Oral prophylaxis
Dr Bindu kumari(BDS)
What is oral prophylaxis?
 Oral Prophylaxis is a procedure done
for teeth cleaning. It removes tartar
and plaque build-up from the surfaces
of the teeth as well as those hidden in
between and under the gums. The
dentist uses a scaler, a type of hand
instrument, to remove the plaque and
tartar.
Regular Cleaning or
Prophylaxis
 A regular cleaning, which is called
prophylaxis by dental professionals, is
what most people think of when they
think of going to the dentist for a
checkup. Prophylaxis involves removing
plaque, calculus & stains from teeth.
 Plaque is a sticky substance that
builds up on teeth as a byproduct of
bacteria feasting on the food you eat.
 Calculus, also known as tartar, occurs
when plaque & minerals in your mouth
harden.
 Regular cleaning is only recommended for
patients who have generally good oral
health & do not suffer from bone loss or
gum problems (bleeding, recession,
infection, etc.
 A dental hygienist or a dentist uses a
specialized cleaning device, called an
ultrasonic scaler, to remove plaque &
calculus. This cleaning occurs only on the
visible part of the tooth, known as a the
crown.
Scaling and root planing
 Root planing is a procedure that
involves removing tartar, bacteria,
toxic deposits from the root of a tooth,
all the way down to where gum &
bone meet.
 This procedure is required as a
treatment for periodontal disease or
periodontitis (commonly called gum
disease, though it also affects the
bone).
 Many people can have periodontal
disease & not even know it.
 Symptoms of the disease include
bleeding gums, bad breath, teeth that look
longer due to recessed gums, & swollen or
red gums. However, many people do not
notice any symptoms at all. That’s why it
may come as a surprise when your dentist
recommends scaling & root planing
instead of a regular cleaning.
Steps of oral prophylaxis
1. Patient History and Physical exam-
Many times, clues in the patient’s
history can lead us to a specific
dental lesion. Some systemic
diseases can have implications for
oral health.
2. Initial oral survey
3. Supragingival Calculus removal
 It is the most visible part of the
procedure for the owner, but is the
least important part for the patient’s
dental health.
 Supragingival calculus removal
usually is accomplished with a
combination of power
equipment followed by hand scaling.
 Hand scaling can be very effective, but
is fatiguing and time-consuming
when used as the sole method of
calculus removal.
 The common hand instruments used
are tartar forceps for cracking loose
large accumulations of calculus, and
hand scaling instruments.
 Hand scaling instruments consists of
scalers and curettes. Scalers have
sharp tips and are designed to be used
only above the gumline. The sharp tip
facilitates cleaning of small areas and
grooves present in some teeth.
 Curettes have a blunt “toe” and curved
back, and may be used above and
below the gum line. Most operators
save their curettes for fine work below
the gum line.
 The majority of supragingival calculus
removal is accomplished utilizing
power equipment.
 Scaling with power equipment should
be considered a contaminated
procedure. All power equipment
creates aerosolized bacteria, which
can travel several meters in the air.
 Mask, eye, and hand protection for
the operator are recommended to
decrease bacterial
exposure. Protection for patient should
include covering the eyes and placing
gauze sponges in the pharynx to help
prevent aspiration of calculus and fluid
laden with microorganisms.
 There are a number of different types
of power scaling equipment available.
a. Rotary instrument on high-speed
(Roto-Pro) – not recommended, very
damaging
b. Sonic scalers- requires air
compressor, high pitched whine5
c. Ultrasonic scalers- All types work well
◦ Magnetostrictive (“stack”) Figure-8 tip motion
(25-30 KHZ)
◦ Piezoelectric (crystal) linear tip motion (20-45
KHZ)
◦ Magnetostrictive (“Ferrite rod”/Odontoson)
circular tip motion (42 KHZ)
d. Hydraulic Scalers – “sandblasters”-
messy, difficult to control, can cause
sodium overload if using sodium
bicarbonate
Ultrasonic device
 All types of sonic and ultrasonic power
equipment are effective and all can be
damaging when used improperly.
Some specific tips for proper use
include:
1. Use only the side of the tip. This is the
most effective and least damaging
area of the instrument to place on the
teeth.
2. Scale for less than 15 seconds per
tooth. It is possible to kill a tooth with
ultrasonic trauma.
3. If an individual tooth is going to take
longer to scale, leave that tooth and
come back to it in 1- 2 minutes.
4. A light touch is actually more effective
than hard pressure. Too much
pressure can stall the tip and
decrease the effectiveness of the
scaler.
5. Be gentle. Gingival tissues are very
delicate.
6. Take care under the gum line. You
need special periodontal tips on your
power equipment to use subgingivally
7. In general, higher frequencies are
quieter and provide smaller excursions
of the tip
8. Water spray is essential for cooling
and flushing debris. Adjust the water
spray until a fine “halo” of water is
produced.
9. All power equipment aerosolizes
debris and bacteria. Take precautions
as detailed above.
10. Replace tips and stacks regularly.
4. Subgingival cleaning
 In contrast to supragingival scaling,
subgingival scaling is the least visible
part of the procedure for the owner, but
is the most important part of the
procedure for the patient.
 Subgingival scaling serves to remove
calculus, plaque, and toxins from the
root surfaces, allowing normal re-
attachment of periodontal structures to
the root.
 Subgingival scaling involves a
combination of power equipment
and hand instruments, and may
involve three different steps.
1. Subgingival scaling (calculus
removal)
2. Root planing (smoothing rough
surfaces)
3. Subgingival curettage (soft tissue
debridement of the inside of the
gingival pocket)
 Periodontal disease results from the
combined action of oral bacteria and the
immune response of the host. These
two factors may result in the gradual
loss of the supporting structures of the
teeth, including attached gingiva,
alveolar bone, periodontal ligament and
cementum, collectively referred to as
“normal attachment”.
.
 As this loss occurs, periodontal pockets
can form.
 Pockets are detected by gently placing
a periodontal probe under the gingival
margin in several locations around the
tooth, looking for areas of increased
depth.
 Periodontal pockets allow the collection
of plaque, calculus, and foreign material
under the gingival margin. As plaque
mineralizes to become calculus, the
newly formed calculus serves as
a plaque retentive surface, more plaque
is mineralized and more calculus forms.
 One important consideration in cleaning
periodontal pockets is the depth of the
pocket
 A pocket of up to 5-6mm in depth can
be cleaned effectively without using a
surgical flap. This is referred to as
“closed root planing” .
 A combination of ultrasonic and hand
scaling will usually clean the pocket
effectively, leading to some re-
attachment of tissues to the root
surfaces.
 When the pocket depth is greater
than 5-6 mm, effective cleaning
requires the use of a surgical flap to
expose the pocket surfaces. This is
referred to as “open root planning”,
 Open root planing frequently involves
bone contouring, augmentation of the
bone, and repositioning of the surgical
flap.
 Recently, the use of ultrasonic
equipment has gained popularity for
subgingival scaling. This involves the
use of thin periodontal tips, which are
now available for most almost all
scalers. Common acronyms for
this procedure are “PerioBUD”
(Periodontal Bacterial Ultrasonic
Debridement) and “UPL”
(Ultrasonic Periodontal Lavage).
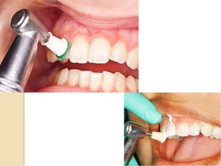
5. Polishing
 Polishing of the tooth surfaces
removes small defects and
irregularities that occur during the
cleaning process.
 Smoothing the surfaces decreases
plaque retention and slows the
formation of calculus.
 Polishing is accomplished using a
prophy angle on a slow-speed
handpiece, and a fluoridated
prophy paste.
 To avoid thermal damage, be sure to
not polish any single for more than 15
seconds at a time
6. Sulcus irrigation/lavage
 After cleaning and polishing, debris
will be present in the gingival sulcus.
This debris should be removed to
prevent irritation of the soft tissues.
 Water, saline, or dilute Chlorhexidine
are all effective irrigants
 The use of a the air-water hand piece
or curved tip syringe allows you to
direct the irrigant gently into the
gingival sulcus, effectively removing
loose calculus and polishing materials.
7. Fluoride application
 Flouride application serves the
strengthen the enamel and helps
decrease sensitivity associated
exposed dentin and/or root surfaces.
8. Complete charting
At this point you are ready to chart all
pathology present in the mouth.
9. Treatment plan
The next step is to develop your
treatment plan for any additional
treatment required on the patient.
11. Home care
 brushing
 Chlorhexidine rinses
 Zinc Ascorbate (Maxiguard) gel- This
product is very useful during the
healing phase after periodontal
treatment
12. Schedule the next appointment
It might be a 6-month re-check in a
periodontal patient to assess how
home care is working.
Oral prophylaxis

Oral prophylaxis

  • 1.
  • 2.
    What is oralprophylaxis?  Oral Prophylaxis is a procedure done for teeth cleaning. It removes tartar and plaque build-up from the surfaces of the teeth as well as those hidden in between and under the gums. The dentist uses a scaler, a type of hand instrument, to remove the plaque and tartar.
  • 3.
    Regular Cleaning or Prophylaxis A regular cleaning, which is called prophylaxis by dental professionals, is what most people think of when they think of going to the dentist for a checkup. Prophylaxis involves removing plaque, calculus & stains from teeth.
  • 4.
     Plaque isa sticky substance that builds up on teeth as a byproduct of bacteria feasting on the food you eat.  Calculus, also known as tartar, occurs when plaque & minerals in your mouth harden.
  • 5.
     Regular cleaningis only recommended for patients who have generally good oral health & do not suffer from bone loss or gum problems (bleeding, recession, infection, etc.  A dental hygienist or a dentist uses a specialized cleaning device, called an ultrasonic scaler, to remove plaque & calculus. This cleaning occurs only on the visible part of the tooth, known as a the crown.
  • 7.
    Scaling and rootplaning  Root planing is a procedure that involves removing tartar, bacteria, toxic deposits from the root of a tooth, all the way down to where gum & bone meet.  This procedure is required as a treatment for periodontal disease or periodontitis (commonly called gum disease, though it also affects the bone).
  • 9.
     Many peoplecan have periodontal disease & not even know it.  Symptoms of the disease include bleeding gums, bad breath, teeth that look longer due to recessed gums, & swollen or red gums. However, many people do not notice any symptoms at all. That’s why it may come as a surprise when your dentist recommends scaling & root planing instead of a regular cleaning.
  • 10.
    Steps of oralprophylaxis 1. Patient History and Physical exam- Many times, clues in the patient’s history can lead us to a specific dental lesion. Some systemic diseases can have implications for oral health. 2. Initial oral survey
  • 11.
    3. Supragingival Calculusremoval  It is the most visible part of the procedure for the owner, but is the least important part for the patient’s dental health.  Supragingival calculus removal usually is accomplished with a combination of power equipment followed by hand scaling.
  • 13.
     Hand scalingcan be very effective, but is fatiguing and time-consuming when used as the sole method of calculus removal.  The common hand instruments used are tartar forceps for cracking loose large accumulations of calculus, and hand scaling instruments.
  • 14.
     Hand scalinginstruments consists of scalers and curettes. Scalers have sharp tips and are designed to be used only above the gumline. The sharp tip facilitates cleaning of small areas and grooves present in some teeth.  Curettes have a blunt “toe” and curved back, and may be used above and below the gum line. Most operators save their curettes for fine work below the gum line.
  • 16.
     The majorityof supragingival calculus removal is accomplished utilizing power equipment.  Scaling with power equipment should be considered a contaminated procedure. All power equipment creates aerosolized bacteria, which can travel several meters in the air.
  • 17.
     Mask, eye,and hand protection for the operator are recommended to decrease bacterial exposure. Protection for patient should include covering the eyes and placing gauze sponges in the pharynx to help prevent aspiration of calculus and fluid laden with microorganisms.
  • 18.
     There area number of different types of power scaling equipment available. a. Rotary instrument on high-speed (Roto-Pro) – not recommended, very damaging b. Sonic scalers- requires air compressor, high pitched whine5
  • 19.
    c. Ultrasonic scalers-All types work well ◦ Magnetostrictive (“stack”) Figure-8 tip motion (25-30 KHZ) ◦ Piezoelectric (crystal) linear tip motion (20-45 KHZ) ◦ Magnetostrictive (“Ferrite rod”/Odontoson) circular tip motion (42 KHZ) d. Hydraulic Scalers – “sandblasters”- messy, difficult to control, can cause sodium overload if using sodium bicarbonate
  • 21.
  • 22.
     All typesof sonic and ultrasonic power equipment are effective and all can be damaging when used improperly. Some specific tips for proper use include: 1. Use only the side of the tip. This is the most effective and least damaging area of the instrument to place on the teeth. 2. Scale for less than 15 seconds per tooth. It is possible to kill a tooth with ultrasonic trauma.
  • 23.
    3. If anindividual tooth is going to take longer to scale, leave that tooth and come back to it in 1- 2 minutes. 4. A light touch is actually more effective than hard pressure. Too much pressure can stall the tip and decrease the effectiveness of the scaler. 5. Be gentle. Gingival tissues are very delicate.
  • 24.
    6. Take careunder the gum line. You need special periodontal tips on your power equipment to use subgingivally 7. In general, higher frequencies are quieter and provide smaller excursions of the tip
  • 25.
    8. Water sprayis essential for cooling and flushing debris. Adjust the water spray until a fine “halo” of water is produced. 9. All power equipment aerosolizes debris and bacteria. Take precautions as detailed above. 10. Replace tips and stacks regularly.
  • 26.
    4. Subgingival cleaning In contrast to supragingival scaling, subgingival scaling is the least visible part of the procedure for the owner, but is the most important part of the procedure for the patient.  Subgingival scaling serves to remove calculus, plaque, and toxins from the root surfaces, allowing normal re- attachment of periodontal structures to the root.
  • 28.
     Subgingival scalinginvolves a combination of power equipment and hand instruments, and may involve three different steps. 1. Subgingival scaling (calculus removal) 2. Root planing (smoothing rough surfaces) 3. Subgingival curettage (soft tissue debridement of the inside of the gingival pocket)
  • 29.
     Periodontal diseaseresults from the combined action of oral bacteria and the immune response of the host. These two factors may result in the gradual loss of the supporting structures of the teeth, including attached gingiva, alveolar bone, periodontal ligament and cementum, collectively referred to as “normal attachment”. .
  • 30.
     As thisloss occurs, periodontal pockets can form.  Pockets are detected by gently placing a periodontal probe under the gingival margin in several locations around the tooth, looking for areas of increased depth.
  • 31.
     Periodontal pocketsallow the collection of plaque, calculus, and foreign material under the gingival margin. As plaque mineralizes to become calculus, the newly formed calculus serves as a plaque retentive surface, more plaque is mineralized and more calculus forms.  One important consideration in cleaning periodontal pockets is the depth of the pocket
  • 32.
     A pocketof up to 5-6mm in depth can be cleaned effectively without using a surgical flap. This is referred to as “closed root planing” .  A combination of ultrasonic and hand scaling will usually clean the pocket effectively, leading to some re- attachment of tissues to the root surfaces.
  • 33.
     When thepocket depth is greater than 5-6 mm, effective cleaning requires the use of a surgical flap to expose the pocket surfaces. This is referred to as “open root planning”,  Open root planing frequently involves bone contouring, augmentation of the bone, and repositioning of the surgical flap.
  • 34.
     Recently, theuse of ultrasonic equipment has gained popularity for subgingival scaling. This involves the use of thin periodontal tips, which are now available for most almost all scalers. Common acronyms for this procedure are “PerioBUD” (Periodontal Bacterial Ultrasonic Debridement) and “UPL” (Ultrasonic Periodontal Lavage).
  • 35.
    5. Polishing  Polishingof the tooth surfaces removes small defects and irregularities that occur during the cleaning process.  Smoothing the surfaces decreases plaque retention and slows the formation of calculus.
  • 36.
     Polishing isaccomplished using a prophy angle on a slow-speed handpiece, and a fluoridated prophy paste.  To avoid thermal damage, be sure to not polish any single for more than 15 seconds at a time
  • 38.
    6. Sulcus irrigation/lavage After cleaning and polishing, debris will be present in the gingival sulcus. This debris should be removed to prevent irritation of the soft tissues.
  • 39.
     Water, saline,or dilute Chlorhexidine are all effective irrigants  The use of a the air-water hand piece or curved tip syringe allows you to direct the irrigant gently into the gingival sulcus, effectively removing loose calculus and polishing materials.
  • 40.
    7. Fluoride application Flouride application serves the strengthen the enamel and helps decrease sensitivity associated exposed dentin and/or root surfaces. 8. Complete charting At this point you are ready to chart all pathology present in the mouth.
  • 41.
    9. Treatment plan Thenext step is to develop your treatment plan for any additional treatment required on the patient.
  • 43.
    11. Home care brushing  Chlorhexidine rinses  Zinc Ascorbate (Maxiguard) gel- This product is very useful during the healing phase after periodontal treatment 12. Schedule the next appointment It might be a 6-month re-check in a periodontal patient to assess how home care is working.