedation. 
• Post compliance with the intervention in a 
prominent place in your ICU to encourage 
change and motivate staff.
• Appropriate antibiotic use 
• Attention to proper ET and TT cuff pressures 
• Avoided intubation(BiPAP) 
• Hand hygiene-chlorhexidine 
• Closed endotracheal suctioning syst 
• Condensation management in vent circuit 
• Conversion to TT for long term ventilation 
• Enteral feeding instead of TPN 
• Minimize duration of MV 
• Oral hygiene x 4 hrly 
• Subglotic suctioning before deflating the cuff of 
ET/TT 
• Strict glucose control 
• Wearing gloves
• Analysis of 10 studies of small bowel 
feeding found that small bowel feedings 
are associated with reduction in 
gastroesophageal regurgitation, increase in 
protein and calories delivered, and shorter 
time to target dose of nutrition. 
• Results of 7 randomized trials: small bowel 
feeding compared to gastric had. 
• Heyland, et al. JPEN 2002;26:S51-S55. 
• Kollef MH Crit Care Med 2004:32(6) 
• Heyland, el al. Crit Care Med 2001;29:1495-1501 
lower incidence of pneumonia
• AACN 5 th Ed itio n, 2 0 0 5 Sc o tt JM, Vo llm a n KM 
• End o tra che a l Tube a nd Ora l Ca re , Pro c e dure # 4 
• Unit One Pulm o na ry Sy s te m 
• Perform ET suctioning only when clinically 
indicated 
• Oral hygiene should be performed every 2-4 
hours and should include: 
• Toothbrushing at least two times a day; 
• Oral swabs with 1.5% hydrogen peroxide soln 
every 2-4 hours; 
• Mouth moisturizer to oral mucosa and lips 
• Subglottic suctioning continuously or 
intermittently
Gra p MJ, Munro CL 2 0 0 4: 
• Toothbrushing is the most effective 
means of mechanical removal of plaque. 
Munro CL, Grap MJ, Elswick RK, el al: 2006;Am J Crit 
Ca re ;15 
• Higher plaque scores confer greater risk 
for VAP
Munro & Grap 2006 Crit Care Med 34 
• CHG – effective in reducing VAP
Mouth Care Compliance and VAP Rate Trends for ICU
• Educational programs for RNs and RTs 
addressing VAP etiology and infection 
control procedures is associated with 
decreased VAP rates in the ICU setting. 
• Zack JE, Garrison T, Trovillion E, et al. Effect of an education program 
aimed at reducing the occurrence of ventilator-associated pneumonia. 
Critical Care Medicine. 2002; 30(11): 2407-2412. 
• “Staff education….is a cornerstone for 
efforts to reduce the incidence of VAP.” 
Craven,D. Chest 2006;130 
• Ventilator bundle staff educational sessions 
have a significant effect on clinical practice. 
• Tolentino-DelosReyes, Ruppert, Shyang-Yun, et al Am J Crit Care 2007; 16
• Hand hygiene-chlorhexidine 
• HOB – HEAD OF BED ELEVATION – 30-45 
DEGREE 
• Condensation management in vent circuit 
• Attention to proper ET and TT cuff pressures 
• Oral hygiene x 4 hrly 
• Closed endotracheal suctioning syst 
• Daily sedation vacation and spontaneous breathing 
trial 
• Enteral feeding instead of TPN 
• GI prophylaxis 
• Strict glucose control 
• Subglotic suctioning before deflating the cuff of 
ET/TT 
•
DEDICATE “URself” to the 
protocol 
Ventilator Associated Pneumonia 
Morbidity and Mortality
Vap prevention 2014 ppt

Vap prevention 2014 ppt

  • 1.
    Dr Nirmal JaiswalMD(med);FCCS ICU Director and Consultant Physician Suretech Hospital,Nagpur
  • 2.
    • VAP isthe 2nd most common nosocomial infection = 15% of all hospital acquired infections • Incidence = 9% to 70% of patients on ventilators • Increased ICU stay by several days • Increased avg. hospital stay 1 to 3 weeks • Mortality = 13% to 55% Centers for Disease Control and Prevention, 2003. Rumbak, M. J. (2000). Stra te g ie s fo r p re ve ntio n a nd tre a tm e nt. Journal of Respiratory Disease, 21 (5), p. 321;
  • 3.
    • “There isno doubt that the diagnosis and management of VAP remains one of the most controversial and challenging topics in management of critically ill patients.” Chan C, Chest 2005;127:425
  • 6.
    • VAP isa Nosocomial Pneumonia = Hospital acquired • Diagnosis is imprecise and usually based on a Combination of: – Clinical factors - fever or hypothermia; change in secretions; cough; apnea/bradycardia; tachypnea – Microbiological factors - positive cultures of blood/sputum/tracheal aspirate/pleural fluids – CXR factors - new or changing infiltrates
  • 7.
    • Pathogens thatcause VAP differ depending on whether the condition occurs early (less than 96 hours after intubation or admission to ICU) or late (greater than 96 hours after intubation or admission to ICU) Kollef M, Chest 2005;128:3854-62
  • 8.
    • Early–Onset Pneumonia(< 96 hours of intubation or ICU admission) – Community-acquired – Pathogens: • Stre p to c o c c us p ne um o nia e • Ha e m o philus influe nz a e • Sta phy lo c o c c us a ure us – Antibiotic-sensitive
  • 9.
    • Late-Onset Pneumonia(> 96 hours of intubation or ICU admission) – Hospital-acquired – Pathogens: • Ps e ud o m o na s a e rug ino s a • Methicillin resistant Sta phy lo c o c c us a ure us (MRSA) • Ac ine to ba c te r • Ente ro ba c te r • Antibiotic-resistant
  • 10.
    • Major riskfactor = mechanical intubation • Factors that enhance colonization of the oropharynx &/or stomach: – Administration of antibiotics – Admission to ICU – Underlying chronic lung disease • Conditions favoring aspiration into the respiratory tract or reflux from GI tract: – Supine position *GERD – NGT placement *Coma/delirium – Intubation and self-extubation – Immobilization – Surgery of head/neck/thorax/upper abdomen
  • 11.
    • Conditions requiringprolonged use of mechanical ventilatory support with potential exposure to contaminated respiratory devices &/or contact with contaminated hands • Host Factors: – Extremes of age – Malnutrition – Immunocompromised – Underlying condition/disease process
  • 12.
    Four Algorithms : Algorithm #1: Adolescents and adults Algorithm #2: Immunocompromised p Algorithm #3: Children 1 to <12 years Algorithm #4: Infants (<1 year)
  • 14.
    Algorithm #2: DiagnosingVAP in Immunocompromised Patients
  • 15.
    Algorithm #3: DiagnosingVAP in Children (Age >1 and <13 years)
  • 16.
    Algorithm #4: DiagnosingVAP in Infants (Age <1 year old)
  • 18.
    • A "bundle"is a group of evidence-based care components for a given disease that, when executed together, may result in better outcomes than if implemented individually.
  • 19.
    • In abundle, the individual elements are built around best evidence-based practices. • The science supporting the individual treatment strategies in a bundle is sufficiently mature such that implementation of the approach should be considered either best practice or a reasonable and generally accepted practice.
  • 20.
  • 21.
    • Ventilator-Associated Pneumonia (VAP)Bundle: – DVT prophylaxis – GI prophylaxis – Head of bed (HOB) elevated to 30-45° – Daily Sedation Vacation – Daily Spontaneous Breathing Trial connected
  • 22.
    • Include deepvenous prophylaxis as part of your ICU order admission set and ventilator order set. Make application of prophylaxis the default value on the form. • Include deep venous prophylaxis as an item for discussion on daily multidisciplinary rounds. • Empower pharmacy to review orders for patients in the ICU to ensure that some form of deep venous prophylaxis is in place at all times on ICU patients. • Post compliance with the intervention in a prominent place in your ICU to encourage change and motivate staff.
  • 23.
    • Include pepticulcer disease prophylaxis as part of your ICU order admission set and ventilator order set. Make application of prophylaxis the default value on the form. • Include peptic ulcer disease prophylaxis as an item for discussion on daily multidisciplinary rounds. • Empower pharmacy to review orders for patients in the ICU to ensure that some form of peptic ulcer disease prophylaxis is in place at all times on ICU patients. • Post compliance with the intervention in a prominent place in your ICU to encourage change and motivate staff.
  • 24.
    • Elevate HOBto 30 to 45 degrees (if no contraindications): • Aspiration can occur even with a properly inflated ET cuff. Bacterial counts higher in aspirated secretions obtained while pts were in the supine (flat) position than in those obtained while patients were in the semirecumbent position (45 degrees). Torres et al. Ann Int Med 1992;116:540-3. ■ Time spent with HOB in low position on day 1 of mechanical ventilation is most predictive of VAP in patients with high APACHE II scores. Grap MJ, Munro CL, et al. 2005 Am J Crit Care 14(4)
  • 25.
    • Use visualcues so it is easy to identify when the bed is in the proper position, such as a line on the wall that can only be seen if the bed is below a 30-degree angle. • Include this intervention on order sets for initiation and weaning of mechanical ventilation, delivery of tube feedings, and provision of oral care. • Post compliance with the intervention in a prominent place in your ICU to encourage change and motivate staff.
  • 27.
    • Implement aprotocol to lighten sedation daily at an appropriate time to assess for neurological readiness to extubate. – Include precautions to prevent self-extubation such as increased monitoring and vigilance during the trial. • Include a sedation vacation strategy in your overall plan to wean the patient from the ventilator – if you have a weaning protocol, add "sedation vacation" to that strategy.
  • 28.
    • Assess thatcompliance is occurring each day on multidisciplinary rounds. • Consider implementation of a sedation scale such as Riker or Ramsay scoring scale to avoid oversedation. • Post compliance with the intervention in a prominent place in your ICU to encourage change and motivate staff.
  • 29.
    • Appropriate antibioticuse • Attention to proper ET and TT cuff pressures • Avoided intubation(BiPAP) • Hand hygiene-chlorhexidine • Closed endotracheal suctioning syst • Condensation management in vent circuit • Conversion to TT for long term ventilation • Enteral feeding instead of TPN • Minimize duration of MV • Oral hygiene x 4 hrly • Subglotic suctioning before deflating the cuff of ET/TT • Strict glucose control • Wearing gloves
  • 32.
    • Analysis of10 studies of small bowel feeding found that small bowel feedings are associated with reduction in gastroesophageal regurgitation, increase in protein and calories delivered, and shorter time to target dose of nutrition. • Results of 7 randomized trials: small bowel feeding compared to gastric had. • Heyland, et al. JPEN 2002;26:S51-S55. • Kollef MH Crit Care Med 2004:32(6) • Heyland, el al. Crit Care Med 2001;29:1495-1501 lower incidence of pneumonia
  • 33.
    • AACN 5th Ed itio n, 2 0 0 5 Sc o tt JM, Vo llm a n KM • End o tra che a l Tube a nd Ora l Ca re , Pro c e dure # 4 • Unit One Pulm o na ry Sy s te m • Perform ET suctioning only when clinically indicated • Oral hygiene should be performed every 2-4 hours and should include: • Toothbrushing at least two times a day; • Oral swabs with 1.5% hydrogen peroxide soln every 2-4 hours; • Mouth moisturizer to oral mucosa and lips • Subglottic suctioning continuously or intermittently
  • 34.
    Gra p MJ,Munro CL 2 0 0 4: • Toothbrushing is the most effective means of mechanical removal of plaque. Munro CL, Grap MJ, Elswick RK, el al: 2006;Am J Crit Ca re ;15 • Higher plaque scores confer greater risk for VAP
  • 35.
    Munro & Grap2006 Crit Care Med 34 • CHG – effective in reducing VAP
  • 36.
    Mouth Care Complianceand VAP Rate Trends for ICU
  • 37.
    • Educational programsfor RNs and RTs addressing VAP etiology and infection control procedures is associated with decreased VAP rates in the ICU setting. • Zack JE, Garrison T, Trovillion E, et al. Effect of an education program aimed at reducing the occurrence of ventilator-associated pneumonia. Critical Care Medicine. 2002; 30(11): 2407-2412. • “Staff education….is a cornerstone for efforts to reduce the incidence of VAP.” Craven,D. Chest 2006;130 • Ventilator bundle staff educational sessions have a significant effect on clinical practice. • Tolentino-DelosReyes, Ruppert, Shyang-Yun, et al Am J Crit Care 2007; 16
  • 38.
    • Hand hygiene-chlorhexidine • HOB – HEAD OF BED ELEVATION – 30-45 DEGREE • Condensation management in vent circuit • Attention to proper ET and TT cuff pressures • Oral hygiene x 4 hrly • Closed endotracheal suctioning syst • Daily sedation vacation and spontaneous breathing trial • Enteral feeding instead of TPN • GI prophylaxis • Strict glucose control • Subglotic suctioning before deflating the cuff of ET/TT •
  • 39.
    DEDICATE “URself” tothe protocol Ventilator Associated Pneumonia Morbidity and Mortality

Editor's Notes

  • #27 Pink = VAP rate Blue = HOB compliance (0s represent no data available) VAP rates decreased 68% during the study period. There was a significant relationship between head of bed (HOB) positioning and VAP rate (p=0.0001). As staff compliance with HOB positioning at &amp;gt;30 degrees increased, the VAP rate decreased..
  • #34 If oral care is not provided for four to six hours, previous benefits are lost.
  • #35 91.5% of oral care provided in ICUs is with a foam swab which provides comfort but does not remove plaque.
  • #36 2006 Grap &amp; Munro: RCT comparing CHG, TB, and CHG with TB. 2006 Seguin: 60ml betadine vs NS via nasopharyngeal rinse – showed significant decrease in VAP in head trauma patients
  • #37 Multiple regression analysis revealed that the interventions of covered Yankauer use, toothbrushing, subglottic suctioning, oral care, and monitoring the ETT cuff pressure independently did not significantly impact VAP rates (p&amp;gt;0.05). However, the combination of HOB elevation, toothbrushing, subglottic suctioning was nearly significant. (p=0.07) and explained 46.28% of the variance in VAP rates for this study period. Surprisingly, HOB elevation alone explained 52.52% of the variance in VAP rates and was the most significant factor in reducing VAP rates for this sample