Лучевая диагностика центрального рака легкого Алексеева  Тамара  Рубеновна ГУ РОНЦ  им. Н.Н.Блохина РАМН  Отдел лучевой диагностики
Центральный рак легкого: Опухоль в просвете бронха. Нарушение вентиляции. Инфильтрация легочной ткани. Компенсаторное вздутие прилежащих отделов легкого.
Причины обструкции бронха: Центральный рак легкого. Доброкачественная внутрибронхиальная опухоль. Сдавление бронха извне( опухоль, лимфатический узел). Инородное тело. Слизистая пробка. Стеноз после воспаления.
Рентгенологическая картина центрального рака легкого: Изображение первичной опухоли. Осложнения, связанные с нарушением бронхиальной проходимости. Метастазы в регионарные лимфатические узлы.
Формы роста опухоли Узловая эндобронхиальная экзобронхиальная Разветвленная перибронхиальная Смешанная Пневмониеподобная
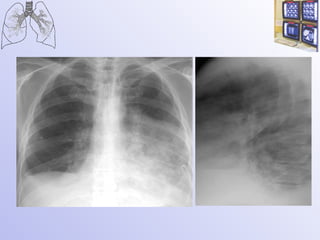
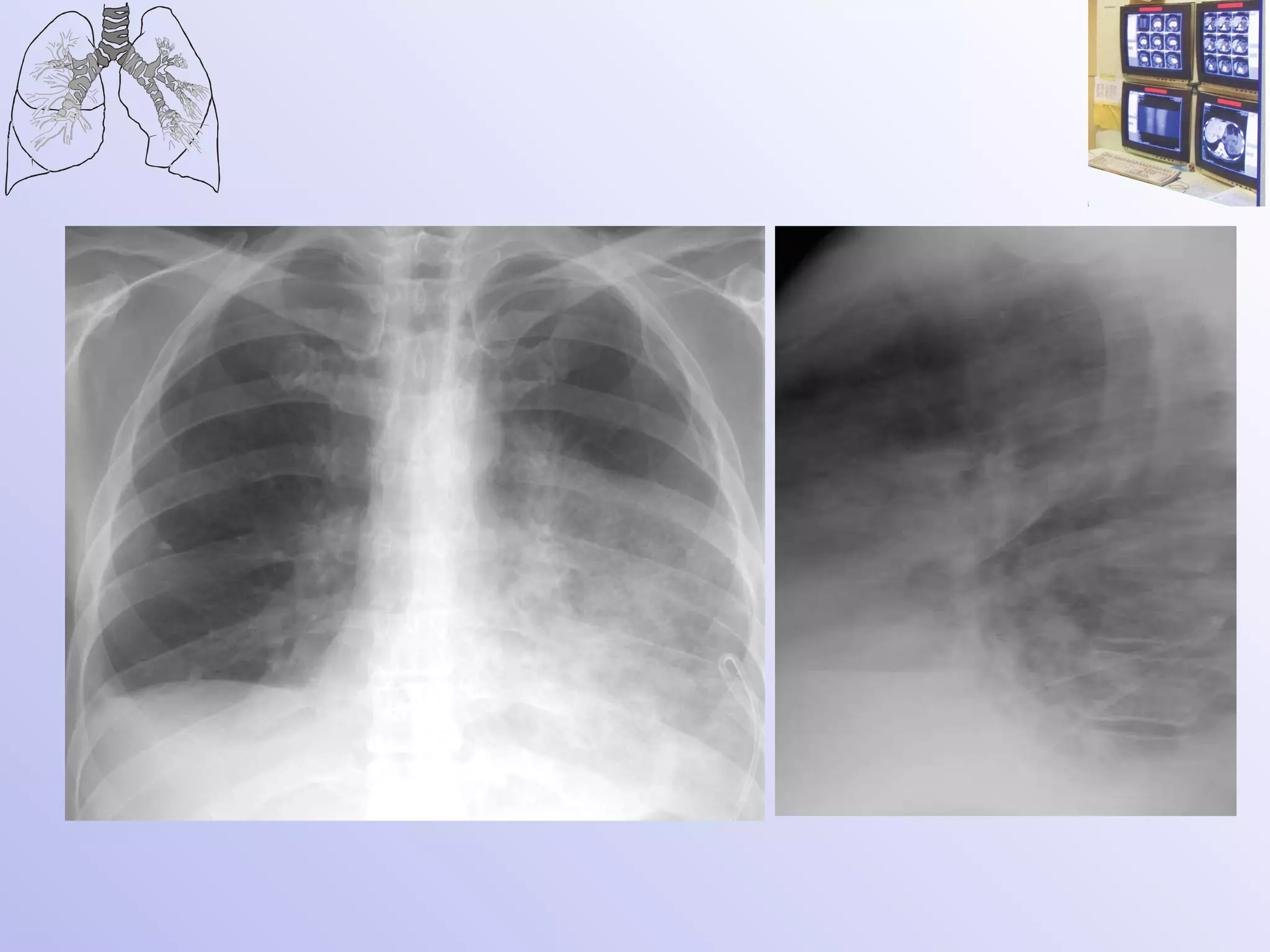
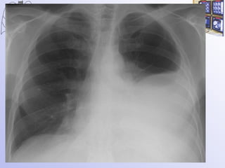
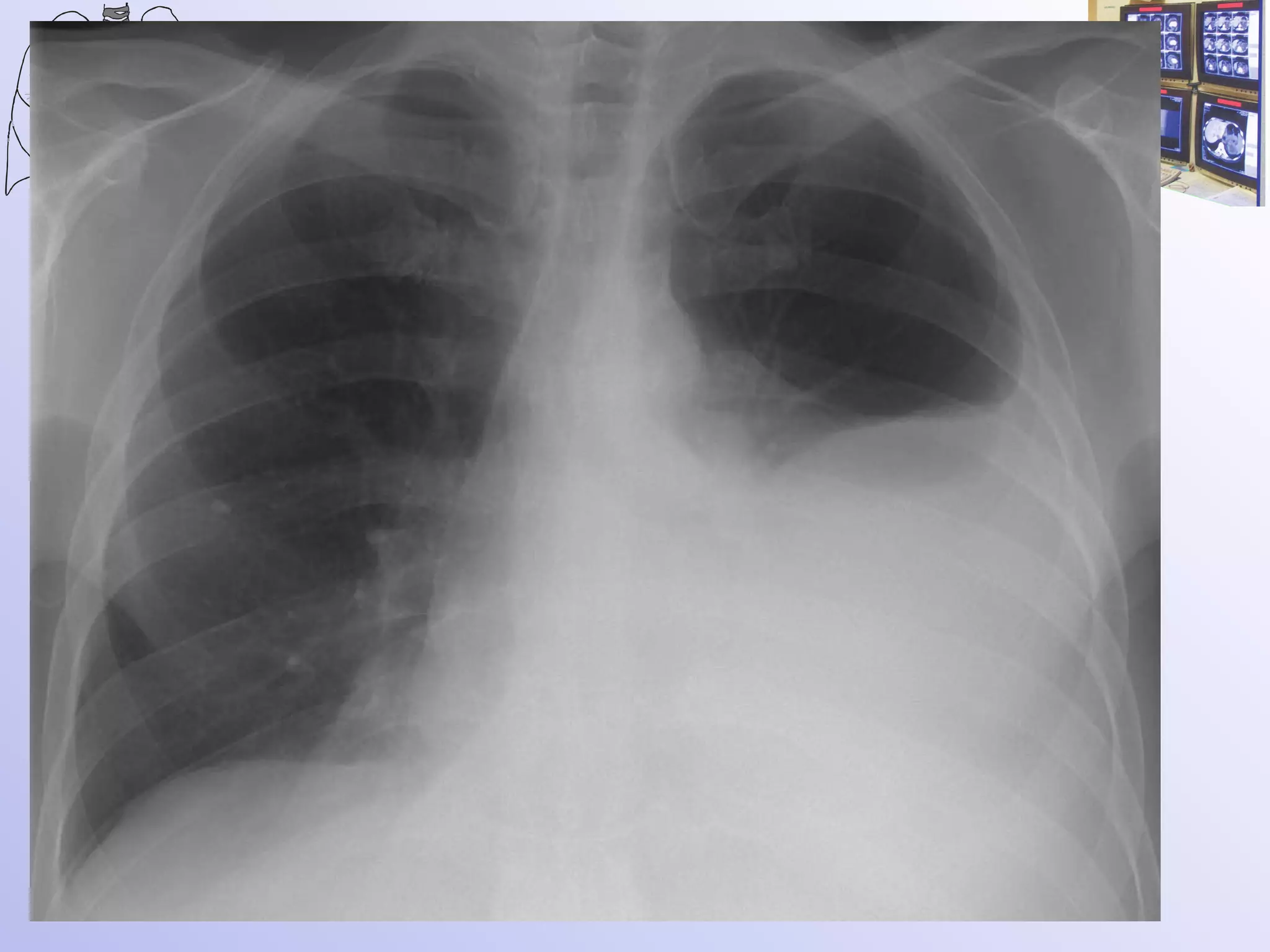
Центральный рак -эндобронхиальная  форма роста опухоли
Центральный рак -эндобронхиальная форма роста опухоли
Центральный рак Ателектаз
Рентгенологические проявления при спадении сегмента или доли: Спавшийся сегмент выглядит как затемнение. Границы средостения, сердца или диафрагмы  не дифференцируются, из-за отсутствия прилежащий воздушной легочной ткани. Изменение положения средостения, диафрагмы.
Рентгенологическая картина при эндобронхиальном росте опухоли: Просвет бронха - конически сужен  обтурирован опухолью.  Сближение сосудов в дистальнее расположенном участке. Уменьшение объема дренируемого участка – гиповентиляция. Ателектаз.
Центральный рак - экзобронхиальная форма  роста опухоли
Центральный рак - экзобронхиальная форма  роста опухоли
Рентгенологическая картина при  экзобронхиальном росте опухоли: Узловое образование в прикорневой зоне.  Поверхность бугристая.  Контуры лучистые или тяжистые.  Просвет бронха сужен и деформирован. Гиповентиляция.  Увеличенные лимфатические узлы в корне.
Центральный рак - перибронхиальная форма  роста опухоли
Центральный рак - перибронхиальная форма роста опухоли
Мелкоклеточный рак легкого 8  октября 28 августа
Мелкоклеточный рак легкого 7 сентября
Мелкоклеточный рак легкого
Рентгенологическая картина при перибронхиальном росте опухоли: Опухоль стелется по ходу бронхов и сосудов. Грубые тяжи расходятся от корня легкого.  Стенки бронхов утолщены. Просветы бронхов неравномерно сужены. Остроконечная культя образуется крайне редко. Нарушения вентиляции обычно не отмечается.
Центральный рак - смешанная форма роста опухоли
Центральный рак - смешанная форма роста опухоли
Центральный рак - смешанная форма роста опухоли
Центральный рак - смешанная форма роста опухоли
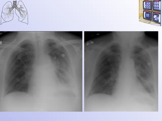
Рак легкого в молодом возрасте
Рак легкого  в молодом возрасте
Рак легкого  в молодом возрасте
Рак легкого  в молодом возрасте
Рак легкого  в молодом возрасте
Рак легкого  в молодом возрасте
Рак легкого  в молодом возрасте
Рентгенологические и КТ признаки центрального рака легкого Узел в прикорневой зоне Коническое сужение или культя (ампутация) бронха Нарушение бронхиальной проходимости Параканкрозная пневмония Увеличение внутригрудных лимфатических узлов Выпот в плевральной полости
Злокачественная нейроэндокринная опухоль - смешанная форма роста
Злокачественная нейроэндокринная опухоль - смешанная форма роста
КТА позволяет: Отдифференцировать лимфатические узлы от сосудов корня и средостения. Оценить распространенность процесса при выходе его за пределы лимфатического узла. Оценить распространенность опухолевого процесса на сосудистые структуры: сдавление, врастание, обтурацию.
Карциноид центральный
Центральный типичный карциноид
Внутрибронхиальные доброкачественные опухоли Эпителиальные: аденомы бронхов, папилломы (мягкие и твердые) Неэпителиальные: гамартомы, фибромы, миомы, липомы, ангиомы, остеомы и др.
Типы роста и варианты расположения аденом бронха   (Hamperl H.) эндобронхиальный интрамуральный преимущественно экстрабронхиальный
Клиническая симптоматика доброкачественных опухолей бронхов: Длительный кашель, часто с выделением гнойной мокроты. Кровохарканье. Медленно нарастающая одышка. Повторные односторонние пневмонии.
Опухоль правого главного бронха
Опухоль правого главного бронха
Опухоль правого главного бронха
Затемнения анатомических структур обусловлены: нарушением вентиляции, воспалительными процессами, пороками, связанными с недоразвитием бронхиального дерева.
1 степень бронхостеноза Частичная закупорка:   уменьшение объема,  снижение прозрачности, сгущение легочного рисунка.
2 степень бронхостеноза Клапанная закупорка бронха - на вдохе воздух проникает через стенозированный участок, а на выдохе полностью не выходит. В рентгеновском изображении: сегмент, доля или легкое увеличены в объеме, прозрачность их повышена, органы средостения оттеснены в здоровую сторону, диафрагма на стороне поражения опущена.
3 степень бронхостеноза Полная закупорка бронха: уменьшение объема пораженного сегмента, доли или легкого, однородное его затемнение.
Ателектаз - -  уменьшение объема, спавшейся, незаполненной воздухом легочной ткани. Причины ателектаза: обструкция бронха-  обтурационный ателектаз; внешнее сдавление легочной ткани-компрессионный ателектаз.
Ателектаз
Ателектаз  ?
Причины сдавления легочной ткани: Жидкость в плевральной полости. Воздух в плевральной полости. Подъем диафрагмы. Деформация грудной клетки. Умышленное сдавление при хирургическом вмешательстве (торакопластика, олеоторакс).
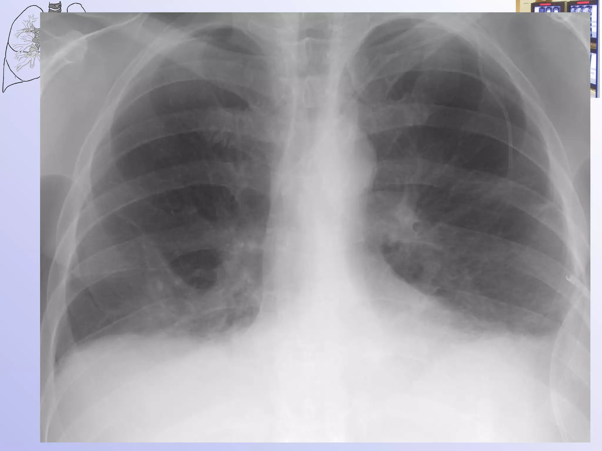
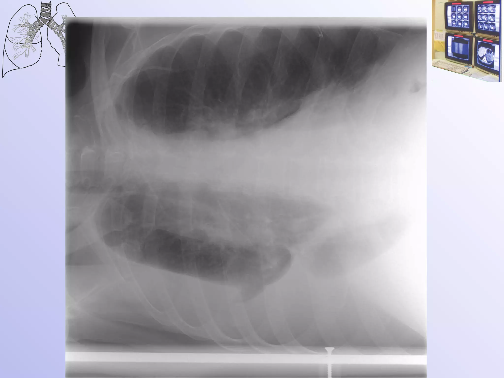
Ателектаз? Плеврит?
После пункции
 
 
 
 
Ателектаз? Плеврит?
 
Процессы, протекающие в легком при нарушении вентиляции: Ретенция -  скопление бронхиального секрета, расширение бронхов. Экссудация -  после резорбции воздуха,  накапливается богатый белком экссудат. Инфицирование -  развитие микроорганизмов. Деструкция -  гнойное расплавление участка легкого.
Осложнения рака легкого Нарушение бронхиальной проходимости Паралич диафрагмального нерва Пневмонии и распад легочной ткани Метастазирование в регионарные лимфатические узлы Плеврит

Лучевая диагностика центрального рака легкого