Respiratory Distress in Newborn
Dr L S Deshmukh
DM ( Neonatology )
Professor and Head,
Dept. of Pediatrics
Govt. Medical College,
Aurangabad
Respiratory distress
• Cause of significant morbidity and
mortality
• Incidence 4 to 6% of live births
• Many are preventable
• Early recognition, timely referral,
appropriate treatment essential
Respiratory distress
• RR > 60/ min
• Retractions
• Grunt
• + Cyanosis
Note : RR should be recorded in a
quiet state for at least one minute.
RD IN NB - Causes
 Pulmonary
- Parenchymal
- Extraparenchymal
 Non Pulmonary
- Heart
- Metabolic
- Brain
- Blood
- Abdominal
RD in Newborn – Causes
Pulmonary
Parenchymal Extraparenchymal
* RDS (HMD) * Upper airway obstruction
* TTN (RDS II) (Cloanal atresia, stenosis)
* Aspiration (Blood * Pneumothorax
meconium) * Pleural effusion
* PPHN * Cong. Diaph. hernia
* Pneumonia * Diaphragmatic paralysis
* Pulm. hemorrhage
* Pulm. hypoplasia
RD in Newborn – Causes
Extrapulmonary
Heart Metabolic Brain Blood Abdominal
- CCF - Met. Acidosis - Haemorrhage - Hypovolemia - NEC
- PDA - Hypoglycemia - Edema - Hyperviscosity - Pneumo
- CCHD - Hypothermia - Drugs - Acute blood peritonium
- Vascular - Sepsis - Pain loss - Large
mass
Surgical causes of respiratory distress
• Tracheo-esophageal fistula
• Diaphragmatic hernia
• Lobar emphysema
• Pierre -Robin syndrome
• Choanal atresia
Approach to respiratory distress
History
• Onset of distress
• Gestation
• Antenatal history / steroids
• Predisposing factors- PROM, fever
• Meconium stained amniotic fluid
• Asphyxia
Mathai ss et al ,MJAFI 2007; 63 : 269-272
Preterm - Possible etiology
Early progressive - Respiratory distress
syndrome or hyaline
membrane disease
(HMD)
Early transient - Asphyxia, metabolic
causes, hypothermia
Anytime - Pneumonia
Term – Possible etiology
Early well looking - TTNB, polycythemia
Early severe distress - MAS, asphyxia,
malformations
Late sick with - Cardiac
hepatomegaly
Late sick with shock - Acidosis
Anytime - Pneumonia
RR
(bpm
Aspiration cong. Pneumonia, sev. HMD CDH
cardiac malformation
Approx. 6 Hours of age
Normal
60
Course of Neonatal Tachypnoea : Etiologic possibilities
Source : Baurn DJ, Birth Risks, Nastle Nutrition Workshop, 1993
TTNB
HMD
Evaluation of RD in NB – Clinical History
Antenatal History Most likely association
* Prematurity, IDMs * HMD
* PROM, maternal fever, * Pneumonia
Unclean vaginal exams,
UTI, diarrhoea
* Asphyxia/MSAF * Aspiration
* Caesarean delivery * TTN
* Polyhydramnios * Pulm. Hypoplasia
* Oligohydramnios * TE fistula, CDH
* H/o receiving steroids * RDS less
* Traumatic/breech delivery * ICH / Phrenic nerve paralysis
Evaluation of RD in NB – Clinical History
When did the symptoms begin?
 Best historical assistant
 Stridor at birth – Cong. Anomaly
 After increase feed volum. – GEF & aspiration
 After intubation – tube block, air leak
 After extubation – Trauma / atelectasis
Evaluation of RD in NB – Clinical History
Is the disorder new / chronic / recurrent?
 Chronic disorder – BPD
 Recurrent disorders
- Aspiration pneumonia
- Pulmonary hemorrhage
- Lobar atelectasis
Evaluation of RD in NB – Clinical History
Does the NB have spontaneous cough?
 Spont. Cough, always abnormal in NB
 Causes of cough in NB : CRADLE
C cystic fibrosis
R respiratory infection
A aspiration (reflux, TE fistula)
D dyskinesia of cilia
L lung, airway, vascular malformation
E edema (heart failure, BPD)
Fletcher MA, 1998, Physical diagnosis in neonatology
Approach to respiratory distress
Examination
• Severity of respiratory distress
• Neurological status
• Blood pressure, CFT
• Hepatomegaly
• Cyanosis
• Features of sepsis
• Look for malformations
Evaluation of RD in NB – Downes’ Score
0 1 2
Cyanosis None In room air In 40% FiO2
Retractions None Mild Severe
Grunting None Audible with
stetho.
Audible without
stetho.
Air entry C;ear Decreased Barely audible
RR Under 60 60-80 Over 80 or
apnea
Score : > 4 = Clinical respiratory distress; monitor ABG
> 8 = Impending respiratory failure
Evaluation of RD in NB – RR
 Affected by various conditions
 Low rates – Decreased MV
 High rates – Wasted ventilation
 Rapid & shallow – Stiff lungs (RDS)
 Slow & Deep – Increased resistance (MAS)
 Isolated tachypnoea – Acidosis, sepsis, CCF
Evaluation of RD in NB – Grunting
 Classical in HMD, may be seen in
pneumonia, pulmonary edema & others.
 Expiration through partially closed glottis.
 Intermittent / continuous (Severity)
 Generates CDP of 2-3 cms H2O
 Maintains FRC
Evaluation of RD in NB – Cyanosis
 Total desat. Hb > 3.5 gm/dl
 Central cyanosis – always abnormal
 Acrocyanosis – May be normal
 Hyperoxia test – Pulm. Vs Cardiac
 Anemia / Polycythemia - Falacious
Hyperoxia test
test Method result diagnosis
Hyperoxia 100 % fio2 5-10
min
Pao2 increases
to > 100 torr
Pao2 increases
by < 20 torr
Parenchymal
lung disease
PPHN / CCHD
Hyperoxia-
hypervetilation
MV 100 % fio2
& VR 100-150 /
min
Pao2 increases
to > 100 torr
w HV
Pao2 increases
at critical Pco2
No increase in
Pao2 with HV
Parenchymal
lung disease
PPHN
CCHD
Evaluation of RD in NB – Physical Exam.
 Look for :
- Shrill cry / abn. tone (CNS disorder)
- Persistent frothing at mouth (TE fistula)
- Cyanosis, relieved on crying (choanal atresia)
- Seaphoid abd. (CDH)
- Single umbilical astery (CHD)
- Meconium staining of skin, nails or cord (MAS)
Evaluation of RD in NB – Retractions
Site of
retraction
Probable
region affected
Likely clinical association
Intercostal Pulmonary
parenchyma or
distal airway
Conditions of decreased
parenchymal compliance
MHD, TTN, Pneumonia
Subcostal Insertion of
diaphragm
Mild degree of retraction
are normal in neonates;
Airway obstruction or
parenchymal disease; in
the absence of intercostal
retractions, indicates
proximal airway obstruction
Evaluation of RD in NB – Retractions
Site of
retraction
Probable region
affected
Likely clinical association
Unilateral
subcostal
Decreased
movement of
opposite diaphragm
Isolated phrenic nerve weakness
Brachial palsy
Massive pleural effusion
Tension pneumothorax,
CDH
Suprasternal Obstruction in
upper airway
Choanal atresia or stenosis
Laryngeal stenosis or malacia
Obstruction of upper airway due
to secretions, edema
Sternal Sternal compliance
greater than pulm.
compliance
Proximal airway obstruction
Clinical Examination
 Color—pink, dusky, pale, mottled
– Central
– Peripherally
 Heart rate
 Pulses
– Distal vs Central
 Perfusion
– Capillary Refill Time (CRT)
– Blood Pressure
Clinical Examination
 Physical characteristics
– Flat nasal bridge, Simian crease, recessed chin, low
set ears
 Deformities
– Extra digits, gastroschesis, imperforate anus
 Muscular
– Hyoptonia vs Hypertonia
 Skeleton
– Choanal Atresia, Osteogenesis Imperfecta
 Other
– Scaphoid abdomen, hepatomegaly, situs inversus
Suspect surgical cause
• Obvious malformation
• Scaphoid abdomen
• Frothing
• History of aspiration
Evaluation of RD in NB – Chest Exam.
 Increased A-P diameter of chest
- Pneumothorax, emphysema or CDH
 Asymmetric chest movement
- Tension pneumothorax, pleural effusion, CDH,
Diaphragmatic paralysis, PIE.
 Auscultation
- Breath sounds ,
- Early, coarse crackles – Pneumonia & HMD
- Late crackles - PIE
 Wheezing – BPD, GER, Vascular rings, bronchomalacia
 Auscultatory percussion – Lobar atelectasis, effusion.
 Transillumination of the chest
RD in Newborn – Clinical Differences
Symptoms &
signs
Pulm.
disorder
CVS
disorder
CNS
disorder
Metabolic
disorder
Tachypnea + + + or apnea +
I/C Recession +++ ± - ±
Expiratory
grunt
+ - - -
Cyanosis + ++++ + -
Hepatomegaly + +++ - -
History Prematurity,
MSL,
PROM,
Polyhydram.
Rubella,
hydrops LFD
Breech
Hypotonia
birth asphyxia
Preterm
increase
protein intake
Seizures Rare Absent May occur Common
Auscultation ± Murmur - -
Investigations
• Gastric aspirate
• Polymorph count
• Sepsis screen
• Chest X-ray
• Blood gas analysis
Pulse oximetry
• Effective non invasive monitoring of
oxygen therapy
• Ideally must for all sick neonates and
those requiring oxygen therapy
• Maintain SaO2 between 90 – 93 %
Shake test
• Take a test tube
• Mix 0.5 ml gastric aspirate +
0.5 ml absolute alcohol
• Shake for 15 seconds
• Allow to stand 15 minutes for
interpretation of result
RD in Newborn – Differential Diagnosis
Condition Gestation History Clinical signs
RDS PT>FT APH/IDM asphyxia Retractions, grunt
Pneumoni
a
Any PROM, smelly
liquor, fever in
mother
Hypo/hyperthermia
leukocytosis or
neutropenia
MAS FT NSAF, asphysia
MA
Distended chest
Meconium staining
TTNB FT>PT C section Tachypnoea ++
PPHH Usually
FT
Asphyxia Profound cyanosis
CVS normal
X-Ray
 Structures
– Ribs
– Vertebra
– Liver
– Stomach/ intestine
– Lungs
– Heart
– Trachea
– Esophagus
39
X-Ray
 Lungs
– Lung Volume
– Expansion
– Densities
 Fluid/ collapse
(atelectasis)>>white
 Free Air>>dark
 Mass
 Heart shape and size
– Boot shaped
– Egg or Oval shaped
– cardiomegaly
40
Roentgen Finding in RD in the Neonate
Pulmonary infiltrates Aeration e/o PAL
Distributio
n
Characteristis
Hyaline
membrane
disease
Diffuse Fine reticulogranula
pattern with air
bronchograms
Hypoaeration Present usually
as a complication
of respirator
therapy
Transient
tachypnoea
Diffuse Symmetrical stringy
perihilar infiltration
Hypoaeration Uncommon
Meconium
aspiration
syndrome
Usually
diffuse
Bilat patchy, course
infiltrate & atelectasis
alternating with areas
of alveolar
emphysema
Hypoaeration Often seen in the
absence of
respiratory
therapy
Neonatal
pneumonia
Variable but
usually
asymmetrica
l & localized
Variable pattern
ranges from localized
to diffuse alveolar or
interstitial disease
Mild
hyperaeration
Uncommon
X-ray - RDS
RDS
43
44
X-ray - MAS
MAS
46
MAS
47
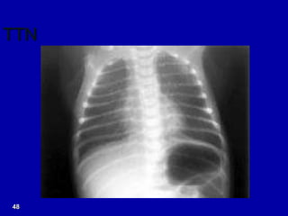
TTN
48
X-ray- TTNB
X-ray – Congenital pneumonia
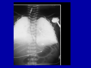
X-ray - Pneumothorax
Pneumonia/ Sepsis
53
Pneumothorax
54
Pneumothorax
 Right lateral decubitus view of
pneumothorax
55
Pneumopericardium
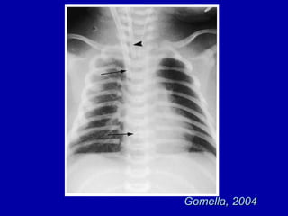
56
Gomella, 2004
Respiratory distress - Management
• Monitoring
• Supportive
- IV fluid
- Maintain vital signs
- Oxygen therapy
- Respiratory support
• Specific
Oxygen therapy*
Indications
• All babies with distress
• Cyanosis
• Pulse oximetry SaO2 < 90%
Method
• Flow rate 2-5 L/ min
• Humidified oxygen by hood or nasal prongs
* Cautious administration in pre-term
Antenatal corticosteroid
- Simple therapy that saves neonatal lives
• Preterm labor 24-34 weeks of gestation
irrespective of PROM, hypertension and
diabetes
• Dose:
Inj Betamethasone 12mg IM every 24 hrs X
2 doses; or Inj Dexamethasone 6 mg IM
every 12 hrs X 4 doses
• Multiple doses not beneficial
Surfactant therapy - Issues
• Should be used only if facilities for
ventilation available
• Cost
• Prophylactic Vs rescue
Prophylactic therapy
Extremely preterm <28 wks
<1000 gm
Not routine in India
Rescue therapy
Any neonate diagnosed to have RDS
Surfactant therapy - Issues
Dose 100mg/kg phospholipid Intra tracheal
Transient Tachypnea of the
Newborn
 History
– Common with C-Section delivery
– Maternal analgesia
– Maternal anesthesia during labor
– Maternal fluid administration
– Maternal asthma, diabetes, bleeding
– Perinatal asphyxia
– Prolapsed cord
65
TTN presents:
 Respiratory Assessment
–Tachypnea 60-150 bpm
–Nasal flaring
–Grunting
–Retracting
–Fine Rales
–Cyanotic
66
TTN
 X-Ray findings
– Prominent Perihilar streaking
– Hyperinflation
– Fluid in fissure
 Labs
– CBC within normal limits
– ABG/CBG showing mild to moderate
hypercapnia, hypoxemia with a respiratory
acidosis
67
TTN
 Have delayed reabsorption of fetal lung
fluid which eventually will clear over
several hours to days
 Treatment: Treat signs and symptoms.
Support infant, may need O2, is probably
too tachypneic to PO feed so start IV fluids
 Be patient!!
68
Congenital pneumonia
Predisposing factors
PROM >24 hours, foul smelling liquor,
Peripartal fever, unclean or multiple per
vaginal
Treatment
Thermoneutral environment, NPO, IV
fluids, Oxygen, antibiotics-
(Amp+Gentamicin)
Nosocomial pneumonia
Risk Factor : Ventilated neonates
: Preterm neonates
Prevention : Handwash
: Use of disposables
: Infection control
measures
Antibiotics : Usually require higher
antibiotics
Respiratory distress in a neonate with
asphyxia
• Myocardial dysfunction
• Cerebral edema
• Asphyxial lung injury
• Metabolic acidosis
• Persistent pulmonary hypertension
Pneumothorax
Etiology
Spontaneous, MAS, Positive pressure
ventilation (PPV)
Clinical features
Sudden distress, indistinct heart sounds
Management
Needle aspiration, chest tube
Persistent pulmonary
hypertension (PPHN)
Causes
• Primary
• Secondary: MAS, asphyxia, sepsis
Management
• Severe respiratory distress needing
ventilatory support, pulmonary
vasodilators
• Poor prognosis
Pneumothorax and other
Air Leaks
 History
– What happened in the delivery room?
– Was positive pressure given?
– Large amount of negative pressure generated
with the 1st breath?
74
Pneumothorax/ Air Leaks
 Respiratory Assessment
– Tachypnea
– Nasal flaring
– Grunting
– Retractions
– BS absent or decreased
75
Pneumothorax/ Air Leak
 Clinical Assessment
– Cyanotic
– Pale, gray
– Heart Rate
 Tachycardia
 Bradycardia
 PEA
– Pulses
 Normal
 Poor
 absent
76
Pneumothorax/ Air Leak
 Perfusion
– Capillary Refill (CRT)
– Blood Pressure if monitoring Arterial Line,
narrowing pulse pressure
 Deformities of Chest Wall
– Asymmetry of chest
 CHEST X-Ray speaks for itself!!
77
Congenital Diaphragmatic Hernia
Congenital Cystic Adenomatoid
Malformation
 Ideally diagnosed in utero
 Develops during pseudoglandular stage,
but CCAM can form up to 35 weeks
 Normally compromised at delivery
requiring immediate intubation
 CDH more commonly found on Left side
78
CDH
79
CDH/ CCAM
 Respiratory Assessment
– Tachypneic
– Retractions
– Nasal flaring
– Grunting
– Breath Sounds
 Decreased on the affected side
 May hear bowel sounds in chest with CDH
80
CDH
 Clinical Assessment
– Scaphoid Abdomen- classic sign
– Color
 Cyanotic
– Heart Rate
 Fast, slow or normal
– Perfusion
 Depends upon the severity
– X-Ray—Best diagnostic tool
 Bowel, stomach, liver in chest
– ABGs
 Acidosis, hypoxemia and hypercarbia
81
Left Congenital Diaphragmatic
Hernia
82
CCAM
83
Airway Abnormalities
 Occur less frequently than pulmonary
parenchymal diseases
 Presentation is often quite dramatic with
significant respiratory distress
 Stridor may be an important key to
diagnosing the abnormality
84
Evaluation of RD in NB
 History and physical examination
 Dawnes’ or RDS score (clinical)
 Arterial blood gases
Pulse oximetry – SaO2
 Chest x-ray
 Serum glucose and calcium; central
hematocrit, WBC and differential; platelet
count.
 Maternal vaginal culture
 Newborn surface (e.g. earcanal, gastric
aspirate) smears, cultures (?), blood culture,
urine culture (?). CSF culture (?)
Respiratory distress syndrome (RDS)
• Pre-term baby
• Early onset within 6 hours
• Supportive evidence: Negative shake test
• Radiological evidence
Pathogenesis of RDS
• Decreased or abnormal surfactant
• Alveolar collapse
• Impaired gas exchange
• Respiratory failure
RDS - Predisposing factors
• Prematurity
• Cesarean born
• Asphyxia
• Maternal diabetes
RDS - Protective factors
• PROM
• IUGR
• Steroids
 Table 1. Potential Pulmonary Causes for Respiratory Distress in Neonates
 Parenchymal conditions
 Transient tachypnea of the newborn
 Meconium aspiration syndrome and other aspirations
 Respiratory distress syndrome
 Pneumonia
 Pulmonary edema
 Pulmonary hemorrhage
 Pulmonary lymphangiectasia

Developmental abnormalities
 Lobar emphysema
 Pulmonary sequestration
 Cystic adenomatoid malformation
 Congenital diaphragmatic hernia
 Tracheoesophageal fistula
 Pulmonary hypoplasia

Airway abnormalities Choanal atresia/stenosis
 Laryngeal web
 Laryngotracheomalacia or bronchomalacia
 Subglottic stenosis
 Mechanical abnormalities Rib cage anomalies (eg, Jeune syndrome)
 Pneumothorax
 Pneumomediastinum
 Pleural effusion
 Chylothorax

Respiratory distress
(needing referral)
• RDS (HMD)
• MAS
• Surgical or cardiac cause
• PPHN
• Severe or worsening distress
Meconium aspiration syndrome (MAS)
• Meconium staining
- Antepartum, intrapartum
• Thin
- Chemical pneumonitis
• Thick
- Atelectasis, airway blockage, air
leak syndrome
Meconium aspiration syndrome
• Post term/SFD
• Meconium staining – cord, nails, skin
• Onset within 4 to 6 hours
• Hyperinflated chest
MAS - Prevention
• Oropharyngeal suction before delivery of
shoulder for all neonates born through
MSAF
• Endotracheal suction for non vigorous*
neonates born through MSAF
*Avoid bag & mask ventilation till trachea is
cleared

Respiratory distress in newborn

  • 1.
    Respiratory Distress inNewborn Dr L S Deshmukh DM ( Neonatology ) Professor and Head, Dept. of Pediatrics Govt. Medical College, Aurangabad
  • 2.
    Respiratory distress • Causeof significant morbidity and mortality • Incidence 4 to 6% of live births • Many are preventable • Early recognition, timely referral, appropriate treatment essential
  • 3.
    Respiratory distress • RR> 60/ min • Retractions • Grunt • + Cyanosis Note : RR should be recorded in a quiet state for at least one minute.
  • 4.
    RD IN NB- Causes  Pulmonary - Parenchymal - Extraparenchymal  Non Pulmonary - Heart - Metabolic - Brain - Blood - Abdominal
  • 5.
    RD in Newborn– Causes Pulmonary Parenchymal Extraparenchymal * RDS (HMD) * Upper airway obstruction * TTN (RDS II) (Cloanal atresia, stenosis) * Aspiration (Blood * Pneumothorax meconium) * Pleural effusion * PPHN * Cong. Diaph. hernia * Pneumonia * Diaphragmatic paralysis * Pulm. hemorrhage * Pulm. hypoplasia
  • 6.
    RD in Newborn– Causes Extrapulmonary Heart Metabolic Brain Blood Abdominal - CCF - Met. Acidosis - Haemorrhage - Hypovolemia - NEC - PDA - Hypoglycemia - Edema - Hyperviscosity - Pneumo - CCHD - Hypothermia - Drugs - Acute blood peritonium - Vascular - Sepsis - Pain loss - Large mass
  • 7.
    Surgical causes ofrespiratory distress • Tracheo-esophageal fistula • Diaphragmatic hernia • Lobar emphysema • Pierre -Robin syndrome • Choanal atresia
  • 8.
    Approach to respiratorydistress History • Onset of distress • Gestation • Antenatal history / steroids • Predisposing factors- PROM, fever • Meconium stained amniotic fluid • Asphyxia
  • 9.
    Mathai ss etal ,MJAFI 2007; 63 : 269-272
  • 10.
    Preterm - Possibleetiology Early progressive - Respiratory distress syndrome or hyaline membrane disease (HMD) Early transient - Asphyxia, metabolic causes, hypothermia Anytime - Pneumonia
  • 11.
    Term – Possibleetiology Early well looking - TTNB, polycythemia Early severe distress - MAS, asphyxia, malformations Late sick with - Cardiac hepatomegaly Late sick with shock - Acidosis Anytime - Pneumonia
  • 12.
    RR (bpm Aspiration cong. Pneumonia,sev. HMD CDH cardiac malformation Approx. 6 Hours of age Normal 60 Course of Neonatal Tachypnoea : Etiologic possibilities Source : Baurn DJ, Birth Risks, Nastle Nutrition Workshop, 1993 TTNB HMD
  • 13.
    Evaluation of RDin NB – Clinical History Antenatal History Most likely association * Prematurity, IDMs * HMD * PROM, maternal fever, * Pneumonia Unclean vaginal exams, UTI, diarrhoea * Asphyxia/MSAF * Aspiration * Caesarean delivery * TTN * Polyhydramnios * Pulm. Hypoplasia * Oligohydramnios * TE fistula, CDH * H/o receiving steroids * RDS less * Traumatic/breech delivery * ICH / Phrenic nerve paralysis
  • 14.
    Evaluation of RDin NB – Clinical History When did the symptoms begin?  Best historical assistant  Stridor at birth – Cong. Anomaly  After increase feed volum. – GEF & aspiration  After intubation – tube block, air leak  After extubation – Trauma / atelectasis
  • 15.
    Evaluation of RDin NB – Clinical History Is the disorder new / chronic / recurrent?  Chronic disorder – BPD  Recurrent disorders - Aspiration pneumonia - Pulmonary hemorrhage - Lobar atelectasis
  • 16.
    Evaluation of RDin NB – Clinical History Does the NB have spontaneous cough?  Spont. Cough, always abnormal in NB  Causes of cough in NB : CRADLE C cystic fibrosis R respiratory infection A aspiration (reflux, TE fistula) D dyskinesia of cilia L lung, airway, vascular malformation E edema (heart failure, BPD) Fletcher MA, 1998, Physical diagnosis in neonatology
  • 17.
    Approach to respiratorydistress Examination • Severity of respiratory distress • Neurological status • Blood pressure, CFT • Hepatomegaly • Cyanosis • Features of sepsis • Look for malformations
  • 18.
    Evaluation of RDin NB – Downes’ Score 0 1 2 Cyanosis None In room air In 40% FiO2 Retractions None Mild Severe Grunting None Audible with stetho. Audible without stetho. Air entry C;ear Decreased Barely audible RR Under 60 60-80 Over 80 or apnea Score : > 4 = Clinical respiratory distress; monitor ABG > 8 = Impending respiratory failure
  • 21.
    Evaluation of RDin NB – RR  Affected by various conditions  Low rates – Decreased MV  High rates – Wasted ventilation  Rapid & shallow – Stiff lungs (RDS)  Slow & Deep – Increased resistance (MAS)  Isolated tachypnoea – Acidosis, sepsis, CCF
  • 22.
    Evaluation of RDin NB – Grunting  Classical in HMD, may be seen in pneumonia, pulmonary edema & others.  Expiration through partially closed glottis.  Intermittent / continuous (Severity)  Generates CDP of 2-3 cms H2O  Maintains FRC
  • 23.
    Evaluation of RDin NB – Cyanosis  Total desat. Hb > 3.5 gm/dl  Central cyanosis – always abnormal  Acrocyanosis – May be normal  Hyperoxia test – Pulm. Vs Cardiac  Anemia / Polycythemia - Falacious
  • 24.
    Hyperoxia test test Methodresult diagnosis Hyperoxia 100 % fio2 5-10 min Pao2 increases to > 100 torr Pao2 increases by < 20 torr Parenchymal lung disease PPHN / CCHD Hyperoxia- hypervetilation MV 100 % fio2 & VR 100-150 / min Pao2 increases to > 100 torr w HV Pao2 increases at critical Pco2 No increase in Pao2 with HV Parenchymal lung disease PPHN CCHD
  • 25.
    Evaluation of RDin NB – Physical Exam.  Look for : - Shrill cry / abn. tone (CNS disorder) - Persistent frothing at mouth (TE fistula) - Cyanosis, relieved on crying (choanal atresia) - Seaphoid abd. (CDH) - Single umbilical astery (CHD) - Meconium staining of skin, nails or cord (MAS)
  • 26.
    Evaluation of RDin NB – Retractions Site of retraction Probable region affected Likely clinical association Intercostal Pulmonary parenchyma or distal airway Conditions of decreased parenchymal compliance MHD, TTN, Pneumonia Subcostal Insertion of diaphragm Mild degree of retraction are normal in neonates; Airway obstruction or parenchymal disease; in the absence of intercostal retractions, indicates proximal airway obstruction
  • 27.
    Evaluation of RDin NB – Retractions Site of retraction Probable region affected Likely clinical association Unilateral subcostal Decreased movement of opposite diaphragm Isolated phrenic nerve weakness Brachial palsy Massive pleural effusion Tension pneumothorax, CDH Suprasternal Obstruction in upper airway Choanal atresia or stenosis Laryngeal stenosis or malacia Obstruction of upper airway due to secretions, edema Sternal Sternal compliance greater than pulm. compliance Proximal airway obstruction
  • 28.
    Clinical Examination  Color—pink,dusky, pale, mottled – Central – Peripherally  Heart rate  Pulses – Distal vs Central  Perfusion – Capillary Refill Time (CRT) – Blood Pressure
  • 29.
    Clinical Examination  Physicalcharacteristics – Flat nasal bridge, Simian crease, recessed chin, low set ears  Deformities – Extra digits, gastroschesis, imperforate anus  Muscular – Hyoptonia vs Hypertonia  Skeleton – Choanal Atresia, Osteogenesis Imperfecta  Other – Scaphoid abdomen, hepatomegaly, situs inversus
  • 30.
    Suspect surgical cause •Obvious malformation • Scaphoid abdomen • Frothing • History of aspiration
  • 31.
    Evaluation of RDin NB – Chest Exam.  Increased A-P diameter of chest - Pneumothorax, emphysema or CDH  Asymmetric chest movement - Tension pneumothorax, pleural effusion, CDH, Diaphragmatic paralysis, PIE.  Auscultation - Breath sounds , - Early, coarse crackles – Pneumonia & HMD - Late crackles - PIE  Wheezing – BPD, GER, Vascular rings, bronchomalacia  Auscultatory percussion – Lobar atelectasis, effusion.  Transillumination of the chest
  • 32.
    RD in Newborn– Clinical Differences Symptoms & signs Pulm. disorder CVS disorder CNS disorder Metabolic disorder Tachypnea + + + or apnea + I/C Recession +++ ± - ± Expiratory grunt + - - - Cyanosis + ++++ + - Hepatomegaly + +++ - - History Prematurity, MSL, PROM, Polyhydram. Rubella, hydrops LFD Breech Hypotonia birth asphyxia Preterm increase protein intake Seizures Rare Absent May occur Common Auscultation ± Murmur - -
  • 33.
    Investigations • Gastric aspirate •Polymorph count • Sepsis screen • Chest X-ray • Blood gas analysis
  • 34.
    Pulse oximetry • Effectivenon invasive monitoring of oxygen therapy • Ideally must for all sick neonates and those requiring oxygen therapy • Maintain SaO2 between 90 – 93 %
  • 37.
    Shake test • Takea test tube • Mix 0.5 ml gastric aspirate + 0.5 ml absolute alcohol • Shake for 15 seconds • Allow to stand 15 minutes for interpretation of result
  • 38.
    RD in Newborn– Differential Diagnosis Condition Gestation History Clinical signs RDS PT>FT APH/IDM asphyxia Retractions, grunt Pneumoni a Any PROM, smelly liquor, fever in mother Hypo/hyperthermia leukocytosis or neutropenia MAS FT NSAF, asphysia MA Distended chest Meconium staining TTNB FT>PT C section Tachypnoea ++ PPHH Usually FT Asphyxia Profound cyanosis CVS normal
  • 39.
    X-Ray  Structures – Ribs –Vertebra – Liver – Stomach/ intestine – Lungs – Heart – Trachea – Esophagus 39
  • 40.
    X-Ray  Lungs – LungVolume – Expansion – Densities  Fluid/ collapse (atelectasis)>>white  Free Air>>dark  Mass  Heart shape and size – Boot shaped – Egg or Oval shaped – cardiomegaly 40
  • 41.
    Roentgen Finding inRD in the Neonate Pulmonary infiltrates Aeration e/o PAL Distributio n Characteristis Hyaline membrane disease Diffuse Fine reticulogranula pattern with air bronchograms Hypoaeration Present usually as a complication of respirator therapy Transient tachypnoea Diffuse Symmetrical stringy perihilar infiltration Hypoaeration Uncommon Meconium aspiration syndrome Usually diffuse Bilat patchy, course infiltrate & atelectasis alternating with areas of alveolar emphysema Hypoaeration Often seen in the absence of respiratory therapy Neonatal pneumonia Variable but usually asymmetrica l & localized Variable pattern ranges from localized to diffuse alveolar or interstitial disease Mild hyperaeration Uncommon
  • 42.
  • 43.
  • 44.
  • 45.
  • 46.
  • 47.
  • 48.
  • 49.
  • 50.
  • 51.
  • 53.
  • 54.
  • 55.
    Pneumothorax  Right lateraldecubitus view of pneumothorax 55
  • 56.
  • 58.
  • 60.
    Respiratory distress -Management • Monitoring • Supportive - IV fluid - Maintain vital signs - Oxygen therapy - Respiratory support • Specific
  • 61.
    Oxygen therapy* Indications • Allbabies with distress • Cyanosis • Pulse oximetry SaO2 < 90% Method • Flow rate 2-5 L/ min • Humidified oxygen by hood or nasal prongs * Cautious administration in pre-term
  • 62.
    Antenatal corticosteroid - Simpletherapy that saves neonatal lives • Preterm labor 24-34 weeks of gestation irrespective of PROM, hypertension and diabetes • Dose: Inj Betamethasone 12mg IM every 24 hrs X 2 doses; or Inj Dexamethasone 6 mg IM every 12 hrs X 4 doses • Multiple doses not beneficial
  • 63.
    Surfactant therapy -Issues • Should be used only if facilities for ventilation available • Cost • Prophylactic Vs rescue
  • 64.
    Prophylactic therapy Extremely preterm<28 wks <1000 gm Not routine in India Rescue therapy Any neonate diagnosed to have RDS Surfactant therapy - Issues Dose 100mg/kg phospholipid Intra tracheal
  • 65.
    Transient Tachypnea ofthe Newborn  History – Common with C-Section delivery – Maternal analgesia – Maternal anesthesia during labor – Maternal fluid administration – Maternal asthma, diabetes, bleeding – Perinatal asphyxia – Prolapsed cord 65
  • 66.
    TTN presents:  RespiratoryAssessment –Tachypnea 60-150 bpm –Nasal flaring –Grunting –Retracting –Fine Rales –Cyanotic 66
  • 67.
    TTN  X-Ray findings –Prominent Perihilar streaking – Hyperinflation – Fluid in fissure  Labs – CBC within normal limits – ABG/CBG showing mild to moderate hypercapnia, hypoxemia with a respiratory acidosis 67
  • 68.
    TTN  Have delayedreabsorption of fetal lung fluid which eventually will clear over several hours to days  Treatment: Treat signs and symptoms. Support infant, may need O2, is probably too tachypneic to PO feed so start IV fluids  Be patient!! 68
  • 69.
    Congenital pneumonia Predisposing factors PROM>24 hours, foul smelling liquor, Peripartal fever, unclean or multiple per vaginal Treatment Thermoneutral environment, NPO, IV fluids, Oxygen, antibiotics- (Amp+Gentamicin)
  • 70.
    Nosocomial pneumonia Risk Factor: Ventilated neonates : Preterm neonates Prevention : Handwash : Use of disposables : Infection control measures Antibiotics : Usually require higher antibiotics
  • 71.
    Respiratory distress ina neonate with asphyxia • Myocardial dysfunction • Cerebral edema • Asphyxial lung injury • Metabolic acidosis • Persistent pulmonary hypertension
  • 72.
    Pneumothorax Etiology Spontaneous, MAS, Positivepressure ventilation (PPV) Clinical features Sudden distress, indistinct heart sounds Management Needle aspiration, chest tube
  • 73.
    Persistent pulmonary hypertension (PPHN) Causes •Primary • Secondary: MAS, asphyxia, sepsis Management • Severe respiratory distress needing ventilatory support, pulmonary vasodilators • Poor prognosis
  • 74.
    Pneumothorax and other AirLeaks  History – What happened in the delivery room? – Was positive pressure given? – Large amount of negative pressure generated with the 1st breath? 74
  • 75.
    Pneumothorax/ Air Leaks Respiratory Assessment – Tachypnea – Nasal flaring – Grunting – Retractions – BS absent or decreased 75
  • 76.
    Pneumothorax/ Air Leak Clinical Assessment – Cyanotic – Pale, gray – Heart Rate  Tachycardia  Bradycardia  PEA – Pulses  Normal  Poor  absent 76
  • 77.
    Pneumothorax/ Air Leak Perfusion – Capillary Refill (CRT) – Blood Pressure if monitoring Arterial Line, narrowing pulse pressure  Deformities of Chest Wall – Asymmetry of chest  CHEST X-Ray speaks for itself!! 77
  • 78.
    Congenital Diaphragmatic Hernia CongenitalCystic Adenomatoid Malformation  Ideally diagnosed in utero  Develops during pseudoglandular stage, but CCAM can form up to 35 weeks  Normally compromised at delivery requiring immediate intubation  CDH more commonly found on Left side 78
  • 79.
  • 80.
    CDH/ CCAM  RespiratoryAssessment – Tachypneic – Retractions – Nasal flaring – Grunting – Breath Sounds  Decreased on the affected side  May hear bowel sounds in chest with CDH 80
  • 81.
    CDH  Clinical Assessment –Scaphoid Abdomen- classic sign – Color  Cyanotic – Heart Rate  Fast, slow or normal – Perfusion  Depends upon the severity – X-Ray—Best diagnostic tool  Bowel, stomach, liver in chest – ABGs  Acidosis, hypoxemia and hypercarbia 81
  • 82.
  • 83.
  • 84.
    Airway Abnormalities  Occurless frequently than pulmonary parenchymal diseases  Presentation is often quite dramatic with significant respiratory distress  Stridor may be an important key to diagnosing the abnormality 84
  • 86.
    Evaluation of RDin NB  History and physical examination  Dawnes’ or RDS score (clinical)  Arterial blood gases Pulse oximetry – SaO2  Chest x-ray  Serum glucose and calcium; central hematocrit, WBC and differential; platelet count.  Maternal vaginal culture  Newborn surface (e.g. earcanal, gastric aspirate) smears, cultures (?), blood culture, urine culture (?). CSF culture (?)
  • 87.
    Respiratory distress syndrome(RDS) • Pre-term baby • Early onset within 6 hours • Supportive evidence: Negative shake test • Radiological evidence
  • 88.
    Pathogenesis of RDS •Decreased or abnormal surfactant • Alveolar collapse • Impaired gas exchange • Respiratory failure
  • 89.
    RDS - Predisposingfactors • Prematurity • Cesarean born • Asphyxia • Maternal diabetes RDS - Protective factors • PROM • IUGR • Steroids
  • 91.
     Table 1.Potential Pulmonary Causes for Respiratory Distress in Neonates  Parenchymal conditions  Transient tachypnea of the newborn  Meconium aspiration syndrome and other aspirations  Respiratory distress syndrome  Pneumonia  Pulmonary edema  Pulmonary hemorrhage  Pulmonary lymphangiectasia 
  • 92.
    Developmental abnormalities  Lobaremphysema  Pulmonary sequestration  Cystic adenomatoid malformation  Congenital diaphragmatic hernia  Tracheoesophageal fistula  Pulmonary hypoplasia
  • 93.
     Airway abnormalities Choanalatresia/stenosis  Laryngeal web  Laryngotracheomalacia or bronchomalacia  Subglottic stenosis  Mechanical abnormalities Rib cage anomalies (eg, Jeune syndrome)  Pneumothorax  Pneumomediastinum  Pleural effusion  Chylothorax 
  • 94.
    Respiratory distress (needing referral) •RDS (HMD) • MAS • Surgical or cardiac cause • PPHN • Severe or worsening distress
  • 95.
    Meconium aspiration syndrome(MAS) • Meconium staining - Antepartum, intrapartum • Thin - Chemical pneumonitis • Thick - Atelectasis, airway blockage, air leak syndrome
  • 96.
    Meconium aspiration syndrome •Post term/SFD • Meconium staining – cord, nails, skin • Onset within 4 to 6 hours • Hyperinflated chest
  • 97.
    MAS - Prevention •Oropharyngeal suction before delivery of shoulder for all neonates born through MSAF • Endotracheal suction for non vigorous* neonates born through MSAF *Avoid bag & mask ventilation till trachea is cleared