Transradial Approach: Just Do It !

TEJAS M. PATEL, MD, DM, FACC, FESC, FSCAI
               PROFESSOR & HEAD

    Department of Cardiovascular Sciences,
     Smt. N.H.L. Municipal Medical College,
  Sheth K.M. School of PG Studies & Research,
    Sheth V. S. Hospital, Ahmedabad, India.

                   DIRECTOR
    Department of Cardiovascular Sciences,
 TCVS (Total Cardiovascular Solutions) Pvt. Ltd.
               Ahmedabad, India.
Disclosure

Honorarium from Terumo US
Historical perspective
Mason Sones
Brachial cut-down
Melvin Judkins
Percutaneous femoral approach
Campeau
Transradial coronary angiogram
Kiemeneij
Transradial coronary intervention
UL   LL
TRI        TFI
 Major Vascular Complications                      (n=1604)   (n=5211)

   Kiemeneij F et al. 1996 J Am Coll Cardiol          0         2%

       Ziakas A et al. Am J Cardiol 1999              0        1.5%

     Tift Mann et al. J Am Coll Cardiol 1999          0         4%

      Choussat R et al. Eur Heart J 2000              0        4.5%

               Hildic S et al. 2000                   0         6%

Louvard Y et al. Catheter Cardiovasc Interv 2002      0        1.3%
 Saito S et al. Catheter Cardiovasc Interv 2002       0         3%
       Valsecchi O et al. Ital Heart J 2003           0        1.2%

             Lefevre T (TCT 2003)                     0        2.3%

                  Pooled data                       0.0%       3.8%
SUCCESS
      Transradial PCI In Setting Of AMI                      96.6%
      Tift Mann et al. J Am Coll Cardiol 1999 (n=68)         96%
   Delarche N et al. Am J Geritar Cardiol 1999 (n=46)        100%
      Kim MH et al. J Invasive Cardiol 2000 (n=30)           90%
      Mathias et al. J Invasive Cardiol 2000 (n=14)          100%
Mulkutla SR et al. Catheter Cardiovasc Interv 2002 (n=41)    100%
Hamon M et al. Catheter Cardiovasc Interv 2002 (n=119)       100%
Louvard Y et al. Catheter Cardiovasc Interv 2002 (n=267)     98%
       Ziakas A et al. Am J Cardiol 1999 (n=100)             90%
  Saito S et al. Catheter Cardiovasc Interv 2002 (n=77)      96%
       Valsecchi O et al. Ital Heart J 2003 (n=163)          97%
TRI        TFI
 Procedural Success Final TIMI 3 Flow
                                                   (n=665)   (n=1726)
     Tift Mann et al. J Am Coll Cardiol 1999        96 %       96 %

       Ziakas A et al. Am J Cardiol 1999            99%        97%

Louvard Y et al. Catheter Cardiovasc interv 2002    98%        97%

 Saito S et al. Catheter Cardiovasc Interv 2002     96 %       97 %

       Valsecchi O et al. Ital Heart J 2003         97%        96%

                  Pooled data                       97%        97%



p= ns in all studies
TRI      TFI
   Major Vascular Complications                    (n=945) (n=2802)
     Tift Mann et al. J Am Coll Cardiol 1999         0       4%

       Ziakas A et al. Am J Cardiol 1999             0       1.5%

Louvard Y et al. Catheter Cardiovasc Interv 2002     0       1.3%

 Saito S et al. Catheter Cardiovasc Interv 2002      0       3%
       Valsecchi O et. al Ital Heart J 2003          0       1.2%
             Lefevre T (TCT 2003)                    0       2.3%
                  Pooled data                        0       1.8%
TRI: Impact of Gp IIb / IIIa Blockers
    Absence of Major Vascular Complications
                                        TRI      TFI
Major vascular complications
                                      (n=244) (n=1953)

Choussat R et al. Eur Heart J 2000      0       4.5%

ESPRIT trial J Am Coll Cardiol 2003    0.7%     6.6%

           Pooled data                 0.4%     6.5%
TRI In AMI: No Delay In Reperfusion

                                                                TRI      TFI
        PROCEDURAL TIME (minutes)
                                                              (n=945) (n=2802)
             Ziakas A et al. Am J Cardiol 1999                 43   19   50   28

Louvard Y et al. (Centre A) Catheter Cardiovasc Interv 2002    45   42   43   32


Louvard Y et al. (Centre B) Catheter Cardiovasc Interv 2002    67   25   68   21

      Saito S et al. Catheter Cardiovasc Interv 2002           44   18   51   21

            Valsecchi O et al. Ital Heart J 2003               62   23   61   22

                   Lefevre T (TCT 2003)                        45   50   48   55


   P=ns
J Am Coll Cardiol. 2004; 44 (2): 349-56
 Radial versus femoral approach for percutaneous
coronary diagnostic and interventional procedures;
    Systematic overview and meta-analysis of
                 randomized trials
       Agostoni P, Biondi-Zoccai GG, de Benedictis ML et al.


                        CONCLUSION:
The radial approach for coronary procedures appears as a
safe alternative to femoral access. Moreover, radial access
     virtually eliminates local vascular complications
Am Heart J. 2009; 157(1):132-40

        Radial versus femoral access for coronary
   angiography or intervention and the impact on major
              bleeding and ischemic events:
A systematic review and meta-analysis of randomized trials

               Jolly SS, Amlani S, Hamon M et al.

                       CONCLUSION:
     Radial access reduced major bleeding and
   there was a corresponding trend for reduction
  in ischemic events compared to femoral access
Catheter Cardiovasc Interv 2009;74: 408-415

Effectiveness of the transradial approach to reduce bleedings
   in patients undergoing urgent coronary angioplasty with
      GPIIb / IIIa inhibitors for acute coronary syndromes

        Marco De Carlo, Gabriele Borelli, Roberto Gistri et al.


                          CONCLUSION:
 The transradial approach dramatically reduces access site
 bleedings, including TIMI major and minor bleedings, and
 transfusion rate, while preserving procedural success and
 clinical outcome. The transradial approach is an attractive
    solution to reduce bleeding complications in patients
                      treated with GPIs
Catheter Cardiovasc Interv. 2010;75 (5): 695-9

     Arterial access and door-to-balloon times for
primary percutaneous coronary intervention in patients
presenting with acute ST-elevation myocardial infarction

           Weaver AN, Henderson RA, Gilchrist IC et al.

                        CONCLUSION:

     Patients presenting with STEMI can undergo
   successful PCI via radial artery approach without
compromise in D2B times as compared to femoral artery
                        approach
Catheter Cardiovasc Interv. 2010;75(7):991-5

Comparison of door-to-balloon times for primary PCI
   using transradial versus transfemoral approach

              Pancholy S, Patel T, Sanghvi K et al.

                       CONCLUSION:

Transradial approach to primary PCI provides similar
door-to-balloon times to transfemoral approach, and
significantly lowers access site related complications,
          in patients presenting with STEMI
Impact of
bleeding & transfusion on
 the procedural outcome
Heart 2008;94:1530-1532
                                     EDITORIAL
Should radial artery access be the "gold standard" for PCI?
                             Martial Hamon1, James Nolan2
                      1 University Hospital of Caen, Caen, France
             2 University Hospital of North Staffordshire, Stoke-on-Trent, UK
Heart 2008;94:1019-1025
       Association of the arterial access site at angioplasty with
           transfusion and mortality: the M.O.R.T.A.L study
    (Mortality benefit of Reduced Transfusion after percutaneous coronary intervention via the Arm or Leg)


                A J Chase, E B Fretz, W P Warburton et al.

                           Design, setting and patients:

 By data linkage of three prospectively collated provincial registries, 38 872
     procedures in 32 822 patients in British Columbia were analysed
The association between access site, transfusion & outcomes was assessed

              Main outcome measures: 30-Day and 1-year mortality
CONCLUSION:
• The MORTAL study ,which looked at a registry
  of 33,000 Canadian patients, showed 50% less
  blood transfusions and accompanying
  reductions in mortality for patient done radially

• By probit regression the absolute increase in risk
  of death at 1 year associated with receiving a
  transfusion was 6.78%
JACC 2009
JACC 2009
JACC 2009
J Am Coll Cardiol Intv, 2008; 1:379-386

Trends in the Prevalence and Outcomes of Radial and
    Femoral Approaches to Percutaneous Coronary
                         Intervention

 A Report From the National Cardiovascular Data Registry

         Sunil V. Rao, Fang-Shu Ou, Tracy Y et al.

                       CONCLUSION:
      Study looked at 593,094 U.S. patients
    and found that radial patients experienced
         58% less bleeding complications
RIVAL Study – ACC 2011
                    Lancet 2011;377:1409–20

 Radial versus femoral access for coronary angiography and
intervention in patients with acute coronary syndromes (RIVAL):
        a randomised, parallel group, multicentre trial
                 Jolly SS, Yusuf S, Cairns J et al.

                         CONCLUSION:

         Radial access was associated with a
      reduction in access-related complications

       There was a trend towards survival benefit
                in patients with STEMI
Ostensible Reasons

                                Blah…Blah…Blah
• Small artery
• RA spasm
• Difficult to use bulky devices
• Inadequate guide catheter backup
• Not so good for difficult coronary
  anatomy
• Not safe for complex anatomy
• RA occlusion
• Radiation exposure
Experience
• From Jan - 1992 to Nov - 2001
   • 25,450 Transfemoral procedures
   • 6,360 coronary interventions through TFA

• From Dec - 2001 to June - 2011
   • 35,202 Transradial procedures
   • 9,152 coronary interventions through TRA
   • 291 Peripheral intervention through TRA
   • 98% procedures through TRA
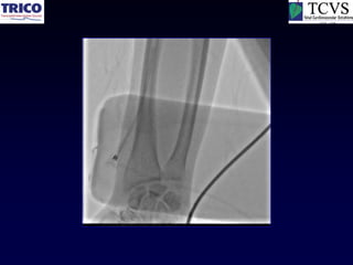
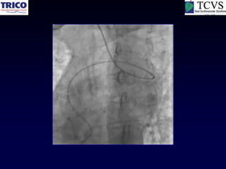
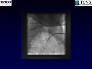
Radial Artery Spasm
Working through
Calcified Radial Artery
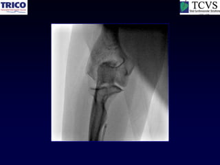
Radial Artery
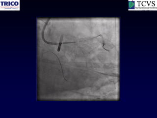
 Perforation
Higher puncture of
   Radial artery
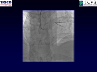
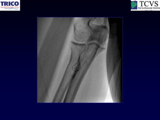
Very low radial loop & High puncture
High Puncture
Lateral Puncture
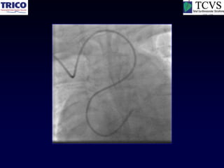
Addressing the
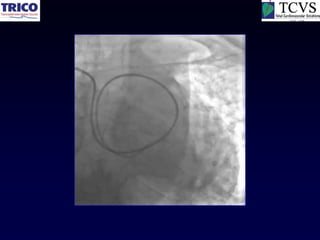
    loops
Simple loop
More
challenging
   loop
Most
challenging
   loop
“Downsize the Catheter”
   Diagnostic 5F  4F
Intervention
     through
Loop & Perforation
Intervention through
   Loop & Spasm
Practice makes you perfect…
Acute angle crossed
   using a PTCA
      catheter
Catheter Knot
 Reduction
Another example

Catheter Knot
 Reduction
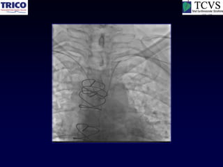
Axillo-Subclavian
   Dissection
Working through Extreme
 Subclavian Tortuosity

  “use of pigtail catheter”
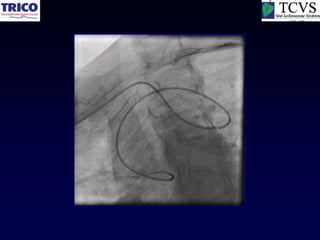
Working through
Subclavian Tortuosity

“use of PTCA catheter”
Another example

   Balloon-assisted
guide catheter tracking
 through a small RA
Working through
Arteria Lusoria
Effect of dilatation and distortion of aorta
Schematic diagram of different loops
     produced due to distortion of aorta



•   Normal
•   Z–loop
•   Roller-coaster loop
•   Cobra loop
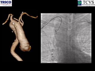
Arteria Lusoria
Arteria Lusoria




Anterior       Posterior     Oblique
Arteria Lusoria
Arteria Lusoria
‘Roller-coaster loop’
Arteria Lusoria - Cath Maneuver
Arteria Lusoria
 ‘Cobra loop’
Cobra loop
RCA stenting
Cobra loop
 coronary
cannulation
Arteria lusoria with
Subclavian tortuosity
Practice makes you perfect…
Again…
Practice makes you
     perfect…
Working through
Right Aortic Arch –
    Right TRA
LIMA Cannulation using RRA
RCA
Air Embolization
LMCA Bifurcation Rota-Stent
LMCA intervention…
 A real nightmare
RCA CTO
Unprotected LMCA Stenting
Extensive anterior wall MI-1 hour
Acute IWMI &
Cardiogenic Shock
Peripheral
Interventions
Our experience
           Through TRA
Renal                      107
Iliac                      36
SFA                        11
SMA                        02
Subclavian                 28
Vertebral & Basilar        66
ICA                        41
Total                      291
Published data by our group
   Patel T, Kuladhipati I, Shah S. et al.
    Successful percutaneous endovascular management of acute post
    traumatic superior mesenteric artery dissection using transradial
    approach. J. Invasc. Cardiol. 2010; 22: 4: 61-64

   Patel T, Shah S, Pancholy S, Coppola J. et al.
    Contralateral transradial approach for carotid artery stenting:
    A feasibility study. Cathet Cardiovasc Interv 2010; 75: 2: 268-275

   Patel T, Shah S, Radadia R. et al.
    Transradial approach for stenting of vertebro-basilar stenosis:
    A feasibility study. Cathet Cardiovasc Interv 2009; 74: 925-931
Renal Artery
 Stenting
Bilateral iliac
      &
SFA Stenting
Superior
Mesenteric Artery
    Stenting
Subclavian
  Artery
 Stenting
Vertebral Artery
    Stenting
 Ostial Lesion
Vertebral Artery
    Stenting
 Intra-cranial
Chronic Basilar
    Artery
  Occlusion
Left Carotid Stenting
      through
 Right Radial Route
What is the limitation ?
Anterior Tibial PTA
It is the limitation of hardware…
Thank You




www.transradialWORLD.org

Patel TM 201110

  • 1.
    Transradial Approach: JustDo It ! TEJAS M. PATEL, MD, DM, FACC, FESC, FSCAI PROFESSOR & HEAD Department of Cardiovascular Sciences, Smt. N.H.L. Municipal Medical College, Sheth K.M. School of PG Studies & Research, Sheth V. S. Hospital, Ahmedabad, India. DIRECTOR Department of Cardiovascular Sciences, TCVS (Total Cardiovascular Solutions) Pvt. Ltd. Ahmedabad, India.
  • 2.
  • 3.
  • 4.
  • 5.
  • 6.
  • 7.
  • 8.
    UL LL
  • 9.
    TRI TFI Major Vascular Complications (n=1604) (n=5211) Kiemeneij F et al. 1996 J Am Coll Cardiol 0 2% Ziakas A et al. Am J Cardiol 1999 0 1.5% Tift Mann et al. J Am Coll Cardiol 1999 0 4% Choussat R et al. Eur Heart J 2000 0 4.5% Hildic S et al. 2000 0 6% Louvard Y et al. Catheter Cardiovasc Interv 2002 0 1.3% Saito S et al. Catheter Cardiovasc Interv 2002 0 3% Valsecchi O et al. Ital Heart J 2003 0 1.2% Lefevre T (TCT 2003) 0 2.3% Pooled data 0.0% 3.8%
  • 10.
    SUCCESS Transradial PCI In Setting Of AMI 96.6% Tift Mann et al. J Am Coll Cardiol 1999 (n=68) 96% Delarche N et al. Am J Geritar Cardiol 1999 (n=46) 100% Kim MH et al. J Invasive Cardiol 2000 (n=30) 90% Mathias et al. J Invasive Cardiol 2000 (n=14) 100% Mulkutla SR et al. Catheter Cardiovasc Interv 2002 (n=41) 100% Hamon M et al. Catheter Cardiovasc Interv 2002 (n=119) 100% Louvard Y et al. Catheter Cardiovasc Interv 2002 (n=267) 98% Ziakas A et al. Am J Cardiol 1999 (n=100) 90% Saito S et al. Catheter Cardiovasc Interv 2002 (n=77) 96% Valsecchi O et al. Ital Heart J 2003 (n=163) 97%
  • 11.
    TRI TFI Procedural Success Final TIMI 3 Flow (n=665) (n=1726) Tift Mann et al. J Am Coll Cardiol 1999 96 % 96 % Ziakas A et al. Am J Cardiol 1999 99% 97% Louvard Y et al. Catheter Cardiovasc interv 2002 98% 97% Saito S et al. Catheter Cardiovasc Interv 2002 96 % 97 % Valsecchi O et al. Ital Heart J 2003 97% 96% Pooled data 97% 97% p= ns in all studies
  • 12.
    TRI TFI Major Vascular Complications (n=945) (n=2802) Tift Mann et al. J Am Coll Cardiol 1999 0 4% Ziakas A et al. Am J Cardiol 1999 0 1.5% Louvard Y et al. Catheter Cardiovasc Interv 2002 0 1.3% Saito S et al. Catheter Cardiovasc Interv 2002 0 3% Valsecchi O et. al Ital Heart J 2003 0 1.2% Lefevre T (TCT 2003) 0 2.3% Pooled data 0 1.8%
  • 13.
    TRI: Impact ofGp IIb / IIIa Blockers Absence of Major Vascular Complications TRI TFI Major vascular complications (n=244) (n=1953) Choussat R et al. Eur Heart J 2000 0 4.5% ESPRIT trial J Am Coll Cardiol 2003 0.7% 6.6% Pooled data 0.4% 6.5%
  • 14.
    TRI In AMI:No Delay In Reperfusion TRI TFI PROCEDURAL TIME (minutes) (n=945) (n=2802) Ziakas A et al. Am J Cardiol 1999 43 19 50 28 Louvard Y et al. (Centre A) Catheter Cardiovasc Interv 2002 45 42 43 32 Louvard Y et al. (Centre B) Catheter Cardiovasc Interv 2002 67 25 68 21 Saito S et al. Catheter Cardiovasc Interv 2002 44 18 51 21 Valsecchi O et al. Ital Heart J 2003 62 23 61 22 Lefevre T (TCT 2003) 45 50 48 55 P=ns
  • 15.
    J Am CollCardiol. 2004; 44 (2): 349-56 Radial versus femoral approach for percutaneous coronary diagnostic and interventional procedures; Systematic overview and meta-analysis of randomized trials Agostoni P, Biondi-Zoccai GG, de Benedictis ML et al. CONCLUSION: The radial approach for coronary procedures appears as a safe alternative to femoral access. Moreover, radial access virtually eliminates local vascular complications
  • 16.
    Am Heart J.2009; 157(1):132-40 Radial versus femoral access for coronary angiography or intervention and the impact on major bleeding and ischemic events: A systematic review and meta-analysis of randomized trials Jolly SS, Amlani S, Hamon M et al. CONCLUSION: Radial access reduced major bleeding and there was a corresponding trend for reduction in ischemic events compared to femoral access
  • 17.
    Catheter Cardiovasc Interv2009;74: 408-415 Effectiveness of the transradial approach to reduce bleedings in patients undergoing urgent coronary angioplasty with GPIIb / IIIa inhibitors for acute coronary syndromes Marco De Carlo, Gabriele Borelli, Roberto Gistri et al. CONCLUSION: The transradial approach dramatically reduces access site bleedings, including TIMI major and minor bleedings, and transfusion rate, while preserving procedural success and clinical outcome. The transradial approach is an attractive solution to reduce bleeding complications in patients treated with GPIs
  • 18.
    Catheter Cardiovasc Interv.2010;75 (5): 695-9 Arterial access and door-to-balloon times for primary percutaneous coronary intervention in patients presenting with acute ST-elevation myocardial infarction Weaver AN, Henderson RA, Gilchrist IC et al. CONCLUSION: Patients presenting with STEMI can undergo successful PCI via radial artery approach without compromise in D2B times as compared to femoral artery approach
  • 19.
    Catheter Cardiovasc Interv.2010;75(7):991-5 Comparison of door-to-balloon times for primary PCI using transradial versus transfemoral approach Pancholy S, Patel T, Sanghvi K et al. CONCLUSION: Transradial approach to primary PCI provides similar door-to-balloon times to transfemoral approach, and significantly lowers access site related complications, in patients presenting with STEMI
  • 20.
    Impact of bleeding &transfusion on the procedural outcome
  • 21.
    Heart 2008;94:1530-1532 EDITORIAL Should radial artery access be the "gold standard" for PCI? Martial Hamon1, James Nolan2 1 University Hospital of Caen, Caen, France 2 University Hospital of North Staffordshire, Stoke-on-Trent, UK
  • 22.
    Heart 2008;94:1019-1025 Association of the arterial access site at angioplasty with transfusion and mortality: the M.O.R.T.A.L study (Mortality benefit of Reduced Transfusion after percutaneous coronary intervention via the Arm or Leg) A J Chase, E B Fretz, W P Warburton et al. Design, setting and patients: By data linkage of three prospectively collated provincial registries, 38 872 procedures in 32 822 patients in British Columbia were analysed The association between access site, transfusion & outcomes was assessed Main outcome measures: 30-Day and 1-year mortality
  • 23.
    CONCLUSION: • The MORTALstudy ,which looked at a registry of 33,000 Canadian patients, showed 50% less blood transfusions and accompanying reductions in mortality for patient done radially • By probit regression the absolute increase in risk of death at 1 year associated with receiving a transfusion was 6.78%
  • 24.
  • 25.
  • 26.
  • 27.
    J Am CollCardiol Intv, 2008; 1:379-386 Trends in the Prevalence and Outcomes of Radial and Femoral Approaches to Percutaneous Coronary Intervention A Report From the National Cardiovascular Data Registry Sunil V. Rao, Fang-Shu Ou, Tracy Y et al. CONCLUSION: Study looked at 593,094 U.S. patients and found that radial patients experienced 58% less bleeding complications
  • 28.
    RIVAL Study –ACC 2011 Lancet 2011;377:1409–20 Radial versus femoral access for coronary angiography and intervention in patients with acute coronary syndromes (RIVAL): a randomised, parallel group, multicentre trial Jolly SS, Yusuf S, Cairns J et al. CONCLUSION: Radial access was associated with a reduction in access-related complications There was a trend towards survival benefit in patients with STEMI
  • 29.
    Ostensible Reasons Blah…Blah…Blah • Small artery • RA spasm • Difficult to use bulky devices • Inadequate guide catheter backup • Not so good for difficult coronary anatomy • Not safe for complex anatomy • RA occlusion • Radiation exposure
  • 30.
    Experience • From Jan- 1992 to Nov - 2001 • 25,450 Transfemoral procedures • 6,360 coronary interventions through TFA • From Dec - 2001 to June - 2011 • 35,202 Transradial procedures • 9,152 coronary interventions through TRA • 291 Peripheral intervention through TRA • 98% procedures through TRA
  • 31.
  • 33.
  • 35.
  • 37.
    Higher puncture of Radial artery
  • 38.
    Very low radialloop & High puncture
  • 39.
  • 40.
  • 41.
  • 42.
  • 44.
  • 46.
  • 47.
    “Downsize the Catheter” Diagnostic 5F  4F
  • 48.
    Intervention through Loop & Perforation
  • 50.
  • 52.
  • 53.
    Acute angle crossed using a PTCA catheter
  • 55.
  • 57.
  • 59.
  • 61.
    Working through Extreme Subclavian Tortuosity “use of pigtail catheter”
  • 63.
  • 65.
    Another example Balloon-assisted guide catheter tracking through a small RA
  • 68.
  • 69.
    Effect of dilatationand distortion of aorta
  • 70.
    Schematic diagram ofdifferent loops produced due to distortion of aorta • Normal • Z–loop • Roller-coaster loop • Cobra loop
  • 71.
  • 72.
    Arteria Lusoria Anterior Posterior Oblique
  • 73.
  • 74.
  • 76.
    Arteria Lusoria -Cath Maneuver
  • 77.
  • 79.
  • 81.
  • 85.
  • 87.
  • 88.
  • 89.
    Working through Right AorticArch – Right TRA
  • 91.
  • 95.
  • 98.
  • 100.
    LMCA intervention… Areal nightmare
  • 101.
  • 103.
    Unprotected LMCA Stenting Extensiveanterior wall MI-1 hour
  • 105.
  • 109.
  • 110.
    Our experience Through TRA Renal 107 Iliac 36 SFA 11 SMA 02 Subclavian 28 Vertebral & Basilar 66 ICA 41 Total 291
  • 111.
    Published data byour group  Patel T, Kuladhipati I, Shah S. et al. Successful percutaneous endovascular management of acute post traumatic superior mesenteric artery dissection using transradial approach. J. Invasc. Cardiol. 2010; 22: 4: 61-64  Patel T, Shah S, Pancholy S, Coppola J. et al. Contralateral transradial approach for carotid artery stenting: A feasibility study. Cathet Cardiovasc Interv 2010; 75: 2: 268-275  Patel T, Shah S, Radadia R. et al. Transradial approach for stenting of vertebro-basilar stenosis: A feasibility study. Cathet Cardiovasc Interv 2009; 74: 925-931
  • 112.
  • 114.
    Bilateral iliac & SFA Stenting
  • 117.
  • 119.
  • 121.
    Vertebral Artery Stenting Ostial Lesion
  • 123.
    Vertebral Artery Stenting Intra-cranial
  • 125.
    Chronic Basilar Artery Occlusion
  • 127.
    Left Carotid Stenting through Right Radial Route
  • 129.
    What is thelimitation ?
  • 130.
  • 132.
    It is thelimitation of hardware…
  • 133.