DR.DASHRATH KAFLE, ASSISTANT PROFESSOR, KUSMS
• Dr.Dashrath Kafle,
Assistant Professor, Kathmandu University
School of Medical Sciences,
Consultant Orthodontist, Dhulikhel Hospital.
dashrath07@yahoo.com
Dhulikhel Hospital

3
Situation 1
Situation 2
Situation 3
Problems
• A
• B
• C
• D
• .
• .
• .
• .

Solutions
• A
• B
• C
• D
• .
• .
• .
• .
Treatment options
Growth Modification

Initial

VTO

5 months after Twin Block
CAMOUFLAGE
Camouflage with mini implants
ORTHOGNATHIC SURGERIES
BECAUSE :
A.
B.
C.
D.
E.
FREESH Approach
• Function
•
•
•
•

Relaiability
Esthestics
Economic
Stability

• Health
Orthognathic surgery
Mini-implant anchorage
Growth modification
Orthodontics
Treatment planning Phase:
• Impression and Model Analysis
• OPG, Lateral Cephalograph, Frontal Ceph.
• Photographic Analysis
It’s a

Approach

ORTHODONTISTS

MAX.FAC.SURGERONS

TEAM
PEDODONTISTS
RESTORATIVE DENTISTS

PSYCHOLOGISTS

PERIODONTISTS
Usually patients come to orthodontists for irregular teeth and jaw.
Comprehensive orthodontic treatment

ARCH
COORDINATION

ORTHODONTIC
DECOMPENSATION

ORTHODONTIC
ALIGNMENT

STIFFER ARCH
WIRES TO
WITSTAND JAW
FIXATION
Surgical Phase
Preparation

Coordination

• Stiff wires on both
the jaws with
fixation points

• With surgeon and
Periodontist

• Surgical splints

• With patient and
patient parties

Guidance

• Of Occlusion intra
operatively
Post surgical Orthodontics
Fine tuning of the occlusion

Closure of spaces if any

Occlusal adjustment

Retention planning
Case 1

23 years old, F
Engineering student, well motivated

Long face
Concave facial profile
Facial asymmetry
Midline deviation
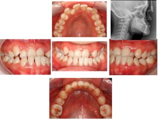
•Deviated midline
•Anterior and posterior
crossbite
•Naturally compensated
dentition
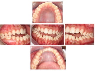
At the end of the pre-surgical Orthodontic Phase
At the end of the pre-surgical Orthodontic Phase
At the end of the post-surgical Orthodontic Phase
At the end of the post-surgical Orthodontic Phase
Case 2
Case 3

Ready for surgery
Case 4

Case 7

Case 6
Case 5
Part II

Dr.Chandan Upadhaya

Orthognathic Surgery