DEVELOPMENTAL
DISORDERS
Variety of gene defects may cause almost
identical clinical syndromes…
DEVELOPMENTAL DISORDERS
• CHONDRO-OSTEODYSTROPHIES
(Disorders of Cartilage & Bone growth)
• CONNECTIVE TISSUE DISORDERS
(Heritable defects of Collagen synthesis)
• METABOLIC DEFECTS
(decreased enzyme control ---- genetic disorder)
Dysplasias
with
Physeal &
Metaphysea
l changes
Dysplasias
with
Epiphyseal
changes
Dysplasias
with
Diaphysea
l changes
Combined
& mixed
Dysplasias
CHONDRO-
OSTEODYSTROPHIES
(Disorders of
cartilage & bone
growth)
PHYSEAL & METAPHYSEAL CHANGES
1) Hereditary Multiple Exostosis (Diaphyseal Aclasis)
2) Achondroplasia
3) Hypochondroplasia
4) Dyschondrosteosis
5) Metaphyseal Chondrodysplasia (Dysostosis)
6) Dyschondroplasia(Enchondromatosis/Ollier’s disease)
7) Mafucci’s syndrome
Hereditary Multiple Exostosis
Hard lumps (enlarge later) at ends of long bones and
along apophyseal borders of scapula / pelvis. (lumps
pressure on nerve/vessels).
severely affected bones become short.
Typical:
Wrist ulnar deviation, Radius bowing/subluxation,
Valgus knees/ankles
Unrestricted transverse growth of cartilagenous
physis (growth late)– Exostosis
Treatment:
Removal of exostosis.
Osteotomy for deformities .
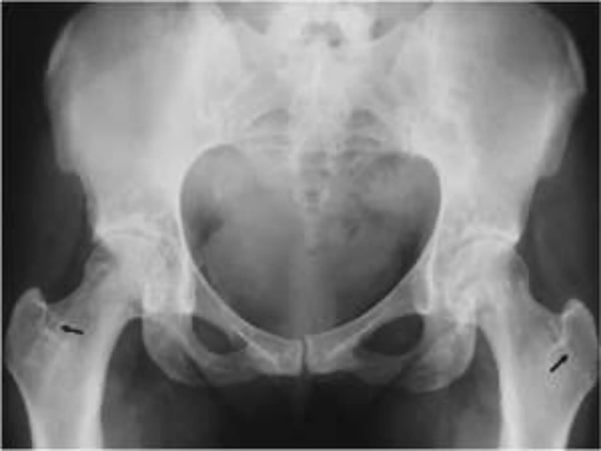
Achondroplasia (commonest short stature)
• Stunted growth,
• limbs short proximal segment/large skull with
prominent forehead and saddle shaped nose
• Fingers stubby(trident hands)
• Joint laxity
• Thoracolumbar kyphosis in (infants) disappears
later in a year
• Trunk longer than limbs (childhood)
• Back lordosis, buttock prominent
• (adulthood) vetebral pedicles shortening-
ivdp/stenosis
Abnormality of endochondral
longitudinal growth, tubular
bone shortening. Membrane
bone formation(skull) is
unaffected.
Treatment: under cord
compression, operative
correction.
Hypochondroplasia
• Mild form of
achondroplasia
• Stocky individuals
• Xray : pelvis flattening
thickening of long
bones
Treatment:
Limb lengthening
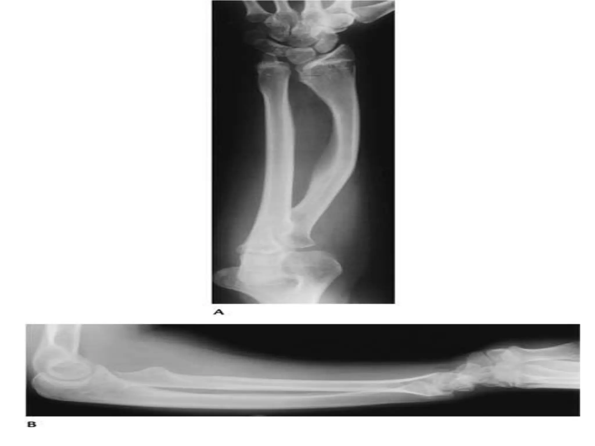
Dyschondrodystosis
Disproportionate shortening of limbs.
Middle segments (forearm/leg) are
affected.
stature reduced but not as in
achondroplasia.
Xray: short forearm/leg
bow radius
madelung’s deformity of
wrist
Treatment:
operative
Metaphyseal chondrodysplasia (dysostosis)
Short limb dwarfism
Resembles rickets
Bilateral coxa vara
Bowed legs
Waddling gait
Deformities @ hip/knee
Sub types:
SCHMID
McKUSICK
JANSEN
SCHMID TYPE
CLASSICAL FEATURES (autosomal dominant)
McKUSICK TYPE (autosomal recessive)
Associated with sparse hair growth
JANSEN TYPE (RARE SPORADIC)
PRESENT WITH DEAFNESS
Dyschondroplasia /Enchondromatosis/Ollier’s disease
Rare but easily recognised
Defective transformation of
physeal cartilage into bone
unilateral short limb
Valgus/varus deformity
knee/ankle
Shortened ulna
Bowing radius
Crippled hand
(Fingers/toes have multiple
enchondromata characteristic
of disease)
Mafucci’s syndrome(rare)
characterised by multiple
enchondromas.
Soft tissue
haemangiomas
(skin/viscera).
Malignant changes in
soft tissue and bone
lesions.
EPIPHYSEAL CHANGES
1) Multiple Epiphyseal Dysplasia (MED)
2) Spondyloepiphyseal Dysplasia (SED)
3) Dysplasia Epiphysealis Hemimelica (Trevor’s disease)
4) Chondrodysplasia Punctata (slipped epiphysis) or
(Conradi’s disease)
Multiple Epiphyseal Dysplasia
• Mild anatomical abnormalities to severe crippling
condition
• Vertebrae are not at all affected (slightly)
• Lower limbs short compared to trunk
• Waddling gait
• Hip/knee pain
• In hips mistaken to perthes disease
• @ maturity femoral/humerus head/condyles flattened
• Treatment: osteotomy/corrective /reconstructive
surgery.
SPONDYLO EPIPHYSEAL DYSPLASIA
• Vertebral changes(platyspondyly)
• Delayed ossification (irregular ring epiphyses)
• Indentation of endplates(schmorl nodes)
• Sub types:
SED Congenita (autosomal dominant)
infancy, neck hardly present, barrel chest,
short limbs, odontoid hypoplasia
scoliosis/lordosis
SED Tarda (x-linked recessive)
diagnosed only after 5 years
barrel chest
backache
CONGENITA TARDA
DYSPLASIA EPIPHYSEALIS HEMIMELICA
(TREVOR’S DISEASE)
• Hemi dysplasia (only one limb) or (one half
medial/lateral)
• Mostly knee/ankle (mostly in boys)
• Bone swelling on one side of the joint.
• Treatment:
Excess bone removed.
CHONDRO DYSPLASIA PUNCTATA
(SLIPPED EPIPHYSES) or (CONRADI’S DISEASE)
• Multisystem disorder
• Facial abnormalities, vertebral anamolies,
• Asymmetrical epiphyseal changes, bone changes
• Severe cases (cardiac abnormalities, cataracts, mental
retardation)
• X-ray: punctate stippling of cartilagenous epiphyses & apophyses
upto 4 years, later disappear and follow epiphyseal irregularities and
dysplasia.
Stippled epiphyses
DIAPHYSEAL CHANGES
1) Metaphyseal Dysplasia (Pyle’s disease)
2) Craniometaphyseal Dysplasia
3) Osteopetrosis (Marble’s bones)(Albers Schonberg disease)
4) Diaphyseal Dysplasia (Engelmann’s) or (Camurati’s disease)
5) Craniodiaphyseal Dysplasia
6) Pyknodysostosis
7) a) Melorheostasis (Leri’s disease) (Candle bones)
b) Osteopoiklosis (Spotted bones)
c) Osteopathia striata (Stripped bones)
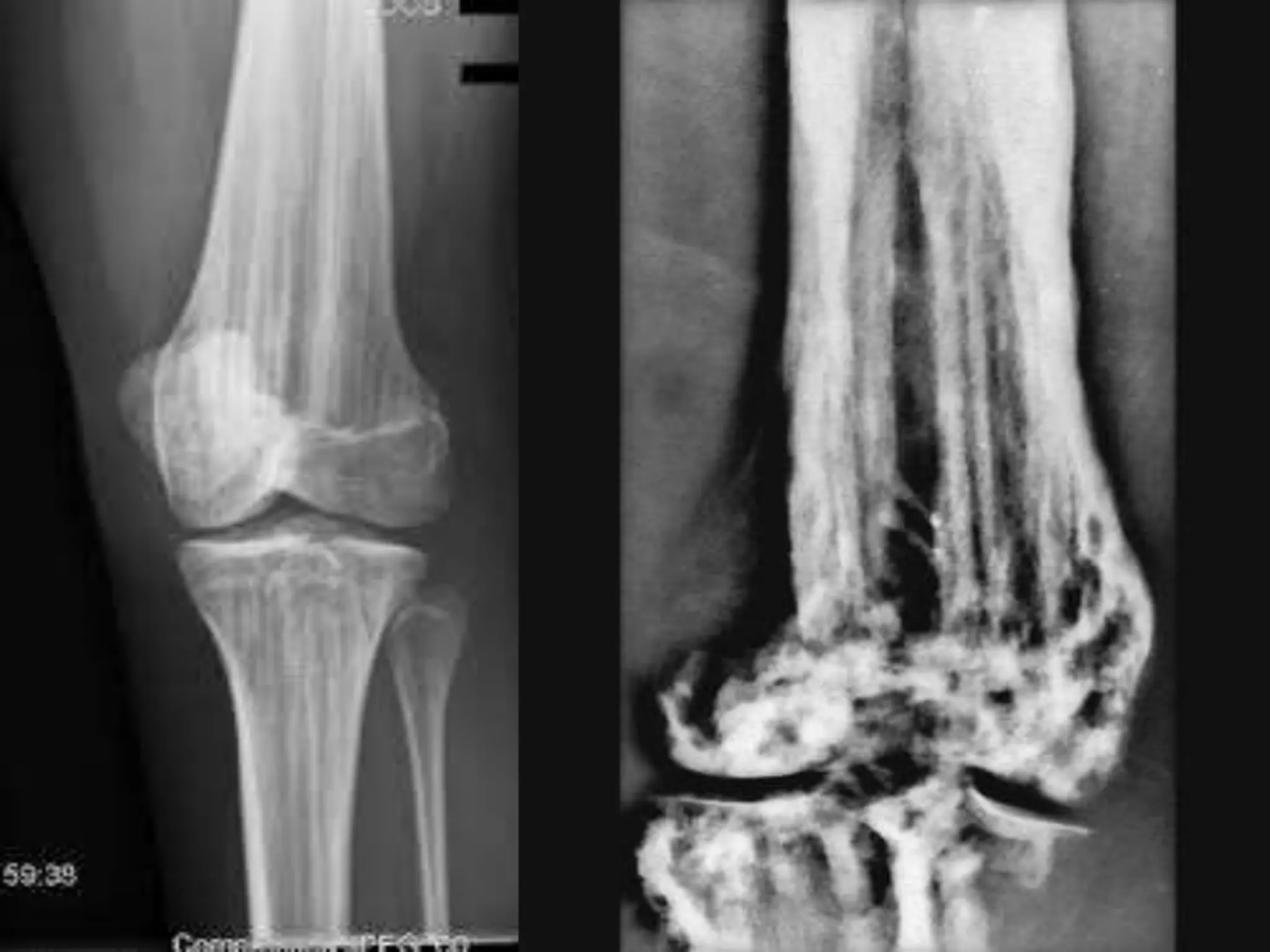
METAPHYSEAL
DYSPLASIA (PYLE’S
DISEASE)
Autosomal Recessive.
significant feature is
genu valgum.
X-ray : bottle shaped
distal femur/proximal
tibia
(Erlenmeyer Flask
Deformity)
Erlenmeyer flask “Bottle shape”
distal femur/proximal tibia
Craniometaphyseal Dysplasia
• Autosomal dominant
• Proximal forehead(thickening of skull &
mandible.)
• Large jaw
• Squashed nose
• Foraminal occlusion may occur.
Craniometaphyseal dysplasia
OSTEOPETROSIS
(MARBLE BONES/ ALBERS SCHONBERG DISEASE)
• Thickening & increased density of bones
• Two types
• a) osteopetrosis tarda
seldom symptoms,
discovered in adulthood(after fracture/x-ray),
vertebral end plates sclerosed & shows
stripped appearance (Rugger- Jersey Spine)
• b) osteopetrosis congenita
rare (autosomal recessive)
pancytopenia, haemolysis, anaemia,
hepatosplenomegaly,
optic nerve palsy/facial nerve palsy,
Repeated haemorrhage leads to death
OSTEOPETROSIS TARDA
OSTEOPETROSIS AUTOSOMAL DOMINANT
OSTEOPETROSIS CONGENITA (AUTOSOMAL
RECESSIVE)
OSTEOPETROSIS CONGENITA
DIAPHYSEAL DYSPLASIA
(ENGELMANN’S or CAMURATI’S DISEASE)
• Rare
• X-ray :
• Fusiform widening of
bones
• sclerosis of shaft of long
bones
• muscle pain/weakness
• waddling gait
Camurati’s disease
CRANIODIAPHYSEAL DYSPLASIA
• Rare , autosomal
recessive
• Cylindrical
expression of bone
• Prominent facial
contours in
childhood-
striking features -
LEONTIASIS
• Foraminal
occlusion may
cause deafness/
visual impairment.
PYKNODYSOSTOSIS
• Short stature
• Frontal bossing
• Mandible underdevelopment
• Abnormal dentition
• X-Ray: skull enlarged with wide sutures/ open
fontanellae
• Facial/mandible hypoplastic --- triangled facies
CANDLE BONES (MELORHEOSTASIS / LERI’S DISEASE)
• Rare, Non
Familial
• Discovered
accidently with
pain & stiffness
of limb
• X-ray : Patch of
sclerosis appears
as a burning
candle with wax
that congeals
OSTEOPOIKLOSIS (SPOTTED BONES)
X-Rays: white spots through skeleton
STRIPPED BONES (OSTEOPATHIA STRIATA)
• X-RAYS :
• Inceased density
parallel to shaft.
• Radiates like a fan
in pelvis
COMBINED & MIXED DYSPLASIAS
shows mixture of epiphyseal, metaphyseal & vertebral defects
1) Spondylometaphyseal Dysplasia
2) Pseudo Achondroplasia
3) Diastrophic Dysplasia (recessive)
4) Cleidocranial Dysplasia (dominant)
5) Nail-Patella syndrome (dominant)
6) Craniofacial Dysplasia
SPONDYLOMETAPHYSEAL DYSPLASIA
• Commonest
• platyspondyly
• kyphoscoliosis
PSEUDO ACHONDROPLASIA
• Rare
• Short limb Dwarf with ligament laxity
• c/f appear after 1 or 2 years
• Increased lordosis
• Bow leg
• Ovalshape vertebrae
DIASTROPHIC DYSPLASIA
Cartilage affected
Dwarf, distorted,
hand deformity (hitch hiker’s thumb)
Club feet
Joint contractures, dislocations,
Cauliflower ears
Cleft palate
Spinal fusion
Respiratory distress (due larynx cartilage)
CLEIDO-CRANIAL DYSPLASIA
Hypoplasia
of clavicle
Flat bones
Short, large
head,
Frontal
prominence,
Flat face,
drooping
shoulder
NAIL-PATELLA SYNDROME
• (dominant)
• Nail hypoplasia,
• Patella absent/small
• Radius head subluxed
• Elbows lack extension
• Congenital nephropathy
• Iliac blades have bony protrubrence (horns)
CRANIOFACIAL DYSPLASIA
• Odd face appearance
• Cranial suture fusion
• Exophthalamus
• Mental retardation
• Hand/feet abnormalities
• Apert’s syndrome (egg shape head)
• Acrocephalosyndactyly
• Syndactyly of rays
CONNECTIVE TISSUE DISORDERS
(Hereitable defects of Collagen synthesis)
1) Generalized Joint Laxity (familial)
2) Marfan’s syndrome
3) Ehler’s Danlos syndrome
4) Larsen’s syndrome
5) Osteogenesis imperfecta (brittle bones)
6) Fibrodysplasia Ossificans progressiva
(Myositis Ossificans progressiva)
7) Neurofibromatosis
Generalized Joint Laxity
• Joint hyper mobility
passive hyper-extensive of mcp joints beyond 90
degree.
passive stretching of thumb to touch front forearm
Hyperextension of elbows & knees
Ability to bend forward & touch flat on floor with
hands
MARFAN’S SYNDROME
Due to cross linkage defect in collagen and elastin
(genetic mapping is fibrillin gene on chromosome 15)
c/f :
Tall with long legs and arms
Chest pectus excavatum(flat/hollowing)
Digits long(spider fingers- arachnodactyly)
Spine spondylolisthesis, scoliosis
Flatfeet
Associated: high arched palate, hernia, lens dislocation, retinal
detachment, aortic aneurysm, mitral/aortic incompetence, joint laxity
EHLERS DANLOS SYNDROME (dominant)
Abnormality in collagen & elastin
c/f: unusual skin laxity, joint hyper mobility, vascular
fragility,hypotonia
LARSEN’S SYNDROME
• Recessive
• Severe forms in infancy
joint laxity, hip dislocation, knee instability,
radial head subluxation, equinovarus feet, ‘dish’ face
• Spine deformities in older children
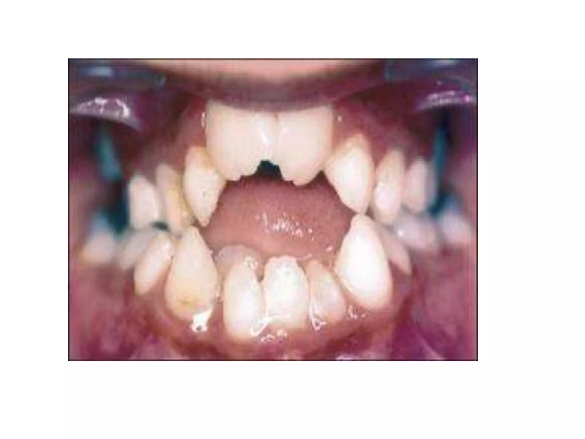
OSTEOGENESIS IMPERFECTA
(BRITTLE BONES)
Commonest genetic disorder of bone
Type 1 collagen (abnormal synthesis & structure)
Abnormalities of bones, teeth, sclerae and skin
c/f:
Osteopenia
Liability to fracture
Laxity of ligaments
Blue sclerae
Dentinogenesis imperfecta (crumbling teeth)
FIBRODYSPLASIA OSSIFICANS PROGRESSIVA
(MYOSITIS OSSIFICANS PROGRESSIVA)
Characterised by ossificans of muscle connective
tissue (trunk mostly)
Starts with fever & inflammation in early childhood
Associated : shortening of big toe & thumb
NEUROFIBROMATOSIS
• Commonest gene disorder affecting skeleton
• Type 1 (NF 1) = VON Reckling hausen’s disease
• (abnormality is in the gene which codes for neurofibromin on
chromosome 17)
characteristic lesions are --- schwann cell tumors(neuro fibromata)
patches of skin pigmentation (café-au-lait
spots)
Type 2 rare (gene defect which codes for
schwannomin on chromosome 22)
Scoliosis & soft tissues overgrowth
(elephantiasis)
Vertebral anamolies (scalloping of posterior
aspects of vertebral bodies, erosion of
pedicle,pencilling of ribs, i.v. foramin
enlargement)
METABOLIC DEFECTS
(decreased enzyme control ---- genetic disorder)
1) Mucopolysaccharidases
2) Gaucher’s disease
3) Homocystinuria
4) Alkaptonuria
5) Congenital hyperuricaemia (Lesch-Nyhan syndrome)
Mucopolysaccharidases MPS
• Due lack in enzyme, there will be stoppage in
degradation pathway of proteoglycans (GAG)
• C/F :
all are autosomal recessive except Hunter’s syndrome (x linked)
Short stature with vertebral deformity
Facies coarseness
Hepatosplenomegaly
Mental retardation
Out of 10 different disorders, 3 rare conditions are:
Hurler’s Hunter’s Morquiobrailsford syndrome
HURLER’S SYNDROME MPS-1
HURLER’S SYNDROME
• 2-3 Years (death in childhood)
• Kyphosis
• Protruding tongue
• Hearing loss
• Mental retarded
• Poor speech
• spatulate ribs/clavicles
• Coxa valga
• Cardiorespiratory problems
HUNTER’S SYNDROME MPS-2
HUNTER’S SYNDROME
• Less severe
• X linked
• Males affected
• Appear at 3 year
• Teenage death
• (similar to hurler’s)
MORQUIOBRAILSFORDS SYNDROME
• Walking delayed
• Protuberant sternum
• Hearing loss
• Face unaffected
• Genu valgum
• Odontoid hypoplasia
• Treatment : enzyme replacement, gene correction
MORQUIO BRAILSFORD SYNDROME
Gaucher’s disease
• Each tissue a cell dies, cell membrane releases
glucocerbroside which binds with dglucose
molecule.
• This bond is split by an enzyme glucosylceramide
betaglucosidase. Lack of enzyme causes
accumulation/enlargement of marrow,spleen,liver
• Rare form- cns affected causes death with in year
• Subacute form- hepatosplenomegaly
(neuro/skeletal abnormalities in childhood)
• Chronic form- pancytopenia
• c/f:
Bone pain, osteonecrosis(femur), distal
femur(erlenmeyer flask shape)
Treatment: symptomatic, enzyme replacement
c/f:
Bone pain,
osteonecrosis(femur), distal
femur(erlenmeyer flask
shape)
Treatment: symptomatic,
enzyme replacement
Homocystinuria
• Deficiency of enzyme cystathionine beta synthetase
and accumulation of homocysteine and methionine.
• c/f:
patients tall and thin (as in marfan’s disease)
Osteoporosis, mental retardation, thromboembolic
disease common
Treatment: can be cured by pyridoxine (B6)
Alkaptonuria
• Deficiency of enzyme homogentistic acid oxidase
and accumulation of homogentistic acid & executed
in urine.
• C/f:
• Alkaptonuria= urine turns dark
• Ochronosis=cartilage + other connective tissues are
grey stained
• Calcification of IVD.
Congenital hyperuricaemia
(Lesch-Nyhan syndrome)
• Rare x-linked recessive
• Absence of enzyme hypoxanthine guanine phospho
ribosyl transferase (HGPRT)
• Results in excessive uric acid and gout
• c/f:
• Young boys mental retardation and prone to self
Mutilation (gnawing the ends of teeth)
Mild cases with severe gout.
Thank
you

Developmental disorders

  • 2.
    DEVELOPMENTAL DISORDERS Variety of genedefects may cause almost identical clinical syndromes…
  • 3.
    DEVELOPMENTAL DISORDERS • CHONDRO-OSTEODYSTROPHIES (Disordersof Cartilage & Bone growth) • CONNECTIVE TISSUE DISORDERS (Heritable defects of Collagen synthesis) • METABOLIC DEFECTS (decreased enzyme control ---- genetic disorder)
  • 4.
    Dysplasias with Physeal & Metaphysea l changes Dysplasias with Epiphyseal changes Dysplasias with Diaphysea lchanges Combined & mixed Dysplasias CHONDRO- OSTEODYSTROPHIES (Disorders of cartilage & bone growth)
  • 5.
    PHYSEAL & METAPHYSEALCHANGES 1) Hereditary Multiple Exostosis (Diaphyseal Aclasis) 2) Achondroplasia 3) Hypochondroplasia 4) Dyschondrosteosis 5) Metaphyseal Chondrodysplasia (Dysostosis) 6) Dyschondroplasia(Enchondromatosis/Ollier’s disease) 7) Mafucci’s syndrome
  • 6.
    Hereditary Multiple Exostosis Hardlumps (enlarge later) at ends of long bones and along apophyseal borders of scapula / pelvis. (lumps pressure on nerve/vessels). severely affected bones become short. Typical: Wrist ulnar deviation, Radius bowing/subluxation, Valgus knees/ankles Unrestricted transverse growth of cartilagenous physis (growth late)– Exostosis Treatment: Removal of exostosis. Osteotomy for deformities .
  • 9.
    Achondroplasia (commonest shortstature) • Stunted growth, • limbs short proximal segment/large skull with prominent forehead and saddle shaped nose • Fingers stubby(trident hands) • Joint laxity • Thoracolumbar kyphosis in (infants) disappears later in a year • Trunk longer than limbs (childhood) • Back lordosis, buttock prominent • (adulthood) vetebral pedicles shortening- ivdp/stenosis
  • 10.
    Abnormality of endochondral longitudinalgrowth, tubular bone shortening. Membrane bone formation(skull) is unaffected. Treatment: under cord compression, operative correction.
  • 13.
    Hypochondroplasia • Mild formof achondroplasia • Stocky individuals • Xray : pelvis flattening thickening of long bones Treatment: Limb lengthening
  • 17.
    Dyschondrodystosis Disproportionate shortening oflimbs. Middle segments (forearm/leg) are affected. stature reduced but not as in achondroplasia. Xray: short forearm/leg bow radius madelung’s deformity of wrist Treatment: operative
  • 20.
    Metaphyseal chondrodysplasia (dysostosis) Shortlimb dwarfism Resembles rickets Bilateral coxa vara Bowed legs Waddling gait Deformities @ hip/knee Sub types: SCHMID McKUSICK JANSEN
  • 21.
    SCHMID TYPE CLASSICAL FEATURES(autosomal dominant)
  • 24.
    McKUSICK TYPE (autosomalrecessive) Associated with sparse hair growth
  • 25.
    JANSEN TYPE (RARESPORADIC) PRESENT WITH DEAFNESS
  • 26.
    Dyschondroplasia /Enchondromatosis/Ollier’s disease Rarebut easily recognised Defective transformation of physeal cartilage into bone unilateral short limb Valgus/varus deformity knee/ankle Shortened ulna Bowing radius Crippled hand (Fingers/toes have multiple enchondromata characteristic of disease)
  • 30.
    Mafucci’s syndrome(rare) characterised bymultiple enchondromas. Soft tissue haemangiomas (skin/viscera). Malignant changes in soft tissue and bone lesions.
  • 34.
    EPIPHYSEAL CHANGES 1) MultipleEpiphyseal Dysplasia (MED) 2) Spondyloepiphyseal Dysplasia (SED) 3) Dysplasia Epiphysealis Hemimelica (Trevor’s disease) 4) Chondrodysplasia Punctata (slipped epiphysis) or (Conradi’s disease)
  • 35.
    Multiple Epiphyseal Dysplasia •Mild anatomical abnormalities to severe crippling condition • Vertebrae are not at all affected (slightly) • Lower limbs short compared to trunk • Waddling gait • Hip/knee pain • In hips mistaken to perthes disease • @ maturity femoral/humerus head/condyles flattened • Treatment: osteotomy/corrective /reconstructive surgery.
  • 38.
    SPONDYLO EPIPHYSEAL DYSPLASIA •Vertebral changes(platyspondyly) • Delayed ossification (irregular ring epiphyses) • Indentation of endplates(schmorl nodes) • Sub types: SED Congenita (autosomal dominant) infancy, neck hardly present, barrel chest, short limbs, odontoid hypoplasia scoliosis/lordosis SED Tarda (x-linked recessive) diagnosed only after 5 years barrel chest backache
  • 41.
  • 43.
    DYSPLASIA EPIPHYSEALIS HEMIMELICA (TREVOR’SDISEASE) • Hemi dysplasia (only one limb) or (one half medial/lateral) • Mostly knee/ankle (mostly in boys) • Bone swelling on one side of the joint. • Treatment: Excess bone removed.
  • 46.
    CHONDRO DYSPLASIA PUNCTATA (SLIPPEDEPIPHYSES) or (CONRADI’S DISEASE) • Multisystem disorder • Facial abnormalities, vertebral anamolies, • Asymmetrical epiphyseal changes, bone changes • Severe cases (cardiac abnormalities, cataracts, mental retardation) • X-ray: punctate stippling of cartilagenous epiphyses & apophyses upto 4 years, later disappear and follow epiphyseal irregularities and dysplasia.
  • 50.
  • 51.
    DIAPHYSEAL CHANGES 1) MetaphysealDysplasia (Pyle’s disease) 2) Craniometaphyseal Dysplasia 3) Osteopetrosis (Marble’s bones)(Albers Schonberg disease) 4) Diaphyseal Dysplasia (Engelmann’s) or (Camurati’s disease) 5) Craniodiaphyseal Dysplasia 6) Pyknodysostosis 7) a) Melorheostasis (Leri’s disease) (Candle bones) b) Osteopoiklosis (Spotted bones) c) Osteopathia striata (Stripped bones)
  • 52.
    METAPHYSEAL DYSPLASIA (PYLE’S DISEASE) Autosomal Recessive. significantfeature is genu valgum. X-ray : bottle shaped distal femur/proximal tibia (Erlenmeyer Flask Deformity)
  • 53.
    Erlenmeyer flask “Bottleshape” distal femur/proximal tibia
  • 54.
    Craniometaphyseal Dysplasia • Autosomaldominant • Proximal forehead(thickening of skull & mandible.) • Large jaw • Squashed nose • Foraminal occlusion may occur.
  • 55.
  • 57.
    OSTEOPETROSIS (MARBLE BONES/ ALBERSSCHONBERG DISEASE) • Thickening & increased density of bones • Two types • a) osteopetrosis tarda seldom symptoms, discovered in adulthood(after fracture/x-ray), vertebral end plates sclerosed & shows stripped appearance (Rugger- Jersey Spine) • b) osteopetrosis congenita rare (autosomal recessive) pancytopenia, haemolysis, anaemia, hepatosplenomegaly, optic nerve palsy/facial nerve palsy, Repeated haemorrhage leads to death
  • 58.
  • 59.
  • 62.
  • 63.
  • 64.
    DIAPHYSEAL DYSPLASIA (ENGELMANN’S orCAMURATI’S DISEASE) • Rare • X-ray : • Fusiform widening of bones • sclerosis of shaft of long bones • muscle pain/weakness • waddling gait
  • 65.
  • 66.
    CRANIODIAPHYSEAL DYSPLASIA • Rare, autosomal recessive • Cylindrical expression of bone • Prominent facial contours in childhood- striking features - LEONTIASIS • Foraminal occlusion may cause deafness/ visual impairment.
  • 70.
    PYKNODYSOSTOSIS • Short stature •Frontal bossing • Mandible underdevelopment • Abnormal dentition • X-Ray: skull enlarged with wide sutures/ open fontanellae • Facial/mandible hypoplastic --- triangled facies
  • 74.
    CANDLE BONES (MELORHEOSTASIS/ LERI’S DISEASE) • Rare, Non Familial • Discovered accidently with pain & stiffness of limb • X-ray : Patch of sclerosis appears as a burning candle with wax that congeals
  • 78.
    OSTEOPOIKLOSIS (SPOTTED BONES) X-Rays:white spots through skeleton
  • 80.
    STRIPPED BONES (OSTEOPATHIASTRIATA) • X-RAYS : • Inceased density parallel to shaft. • Radiates like a fan in pelvis
  • 83.
    COMBINED & MIXEDDYSPLASIAS shows mixture of epiphyseal, metaphyseal & vertebral defects 1) Spondylometaphyseal Dysplasia 2) Pseudo Achondroplasia 3) Diastrophic Dysplasia (recessive) 4) Cleidocranial Dysplasia (dominant) 5) Nail-Patella syndrome (dominant) 6) Craniofacial Dysplasia
  • 84.
    SPONDYLOMETAPHYSEAL DYSPLASIA • Commonest •platyspondyly • kyphoscoliosis
  • 86.
    PSEUDO ACHONDROPLASIA • Rare •Short limb Dwarf with ligament laxity • c/f appear after 1 or 2 years • Increased lordosis • Bow leg • Ovalshape vertebrae
  • 88.
    DIASTROPHIC DYSPLASIA Cartilage affected Dwarf,distorted, hand deformity (hitch hiker’s thumb) Club feet Joint contractures, dislocations, Cauliflower ears Cleft palate Spinal fusion Respiratory distress (due larynx cartilage)
  • 91.
    CLEIDO-CRANIAL DYSPLASIA Hypoplasia of clavicle Flatbones Short, large head, Frontal prominence, Flat face, drooping shoulder
  • 93.
    NAIL-PATELLA SYNDROME • (dominant) •Nail hypoplasia, • Patella absent/small • Radius head subluxed • Elbows lack extension • Congenital nephropathy • Iliac blades have bony protrubrence (horns)
  • 97.
    CRANIOFACIAL DYSPLASIA • Oddface appearance • Cranial suture fusion • Exophthalamus • Mental retardation • Hand/feet abnormalities • Apert’s syndrome (egg shape head) • Acrocephalosyndactyly • Syndactyly of rays
  • 99.
    CONNECTIVE TISSUE DISORDERS (Hereitabledefects of Collagen synthesis) 1) Generalized Joint Laxity (familial) 2) Marfan’s syndrome 3) Ehler’s Danlos syndrome 4) Larsen’s syndrome 5) Osteogenesis imperfecta (brittle bones) 6) Fibrodysplasia Ossificans progressiva (Myositis Ossificans progressiva) 7) Neurofibromatosis
  • 100.
    Generalized Joint Laxity •Joint hyper mobility passive hyper-extensive of mcp joints beyond 90 degree. passive stretching of thumb to touch front forearm Hyperextension of elbows & knees Ability to bend forward & touch flat on floor with hands
  • 103.
    MARFAN’S SYNDROME Due tocross linkage defect in collagen and elastin (genetic mapping is fibrillin gene on chromosome 15) c/f : Tall with long legs and arms Chest pectus excavatum(flat/hollowing) Digits long(spider fingers- arachnodactyly) Spine spondylolisthesis, scoliosis Flatfeet Associated: high arched palate, hernia, lens dislocation, retinal detachment, aortic aneurysm, mitral/aortic incompetence, joint laxity
  • 111.
    EHLERS DANLOS SYNDROME(dominant) Abnormality in collagen & elastin c/f: unusual skin laxity, joint hyper mobility, vascular fragility,hypotonia
  • 114.
    LARSEN’S SYNDROME • Recessive •Severe forms in infancy joint laxity, hip dislocation, knee instability, radial head subluxation, equinovarus feet, ‘dish’ face • Spine deformities in older children
  • 118.
    OSTEOGENESIS IMPERFECTA (BRITTLE BONES) Commonestgenetic disorder of bone Type 1 collagen (abnormal synthesis & structure) Abnormalities of bones, teeth, sclerae and skin c/f: Osteopenia Liability to fracture Laxity of ligaments Blue sclerae Dentinogenesis imperfecta (crumbling teeth)
  • 124.
    FIBRODYSPLASIA OSSIFICANS PROGRESSIVA (MYOSITISOSSIFICANS PROGRESSIVA) Characterised by ossificans of muscle connective tissue (trunk mostly) Starts with fever & inflammation in early childhood Associated : shortening of big toe & thumb
  • 129.
    NEUROFIBROMATOSIS • Commonest genedisorder affecting skeleton • Type 1 (NF 1) = VON Reckling hausen’s disease • (abnormality is in the gene which codes for neurofibromin on chromosome 17) characteristic lesions are --- schwann cell tumors(neuro fibromata) patches of skin pigmentation (café-au-lait spots)
  • 133.
    Type 2 rare(gene defect which codes for schwannomin on chromosome 22) Scoliosis & soft tissues overgrowth (elephantiasis) Vertebral anamolies (scalloping of posterior aspects of vertebral bodies, erosion of pedicle,pencilling of ribs, i.v. foramin enlargement)
  • 137.
    METABOLIC DEFECTS (decreased enzymecontrol ---- genetic disorder) 1) Mucopolysaccharidases 2) Gaucher’s disease 3) Homocystinuria 4) Alkaptonuria 5) Congenital hyperuricaemia (Lesch-Nyhan syndrome)
  • 138.
    Mucopolysaccharidases MPS • Duelack in enzyme, there will be stoppage in degradation pathway of proteoglycans (GAG) • C/F : all are autosomal recessive except Hunter’s syndrome (x linked) Short stature with vertebral deformity Facies coarseness Hepatosplenomegaly Mental retardation Out of 10 different disorders, 3 rare conditions are: Hurler’s Hunter’s Morquiobrailsford syndrome
  • 139.
  • 140.
    HURLER’S SYNDROME • 2-3Years (death in childhood) • Kyphosis • Protruding tongue • Hearing loss • Mental retarded • Poor speech • spatulate ribs/clavicles • Coxa valga • Cardiorespiratory problems
  • 141.
  • 142.
    HUNTER’S SYNDROME • Lesssevere • X linked • Males affected • Appear at 3 year • Teenage death • (similar to hurler’s)
  • 144.
    MORQUIOBRAILSFORDS SYNDROME • Walkingdelayed • Protuberant sternum • Hearing loss • Face unaffected • Genu valgum • Odontoid hypoplasia • Treatment : enzyme replacement, gene correction
  • 145.
  • 147.
    Gaucher’s disease • Eachtissue a cell dies, cell membrane releases glucocerbroside which binds with dglucose molecule. • This bond is split by an enzyme glucosylceramide betaglucosidase. Lack of enzyme causes accumulation/enlargement of marrow,spleen,liver • Rare form- cns affected causes death with in year • Subacute form- hepatosplenomegaly (neuro/skeletal abnormalities in childhood) • Chronic form- pancytopenia
  • 148.
    • c/f: Bone pain,osteonecrosis(femur), distal femur(erlenmeyer flask shape) Treatment: symptomatic, enzyme replacement
  • 153.
    c/f: Bone pain, osteonecrosis(femur), distal femur(erlenmeyerflask shape) Treatment: symptomatic, enzyme replacement
  • 157.
    Homocystinuria • Deficiency ofenzyme cystathionine beta synthetase and accumulation of homocysteine and methionine. • c/f: patients tall and thin (as in marfan’s disease) Osteoporosis, mental retardation, thromboembolic disease common Treatment: can be cured by pyridoxine (B6)
  • 161.
    Alkaptonuria • Deficiency ofenzyme homogentistic acid oxidase and accumulation of homogentistic acid & executed in urine. • C/f: • Alkaptonuria= urine turns dark • Ochronosis=cartilage + other connective tissues are grey stained • Calcification of IVD.
  • 167.
    Congenital hyperuricaemia (Lesch-Nyhan syndrome) •Rare x-linked recessive • Absence of enzyme hypoxanthine guanine phospho ribosyl transferase (HGPRT) • Results in excessive uric acid and gout • c/f: • Young boys mental retardation and prone to self Mutilation (gnawing the ends of teeth) Mild cases with severe gout.
  • 172.