1
2
PHAÀN I: KHAÙI NIEÄM CHUNG
PHAÀN II: BEÄNH HOÏC VAØ HÌNH AÛNH SIEÂU AÂM
CUÛA CAÙC LOAÏI NHAÂN GIAÙP.
PHAÀN III: VIEÂM GIAÙP VAØ ROÁI LOAÏN CHÖÙC
NAÊNG TUYEÁN GIAÙP
PHAÀN IV: CAÙC CÔ QUAN CAÄN TUYEÁN GIAÙP
VAØ DÒ DAÏNG BAÅM SINH
3
PHAÀN I: KHAÙI NIEÄM CHUNG
I. TÍNH PHOÅ THOÂNG:
Sieâu aâm (SA): laø khaûo saùt ñaàu tieân sau khaùm laâm saøng, laø
phöông tieän ñeå phaùt hieän sôùm moät soá beänh lyù tuyeán giaùp (TG) nhö
ung thö, vieâm giaùp.
Phöông tieän ñôn giaûn, nhanh, reû, khoâng ñoäc haïi, hieäu quaû cao.
Giuùp phaân bieät ñöôïc caùc loaïi beänh lyù TG: nhaân, vieâm, RL chöùc
naêng.
Khi keát hôïp vôùi SA maøu & choïc huùt teá baøo baèng kim nhoû (Fine
Needle aspiration Cytology =FNAC) giuùp cho vieäc theo doõi ñònh kyø
hay phaãu thuaät nhaân giaùp.
4
II. KYÛ THUAÄT:
Ñaàu doø: 7.5 – 13 MHz, +/- gel stand off.
Coå ngöûa toái ña: caét doïc & ngang , +/- nuoát.
Caàn keâ goái döôùi vai khi tieán haønh FNAC.
5
III. GIAÛI PHAÃU TUYEÁN GÍAP:
1.Giaûi phaãu thöôøng:
6
7
1
2
3
4
8
9
10
11
12
13
14
15
5
6
7
1- Tuyeán giaùp; 2- Khí quaûn; 3- Tuyeán caän giaùp; 4- Tónh maïch haàu
trong; 5- Ñoäng maïch caûnh goác; 6- TK haàu quaët ngöôïc; 7- ÑM giaùp
döôùi
8- Cô öùc – giaùp; 9- Cô vai – moùng; 10- Cô öùc – moùng; 11- Cô öùc -
ñoøn - chuõm; 13- Thöïc quaûn; 14- Cô daøi coå; 15- Coät soáng
8
2. Giaûi phaãu SA:
 Caáu truùc TG: ñoàng nhaát, echo daày hôn cô vaø baèng tuyeán
mang tai.
 Kích thöôùc: Chieàu cao vaø ngang thay ñoåi nhieàu töø 40-60mm
vaø 10-20mm. Chieàu daøy ít thay ñoåi: >20mm nghi ngôø coù beänh
lyù, > 25mm chaéc chaén coù beänh lyù. Theå tích bình thöôøng 10 +/-
4ml
 Chieàu daøy: quan troïng nhaát, laø nguyeân nhaân gaây caùc daáu
hieäu laâm saøng nhö cheøn eùp, nuoát vöôùng. Ño TG caàn thieát
trong tính lieàu chaát phoùng xaï trong ñieàu tri cöôøng giaùp hay
ñaùnh giaù theå tích TG coøn laïi sau ñieàu trò caét giaùp.
 Ngöoøi lôùn tuoåi: tuyeán giaùp giaõm theå tích, caáu truùc ít ñoàng
nhaát.
 Lieân quan giaûi phaåu:
_ Cô.
_ Thöïc quaûn, khí quaûn, gai soáng.
_ 2 beân: maïch maùu vaø haïch coå.
9
EO GIAÙP
CÔ ÖÑC
ÑM
CÔ DAØI COÅ
NHOÙM CÔ COÅ TRÖÔÙC
MAËT CAÉT NGANG MAËT CAÉT DOÏC
10
PHAÀN I: KHAÙI NIEÄM CHUNG
PHAÀN II: BEÄNH HOÏC VAØ HÌNH AÛNH SIEÂU AÂM
CUÛA CAÙC LOAÏI NHAÂN GIAÙP.
PHAÀN III: VIEÂM GIAÙP VAØ ROÁI LOAÏN CHÖÙC
NAÊNG TUYEÁN GIAÙP
PHAÀN IV: CAÙC CÔ QUAN CAÄN TUYEÁN GIAÙP
VAØ DÒ DAÏNG BAÅM SINH
11
I. TAÀN SUAÁT NHAÂN GIAÙP:
Toån thöông daïng nhaân ñaëc cuûa tuyeán giaùp theo caùc thoáng keâ
laâm saøng chieám tæ leä cao, ñaëc bieät cao ôû caùc vuøng coù beänh böôùu
giaùp ñòa phöông.
Ung thö giaùp hieám, chieám 0,5 – 1,3 % cuûa taát caû K vaø 0,004%
toång daân soá (theo thoáng keâ cuûa OMS). Tuy nhieân ôû VN, theo
thoáng keâ cuûa TTUB naêm 1995, tæ leä ung thö giaùp laø 2,1% trong
toång soá caùc ung thö.
Sieâu aâm phaàn meàm baèng ñaàu doø coù ñoä ly giaûi cao phaùt hieän
ñöôïc caùc nhaân giaùp tieàn laâm saøng.
PHAÀN II: BEÄNH HOÏC VAØ HÌNH AÛNH SIEÂU AÂM
CUÛA CAÙC LOAÏI NHAÂN GIAÙP.
12
II. ÑAËC ÑIEÅM SIEÂU AÂM NHAÂN GIAÙP:
A/. Moâ taû SA:
1. Taïi choå:
 Daïng ñaëc hay nang.
 Caáu truùc echo daày, keùm, troáng.
 Ñoàng nhaát hay khoâng, coù keøm theo voâi hoùa hoaëc hoaù nang.
 Bôø ñeàu hay khoâng, giôùi haïn, coù hay khoâng daáu halo.
 Soá löôïng, vò trí, kích thöoùc.
 Phaàn moâ giaùp coøn laïi.
 Veõ sô ñoà.
2. Keá caän:
 Haïch, lieân quan vôùi caùc maïch maùu.
 Thöïc quaûn, khí quaûn: bò ñaåy leäch vaø eùp deïp.
13
14
B/. Tieâu chuaån chaån ñoaùn SA:
Khoâng coù tieâu chuaån SA roõ reät ñeå phaân bieät laønh – aùc.
Phaûi keát hôïp nhöõng ñaëc ñieåm SA coù ñöôïc ñeå höôùng tôùi chaån
ñoaùn.
15
Beänh hoïcÑAËC Ñaëc ñieåm
Laønh Aùc
1. Caáu truùc echo
Ñaëc
Nang
Hoån hôïp
2. Ñoä echo
Keùm
Ñoàng
Daày
3. Giôùi haïn
Giôùi haïn roõ
Giôùi haïn khoâng roõ
4. Halo
Daày / khoâng toaøn veïn
Moõng / toaøn veïn
5. Voâi hoùa **
Ngoaïi bieân (voû soø)
Beân trong
To
Nhoû
(1)
(2)
(2)
(1)
(3)
(4)
(2)
(2)
(4)
(3)
(1)
(1)*
(3)
(2)
(2)
(3)
(2)
(1): khoù xaùc ñònh, coù theå gaëp. (2): coù theå, thöôøng gaëp.
(3): Khoù caùc ñònh, ít gaëp. (4): coù theå. xaùc suaát xaûy ra >85%.
(*): maëc duø haàu heát nhaân aùc ñeàu echo keùm, phaàn lôùn caùc nhaân echo keùm laø laønh tính.
(**):Voâi hoùa: 13% voâi hoùa ñi keøm vôùi nhaân, söï phaân boá & kieåu voâi hoùa raát quan troïng
16
III. BEÄNH CAÊN:
A/. Phình giaùp ñôn thuaàn: chöùc naêng TG khoâng thay ñoåi.
PG khoâng taïo haït = PG lan toaû.
PG taïo haït: coù theå xaûy ra ngay töø ñaàu hay laø giai ñoaïn sau
cuûa PG lan toaû. PG ñôn haït hay ña haït, ôû 1 hay caû 2 thuøy.
Haït coù theå dang nang, daïng ñaëc hay hoån hôïp.
Caùc haït (nhaân) naøy khoâng phaûi laø taân sinh maø do taêng
saûn vaø thoaùi hoaù cuûa tieåu thuøy tuyeán giaùp taïo ra nhaân giaùp, coù
lieân quan ñeán tình traïng thieáu iode trong thöùc aên, roái loaïn
chuyeån hoaù Iode ... .
17
1/. PG lan toaû: TG taêng theå tích, caáu truùc khoâng thay ñoåi.
18
2/. Nhaân giaùp daïng nang:
a. Ñaëc tính:
 Nang giaùp thaät söï ít thaáy.
 Phaàn lôùn nang giaùp thöôøng gaëp laø nang keo do keát tuï
dòch keo trong caùc tuùi nang, dòch vaøng, seät. Khi coù xuaát
huyeát = nang giaû maùu (pseudo – heùmatique).
b. Hình aûnh SA: ña daïng, tuøy theo giai ñoaïn (tuoåi cuûa nhaân).
Löu yù: K gíap khoâng bao giôø bieåu hieän döôùi daïng nang hoøan toaøn.
19
20
Nhaân
giaùp
daïng
nang:
Nang
giaùp
keo
21
Nang
giaùp
xuaát
huyeát
22
3/. Nhaân giaùp daïng ñaëc:
 Sinh lyù beänh: thieáu ioát  taêng tieát TSH  TG bò kích
thích laøm toaøn boä TG bò phì ñaïi (giai ñoaïn coøn coù theå
ñaûo ngöôïc)  tích tuï chaát keo trong nang giaùp vaø thay
ñoåi moâ keõ ( vónh vieãn)
 Veà phöông dieän giaûi phaåu beänh hoïc, phình giaùp luùc
ñaàu laø söï phì ñaïi ñoàng nhaát cuûa TG, roài ñeán taêng saûn.
Veà sau, caáu truùc TG thay ñoåi, trôû neân khoâng ñoàng nhaát
do söï hình thaønh caùc vuøng thoaùi hoaù, taêng saûn, taùi taïo,
taïo nang vaø xô hoùa. Cuõng coù theå coù nhöõng vuøng xuaát
huyeát hay hoùa voâi. Tuy nhieân caùc nhaân giaùp cuõng coù khi
xuaát hieän ngay töø ñaàu maø khoâng qua giai ñoaïn phình
giaùp lan toaõ.
23
 PG ñôn haït hay ña haït: Haït coù caáu truùc echo raát
ña daïng (tuoåi): echo daày, ñoàng echo, hôi keùm hay raát
keùm so vôùi chuû moâ giaùp. Giôùi haïn roõ hay khoâng ro,õ
khu truù ôû 1 hay 2 thuøy. Ñoàng nhaát hay khoâng do coù
keøm theo tình traïng voâi hoùùa (to) hay hoùa nang trong
nhaân.
 Chaån ñoaùn phaân bieät PG haït vôùi böôùu laønh TG
hay k giaùp döïa vaøo hình aûnh SA nhieàu khi khoâng theå
ñöôïc.
24
B. Caùc loaïi nhaân giaùp daïng ñaëc: (do hay
khoâng do phình giaùp)
1/. Ñaëc ñieåm:
Phaàn lôùn caùc nhaân giaùp laø laønh tính, phaân bieät nhaân
laønh – aùc ñoâi khi khoù treân LS. Veà maët beänh hoïc,
nhaân laønh tính thöôøng toàn taïi chung vôùi nhaân aùc
tính; vaø / hoaëc ung thö giaùp thöoøng ña oå. Vì theá
caàn keát hôïp SA maøu vaø FNAC caùc nhaân nghi ngôø,
theo doõi ñònh kyø.
25
2. Hình aûnh SA (nhaân ñaëc):
 Tæ leä nhaân echo keùm, hay echo daày nhieàu >> nhaân ñoàng
echo vôùi chuû moâ giaùp.
 Nhaân echo daày thöôøng laønh tính. Tuy nhieân caàn chaån
ñoaùn phaân bieät vôùi echo daày do vi voâi hoùa trong nhaân.
 Giôùi haïn cuaû nhaân: ít coù giaù trò chaån ñoaùn. Tuy nhieân caùc
nhaân coù halo ñeàu quanh nhaân thöôøng laø laønh tính.
 Khi caùc nhaân coù keøm theo vuøng hoaù nang beân trong: neáu
theå tích phaàn nang < 2/3 theå tích cuûa phaàn ñaëc # nhaân giaùp
hoaïi töû; ngöôïc laïi neáu lôùn hôn 2/3 # nang giaùp coù choài.
26
 Caùc döõ kieän chaån ñoaùn:
+ Döõ kieän laønh tính: khi nhaân echo daày hay nhaân
daïng nang (nhaát laø ñoái vôùi toån thöông coù > 2/3 theå tích laø
nang), halo ñeàu, haïch (-).
+ Döõ kieän aùc tính: echo keùm, vi voâi hoùa trong
nhaân, giôùi haïn khoâng roõ, halo khoâng ñeàu, haïch (+). Hoaëc
ôû nhöõng ngöôùi coù tieàn caên nhieãm xaï, nam treû.
27
3. Caùc toån thöông laønh tính:
 Phình giaùp haït (phaàn treân)
 Böôùu laønh tuyeán giaùp
 Caùc loaïi böôùu laønh khaùc xuaát phaùt töø moâ lieân keát
hieám gaëp.
 Vieâm giaùp: taïo haït thaáy ñöôïc treân laâm saøng vaø
sieâu aâm.
28
PG
haït.
29
PGH
30
PGH
31
PGH
32
PGH
VOÂI HOAÙ / PGH
33
VOÂI HOAÙ / PGH
34
Phình giaùp
Adenoma
35
Böôùu laønh tuyeán giaùp:
 Böôùu tuyeán nang (follicular adenoma) +++, nguyeân nhaân do
söï taân sinh laønh tính caùc teá baøo nang tuyeán giaùp, coù voû bao xô
quanh nhaân vaø khoâng bao giôø trôû thaønh ung thu giaùp. Tuy nhieân
khoù CÑPB toån thöông laønh tính naøy vôùi ung thö giaùp daïng nang.
Goïi laø böôùu chöùc naêng (ñoäc tính) laø böôùu laønh coù taêng tieát
hormone TG, gaây hoäi chöùng cöôøng giaùp, SA khoâng ñaëc hieäu, caàn
keát hôïp XN khaùc.
 SA: nhaân echo daày hay ñoàng echo vôùi chuû moâ giaùp.
Khoâng theå phaân bieät ñöôïc caùc loaïi toåân thöông daïng nang baèng
SA hay teá baøo hoïc  caàn phaåu thuaät.
 Moâ hoïc cuûa caùc toån thöông daïng nang: PG tuyeán, böôùu tuyeán
nang, Car. daïng nang, Car. daïng nhuù bieán theå nang.
36
U laønh TG: U teá baøo Hurtle
37
4. Caùc toån thöông aùc tính:
4.1/ Carcinoâm: Daïng xuaát phaùt töø bieåu moâ nang giaùp goàm k
giaùp daïng nhuù, daïng nang, vaø daïng khoâng bieät hoùa. Daïng xuaát
phaùt töø teá baøo caïnh tuyeán giaùp: k giaùp daïng tuûy.
a/. Car. daïng nhuù: 75-90%, tieân löôïng toát, moät hay ña oå,
nhaân phaùt trieån raát chaäm, di caên xa hieám vaø di caên haïch sôùm
(aùi haïch). Laø ung thö giaùp duy nhaát ôû treû em, nöõ > nam. 1 soá
tröoøng hôïp coù haïch coå di caên do ung thö giaùp nhöng khoâng
thaáy nhaân giaùp treân ñaïi theå vaø SA. Khi nhaân kích thöôùc lôùn,
thuøy coøn laïi deã bò ung thö neân caàn caét giaùp gaàn troïn.
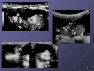
38
 86,7% laø nhaân ñaëc echo keùm, khi lôùn hôn 1 cm nhaân trôû
neân khoâng ñoàng nhaát, giôùi haïn khoâng roõ, 50% coù vi voâi hoùa,
ít thaáy ñöôïc hình daïng nhuù trong nang.
39
40
41
K giaùp
daïng nhuù
42
K GIAÙP DAÏNG NHUÙ
43
 Ñaëc ñieåm haïch di caên: maát hình baàu duïc, thöôøng hình
troøn, khoâng coøn roán haïch echo daày ôû vuøng trung taâm duø
haïch kích thöôùc nhoû. Ñoâi khi haïch coù caáu truùc echo daày
hôn cô, ñoàng nhaát, hay hoaïi töû, coù theå coù vi voâi hoùa trong
haïch. Ñoâi khi haïch mang hình aûnh gioáng nhö nhaân ung
thö nguyeân phaùt cuûa TG.
44
HAÏCH COÅ TRAÙI
45
THuøy P
THuøy T
Haïch
coå phaûi
46
b/. Car. daïng nang: 5-15%, veà maët hình aûnh vaø teá baøo hoïc khoù
phaân bieät vôùi caùc u tuyeán daïng nang laønh tính, PG tuyeán, ung
thö giaùp daïng nhuù bieán theå nang; chæ phaân bieät ñöôïc böôùu laønh
hay aùc nhôø döïa treân vi theå nhôø hình aûnh xaâm laán voû bao vaø
maïch maùu cuûa caùc teá baøo nang giaùp. U phaùt trieån chaäm, di caên
ñeán phoåi vaø xöông nhieàu hôn haïch coå. Tieân löôïng xaáu hôn.
2/3 tröôøng hôïp keøm theo PG neân caàn SA maøu trong PG ña haït
ñeå loaïi tröø ung thö.
Nhaân thöôøng to, ñoàng echo hay gaëp hôn echo keùm, bôø halo
khoâng ñeàu, khoâng coù vi voâi hoaù ñi keøm.
47
TOÅN THÖÔNG DAÏNG NANG
PG Adenoma
48
UT giaùp daïng nang
49
K GIAÙP
DAÏNG
NANG
50
c/. Car. daïng khoâng bieät hoùa: 5%, ôû ngöoøi lôùn tuoåi, tieân löôïng
xaáu do dieãn tieán nhanh. Böoùu cöùng, lôùn nhanh vaø xaâm laán vaøo
caùc cô quan laân caän cô, TQ, maïch maùu, haïch, gaây töû vong do
cheøn eùp khí quaûn. SA: Nhaân ñaëc echo keùm hay hoån hôïp, khoâng
halo, giôùi haïn khoâng roõ
d/. Car. daïng tuûy: <10%, taêng calcitonine trong maùu. Neáu coù
lieân quan ñeán di truyeàn thì naèm treân NST thöôøng, mang tính
troäi. Beänh coù nhieàu oå hay caû 2 thuøy, xaâm laán vaøo maïch baïch
huyeát cho haïch coå vaø vaøo maùu ñeán phoåi, xöông, gan. Nhaân
thöôøng to, cöùng, echo keùm nhieàu hôn ñoàng echo, halo (+), vi
voâi hoùa 80-90%. Haïch coå to, haïch trung thaát.
e/. Car. daïng thöôïng bì: 1%, gioáng car. teá baøo gai bieät hoaù cao
hay vöøa, gaëp ôû ngöôøi giaø. Tieân löôïng xaáu.
51
4.2/ Sarcoâm: thöôøng gaëp ôû ngöôøi giaø; limphoâm >> sarcoâm
sôïi, sarcoâm maïch maùu. Hình aûnh sarcoâm raát ña daïng.
Limphoâm: 4% nguyeân phaùt ôû TG, phaàn lôùn coù vieâm
HASHIMOTO keøm theo. Xaâm laán cô, thöïc quaûn, maïch
maùu, haïch.
SA:  moät nhaân echo keùm gaàn nhö troáng trong limphoâm
nguyeân phaùt. Do ñoù neáu hình aûnh naøy quan saùt ñöôïc treân
neàn vieâm Hashimoto caàn phaûi laøm FNAC.
 Hay daïng ña haït trong limphoâm thöù phaùt: echo
keùm, coù theå taêng aâm phía sau, haïch coå 2 beân.
52
HODGKIN
LKH
53
4.3/ K giaùp do di caên: meùlanome, vuù, phoåi. Ñôn haït hay ña
haït. Nhaân coù theå ñeán 6 cm, khoâng nang hoùa. Keøm theo haïch
coå vaø di caên ñeán caùc cô quan khaùc.
Caàn tìm ung thö nguyeân phaùt.
Nhìn chung, beänh hoïc nhaân gíaùp chia 2 loaïi:
_ Laønh: goàm nang giaùp, PG haït, vieâm giaùp taïo haït, u giaùp
tuyeán.
_ Aùc: caùc carcinoâm, sarcoâm (limphoâm), di caên.
Coù 2 bieåu hieän LS:
_ Ñôn haït: nang, phình giaùp, vieâm giaùp, adenoma, ung
thö nguyeân phaùt hay thöù phaùt.
_ Ña haït: PG ña haït, vieâm giaùp, limphoâm, K khoâng bieät
hoaù, di caên.
54
BAÛNG TOÙM TAÉT VEÀ BEÄNH CAÊN CUÛA
CAÙC LOAÏI TOÅN THÖÔNG NHAÂN GÍAP.
AÙC TÍNHLAØNH TÍNH
NGUYEÂN PHAÙT THÖÙ PHAÙT
Böôùu gíap daïng tuyeán.
Phình giaùp tuyeán.
Nhaân gíap ñoäc tính.
Nang.
Nhaân gíap keo.
Vieâm giaùp maõn tính.
Vieâm giaùp baùn caáp.
Thoaùi hoùa daïng boät.
Beänh nhieãm saéc toá saét.
Car. giaùp daïng nhuù.
---- giaùp daïng nang.
---- giaùp daïng tuûy.
---- gíap khoâng bieät hoùa.
---- daïng bieåu bì.
Lymphoâm.
Sarcoâm.
U quaùi aùc tính.
Thaän,
Tuïy,
Thöïc quaûn,
Tröïc traøng,
Melanoâm,
Phoåi,
Lymphoâm.
55
IV. CÑPB:
 Toån thöông ngoaøi TG: haïch, böôùu boïc coå beân, u
caän giaùp.
 Tuùi thöøa Zenker.
 Toån thöông giaû nhaân trong TG.
56
HAÏT GIAÙP (LS HAY SA)
NANG NHAÂN ÑAËC
NANG
GIAÙP
KEO
+++
NANG
DO K
(hieám)
PGH
(+++)
BÖÔÙU
LAØNH
(ADENO
MA)
hieám
K
GIAÙP
VIEÂM
57
PHAÀN I: KHAÙI NIEÄM CHUNG
PHAÀN II: BEÄNH HOÏC VAØ HÌNH AÛNH SIEÂU AÂM
CUÛA CAÙC LOAÏI NHAÂN GIAÙP.
PHAÀN III: VIEÂM GIAÙP VAØ ROÁI LOAÏN CHÖÙC
NAÊNG TUYEÁN GIAÙP
PHAÀN IV: CAÙC CÔ QUAN CAÄN TUYEÁN GIAÙP
VAØ DÒ DAÏNG BAÅM SINH
58
PHAÀN III: VIEÂM GIAÙP VAØ
ROÁI LOAÏN CHÖÙC NAÊNG TUYEÁN GIAÙP
I. VIEÂM: hay gaëp treân laâm saøng, bieåu hieän raát ña daïng vaø deã
gaây laàm laãn.
1. Vieâm giaùp baùn caáp (De Quervain):
 Theo muøa, sau nhieãm sieâu vi ñöôøng hoâ haáp treân/ nöõ 20-25t. Coù
theå coù giai ñoaïn nhieãm giaùp ñoäc toá ôû giai ñoaïn khôûi beänh # 4-8w
(do nang tuyeán giaùp bò phaù huyû) roài töï heát.
 Sôø thaáy TG cöùng vaø ñau. Haïch coå thöôøng coù. Dieãn tieán suy giaùp
hieám (5-10%) , tuy nhieân coù theå ñeå laïi vaøi nhaân laïnh treân xaï hình
giaùp. Beänh coù theå taùi phaùt.
59
o SA giai ñoaïn ñaàu TG to phuø neà echo keùm lan toaû khoâng roõ
nhaân, haïch coå daïng vieâm. Ñoâi khi toån thöông vieâm chæ khu truù
treân moät thuøy hay moät vuøng nhoû cuûa thuøy giaùp (deã laàm vôùi k) .
Hình aûnh vieâm thöôøng toàn taïi trong moät thôøi gian daøi neân sau
ñieàu trò theå tích TG trôû veà bình thöôøng nhöng baát thöôøng veà
hình thaùi vaãn coøn.
60
2. Vieâm giaùp lymphoâ baøo maõn tính (Hashimoto):
 Beänh töï mieãn, coù khuynh höôùng di truyeàn, chaån ñoaùn khoù.
 Daïng ñieån hình laø TG to bôø khoâng ñeàu, phuø nieâm töï phaùt,
khaùng theå khaùng giaùp cao, xeùt nghieäm chöùc naêng coù tình traïng
nhöôïc giaùp, baét chaát phoùng xaï yeáu vaø khoâng ñeàu. Dieãn tieán suy
giaùp laø khoâng theå traùnh ñöôïc vôùi tình traïng xô hoùa, teo TG.
 Daïng khoâng ñieån hình TG to ñoàng nhaát, bôø hôi khoâng ñeàu,
hormone TG bình thöôøng, TG baét xaï bình thöôøng hay khoâng
ñoàng nhaát, chæ coù TSH luoân luoân cao.
 Nhieãm ñoäc giaùp thöôøng thoaùng qua, nhöng coù khi toàn taïi laâu
(Hashitoxicose) = theå beänh chuyeån tieáùp giöaõ vieâm giaùp töï mieãn
vaø Basedow.
61
 SA: TG cöùng khoâng to hay to ít, echo keùm lan toaû, coù theå coù
caùc haït echo daày treân neàn giaùp echo keùm  duøng SA maøu ñeå
phaân bieät vôùi. ÔÛ theå tieán trieån, khoâng coøn thaáy ñöôïc caáu truùc
echo bình thöôøng cuûa TG, maø ñöôïc thay theá baèng moâ echo raát
keùm hay echo raát daày vaø haáp thu soùng aâm maïnh.
 Taêng nguy cô ung thö giaùp daïng nhuù vaø lymphoâm/ Vieâm coù suy
giaùp: FNAC khi taêng nhanh theå tích TG.
62
HASHIMOTO
63
64
Cöôøng
gia'p/ vieâm
giap
65
3. Vieâm giaùp taïo xô maïn tính Riedel:
 Hieám. Vieâm maõn coù tình traïng hoùa xô lan toûa, taøn phaù 1 phaàn
hay toaøn boä TG & xaâm laán caáu truùc keá caän. Dieãn tieán suy giaùp
trong 1/3 tröôøng hôïp khi moâ xô thay theá heát moâ tuyeán giaùp. Coù
theå keát hôïp vôùi xô hoùa nôi khaùc: sau phuùc maïc, ñöôøng maät, trung
thaát.
 Sieâu aâm khoâng ñaëc hieäu, coù theå thaáy 1 hay nhieàu toån thöông
daïng böôùu echo keùm ôû 1 thuøy xaâm nhieãm vaøo cô keá caän, hieám
vaøo maïch maùu, thoâng thöoøng deã laàm vôùi K.
66
4. Caùc vieâm khaùc:
 Vieâm caáp taïo muû.
 Sieâu aâm :vuøng moâ giaùp khoâng toå chöùc hoaù chöùa dòch
khoâng ñoàng nhaát echo keùm hay hoån hôïp treân neàn TG to
echo keùm lan toûa.
 Nguyeân nhaân: vieâm haàu hoïng, nhieãm truøng vuøng ñaàu
coå, doø döôøng tieâu hoùa, hay suy giaõm mieån dòch, ñöôøng
maùu . ÔÛ VN coøn do caét leå.
 Vieâm giaùp haäu saûn: beänh töï mieån do coù khaùng theå
choáng TG (= vieâm giaùp limpho baøo baùn caáp): coù hoäi chöùng
cöôøng giaùp thoaùng qua, 1/3 ca suy giaùp phaûi ÑT.
 Vieâm giang mai, lao , naám, xaï trò.
67
II. Beänh lyù chöùc naêng:
1. Cöôøng giaùp: laø hieän töïôïng taêng saûn xuaát hormone TG laøm
noàng ñoä hormone/maùu taêng cao vaø gaây nhieãm ñoäc giaùp
 Cöôøng giaùp do taêng söï kích thích (naèm beân ngoaøi TG): beänh
Basedow, thai tröùng hay choriocarcinoma, ung thö (TSH-like)
gaây taêng löôïng hormone giaùp löu hanh trong maùu vaø öùc cheá
TSH noäi sinh.
 Cöôøng giaùp töï chuû: moät phaàn moâ giaùp taêng sinh vaø trôû neân
cöôøng giaùp neân kieåm soaùt töø tuyeán yeân bò öùc cheá vaø laøm cho moâ
giaùp naèm ngoaøi vuøng toån thöông bò öùc cheá theo: u ñoäc giaùp (u
Plummer= nhaân cöôøng naêng töï chuû ñoäc tuyeán), vieâm giaùp: moâ
vieâm phoùng thích nhieàu hormone TG.
68
1.1/. Basedow:
 SA coù 2 kieåu hình aûnh:
_ Taêng saûn lan toaû ñoàng nhaát vôùi vaøi vuøng maïch maùu daõn .
_ 86 % TG khoâng ñoàng nhaát khoâng toå chöùc hoaù, echo keùm
gioáng nhö vieâm gíap hay hình aûnh nhaân giaû.
 Ño ñaït theå tích tuyeán giaùp raát caàn thieát sau phaãu thuaät caét giaùp
(taùi phaùt 20%), khi coù chæ ñònh ÑT baèng ioát phoùng xaï.
 Suy giaùp sau phaãu thuaät 1%, sau ÑT ioát phoùng xaï25%.
 Keát hôïp vôùi K chieám 0,3 – 16,6%, daïng nhuù >> daïng nang.
69
Basedow chöa ñieàu trò
70
Basedow
chöa
ñieàu trò
71
SA duøng ñaùnh giaù söï ñaùp öùng ñieàu trò vaø tieân löôïng khaû naêng taùi
phaùt.
72
Basedow ñaõ ñieàu trò baèng
thuoác KGTH
Phoùng xaï
73
1.2/. Nhaân gíaùp ñoäc:
 Nhaân noùng / xaï hình TG vaø taêng sinh maïch maùu / SA maøu.
 Tính ñoäc cuûa nhaân khoâng phaûi luoân roõ raøng maø noù coù theå
tieàm aån trong nhieàu naêm. Moät soá tröôøng hôïp moâ TG coøn laïi bò
teo nhoû.
 SA thaáy ñöôïc caùc vuøng xuaát huyeát trong nhaân, laø daáu hieäu
chöùng toû nhaân ñang tieán trieån; ñoàng thôøi cho bieát ñoä teo nhoû cuûa
chuû moâ giaùp.
 ñieàu trò: chích alcool hay nhieät trò lieäu.
74
75
2. Suy giaùp: ña soá thöôøng khoâng coù böôùu giaùp
Suy giaùp tieân phaùt vieâm giaùp Hashimoto, vieâm baùn caáp, tai
bieán do ÑT ioát phoùng xaï ÑT thuoác khaùng giaùp hay phaãu thuaät
caét giaùp, roái loaïn chuyeån hoaù, thieáu men toång hôïp hormone
giaùp, chaát khaùng giaùp trong thöùc aên, Lithium thuoác ÑT taâm
thaàn.
Suy giaùp thöù phaùt suy tuyeán yeân do u, phaãu thuaät, do tuyeán
yeân bò phaù huyû (h/c Sheehan)
Suy giaùp ñeä tam caáp roái loaïn chöùc naêng haï ñoài
Suy giaùp nguyeân nhaân ñaëc bieät ñeà khaùng ôû ngoaïi vi vôùi taùc
duïng hormone TG, baát thöôøng ôû thuï theá ñv T4 ôû teá baøo.
76
Sieâu aâm:
 TG nhoû, echo keùm, khoâng baét xaï.
 FNAC neáu nghi suy giaùp do vieâm De Quervain hay
Hashimoto.
77
HAÏT GIAÙP (LS HAY SA)
NANG NHAÂN ÑAËC
NANG
GIAÙP
KEO
+++
NANG
DO K
(hieám)
PGH
(+++)
BÖÔÙU
LAØNH
(ADENO
MA)
hieám
K
GIAÙP
VIEÂM
CÖÔØNG GIAÙP
BASEDOWTHUOÁC
78
PHAÀN I: KHAÙI NIEÄM CHUNG
PHAÀN II: BEÄNH HOÏC VAØ HÌNH AÛNH SIEÂU AÂM
CUÛA CAÙC LOAÏI NHAÂN GIAÙP.
PHAÀN III: VIEÂM GIAÙP VAØ ROÁI LOAÏN CHÖÙC
NAÊNG TUYEÁN GIAÙP
PHAÀN IV: CAÙC CÔ QUAN CAÄN TUYEÁN GIAÙP
VAØ DÒ DAÏNG BAÅM SINH
79
PHAÀN IV: CAÙC CÔ QUAN CAÄN TUYEÁN GIAÙP
VAØ DÒ DAÏNG BAÅM SINH
I. CAÙC CÔ QUAN CAÄN TUYEÁN GIAÙP:
1. Khí quaûn: bò ñaåy sang beân, ñaåy ra sau, giaõm khaåu kính.
2. Thöïc quaûn: TG khoâng bao giôø ñeø tröïc tieáp leân thöïc quaûn maø do
TG ñaåy khí quaûn ra sau vaø cheøn eùp vaøo thöïc quaûn.
3. Maïch maùu: boù maïch caûnh bò ñaåy ra sau. Moät soá tröôøng hôïp taïo
phình ÑM caûnh do nhaân gíap cheøn eùp laâu ngaøy.
4. Haïch: phaân tích kích thöôùc, hình thaùi, caáu truùc echo, giôùi haïn
ñeå höôùng tôùi tính chaát haïch.
5. Tuyeán caän giaùp. Hieám gaëp
80
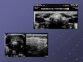
 Voâ saûn hoaëc laïc choå
tuyeán giaùp.
 Thieåu saûn 1 thuøy.
II. DÒ DAÏNG BAÅM SINH:
81
82
1/ .Giaûi phaãu vaø sinh lyù:
 Tuyeán caän giaùp (TCG) naèm sau tuyeán giaùp, goàm 2 tuyeán naèm
treân vaø 2 naèm döôùi, tuy nhieân moät soá ngöôøi coù 3 hay 5 TCG.
 TCG phaúng coù hình ñóa, kích thöôùc < 4mm, caáu truùc baèng vôùi
TG neân khoù phaùt hieän treân SA. Khi TCG > 5mm thì caáu truùc
echo trôû neân keùm hôn TG, SA coù theå thaáy ñöôïc caáu truùc naèm
giöõa TG vaø cô daøi coå.
III. TUYEÁN CAÄN GIAÙP
83
 TCG laø cô quan nhaïy vôùi calci trong maùu baèng caùch
tieát ra PTH (parathormone) vaø ñieàu chænh calci huyeát
baèng cô cheá phaûn hoài.
 Khi calci maùu giaõm, TCG bò kích thích ñeå phoùng thích
PTH . Khi löôïng calci huyeát thanh taêng, thì hoaït ñoäng cuûa
TCG giaõm.
 TCG taùc ñoäng leân xöông, thaän, ruoät non trong vieäc
haáp thu calci. Beänh nhaân taêng calci maùu khoâng roõ nguyeân
nhaân caàn phaûi laøm SA tuyeán caän giaùp. Ngoaøi ra soûi thaän,
ñau xöông cuõng coù chæ ñònh SA TCG.
84
2/. Kyõ thuaät SA:
 Ñaàu doø 7.5 – 10 Mhz, ñoä ly giaûi cao.
 Khaûo saùt maët caét ngang vaø doïc ñoaïn ñöôøng cuûa
TG, keát hôïp vôùi nuoát ñeå phaân bieät vôùi nhaân TG.
85
3/. Beänh hoïc:
a/ Cöôøng TCG nguyeân phaùt:
 Nöõ gaëp nhieàu hôn nam gaáp 2 – 3 laàn, nhaát laø sau khi
maõn kinh.
 Bieåu hieän: taêng calci maùu, soûi nieäu, phosphate maùu
giaõm.
 Phaàn lôùn khoâng trieäu chöùng, thaäm chí khi ñaõ coù chaån
ñoaùn nhö soûi nieäu, ñau xöông.
 Nguyeân nhaân: u tuyeán, taêng saûn hieám khi do ung thö
(carcinoâm).
86
b/ U tuyeán laønh tính:
 Laø nguyeân nhaân gaây cöôøng TCG trong 80% ca, u coù
theå ôû baát kyø TCG naøo, kích thöôùc thöôøng < 3 cm.
 U hình baàu duïc, daïng daëc, echo keùm, coù voû bao vaø bôø
raát moûng.
 Phaân bieät u TCG vaø taêng saûn TCG veà maët hình thaùi
vaø moâ hoïc khoù.
c/ Taêng saûn nguyeân phaùt:
 Taêng chöùc naêng cuûa taát caû TCG khoâng roõ nguyeân
nhaân.
 Chæ coù 1 TCG taêng kích thöôùc hay taát caû ñeàu taêng kích
thöôùc, nhöng khoâng vöôït quaù 1cm.
87
d/ Carcinoâm:
 Veà moâ hoïc, khoù phaân bieät u tuyeán vôùi ung thö. Ñoâi
khi chæ coù theå döïa vaøo haïch vuøng, di caên xa, taùi phaùt
taïi choå, xaâm laán voû bao ñeå phaân bieät.
 Ung thö thöôøng nhoû, bôø khoâng ñeàu, cöùng, dính caáu
truùc keá caän. Nguyeân nhaân gaây töû vong thöôøng do bieán
chöùng cuûa cöôøng TCG chöù khoâng phaûi do ung thö.
88
e/ Cöôøng TCG thöù phaùt:
 Do suy thaän, thieáu vitamin D, hoäi chöùng keùm haáp thu laøm
giaûm calcium maùu maõn tính.
 Caùc nguyeân nhaân naøy gaây taêng tieát PTH roài gaây cöôøng TCG.
 Caû 4 TCG ñeàu maéc phaûi.
89
90
IV. CAÙC KHOÁI KHAÙC ÔÛ VUØNG COÅ:
 Nang giaùp – thieät: baát thöôøng baåm sinh naèm ôû ñöôøng
giöõa, tröôùc khí quaûn. Nang hình caàu hieám khi > 3 cm. Do
toàn taïi oáng ñi töø ñaùy löôõi ñeán xöông öùc.
 Nang khe mang: naèm ôû coå beân, do toàn taïi tuùi thöøa trong
quaù trình phaùt trieån phoâi thai ñi töø xoang haàu oáng tai trong
hay trong coå. Nang naøy coù theå chöùa phaàn moâ ñaëc ñoä hoài aâm
keùm.
 Nang maïch baïch huyeát: nang to vuøng coå beân, ña thuøy,
nhieàu vaùch ngaên.
 Abceøs.
 Böôùu vaø haïch.
91
KEÁT LUAÄN
 Sieâu aâm laø phöông tieän ñôn giaûn, nhanh, reû, khoâng
ñoäc haïi, hieäu quaû cao.
Giuùp phaân bieät ñöôïc caùc loaïi beänh lyù TG: nhaân,
vieâm, RL chöùc naêng.
Keát hôïp vôùi SA maøu & choïc huùt teá baøo baèng kim
nhoû naâng hieäu quaû chaân ñoaùn.

Sa tuyen giap12

  • 1.
  • 2.
    2 PHAÀN I: KHAÙINIEÄM CHUNG PHAÀN II: BEÄNH HOÏC VAØ HÌNH AÛNH SIEÂU AÂM CUÛA CAÙC LOAÏI NHAÂN GIAÙP. PHAÀN III: VIEÂM GIAÙP VAØ ROÁI LOAÏN CHÖÙC NAÊNG TUYEÁN GIAÙP PHAÀN IV: CAÙC CÔ QUAN CAÄN TUYEÁN GIAÙP VAØ DÒ DAÏNG BAÅM SINH
  • 3.
    3 PHAÀN I: KHAÙINIEÄM CHUNG I. TÍNH PHOÅ THOÂNG: Sieâu aâm (SA): laø khaûo saùt ñaàu tieân sau khaùm laâm saøng, laø phöông tieän ñeå phaùt hieän sôùm moät soá beänh lyù tuyeán giaùp (TG) nhö ung thö, vieâm giaùp. Phöông tieän ñôn giaûn, nhanh, reû, khoâng ñoäc haïi, hieäu quaû cao. Giuùp phaân bieät ñöôïc caùc loaïi beänh lyù TG: nhaân, vieâm, RL chöùc naêng. Khi keát hôïp vôùi SA maøu & choïc huùt teá baøo baèng kim nhoû (Fine Needle aspiration Cytology =FNAC) giuùp cho vieäc theo doõi ñònh kyø hay phaãu thuaät nhaân giaùp.
  • 4.
    4 II. KYÛ THUAÄT: Ñaàudoø: 7.5 – 13 MHz, +/- gel stand off. Coå ngöûa toái ña: caét doïc & ngang , +/- nuoát. Caàn keâ goái döôùi vai khi tieán haønh FNAC.
  • 5.
    5 III. GIAÛI PHAÃUTUYEÁN GÍAP: 1.Giaûi phaãu thöôøng:
  • 6.
  • 7.
    7 1 2 3 4 8 9 10 11 12 13 14 15 5 6 7 1- Tuyeán giaùp;2- Khí quaûn; 3- Tuyeán caän giaùp; 4- Tónh maïch haàu trong; 5- Ñoäng maïch caûnh goác; 6- TK haàu quaët ngöôïc; 7- ÑM giaùp döôùi 8- Cô öùc – giaùp; 9- Cô vai – moùng; 10- Cô öùc – moùng; 11- Cô öùc - ñoøn - chuõm; 13- Thöïc quaûn; 14- Cô daøi coå; 15- Coät soáng
  • 8.
    8 2. Giaûi phaãuSA:  Caáu truùc TG: ñoàng nhaát, echo daày hôn cô vaø baèng tuyeán mang tai.  Kích thöôùc: Chieàu cao vaø ngang thay ñoåi nhieàu töø 40-60mm vaø 10-20mm. Chieàu daøy ít thay ñoåi: >20mm nghi ngôø coù beänh lyù, > 25mm chaéc chaén coù beänh lyù. Theå tích bình thöôøng 10 +/- 4ml  Chieàu daøy: quan troïng nhaát, laø nguyeân nhaân gaây caùc daáu hieäu laâm saøng nhö cheøn eùp, nuoát vöôùng. Ño TG caàn thieát trong tính lieàu chaát phoùng xaï trong ñieàu tri cöôøng giaùp hay ñaùnh giaù theå tích TG coøn laïi sau ñieàu trò caét giaùp.  Ngöoøi lôùn tuoåi: tuyeán giaùp giaõm theå tích, caáu truùc ít ñoàng nhaát.  Lieân quan giaûi phaåu: _ Cô. _ Thöïc quaûn, khí quaûn, gai soáng. _ 2 beân: maïch maùu vaø haïch coå.
  • 9.
    9 EO GIAÙP CÔ ÖÑC ÑM CÔDAØI COÅ NHOÙM CÔ COÅ TRÖÔÙC MAËT CAÉT NGANG MAËT CAÉT DOÏC
  • 10.
    10 PHAÀN I: KHAÙINIEÄM CHUNG PHAÀN II: BEÄNH HOÏC VAØ HÌNH AÛNH SIEÂU AÂM CUÛA CAÙC LOAÏI NHAÂN GIAÙP. PHAÀN III: VIEÂM GIAÙP VAØ ROÁI LOAÏN CHÖÙC NAÊNG TUYEÁN GIAÙP PHAÀN IV: CAÙC CÔ QUAN CAÄN TUYEÁN GIAÙP VAØ DÒ DAÏNG BAÅM SINH
  • 11.
    11 I. TAÀN SUAÁTNHAÂN GIAÙP: Toån thöông daïng nhaân ñaëc cuûa tuyeán giaùp theo caùc thoáng keâ laâm saøng chieám tæ leä cao, ñaëc bieät cao ôû caùc vuøng coù beänh böôùu giaùp ñòa phöông. Ung thö giaùp hieám, chieám 0,5 – 1,3 % cuûa taát caû K vaø 0,004% toång daân soá (theo thoáng keâ cuûa OMS). Tuy nhieân ôû VN, theo thoáng keâ cuûa TTUB naêm 1995, tæ leä ung thö giaùp laø 2,1% trong toång soá caùc ung thö. Sieâu aâm phaàn meàm baèng ñaàu doø coù ñoä ly giaûi cao phaùt hieän ñöôïc caùc nhaân giaùp tieàn laâm saøng. PHAÀN II: BEÄNH HOÏC VAØ HÌNH AÛNH SIEÂU AÂM CUÛA CAÙC LOAÏI NHAÂN GIAÙP.
  • 12.
    12 II. ÑAËC ÑIEÅMSIEÂU AÂM NHAÂN GIAÙP: A/. Moâ taû SA: 1. Taïi choå:  Daïng ñaëc hay nang.  Caáu truùc echo daày, keùm, troáng.  Ñoàng nhaát hay khoâng, coù keøm theo voâi hoùa hoaëc hoaù nang.  Bôø ñeàu hay khoâng, giôùi haïn, coù hay khoâng daáu halo.  Soá löôïng, vò trí, kích thöoùc.  Phaàn moâ giaùp coøn laïi.  Veõ sô ñoà. 2. Keá caän:  Haïch, lieân quan vôùi caùc maïch maùu.  Thöïc quaûn, khí quaûn: bò ñaåy leäch vaø eùp deïp.
  • 13.
  • 14.
    14 B/. Tieâu chuaånchaån ñoaùn SA: Khoâng coù tieâu chuaån SA roõ reät ñeå phaân bieät laønh – aùc. Phaûi keát hôïp nhöõng ñaëc ñieåm SA coù ñöôïc ñeå höôùng tôùi chaån ñoaùn.
  • 15.
    15 Beänh hoïcÑAËC Ñaëcñieåm Laønh Aùc 1. Caáu truùc echo Ñaëc Nang Hoån hôïp 2. Ñoä echo Keùm Ñoàng Daày 3. Giôùi haïn Giôùi haïn roõ Giôùi haïn khoâng roõ 4. Halo Daày / khoâng toaøn veïn Moõng / toaøn veïn 5. Voâi hoùa ** Ngoaïi bieân (voû soø) Beân trong To Nhoû (1) (2) (2) (1) (3) (4) (2) (2) (4) (3) (1) (1)* (3) (2) (2) (3) (2) (1): khoù xaùc ñònh, coù theå gaëp. (2): coù theå, thöôøng gaëp. (3): Khoù caùc ñònh, ít gaëp. (4): coù theå. xaùc suaát xaûy ra >85%. (*): maëc duø haàu heát nhaân aùc ñeàu echo keùm, phaàn lôùn caùc nhaân echo keùm laø laønh tính. (**):Voâi hoùa: 13% voâi hoùa ñi keøm vôùi nhaân, söï phaân boá & kieåu voâi hoùa raát quan troïng
  • 16.
    16 III. BEÄNH CAÊN: A/.Phình giaùp ñôn thuaàn: chöùc naêng TG khoâng thay ñoåi. PG khoâng taïo haït = PG lan toaû. PG taïo haït: coù theå xaûy ra ngay töø ñaàu hay laø giai ñoaïn sau cuûa PG lan toaû. PG ñôn haït hay ña haït, ôû 1 hay caû 2 thuøy. Haït coù theå dang nang, daïng ñaëc hay hoån hôïp. Caùc haït (nhaân) naøy khoâng phaûi laø taân sinh maø do taêng saûn vaø thoaùi hoaù cuûa tieåu thuøy tuyeán giaùp taïo ra nhaân giaùp, coù lieân quan ñeán tình traïng thieáu iode trong thöùc aên, roái loaïn chuyeån hoaù Iode ... .
  • 17.
    17 1/. PG lantoaû: TG taêng theå tích, caáu truùc khoâng thay ñoåi.
  • 18.
    18 2/. Nhaân giaùpdaïng nang: a. Ñaëc tính:  Nang giaùp thaät söï ít thaáy.  Phaàn lôùn nang giaùp thöôøng gaëp laø nang keo do keát tuï dòch keo trong caùc tuùi nang, dòch vaøng, seät. Khi coù xuaát huyeát = nang giaû maùu (pseudo – heùmatique). b. Hình aûnh SA: ña daïng, tuøy theo giai ñoaïn (tuoåi cuûa nhaân). Löu yù: K gíap khoâng bao giôø bieåu hieän döôùi daïng nang hoøan toaøn.
  • 19.
  • 20.
  • 21.
  • 22.
    22 3/. Nhaân giaùpdaïng ñaëc:  Sinh lyù beänh: thieáu ioát  taêng tieát TSH  TG bò kích thích laøm toaøn boä TG bò phì ñaïi (giai ñoaïn coøn coù theå ñaûo ngöôïc)  tích tuï chaát keo trong nang giaùp vaø thay ñoåi moâ keõ ( vónh vieãn)  Veà phöông dieän giaûi phaåu beänh hoïc, phình giaùp luùc ñaàu laø söï phì ñaïi ñoàng nhaát cuûa TG, roài ñeán taêng saûn. Veà sau, caáu truùc TG thay ñoåi, trôû neân khoâng ñoàng nhaát do söï hình thaønh caùc vuøng thoaùi hoaù, taêng saûn, taùi taïo, taïo nang vaø xô hoùa. Cuõng coù theå coù nhöõng vuøng xuaát huyeát hay hoùa voâi. Tuy nhieân caùc nhaân giaùp cuõng coù khi xuaát hieän ngay töø ñaàu maø khoâng qua giai ñoaïn phình giaùp lan toaõ.
  • 23.
    23  PG ñônhaït hay ña haït: Haït coù caáu truùc echo raát ña daïng (tuoåi): echo daày, ñoàng echo, hôi keùm hay raát keùm so vôùi chuû moâ giaùp. Giôùi haïn roõ hay khoâng ro,õ khu truù ôû 1 hay 2 thuøy. Ñoàng nhaát hay khoâng do coù keøm theo tình traïng voâi hoùùa (to) hay hoùa nang trong nhaân.  Chaån ñoaùn phaân bieät PG haït vôùi böôùu laønh TG hay k giaùp döïa vaøo hình aûnh SA nhieàu khi khoâng theå ñöôïc.
  • 24.
    24 B. Caùc loaïinhaân giaùp daïng ñaëc: (do hay khoâng do phình giaùp) 1/. Ñaëc ñieåm: Phaàn lôùn caùc nhaân giaùp laø laønh tính, phaân bieät nhaân laønh – aùc ñoâi khi khoù treân LS. Veà maët beänh hoïc, nhaân laønh tính thöôøng toàn taïi chung vôùi nhaân aùc tính; vaø / hoaëc ung thö giaùp thöoøng ña oå. Vì theá caàn keát hôïp SA maøu vaø FNAC caùc nhaân nghi ngôø, theo doõi ñònh kyø.
  • 25.
    25 2. Hình aûnhSA (nhaân ñaëc):  Tæ leä nhaân echo keùm, hay echo daày nhieàu >> nhaân ñoàng echo vôùi chuû moâ giaùp.  Nhaân echo daày thöôøng laønh tính. Tuy nhieân caàn chaån ñoaùn phaân bieät vôùi echo daày do vi voâi hoùa trong nhaân.  Giôùi haïn cuaû nhaân: ít coù giaù trò chaån ñoaùn. Tuy nhieân caùc nhaân coù halo ñeàu quanh nhaân thöôøng laø laønh tính.  Khi caùc nhaân coù keøm theo vuøng hoaù nang beân trong: neáu theå tích phaàn nang < 2/3 theå tích cuûa phaàn ñaëc # nhaân giaùp hoaïi töû; ngöôïc laïi neáu lôùn hôn 2/3 # nang giaùp coù choài.
  • 26.
    26  Caùc döõkieän chaån ñoaùn: + Döõ kieän laønh tính: khi nhaân echo daày hay nhaân daïng nang (nhaát laø ñoái vôùi toån thöông coù > 2/3 theå tích laø nang), halo ñeàu, haïch (-). + Döõ kieän aùc tính: echo keùm, vi voâi hoùa trong nhaân, giôùi haïn khoâng roõ, halo khoâng ñeàu, haïch (+). Hoaëc ôû nhöõng ngöôùi coù tieàn caên nhieãm xaï, nam treû.
  • 27.
    27 3. Caùc toånthöông laønh tính:  Phình giaùp haït (phaàn treân)  Böôùu laønh tuyeán giaùp  Caùc loaïi böôùu laønh khaùc xuaát phaùt töø moâ lieân keát hieám gaëp.  Vieâm giaùp: taïo haït thaáy ñöôïc treân laâm saøng vaø sieâu aâm.
  • 28.
  • 29.
  • 30.
  • 31.
  • 32.
  • 33.
  • 34.
  • 35.
    35 Böôùu laønh tuyeángiaùp:  Böôùu tuyeán nang (follicular adenoma) +++, nguyeân nhaân do söï taân sinh laønh tính caùc teá baøo nang tuyeán giaùp, coù voû bao xô quanh nhaân vaø khoâng bao giôø trôû thaønh ung thu giaùp. Tuy nhieân khoù CÑPB toån thöông laønh tính naøy vôùi ung thö giaùp daïng nang. Goïi laø böôùu chöùc naêng (ñoäc tính) laø böôùu laønh coù taêng tieát hormone TG, gaây hoäi chöùng cöôøng giaùp, SA khoâng ñaëc hieäu, caàn keát hôïp XN khaùc.  SA: nhaân echo daày hay ñoàng echo vôùi chuû moâ giaùp. Khoâng theå phaân bieät ñöôïc caùc loaïi toåân thöông daïng nang baèng SA hay teá baøo hoïc  caàn phaåu thuaät.  Moâ hoïc cuûa caùc toån thöông daïng nang: PG tuyeán, böôùu tuyeán nang, Car. daïng nang, Car. daïng nhuù bieán theå nang.
  • 36.
    36 U laønh TG:U teá baøo Hurtle
  • 37.
    37 4. Caùc toånthöông aùc tính: 4.1/ Carcinoâm: Daïng xuaát phaùt töø bieåu moâ nang giaùp goàm k giaùp daïng nhuù, daïng nang, vaø daïng khoâng bieät hoùa. Daïng xuaát phaùt töø teá baøo caïnh tuyeán giaùp: k giaùp daïng tuûy. a/. Car. daïng nhuù: 75-90%, tieân löôïng toát, moät hay ña oå, nhaân phaùt trieån raát chaäm, di caên xa hieám vaø di caên haïch sôùm (aùi haïch). Laø ung thö giaùp duy nhaát ôû treû em, nöõ > nam. 1 soá tröoøng hôïp coù haïch coå di caên do ung thö giaùp nhöng khoâng thaáy nhaân giaùp treân ñaïi theå vaø SA. Khi nhaân kích thöôùc lôùn, thuøy coøn laïi deã bò ung thö neân caàn caét giaùp gaàn troïn.
  • 38.
    38  86,7% laønhaân ñaëc echo keùm, khi lôùn hôn 1 cm nhaân trôû neân khoâng ñoàng nhaát, giôùi haïn khoâng roõ, 50% coù vi voâi hoùa, ít thaáy ñöôïc hình daïng nhuù trong nang.
  • 39.
  • 40.
  • 41.
  • 42.
  • 43.
    43  Ñaëc ñieåmhaïch di caên: maát hình baàu duïc, thöôøng hình troøn, khoâng coøn roán haïch echo daày ôû vuøng trung taâm duø haïch kích thöôùc nhoû. Ñoâi khi haïch coù caáu truùc echo daày hôn cô, ñoàng nhaát, hay hoaïi töû, coù theå coù vi voâi hoùa trong haïch. Ñoâi khi haïch mang hình aûnh gioáng nhö nhaân ung thö nguyeân phaùt cuûa TG.
  • 44.
  • 45.
  • 46.
    46 b/. Car. daïngnang: 5-15%, veà maët hình aûnh vaø teá baøo hoïc khoù phaân bieät vôùi caùc u tuyeán daïng nang laønh tính, PG tuyeán, ung thö giaùp daïng nhuù bieán theå nang; chæ phaân bieät ñöôïc böôùu laønh hay aùc nhôø döïa treân vi theå nhôø hình aûnh xaâm laán voû bao vaø maïch maùu cuûa caùc teá baøo nang giaùp. U phaùt trieån chaäm, di caên ñeán phoåi vaø xöông nhieàu hôn haïch coå. Tieân löôïng xaáu hôn. 2/3 tröôøng hôïp keøm theo PG neân caàn SA maøu trong PG ña haït ñeå loaïi tröø ung thö. Nhaân thöôøng to, ñoàng echo hay gaëp hôn echo keùm, bôø halo khoâng ñeàu, khoâng coù vi voâi hoaù ñi keøm.
  • 47.
    47 TOÅN THÖÔNG DAÏNGNANG PG Adenoma
  • 48.
  • 49.
  • 50.
    50 c/. Car. daïngkhoâng bieät hoùa: 5%, ôû ngöoøi lôùn tuoåi, tieân löôïng xaáu do dieãn tieán nhanh. Böoùu cöùng, lôùn nhanh vaø xaâm laán vaøo caùc cô quan laân caän cô, TQ, maïch maùu, haïch, gaây töû vong do cheøn eùp khí quaûn. SA: Nhaân ñaëc echo keùm hay hoån hôïp, khoâng halo, giôùi haïn khoâng roõ d/. Car. daïng tuûy: <10%, taêng calcitonine trong maùu. Neáu coù lieân quan ñeán di truyeàn thì naèm treân NST thöôøng, mang tính troäi. Beänh coù nhieàu oå hay caû 2 thuøy, xaâm laán vaøo maïch baïch huyeát cho haïch coå vaø vaøo maùu ñeán phoåi, xöông, gan. Nhaân thöôøng to, cöùng, echo keùm nhieàu hôn ñoàng echo, halo (+), vi voâi hoùa 80-90%. Haïch coå to, haïch trung thaát. e/. Car. daïng thöôïng bì: 1%, gioáng car. teá baøo gai bieät hoaù cao hay vöøa, gaëp ôû ngöôøi giaø. Tieân löôïng xaáu.
  • 51.
    51 4.2/ Sarcoâm: thöôønggaëp ôû ngöôøi giaø; limphoâm >> sarcoâm sôïi, sarcoâm maïch maùu. Hình aûnh sarcoâm raát ña daïng. Limphoâm: 4% nguyeân phaùt ôû TG, phaàn lôùn coù vieâm HASHIMOTO keøm theo. Xaâm laán cô, thöïc quaûn, maïch maùu, haïch. SA:  moät nhaân echo keùm gaàn nhö troáng trong limphoâm nguyeân phaùt. Do ñoù neáu hình aûnh naøy quan saùt ñöôïc treân neàn vieâm Hashimoto caàn phaûi laøm FNAC.  Hay daïng ña haït trong limphoâm thöù phaùt: echo keùm, coù theå taêng aâm phía sau, haïch coå 2 beân.
  • 52.
  • 53.
    53 4.3/ K giaùpdo di caên: meùlanome, vuù, phoåi. Ñôn haït hay ña haït. Nhaân coù theå ñeán 6 cm, khoâng nang hoùa. Keøm theo haïch coå vaø di caên ñeán caùc cô quan khaùc. Caàn tìm ung thö nguyeân phaùt. Nhìn chung, beänh hoïc nhaân gíaùp chia 2 loaïi: _ Laønh: goàm nang giaùp, PG haït, vieâm giaùp taïo haït, u giaùp tuyeán. _ Aùc: caùc carcinoâm, sarcoâm (limphoâm), di caên. Coù 2 bieåu hieän LS: _ Ñôn haït: nang, phình giaùp, vieâm giaùp, adenoma, ung thö nguyeân phaùt hay thöù phaùt. _ Ña haït: PG ña haït, vieâm giaùp, limphoâm, K khoâng bieät hoaù, di caên.
  • 54.
    54 BAÛNG TOÙM TAÉTVEÀ BEÄNH CAÊN CUÛA CAÙC LOAÏI TOÅN THÖÔNG NHAÂN GÍAP. AÙC TÍNHLAØNH TÍNH NGUYEÂN PHAÙT THÖÙ PHAÙT Böôùu gíap daïng tuyeán. Phình giaùp tuyeán. Nhaân gíap ñoäc tính. Nang. Nhaân gíap keo. Vieâm giaùp maõn tính. Vieâm giaùp baùn caáp. Thoaùi hoùa daïng boät. Beänh nhieãm saéc toá saét. Car. giaùp daïng nhuù. ---- giaùp daïng nang. ---- giaùp daïng tuûy. ---- gíap khoâng bieät hoùa. ---- daïng bieåu bì. Lymphoâm. Sarcoâm. U quaùi aùc tính. Thaän, Tuïy, Thöïc quaûn, Tröïc traøng, Melanoâm, Phoåi, Lymphoâm.
  • 55.
    55 IV. CÑPB:  Toånthöông ngoaøi TG: haïch, böôùu boïc coå beân, u caän giaùp.  Tuùi thöøa Zenker.  Toån thöông giaû nhaân trong TG.
  • 56.
    56 HAÏT GIAÙP (LSHAY SA) NANG NHAÂN ÑAËC NANG GIAÙP KEO +++ NANG DO K (hieám) PGH (+++) BÖÔÙU LAØNH (ADENO MA) hieám K GIAÙP VIEÂM
  • 57.
    57 PHAÀN I: KHAÙINIEÄM CHUNG PHAÀN II: BEÄNH HOÏC VAØ HÌNH AÛNH SIEÂU AÂM CUÛA CAÙC LOAÏI NHAÂN GIAÙP. PHAÀN III: VIEÂM GIAÙP VAØ ROÁI LOAÏN CHÖÙC NAÊNG TUYEÁN GIAÙP PHAÀN IV: CAÙC CÔ QUAN CAÄN TUYEÁN GIAÙP VAØ DÒ DAÏNG BAÅM SINH
  • 58.
    58 PHAÀN III: VIEÂMGIAÙP VAØ ROÁI LOAÏN CHÖÙC NAÊNG TUYEÁN GIAÙP I. VIEÂM: hay gaëp treân laâm saøng, bieåu hieän raát ña daïng vaø deã gaây laàm laãn. 1. Vieâm giaùp baùn caáp (De Quervain):  Theo muøa, sau nhieãm sieâu vi ñöôøng hoâ haáp treân/ nöõ 20-25t. Coù theå coù giai ñoaïn nhieãm giaùp ñoäc toá ôû giai ñoaïn khôûi beänh # 4-8w (do nang tuyeán giaùp bò phaù huyû) roài töï heát.  Sôø thaáy TG cöùng vaø ñau. Haïch coå thöôøng coù. Dieãn tieán suy giaùp hieám (5-10%) , tuy nhieân coù theå ñeå laïi vaøi nhaân laïnh treân xaï hình giaùp. Beänh coù theå taùi phaùt.
  • 59.
    59 o SA giaiñoaïn ñaàu TG to phuø neà echo keùm lan toaû khoâng roõ nhaân, haïch coå daïng vieâm. Ñoâi khi toån thöông vieâm chæ khu truù treân moät thuøy hay moät vuøng nhoû cuûa thuøy giaùp (deã laàm vôùi k) . Hình aûnh vieâm thöôøng toàn taïi trong moät thôøi gian daøi neân sau ñieàu trò theå tích TG trôû veà bình thöôøng nhöng baát thöôøng veà hình thaùi vaãn coøn.
  • 60.
    60 2. Vieâm giaùplymphoâ baøo maõn tính (Hashimoto):  Beänh töï mieãn, coù khuynh höôùng di truyeàn, chaån ñoaùn khoù.  Daïng ñieån hình laø TG to bôø khoâng ñeàu, phuø nieâm töï phaùt, khaùng theå khaùng giaùp cao, xeùt nghieäm chöùc naêng coù tình traïng nhöôïc giaùp, baét chaát phoùng xaï yeáu vaø khoâng ñeàu. Dieãn tieán suy giaùp laø khoâng theå traùnh ñöôïc vôùi tình traïng xô hoùa, teo TG.  Daïng khoâng ñieån hình TG to ñoàng nhaát, bôø hôi khoâng ñeàu, hormone TG bình thöôøng, TG baét xaï bình thöôøng hay khoâng ñoàng nhaát, chæ coù TSH luoân luoân cao.  Nhieãm ñoäc giaùp thöôøng thoaùng qua, nhöng coù khi toàn taïi laâu (Hashitoxicose) = theå beänh chuyeån tieáùp giöaõ vieâm giaùp töï mieãn vaø Basedow.
  • 61.
    61  SA: TGcöùng khoâng to hay to ít, echo keùm lan toaû, coù theå coù caùc haït echo daày treân neàn giaùp echo keùm  duøng SA maøu ñeå phaân bieät vôùi. ÔÛ theå tieán trieån, khoâng coøn thaáy ñöôïc caáu truùc echo bình thöôøng cuûa TG, maø ñöôïc thay theá baèng moâ echo raát keùm hay echo raát daày vaø haáp thu soùng aâm maïnh.  Taêng nguy cô ung thö giaùp daïng nhuù vaø lymphoâm/ Vieâm coù suy giaùp: FNAC khi taêng nhanh theå tích TG.
  • 62.
  • 63.
  • 64.
  • 65.
    65 3. Vieâm giaùptaïo xô maïn tính Riedel:  Hieám. Vieâm maõn coù tình traïng hoùa xô lan toûa, taøn phaù 1 phaàn hay toaøn boä TG & xaâm laán caáu truùc keá caän. Dieãn tieán suy giaùp trong 1/3 tröôøng hôïp khi moâ xô thay theá heát moâ tuyeán giaùp. Coù theå keát hôïp vôùi xô hoùa nôi khaùc: sau phuùc maïc, ñöôøng maät, trung thaát.  Sieâu aâm khoâng ñaëc hieäu, coù theå thaáy 1 hay nhieàu toån thöông daïng böôùu echo keùm ôû 1 thuøy xaâm nhieãm vaøo cô keá caän, hieám vaøo maïch maùu, thoâng thöoøng deã laàm vôùi K.
  • 66.
    66 4. Caùc vieâmkhaùc:  Vieâm caáp taïo muû.  Sieâu aâm :vuøng moâ giaùp khoâng toå chöùc hoaù chöùa dòch khoâng ñoàng nhaát echo keùm hay hoån hôïp treân neàn TG to echo keùm lan toûa.  Nguyeân nhaân: vieâm haàu hoïng, nhieãm truøng vuøng ñaàu coå, doø döôøng tieâu hoùa, hay suy giaõm mieån dòch, ñöôøng maùu . ÔÛ VN coøn do caét leå.  Vieâm giaùp haäu saûn: beänh töï mieån do coù khaùng theå choáng TG (= vieâm giaùp limpho baøo baùn caáp): coù hoäi chöùng cöôøng giaùp thoaùng qua, 1/3 ca suy giaùp phaûi ÑT.  Vieâm giang mai, lao , naám, xaï trò.
  • 67.
    67 II. Beänh lyùchöùc naêng: 1. Cöôøng giaùp: laø hieän töïôïng taêng saûn xuaát hormone TG laøm noàng ñoä hormone/maùu taêng cao vaø gaây nhieãm ñoäc giaùp  Cöôøng giaùp do taêng söï kích thích (naèm beân ngoaøi TG): beänh Basedow, thai tröùng hay choriocarcinoma, ung thö (TSH-like) gaây taêng löôïng hormone giaùp löu hanh trong maùu vaø öùc cheá TSH noäi sinh.  Cöôøng giaùp töï chuû: moät phaàn moâ giaùp taêng sinh vaø trôû neân cöôøng giaùp neân kieåm soaùt töø tuyeán yeân bò öùc cheá vaø laøm cho moâ giaùp naèm ngoaøi vuøng toån thöông bò öùc cheá theo: u ñoäc giaùp (u Plummer= nhaân cöôøng naêng töï chuû ñoäc tuyeán), vieâm giaùp: moâ vieâm phoùng thích nhieàu hormone TG.
  • 68.
    68 1.1/. Basedow:  SAcoù 2 kieåu hình aûnh: _ Taêng saûn lan toaû ñoàng nhaát vôùi vaøi vuøng maïch maùu daõn . _ 86 % TG khoâng ñoàng nhaát khoâng toå chöùc hoaù, echo keùm gioáng nhö vieâm gíap hay hình aûnh nhaân giaû.  Ño ñaït theå tích tuyeán giaùp raát caàn thieát sau phaãu thuaät caét giaùp (taùi phaùt 20%), khi coù chæ ñònh ÑT baèng ioát phoùng xaï.  Suy giaùp sau phaãu thuaät 1%, sau ÑT ioát phoùng xaï25%.  Keát hôïp vôùi K chieám 0,3 – 16,6%, daïng nhuù >> daïng nang.
  • 69.
  • 70.
  • 71.
    71 SA duøng ñaùnhgiaù söï ñaùp öùng ñieàu trò vaø tieân löôïng khaû naêng taùi phaùt.
  • 72.
    72 Basedow ñaõ ñieàutrò baèng thuoác KGTH Phoùng xaï
  • 73.
    73 1.2/. Nhaân gíaùpñoäc:  Nhaân noùng / xaï hình TG vaø taêng sinh maïch maùu / SA maøu.  Tính ñoäc cuûa nhaân khoâng phaûi luoân roõ raøng maø noù coù theå tieàm aån trong nhieàu naêm. Moät soá tröôøng hôïp moâ TG coøn laïi bò teo nhoû.  SA thaáy ñöôïc caùc vuøng xuaát huyeát trong nhaân, laø daáu hieäu chöùng toû nhaân ñang tieán trieån; ñoàng thôøi cho bieát ñoä teo nhoû cuûa chuû moâ giaùp.  ñieàu trò: chích alcool hay nhieät trò lieäu.
  • 74.
  • 75.
    75 2. Suy giaùp:ña soá thöôøng khoâng coù böôùu giaùp Suy giaùp tieân phaùt vieâm giaùp Hashimoto, vieâm baùn caáp, tai bieán do ÑT ioát phoùng xaï ÑT thuoác khaùng giaùp hay phaãu thuaät caét giaùp, roái loaïn chuyeån hoaù, thieáu men toång hôïp hormone giaùp, chaát khaùng giaùp trong thöùc aên, Lithium thuoác ÑT taâm thaàn. Suy giaùp thöù phaùt suy tuyeán yeân do u, phaãu thuaät, do tuyeán yeân bò phaù huyû (h/c Sheehan) Suy giaùp ñeä tam caáp roái loaïn chöùc naêng haï ñoài Suy giaùp nguyeân nhaân ñaëc bieät ñeà khaùng ôû ngoaïi vi vôùi taùc duïng hormone TG, baát thöôøng ôû thuï theá ñv T4 ôû teá baøo.
  • 76.
    76 Sieâu aâm:  TGnhoû, echo keùm, khoâng baét xaï.  FNAC neáu nghi suy giaùp do vieâm De Quervain hay Hashimoto.
  • 77.
    77 HAÏT GIAÙP (LSHAY SA) NANG NHAÂN ÑAËC NANG GIAÙP KEO +++ NANG DO K (hieám) PGH (+++) BÖÔÙU LAØNH (ADENO MA) hieám K GIAÙP VIEÂM CÖÔØNG GIAÙP BASEDOWTHUOÁC
  • 78.
    78 PHAÀN I: KHAÙINIEÄM CHUNG PHAÀN II: BEÄNH HOÏC VAØ HÌNH AÛNH SIEÂU AÂM CUÛA CAÙC LOAÏI NHAÂN GIAÙP. PHAÀN III: VIEÂM GIAÙP VAØ ROÁI LOAÏN CHÖÙC NAÊNG TUYEÁN GIAÙP PHAÀN IV: CAÙC CÔ QUAN CAÄN TUYEÁN GIAÙP VAØ DÒ DAÏNG BAÅM SINH
  • 79.
    79 PHAÀN IV: CAÙCCÔ QUAN CAÄN TUYEÁN GIAÙP VAØ DÒ DAÏNG BAÅM SINH I. CAÙC CÔ QUAN CAÄN TUYEÁN GIAÙP: 1. Khí quaûn: bò ñaåy sang beân, ñaåy ra sau, giaõm khaåu kính. 2. Thöïc quaûn: TG khoâng bao giôø ñeø tröïc tieáp leân thöïc quaûn maø do TG ñaåy khí quaûn ra sau vaø cheøn eùp vaøo thöïc quaûn. 3. Maïch maùu: boù maïch caûnh bò ñaåy ra sau. Moät soá tröôøng hôïp taïo phình ÑM caûnh do nhaân gíap cheøn eùp laâu ngaøy. 4. Haïch: phaân tích kích thöôùc, hình thaùi, caáu truùc echo, giôùi haïn ñeå höôùng tôùi tính chaát haïch. 5. Tuyeán caän giaùp. Hieám gaëp
  • 80.
    80  Voâ saûnhoaëc laïc choå tuyeán giaùp.  Thieåu saûn 1 thuøy. II. DÒ DAÏNG BAÅM SINH:
  • 81.
  • 82.
    82 1/ .Giaûi phaãuvaø sinh lyù:  Tuyeán caän giaùp (TCG) naèm sau tuyeán giaùp, goàm 2 tuyeán naèm treân vaø 2 naèm döôùi, tuy nhieân moät soá ngöôøi coù 3 hay 5 TCG.  TCG phaúng coù hình ñóa, kích thöôùc < 4mm, caáu truùc baèng vôùi TG neân khoù phaùt hieän treân SA. Khi TCG > 5mm thì caáu truùc echo trôû neân keùm hôn TG, SA coù theå thaáy ñöôïc caáu truùc naèm giöõa TG vaø cô daøi coå. III. TUYEÁN CAÄN GIAÙP
  • 83.
    83  TCG laøcô quan nhaïy vôùi calci trong maùu baèng caùch tieát ra PTH (parathormone) vaø ñieàu chænh calci huyeát baèng cô cheá phaûn hoài.  Khi calci maùu giaõm, TCG bò kích thích ñeå phoùng thích PTH . Khi löôïng calci huyeát thanh taêng, thì hoaït ñoäng cuûa TCG giaõm.  TCG taùc ñoäng leân xöông, thaän, ruoät non trong vieäc haáp thu calci. Beänh nhaân taêng calci maùu khoâng roõ nguyeân nhaân caàn phaûi laøm SA tuyeán caän giaùp. Ngoaøi ra soûi thaän, ñau xöông cuõng coù chæ ñònh SA TCG.
  • 84.
    84 2/. Kyõ thuaätSA:  Ñaàu doø 7.5 – 10 Mhz, ñoä ly giaûi cao.  Khaûo saùt maët caét ngang vaø doïc ñoaïn ñöôøng cuûa TG, keát hôïp vôùi nuoát ñeå phaân bieät vôùi nhaân TG.
  • 85.
    85 3/. Beänh hoïc: a/Cöôøng TCG nguyeân phaùt:  Nöõ gaëp nhieàu hôn nam gaáp 2 – 3 laàn, nhaát laø sau khi maõn kinh.  Bieåu hieän: taêng calci maùu, soûi nieäu, phosphate maùu giaõm.  Phaàn lôùn khoâng trieäu chöùng, thaäm chí khi ñaõ coù chaån ñoaùn nhö soûi nieäu, ñau xöông.  Nguyeân nhaân: u tuyeán, taêng saûn hieám khi do ung thö (carcinoâm).
  • 86.
    86 b/ U tuyeánlaønh tính:  Laø nguyeân nhaân gaây cöôøng TCG trong 80% ca, u coù theå ôû baát kyø TCG naøo, kích thöôùc thöôøng < 3 cm.  U hình baàu duïc, daïng daëc, echo keùm, coù voû bao vaø bôø raát moûng.  Phaân bieät u TCG vaø taêng saûn TCG veà maët hình thaùi vaø moâ hoïc khoù. c/ Taêng saûn nguyeân phaùt:  Taêng chöùc naêng cuûa taát caû TCG khoâng roõ nguyeân nhaân.  Chæ coù 1 TCG taêng kích thöôùc hay taát caû ñeàu taêng kích thöôùc, nhöng khoâng vöôït quaù 1cm.
  • 87.
    87 d/ Carcinoâm:  Veàmoâ hoïc, khoù phaân bieät u tuyeán vôùi ung thö. Ñoâi khi chæ coù theå döïa vaøo haïch vuøng, di caên xa, taùi phaùt taïi choå, xaâm laán voû bao ñeå phaân bieät.  Ung thö thöôøng nhoû, bôø khoâng ñeàu, cöùng, dính caáu truùc keá caän. Nguyeân nhaân gaây töû vong thöôøng do bieán chöùng cuûa cöôøng TCG chöù khoâng phaûi do ung thö.
  • 88.
    88 e/ Cöôøng TCGthöù phaùt:  Do suy thaän, thieáu vitamin D, hoäi chöùng keùm haáp thu laøm giaûm calcium maùu maõn tính.  Caùc nguyeân nhaân naøy gaây taêng tieát PTH roài gaây cöôøng TCG.  Caû 4 TCG ñeàu maéc phaûi.
  • 89.
  • 90.
    90 IV. CAÙC KHOÁIKHAÙC ÔÛ VUØNG COÅ:  Nang giaùp – thieät: baát thöôøng baåm sinh naèm ôû ñöôøng giöõa, tröôùc khí quaûn. Nang hình caàu hieám khi > 3 cm. Do toàn taïi oáng ñi töø ñaùy löôõi ñeán xöông öùc.  Nang khe mang: naèm ôû coå beân, do toàn taïi tuùi thöøa trong quaù trình phaùt trieån phoâi thai ñi töø xoang haàu oáng tai trong hay trong coå. Nang naøy coù theå chöùa phaàn moâ ñaëc ñoä hoài aâm keùm.  Nang maïch baïch huyeát: nang to vuøng coå beân, ña thuøy, nhieàu vaùch ngaên.  Abceøs.  Böôùu vaø haïch.
  • 91.
    91 KEÁT LUAÄN  Sieâuaâm laø phöông tieän ñôn giaûn, nhanh, reû, khoâng ñoäc haïi, hieäu quaû cao. Giuùp phaân bieät ñöôïc caùc loaïi beänh lyù TG: nhaân, vieâm, RL chöùc naêng. Keát hôïp vôùi SA maøu & choïc huùt teá baøo baèng kim nhoû naâng hieäu quaû chaân ñoaùn.