PRINCIPLES OF
INTERNAL FIXATION &
PLATE OSTEOSYNTHESIS
DR BIPUL BORTHAKUR
PROF OF ORTHOPAEDICS,SILCHAR,ASSAM,INDIA
Principles of Internal fixation
 To promote early active pain free movement and full weight
bearing of affected limb.
 Prevent fracture disease (Muscle atrophy, Joint stiffness, Tissue adhesions,
Osteoporosis)
Osteosynthesis
Osteosynthesis is defined as fixation of a bone.
It is a surgical procedure to treat bone fractures in which bone
fragments are joined with screws, plates, nails or wires.
Fixation stability
 Relative Stability
 IM nailing
 Ex fix
 Bridge plating
 Cast
 Absolute Stability
 Lag screw/ plate
 Compression plate
Indications of internal fixation
 Displaced intra-articular fracture
 Axial, angular, or rotational instability that cannot be controlled by closed
methods
 Open fracture
 Polytrauma
 Associated neurovascular injury
Internal fixators
• wire
• Tension band wiring
• Intramedullary pinning, nailing
• Interfragmentary screws
• Plates & screws
• Kirschner –Ehmer apparatus
Wires
Various knots used to
tighten encirclage wire
Twisting
 Single loop
 Double loop
Tension band wiring
 opposes tensile forces -muscles , ligaments.
 converts tensile forces to compressive forces.
 Indications- fixation of patella, olecranon, fibular tarsal
bone, tibial tuberosity, greater trochantr of femur,
acromian process of scapula.
Principles of full cerclage wire
 Length of the fracture line should be two to three times the diameter of the marrow cavity
 There should be a maximum of two fracture lines (i.e., no more than two main segments and one large butterfly
fragment)
 The fracture must be anatomically reduced
 Never use a single cerclage wire
 Place wires ~ 1 cm apart
 Place wires ~ 0.5 cm from fracture
 Kirschner wires may be used to prevent cerclage wire slippage
Twisting of cerclage wire
Kirschner wires
• Small and elastic
• Usually used as- Transcortical pins (“skewer wires”), Pin and tension band fixation, Cross pinning,
Dynamic pinning, stabilize metaphyseal and physeal fractures in young patients.
• The pins should not cross at the fracture site.
• 0.035-0.062 inch in size
Intramedullary pins
 Indications: Diaphyseal fixation of humerus, femur, tibia,
metacarpal and metatarsal
 Very resistant to bending forces but do not counteract
rotational forces and Axial forces.
 Little damage to blood supply and provide endosteal contact.
 Fill 70% of the bone marrow diameter.
Kuntschers nail
Two blunt ends with eye
Hollow shaft with slot
Cloverleaf cross-section
Principle- three point fixation
Use- transverse or short oblique fracture shaft of femur
Intramedullary Nail
 Locked in place with bone screws.
 Counteracts all fracture forces.
 Can be used for fractures of the femur, tibia, and humerus.
 Can be placed open or closed
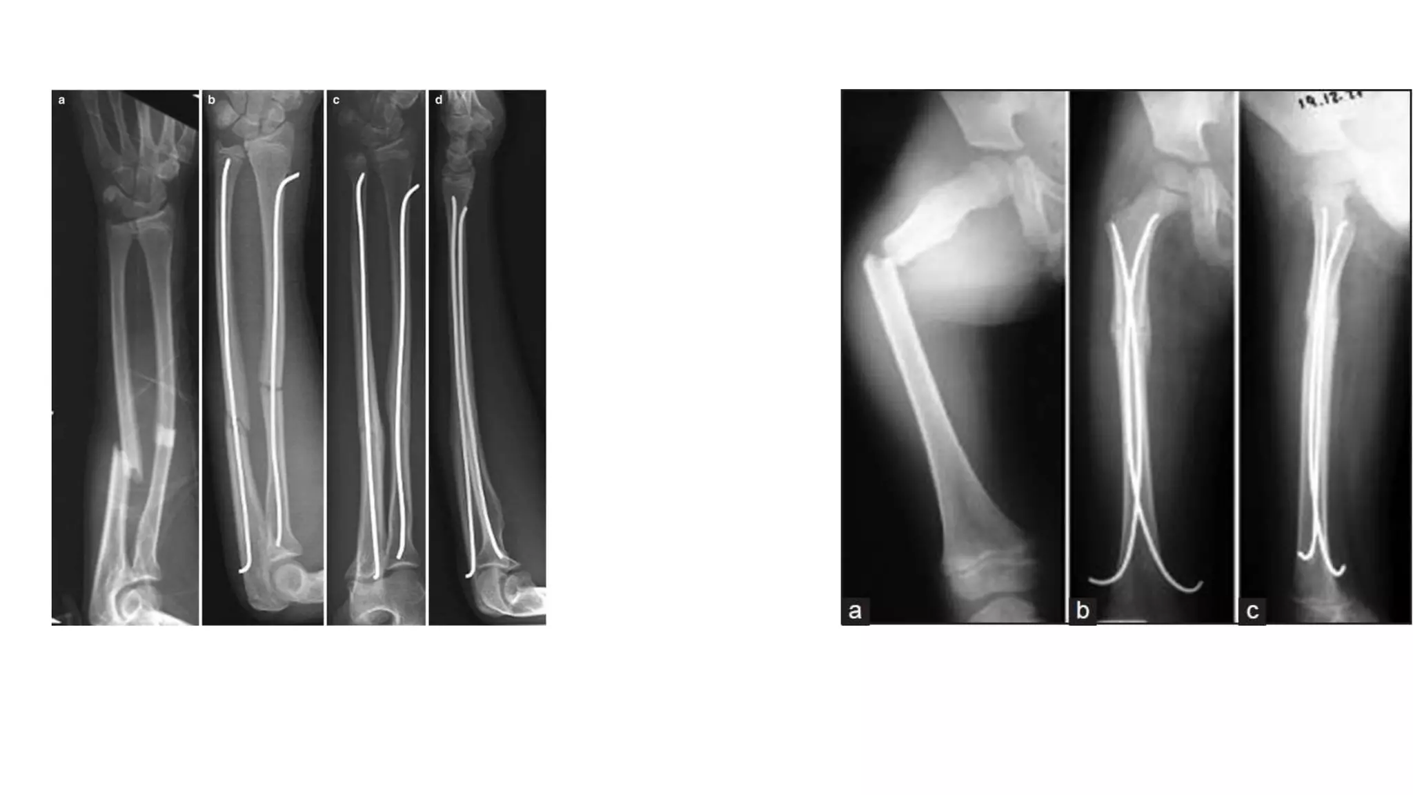
Elastic stable IM nailing
 Principle- three point fixation
 Callus formation
Closed reduction
Maintains length, rotation & alignment
Stainless steel or titanium alloys
 use-pediatric diaphyseal fracture (femur, radius, ulna, humerus)
Screws
Lag screw
 It is a technique of insertion.
 It is the most effective way to achieve compression between two fracture
fragments.
 It pulls the fragments together producing friction across the fracture line.
 It achieves by gaining purchase on distal fragment while being able to turn
freely in the proximal.
 The holding strength of a lag screw increases as the distance from fracture
line at far cortex to screw shaft increases.
→
Two small screws produce more
stale fixation than one large screw.
Clear gliding hole in near cortex
and firm purchase of screw on far
cortex produces requisite lag effect. Lag screw grip is strongest when
distance from fracture line at far
cortex to screw is longest.
Bone Plates
 Protection (Neutralization) plates
 Compression plates
 Buttress plates
 Tension band plates
 Bridge plates
 Condylar plates
Neutralization plates
Holds two fracture fragments which are already fixed with lag screw
Does not produce compression
Compression plate
 It produces a locking force across a fracture site to which it is applied.
 It occurs according to Newton’s third law of motion. The plate is attached
to a bone fragment. It is then pulled across the fracture site by a device,
producing tension in the plate. As a reaction to this tension, compression is
produced at fracture site across which the plate is fixed to the screws.
 It may be static or dynamic.
 Methods of achieving compression- Self plate, Tensioning device
(articulated or Verbrugge forceps), lag screw.
Tension band plate
 It converts tensile force into compressive force.
 After fracture reduction, opposite cortex must provide a bony buttress
to prevent cyclic bending and failure fixation.
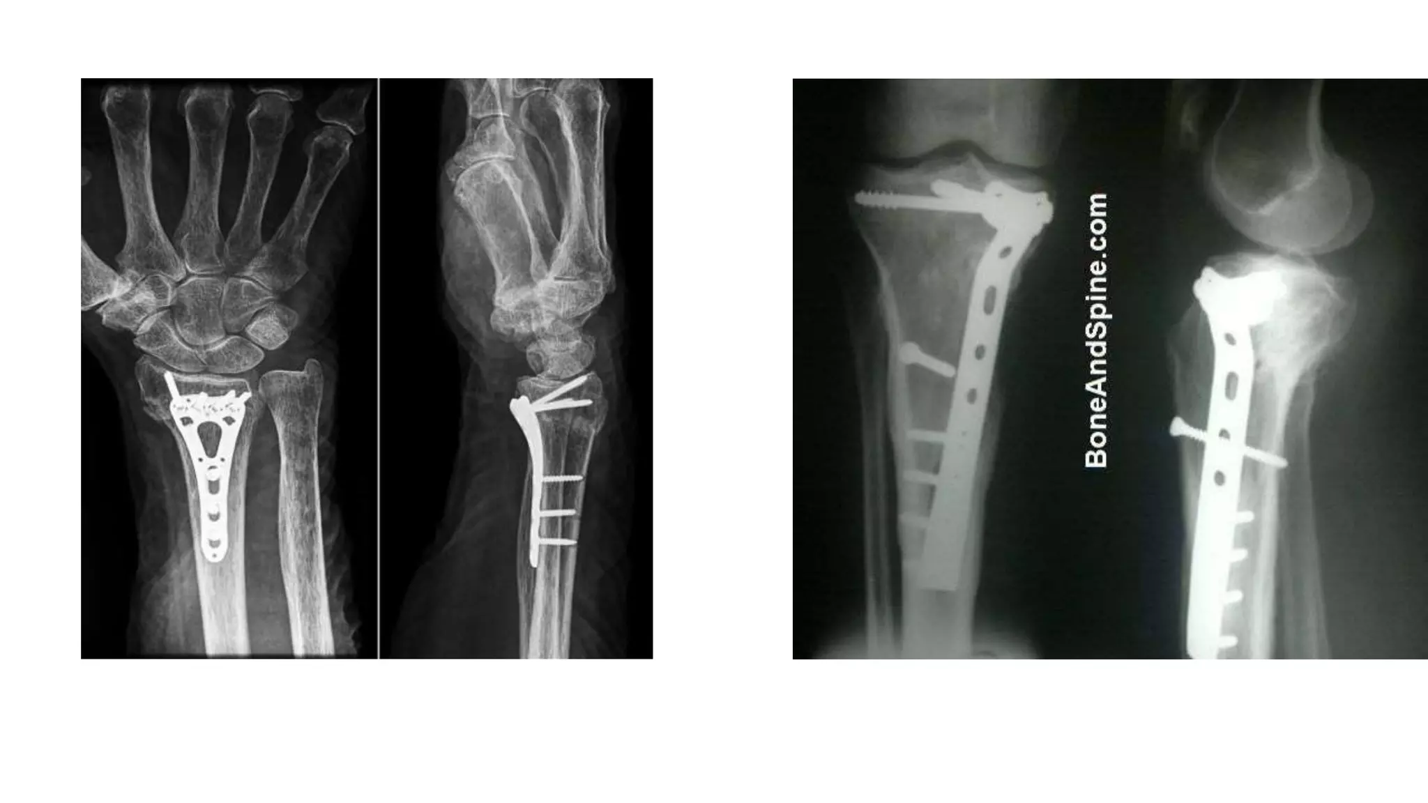
Buttress plate
 It supports weakened area of cortex.
 It prevents bone from collapsing during healing process, facilitating a
wider distribution of load.
 use- epiphyseal and metaphyseal fracture( distal radius , tibial plateau)
Bridge plating
 It transmits various forces from one end of bone to other, bypassing the
area of fracture.
 It acts as a mechanical link between healthy segments of bone above and
below the fracture.
 It does not produce any compression.
 Maintain length, axis, rotation.
 Healing with callus formation
Condylar plate
 It is used in treatment of intra-articular distal femoral fractures.
 It maintains reduction of major intra-articular fragments.
 It rigidly fixes the metaphyseal components to diaphyseal shaft.
 It functions both as a neutralization plate and a buttress plate.
अविनाशि तु तद्विद्धि येन सिवशिदं तति ् |
विनाििव्ययस्यास्य न कश्चित्कतुविर्वतत || 17||
avināśhi tu tadviddhi yena sarvam idaṁ tatam
vināśham avyayasyāsya na kaśhchit kartum arhati
Meaning-That which pervades the entire body, know it to be
indestructible. No one can cause the destruction of the imperishable
soul.
Thank you

Principle of internal fixation copy

  • 1.
    PRINCIPLES OF INTERNAL FIXATION& PLATE OSTEOSYNTHESIS DR BIPUL BORTHAKUR PROF OF ORTHOPAEDICS,SILCHAR,ASSAM,INDIA
  • 2.
    Principles of Internalfixation  To promote early active pain free movement and full weight bearing of affected limb.  Prevent fracture disease (Muscle atrophy, Joint stiffness, Tissue adhesions, Osteoporosis)
  • 3.
    Osteosynthesis Osteosynthesis is definedas fixation of a bone. It is a surgical procedure to treat bone fractures in which bone fragments are joined with screws, plates, nails or wires.
  • 4.
    Fixation stability  RelativeStability  IM nailing  Ex fix  Bridge plating  Cast  Absolute Stability  Lag screw/ plate  Compression plate
  • 5.
    Indications of internalfixation  Displaced intra-articular fracture  Axial, angular, or rotational instability that cannot be controlled by closed methods  Open fracture  Polytrauma  Associated neurovascular injury
  • 6.
    Internal fixators • wire •Tension band wiring • Intramedullary pinning, nailing • Interfragmentary screws • Plates & screws • Kirschner –Ehmer apparatus
  • 7.
  • 8.
    Various knots usedto tighten encirclage wire Twisting  Single loop  Double loop
  • 9.
    Tension band wiring opposes tensile forces -muscles , ligaments.  converts tensile forces to compressive forces.  Indications- fixation of patella, olecranon, fibular tarsal bone, tibial tuberosity, greater trochantr of femur, acromian process of scapula.
  • 10.
    Principles of fullcerclage wire  Length of the fracture line should be two to three times the diameter of the marrow cavity  There should be a maximum of two fracture lines (i.e., no more than two main segments and one large butterfly fragment)  The fracture must be anatomically reduced  Never use a single cerclage wire  Place wires ~ 1 cm apart  Place wires ~ 0.5 cm from fracture  Kirschner wires may be used to prevent cerclage wire slippage
  • 11.
  • 12.
    Kirschner wires • Smalland elastic • Usually used as- Transcortical pins (“skewer wires”), Pin and tension band fixation, Cross pinning, Dynamic pinning, stabilize metaphyseal and physeal fractures in young patients. • The pins should not cross at the fracture site. • 0.035-0.062 inch in size
  • 13.
    Intramedullary pins  Indications:Diaphyseal fixation of humerus, femur, tibia, metacarpal and metatarsal  Very resistant to bending forces but do not counteract rotational forces and Axial forces.  Little damage to blood supply and provide endosteal contact.  Fill 70% of the bone marrow diameter.
  • 14.
    Kuntschers nail Two bluntends with eye Hollow shaft with slot Cloverleaf cross-section Principle- three point fixation Use- transverse or short oblique fracture shaft of femur
  • 15.
    Intramedullary Nail  Lockedin place with bone screws.  Counteracts all fracture forces.  Can be used for fractures of the femur, tibia, and humerus.  Can be placed open or closed
  • 16.
    Elastic stable IMnailing  Principle- three point fixation  Callus formation Closed reduction Maintains length, rotation & alignment Stainless steel or titanium alloys  use-pediatric diaphyseal fracture (femur, radius, ulna, humerus)
  • 18.
  • 20.
    Lag screw  Itis a technique of insertion.  It is the most effective way to achieve compression between two fracture fragments.  It pulls the fragments together producing friction across the fracture line.  It achieves by gaining purchase on distal fragment while being able to turn freely in the proximal.  The holding strength of a lag screw increases as the distance from fracture line at far cortex to screw shaft increases.
  • 21.
    → Two small screwsproduce more stale fixation than one large screw. Clear gliding hole in near cortex and firm purchase of screw on far cortex produces requisite lag effect. Lag screw grip is strongest when distance from fracture line at far cortex to screw is longest.
  • 22.
    Bone Plates  Protection(Neutralization) plates  Compression plates  Buttress plates  Tension band plates  Bridge plates  Condylar plates
  • 23.
    Neutralization plates Holds twofracture fragments which are already fixed with lag screw Does not produce compression
  • 24.
    Compression plate  Itproduces a locking force across a fracture site to which it is applied.  It occurs according to Newton’s third law of motion. The plate is attached to a bone fragment. It is then pulled across the fracture site by a device, producing tension in the plate. As a reaction to this tension, compression is produced at fracture site across which the plate is fixed to the screws.  It may be static or dynamic.  Methods of achieving compression- Self plate, Tensioning device (articulated or Verbrugge forceps), lag screw.
  • 26.
    Tension band plate It converts tensile force into compressive force.  After fracture reduction, opposite cortex must provide a bony buttress to prevent cyclic bending and failure fixation.
  • 27.
    Buttress plate  Itsupports weakened area of cortex.  It prevents bone from collapsing during healing process, facilitating a wider distribution of load.  use- epiphyseal and metaphyseal fracture( distal radius , tibial plateau)
  • 29.
    Bridge plating  Ittransmits various forces from one end of bone to other, bypassing the area of fracture.  It acts as a mechanical link between healthy segments of bone above and below the fracture.  It does not produce any compression.  Maintain length, axis, rotation.  Healing with callus formation
  • 30.
    Condylar plate  Itis used in treatment of intra-articular distal femoral fractures.  It maintains reduction of major intra-articular fragments.  It rigidly fixes the metaphyseal components to diaphyseal shaft.  It functions both as a neutralization plate and a buttress plate.
  • 31.
    अविनाशि तु तद्विद्धियेन सिवशिदं तति ् | विनाििव्ययस्यास्य न कश्चित्कतुविर्वतत || 17|| avināśhi tu tadviddhi yena sarvam idaṁ tatam vināśham avyayasyāsya na kaśhchit kartum arhati Meaning-That which pervades the entire body, know it to be indestructible. No one can cause the destruction of the imperishable soul. Thank you