Rapid Introduction to
Radiology
MOHAMMED EZUDDIN M.D.
PGY-5 CHIEF RESIDENT
JACKSON MEMORIAL HOSPITAL UNIVERSITY OF MIAMI
DEPARTMENT OF RADIOLOGY
No Disclosures
What is Radiology?
Types of Radiation
 Ionizing Radiation
 X ray photons
 Gamma rays
 Particulate Radiation
 α
 β
Modalities
Physical Concepts
Contrast Resolution Spatial Resolution
Modalities
 X ray
 Computed Tomography
 Ultrasound
 Magnetic Resonance Imaging
 Nuclear Medicine
X ray
Pros
 Quick
 Cheap
 Superior Spatial Resolution
Cons
 Easy to miss subtle findings
 Limited evaluation of three
dimensional structures
Computed Tomography
Pros
 Three dimensional information
 Better contrast resolution over x ray
 Multiphase imaging greatly increases
specialized utility
 Isotropic reconstruction
Cons
 Costly
 Slower than plain radiograph
 Contrast allergies
 Complexity of ordering
 Large dose of ionizing radiation
Ultrasound
Pros
 Vascular information/moving fluid
 Fast
 Cheap
 Does not use ionizing radiation
 Sensitive for fluid (collection,
hematoma)
Cons
 Limited depth
 Limited utility
Magnetic Resonance Imaging
Pros
 Superior contrast resolution
 Staging purposes
 No ionizing radiation
Cons
 Poor spatial resolution
 Slow
 Costly
 Limited utility in the emergent setting
 Physical Restrictions
 Artifacts
 Patient tolerance
Nuclear Medicine
Pros
 Functional Imaging
 PET/CT is the workhorse for staging in
many neoplastic protocols
 Often provides an adjunct or
alternative to conventional imaging
modalities
 Uses include VQ scan
 Brain death study
 GI bleeding scan
Cons
 Highest radiation dose
 Poor spatial resolution
 Costly
 Slow
 Not always available
Where to find help...
ACR Appropriateness Criteria
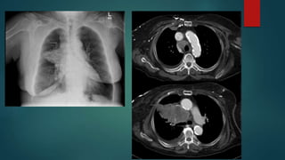
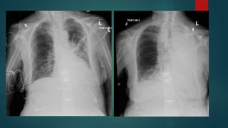
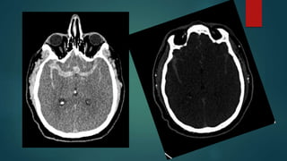
Oncologic Emergencies
Superior Vena Cava Syndrome
Airway Obstruction
Spinal Cord Compression
Altered Mental Status
Bleeding
PET/CT
Questions
Thank you

Radiology 101