Diabetic Nephropathy in the
ZDSD Rat
PreClinOmics, Inc.
Contact Richard G. Peterson for more information.
rpeterson@preclinomics.com
317-872-6001 x 13
Obesity and metabolic syndrome are clear
predictors of chronic kidney disease largely due to
the potentiation of chronic inflammation by insulin
resistance. In addition, the lipoprotein
abnormalities, increased hemodynamics,
hypercoagulability and vascular dysfunction
associated with metabolic syndrome have all been
implicated as causative for renal disease.
Biomarkers for renal dysfunction (i.e., IL6, TNF-
α,NGAL,KIM-1, VEGF etc.) as well as significant
albuminuria , elevated free fatty acids with
oxidative stress, and histological analysis have
shown the ZDSD rat to exhibit nephropathy that
closely mimics that observed in obese insulin
resistant patients.
Renal Injury
2
Diabetic Nephropathy in
the ZDSD Rat
• Increased kidney weight
• Increased urinary markers for kidney
disease
• Increased serum markers for kidney disease
• Glomerular sclerosis
• Nodular sclerosis, KW nodules
• Thickening basement membrane of
glomerular capillaries
• Podocyte effacement on capillaries
3
Terminal kidney weights are highest in the ZDSD rat groups. These increased kidney weights
and high urinary volume along with increased micro-albumin concentration and the total amount
of micro-albumin indicate that there may be significant diabetic nephropathy in the ZDSD rat
model.
Terminal Comparison
Kidney Weight Urine Analysis
0
1
2
3
4
5
6
7
CRL-SD, CD
+/fa
ZDF
ZDSD, Diabetic 12-21 weeks
ZDSD, Diabetic 7-11 weeks
Weight(g)
4
0
50
100
150
200
250
300
CRL-SD, CD
+/fa
ZDF
ZDSD, Diabetic 12-21 weeks
ZDSD, Diabetic 7-11 weeks
Experiment 1
ZDSD Diabetic Nephropathy
Spontaneous Diabetes
ELISA Analysis of Markers
5
6
Weight
10 12 14 16 18 20 22 24 26 28 30
300
400
500
600
SD
ZDSD
Age (weeks)
Weight(g) Glucose
10 12 14 16 18 20 22 24 26 28 30
0
200
400
600
SD
ZDSD
Age (weeks)
Glucose(mg/dL)
Urine Volume
10 20 22 24 26 30
0
50
100
150
200
SD
ZDSD
Age (weeks)
UrinaryVolume(ml/24hr)
7
Urinary albumin
10 20 22 24 26 30
0
25
50
75
100
125
150
SD
ZDSD
Age (weeks)
Urinaryalbumin(mg/day)
beta-2 microglobulin
10 20 22 24 26 30
0
500
1000
1500
2000
SD
ZDSD
Age (weeks)
Urinary
b
-2microglobulin(
m
g/day)
Cystatin C
10 20 22 24 26 30
0
10
20
30
SD
ZDSD
Age (weeks)
UrinarycystatinC(
m
g/day)
KIM-1
10 20 22 24 26 30
0.0
2.5
5.0
7.5
10.0
12.5
15.0
SD
ZDSD
Age (weeks)
UrinaryKIM-1(ng/day)
Experiment 2
Urine BioMarkers of Renal Disease
Study Details
• Male ZDSD rats were allowed to become diabetic
spontaineously on Purina 5008 and aged to 33
weeks.
Two groups of animals were selected for further study: animals
that were diabetic for longer than 16 weeks and animals that
were diabetic for less than 8 weeks.
• Mesoscale (MSD) urine panels were run on urine
(Argutus AKI test, Kidney Injury Panel 1 and Rat
Clusterin)
• Pathological evaluation of the kidneys was done.
8
Data From Urinary Excretion Study
9
Urinary Excretion of Kidney Markers
10
Urinary Excretion of Kidney Markers
11
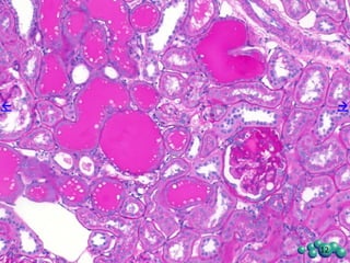
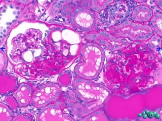
Pathological Evaluation of Kidney
• Glomerulopathy: Changes in the renal glomeruli consisted of one or more of the following:
increased cellularity in the mesangium; increased in mesangial connective tissue; thickening of
Bowman’s capsule; hypertrophy of capsular epithelium; dilation of the capsular space. Individual
glomeruli appeared moderately enlarged. The lesions were highly variable within individual
glomeruli and between glomeruli within a kidney. The changes were most usually segmental,
although a rare glomeruli was fibrotic (condensed). Expanded mesangial material stained
positively with the PAS stain and to a lesser extent with the Trichrome stain.
• Tubular dilation/degeneration: This change was mainly in the cortex and consisted of irregularly
dilated, empty tubules, that sometimes were lined by cuboidal epithelium that stained basophilic
compared to the expected normal eosinophilic tubular epithelium. In some individual tubules the
epithelium were flattened. These dilated/degenerate tubules were randomly scattered throughout
the cortex, and sometimes were associated with protein casts and/or non-suppurative inflammation
(see below). Focal mild increases in fibrous connective tissue within the interstitial space was
present, frequently in association with the interstitial inflammatory response, but not restrictively so.
• Protein casts: Individual tubules contained acellular, uniformly staining eosinophilic material
consistent with protein. These protein casts were present in the cortex and in the medulla, as well
as at the cortico-medullary junction in various sections. Often, several such dilated tubules
containing protein casts were clustered together, usually in the cortex.
• Inflammation: The inflammatory process consisted of focal collections of lymphocytes and
macrophages, which were seen in the cortical interstitial space, adjacent to individual glomeruli
and individual blood vessels, and in association with the renal pelvic epithelium.
12
13
Kidney Histopathology of the ZDSD Rat
A Novel Animal Model of Diabetes
14
Glomerulopathy Tubular dilation Protein casts Inflammation
HistopathologyScore(0-5)
0.0
0.5
1.0
1.5
2.0
2.5
3.0
3.5
4.0
Non-diabetic
Diabetic
* * *
*
*compared to Non-diabetic animals (t-test)
/degeneration
Experiment 3
Diabetic Nephropathy,
EM of Glomerular Pathology
15
Experimental details
• Male ZDSD rats allowed to become spontaneously
diabetic.
• Animals were terminated and perfused fixed at about
35 weeks of age.
– Control CD rats
– ZDSD rats that had been diabetic from 12-13
weeks
– ZDSD rats that had been diabetic from 16-17
weeks
• Took pictures of glomerular capillaries and BM
– Measured GBM thickness
– Evaluated podocyte morphology
16
Glomerular Capillary, Basement Membrane
Control, Age Matched Diabetic, 12 Weeks
17
Glomerular Capillary, Basement Membrane
Control, Age Matched Diabetic, 16.5 Weeks
18
19
Glomerular Basement Membrane Thickness
Time of Diabetes in the ZDSD Rat
Thickness(mm)
CD Control 12 Weeks 16.5 Weeks
0
100
200
300
400
500
20
Scanning Microscopy
Control Glomerular Capillary with Normal Podocyte Foot Processes
21
Scanning Microscopy
Diabetic Glomerular Capillaries Demonstrating Effacement
Experiment 4
Diabetic Nephropathy,
Synchronized Diabetes:
Clinical Data and
LM of Glomerular Pathology
22
Experimental details
• Male ZDSD rats synchronized to become diabetic
by feeding them Purina 5SCA.
• Animals were put on 5SCA at 19 weeks of age
and were diabetic by 20 weeks of age. They were
monitored until they were 47 weeks old. We
evaluated the following groups:
– ZDSD rats that had been diabetic for 27 weeks
(14)
– ZDSD rats that failed to become diabetic (4)
• Graphed terminal data and evaluated pictures of
glomeruli and other kidney pathology
23
24
Body weight
0
7
14
21
28
35
42
70
105
126
155
172
185
196
350
400
450
500
550
600 Diabetic
Non-diabetic
Day of study
Bodyweight(g)
Glucose
0
7
14
21
28
35
42
70
105
126
155
172
0
200
400
600
800
Diabetic
Non-diabetic
Day of study
Glucose(mg/dL)
Diabetic
Non-diabetic
43 47
0
5
10
15
* t-test
**
Age (weeks)
HbA1c(%)
HbA1c
43
0.0
0.2
0.4
0.6
0.8
1.0
Diabetic
Non-diabetic
Age (weeks)
NEFA(mEq/L)
NEFA
25
Diabetic Non-diabetic
0
5
10
15
20
25 Diabetic
Non-diabetic
*
* t-test
Liverweight(g)
47weeksofage
Liver Weight
Diabetic Non-diabetic
0
2
4
6
Diabetic
Non-diabetic
Kidneyweight(g)
47weeksofage
* t-test
*
Kidney Weight
43 47
0
100
200
300
Diabetic
Non-diabetic
Age (weeks)
Urinevolume(mls/24hr)
Urine Volume
43
0
20
40
60
80
Diabetic
Non-diabetic
*
* t-test
Age (weeks)
Urinealbumin(mg/day)
Urinary Albumin
Blood Chemistry
26
43 45 47
0
10
20
30
Diabetic
Non-diabetic
* t-test
***
Age (weeks)
SerumBUN(mg/dL)
BUN
45 47
0.0
0.1
0.2
0.3
0.4
0.5
Diabetic
Non-diabetic
Age (weeks)
Serumcreatinine(mg/dL)
Creatinine
43 47
0
50
100
150
200
Diabetic
Non-diabetic
* t-test
**
Age (weeks)
Serumcholesterol(mg/dL)
Cholesterol
43 47
0
500
1000
1500
Diabetic
Non-diabetic
* t-test
**
Age (weeks)
Serumtriglycerides(mg/dL)
Triglyceride
47 Week-old, 27 Weeks Diabetes
Non-Diabetic Diabetic
Diabetic Diabetic
27
28
47 Week-old, 27 Weeks Diabetes
28
Non-Diabetic Diabetic
47 Week-old, 27 Weeks Diabetes
29
Non-Diabetic Diabetic
47 Week-old, 27 Weeks Diabetes
30
Follow-up study, Synchronized
• Diabetes was induced by putting ZDSD rats on
5SCA diet when they were 21 weeks of age.
This can be done anytime after 16 weeks of age.
• Weight and glucose were followed periodically.
• 24 hour urine was collected and urinary albumin
and creatinine were measured so that total 24
hour albumin and albumin/creatinine ratios could
be determined.
• Terminal data were collected when the rats had
been diabetic 13-14 weeks.
31
32
Progression of Diabetes and Urinary Albumin in ZDSD Rats
Diabetes was synchronized with 5SCA diet (3 weeks) when ZDSD rats were about 20 weeks old.
Glucose rose rapidly while animals were on 5SCA diet and they remained hyperglycemic when they
were taken off diet; overtly diabetic animals lost weigh. Urinary volume increased steadily while the
urinary albumin levels had a rapid increase between 11 and 15 weeks after 5SCA was started.
Glucose(mg/dL)
0 4 8 12 16
0
200
400
600
Weight(g)
0 4 8 12 16
0
200
400
600
Weeks After 5SCA
UrinaryvolumemL
0 4 8 12 16
0
100
200
300
Weeks After 5SCA
Urinaryalbumin(mg/day)
0 4 8 12 16
0
100
200
300
400
Glomerular Proteomics
• Nondiabetic, prediabetic and diabetic
glomeruli were collected and analyzed for
protein expression.
• Data were analyzed using volcano plotting
to show the differences in expression of
proteins in the three groups.
• The different groups were compared in the
next three slides (33-35).
• Slide 36 demonstrates down-regulation of
glyoxalase 1 with diabetes.
33
Protein Expression in the ZDSD
Glomerulus
34
Protein Expression in the ZDSD
Glomerulus
35
Protein Expression in the ZDSD
Glomerulus
36
Glyoxalase 1 (GLO-1) down regulated in Diabetic Nephropathy
observed in the ZDSD Rat Glomerulus
37
Protocol-Lisinopril treatment of diabetic
nephropathy in ZDSD rats
• 18 week-old ZDSD rats were fed a diabetogenic diet (Purina 5SCA)
for 2 weeks. Following this induction phase, ZDSD rats were
maintained on regular rodent chow (Purina 5008) for the remainder
of study.
• The diabetic ZDSDs were sorted into matched untreated (N=12) and
treated groups (N=13).
• Treatments were administered by diet admixture; 5008 or 5008 with
Lisinopril, 250 ppm. Based on feed intake and average body weight,
Lisinopril was delivered at approximately 29 mg/kg/day for 4 weeks.
• Blood and urine data were collected before and after 4 weeks of
treatment.
• Treatment was started at 5-13 weeks after ZDSD rats became
diabetic.
• Glucose, HbA1c, creatinine and BUN were measured in blood;
albumin, and creatinine were measured in urine.
• Differences were determined using Student’s t-tests. Significance
was determined with p-values <0.05, data was graphed as Mean ±
SEM.
38
Data following 4 weeks of treatment. There were no differences in weight or glucose at
baseline. Weight loss is a consequence of overt diabetes in the ZDSD rat. Asterisks*
represent significant effects of Lisinopril compared to vehicle.
Weight and glucose levels after treatment,
The effect of Lisinopril on nephropathy in the ZDSD rat
-15
-10
-5
0
Bodyweight
(%changefrombaseline)
Vehicle
Lisinopril *
0
200
400
600
800
Serumglucose(mg/dL)
4weeksoftreatment
Vehicle
Lisinopril
*
49
Data following 4 weeks of treatment. There were no differences in creatinine or BUN
at baseline. Asterisks* represent significant effects of Lisinopril compared to vehicle.
0.0
0.2
0.4
0.6
SerumCreatinine(mg/dL)
Vehicle
Lisinopril
*
0
10
20
30
40
50
SerumBUN(mg/dL)
Vehicle
Lisinopril *
Creatinine and BUN levels after treatment,
The effect of Lisinopril on nephropathy in the ZDSD rat
40
Data following 4 weeks of treatment. There was no difference in albumin excretion
at baseline. Asterisks* represent significant effects of Lisinopril compared to vehicle.
0
25
50
75
100
125
150
175
200
Urinaryalbumin
(mg/day)
Vehicle
Lisinopril
* -100
0
100
200
300
400
500
Urinaryalbumin
(%changefrombaseline)
Vehicle
Lisinopril
*
Absolute and % change of urinary albumin
levels after treatment,
The effect of Lisinopril on nephropathy in the ZDSD rat
41
Data following 4 weeks of treatment. The change in urinary albumin was greater in
vehicle animals when they had a shorter duration of diabetes since they had lower
urinary albumin levels before treatment started. Asterisks* represent significant
effects of Lisinopril compared to vehicle.
Percent change of urinary albumin level
is dependent on duration of diabetes,
The effect of Lisinopril on nephropathy in the ZDSD rat
13 9 5
-200
0
200
400
600
800
% Change in UA
Weeks of Diabetes Before Treatment
UrinaryAlbumin
(%changefrombaseline) Vehicle
Lisinopril
N=3 3 4 5 5 5
* * *
42
Summary-The effect of Lisinopril on nephropathy in the
ZDSD rat
• ZDSD weight decreased in both untreated and
treated diabetic groups with greater decreases in the
treated group.
• Blood levels of glucose, creatinine and BUN
increased with Lisinopril treatment.
• Urinary albumin decreased significantly (~87%) in the
Lisinopril treated group while it increased significantly
(~400%) in the untreated diabetic ZDSD rats.
• Irrespective of the time the ZDSD rats had diabetes
and their initial level of urinary albumin, the age
subgroups of animals had 82-91% decreases in the
amount of urinary albumin excreted after 4 weeks of
Lisinopril treatment.
43
Summary: Diabetic Nephropathy (DN) in the ZDSD Rat.
The following are supported by data in this slide set!
• Diabetic nephropathy (DN) develops with spontaneous
or synchronized diabetes.
• Increased urinary albumin and other urinary biomarkers
increase with duration of diabetes.
• Increased BUN and blood creatinine levels.
• LM and EM morphological changes consistent with DN.
• Glomerular BM thickening and podocyte effacement.
• Changes in glomerular protein expression similar to
human DN.
• Urinary albumin secretion significantly improved with
ACE inhibitor (Lisinopril) treatment, similar to human DN.
• ACE-I treatment effective at all stages of DN examined.
44

PreClinOmics - ZDSD Diabetic Nephropathy

  • 1.
    Diabetic Nephropathy inthe ZDSD Rat PreClinOmics, Inc. Contact Richard G. Peterson for more information. rpeterson@preclinomics.com 317-872-6001 x 13
  • 2.
    Obesity and metabolicsyndrome are clear predictors of chronic kidney disease largely due to the potentiation of chronic inflammation by insulin resistance. In addition, the lipoprotein abnormalities, increased hemodynamics, hypercoagulability and vascular dysfunction associated with metabolic syndrome have all been implicated as causative for renal disease. Biomarkers for renal dysfunction (i.e., IL6, TNF- α,NGAL,KIM-1, VEGF etc.) as well as significant albuminuria , elevated free fatty acids with oxidative stress, and histological analysis have shown the ZDSD rat to exhibit nephropathy that closely mimics that observed in obese insulin resistant patients. Renal Injury 2
  • 3.
    Diabetic Nephropathy in theZDSD Rat • Increased kidney weight • Increased urinary markers for kidney disease • Increased serum markers for kidney disease • Glomerular sclerosis • Nodular sclerosis, KW nodules • Thickening basement membrane of glomerular capillaries • Podocyte effacement on capillaries 3
  • 4.
    Terminal kidney weightsare highest in the ZDSD rat groups. These increased kidney weights and high urinary volume along with increased micro-albumin concentration and the total amount of micro-albumin indicate that there may be significant diabetic nephropathy in the ZDSD rat model. Terminal Comparison Kidney Weight Urine Analysis 0 1 2 3 4 5 6 7 CRL-SD, CD +/fa ZDF ZDSD, Diabetic 12-21 weeks ZDSD, Diabetic 7-11 weeks Weight(g) 4 0 50 100 150 200 250 300 CRL-SD, CD +/fa ZDF ZDSD, Diabetic 12-21 weeks ZDSD, Diabetic 7-11 weeks
  • 5.
    Experiment 1 ZDSD DiabeticNephropathy Spontaneous Diabetes ELISA Analysis of Markers 5
  • 6.
    6 Weight 10 12 1416 18 20 22 24 26 28 30 300 400 500 600 SD ZDSD Age (weeks) Weight(g) Glucose 10 12 14 16 18 20 22 24 26 28 30 0 200 400 600 SD ZDSD Age (weeks) Glucose(mg/dL) Urine Volume 10 20 22 24 26 30 0 50 100 150 200 SD ZDSD Age (weeks) UrinaryVolume(ml/24hr)
  • 7.
    7 Urinary albumin 10 2022 24 26 30 0 25 50 75 100 125 150 SD ZDSD Age (weeks) Urinaryalbumin(mg/day) beta-2 microglobulin 10 20 22 24 26 30 0 500 1000 1500 2000 SD ZDSD Age (weeks) Urinary b -2microglobulin( m g/day) Cystatin C 10 20 22 24 26 30 0 10 20 30 SD ZDSD Age (weeks) UrinarycystatinC( m g/day) KIM-1 10 20 22 24 26 30 0.0 2.5 5.0 7.5 10.0 12.5 15.0 SD ZDSD Age (weeks) UrinaryKIM-1(ng/day)
  • 8.
    Experiment 2 Urine BioMarkersof Renal Disease Study Details • Male ZDSD rats were allowed to become diabetic spontaineously on Purina 5008 and aged to 33 weeks. Two groups of animals were selected for further study: animals that were diabetic for longer than 16 weeks and animals that were diabetic for less than 8 weeks. • Mesoscale (MSD) urine panels were run on urine (Argutus AKI test, Kidney Injury Panel 1 and Rat Clusterin) • Pathological evaluation of the kidneys was done. 8
  • 9.
    Data From UrinaryExcretion Study 9
  • 10.
    Urinary Excretion ofKidney Markers 10
  • 11.
    Urinary Excretion ofKidney Markers 11
  • 12.
    Pathological Evaluation ofKidney • Glomerulopathy: Changes in the renal glomeruli consisted of one or more of the following: increased cellularity in the mesangium; increased in mesangial connective tissue; thickening of Bowman’s capsule; hypertrophy of capsular epithelium; dilation of the capsular space. Individual glomeruli appeared moderately enlarged. The lesions were highly variable within individual glomeruli and between glomeruli within a kidney. The changes were most usually segmental, although a rare glomeruli was fibrotic (condensed). Expanded mesangial material stained positively with the PAS stain and to a lesser extent with the Trichrome stain. • Tubular dilation/degeneration: This change was mainly in the cortex and consisted of irregularly dilated, empty tubules, that sometimes were lined by cuboidal epithelium that stained basophilic compared to the expected normal eosinophilic tubular epithelium. In some individual tubules the epithelium were flattened. These dilated/degenerate tubules were randomly scattered throughout the cortex, and sometimes were associated with protein casts and/or non-suppurative inflammation (see below). Focal mild increases in fibrous connective tissue within the interstitial space was present, frequently in association with the interstitial inflammatory response, but not restrictively so. • Protein casts: Individual tubules contained acellular, uniformly staining eosinophilic material consistent with protein. These protein casts were present in the cortex and in the medulla, as well as at the cortico-medullary junction in various sections. Often, several such dilated tubules containing protein casts were clustered together, usually in the cortex. • Inflammation: The inflammatory process consisted of focal collections of lymphocytes and macrophages, which were seen in the cortical interstitial space, adjacent to individual glomeruli and individual blood vessels, and in association with the renal pelvic epithelium. 12
  • 13.
  • 14.
    Kidney Histopathology ofthe ZDSD Rat A Novel Animal Model of Diabetes 14 Glomerulopathy Tubular dilation Protein casts Inflammation HistopathologyScore(0-5) 0.0 0.5 1.0 1.5 2.0 2.5 3.0 3.5 4.0 Non-diabetic Diabetic * * * * *compared to Non-diabetic animals (t-test) /degeneration
  • 15.
    Experiment 3 Diabetic Nephropathy, EMof Glomerular Pathology 15
  • 16.
    Experimental details • MaleZDSD rats allowed to become spontaneously diabetic. • Animals were terminated and perfused fixed at about 35 weeks of age. – Control CD rats – ZDSD rats that had been diabetic from 12-13 weeks – ZDSD rats that had been diabetic from 16-17 weeks • Took pictures of glomerular capillaries and BM – Measured GBM thickness – Evaluated podocyte morphology 16
  • 17.
    Glomerular Capillary, BasementMembrane Control, Age Matched Diabetic, 12 Weeks 17
  • 18.
    Glomerular Capillary, BasementMembrane Control, Age Matched Diabetic, 16.5 Weeks 18
  • 19.
    19 Glomerular Basement MembraneThickness Time of Diabetes in the ZDSD Rat Thickness(mm) CD Control 12 Weeks 16.5 Weeks 0 100 200 300 400 500
  • 20.
    20 Scanning Microscopy Control GlomerularCapillary with Normal Podocyte Foot Processes
  • 21.
    21 Scanning Microscopy Diabetic GlomerularCapillaries Demonstrating Effacement
  • 22.
    Experiment 4 Diabetic Nephropathy, SynchronizedDiabetes: Clinical Data and LM of Glomerular Pathology 22
  • 23.
    Experimental details • MaleZDSD rats synchronized to become diabetic by feeding them Purina 5SCA. • Animals were put on 5SCA at 19 weeks of age and were diabetic by 20 weeks of age. They were monitored until they were 47 weeks old. We evaluated the following groups: – ZDSD rats that had been diabetic for 27 weeks (14) – ZDSD rats that failed to become diabetic (4) • Graphed terminal data and evaluated pictures of glomeruli and other kidney pathology 23
  • 24.
    24 Body weight 0 7 14 21 28 35 42 70 105 126 155 172 185 196 350 400 450 500 550 600 Diabetic Non-diabetic Dayof study Bodyweight(g) Glucose 0 7 14 21 28 35 42 70 105 126 155 172 0 200 400 600 800 Diabetic Non-diabetic Day of study Glucose(mg/dL) Diabetic Non-diabetic 43 47 0 5 10 15 * t-test ** Age (weeks) HbA1c(%) HbA1c 43 0.0 0.2 0.4 0.6 0.8 1.0 Diabetic Non-diabetic Age (weeks) NEFA(mEq/L) NEFA
  • 25.
    25 Diabetic Non-diabetic 0 5 10 15 20 25 Diabetic Non-diabetic * *t-test Liverweight(g) 47weeksofage Liver Weight Diabetic Non-diabetic 0 2 4 6 Diabetic Non-diabetic Kidneyweight(g) 47weeksofage * t-test * Kidney Weight 43 47 0 100 200 300 Diabetic Non-diabetic Age (weeks) Urinevolume(mls/24hr) Urine Volume 43 0 20 40 60 80 Diabetic Non-diabetic * * t-test Age (weeks) Urinealbumin(mg/day) Urinary Albumin
  • 26.
    Blood Chemistry 26 43 4547 0 10 20 30 Diabetic Non-diabetic * t-test *** Age (weeks) SerumBUN(mg/dL) BUN 45 47 0.0 0.1 0.2 0.3 0.4 0.5 Diabetic Non-diabetic Age (weeks) Serumcreatinine(mg/dL) Creatinine 43 47 0 50 100 150 200 Diabetic Non-diabetic * t-test ** Age (weeks) Serumcholesterol(mg/dL) Cholesterol 43 47 0 500 1000 1500 Diabetic Non-diabetic * t-test ** Age (weeks) Serumtriglycerides(mg/dL) Triglyceride
  • 27.
    47 Week-old, 27Weeks Diabetes Non-Diabetic Diabetic Diabetic Diabetic 27
  • 28.
    28 47 Week-old, 27Weeks Diabetes 28 Non-Diabetic Diabetic
  • 29.
    47 Week-old, 27Weeks Diabetes 29 Non-Diabetic Diabetic
  • 30.
    47 Week-old, 27Weeks Diabetes 30
  • 31.
    Follow-up study, Synchronized •Diabetes was induced by putting ZDSD rats on 5SCA diet when they were 21 weeks of age. This can be done anytime after 16 weeks of age. • Weight and glucose were followed periodically. • 24 hour urine was collected and urinary albumin and creatinine were measured so that total 24 hour albumin and albumin/creatinine ratios could be determined. • Terminal data were collected when the rats had been diabetic 13-14 weeks. 31
  • 32.
    32 Progression of Diabetesand Urinary Albumin in ZDSD Rats Diabetes was synchronized with 5SCA diet (3 weeks) when ZDSD rats were about 20 weeks old. Glucose rose rapidly while animals were on 5SCA diet and they remained hyperglycemic when they were taken off diet; overtly diabetic animals lost weigh. Urinary volume increased steadily while the urinary albumin levels had a rapid increase between 11 and 15 weeks after 5SCA was started. Glucose(mg/dL) 0 4 8 12 16 0 200 400 600 Weight(g) 0 4 8 12 16 0 200 400 600 Weeks After 5SCA UrinaryvolumemL 0 4 8 12 16 0 100 200 300 Weeks After 5SCA Urinaryalbumin(mg/day) 0 4 8 12 16 0 100 200 300 400
  • 33.
    Glomerular Proteomics • Nondiabetic,prediabetic and diabetic glomeruli were collected and analyzed for protein expression. • Data were analyzed using volcano plotting to show the differences in expression of proteins in the three groups. • The different groups were compared in the next three slides (33-35). • Slide 36 demonstrates down-regulation of glyoxalase 1 with diabetes. 33
  • 34.
    Protein Expression inthe ZDSD Glomerulus 34
  • 35.
    Protein Expression inthe ZDSD Glomerulus 35
  • 36.
    Protein Expression inthe ZDSD Glomerulus 36
  • 37.
    Glyoxalase 1 (GLO-1)down regulated in Diabetic Nephropathy observed in the ZDSD Rat Glomerulus 37
  • 38.
    Protocol-Lisinopril treatment ofdiabetic nephropathy in ZDSD rats • 18 week-old ZDSD rats were fed a diabetogenic diet (Purina 5SCA) for 2 weeks. Following this induction phase, ZDSD rats were maintained on regular rodent chow (Purina 5008) for the remainder of study. • The diabetic ZDSDs were sorted into matched untreated (N=12) and treated groups (N=13). • Treatments were administered by diet admixture; 5008 or 5008 with Lisinopril, 250 ppm. Based on feed intake and average body weight, Lisinopril was delivered at approximately 29 mg/kg/day for 4 weeks. • Blood and urine data were collected before and after 4 weeks of treatment. • Treatment was started at 5-13 weeks after ZDSD rats became diabetic. • Glucose, HbA1c, creatinine and BUN were measured in blood; albumin, and creatinine were measured in urine. • Differences were determined using Student’s t-tests. Significance was determined with p-values <0.05, data was graphed as Mean ± SEM. 38
  • 39.
    Data following 4weeks of treatment. There were no differences in weight or glucose at baseline. Weight loss is a consequence of overt diabetes in the ZDSD rat. Asterisks* represent significant effects of Lisinopril compared to vehicle. Weight and glucose levels after treatment, The effect of Lisinopril on nephropathy in the ZDSD rat -15 -10 -5 0 Bodyweight (%changefrombaseline) Vehicle Lisinopril * 0 200 400 600 800 Serumglucose(mg/dL) 4weeksoftreatment Vehicle Lisinopril * 49
  • 40.
    Data following 4weeks of treatment. There were no differences in creatinine or BUN at baseline. Asterisks* represent significant effects of Lisinopril compared to vehicle. 0.0 0.2 0.4 0.6 SerumCreatinine(mg/dL) Vehicle Lisinopril * 0 10 20 30 40 50 SerumBUN(mg/dL) Vehicle Lisinopril * Creatinine and BUN levels after treatment, The effect of Lisinopril on nephropathy in the ZDSD rat 40
  • 41.
    Data following 4weeks of treatment. There was no difference in albumin excretion at baseline. Asterisks* represent significant effects of Lisinopril compared to vehicle. 0 25 50 75 100 125 150 175 200 Urinaryalbumin (mg/day) Vehicle Lisinopril * -100 0 100 200 300 400 500 Urinaryalbumin (%changefrombaseline) Vehicle Lisinopril * Absolute and % change of urinary albumin levels after treatment, The effect of Lisinopril on nephropathy in the ZDSD rat 41
  • 42.
    Data following 4weeks of treatment. The change in urinary albumin was greater in vehicle animals when they had a shorter duration of diabetes since they had lower urinary albumin levels before treatment started. Asterisks* represent significant effects of Lisinopril compared to vehicle. Percent change of urinary albumin level is dependent on duration of diabetes, The effect of Lisinopril on nephropathy in the ZDSD rat 13 9 5 -200 0 200 400 600 800 % Change in UA Weeks of Diabetes Before Treatment UrinaryAlbumin (%changefrombaseline) Vehicle Lisinopril N=3 3 4 5 5 5 * * * 42
  • 43.
    Summary-The effect ofLisinopril on nephropathy in the ZDSD rat • ZDSD weight decreased in both untreated and treated diabetic groups with greater decreases in the treated group. • Blood levels of glucose, creatinine and BUN increased with Lisinopril treatment. • Urinary albumin decreased significantly (~87%) in the Lisinopril treated group while it increased significantly (~400%) in the untreated diabetic ZDSD rats. • Irrespective of the time the ZDSD rats had diabetes and their initial level of urinary albumin, the age subgroups of animals had 82-91% decreases in the amount of urinary albumin excreted after 4 weeks of Lisinopril treatment. 43
  • 44.
    Summary: Diabetic Nephropathy(DN) in the ZDSD Rat. The following are supported by data in this slide set! • Diabetic nephropathy (DN) develops with spontaneous or synchronized diabetes. • Increased urinary albumin and other urinary biomarkers increase with duration of diabetes. • Increased BUN and blood creatinine levels. • LM and EM morphological changes consistent with DN. • Glomerular BM thickening and podocyte effacement. • Changes in glomerular protein expression similar to human DN. • Urinary albumin secretion significantly improved with ACE inhibitor (Lisinopril) treatment, similar to human DN. • ACE-I treatment effective at all stages of DN examined. 44