COÄNG HÖÔÛNG TÖØ
KHÔÙP VAI - KHÔÙP GOÁI
BS PHAN CHAÂU HAØ
Boä moân Chaån ñoaùn hình aûnh ÑHYDTPHCM
NOÄI DUNG
1. Caáu taïo maùy MRI
2. Nguyeân lyù hoaït ñoäng
3. Caùc chuoãi xung, maët caét thöôøng duøng
khaûo saùt khôùp vai-goái
4. MRI khớp gối
5. MRI khớp vai
CAÁU TAÏO MAÙY CHT
• Nam chaâm:
Đoä lôùn töø tröôøng: 0,2 T – 2.0 T ; > 3 T
• Caùc cuoän cheânh töø
• Boä phaän phaùt/ thu tín hieäu soùng RF
• Heä thoáng xöû lyù tín hieäu
NGUYEÂN LYÙ HOAÏT ÑOÄNG
o - Ñaët beänh nhaân vaøo töø tröôøng
o - Gôûi ñeán 1 soùng radio: Nguyeân töû Hydro haáp
thu naêng löôïng soùng radio.
o - Taét soùng radio: Nguyeân töû Hydro phoùng thích
naêng löôïng. Moâ khaùc nhau haáp thuï vaø phoùng
thích naêng löôïng khaùc nhau Beänh nhaân phaùt
ra tín hieäu.
o - Thu nhaän tín hieäu, xöû lyù vaø taùi taïo hình aûnh
o - Ñieàu chænh caùc thoâng soá (vd thôøi gian
laëp laïi xung, thôøi gian thu tín hieäu, kieåu
xung…) => thu ñöôïc nhöõng hình aûnh khaùc
nhau, vôùi teân caùc hình aûnh töông öùng teân
caùc xung: T1W, T2W, Proton density,
…=> choïn xung toái ưu ñeå xem caáu truùc
caàn khaûo saùt.
o - Moät caáu truùc coù ñaëc ñieåm tín hieäu khaùc
nhau treân caùc chuoãi xung khaùc nhau giuùp
chaån ñoaùn toát hôn baûn chaát toån thöông
treân phim coäng höôûng töø.
CAÙC CHUOÃI XUNG, MAËT CAÉT THÖÔØNG
DUØNG KHAÛO SAÙT KHÔÙP VAI-GOÁI
• Caùc chuoãi xung thöôøng duøng:
-T1W : TR, TE ngaén (TR<500, TE<30) xem
tuyû xöông,…
-T2W, T2FS: TR, TE daøi (TR>1500, TE>80)
xem daây chaèng, gaân cô…
- Pd :TR daøi, TE ngaén xem suïn cheâm, suïn
khôùp, suïn baùnh cheø
- Med 3d xem suïn
- T1FS sau tieâm Gadolinium xem suïn vieàn
Caùc maët caét thöôøng duøng:
o Khôùp vai:
- Axial, Coronal Oblique, Sagittal
Oblique
o Khôùp goái:
- Axial, Coronal, Sagittal
PROTOCOL CHUÏP KHÔÙP GOÁI
• Axial TIRM, PdFS
• Sagittal T2W, PdFS
• Coronal T2FS, Med3d
• Ñoä daøy laùt caét # 4mm (tröø med3d 1.5mm-20%)
• Dist. Factor # 10%
PROTOCOL CHUÏP KHÔÙP VAI
* Khoâng tieâm thuoác töông phaûn noäi khôùp:
- Axial + Coronal Oblique + Sagittal Oblique T2FS,
PdFS
- Coronal T1W
- Ñoä daøy laùt caét # 3mm
- Dist. Factor # 10%
* Coù tieâm thuoác töông phaûn noäi khôùp:
- Axial + Coronal Oblique + Sagittal Oblique T2FS,
T1FS
- Coronal T1W
- Ñoä daøy laùt caét # 3mm
- Dist. Factor # 10%
Sag
Med3d
Sag
Pd
Cor T2FSSag T2WSag T1W
Ax T2FS
MRI KHÔÙP GOÁI
GIAÛI PHAÃU BÌNH THÖÔØNG
ACL & PCL
ACL PCL
ACL PCL
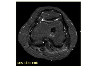
SUÏN BAÙNH CHEØ
ACL PCL
LCL
MCL, ITB
ITB PT
SUÏN CHEÂM
TOÅN THÖÔNG KHÔÙP GOÁI
TOÅN THÖÔNG DAÂY CHAÈNG CHEÙO
- Daây chaèng coù höôùng ñi baát thöôøng, maát lieân tuïc moät
phaàn, coù tín hieäu dòch cao treân T2W beân trong, daây
chaèng phuø daøy leân (toån thöông caáp) hay khoâng daøy (toån
thöông maïn).
- Maát lieân tuïc hoaøn toaøn, khoâng thaáy daây chaèng treân
phim.
Toån thöông caáp ACL
Ñöùt ACL
Toån thöông maïn ACL
ĐỨT HOAØN TOAØN ACL
ĐỨT HOAØN TOAØN ACL
ĐỨT MOÄT PHAÀN ACL
ĐỨT MOÄT PHAÀN ACL
ĐỨT HOAØN TOAØN PCL
ÑÖÙT MOÄT
PHAÀN PCL
ĐỨT HOAØN TOAØN PCL
TOÅN THÖÔNG DAÂY CHAÈNG BEÂN
Ñoä 1: Taêng tín hieäu/ T2W ôû moâ phía trong daây chaèng
(giaõn daây chaèng möùc ñoä nheï).
Ñoä 2: Taêng tín hieäu/ T2W ôû moâ phía trong daây chaèng
vaø beân trong daây chaèng (giaõn daây chaèng möùc
ñoä trung bình) hay ñöùt moät phaàn daây chaèng.
Ñoä 3: Daây chaèng ñöùt hoaøn toaøn.
Toån thöông ñoä I MCL
Toån thöông ñoä II LCL
Toån thöông ñoä III LCL
TOÅN THÖÔNG SUÏN
SUÏN CHEÂM HÌNH ÑÓA
• Bình thöôøng, thaân suïn cheâm daøy # 5-13mm
• Suïn cheâm hình ñóa: ≥ 3 laùt caét qua thaân suïn
cheâm treân Sagittal (beà daøy laùt caét # 4-5mm).
SUÏN CHEÂM HÌNH ÑÓA
SUÏN CHEÂM HÌNH ÑÓA
(Discoid meniscus)
THOAÙI HOÙA SUÏN CHEÂM
Taêng tín hieäu beân trong suïn cheâm khoâng lieân quan
ñeán maët khôùp treân vaø döôùi.
Thoaùi hoaù suïn cheâm
Thoaùi hoaù suïn cheâm
RAÙCH SUÏN CHEÂM
- Taêng tín hieäu beân trong suïn cheâm lieân
quan ñeán maët khôùp treân vaø döôùi.
- Chaån ñoaùn raùch suïn cheâm vaø daïng ñöôøng
raùch treân 3 maët phaúng Axial, Sagittal Pd
FS vaø Coronal Medic 3d. Xem suïn khôùp
treân 3 maët phaúng naøy, ñaëc bieät neân khaûo
saùt thaân suïn cheâm treân maët phaúng Coronal
beân caïnh Sagittal.
Thoaùi hoaù suïn cheâm •Raùch suïn cheâm
MRI giuùp xaùc ñònh vò trí suïn raùch vaø daïng ñöôøng
raùch:
- Vò trí raùch suïn: 1/3 trong, giöõa hay ngoaøi
- Daïng raùch:
o Horizontal tear
o Longitudinal tear
o Radial tear
o Flap tear
o Bucket handle tear
o Meniscocapsular separation
Horizontal tear
Longitudinal
tear
Flap tear
Flap tear
Radial tear
Radial tear
Bucket handle tear
Bucket handle tear
Bucket handle
tear
Bucket handle
tear
Bucket handle tear
Meniscocapsular
separation
NANG
SUÏN CHEÂM
NANG
SUÏN CHEÂM
NHUYEÃN SUÏN BAÙNH CHEØ
Toån thöông
suïn khôùp
OCD
TOÅN THÖÔNG KHAÙC
Vieâm hoaït maïc
VIEÂM
HOAÏT MAÏC
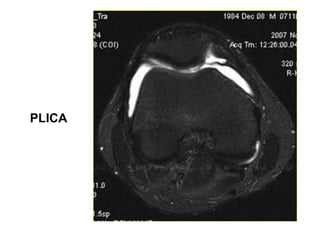
PLICA
PLICA
Daäp tuyû xöông
Baker’s cyst
VIEÂM BAO KHÔÙP GOÁI
Toån thöông gaân baùnh cheø
KHAÛO SAÙT KHÔÙP GOÁI SAU MOÅ
- Tín hieäu, söï lieân tuïc cuûa daây chaèng
- Höôùng daây chaèng
- Seïo xô, Cyclops lesion
ÑÖÙT ACL
BAÃY NGAÀM
Laàm raùch söøng tröôùc suïn cheâm ngoaøi vôùi phaàn daây
chaèng ngang baùm vaøo phía tröôùc suïn cheâm.
Aûnh giaû raùch suïn cheâm do maïch ñaäp cuûa ÑM khoeo
Giaû raùch söøng tröôùc suïn cheâm ngoaøi: suïn cheâm
ngoaøi loám ñoám do caùc sôïi cuûa ACL baùm vaøo.
Laàm raùch söøng sau suïn cheâm ngoaøi vôùi phaàn
daây chaèng suïn cheâm-ñuøi baùm vaøo suïn cheâm.
Magic-angle phenonenon: do söøng sau suïn
cheâm ngoaøi doác leân 55 ñoä.
Giaû raùch söøng sau suïn cheâm ngoaøi do laàm vôùi
gaân cô khoeo.
MRI KHÔÙP VAI
MRI arthrography
- MRI laø phương tieän quan troïng, höõu ích
trong chaån ñoaùn caùc toån thöông vuøng vai.
- MR Arthrography laø KT khaûo saùt thöông
toån khôùp vai hieäu quaû, phoå bieán hieän nay
treân theá giôùi.
- 1992, Traughber và Goodwin :
MRI kinh điển / rách bán phần gân cơ chóp
xoay (có kiểm chứng bằng nội soi khớp) : ñoä
nhaïy laø 56-72%, ñoä ñaëc hieäu là 83-85%.
- William B. Stetson:
Độ nhạy của MR Arthro. / rách bán phần
chóp xoay là 91%. Điều này cũng được
khẳng định qua nhiều tác giả hàng đầu về
khớp vai và MRI xương khớp như Joe Bush,
Joel Lipman và David Stoller
MR Arthrography
• - Khớp căng ra tách bao khớp, dây chằng ra
khỏi các cấu trúc khác bộc lộ rõ chỗ rách.
• - Gadolinium pha loãng xâm nhập sâu vào chỗ
rách (độ nhớt thấp hơn dịch khớp) tăng ñoä
nhaïy của việc phát hiện chỗ rách (***rách bán
phần gân chóp xoay)
MR Arthrography với Gadolinium được ưa
dùng hơn NS vì giúp bộc lộ rõ các chi tiết giải
phẫu trên T1W.
• - Xung Fat Suppression càng giúp tăng độ nhạy
phát hiện chỗ rách.
• - Dùng 10-15ml dung dịch NS&Gadolinium
2mmol/l
(20ml NS + 0.08ml Gadolinium 0.5mmol/ml )
• - Kỹ thuật tiêm: Tiêm khớp dựa trên các mốc
giải phẫu vì kỹ thuật đơn giản, không phụ
thuộc trang thiết bị hướng dẫn, không nhiễm
xạ, nhưng cần naém vững về giải phẫu học
vùng vai và kinh nghiệm
• - BN ngồi, tay để trên đùi
tư thế trung tính.
• - Sờ xác định mốc giải
phẫu, vẽ trên da đánh
dấu ngõ vào.
• - Ngõ vào: Phía sau, là
điểm dưới góc sau
ngòai mỏm cùng vai
1,5-2cm, vào trong 1-
1,5cm.
• - Sát trùng, và vô cảm vùng tiêm (da và phần
mềm) bằng 6ml Lidocain 1% pha với 6ml nước
cất.
• - Đâm kim 20G vào khớp với mũi kim hướng về
mỏm quạ.
3. Phía sau
Ngõ vào phía sau gặp ít khó khăn do co cơ.
Đường vào khớp vai:
1.Phía trước kinh điển (A)
2.Phía trước cải biên (B)
Ngõ vào phía trước: dễ làm tổn thương + tạo ảnh
giả trên sụn viền trước, dây chằng ổ chảo-cánh
tay, cơ dưới vai và trên gai.
• - Xác định kim vô khớp bằng cảm giác kim thụt
vào, đôi khi hút thấy dịch khớp chảy ra, bơm
dịch vào khớp thấy nhẹ tay hay thấy dịch bơm
vào dội ngược ra chuôi kim.
• - Lượng dịch: 10-15ml dung dịch, hoặc bơm
đến khi thấy nặng tay.
- BN cử động khớp vai 1 phuùt sau tiêêm.
- Chụp MRI sau tieâm trong voøng 30 phuùt.
- Tư thế: Bệnh nhaân nằm ngửa, tay để dọc
thaân, tư thế trung tính.
- Maùy Siemens Avanto 1,5Tesla, duøng Shoulder
array coil, duøng maët phaúng Axial, Oblique
Coronal, Oblique Sagittal
-FOV: 160mm
-Bề dày lát cắt: 3mm
-Matrix: 256 x 320
-Thời gian tổng cộng hoàn tất MR Arthrography : 60 phút
Các chuỗi xung thực hiện:
T1W, T1FS
T2W, T2FS
Med 3D
• - T2FS là xung tốt nhất để khảo sát tổn
thương rách chóp xoay.
• - T1FS và Med 3D là xung tốt nhất để
khảo sát tổn thương sụn viền
1
Sau tieâm noäi khôùp: Gaân
treân gai raùch roõ raøng so
vôùi phim tröôùc tieâm
GIAÛI PHAÃU KHÔÙP VAI
AXIAL
1. Mỏm cùng vai
2. Đầu xa xương đòn
3. Cơ trên gai.
1. Cơ trên gai 2. Cơ delta
1. Cơ dưới gai
2. Cơ delta
3. Đầu xương cánh tay
4. Ổ chảo
5. Gân cơ trên gai
6a,b. Cơ & gân cơ dưới vai
7a,b. Sụn viền trước & sau
8. Cơ quạ cánh tay và đầu ngắn cơ nhị đầu.
1. Cơ dưới gai
2. Cơ tròn bé
3. Cơ delta
4. Đầu xương cánh tay
5. Ổ chảo
6. Cơ dưới vai
7a. Sụn viền trước
7b. Sụn viền sau
8. Gân cơ nhị đầu (đầu dài)
9. Cơ quạ cánh tay và đầu ngắn cơ nhị đầu.
CORONAL
1. Ổ chảo
2. Mỏm cùng vai
3. Đầu xương cánh tay
4. Cơ dướI vai
5. Cơ delta
6. Gân cơ nhị đầu (đầu dài)
7. Cơ trên gai
8. Cơ thang
9. Gân cơ trên gai
10. Sụn viền trên
1. Ổ chảo
2. Mỏm cùng vai
3. Đầu xương cánh tay
4. Cơ dướI vai
5. Cơ delta
6. Gân cơ nhị đầu (đầu dài)
7. Cơ trên gai
8. Cơ thang
9. Gân cơ trên gai
10. Sụn viền trên
1. Ổ chảo
2. Mỏm cùng vai
3. Đầu xương cánh tay
4. Cơ dướI gai
5. Cơ delta
1. Ổ chảo
2. Mỏm cùng vai
3. Đầu xương cánh tay
4. Cơ dưới gai
5. Cơ delta
SAGITTAL
1. Đầu xa xương đòn
2. Mỏm cùng vai
3. Mỏm quạ
4. ổ chảo
5. Cơ trên gai
6. Cơ dướI gai
7. Cơ tròn bé
8. Cơ dướI vai
9. Cơ quạ cánh tay và
đầu ngắn cơ nhị đầu
1. Đầu xa xương đòn
2. Mỏm cùng vai
3. Đầu xương cánh tay
4. Cơ/gân cơ trên gai
5. Cơ dướI vai
6. Cơ tròn bé
7. Cơ / gân cơ dướI vai
Tổn thương chóp xoay
- Raùch gaân hoaøn toaøn
- Raùch gaân moät phaàn:
o+ Raùch maët khôùp
o+ Raùch maët hoaït dòch
o+ Raùch noäi gaân
Rách chóp xoay hoàn toàn
• - Khuyết gân lan đến cả hai mặt.
• - Tín hiệu dịch trong vùng khuyết trên T2W
Vị trí rách
- Gân cơ trên gai là vị trí thường gặp nhất
- Rách lớn lan đến gân cơ dưới gai. Rách đơn
độc gân cơ dưới gai hiếm.
- Gân cơ dưới vai bị tổn thương trong trường
hợp rách nhiều hoặc chấn thương nặng
- Hiếm khi tổn thương cơ tròn bé
- Tìm tổn thương gân cơ nhị đầu, đặc biệt khi
rách lớn
Raùch hoaøn toaøn gaân cô treân gai
Raùch maët hoaït dòch
gaân treân gai
Raùch mặt khớp
gaân treân gai
Raùch
toaøn beà
daøy gaân
treân gai
Vieâm gaân
• Gaân khoâng giaûm beà daøy, taêng tín hieäu
treân T2W beân trong gaân, möùc ñoä tín hieäu
taêng ít hôn tín hieäu dòch khôùp.
Viêm gân cơ trên gai
Viêm gân cơ dưới vai
Toån thöông suïn vieàn
- Bình thöôøng, suïn vieàn coù tín hiệu thấp
treân tất cả caùc chuỗi xung.
- Raùch suïn vieàn: bieán daïng suïn vieàn, coù
ñöôøng tín hieäu dòch beân trong suïn vieàn.
- Löu yù bieán theå bình thöôøng cuûa suïn vieàn.
• - MRI thường quy khoù ñaùnh giaù toån thương
suïn vieàn. Toån thương suïn vieàn tröôùc: ñoä nhaïy
44-95% , ñoä ñaëc hieäu 67-86%.
• - MR Arthrography coù ñoä nhaïy 90% vaø ñoä
ñaëc hieäu 95%.
Toån thöông suïn vieàn
SLAP lesion
Bieán theå bình thöôøng cuûa suïn vieàn
Bieán theå bình thöôøng cuûa suïn vieàn
Bankart lesion
Trước tiêm
Sau tiêm
Toån thương Bankart
ALPSA lesion
(Anterior Labroligamentous Periosteal Sleeve
Avulsion)
GLAD lesion
( Glenoid Labrum Articular Disruption )
Raùch suïn vieàn sau
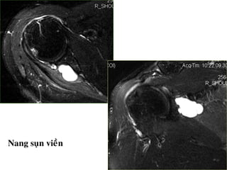
Nang suïn vieàn
Toån thöông daây chaèng oå chaûo-caùnh tay
Caùc daây chaèng oå chaûo-caùnh tay treân-giöõa-döôùi coù theå
quan saùt roõ treân hình MR Arthrography.
Rách dây chằng ổ chảo-cánh tay dưới
Bình thường Rách dải trước
Sau tiêmTrước tiêm
Sạn khớp
THOAÙI HOÙA KHÔÙP CUØNG ÑOØN
Gai xöông, maët khôùp keùm ñeàu, bao khôùp daøy, dòch
khôùp, taêng tín heäu tuyû xöông treân T2FS.
Thoái hóa khớp cùng - đòn
MOÛM CUØNG VAI
Type I
Type II
Type III
Type IV
Moûm cuøng vai vò trí bình thöôøng
Moûm cuøng vai doác xuoáng
(downsloping)
Mỏm cuøng vai nghieâng xuoáng döôùi ngoaøi
(inferolateral tilt)
Moûm cuøng vai naèm thaáp (low-lying)
Caùc toån thöông khaùc
Viêm gân chóp xoay vôi hoá
Ñöùt ñaàu daøi gaân nhò ñaàu
Trước tiêm
Sau tiêm
Sạn khớp
Hill-Sachs lesion
Hill-Sachs lesion
Vieâm bao hoaït dòch döôùi cô delta- döôùi moûm cuøng
Vieâm bao hoaït dòch
cô döôùi vai
Vieâm bao khôùp vai
TÀI LIỆU THAM KHẢO
1. Kaplan. Musculoskeletal MRI.
2. Edelman. Clinical Magnetic Resonance Imaging, Vol 3, 2006.
3. Gregory R.Applegate. Chronic labral tears: Value of MR Arthrography
in evaluating the glenoid labrum and labral-bicipital Complex.
Arthroscopy: The Journal of Arthroscopic and Related Surgery ,
20(9): 959-963, 2004.
4. Martin Vahlensieck. MRI of the Musculoskeletal system.
5. Phillip F.J.Tirman. Saline MR Arthrography in Evaluation of
Glenohumeral Instability Arthroscopy: The Journal of Arthroscopic
and Related Surgery 9(5):550-559, 1993.
6. Thomas H.Berquist. MRI of the Musculoskeletal System, 5th edition,
2006.
7. Wesley M.Nottage. Saline MR Arthrography of the Shoulder
Arthroscopy: The Journal of Arthroscopic and Related Surgery 8(3):
394-414, 1992.
8. William B.Stetson. The Use of MR Arthrography to Detect Partial-
thickness Rotator Cuff Tears. Journal of Bone and Joint Surgery Am
87: 81-88, 2005.

Shoulder & knee mri1

  • 1.
    COÄNG HÖÔÛNG TÖØ KHÔÙPVAI - KHÔÙP GOÁI BS PHAN CHAÂU HAØ Boä moân Chaån ñoaùn hình aûnh ÑHYDTPHCM
  • 2.
    NOÄI DUNG 1. Caáutaïo maùy MRI 2. Nguyeân lyù hoaït ñoäng 3. Caùc chuoãi xung, maët caét thöôøng duøng khaûo saùt khôùp vai-goái 4. MRI khớp gối 5. MRI khớp vai
  • 3.
    CAÁU TAÏO MAÙYCHT • Nam chaâm: Đoä lôùn töø tröôøng: 0,2 T – 2.0 T ; > 3 T • Caùc cuoän cheânh töø • Boä phaän phaùt/ thu tín hieäu soùng RF • Heä thoáng xöû lyù tín hieäu
  • 4.
    NGUYEÂN LYÙ HOAÏTÑOÄNG o - Ñaët beänh nhaân vaøo töø tröôøng o - Gôûi ñeán 1 soùng radio: Nguyeân töû Hydro haáp thu naêng löôïng soùng radio. o - Taét soùng radio: Nguyeân töû Hydro phoùng thích naêng löôïng. Moâ khaùc nhau haáp thuï vaø phoùng thích naêng löôïng khaùc nhau Beänh nhaân phaùt ra tín hieäu. o - Thu nhaän tín hieäu, xöû lyù vaø taùi taïo hình aûnh
  • 5.
    o - Ñieàuchænh caùc thoâng soá (vd thôøi gian laëp laïi xung, thôøi gian thu tín hieäu, kieåu xung…) => thu ñöôïc nhöõng hình aûnh khaùc nhau, vôùi teân caùc hình aûnh töông öùng teân caùc xung: T1W, T2W, Proton density, …=> choïn xung toái ưu ñeå xem caáu truùc caàn khaûo saùt. o - Moät caáu truùc coù ñaëc ñieåm tín hieäu khaùc nhau treân caùc chuoãi xung khaùc nhau giuùp chaån ñoaùn toát hôn baûn chaát toån thöông treân phim coäng höôûng töø.
  • 6.
    CAÙC CHUOÃI XUNG,MAËT CAÉT THÖÔØNG DUØNG KHAÛO SAÙT KHÔÙP VAI-GOÁI • Caùc chuoãi xung thöôøng duøng: -T1W : TR, TE ngaén (TR<500, TE<30) xem tuyû xöông,… -T2W, T2FS: TR, TE daøi (TR>1500, TE>80) xem daây chaèng, gaân cô… - Pd :TR daøi, TE ngaén xem suïn cheâm, suïn khôùp, suïn baùnh cheø - Med 3d xem suïn - T1FS sau tieâm Gadolinium xem suïn vieàn
  • 7.
    Caùc maët caétthöôøng duøng: o Khôùp vai: - Axial, Coronal Oblique, Sagittal Oblique o Khôùp goái: - Axial, Coronal, Sagittal
  • 8.
    PROTOCOL CHUÏP KHÔÙPGOÁI • Axial TIRM, PdFS • Sagittal T2W, PdFS • Coronal T2FS, Med3d • Ñoä daøy laùt caét # 4mm (tröø med3d 1.5mm-20%) • Dist. Factor # 10%
  • 9.
    PROTOCOL CHUÏP KHÔÙPVAI * Khoâng tieâm thuoác töông phaûn noäi khôùp: - Axial + Coronal Oblique + Sagittal Oblique T2FS, PdFS - Coronal T1W - Ñoä daøy laùt caét # 3mm - Dist. Factor # 10% * Coù tieâm thuoác töông phaûn noäi khôùp: - Axial + Coronal Oblique + Sagittal Oblique T2FS, T1FS - Coronal T1W - Ñoä daøy laùt caét # 3mm - Dist. Factor # 10%
  • 10.
  • 11.
  • 12.
  • 13.
  • 14.
  • 15.
  • 16.
  • 17.
  • 18.
  • 19.
  • 20.
  • 21.
  • 23.
  • 24.
    TOÅN THÖÔNG DAÂYCHAÈNG CHEÙO - Daây chaèng coù höôùng ñi baát thöôøng, maát lieân tuïc moät phaàn, coù tín hieäu dòch cao treân T2W beân trong, daây chaèng phuø daøy leân (toån thöông caáp) hay khoâng daøy (toån thöông maïn). - Maát lieân tuïc hoaøn toaøn, khoâng thaáy daây chaèng treân phim.
  • 25.
  • 26.
  • 27.
  • 28.
  • 29.
  • 30.
  • 31.
  • 32.
  • 33.
  • 34.
  • 35.
    TOÅN THÖÔNG DAÂYCHAÈNG BEÂN Ñoä 1: Taêng tín hieäu/ T2W ôû moâ phía trong daây chaèng (giaõn daây chaèng möùc ñoä nheï). Ñoä 2: Taêng tín hieäu/ T2W ôû moâ phía trong daây chaèng vaø beân trong daây chaèng (giaõn daây chaèng möùc ñoä trung bình) hay ñöùt moät phaàn daây chaèng. Ñoä 3: Daây chaèng ñöùt hoaøn toaøn.
  • 36.
  • 37.
  • 38.
  • 39.
  • 40.
    SUÏN CHEÂM HÌNHÑÓA • Bình thöôøng, thaân suïn cheâm daøy # 5-13mm • Suïn cheâm hình ñóa: ≥ 3 laùt caét qua thaân suïn cheâm treân Sagittal (beà daøy laùt caét # 4-5mm).
  • 41.
  • 42.
    SUÏN CHEÂM HÌNHÑÓA (Discoid meniscus)
  • 43.
    THOAÙI HOÙA SUÏNCHEÂM Taêng tín hieäu beân trong suïn cheâm khoâng lieân quan ñeán maët khôùp treân vaø döôùi.
  • 44.
  • 45.
  • 46.
    RAÙCH SUÏN CHEÂM -Taêng tín hieäu beân trong suïn cheâm lieân quan ñeán maët khôùp treân vaø döôùi. - Chaån ñoaùn raùch suïn cheâm vaø daïng ñöôøng raùch treân 3 maët phaúng Axial, Sagittal Pd FS vaø Coronal Medic 3d. Xem suïn khôùp treân 3 maët phaúng naøy, ñaëc bieät neân khaûo saùt thaân suïn cheâm treân maët phaúng Coronal beân caïnh Sagittal.
  • 47.
    Thoaùi hoaù suïncheâm •Raùch suïn cheâm
  • 48.
    MRI giuùp xaùcñònh vò trí suïn raùch vaø daïng ñöôøng raùch: - Vò trí raùch suïn: 1/3 trong, giöõa hay ngoaøi - Daïng raùch: o Horizontal tear o Longitudinal tear o Radial tear o Flap tear o Bucket handle tear o Meniscocapsular separation
  • 49.
  • 50.
  • 51.
  • 52.
  • 53.
  • 54.
  • 55.
  • 56.
  • 57.
  • 58.
  • 59.
  • 60.
  • 61.
  • 62.
  • 63.
  • 64.
  • 65.
  • 66.
  • 67.
  • 68.
  • 69.
  • 70.
  • 71.
  • 72.
  • 73.
  • 74.
  • 75.
    KHAÛO SAÙT KHÔÙPGOÁI SAU MOÅ - Tín hieäu, söï lieân tuïc cuûa daây chaèng - Höôùng daây chaèng - Seïo xô, Cyclops lesion
  • 77.
  • 78.
  • 79.
    Laàm raùch söøngtröôùc suïn cheâm ngoaøi vôùi phaàn daây chaèng ngang baùm vaøo phía tröôùc suïn cheâm.
  • 80.
    Aûnh giaû raùchsuïn cheâm do maïch ñaäp cuûa ÑM khoeo
  • 81.
    Giaû raùch söøngtröôùc suïn cheâm ngoaøi: suïn cheâm ngoaøi loám ñoám do caùc sôïi cuûa ACL baùm vaøo.
  • 82.
    Laàm raùch söøngsau suïn cheâm ngoaøi vôùi phaàn daây chaèng suïn cheâm-ñuøi baùm vaøo suïn cheâm.
  • 84.
    Magic-angle phenonenon: dosöøng sau suïn cheâm ngoaøi doác leân 55 ñoä.
  • 85.
    Giaû raùch söøngsau suïn cheâm ngoaøi do laàm vôùi gaân cô khoeo.
  • 86.
  • 87.
  • 88.
    - MRI laøphương tieän quan troïng, höõu ích trong chaån ñoaùn caùc toån thöông vuøng vai. - MR Arthrography laø KT khaûo saùt thöông toån khôùp vai hieäu quaû, phoå bieán hieän nay treân theá giôùi.
  • 89.
    - 1992, Traughbervà Goodwin : MRI kinh điển / rách bán phần gân cơ chóp xoay (có kiểm chứng bằng nội soi khớp) : ñoä nhaïy laø 56-72%, ñoä ñaëc hieäu là 83-85%. - William B. Stetson: Độ nhạy của MR Arthro. / rách bán phần chóp xoay là 91%. Điều này cũng được khẳng định qua nhiều tác giả hàng đầu về khớp vai và MRI xương khớp như Joe Bush, Joel Lipman và David Stoller
  • 90.
    MR Arthrography • -Khớp căng ra tách bao khớp, dây chằng ra khỏi các cấu trúc khác bộc lộ rõ chỗ rách. • - Gadolinium pha loãng xâm nhập sâu vào chỗ rách (độ nhớt thấp hơn dịch khớp) tăng ñoä nhaïy của việc phát hiện chỗ rách (***rách bán phần gân chóp xoay) MR Arthrography với Gadolinium được ưa dùng hơn NS vì giúp bộc lộ rõ các chi tiết giải phẫu trên T1W. • - Xung Fat Suppression càng giúp tăng độ nhạy phát hiện chỗ rách.
  • 91.
    • - Dùng10-15ml dung dịch NS&Gadolinium 2mmol/l (20ml NS + 0.08ml Gadolinium 0.5mmol/ml ) • - Kỹ thuật tiêm: Tiêm khớp dựa trên các mốc giải phẫu vì kỹ thuật đơn giản, không phụ thuộc trang thiết bị hướng dẫn, không nhiễm xạ, nhưng cần naém vững về giải phẫu học vùng vai và kinh nghiệm
  • 93.
    • - BNngồi, tay để trên đùi tư thế trung tính. • - Sờ xác định mốc giải phẫu, vẽ trên da đánh dấu ngõ vào. • - Ngõ vào: Phía sau, là điểm dưới góc sau ngòai mỏm cùng vai 1,5-2cm, vào trong 1- 1,5cm.
  • 94.
    • - Sáttrùng, và vô cảm vùng tiêm (da và phần mềm) bằng 6ml Lidocain 1% pha với 6ml nước cất. • - Đâm kim 20G vào khớp với mũi kim hướng về mỏm quạ.
  • 96.
    3. Phía sau Ngõvào phía sau gặp ít khó khăn do co cơ.
  • 97.
    Đường vào khớpvai: 1.Phía trước kinh điển (A) 2.Phía trước cải biên (B) Ngõ vào phía trước: dễ làm tổn thương + tạo ảnh giả trên sụn viền trước, dây chằng ổ chảo-cánh tay, cơ dưới vai và trên gai.
  • 98.
    • - Xácđịnh kim vô khớp bằng cảm giác kim thụt vào, đôi khi hút thấy dịch khớp chảy ra, bơm dịch vào khớp thấy nhẹ tay hay thấy dịch bơm vào dội ngược ra chuôi kim. • - Lượng dịch: 10-15ml dung dịch, hoặc bơm đến khi thấy nặng tay.
  • 99.
    - BN cửđộng khớp vai 1 phuùt sau tiêêm. - Chụp MRI sau tieâm trong voøng 30 phuùt. - Tư thế: Bệnh nhaân nằm ngửa, tay để dọc thaân, tư thế trung tính. - Maùy Siemens Avanto 1,5Tesla, duøng Shoulder array coil, duøng maët phaúng Axial, Oblique Coronal, Oblique Sagittal
  • 100.
    -FOV: 160mm -Bề dàylát cắt: 3mm -Matrix: 256 x 320 -Thời gian tổng cộng hoàn tất MR Arthrography : 60 phút Các chuỗi xung thực hiện: T1W, T1FS T2W, T2FS Med 3D
  • 101.
    • - T2FSlà xung tốt nhất để khảo sát tổn thương rách chóp xoay. • - T1FS và Med 3D là xung tốt nhất để khảo sát tổn thương sụn viền
  • 102.
    1 Sau tieâm noäikhôùp: Gaân treân gai raùch roõ raøng so vôùi phim tröôùc tieâm
  • 103.
  • 109.
  • 110.
    1. Mỏm cùngvai 2. Đầu xa xương đòn 3. Cơ trên gai.
  • 111.
    1. Cơ trêngai 2. Cơ delta
  • 112.
    1. Cơ dướigai 2. Cơ delta 3. Đầu xương cánh tay 4. Ổ chảo 5. Gân cơ trên gai 6a,b. Cơ & gân cơ dưới vai 7a,b. Sụn viền trước & sau 8. Cơ quạ cánh tay và đầu ngắn cơ nhị đầu.
  • 113.
    1. Cơ dướigai 2. Cơ tròn bé 3. Cơ delta 4. Đầu xương cánh tay 5. Ổ chảo 6. Cơ dưới vai 7a. Sụn viền trước 7b. Sụn viền sau 8. Gân cơ nhị đầu (đầu dài) 9. Cơ quạ cánh tay và đầu ngắn cơ nhị đầu.
  • 114.
  • 115.
    1. Ổ chảo 2.Mỏm cùng vai 3. Đầu xương cánh tay 4. Cơ dướI vai 5. Cơ delta 6. Gân cơ nhị đầu (đầu dài) 7. Cơ trên gai 8. Cơ thang 9. Gân cơ trên gai 10. Sụn viền trên
  • 116.
    1. Ổ chảo 2.Mỏm cùng vai 3. Đầu xương cánh tay 4. Cơ dướI vai 5. Cơ delta 6. Gân cơ nhị đầu (đầu dài) 7. Cơ trên gai 8. Cơ thang 9. Gân cơ trên gai 10. Sụn viền trên
  • 117.
    1. Ổ chảo 2.Mỏm cùng vai 3. Đầu xương cánh tay 4. Cơ dướI gai 5. Cơ delta
  • 118.
    1. Ổ chảo 2.Mỏm cùng vai 3. Đầu xương cánh tay 4. Cơ dưới gai 5. Cơ delta
  • 119.
  • 120.
    1. Đầu xaxương đòn 2. Mỏm cùng vai 3. Mỏm quạ 4. ổ chảo 5. Cơ trên gai 6. Cơ dướI gai 7. Cơ tròn bé 8. Cơ dướI vai 9. Cơ quạ cánh tay và đầu ngắn cơ nhị đầu
  • 121.
    1. Đầu xaxương đòn 2. Mỏm cùng vai 3. Đầu xương cánh tay 4. Cơ/gân cơ trên gai 5. Cơ dướI vai 6. Cơ tròn bé 7. Cơ / gân cơ dướI vai
  • 122.
    Tổn thương chópxoay - Raùch gaân hoaøn toaøn - Raùch gaân moät phaàn: o+ Raùch maët khôùp o+ Raùch maët hoaït dòch o+ Raùch noäi gaân
  • 123.
    Rách chóp xoayhoàn toàn • - Khuyết gân lan đến cả hai mặt. • - Tín hiệu dịch trong vùng khuyết trên T2W
  • 124.
    Vị trí rách -Gân cơ trên gai là vị trí thường gặp nhất - Rách lớn lan đến gân cơ dưới gai. Rách đơn độc gân cơ dưới gai hiếm. - Gân cơ dưới vai bị tổn thương trong trường hợp rách nhiều hoặc chấn thương nặng - Hiếm khi tổn thương cơ tròn bé - Tìm tổn thương gân cơ nhị đầu, đặc biệt khi rách lớn
  • 125.
    Raùch hoaøn toaøngaân cô treân gai
  • 126.
    Raùch maët hoaïtdòch gaân treân gai Raùch mặt khớp gaân treân gai
  • 127.
  • 128.
    Vieâm gaân • Gaânkhoâng giaûm beà daøy, taêng tín hieäu treân T2W beân trong gaân, möùc ñoä tín hieäu taêng ít hôn tín hieäu dòch khôùp.
  • 129.
    Viêm gân cơtrên gai
  • 130.
    Viêm gân cơdưới vai
  • 131.
    Toån thöông suïnvieàn - Bình thöôøng, suïn vieàn coù tín hiệu thấp treân tất cả caùc chuỗi xung. - Raùch suïn vieàn: bieán daïng suïn vieàn, coù ñöôøng tín hieäu dòch beân trong suïn vieàn. - Löu yù bieán theå bình thöôøng cuûa suïn vieàn.
  • 132.
    • - MRIthường quy khoù ñaùnh giaù toån thương suïn vieàn. Toån thương suïn vieàn tröôùc: ñoä nhaïy 44-95% , ñoä ñaëc hieäu 67-86%. • - MR Arthrography coù ñoä nhaïy 90% vaø ñoä ñaëc hieäu 95%. Toån thöông suïn vieàn
  • 133.
  • 136.
    Bieán theå bìnhthöôøng cuûa suïn vieàn
  • 137.
    Bieán theå bìnhthöôøng cuûa suïn vieàn
  • 139.
  • 140.
  • 141.
    ALPSA lesion (Anterior LabroligamentousPeriosteal Sleeve Avulsion)
  • 142.
    GLAD lesion ( GlenoidLabrum Articular Disruption )
  • 143.
  • 144.
  • 145.
    Toån thöông daâychaèng oå chaûo-caùnh tay Caùc daây chaèng oå chaûo-caùnh tay treân-giöõa-döôùi coù theå quan saùt roõ treân hình MR Arthrography.
  • 146.
    Rách dây chằngổ chảo-cánh tay dưới Bình thường Rách dải trước
  • 147.
  • 148.
    THOAÙI HOÙA KHÔÙPCUØNG ÑOØN Gai xöông, maët khôùp keùm ñeàu, bao khôùp daøy, dòch khôùp, taêng tín heäu tuyû xöông treân T2FS.
  • 149.
    Thoái hóa khớpcùng - đòn
  • 150.
  • 151.
  • 152.
  • 153.
  • 154.
  • 156.
    Moûm cuøng vaivò trí bình thöôøng
  • 157.
    Moûm cuøng vaidoác xuoáng (downsloping)
  • 158.
    Mỏm cuøng vainghieâng xuoáng döôùi ngoaøi (inferolateral tilt)
  • 159.
    Moûm cuøng vainaèm thaáp (low-lying)
  • 160.
  • 161.
    Viêm gân chópxoay vôi hoá
  • 162.
    Ñöùt ñaàu daøigaân nhò ñaàu
  • 164.
  • 165.
  • 166.
  • 167.
    Vieâm bao hoaïtdòch döôùi cô delta- döôùi moûm cuøng
  • 168.
    Vieâm bao hoaïtdòch cô döôùi vai
  • 169.
  • 170.
    TÀI LIỆU THAMKHẢO 1. Kaplan. Musculoskeletal MRI. 2. Edelman. Clinical Magnetic Resonance Imaging, Vol 3, 2006. 3. Gregory R.Applegate. Chronic labral tears: Value of MR Arthrography in evaluating the glenoid labrum and labral-bicipital Complex. Arthroscopy: The Journal of Arthroscopic and Related Surgery , 20(9): 959-963, 2004. 4. Martin Vahlensieck. MRI of the Musculoskeletal system. 5. Phillip F.J.Tirman. Saline MR Arthrography in Evaluation of Glenohumeral Instability Arthroscopy: The Journal of Arthroscopic and Related Surgery 9(5):550-559, 1993. 6. Thomas H.Berquist. MRI of the Musculoskeletal System, 5th edition, 2006. 7. Wesley M.Nottage. Saline MR Arthrography of the Shoulder Arthroscopy: The Journal of Arthroscopic and Related Surgery 8(3): 394-414, 1992. 8. William B.Stetson. The Use of MR Arthrography to Detect Partial- thickness Rotator Cuff Tears. Journal of Bone and Joint Surgery Am 87: 81-88, 2005.