Prof. M.C.Bansal
MBBS,MS,MICOG,FICOG
ProfessorOBGY
Ex-Principal & Controller
Jhalawar Medical College & Hospital
Mahatma Gandhi Medical College,
Jaipur.
Introduction
⚫Fibroids(Myoma, Leiomyoma,Fibromyoma)
⚫5-20% women in theirreporductiveage are reported to
have fiboroids.
⚫Mostcommon Monoclonal Benign tumorsof uterus
arising in the smooth musclecellsof myometrium.
⚫Contain large aggregation of extracellular matrix
consisting of collagen, elastin, fibronectin and
proteoglycan.
⚫Each fibroid is derived from smooth musclecells rests
,either fromvessel wall oruterine musculature
Incidence
⚫ Most common----77% specimen of hysterectomy were
having Fibroids invariable number ,size (micro-macro)
and site.
⚫Sonographicsurvey in35-49yrsaged Africo- American
women reported Fibroids in 60% while about 80%
among thewomen > 50 yrs. of age.
⚫Whitewomen have lowerprevalence---40%atage 35
and almost 70% byage 50.
etiology
⚫Precisecauseof Fibroids is not known.
⚫Advances have been made in understanding the
molecular biology of these benign tumors and there
dependence on genetic, hormonal and growth factors .
⚫(A) Genetic
Fibroidsare monoclonal and about 40% have
chromosomal abnormalities that include-
(a) translocations between chromosomes 12 and14.
(b) deletionsof chromosome 7
(c)Trisomyof chromosome 12 in large tumors.
60% may haveyet undetected mutations
Etiology
⚫ Genetic  more than 100 geneswere found to be up-
down regulated in fibroid cells.
Manyof them appear to regulate cell growth,
proliferation, differentiationand mitogenesis.
⚫Genetic differences between fibroid and
Leiomyosarcomas indicate that Leiomyosarcomasdo
notresultdue to malignantchanges in fibroids .
Etiology
⚫(B) Hormones  -
Both increase in number and responsiveness of receptors
forestrogen and progesterone appear to promote fibroid
growth, as theseare rarely found before puberty, develop
and increase during reproductive period of lifeand so also
during pregnancy, regress after menopause/ bilateral
oophorectomy.
⚫Found morewith hyperestrogenic states like obesity,
increases after ERT therapy in menopausal women,
endometriosis, Cancer endometrium, an ovulatory
infertilityand early menarche.
⚫Decreased incidenceare found in athleteswith low body
mass, increased parity.
⚫ estrogen induces increased expressionof progesterone
receptors thus promoting oncogenic effectof progesterone.
Etiology
Hormones
⚫ Progesterone is most important in pathogenesis of fibroids,
which have moreconcentrationof receptors A & B ascompared
to normal myometrium.
⚫ Highest mitoticcountsare found in fibroid cellswhen
progesteroneconcentration is also high.
⚫ GnRH agonistdecrease the sizeof fibroid.
⚫ Concurrent Progesteroneand GnRH therapy preventregression
in sizeof fibroid.
⚫ Anti progesterone RU486 reduces thegrowth of fibroids.
⚫ Estrogendependent- neverdevelop beforepuberty, regressafter
menopause, newertumorseldom developafter menopause,
Etiology
(C) Growth Factor
⚫ Growth factors, proteins polypeptides produced locally by
smooth muscle cellsand fibroblastsappearto promotegrowth of
fibroids primarily by increasing extracellular matrix.
⚫ Many growth factors are participating in proliferation and
growth of cells of fibroid  Tumor Growth Factor-Beta, Basic-
Fibroblast Growth Factor,increased DNA synthesis, Epidermal
Growth factor, Platelet Derived Growth Factor, Insulin like
growth factor, PRL,Vascularendothelial factoretc
Locations
⚫Uterine Body-Intramural or intrstitial75%,
submucous15% (sesile /Pedunculated, subserous 10%(
pedunculatd – torsion/ parasitic).
⚫Cervical.<5% primary cervical.
⚫Ligamenary-treue/ false broad ligament fibroids,
round orsacralovarian.
⚫Extrauterine -vulval
Pathology
Gross 
+A typical myoma is awell circumscribed tumorwith a pseudo-
capsule. Cut surface is pinkish whiteand has awhorled appearance.
+Capsuleconsists of connective tissuewhich fixes tumorwith
myometrium.
+Vessels that supply Blood to tumor lie in capsule and send radial
branch to tumor Hence central part of tumor is comparatively less
vascular ,thereby degenerativechangesare noticeable in center.
Calcificationat the peripheryand spreads inwards along the
vessels(Tombstone).
Microscopic Tumorconsists of bundlesof planecells, separated
by varying amount of fibrous strands . Areas of embryonic muscle
tissue may be present.
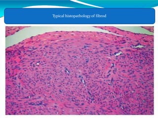
Typical histopathologyof fibrod
Hyaline degeneration of fibroid
Risk Factors
⚫ Age – incidence increaseswith age till on setof menopause.
⚫ Endogenous Hormonal factors  Early menarche ,late menopause,
hyper-estrogenicstates & increased expression and responsivenessof
progesterone receptors A & B.
⚫ Family History—1st degree relativesare having 3.5 times morerisk of
developing fibroids.
⚫ Ethnicity—Black women develop fibroids 2.9 times more than white
women.
⚫ Bodyweight—risk of fibroid increase by 21% with each 10 kg increase
in body weight. Increase bioavailableestrogen explains itwell.
⚫ Diet—diet rich in red meat, ham, beef increase the risk of fibroids
while diet with green leafyvegetablesdecrease the risk.
Risk Factors
⚫ Exercise – womendoing regularexercise (7hrs perweek) areat low
risk than thosewho do notdoexercise.
⚫ OCS --- nodefinite relationship.
⚫ ERT—variablereports—no increase, minimal increase, more increase
when progesteroneswereadded.
⚫ Pregnancy—pre-existing fibroids may enlarge, undergo red
degeneration. Increased parity is associated with lower incidenceof
fibroid.
⚫ Smoking---decreases by decreased conversion of androgen toestrone
caused by inhibition of aromatase enzyme by nicotine, increased 2-
hydroxylation of estradiol, increased level of serum sex hormone
binding Globulins.
⚫ Tissue injury—may increase the incidence probably by increasing
local production of tissuegrowth factors--?
Symptoms
⚫ Asymptomatic  Fibroid size<4cm / uterinesize <12 cm(50%)
⚫ Abnormal uterine bleeding  menorrhagia > 64% woman presentwith
heavy blood loss in gushes needing more pads ortamponson thedayof
heaviest blood loss. Metro menorrhagia present in cases of infected /
ulcerated fibroid polyp.
⚫ Infertility
⚫ Pain Dysmenorrhoea., slight discomfort to colicky pain in suprapubic
region, low backache. Degenerated / torsion of fibroid may cause Acute
abdomen /pelvic pain.
⚫ Urinarysymptoms  Increased uterinevolumedue to fibroids maycause
pressure and obstructive effect on urinary tract (frequency, nocturia,
urgency, uti )
⚫ Secondarysymptoms  progressiveanaemia due tochronic blood loss --
CHF, ill-health, lossof appetiteand work capacity.
⚫ Some patients rarelydevelop polycythemia due toerythropoiten production.
⚫ Abdominal Lump.
Natural History of Fibroids
⚫ Most fibroid grow slowly - 9% growth rateover 12 months, more
depending on growth factors ratherthan hormones.
⚫ Growth ratedecreasesafterage 35 yrs in whitewomen, but not in
blacks.
⚫ Mostof them regresswith onsetof menopause.
⚫ Rapid uterine fibroid growth in premenopausal age almost never
indicatesarcomatouschange.
⚫ O.5% women with pre-exisiting fibroid may develop pain and
bleeding in theirpostmenopausal age, as their fibroid might have
undergonesarcomatouschanges.
⚫ Fibroids may becomecalcified in menopausal women.
⚫ Fibroids maydevelopvariety of degenerativechanges.
Degenerative Changes
⚫Subserosal fibroid sessile  pedunculated  torsion  acute
abdominal pain.
Detached  wandering fibroid  get attached toother
peritoneal structure  parasite Fibroid.
⚫Hyalinedegeneration
⚫Fattydegeneration
⚫Red degeneration (Aseptic Necrobiosis)  in pregnancy,
postpartum
⚫Saponification
⚫Cysticdegeneration
⚫Calcification
⚫Hemorrhagic, torsion
⚫Sarcomatous changes
⚫Infection/ulceration of pedunculated fibroid
⚫Associationwith endometrial Ca, endometriosis, follicular
enlargement of ovaries.
⚫Inversionof uterus
CYSTIC DEGENERATION
HAEMORRHAGE &
CALCIFICATION
CALCIFICATION OF FIBROID -
RADIOGRAPH
RED DEGENERATION OF FIBROID -
NECROBIOSIS
SARCOMATOUS CHANGE
FIBROID WITH ENDOMETRIAL
CARCINOMA
Diagnosis
⚫PA Examination—fibroid with uterus larger than 12-14
wks. of gestation are well palpable per abdomen .
Enlarged uterus may be as big as term pregnancy. Surface
is irregular nodular, bossed, firm, no Braxton Hick
contractions, no palpable fetal parts , movementsand no
fetal heart sound . uterinesoufflédue to increased blood
supply to uterus may be audible, it has to be
differentiated from umbilical soufflé.
Diagnosis
Pelvic Examination 
⚫Enlarged uterusdue to fibroids is of variablesize,
irregularsurface, nodularor bossed .
⚫Associated cysticenlargementof ovary may be noted.
⚫Enlarged uterus is firm and non-tender, freely mobile—
upand down, side toside till it incarcerates in pelvis.
⚫Enlarged uterusand cervix move together.
Imaging
⚫Forsymptomaticwomen, consideration of conservative
therapy, non invasive procedureorsurgeryoften depends on an
accurateassessment of the size, numberand position of
fibroids.
⚫TVS Saline infusion USG, Hysteroscopy, MRI can be done. Sub
mucous fibroids were best identified by MRI (100%sensitivity,
91% specificity )
SIS (sensitivity 90%, specificity 89% )
Hysteroscopy (sensitivity 82%, specificity 87%).
⚫MRI allows evaluationof number, size location and proximity
to bladder, rectum, tubal opening in uterine cavity and
endometrium, thus helping in planning surgery.
Imaging
Sonography is the most readily
available and least costly to
differentiate fibroids from other
pelvic pathology . It is reasonably
reliable forevaluation of uterus with
< 375 ccvolumeand 3-4 or fewer
fibroids.
fibroids
USG Image
USG SALINE SONO-SALPINGOGRAPHY
Figo Leiomyoma classification
system
Submucosal 0 Pedunculated Intracvity
1 < 50% intramural
2 >50% intramural
0 other 3 Contacts endometrium., 100%
intramural
4 Intramural
5 subserosal >50% intramural
6 subserosal <50% intramural
7 subserosal pedunculated
8 other(specify.,cervical,parasitic
Hybrid
Laiomyomas(impact both
endometrium and serosa)
2-5
Two numbers are listed separated by
hyphen.by convension , the 1st reffers to
the relatioship with endometrium while
2nd torelationship with serosa
submucosal and subserosal , each
lessthan half the diameter in the
endometrim and peitoneal cavities
Fertility and Fibroids
⚫Presence of submucous fibroidsdecrease fertilityand removing
them increases fertility.
⚫Sub serous and intramural fibroid do not effect fertility but their
removal may increase fertilitydepending on their location.
⚫Myomectomy carries risk of anesthesia, surgery , infection, post-
operative adhesions, likelihood of increased cesarean delivery,
ruptureof myomectomy scar, expanseof surgeries and time for
recovery.
⚫Therefore until submucous, intramural fibroids are surely found
to be the prime cause of infertility and repeated abortion,
myomectomy is advised and it will increase chances of fertility.
Fibroid and Pregnancy
Prevalenceof fibroids in pregnancy is 18% based on 1st
trimester USG
⚫ Mostof fibroids do not increase significantly in pregnancy.
⚫ Red degeneration of fibroids occurs in 5% cases. Patient
develops pain, fever, local tenderness of fibroid, increased
TLC
and DLC.
Bed rest, analgesics and plenty of fluids are needed to treat
them.
Influence of fibroids on pregnancy Abortions ,
Malpresentation, malposition, IUGR, PROM, Premature onset of
labour pains, uterine inertia, inco-ordinated uterine action,
prolonged labor obstructed labor due to cervical fibroid or
incarcerated fibroid, APH (abruptio, placenta praevia), Atonic
PPH, P Sepsis, inversion of uterus, sub involution of uterus.
Ruptureof Myomectomy scar .
Differential Diagnosis
⚫Pregnancy/pregnancy complications/ fibroid with
pregnancy.
⚫Full Bladder.
⚫Haematometra/Pyometra
⚫Adenomyosis
⚫Bicornuate Uterus
⚫T.O.Mass
⚫Ch.Ectopic Pregnancy
⚫Pelvic Endometriosis/Chocolate cyst
⚫Endometrial Carcinoma/uterine sarcoma
⚫Ovarian Neoplasms/para- ovarian Cysts.
⚫Pelvic Kidney.
Treatment
⚫Watchful Waiting
⚫Medical Therapy NSAID, GnRH- Agonists. GnRH-
Antagonist, Alternativetherapy.
⚫Surgical Treatmentoptions  -
(a)Myomectomy—Laparotomy, laparoscopy,
Hysteroscopy, cesarean section and concurrent
myomectomy.
(b)Uterine Artery Embolizationand occlusion.
(c)Endometrial ablation.
Watchful Waiting
Not having treatment for fibroids rarely results in harm,
exceptwomen with severeanemia from fibroid related
menorrhagia or hydronephrosis from ureteric
obstructioncaused by massive fibroid pressing over.
Therefore, forwomen who areasymptomatic or having
mild to moderate discomfort with fibroids, watch full
mayallow treatment to be deferred, perhaps indefinitely
.
A woman approaching menopause, watchful waiting
may be considered, because there is limited time to
develop new symptoms and after menopause bleeing
stops and fibroid decrease in size.
.
Medical Therapy
Non steroidal Anti inflammatory drugsNSAIDS found to
have minimal or no effect in controlling menorrhagia due to
fibroidsand nodecrease in sizeof fibrids.
GnRH Agonist Treatment with GnRh Agonist decrease
uterinevolume, fibroid volume and bleeding. Monthly GnRH
Agonistgiven for 6 months reduced fibroid volume by 30% and
total uterinevolume by 35%.bleeding also decreased well.
Following discontinuation of GnRH –A , uterine volume and
menses returns with in 4--8 weeks,2/3rd women remained
asymptomatic for 8-12 months. 95% women developed side
effectsof hypoestrogen--- iatrogenic menopuase and
oseoporosis.Add back therapygiven concurrently reduces these
sideeffcts.GnRH-a is recommended as temporary treatment for
premenopausal women with heavy menorrhagia.
Medical Treatment
GnRH –Antagonist Immediate
suppression of endogenous GnRh by daily
SC injection 0f Ganirelix results in 30%
reduction in fibroid volume with in 3 wks.
Patient develops Hypo estrogenic
symptoms. Availability of long acting
compounds might be considered for
medical treatment prior to surgery.
Medical Treatment
Progesterone mediated
TherapyReduction in fibroid size
following treatment with progesterone –
blocking drug MIFEPRISTONE is similar to
that due to GnRH –a. Controlled trial with
mifepristone therapy( for 6 months) found
48% reduction in size of uterus. 28%patient
developed endometrial hyperplasia due to
unopposed action of estrogen
Medical Treatment
Progesterone releasing IUCD Mirena-Levonorgestrel
releasing IUCD may bea reasonable treatment forselected
women of child bearing age with fibroid associated
menorrhagia and interested to have contraception. 85% of
such women returned to their normal bleeding with in 3
months and 40% developed reversible amenorrhea at the
end of 1.5-2years .
⚫M
Alte
e
rn
d
at
iic
ve
a
M
led
Tir
ca
e
l T
a
re
ta
m
tme
e
nt
n

tChinese herbal
medicine Kuie Chi –Fu –Ling –wan at least for 12 weeks
found tocompleteresolutionof fibroids (19%), decrease in
size in34%, increase in 4% , 95% got relief from
menorrhagiaand 94% from dysmenorrhea (studygroup
consisted of 110 womenwith fibroids <10cm ). 14% women
preferred hysterectomyduring the 4 year period of study.
⚫
S
M
u
yo
rm
ge
ic
c
to
a
m
lyT

rL
e
aa
pat
ro
m
tom
eyn
, V
taginal polypectomy,
Laparoscopy (morcellation), Hysteroscopy.
⚫Hysterectomy  Abdominal, NondescentVaginal
⚫Uterine Arteryocculsion  Embolization
Preoperative management
⚫(1) severeanemia can be rapidlycorrected by
recombinant forms erythropoietin alpha or epoetin250
iu/kg weekly for 3 weeksand parentral iron therapyalong
with folicacid, vitamin C, protein suplementation.
⚫(2)Auto transfusion / donor blood transfusion
⚫(3)Control of bleedingGnRH agonist therapy
⚫(4)Control of associated medical problems like
hypertension, CHF, Asthma, uti, kidney or liver illness.
Myomectomy
⚫Safealternate to hysterectomy for young women who
even have large fibroid and want to retain uterus ,
fertility
⚫“The restoration and maintenance of physiological
function is orshould be the ultimategoal of surgeryVictor
Bonney -1931”
⚫In carefully selected women myomectomy may be safely
accomplished at the timeof LSCS byexperienced surgeon
instead of caesarean hysterectomy.
Myomectomy Indications
⚫ Infertilitycaused bycornual fibroid blocking
tube.
⚫Habitual abortion due tosub mucous fibroid.
Treatmentrequired.
⚫Pedunculated fibroid likely to undergo torsion.
⚫Fibroid > 12 weeks.
⚫Broad ligament fibroid pressing on ureter.
⚫Fibroid pressing over bladdercausing retention of urine /
infection.
⚫Rapidlygrowing uterine fibroid in post menopausal
women.
BONNEY’S MYOMECTOMY CLAMP
MYOMA SCREW
OPEN MYOMECTOMY
LAPROSCOPIC MYOMECTOMY STEPS
Laparoscopic myomectomy-stepsof operation:
A. Fibromyoma uterus( subserous) not larger than 10 cm or
4 in number, Infiltrated with Pitressin ; B. Incision taken on
the fibromyoma; C. Fibromyoma exposed; D. Myoma screw
inserted to steady the myoma; E. Myoma dissected from its
bed; F. Edges of myoma bed approximated with interrupted
Vicryl sutures(Barbed). Removed myoma seen in POD; G.
Myoma being morcellated; H. Tunnel in myoma after
removal of cylindrical mass; I. Excised myoma cylinder
being removed from the morcellator.
Disadvantages of laparoscopic
myomectomy
⚫ More heaorrhage becauseof noapplicabilityof myomectomyclamp /
tornicate.
⚫ Longerdurationof operation—longeranesthesia.
⚫ Morechances of postoperativeadhesions – infertility, ch,. Abdominal
pain, intestinal obstruction.
⚫ Increased incidence of scar rupture in pregnancy/ labourdue to
impefector inadequate suturing.
⚫ Laparoscopic myomectomy may not be safer for infertilewomen.
⚫ Unidentified or notremoved small fibroid maygrow later ---shoe upas
recurrence.
-
Hysteroscopic Myoma -
resection
⚫Submucous fibroid < 1/3rd buried in myometrium to
avoid uterineperforation.
⚫Itcan beexcised either byelectric cautery , laser or
resectoscope.
⚫It is bestdone under laparoscopicguideance line to
avoid myometrial perforation.
C
⚫P
o
rim
mar
p
y,lriec
ac
a
tit
on
io
ary
nos
r se
o
co
fnd
M
ary
yh
o
aem
moe
rrh
c
at
ge
o
. my
⚫Trauma tourinary tract, gut.
⚫Infection.
⚫Adhesions.
⚫Intestinal obstruction.
⚫Recurrenceof fibroid or menorrhagia.
Uterine Artery Embolization(UAE)
⚫ Ravina (1991) first performed it to reduce blood supply to fibroid,
results in reduction in size, further growth of fibroid reduced and
minimum menstrual blood loss.
⚫ Menorrhagia reduced in 80-90 % , pressure symptoms in 40-70% and
volumedecreased by 50% at theend of 3 months.
Contra indications Subserous and pedunculated fibroid 
necrosisand fall of tumor in peritoneal cavity. Very big fibroid are not
suitable, submucous fibroid is notcured. Itdoes not help the infertile
womenrather it may increase the problem.
Technique under LA bilateral UAE approach through percutaneous
femoral catheterization, using poly vinyl alcohol gel (PVA gel) particles
are injected in thearterysupplying the fibroid.
Results and complications of
UAE
⚫Vascularityand size reduced by 40% at 6 weeksand
75% at theend of 1 year.
⚫Symptomsare relieved in 70% women.
Postoperativecomplications  feverand infection,
vaginal discharge and bleeding , unbearable ischaemic
pain, pulmonary embolism, premature ovarian failure if
accidental occlusionof ovarian vesselsoccur, fertility rate
is reduced due to adhesions, failure due to incomplete
coagulation caused by arterial spasm or tortuosity of
bloodvessel.
Advantages Of UAE
⚫No major surgery.
⚫No intra-operative bleeding.
⚫Short hospital stay.
⚫No abdominal adhesions.
⚫75-80% women suffering from menorrhagia are satisfied.
Hysterectomy
Indication  Womenover 40 yearsof age , multiparous
women, complicated fibroids, unforeseen difficulties
during myomectomy.
Typesof Hysterectomy
Abdominal-total, sub total, pan hysterectomy ,
extended orwertheim’s hyserectomywhen fibroid are
associated with carcinoma endometriumorcervix.
Vaginal Hysterectomy.
LAVH.
⚫N
MR
e
I w
guid
e
ed
rpt
er
e
cu
c
ta
h
ne
n
ou
is
q
la
u
ser
e
as
blation using High
Intensity focused Ultrasound (HIFU) has been recently
attempted – resultsareawaited.
⚫Laparoscopic myolysis  optimal surgery in multiparous
women by using Nd : YAG laser, cryo- probe or diathermy to
coagulate subserous fibroid . Thecontraindication are similar
to UAE.
⚫Cervical fibroids preoperative GnRH will shrink the fibroid.
Fibroid enucleation will be easy to perform myomectomy /
hysterectomy, thus reducing uretericand bladder injury.

uterinefibroids-130120064643-phpapp02.pptx

  • 1.
    Prof. M.C.Bansal MBBS,MS,MICOG,FICOG ProfessorOBGY Ex-Principal &Controller Jhalawar Medical College & Hospital Mahatma Gandhi Medical College, Jaipur.
  • 2.
    Introduction ⚫Fibroids(Myoma, Leiomyoma,Fibromyoma) ⚫5-20% womenin theirreporductiveage are reported to have fiboroids. ⚫Mostcommon Monoclonal Benign tumorsof uterus arising in the smooth musclecellsof myometrium. ⚫Contain large aggregation of extracellular matrix consisting of collagen, elastin, fibronectin and proteoglycan. ⚫Each fibroid is derived from smooth musclecells rests ,either fromvessel wall oruterine musculature
  • 3.
    Incidence ⚫ Most common----77%specimen of hysterectomy were having Fibroids invariable number ,size (micro-macro) and site. ⚫Sonographicsurvey in35-49yrsaged Africo- American women reported Fibroids in 60% while about 80% among thewomen > 50 yrs. of age. ⚫Whitewomen have lowerprevalence---40%atage 35 and almost 70% byage 50.
  • 4.
    etiology ⚫Precisecauseof Fibroids isnot known. ⚫Advances have been made in understanding the molecular biology of these benign tumors and there dependence on genetic, hormonal and growth factors . ⚫(A) Genetic Fibroidsare monoclonal and about 40% have chromosomal abnormalities that include- (a) translocations between chromosomes 12 and14. (b) deletionsof chromosome 7 (c)Trisomyof chromosome 12 in large tumors. 60% may haveyet undetected mutations
  • 5.
    Etiology ⚫ Genetic more than 100 geneswere found to be up- down regulated in fibroid cells. Manyof them appear to regulate cell growth, proliferation, differentiationand mitogenesis. ⚫Genetic differences between fibroid and Leiomyosarcomas indicate that Leiomyosarcomasdo notresultdue to malignantchanges in fibroids .
  • 6.
    Etiology ⚫(B) Hormones - Both increase in number and responsiveness of receptors forestrogen and progesterone appear to promote fibroid growth, as theseare rarely found before puberty, develop and increase during reproductive period of lifeand so also during pregnancy, regress after menopause/ bilateral oophorectomy. ⚫Found morewith hyperestrogenic states like obesity, increases after ERT therapy in menopausal women, endometriosis, Cancer endometrium, an ovulatory infertilityand early menarche. ⚫Decreased incidenceare found in athleteswith low body mass, increased parity. ⚫ estrogen induces increased expressionof progesterone receptors thus promoting oncogenic effectof progesterone.
  • 7.
    Etiology Hormones ⚫ Progesterone ismost important in pathogenesis of fibroids, which have moreconcentrationof receptors A & B ascompared to normal myometrium. ⚫ Highest mitoticcountsare found in fibroid cellswhen progesteroneconcentration is also high. ⚫ GnRH agonistdecrease the sizeof fibroid. ⚫ Concurrent Progesteroneand GnRH therapy preventregression in sizeof fibroid. ⚫ Anti progesterone RU486 reduces thegrowth of fibroids. ⚫ Estrogendependent- neverdevelop beforepuberty, regressafter menopause, newertumorseldom developafter menopause,
  • 8.
    Etiology (C) Growth Factor ⚫Growth factors, proteins polypeptides produced locally by smooth muscle cellsand fibroblastsappearto promotegrowth of fibroids primarily by increasing extracellular matrix. ⚫ Many growth factors are participating in proliferation and growth of cells of fibroid  Tumor Growth Factor-Beta, Basic- Fibroblast Growth Factor,increased DNA synthesis, Epidermal Growth factor, Platelet Derived Growth Factor, Insulin like growth factor, PRL,Vascularendothelial factoretc
  • 9.
    Locations ⚫Uterine Body-Intramural orintrstitial75%, submucous15% (sesile /Pedunculated, subserous 10%( pedunculatd – torsion/ parasitic). ⚫Cervical.<5% primary cervical. ⚫Ligamenary-treue/ false broad ligament fibroids, round orsacralovarian. ⚫Extrauterine -vulval
  • 12.
    Pathology Gross  +A typicalmyoma is awell circumscribed tumorwith a pseudo- capsule. Cut surface is pinkish whiteand has awhorled appearance. +Capsuleconsists of connective tissuewhich fixes tumorwith myometrium. +Vessels that supply Blood to tumor lie in capsule and send radial branch to tumor Hence central part of tumor is comparatively less vascular ,thereby degenerativechangesare noticeable in center. Calcificationat the peripheryand spreads inwards along the vessels(Tombstone). Microscopic Tumorconsists of bundlesof planecells, separated by varying amount of fibrous strands . Areas of embryonic muscle tissue may be present.
  • 18.
  • 19.
  • 20.
    Risk Factors ⚫ Age– incidence increaseswith age till on setof menopause. ⚫ Endogenous Hormonal factors  Early menarche ,late menopause, hyper-estrogenicstates & increased expression and responsivenessof progesterone receptors A & B. ⚫ Family History—1st degree relativesare having 3.5 times morerisk of developing fibroids. ⚫ Ethnicity—Black women develop fibroids 2.9 times more than white women. ⚫ Bodyweight—risk of fibroid increase by 21% with each 10 kg increase in body weight. Increase bioavailableestrogen explains itwell. ⚫ Diet—diet rich in red meat, ham, beef increase the risk of fibroids while diet with green leafyvegetablesdecrease the risk.
  • 21.
    Risk Factors ⚫ Exercise– womendoing regularexercise (7hrs perweek) areat low risk than thosewho do notdoexercise. ⚫ OCS --- nodefinite relationship. ⚫ ERT—variablereports—no increase, minimal increase, more increase when progesteroneswereadded. ⚫ Pregnancy—pre-existing fibroids may enlarge, undergo red degeneration. Increased parity is associated with lower incidenceof fibroid. ⚫ Smoking---decreases by decreased conversion of androgen toestrone caused by inhibition of aromatase enzyme by nicotine, increased 2- hydroxylation of estradiol, increased level of serum sex hormone binding Globulins. ⚫ Tissue injury—may increase the incidence probably by increasing local production of tissuegrowth factors--?
  • 22.
    Symptoms ⚫ Asymptomatic Fibroid size<4cm / uterinesize <12 cm(50%) ⚫ Abnormal uterine bleeding  menorrhagia > 64% woman presentwith heavy blood loss in gushes needing more pads ortamponson thedayof heaviest blood loss. Metro menorrhagia present in cases of infected / ulcerated fibroid polyp. ⚫ Infertility ⚫ Pain Dysmenorrhoea., slight discomfort to colicky pain in suprapubic region, low backache. Degenerated / torsion of fibroid may cause Acute abdomen /pelvic pain. ⚫ Urinarysymptoms  Increased uterinevolumedue to fibroids maycause pressure and obstructive effect on urinary tract (frequency, nocturia, urgency, uti ) ⚫ Secondarysymptoms  progressiveanaemia due tochronic blood loss -- CHF, ill-health, lossof appetiteand work capacity. ⚫ Some patients rarelydevelop polycythemia due toerythropoiten production. ⚫ Abdominal Lump.
  • 23.
    Natural History ofFibroids ⚫ Most fibroid grow slowly - 9% growth rateover 12 months, more depending on growth factors ratherthan hormones. ⚫ Growth ratedecreasesafterage 35 yrs in whitewomen, but not in blacks. ⚫ Mostof them regresswith onsetof menopause. ⚫ Rapid uterine fibroid growth in premenopausal age almost never indicatesarcomatouschange. ⚫ O.5% women with pre-exisiting fibroid may develop pain and bleeding in theirpostmenopausal age, as their fibroid might have undergonesarcomatouschanges. ⚫ Fibroids may becomecalcified in menopausal women. ⚫ Fibroids maydevelopvariety of degenerativechanges.
  • 24.
    Degenerative Changes ⚫Subserosal fibroidsessile  pedunculated  torsion  acute abdominal pain. Detached  wandering fibroid  get attached toother peritoneal structure  parasite Fibroid. ⚫Hyalinedegeneration ⚫Fattydegeneration ⚫Red degeneration (Aseptic Necrobiosis)  in pregnancy, postpartum ⚫Saponification ⚫Cysticdegeneration ⚫Calcification ⚫Hemorrhagic, torsion ⚫Sarcomatous changes ⚫Infection/ulceration of pedunculated fibroid ⚫Associationwith endometrial Ca, endometriosis, follicular enlargement of ovaries. ⚫Inversionof uterus
  • 25.
  • 26.
  • 27.
  • 28.
    RED DEGENERATION OFFIBROID - NECROBIOSIS
  • 29.
  • 30.
  • 31.
    Diagnosis ⚫PA Examination—fibroid withuterus larger than 12-14 wks. of gestation are well palpable per abdomen . Enlarged uterus may be as big as term pregnancy. Surface is irregular nodular, bossed, firm, no Braxton Hick contractions, no palpable fetal parts , movementsand no fetal heart sound . uterinesoufflédue to increased blood supply to uterus may be audible, it has to be differentiated from umbilical soufflé.
  • 32.
    Diagnosis Pelvic Examination  ⚫Enlargeduterusdue to fibroids is of variablesize, irregularsurface, nodularor bossed . ⚫Associated cysticenlargementof ovary may be noted. ⚫Enlarged uterus is firm and non-tender, freely mobile— upand down, side toside till it incarcerates in pelvis. ⚫Enlarged uterusand cervix move together.
  • 34.
    Imaging ⚫Forsymptomaticwomen, consideration ofconservative therapy, non invasive procedureorsurgeryoften depends on an accurateassessment of the size, numberand position of fibroids. ⚫TVS Saline infusion USG, Hysteroscopy, MRI can be done. Sub mucous fibroids were best identified by MRI (100%sensitivity, 91% specificity ) SIS (sensitivity 90%, specificity 89% ) Hysteroscopy (sensitivity 82%, specificity 87%). ⚫MRI allows evaluationof number, size location and proximity to bladder, rectum, tubal opening in uterine cavity and endometrium, thus helping in planning surgery.
  • 35.
    Imaging Sonography is themost readily available and least costly to differentiate fibroids from other pelvic pathology . It is reasonably reliable forevaluation of uterus with < 375 ccvolumeand 3-4 or fewer fibroids.
  • 36.
  • 39.
  • 40.
  • 41.
    Figo Leiomyoma classification system Submucosal0 Pedunculated Intracvity 1 < 50% intramural 2 >50% intramural 0 other 3 Contacts endometrium., 100% intramural 4 Intramural 5 subserosal >50% intramural 6 subserosal <50% intramural 7 subserosal pedunculated 8 other(specify.,cervical,parasitic Hybrid Laiomyomas(impact both endometrium and serosa) 2-5 Two numbers are listed separated by hyphen.by convension , the 1st reffers to the relatioship with endometrium while 2nd torelationship with serosa submucosal and subserosal , each lessthan half the diameter in the endometrim and peitoneal cavities
  • 42.
    Fertility and Fibroids ⚫Presenceof submucous fibroidsdecrease fertilityand removing them increases fertility. ⚫Sub serous and intramural fibroid do not effect fertility but their removal may increase fertilitydepending on their location. ⚫Myomectomy carries risk of anesthesia, surgery , infection, post- operative adhesions, likelihood of increased cesarean delivery, ruptureof myomectomy scar, expanseof surgeries and time for recovery. ⚫Therefore until submucous, intramural fibroids are surely found to be the prime cause of infertility and repeated abortion, myomectomy is advised and it will increase chances of fertility.
  • 43.
    Fibroid and Pregnancy Prevalenceoffibroids in pregnancy is 18% based on 1st trimester USG ⚫ Mostof fibroids do not increase significantly in pregnancy. ⚫ Red degeneration of fibroids occurs in 5% cases. Patient develops pain, fever, local tenderness of fibroid, increased TLC and DLC. Bed rest, analgesics and plenty of fluids are needed to treat them. Influence of fibroids on pregnancy Abortions , Malpresentation, malposition, IUGR, PROM, Premature onset of labour pains, uterine inertia, inco-ordinated uterine action, prolonged labor obstructed labor due to cervical fibroid or incarcerated fibroid, APH (abruptio, placenta praevia), Atonic PPH, P Sepsis, inversion of uterus, sub involution of uterus. Ruptureof Myomectomy scar .
  • 45.
    Differential Diagnosis ⚫Pregnancy/pregnancy complications/fibroid with pregnancy. ⚫Full Bladder. ⚫Haematometra/Pyometra ⚫Adenomyosis ⚫Bicornuate Uterus ⚫T.O.Mass ⚫Ch.Ectopic Pregnancy ⚫Pelvic Endometriosis/Chocolate cyst ⚫Endometrial Carcinoma/uterine sarcoma ⚫Ovarian Neoplasms/para- ovarian Cysts. ⚫Pelvic Kidney.
  • 46.
    Treatment ⚫Watchful Waiting ⚫Medical TherapyNSAID, GnRH- Agonists. GnRH- Antagonist, Alternativetherapy. ⚫Surgical Treatmentoptions  - (a)Myomectomy—Laparotomy, laparoscopy, Hysteroscopy, cesarean section and concurrent myomectomy. (b)Uterine Artery Embolizationand occlusion. (c)Endometrial ablation.
  • 47.
    Watchful Waiting Not havingtreatment for fibroids rarely results in harm, exceptwomen with severeanemia from fibroid related menorrhagia or hydronephrosis from ureteric obstructioncaused by massive fibroid pressing over. Therefore, forwomen who areasymptomatic or having mild to moderate discomfort with fibroids, watch full mayallow treatment to be deferred, perhaps indefinitely . A woman approaching menopause, watchful waiting may be considered, because there is limited time to develop new symptoms and after menopause bleeing stops and fibroid decrease in size. .
  • 48.
    Medical Therapy Non steroidalAnti inflammatory drugsNSAIDS found to have minimal or no effect in controlling menorrhagia due to fibroidsand nodecrease in sizeof fibrids. GnRH Agonist Treatment with GnRh Agonist decrease uterinevolume, fibroid volume and bleeding. Monthly GnRH Agonistgiven for 6 months reduced fibroid volume by 30% and total uterinevolume by 35%.bleeding also decreased well. Following discontinuation of GnRH –A , uterine volume and menses returns with in 4--8 weeks,2/3rd women remained asymptomatic for 8-12 months. 95% women developed side effectsof hypoestrogen--- iatrogenic menopuase and oseoporosis.Add back therapygiven concurrently reduces these sideeffcts.GnRH-a is recommended as temporary treatment for premenopausal women with heavy menorrhagia.
  • 50.
    Medical Treatment GnRH –AntagonistImmediate suppression of endogenous GnRh by daily SC injection 0f Ganirelix results in 30% reduction in fibroid volume with in 3 wks. Patient develops Hypo estrogenic symptoms. Availability of long acting compounds might be considered for medical treatment prior to surgery.
  • 51.
    Medical Treatment Progesterone mediated TherapyReductionin fibroid size following treatment with progesterone – blocking drug MIFEPRISTONE is similar to that due to GnRH –a. Controlled trial with mifepristone therapy( for 6 months) found 48% reduction in size of uterus. 28%patient developed endometrial hyperplasia due to unopposed action of estrogen
  • 52.
    Medical Treatment Progesterone releasingIUCD Mirena-Levonorgestrel releasing IUCD may bea reasonable treatment forselected women of child bearing age with fibroid associated menorrhagia and interested to have contraception. 85% of such women returned to their normal bleeding with in 3 months and 40% developed reversible amenorrhea at the end of 1.5-2years .
  • 53.
    ⚫M Alte e rn d at iic ve a M led Tir ca e l T a re ta m tme e nt n  tChinese herbal medicineKuie Chi –Fu –Ling –wan at least for 12 weeks found tocompleteresolutionof fibroids (19%), decrease in size in34%, increase in 4% , 95% got relief from menorrhagiaand 94% from dysmenorrhea (studygroup consisted of 110 womenwith fibroids <10cm ). 14% women preferred hysterectomyduring the 4 year period of study.
  • 54.
    ⚫ S M u yo rm ge ic c to a m lyT  rL e aa pat ro m tom eyn , V taginal polypectomy, Laparoscopy(morcellation), Hysteroscopy. ⚫Hysterectomy  Abdominal, NondescentVaginal ⚫Uterine Arteryocculsion  Embolization
  • 56.
    Preoperative management ⚫(1) severeanemiacan be rapidlycorrected by recombinant forms erythropoietin alpha or epoetin250 iu/kg weekly for 3 weeksand parentral iron therapyalong with folicacid, vitamin C, protein suplementation. ⚫(2)Auto transfusion / donor blood transfusion ⚫(3)Control of bleedingGnRH agonist therapy ⚫(4)Control of associated medical problems like hypertension, CHF, Asthma, uti, kidney or liver illness.
  • 57.
    Myomectomy ⚫Safealternate to hysterectomyfor young women who even have large fibroid and want to retain uterus , fertility ⚫“The restoration and maintenance of physiological function is orshould be the ultimategoal of surgeryVictor Bonney -1931” ⚫In carefully selected women myomectomy may be safely accomplished at the timeof LSCS byexperienced surgeon instead of caesarean hysterectomy.
  • 58.
    Myomectomy Indications ⚫ Infertilitycausedbycornual fibroid blocking tube. ⚫Habitual abortion due tosub mucous fibroid. Treatmentrequired. ⚫Pedunculated fibroid likely to undergo torsion. ⚫Fibroid > 12 weeks. ⚫Broad ligament fibroid pressing on ureter. ⚫Fibroid pressing over bladdercausing retention of urine / infection. ⚫Rapidlygrowing uterine fibroid in post menopausal women.
  • 59.
  • 60.
  • 61.
  • 62.
  • 63.
    Laparoscopic myomectomy-stepsof operation: A.Fibromyoma uterus( subserous) not larger than 10 cm or 4 in number, Infiltrated with Pitressin ; B. Incision taken on the fibromyoma; C. Fibromyoma exposed; D. Myoma screw inserted to steady the myoma; E. Myoma dissected from its bed; F. Edges of myoma bed approximated with interrupted Vicryl sutures(Barbed). Removed myoma seen in POD; G. Myoma being morcellated; H. Tunnel in myoma after removal of cylindrical mass; I. Excised myoma cylinder being removed from the morcellator.
  • 64.
    Disadvantages of laparoscopic myomectomy ⚫More heaorrhage becauseof noapplicabilityof myomectomyclamp / tornicate. ⚫ Longerdurationof operation—longeranesthesia. ⚫ Morechances of postoperativeadhesions – infertility, ch,. Abdominal pain, intestinal obstruction. ⚫ Increased incidence of scar rupture in pregnancy/ labourdue to impefector inadequate suturing. ⚫ Laparoscopic myomectomy may not be safer for infertilewomen. ⚫ Unidentified or notremoved small fibroid maygrow later ---shoe upas recurrence. -
  • 65.
    Hysteroscopic Myoma - resection ⚫Submucousfibroid < 1/3rd buried in myometrium to avoid uterineperforation. ⚫Itcan beexcised either byelectric cautery , laser or resectoscope. ⚫It is bestdone under laparoscopicguideance line to avoid myometrial perforation.
  • 66.
    C ⚫P o rim mar p y,lriec ac a tit on io ary nos r se o co fnd M ary yh o aem moe rrh c at ge o . my ⚫Traumatourinary tract, gut. ⚫Infection. ⚫Adhesions. ⚫Intestinal obstruction. ⚫Recurrenceof fibroid or menorrhagia.
  • 67.
    Uterine Artery Embolization(UAE) ⚫Ravina (1991) first performed it to reduce blood supply to fibroid, results in reduction in size, further growth of fibroid reduced and minimum menstrual blood loss. ⚫ Menorrhagia reduced in 80-90 % , pressure symptoms in 40-70% and volumedecreased by 50% at theend of 3 months. Contra indications Subserous and pedunculated fibroid  necrosisand fall of tumor in peritoneal cavity. Very big fibroid are not suitable, submucous fibroid is notcured. Itdoes not help the infertile womenrather it may increase the problem. Technique under LA bilateral UAE approach through percutaneous femoral catheterization, using poly vinyl alcohol gel (PVA gel) particles are injected in thearterysupplying the fibroid.
  • 68.
    Results and complicationsof UAE ⚫Vascularityand size reduced by 40% at 6 weeksand 75% at theend of 1 year. ⚫Symptomsare relieved in 70% women. Postoperativecomplications  feverand infection, vaginal discharge and bleeding , unbearable ischaemic pain, pulmonary embolism, premature ovarian failure if accidental occlusionof ovarian vesselsoccur, fertility rate is reduced due to adhesions, failure due to incomplete coagulation caused by arterial spasm or tortuosity of bloodvessel.
  • 69.
    Advantages Of UAE ⚫Nomajor surgery. ⚫No intra-operative bleeding. ⚫Short hospital stay. ⚫No abdominal adhesions. ⚫75-80% women suffering from menorrhagia are satisfied.
  • 72.
    Hysterectomy Indication  Womenover40 yearsof age , multiparous women, complicated fibroids, unforeseen difficulties during myomectomy. Typesof Hysterectomy Abdominal-total, sub total, pan hysterectomy , extended orwertheim’s hyserectomywhen fibroid are associated with carcinoma endometriumorcervix. Vaginal Hysterectomy. LAVH.
  • 73.
    ⚫N MR e I w guid e ed rpt er e cu c ta h ne n ou is q la u ser e as blation usingHigh Intensity focused Ultrasound (HIFU) has been recently attempted – resultsareawaited. ⚫Laparoscopic myolysis  optimal surgery in multiparous women by using Nd : YAG laser, cryo- probe or diathermy to coagulate subserous fibroid . Thecontraindication are similar to UAE. ⚫Cervical fibroids preoperative GnRH will shrink the fibroid. Fibroid enucleation will be easy to perform myomectomy / hysterectomy, thus reducing uretericand bladder injury.