I. Slowly growing mycobacteria
Mycobacterium tuberculosis - tuberculosis in human and dogs.
Mycobacterium bovis - many animal species and in human
Mycobacterium africanum - human tuberculosis.
Classification of Mycobacteria
II. Atypical mycobacteria
1. Slowly growing photochromogens
Mycobacterium kansasi, Mycobacterium marinum, M. simiae
2. Slowly growing scotochromogens
Mycobacterium gordonae (tap water scotochromogens)
3. Slowly growing non-chromogens
Mycobacterium avium (Avian tuberculosis)
Mycobacterium intracellulare
Mycobacterium paratuberculosis
(Johne’s disease – chronic hypertrophic enteritis in cattle)
Mycobacterium lepraemurium (Feline leprosy)
4. Rapid growing mycobacteria
Mycobacterium phlei (timothy grass bacillus)
Mycobacterium smegmatis
III. Non-cultivable mycobacteriae : Mycobacterium leprae
Mycobacteria - History
 Lehmann and Neumann (1896) proposed generic name
mycobacterium (fungus bacterium)
 First member of this genus - lepra bacillus discovered by
Hansen (1868) – Hansen bacillus.
 Koch (1882) isolated the mammalian tubercle bacillus and
proved its causative role in tuberculosis by satisfying
Koch’s postulates.
 Acid-fast property of Mycobacterium was discovered by
Ehrlich (1882).
 Johne (1895) described Johne’s bacillus - Mycobacterium
paratuberculosis.
WORLD TB DAY
Habitat and Ecology
 Worldwide distribution
 Pathogenic mycobacteria are usually in infected animals.
 M. tuberculosis reservoir is human beings
 Not regularly produce disease in other animal species and
not found in environment
 M. avium complex and M. paratuberculosis associated with
diseases in animals and etiologic agents of opportunistic
pathogen in human
 Mycobacterium bovis is excreted in respiratory discharges,
faeces, milk, urine and semen.
 Mycobacterium avium and Mycobacterium paratuberculosis
are shed in faeces
 Mycobacterium tuberculosis mainly in respiratory
discharges.
Morphological Characteristics
 Acid fast organisms
 In tissue straight or slightly curved rod
occurring singly, pairs or in small groups.
 On artificial media : coccoid and filamentous forms
 Mycobacterium tuberculosis - clinical materials - appear as bundle of
faggots. (serpentine cords in smears from liquid medium)
 Mycobacterium kansasi -distinct banded or beaded appearance
 Mycobacterium avium - coccoid.
 M. paratuberculosis - In clinical materials - appear as bundle of
faggots.
 Non-motile, Non-spore farming, Non-capsulated
M. kansasi M. avium M. a. paratuberculosis
Cultural characteristics
 Slow growth rate, generation time ranges from 14-20hours.
 Colonies appear only in about two weeks and sometimes
may be delayed up to 6-8 weeks.
 Optimum temperature is 37°C and pH is 6.4 –7.0.
 Mycobacterium tuberculosis is an obligate aerobe
 Mycobacterium bovis is microaerophilic. Growth is stimulated
by 5-10% CO2.
 Susceptible to even traces of toxic substances like fatty acids
in culture media. Toxicity is neutralized by addition of serum,
albumin or charcoal.
 Primary isolation : needs complex medium containing egg-
potato base or serum agar base
 Colonies : small, dry , scaly
 Egg based Lowenstein Jensen medium (with potato flour,
glycerol and malachite green) and Stone Brinks medium
(sodium pyruvate instead of glycerol) are most commonly
used.
 Malachite green dye (0.025g/100ml) is commonly used as the
selective agent. (inhibitor and pH indicator)
 Mycobacterium tuberculosis, Mycobacterium avium and many
of the atypical mycobacteria require glycerol for growth
(eugonic )
 Glycerol is inhibitory (dysgonic) to Mycobacterium bovis, while
sodium pyruvate enhances its growth
 M. tuberculosis, M. bovis and M .avium are non-chromogenic
 Supplementation of media with mycobactin (extracted from
Mycobacteria) is required for M.avium subsp.
paratuberculosis.
Cultural characteristics contd..
On Lowenstein-Jenson (LJ) slants, M. tuberculosis typically
has a crumbly, "bread-crumb" appearance, whereas
M. avium complex has a bright yellow, smooth,
characteristic colony (so-called "condom colony").
1. Mycobacterium gordonae
2. M. tuberculosis
3. M. smegmatis
M. tuberculosis –serpentine cord – liquid medium
individual bacteria parallel to grow each
other form serpentine card
Surface pellicle-virulent strains
Bio-chemical properties
 Oxidase positive
 Atypical mycobacteria are catalse positive
 Tubercle bacilli are peroxidase positive.
 Niacin production and nitrate reduction is only by
Mycobacterium tuberculosis.
 Urease is reduced by Mycobacterium tuberculosis
and Mycobacterium bovis but not by avian strain
Resistance
 Resistance to chemical agents due to hydrophobic nature of
cell surface and clumped growth
 Resistance to physical influences and will retain their infectivity
in soil and particles of dried faeces for many months.
 Not specifically heat resistant; being killed at 60°C in 15-
20mts.
 Cultures killed by exposure to direct sunlight for two hours.
 Bacilli in sputum may remain alive for 20-30hrs and in droplet
nuclei for 8-10 days and dried sputum for four years
 Resistant to disinfectants 5% phenol, 15% H2SO4, 3% nitric
acid, 5% oxalic acid and 4% NaOH
 Destroyed by tincture of iodine in 5mts and by 80% ethanol in
2-10mts.
Virulence Factors
 Do not produce any exotoxins
 Surface Mycosides - Peptidoglycolipids or Phenolic
glycolipids- responsible for the control of cellular permeability,
resistance to action of water-soluble enzymes, antibiotics and
disinfectants. Determine colony characters, serologic
specificities and bacteriophage susceptibility.
 Subsurface layers – long chain branched mycolic acids.
Linked to peptidoglycan by arabinogalactans – responsible for
acidfastness
 Cord factor (Trehalose –6,6’ dimycolate) and Wax D- inhibits
chemotaxis, leukotoxic, responsible for delayed
hypersensitivity
 Sulfatides- sulfur containing glycolipids –inhibits
phagolysosome formation and interfere with reactive oxygen
intermediates.
 Mycosides, phospholipids and sulpholipids – ensuring
bacterial survival within macrophages.
 Ahp – alkyl hydroperoxidase reductase- resistance to
superoxides and nitrogen intermediates
Pathogenesis
 Inhalation and ingestion.
 Mucociliary clearance by mucus and epithelial cilia in the upper
respiratory tract provides defense against infection.
 Microorganisms on small particles (1-4 μm in size), such as, dust and
water droplets reach alveolar spaces.
 Infected host cells with mycobacteria can reach local lymphnodes
and from there may pass to the thoracic duct with general
dissemination.
 After 10-14 days, CMI responses develop and activated
macrophages are able to kill some mycobacteria.
 Aggregation of ACTIVATED macrophages contributes to the
formation of a tubercle, and a fibrous layer may encompass the
lesion.
 Caseous necrosis due to the cell death and tissue destruction occurs
at the center of the lesion and this may proceed to calcification or
liquefaction.
 Once CMI is established, the lymphatic spread is retarded but occurs
via the erosion of bronchi or blood vessels to new area.
 Haematogenous spread may produce milliary tuberculosis (in deer).
This involves multifocal tubercle formation in an organ.
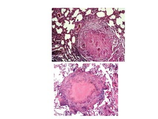
Tubercle
Avascular granuloma composed of
 a caseous necrosis in a central area
 encircled by a zone of epitheloid cells,
 a peripheral zone of lymphocytes, granulocytes and
fibroblasts. –multinucleated giant cells
 Calcification may be present in the necrotic centers.
 An outer boundary of fibrous tissue is usually present
between the lesions and normal tissue.
Diagnosis of tuberculosis
 Microscopical examination
 X-ray
 Intra dermal caudal fold tuberculin test
 Cultures morphology, growth characteristics in
media, biochemical characteristics
 Histopathology
 ELISA
 Polymerase chain amplification (PCR)
 Whole-blood gamma interferon (IFN- ) assay
 Animal pathogenicity in guinea pigs, rabbits and
chicken.
Inoculated
suspected
material
Mycobacteriu
m tuberculosis
Mycobacterium
bovis
Mycobacterium
avium
Rabbits (I/V) + ++ ++
Guinea pig (S/C) ++ ++ -
Chicken (I/V) - - ++
Treatment and control
 First effective treatment for TB was developed in
the 1940s – streptomycin
 extensive time periods (e.g. 9 months)
 organism grows slowly, or dormant
 two or more antibiotics
 e.g. rifampin, isoniazid and ethambutol
 antibiotic resistance minimized
Control
 Tuberculin test and slaughter. Not yet eradicated.
 Depopulate extensively affected herds.
 Disinfect premises with cresylic compounds or
sodium orthophenylphenate.
 BCG vaccine (Bacillus of Calmette and Guerin)
effective when given before exposure.
• Initial intensive phase - eight weeks of the drugs Isoniazid
(H), Rifampicin (R), Pyrazinamide (Z) and Ethambutol (E).
• continuation phase - three drugs Isoniazid, Rifampicin and
Ethambutol given for another sixteen weeks.
• 2HREZ/4HRE ( Dose : four weight band categories).
• A fixed dose combination (FDC) is when two or more
drugs are combined together in a single pill or tablet.
• Fixed dose combinations of four drugs (Isoniazid,
Rifampicin, Pyrazinamide and Ethambutol), three drugs
(Isoniazid, Rifampicin and Ethambutol) and two drugs
(Isoniazid and Rifampicin) are available - on a daily basis
MDR TB in India is a 6-drug regimen, with an intensive
phase of 6–9 months and a continuation phase of 18
months; the total duration of treatment is about 24–27
months. - kanamycin, levofloxacin, cycloserine,
ethionamide, pyrazinamide, and ethambutol
PARATUBERCULOSIS (JOHNE’S DISEASE)
• Mycobacterium avium subsp paratuberculosis
• Crohn’s disease -human
• Herrold’s egg yolk medium -mycobactin - Killed extracts of
M.phelei
• 370C for upto 16 weeks - greyish white colonies
• organism shed in the faeces, milk and semen of infected
animals
• Ingested - engulfed by macrophages - survive and replicate
initially in Peyer’s patches. As the disease progress, an immune
mediated granulomatous reaction develops in the lamina
propria and submucousa
• Diarrhoea- initially intermittent, dark and semisolid. Then
persistent and profuse. Progressive weight loss, emaciation
and eventually death
• Mucousa of the terminal small intestine and the
large intestine is usually thickened and folded into
transverse corrugation
• mesentric and ileocaecal lymphnodes are
enlarged and odematous
• live animals - scrapings or pinch biopsies from the
rectum
• Johnin test – i/v or i/d

Mycobacterium.ppt bacterial diseases. Tb

  • 1.
    I. Slowly growingmycobacteria Mycobacterium tuberculosis - tuberculosis in human and dogs. Mycobacterium bovis - many animal species and in human Mycobacterium africanum - human tuberculosis. Classification of Mycobacteria II. Atypical mycobacteria 1. Slowly growing photochromogens Mycobacterium kansasi, Mycobacterium marinum, M. simiae 2. Slowly growing scotochromogens Mycobacterium gordonae (tap water scotochromogens) 3. Slowly growing non-chromogens Mycobacterium avium (Avian tuberculosis) Mycobacterium intracellulare Mycobacterium paratuberculosis (Johne’s disease – chronic hypertrophic enteritis in cattle) Mycobacterium lepraemurium (Feline leprosy) 4. Rapid growing mycobacteria Mycobacterium phlei (timothy grass bacillus) Mycobacterium smegmatis III. Non-cultivable mycobacteriae : Mycobacterium leprae
  • 2.
    Mycobacteria - History Lehmann and Neumann (1896) proposed generic name mycobacterium (fungus bacterium)  First member of this genus - lepra bacillus discovered by Hansen (1868) – Hansen bacillus.  Koch (1882) isolated the mammalian tubercle bacillus and proved its causative role in tuberculosis by satisfying Koch’s postulates.  Acid-fast property of Mycobacterium was discovered by Ehrlich (1882).  Johne (1895) described Johne’s bacillus - Mycobacterium paratuberculosis.
  • 3.
  • 4.
    Habitat and Ecology Worldwide distribution  Pathogenic mycobacteria are usually in infected animals.  M. tuberculosis reservoir is human beings  Not regularly produce disease in other animal species and not found in environment  M. avium complex and M. paratuberculosis associated with diseases in animals and etiologic agents of opportunistic pathogen in human  Mycobacterium bovis is excreted in respiratory discharges, faeces, milk, urine and semen.  Mycobacterium avium and Mycobacterium paratuberculosis are shed in faeces  Mycobacterium tuberculosis mainly in respiratory discharges.
  • 5.
    Morphological Characteristics  Acidfast organisms  In tissue straight or slightly curved rod occurring singly, pairs or in small groups.  On artificial media : coccoid and filamentous forms  Mycobacterium tuberculosis - clinical materials - appear as bundle of faggots. (serpentine cords in smears from liquid medium)  Mycobacterium kansasi -distinct banded or beaded appearance  Mycobacterium avium - coccoid.  M. paratuberculosis - In clinical materials - appear as bundle of faggots.  Non-motile, Non-spore farming, Non-capsulated M. kansasi M. avium M. a. paratuberculosis
  • 6.
    Cultural characteristics  Slowgrowth rate, generation time ranges from 14-20hours.  Colonies appear only in about two weeks and sometimes may be delayed up to 6-8 weeks.  Optimum temperature is 37°C and pH is 6.4 –7.0.  Mycobacterium tuberculosis is an obligate aerobe  Mycobacterium bovis is microaerophilic. Growth is stimulated by 5-10% CO2.  Susceptible to even traces of toxic substances like fatty acids in culture media. Toxicity is neutralized by addition of serum, albumin or charcoal.  Primary isolation : needs complex medium containing egg- potato base or serum agar base  Colonies : small, dry , scaly
  • 7.
     Egg basedLowenstein Jensen medium (with potato flour, glycerol and malachite green) and Stone Brinks medium (sodium pyruvate instead of glycerol) are most commonly used.  Malachite green dye (0.025g/100ml) is commonly used as the selective agent. (inhibitor and pH indicator)  Mycobacterium tuberculosis, Mycobacterium avium and many of the atypical mycobacteria require glycerol for growth (eugonic )  Glycerol is inhibitory (dysgonic) to Mycobacterium bovis, while sodium pyruvate enhances its growth  M. tuberculosis, M. bovis and M .avium are non-chromogenic  Supplementation of media with mycobactin (extracted from Mycobacteria) is required for M.avium subsp. paratuberculosis. Cultural characteristics contd..
  • 8.
    On Lowenstein-Jenson (LJ)slants, M. tuberculosis typically has a crumbly, "bread-crumb" appearance, whereas M. avium complex has a bright yellow, smooth, characteristic colony (so-called "condom colony"). 1. Mycobacterium gordonae 2. M. tuberculosis 3. M. smegmatis
  • 9.
    M. tuberculosis –serpentinecord – liquid medium individual bacteria parallel to grow each other form serpentine card Surface pellicle-virulent strains
  • 10.
    Bio-chemical properties  Oxidasepositive  Atypical mycobacteria are catalse positive  Tubercle bacilli are peroxidase positive.  Niacin production and nitrate reduction is only by Mycobacterium tuberculosis.  Urease is reduced by Mycobacterium tuberculosis and Mycobacterium bovis but not by avian strain
  • 11.
    Resistance  Resistance tochemical agents due to hydrophobic nature of cell surface and clumped growth  Resistance to physical influences and will retain their infectivity in soil and particles of dried faeces for many months.  Not specifically heat resistant; being killed at 60°C in 15- 20mts.  Cultures killed by exposure to direct sunlight for two hours.  Bacilli in sputum may remain alive for 20-30hrs and in droplet nuclei for 8-10 days and dried sputum for four years  Resistant to disinfectants 5% phenol, 15% H2SO4, 3% nitric acid, 5% oxalic acid and 4% NaOH  Destroyed by tincture of iodine in 5mts and by 80% ethanol in 2-10mts.
  • 13.
    Virulence Factors  Donot produce any exotoxins  Surface Mycosides - Peptidoglycolipids or Phenolic glycolipids- responsible for the control of cellular permeability, resistance to action of water-soluble enzymes, antibiotics and disinfectants. Determine colony characters, serologic specificities and bacteriophage susceptibility.  Subsurface layers – long chain branched mycolic acids. Linked to peptidoglycan by arabinogalactans – responsible for acidfastness  Cord factor (Trehalose –6,6’ dimycolate) and Wax D- inhibits chemotaxis, leukotoxic, responsible for delayed hypersensitivity  Sulfatides- sulfur containing glycolipids –inhibits phagolysosome formation and interfere with reactive oxygen intermediates.  Mycosides, phospholipids and sulpholipids – ensuring bacterial survival within macrophages.  Ahp – alkyl hydroperoxidase reductase- resistance to superoxides and nitrogen intermediates
  • 14.
    Pathogenesis  Inhalation andingestion.  Mucociliary clearance by mucus and epithelial cilia in the upper respiratory tract provides defense against infection.  Microorganisms on small particles (1-4 μm in size), such as, dust and water droplets reach alveolar spaces.  Infected host cells with mycobacteria can reach local lymphnodes and from there may pass to the thoracic duct with general dissemination.  After 10-14 days, CMI responses develop and activated macrophages are able to kill some mycobacteria.  Aggregation of ACTIVATED macrophages contributes to the formation of a tubercle, and a fibrous layer may encompass the lesion.  Caseous necrosis due to the cell death and tissue destruction occurs at the center of the lesion and this may proceed to calcification or liquefaction.  Once CMI is established, the lymphatic spread is retarded but occurs via the erosion of bronchi or blood vessels to new area.  Haematogenous spread may produce milliary tuberculosis (in deer). This involves multifocal tubercle formation in an organ.
  • 15.
    Tubercle Avascular granuloma composedof  a caseous necrosis in a central area  encircled by a zone of epitheloid cells,  a peripheral zone of lymphocytes, granulocytes and fibroblasts. –multinucleated giant cells  Calcification may be present in the necrotic centers.  An outer boundary of fibrous tissue is usually present between the lesions and normal tissue.
  • 20.
    Diagnosis of tuberculosis Microscopical examination  X-ray  Intra dermal caudal fold tuberculin test  Cultures morphology, growth characteristics in media, biochemical characteristics  Histopathology  ELISA  Polymerase chain amplification (PCR)  Whole-blood gamma interferon (IFN- ) assay  Animal pathogenicity in guinea pigs, rabbits and chicken. Inoculated suspected material Mycobacteriu m tuberculosis Mycobacterium bovis Mycobacterium avium Rabbits (I/V) + ++ ++ Guinea pig (S/C) ++ ++ - Chicken (I/V) - - ++
  • 23.
    Treatment and control First effective treatment for TB was developed in the 1940s – streptomycin  extensive time periods (e.g. 9 months)  organism grows slowly, or dormant  two or more antibiotics  e.g. rifampin, isoniazid and ethambutol  antibiotic resistance minimized Control  Tuberculin test and slaughter. Not yet eradicated.  Depopulate extensively affected herds.  Disinfect premises with cresylic compounds or sodium orthophenylphenate.  BCG vaccine (Bacillus of Calmette and Guerin) effective when given before exposure.
  • 24.
    • Initial intensivephase - eight weeks of the drugs Isoniazid (H), Rifampicin (R), Pyrazinamide (Z) and Ethambutol (E). • continuation phase - three drugs Isoniazid, Rifampicin and Ethambutol given for another sixteen weeks. • 2HREZ/4HRE ( Dose : four weight band categories). • A fixed dose combination (FDC) is when two or more drugs are combined together in a single pill or tablet. • Fixed dose combinations of four drugs (Isoniazid, Rifampicin, Pyrazinamide and Ethambutol), three drugs (Isoniazid, Rifampicin and Ethambutol) and two drugs (Isoniazid and Rifampicin) are available - on a daily basis MDR TB in India is a 6-drug regimen, with an intensive phase of 6–9 months and a continuation phase of 18 months; the total duration of treatment is about 24–27 months. - kanamycin, levofloxacin, cycloserine, ethionamide, pyrazinamide, and ethambutol
  • 25.
    PARATUBERCULOSIS (JOHNE’S DISEASE) •Mycobacterium avium subsp paratuberculosis • Crohn’s disease -human • Herrold’s egg yolk medium -mycobactin - Killed extracts of M.phelei • 370C for upto 16 weeks - greyish white colonies • organism shed in the faeces, milk and semen of infected animals • Ingested - engulfed by macrophages - survive and replicate initially in Peyer’s patches. As the disease progress, an immune mediated granulomatous reaction develops in the lamina propria and submucousa • Diarrhoea- initially intermittent, dark and semisolid. Then persistent and profuse. Progressive weight loss, emaciation and eventually death
  • 26.
    • Mucousa ofthe terminal small intestine and the large intestine is usually thickened and folded into transverse corrugation • mesentric and ileocaecal lymphnodes are enlarged and odematous • live animals - scrapings or pinch biopsies from the rectum • Johnin test – i/v or i/d