Embed presentation
Downloaded 244 times
















































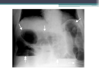
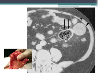
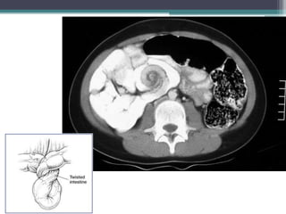
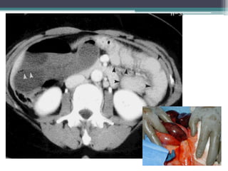
Tài liệu bàn về tắc ruột, bao gồm định nghĩa, phân loại và nguyên nhân của tình trạng này, với sự phân biệt giữa tắc cơ học và cơ năng. Các triệu chứng và chẩn đoán lâm sàng được trình bày, kèm theo phương pháp chẩn đoán cận lâm sàng như x-quang và siêu âm. Ngoài ra, tài liệu cũng đề cập đến các biến chứng và hậu quả của tắc ruột.














































