Adjuvant treatment in meningioma
Debnarayan Dutta, MD
Consultant Radiation Oncologist
Apollo Speciality Cancer Hospital, Chennai
CBTRUS 2015
•Meningiomas account for ᷉35 % of all primary
intracranial tumors .
• Mostly slow growing
Histological types:
- Grade I ᷉90 %.
- Atypical 5-7%
- Malignant 1-3 %
Meningioma: Facts
• 90% of the meningiomas are grade I
• Suually complete surgical resection is done
• No Adj RT required
• Excellent long-term control
Meningioma: Gr-I
Meningioma Gr-I:
- Usually GTR done
- <5% recurrence after GTR
- Residual tumour / progression – adj RT
Usually Gr I meningiomas are observed in total or
subtotal resection done
Even in small (<1.5 cm) residual disease observation
Outcome is 80-90% LC at 10 yrs
Residual disease, 3 monthly MRI scan
Role of Adj RT only if there is progression on follow up scan
Surgery not possible
Meningioma: Gr-I
- Optic Nr sheath meningioma Parasagittal meningioma involving veins
• No randomized study
• No randomized study on radiation dose or fractionation
• Usually treated with 50.4Gy/28# SCRT OR 25Gy/5# fSRS or 13Gy/1# SRS
• ‘Lack of progression’ after RT is considered response
Meningioma: Facts
• Atypical meningiomas: therapeutic challenge
given their high recurrence rates.
• Gross total resection is done , RT reserved for
residual disease or recurrences.
• Optimal Rx of AM still controversial
Tumor recurrence rate
GTR Only- 41%
GTR and post-op EBRT - 11.8%.
Author Local Recurrence
Mirimanoff (MGH)
Condra (U Fl)
Stafford (Mayo)
5-yr
7%
7%
12%
10-yr
20%
20%
25%
15-yr
32%
24%
-
Gross Total Resection: High Late Relapse
May sometimes cause significant morbidity in certain sites
Author Local Recurrence
Wara (UCSF)
Condra (U Fl)
Stafford (Mayo)
5-yr
47%
47%
39%
10-yr
63%
60%
61%
15-yr
-
70%
-
20-yr
75%
-
-
Subtotal Resection
Challenge is to report on all consecutive patients
Author (year) n GTR STR STR+ RT
Mirimanoff (1985) 225 93% (n=145) 63% (n=80)
Taylor (1988) 132 96% (n=90) 43% (n=42) 85% (n=13)
Glaholm (1990) 117 84%
Miralbell (1992) 115 48% (n=79) 88% (n=17, 8yPFS)
Mahmood (1994) 254 98% (n=183) 54% (n=65) 4/6 stable disease
Goldsmith (1994) 117 89% (98% p1980, n=77)
Condra (1997) 246a 95% (n=174) 83% (n=55) 86% (n=17, 5 atypical)
Stafford (1998) 581 88% (n=465)b 61% (n=116)c
Nutting (1999) 82 92%
Vendrely (1999) 156 89% (12 >WHO grade 1)
Dufour (2001) 31 93%
a 16 atypical
b 80% of 581
c 20% of 581
5 Yr Actuarial Survivals – summary Early studies
Debus J (2005) 90.5%153
2389 88-98% 43-83% 84-98%
Kaur G, Neuro-Oncology, 2014
Atypical Meningioma: Recent studies 1
Kaur G, Neuro-Oncology, 2014
Atypical Meningioma: Recent studies 1
Meningioma G2: Sum ups
RT has improved PFS/ OS
RT marginally improved PFS
RT worse PFS
Klinger DR, World Neurosurgery, 2015
Atypical Meningioma: Factors influencing outcome
MIB Index (ki67) Mitotic Index
Region of lesion
Factors:
1. MIB Index
2. Mitotic Index
3. Resection
4. Region of lesion
5. Molecular typing
Sahm F, JNCI, 2016
Indian data
• The median dose of EBRT was 59.4 Gy (50.4Gy- 60 Gy)
• Median time to follow-up was 4.5 years (4 months–8 years)
• 41.5% (22) patients had recurrence after surgery.
• 14.5% (7 of 48 patients) who received radiotherapy developed post-RT recurrence with a
median time of 36 months (range 12 – 60 months).
• 50 patients at the time of their last follow-up had KPS of >=80% and 5 patient expired.
OSPFS
3 yrs – 91%3 yrs – 85%
Jalali R, Submitted
Pt required: 190
Accrual started in 22 centers
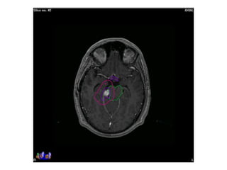
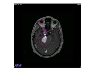
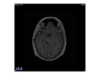
Response to treatment assessment
• ‘Lack of progression’ after conventional RT is considered response
• Increase in size as per RECIST criteria in considered progression
• High dose per fraction induce early regression in meningioma
• SRS (CyberKnife) induce early response with volume reduction
Pre-RT Post-RT: 6 mo
- No significant change in size of mass: stable disease
Anaplastic/Malignant Meningioma
PFS 2yrs PFS 5yrs
Subtotal resection 44% 0%
STR + XRT 87% 0%
Total resection 70% 28%
TR + XRT 100% 57%
Dziuk J. NeuroOnc 37: 177, 1998
Analastic meningioma
- Normal brain invasion criteria for anaplastic meningioma
- Usually subtotal resection
- Irrespective of total or subtotal resection: Adj RT required
- No Randomized study
- CTV margin: 2-3 cm, PTV margin: 0.5 cm
- RT dose: 60 Gy/30#
- Outcome dismal, 60-70% recurrence at 2 yr
RT planning: meningioma
GTV/CTV = residual tumour / tumour bed for gr II / gr III
CTV = 5 mm for benign meningiomas
2 - 3 cms for high grade meningiomas / HPC
PTV = 2mm for SRT
5mm for 3DCRT
All normal structures contoured
Dosage:
Gr-I:
54Gy/30# conformal RT
25Gy/5# / 13Gy/1#
Gr II & III meningioma:
60Gy/30#/6wks
Conformal RT
Grade I Grade II/III
Tharmoplastic mask
CT scan with contrast- 3 mm slice
MRI scan with T1 contrast & T2 flair is a must
Goldsmith J Neurosurg 80:195-201, 1994
0 60 120 180 240
Months
0.0
0.2
0.4
0.6
0.8
1.0
98%: RT with CT/MR (n=77)
77%: RT without CT/MR (n=40)
Progression-Free Survival
STR + postop RT; p=0.002
Impact of modern RT planning
Radiation therapy options
- Conventional RT
- Intensity modulated RT
- Stereotactic conformal RT
- Radiosurgery (CyberKnife)
Prospective cognition profile in meningiomas treated with SCRT
IQ Memory
Steinworth Radioth & Oncol 2003;69:177-82
SRS Vs IMRS
IMRS reduced the volume of chiasm receiving 100% of the prescribed dose from 35% to 5%,
Nakamura IJROBP 2003;55:99-109
Anaplastic meningioma
Robotic Radiosurgery
Highly precise RT delivery system
- Respiratory tracking
- Fiducial based tracking system
- Intra-fraction motion correction
- Uncomparable dose distribution
- X-ray based image verification
Hypofractionated RT
- High dose short course RT
- Higher BED delivered to target
Accuray Confidential
Linear
Accelerator
Manipulator
Image
Detectors
X-ray Sources
IMAGING
SYSTEM
ROBOTIC
DELIVERY
SYSTEM
TARGETING SOFTWARE
Cyberknife
ConclusionsGr I meningiomas:
Majority of the meningiomas are slow growing, Gr I
Usually complete resection possible
NO Adj RT required in majority, ONLY observation
Adj RT in progressive disease, where surgery not possible
Gr 2 meningiomas:
Role of adj RT is controversial
Pts with high MIB index, mitotic index, partial resection need adjuvant RT
Pts with TERT mutation are aggressive, high recurrence rate & need RT
Gr 3 Meningiomas:
Aggressive disease
High local recurrence
Need always adjuvant RT
Standard treatment:
Gr I: No consensus, No study between Conventional RT or SRS
Small vol disease, SRS (CyberKnife) is an option
Gr II & III: Conventional fractionation (54-60Gy)
Thank you
duttadeb07@gmail.com

Adjuvant Treatment in Meningioma

  • 1.
    Adjuvant treatment inmeningioma Debnarayan Dutta, MD Consultant Radiation Oncologist Apollo Speciality Cancer Hospital, Chennai
  • 2.
    CBTRUS 2015 •Meningiomas accountfor ᷉35 % of all primary intracranial tumors . • Mostly slow growing Histological types: - Grade I ᷉90 %. - Atypical 5-7% - Malignant 1-3 % Meningioma: Facts • 90% of the meningiomas are grade I • Suually complete surgical resection is done • No Adj RT required • Excellent long-term control
  • 3.
    Meningioma: Gr-I Meningioma Gr-I: -Usually GTR done - <5% recurrence after GTR - Residual tumour / progression – adj RT Usually Gr I meningiomas are observed in total or subtotal resection done Even in small (<1.5 cm) residual disease observation Outcome is 80-90% LC at 10 yrs Residual disease, 3 monthly MRI scan Role of Adj RT only if there is progression on follow up scan Surgery not possible
  • 4.
    Meningioma: Gr-I - OpticNr sheath meningioma Parasagittal meningioma involving veins • No randomized study • No randomized study on radiation dose or fractionation • Usually treated with 50.4Gy/28# SCRT OR 25Gy/5# fSRS or 13Gy/1# SRS • ‘Lack of progression’ after RT is considered response
  • 5.
    Meningioma: Facts • Atypicalmeningiomas: therapeutic challenge given their high recurrence rates. • Gross total resection is done , RT reserved for residual disease or recurrences. • Optimal Rx of AM still controversial Tumor recurrence rate GTR Only- 41% GTR and post-op EBRT - 11.8%.
  • 6.
    Author Local Recurrence Mirimanoff(MGH) Condra (U Fl) Stafford (Mayo) 5-yr 7% 7% 12% 10-yr 20% 20% 25% 15-yr 32% 24% - Gross Total Resection: High Late Relapse May sometimes cause significant morbidity in certain sites
  • 7.
    Author Local Recurrence Wara(UCSF) Condra (U Fl) Stafford (Mayo) 5-yr 47% 47% 39% 10-yr 63% 60% 61% 15-yr - 70% - 20-yr 75% - - Subtotal Resection Challenge is to report on all consecutive patients
  • 8.
    Author (year) nGTR STR STR+ RT Mirimanoff (1985) 225 93% (n=145) 63% (n=80) Taylor (1988) 132 96% (n=90) 43% (n=42) 85% (n=13) Glaholm (1990) 117 84% Miralbell (1992) 115 48% (n=79) 88% (n=17, 8yPFS) Mahmood (1994) 254 98% (n=183) 54% (n=65) 4/6 stable disease Goldsmith (1994) 117 89% (98% p1980, n=77) Condra (1997) 246a 95% (n=174) 83% (n=55) 86% (n=17, 5 atypical) Stafford (1998) 581 88% (n=465)b 61% (n=116)c Nutting (1999) 82 92% Vendrely (1999) 156 89% (12 >WHO grade 1) Dufour (2001) 31 93% a 16 atypical b 80% of 581 c 20% of 581 5 Yr Actuarial Survivals – summary Early studies Debus J (2005) 90.5%153 2389 88-98% 43-83% 84-98%
  • 9.
    Kaur G, Neuro-Oncology,2014 Atypical Meningioma: Recent studies 1
  • 10.
    Kaur G, Neuro-Oncology,2014 Atypical Meningioma: Recent studies 1
  • 11.
    Meningioma G2: Sumups RT has improved PFS/ OS RT marginally improved PFS RT worse PFS
  • 12.
    Klinger DR, WorldNeurosurgery, 2015 Atypical Meningioma: Factors influencing outcome MIB Index (ki67) Mitotic Index Region of lesion Factors: 1. MIB Index 2. Mitotic Index 3. Resection 4. Region of lesion 5. Molecular typing
  • 13.
  • 14.
    Indian data • Themedian dose of EBRT was 59.4 Gy (50.4Gy- 60 Gy) • Median time to follow-up was 4.5 years (4 months–8 years) • 41.5% (22) patients had recurrence after surgery. • 14.5% (7 of 48 patients) who received radiotherapy developed post-RT recurrence with a median time of 36 months (range 12 – 60 months). • 50 patients at the time of their last follow-up had KPS of >=80% and 5 patient expired. OSPFS 3 yrs – 91%3 yrs – 85% Jalali R, Submitted
  • 15.
    Pt required: 190 Accrualstarted in 22 centers
  • 16.
    Response to treatmentassessment • ‘Lack of progression’ after conventional RT is considered response • Increase in size as per RECIST criteria in considered progression • High dose per fraction induce early regression in meningioma • SRS (CyberKnife) induce early response with volume reduction Pre-RT Post-RT: 6 mo - No significant change in size of mass: stable disease
  • 17.
    Anaplastic/Malignant Meningioma PFS 2yrsPFS 5yrs Subtotal resection 44% 0% STR + XRT 87% 0% Total resection 70% 28% TR + XRT 100% 57% Dziuk J. NeuroOnc 37: 177, 1998
  • 18.
    Analastic meningioma - Normalbrain invasion criteria for anaplastic meningioma - Usually subtotal resection - Irrespective of total or subtotal resection: Adj RT required - No Randomized study - CTV margin: 2-3 cm, PTV margin: 0.5 cm - RT dose: 60 Gy/30# - Outcome dismal, 60-70% recurrence at 2 yr
  • 19.
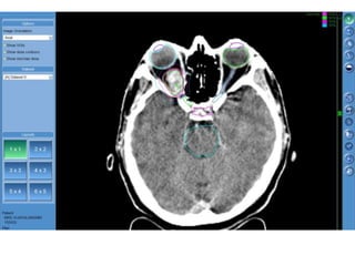
    RT planning: meningioma GTV/CTV= residual tumour / tumour bed for gr II / gr III CTV = 5 mm for benign meningiomas 2 - 3 cms for high grade meningiomas / HPC PTV = 2mm for SRT 5mm for 3DCRT All normal structures contoured Dosage: Gr-I: 54Gy/30# conformal RT 25Gy/5# / 13Gy/1# Gr II & III meningioma: 60Gy/30#/6wks Conformal RT Grade I Grade II/III Tharmoplastic mask CT scan with contrast- 3 mm slice MRI scan with T1 contrast & T2 flair is a must
  • 20.
    Goldsmith J Neurosurg80:195-201, 1994 0 60 120 180 240 Months 0.0 0.2 0.4 0.6 0.8 1.0 98%: RT with CT/MR (n=77) 77%: RT without CT/MR (n=40) Progression-Free Survival STR + postop RT; p=0.002 Impact of modern RT planning
  • 21.
    Radiation therapy options -Conventional RT - Intensity modulated RT - Stereotactic conformal RT - Radiosurgery (CyberKnife)
  • 22.
    Prospective cognition profilein meningiomas treated with SCRT IQ Memory Steinworth Radioth & Oncol 2003;69:177-82
  • 23.
    SRS Vs IMRS IMRSreduced the volume of chiasm receiving 100% of the prescribed dose from 35% to 5%, Nakamura IJROBP 2003;55:99-109
  • 33.
  • 46.
    Robotic Radiosurgery Highly preciseRT delivery system - Respiratory tracking - Fiducial based tracking system - Intra-fraction motion correction - Uncomparable dose distribution - X-ray based image verification Hypofractionated RT - High dose short course RT - Higher BED delivered to target
  • 47.
  • 48.
  • 53.
    ConclusionsGr I meningiomas: Majorityof the meningiomas are slow growing, Gr I Usually complete resection possible NO Adj RT required in majority, ONLY observation Adj RT in progressive disease, where surgery not possible Gr 2 meningiomas: Role of adj RT is controversial Pts with high MIB index, mitotic index, partial resection need adjuvant RT Pts with TERT mutation are aggressive, high recurrence rate & need RT Gr 3 Meningiomas: Aggressive disease High local recurrence Need always adjuvant RT Standard treatment: Gr I: No consensus, No study between Conventional RT or SRS Small vol disease, SRS (CyberKnife) is an option Gr II & III: Conventional fractionation (54-60Gy)
  • 54.