Management of Bone Secondaries
Presenter
Dr. Shashank Bansal
PGT, MD Radiotherapy
BBCI
Moderator
Dr. Rubu Sunku
Assistant Professor
Department of Radiotherapy
BBCI
Introduction
• Incidence varies significantly with primary site
• Breast and prostate cancer accounting for atleast
70% of patients with metastatic disease
• Found in 85% of the patients dying with breast,
prostate and lung cancer
• GI site of primary malignancy give rise to bone
metastases in 3-15% of patient.
• Other sites with high propensity of bone
metastases : thyroid, melanoma , kidney.
• Ultimate prognosis : poor
• Overall survival depends on primary site and
visceral Mets.
• Axial skeleton most common site of bone
metastases (lumbar spine>pelvis>ribs)
• In appendicular skeleton (proximal femur>
humerus)
Incidence at autopsy
Primary Site % metastasis to Bone
Breast 50-85
Prostate 50-70
Hodgkin’s 50-70
Lung 30-50
Kidney 30-50
Thyroid 40
Melanoma 30-40
Bladder 12-25
Pathophysiology
Osteoblasts
Osteoclasts
IL-6,11 and PTHrP
ET1 and ILGF
RANKL
Lobulated partially ill-defined lytic lesion of the proximal Humerus
Plain radiograph showing eccentrically locating ,single Osteoblastic metastasis
Mixed lesion in lung mets
Symptom
• Pain
• Hypercalcemia
• Pathologic fracture
• Spinal cord compression
• Anxiety
• Depression
• Fatigue
• Insomnia
• Deterioration of quality of life
Evaluation
• Physical examination
• Radiographs “winking Owl sign”
• CT scan (best to evaluate the site and extent of lesion and the
stability of bone)
• MRI best to evaluate the marrow disease and to evaluate the
neurologic compromise
• Technitium-99 scintigraphy (best to evaluate patient at risk)
• PET-CT scan (good for osteolytic lesion and useful whole body
screening tool)
Bone scanning
• Technetium-99m (99m Tc) bone scanning:
– Sensitive for detection of occult lesions
– Assessment of the biologic activity of lesions
– Identification of other sites
– Assessing response to therapy
Biopsy
• Indicated to rule out primary tumor of bone
• Immunohistochemistry can determine primary
• Biopsy at fracture site complicated by bleeding
and callus formation
• Cultures to rule out infection
Management objectives
 Decrease pain
 Restore function
 Maintain/restore mobility
 Limit surgical procedures
 Minimize hospital stay
Bone targeted agents
• Bisphosphonates
– Analogues of pyrophosphate, with carbon
replacing the central oxygen.
– Side chain provide affinity for hydroxyapatite and
their relative potencies.
– MOA:
• Bisphosphonates decrease bone resorption and
increase mineralisation by inhibiting osteoclast activity.
• Interrupt vicious cycle of tumour mediated osteolysis
by inducing apoptosis of osteoclasts
• Denosumab
– Fully humanised monoclonal synthetic antibody
that binds to RANK L with high affinity preventing
its interaction with RANK, similar to natural
endogenous inhibitor Osteoprogestin.
Bisphopshonates
Pamidronte
Alendronate
Ibandronate
Risedronate
Zolendronic acid
Non nitrogen containingNitrogen containing
Etidronate
Tiludronate
Cladronate
– Causes suppression of Tartrate resistant acid
phosphatase more than i/v bisphosphonates.
– Hence specially effective in patients responding
poorly to bisphosphonates therapy.
• Recommendations (ASCO):
– Should be started as soon as bone Mets is
diagnosed.
– Once initiated should be continued till there is
general decline in patient health status.
R.Coleman,J.J.Body et al :Bone health in cancer patients, ESMOClinicalPractice Guidelines; 10.1093/annonc/mdu103
Radiotherapy
• Goals of treatment :
– Palliation of painful metastases
– Prevention of pathological fracture
– Avoidance of fracture treatment
– Local control of disease
• On patient evaluation :
– Pain improvement 60-80%
– Complete response 15-40%
• Radiotherapy should be an integral part of
palliative treatment for bone metastases
RTOG 74-02 Trial
Solitary bone
metastases
R
A
N
D
O
M
I
S
E
D
Multiple
bone
metastases
A: 40.5 Gy/15 #
B: 20 Gy/5#
A: 30 Gy/10#
B: 15 Gy/ 5#
C: 20 Gy/ 5#
D: 25 Gy/ 5 #
First large randomised trial evaluating different dose and fractionation schedules
RTOG 74-02 Trial
Tong et Al (1982)
• No significant difference in response rates in either Arms
• Complete response in 49-61%
• Median duration of pain relief was 12- 15 wks.
• Incidence of fracture 18% in High dose group v/s 4 % in low dose
group
• Neither Toxicity Nor Reirradiation evaluated
RTOG 74-02 Trial
Blitzer et Al
• Excluded patients with re-treatment
• Defined complete response as No pain and no analgesics use .
• Significant differences in response favouring longer course treatment i.e.
40.5 Gy in solitary Mets and 30 Gy/10# in multiple Mets.
• Concluded that higher doses are necessary for optimal palliation. And the
need for retreatment in lower dose groups
• Randomized studies indicating threshold dose
necessary to achieve adequate palliation
• Hoskin et Al.
– Randomize patients in Two Arms 4Gy v/s 8 Gy
• Jeremic et Al.
– Randomize patients into three Arms 4 Gy v/s 6 Gy v/s 8 Gy
• Both the studies showed that 8 Gy Arm was
superior to any other single dose regimen.
Single fraction V/s Multiple Fractions
Dutch Trial
• 1171 Patients with bone metastases from solid tumours primarily from
Breast[39%] , Prostate[29%] and Lung[23%] were randomize to two Arms 8
Gy/1# v/s 24 Gy/6 # .
• Painful areas has to be included in single treatment volume [spine(36%) and
pelvis(30%) was the most common sites].
• Malignant Melanoma and Renal cell carcinoma Excluded.
• Primary End Point : Patient assessment for pain relief on 11 point scale
• Median pain score was 6.3 with lowest being 2.
• Half of the patients was receiving Narcotics or systemic therapy
• Results
• Median survival 30 wks.
• Overall response [71%] , complete response[35%].
• Response time 4-6 wks.
• Rate of pathologic fracture 4% v/s 2%.
• Median time to fracture similar in both arms
• Retreatment 25% v/s 7 %.
– Retreatment was given at lower score in single fraction arm indicating the
reluctance to give retreatment after higher doses.
• Higher complete response rates and lower retreatment rates were observed
in Breast and Prostate in comparison to Lung.
RTOG 9714 Trial
Randomized Trial of Palliative Radiation Therapy For Osseous Metastases: A Study of Palliation of Symptoms
and Quality of Life For Osseous Metastases: A Study of Palliation of Symptoms and Quality of Life
• 938 Patients with painful metastases from breast and prostate,
Randomize to 8 Gy/1# v/s 30 Gy/10#.
• Inclusion criteria
– Minimum pain score 5 or higher
– Narcotic dose > 60 mg of Morphine.
– If multiple painful sites present they should be covered within 3 treatment fields
• Results (3 months post treatment)
– Median survival was 9.3 months
– Complete response[17%], partial response[49%].
– Rates of stable or progressive pain score identical.
– Rates of Narcotic use identical
– Retreatment 18% v/s 9 %.
– No difference in rate of pathological fracture [5% v/s 4%]
– Acute toxicity (grade 2-4) , 10% vs 17% (p value 0.002).
• Konski et Al. showed that married man and single or married woman were
more likely to et retreatment in 8 Gy arm v/s 30 Gy arm in comparison to single
males in which the rates of retreatment was higher in both arms indicating the
role of social support in patient outcome.
Conclusion
• Single dose treatment of 8 Gy provide similar
relief in comparison to longer treatment
regimens
• The retreatment rates are higher after short
course treatment by a factor of two to three
• Response rates were higher when score by
physician instead of patient
• Response rates are better when the initial pain
response are lower.
• There is no consistent dose response relationship
for palliation to bone metastasis.
Approach
• Poor performance status
• Difficulty in making multiple trips for
treatment
• Extensive non osseous metastasis
• Short life expectancy
Single fraction 8 Gy
• Good performance status
• Longer life expectancy
• Bone only metastases
Multifraction regimen (30 Gy/10#)
Hemibody Radiotherapy
• Used for palliation of pain in diffuse,
widespread metastasis and development of
new bone metastases.
• Treatment volumes divided into upper, mid
and lower HBI.
• S/E
– Depend on critical structure involved
– Radiation Pneumonitis most common in Upper body HBI,
requiring dose inhomogeneity corrections for lung or lower
total dose.
• Doses :
– Single Fraction Regimens :
• Mid and Lower HBI , MTD : 8 Gy
• Upper HBI , MTD : 6 Gy with corrections and 7 Gy without
corrections.[1]
– Multi fraction Regimen :
• Rationale is to reduce the acute toxicities
• RTOG 88-08: 2.5 Gy to 4 Gy to total dose of 8 to 20 Gy with MTD of
17.5 Gy in 7#
• IAEA study : 3 Gy BD for 2 days or 3 Gy daily for 5 days and 4 Gy
daily for 2 days.
• s/e : Gastrointestinal and hematologic
• Multifraction regimen is of no additional benefit in
comparison of Single dose regimen if delivered with
adequate premedication.[2]
[1] RTOG 78-10 trial
[2] sarin R , budrukar A : Efficacy toxicity and cost effectiveness of single versus fractionated Hemi body
RT : Int J of Rad Onc Biol Phy 2002;52;1146.
Upcoming RT modalities
• SBRT: Evaluated for treatment of bone mets.
Particularly in spinal region
• University of Pittsburg Trial (nonrandomized cohort study)
– single fraction SRS (12.5 to 25Gy)
– Long term pain level improvement in 86%
– Long term tumour control 90%
• RTOG 0631 trial Phase III results awaited.
• Bisphosphonates + RT: improvement in outcomes
in term of pain and bone healing
• Vassiliou et Al. Evaluated EBRT+ Ibandronate
– Complete response 57%, partial response 43%
– Average use of Opioids and average pain decreased
– Bone density increased by 73% by 10 months.
Radiopharmaceutical
• Concept :
– calcium and to a lower extent its analogs will accumulate in
bone, especially in areas of active bone turnover.
• Patient selection
– Effective in pain palliation for patients with diffuse osseous
metastases (osteoblastic)
– Tc-99m uptake present in bone scan, then radiopharmaceutical
treatment likely to be of benefit .
• Advantage : it can be combined with other modalities
• Should not be combined with bisphosphonates.
• Should be avoided in patients with poor renal and hepatic
function and inadequate hematologic reserve.
• Strontium 89 :
• Porter and McEvan : randomised 126 me to EBRT f/b
Sr-89(400MBq) and EBRT f/b Placebo.
– No significant pain relief.
– Decreased use of pain medications and fewer new sites of
pain requiring therapy.
• Smeland et Al. reported similar results with similar
study design with a dose of 150 MBq.
– Sr-89 v/s HBI
• Quilty et al. (200MBq v/s HBI 6Gy or 8 Gy)
– No difference in pain relief, toxicty, median survival
– Fewer new pain sites after Sr-89
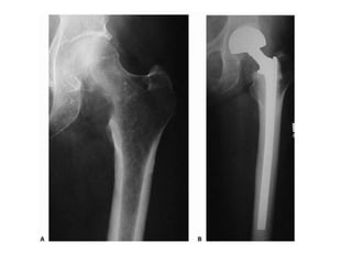
Surgery
• Goal :
• Prevent or relieve pain
• Restore and Improve motor function
• Improve Quality of Life
• Risk for impending fractures depends upon:
• Location of lesion
• Extent of lesion
• Osteolytic or Osteoblastic or mixed
• Primary cancer site.
• Peritrochantric femur is the most likely to cause
serious morbidity and therefore threshold for
prophylactic intervention is low
• Femur account for 65% of pathologic fracture
• Humerus and vertebra also require special
attention
• Mirels scoring system is used to predict the
pathological fracture risk.
• Clinical prediction of survival is also important
which depends on:
• Primary site
• Number of bone mets.
• Involvement of viscera
• Haemoglobin level
Mirel’s criteria
VARIABLE SCORE
SITE Upper Limb Lower Limb Peritrochanteric
PAIN Mild Moderate Severe
LESION Blastic Mixed Lytic
SIZE <1/3 1/3 – 2/3 >2/3
Size is the diameter of cortex involved on plain radiographs
A score of 8 or more is an indication for prophylactic stabilisation
• Upper Extremity
• Scapula, clavicle – non operative
• Proximal humerus – prosthesis (long stem),
intramedullary nail with multiple screws
• Humerus Diaphysis – locked IM nail > plating
• Distal humerus – prosthesis, retrograde flexible IM nails
> bicondylar plating
• Forearm – Rare. IM nails or plating
• Lower Extremity
• Acetabular – reconstruction with appropriate
prosthesis
• Femoral neck – hemi- or THR. Cemented. Long stem
• Intertrochanteric – recon nail or prosthesis > DHS
• Sub trochanteric – locked IM nail
• Femur shaft – locked IM nail preferably cephalo-
medullary
• Around the knee – locked plating > retrograde nailing
• Spinal fractures
• Surgery:
– Progression of disease after radiation
– Neurologic compromise
– Impending fracture
– Spinal instability due to pathologic fracture
– Progressive deformity due to pathologic fracture
• Options:
– Minimally invasive kyphoplasty/vertebroplasty
– Decompression and instrumentation
Vertebroplasty
• Procedure: A needle is placed under fluoroscopic
guidance into the involved vertebra through which
polymerising cement is injected.
• Used for pain palliation and stabilization of progression
of the metastases.
– Reinforcement of the vertebra due to cement
– Destruction of metastatic cells.
– Destruction of nervous ramification, responsible for
tumoral pain.
• Indication :
– Recurrence or persistant pain after primary treatment
– Spinal mets. Not previoulsy treated.
Kyphoplasty
• Procedure: percutaneous placement of
balloon like device into a symptomatic spinal
Mets. , balloon is then inflated to restore the
height of vertebra and bone cement is
injected .
• This procedure is done to improve the overall
functioning and pain relief
• Better option than vertebroplasty in case of
vertebral wall insufficiency.
Chemotherapy
• Most patients with bone mets. Has multiple
synchronus sites of disease, and administering
cytotoxic agent can address all sites .
• Not much literature available
• Most of the cases have both visceral and bone
metastases
• Data from metastatic prostate cancer available
mostly.
• TAX327 Phase III trial
• 1006 men with hormone resistant metastatic prostate
cancer
• Arm A : Prednisone + Docetaxel
• Arm B : Prednisone + Mitoxantrone
• Docetaxel arm showed improvement in
– Lower Tumour related pain
– Better Tumour control
– Improve overall survival
• Bone is the only site of metastatic disease that has
separate criteria for evaluation of response to treatment,
based on bone repair and destruction rather than on
changes in tumour volume
• Both sets of criteria, which have been largely supplanted by
RECIST and RECIST 1.1, consider bone metastases to be
measurable disease. Additionally, the WHO criteria include
radiograph-based guidelines for the interpretation of bone
metastases.
• however, these guidelines were not adopted by RECIST or
RECIST 1.1. The resultant void regarding the evaluation of
bone metastases led to the development of bone-specific
response criteria at The University of Texas MD Anderson
Cancer Center in 2004
Assessment
Conclusion
• Pain management should be ‘round o clock’ instead of
‘on demand’.
• Bone targeted agents should be started as soon as
possible and should be continued.
• Single dose treatment of 8 Gy provide similar relief in
comparison to longer treatment regimens , but owing
to increased retreatment in short course treatment
other factor should also be took in to consideration.
• Bone metastases is a poor outcome indicator but still
better QOL can be given to patient if managed
adequately.
Thank You

management of bone secondries

  • 1.
    Management of BoneSecondaries Presenter Dr. Shashank Bansal PGT, MD Radiotherapy BBCI Moderator Dr. Rubu Sunku Assistant Professor Department of Radiotherapy BBCI
  • 2.
    Introduction • Incidence variessignificantly with primary site • Breast and prostate cancer accounting for atleast 70% of patients with metastatic disease • Found in 85% of the patients dying with breast, prostate and lung cancer • GI site of primary malignancy give rise to bone metastases in 3-15% of patient. • Other sites with high propensity of bone metastases : thyroid, melanoma , kidney.
  • 3.
    • Ultimate prognosis: poor • Overall survival depends on primary site and visceral Mets. • Axial skeleton most common site of bone metastases (lumbar spine>pelvis>ribs) • In appendicular skeleton (proximal femur> humerus)
  • 4.
    Incidence at autopsy PrimarySite % metastasis to Bone Breast 50-85 Prostate 50-70 Hodgkin’s 50-70 Lung 30-50 Kidney 30-50 Thyroid 40 Melanoma 30-40 Bladder 12-25
  • 6.
  • 8.
  • 10.
    Lobulated partially ill-definedlytic lesion of the proximal Humerus
  • 11.
    Plain radiograph showingeccentrically locating ,single Osteoblastic metastasis
  • 12.
    Mixed lesion inlung mets
  • 13.
    Symptom • Pain • Hypercalcemia •Pathologic fracture • Spinal cord compression • Anxiety • Depression • Fatigue • Insomnia • Deterioration of quality of life
  • 14.
    Evaluation • Physical examination •Radiographs “winking Owl sign” • CT scan (best to evaluate the site and extent of lesion and the stability of bone) • MRI best to evaluate the marrow disease and to evaluate the neurologic compromise • Technitium-99 scintigraphy (best to evaluate patient at risk) • PET-CT scan (good for osteolytic lesion and useful whole body screening tool)
  • 15.
    Bone scanning • Technetium-99m(99m Tc) bone scanning: – Sensitive for detection of occult lesions – Assessment of the biologic activity of lesions – Identification of other sites – Assessing response to therapy
  • 17.
    Biopsy • Indicated torule out primary tumor of bone • Immunohistochemistry can determine primary • Biopsy at fracture site complicated by bleeding and callus formation • Cultures to rule out infection
  • 18.
    Management objectives  Decreasepain  Restore function  Maintain/restore mobility  Limit surgical procedures  Minimize hospital stay
  • 20.
    Bone targeted agents •Bisphosphonates – Analogues of pyrophosphate, with carbon replacing the central oxygen. – Side chain provide affinity for hydroxyapatite and their relative potencies. – MOA: • Bisphosphonates decrease bone resorption and increase mineralisation by inhibiting osteoclast activity. • Interrupt vicious cycle of tumour mediated osteolysis by inducing apoptosis of osteoclasts
  • 21.
    • Denosumab – Fullyhumanised monoclonal synthetic antibody that binds to RANK L with high affinity preventing its interaction with RANK, similar to natural endogenous inhibitor Osteoprogestin. Bisphopshonates Pamidronte Alendronate Ibandronate Risedronate Zolendronic acid Non nitrogen containingNitrogen containing Etidronate Tiludronate Cladronate
  • 22.
    – Causes suppressionof Tartrate resistant acid phosphatase more than i/v bisphosphonates. – Hence specially effective in patients responding poorly to bisphosphonates therapy. • Recommendations (ASCO): – Should be started as soon as bone Mets is diagnosed. – Once initiated should be continued till there is general decline in patient health status.
  • 23.
    R.Coleman,J.J.Body et al:Bone health in cancer patients, ESMOClinicalPractice Guidelines; 10.1093/annonc/mdu103
  • 24.
    Radiotherapy • Goals oftreatment : – Palliation of painful metastases – Prevention of pathological fracture – Avoidance of fracture treatment – Local control of disease • On patient evaluation : – Pain improvement 60-80% – Complete response 15-40% • Radiotherapy should be an integral part of palliative treatment for bone metastases
  • 25.
    RTOG 74-02 Trial Solitarybone metastases R A N D O M I S E D Multiple bone metastases A: 40.5 Gy/15 # B: 20 Gy/5# A: 30 Gy/10# B: 15 Gy/ 5# C: 20 Gy/ 5# D: 25 Gy/ 5 # First large randomised trial evaluating different dose and fractionation schedules
  • 26.
    RTOG 74-02 Trial Tonget Al (1982) • No significant difference in response rates in either Arms • Complete response in 49-61% • Median duration of pain relief was 12- 15 wks. • Incidence of fracture 18% in High dose group v/s 4 % in low dose group • Neither Toxicity Nor Reirradiation evaluated
  • 27.
    RTOG 74-02 Trial Blitzeret Al • Excluded patients with re-treatment • Defined complete response as No pain and no analgesics use . • Significant differences in response favouring longer course treatment i.e. 40.5 Gy in solitary Mets and 30 Gy/10# in multiple Mets. • Concluded that higher doses are necessary for optimal palliation. And the need for retreatment in lower dose groups
  • 28.
    • Randomized studiesindicating threshold dose necessary to achieve adequate palliation • Hoskin et Al. – Randomize patients in Two Arms 4Gy v/s 8 Gy • Jeremic et Al. – Randomize patients into three Arms 4 Gy v/s 6 Gy v/s 8 Gy • Both the studies showed that 8 Gy Arm was superior to any other single dose regimen.
  • 29.
    Single fraction V/sMultiple Fractions
  • 30.
    Dutch Trial • 1171Patients with bone metastases from solid tumours primarily from Breast[39%] , Prostate[29%] and Lung[23%] were randomize to two Arms 8 Gy/1# v/s 24 Gy/6 # . • Painful areas has to be included in single treatment volume [spine(36%) and pelvis(30%) was the most common sites]. • Malignant Melanoma and Renal cell carcinoma Excluded. • Primary End Point : Patient assessment for pain relief on 11 point scale • Median pain score was 6.3 with lowest being 2. • Half of the patients was receiving Narcotics or systemic therapy • Results • Median survival 30 wks. • Overall response [71%] , complete response[35%]. • Response time 4-6 wks. • Rate of pathologic fracture 4% v/s 2%. • Median time to fracture similar in both arms • Retreatment 25% v/s 7 %. – Retreatment was given at lower score in single fraction arm indicating the reluctance to give retreatment after higher doses. • Higher complete response rates and lower retreatment rates were observed in Breast and Prostate in comparison to Lung.
  • 31.
    RTOG 9714 Trial RandomizedTrial of Palliative Radiation Therapy For Osseous Metastases: A Study of Palliation of Symptoms and Quality of Life For Osseous Metastases: A Study of Palliation of Symptoms and Quality of Life • 938 Patients with painful metastases from breast and prostate, Randomize to 8 Gy/1# v/s 30 Gy/10#. • Inclusion criteria – Minimum pain score 5 or higher – Narcotic dose > 60 mg of Morphine. – If multiple painful sites present they should be covered within 3 treatment fields • Results (3 months post treatment) – Median survival was 9.3 months – Complete response[17%], partial response[49%]. – Rates of stable or progressive pain score identical. – Rates of Narcotic use identical – Retreatment 18% v/s 9 %. – No difference in rate of pathological fracture [5% v/s 4%] – Acute toxicity (grade 2-4) , 10% vs 17% (p value 0.002). • Konski et Al. showed that married man and single or married woman were more likely to et retreatment in 8 Gy arm v/s 30 Gy arm in comparison to single males in which the rates of retreatment was higher in both arms indicating the role of social support in patient outcome.
  • 32.
    Conclusion • Single dosetreatment of 8 Gy provide similar relief in comparison to longer treatment regimens • The retreatment rates are higher after short course treatment by a factor of two to three • Response rates were higher when score by physician instead of patient • Response rates are better when the initial pain response are lower. • There is no consistent dose response relationship for palliation to bone metastasis.
  • 33.
    Approach • Poor performancestatus • Difficulty in making multiple trips for treatment • Extensive non osseous metastasis • Short life expectancy Single fraction 8 Gy • Good performance status • Longer life expectancy • Bone only metastases Multifraction regimen (30 Gy/10#)
  • 34.
    Hemibody Radiotherapy • Usedfor palliation of pain in diffuse, widespread metastasis and development of new bone metastases. • Treatment volumes divided into upper, mid and lower HBI. • S/E – Depend on critical structure involved – Radiation Pneumonitis most common in Upper body HBI, requiring dose inhomogeneity corrections for lung or lower total dose.
  • 35.
    • Doses : –Single Fraction Regimens : • Mid and Lower HBI , MTD : 8 Gy • Upper HBI , MTD : 6 Gy with corrections and 7 Gy without corrections.[1] – Multi fraction Regimen : • Rationale is to reduce the acute toxicities • RTOG 88-08: 2.5 Gy to 4 Gy to total dose of 8 to 20 Gy with MTD of 17.5 Gy in 7# • IAEA study : 3 Gy BD for 2 days or 3 Gy daily for 5 days and 4 Gy daily for 2 days. • s/e : Gastrointestinal and hematologic • Multifraction regimen is of no additional benefit in comparison of Single dose regimen if delivered with adequate premedication.[2] [1] RTOG 78-10 trial [2] sarin R , budrukar A : Efficacy toxicity and cost effectiveness of single versus fractionated Hemi body RT : Int J of Rad Onc Biol Phy 2002;52;1146.
  • 36.
  • 37.
    • SBRT: Evaluatedfor treatment of bone mets. Particularly in spinal region • University of Pittsburg Trial (nonrandomized cohort study) – single fraction SRS (12.5 to 25Gy) – Long term pain level improvement in 86% – Long term tumour control 90% • RTOG 0631 trial Phase III results awaited. • Bisphosphonates + RT: improvement in outcomes in term of pain and bone healing • Vassiliou et Al. Evaluated EBRT+ Ibandronate – Complete response 57%, partial response 43% – Average use of Opioids and average pain decreased – Bone density increased by 73% by 10 months.
  • 38.
    Radiopharmaceutical • Concept : –calcium and to a lower extent its analogs will accumulate in bone, especially in areas of active bone turnover. • Patient selection – Effective in pain palliation for patients with diffuse osseous metastases (osteoblastic) – Tc-99m uptake present in bone scan, then radiopharmaceutical treatment likely to be of benefit . • Advantage : it can be combined with other modalities • Should not be combined with bisphosphonates. • Should be avoided in patients with poor renal and hepatic function and inadequate hematologic reserve.
  • 41.
    • Strontium 89: • Porter and McEvan : randomised 126 me to EBRT f/b Sr-89(400MBq) and EBRT f/b Placebo. – No significant pain relief. – Decreased use of pain medications and fewer new sites of pain requiring therapy. • Smeland et Al. reported similar results with similar study design with a dose of 150 MBq. – Sr-89 v/s HBI • Quilty et al. (200MBq v/s HBI 6Gy or 8 Gy) – No difference in pain relief, toxicty, median survival – Fewer new pain sites after Sr-89
  • 42.
    Surgery • Goal : •Prevent or relieve pain • Restore and Improve motor function • Improve Quality of Life • Risk for impending fractures depends upon: • Location of lesion • Extent of lesion • Osteolytic or Osteoblastic or mixed • Primary cancer site.
  • 43.
    • Peritrochantric femuris the most likely to cause serious morbidity and therefore threshold for prophylactic intervention is low • Femur account for 65% of pathologic fracture • Humerus and vertebra also require special attention • Mirels scoring system is used to predict the pathological fracture risk. • Clinical prediction of survival is also important which depends on: • Primary site • Number of bone mets. • Involvement of viscera • Haemoglobin level
  • 44.
    Mirel’s criteria VARIABLE SCORE SITEUpper Limb Lower Limb Peritrochanteric PAIN Mild Moderate Severe LESION Blastic Mixed Lytic SIZE <1/3 1/3 – 2/3 >2/3 Size is the diameter of cortex involved on plain radiographs A score of 8 or more is an indication for prophylactic stabilisation
  • 45.
    • Upper Extremity •Scapula, clavicle – non operative • Proximal humerus – prosthesis (long stem), intramedullary nail with multiple screws • Humerus Diaphysis – locked IM nail > plating • Distal humerus – prosthesis, retrograde flexible IM nails > bicondylar plating • Forearm – Rare. IM nails or plating
  • 49.
    • Lower Extremity •Acetabular – reconstruction with appropriate prosthesis • Femoral neck – hemi- or THR. Cemented. Long stem • Intertrochanteric – recon nail or prosthesis > DHS • Sub trochanteric – locked IM nail • Femur shaft – locked IM nail preferably cephalo- medullary • Around the knee – locked plating > retrograde nailing
  • 53.
    • Spinal fractures •Surgery: – Progression of disease after radiation – Neurologic compromise – Impending fracture – Spinal instability due to pathologic fracture – Progressive deformity due to pathologic fracture • Options: – Minimally invasive kyphoplasty/vertebroplasty – Decompression and instrumentation
  • 55.
    Vertebroplasty • Procedure: Aneedle is placed under fluoroscopic guidance into the involved vertebra through which polymerising cement is injected. • Used for pain palliation and stabilization of progression of the metastases. – Reinforcement of the vertebra due to cement – Destruction of metastatic cells. – Destruction of nervous ramification, responsible for tumoral pain. • Indication : – Recurrence or persistant pain after primary treatment – Spinal mets. Not previoulsy treated.
  • 57.
    Kyphoplasty • Procedure: percutaneousplacement of balloon like device into a symptomatic spinal Mets. , balloon is then inflated to restore the height of vertebra and bone cement is injected . • This procedure is done to improve the overall functioning and pain relief • Better option than vertebroplasty in case of vertebral wall insufficiency.
  • 59.
    Chemotherapy • Most patientswith bone mets. Has multiple synchronus sites of disease, and administering cytotoxic agent can address all sites . • Not much literature available • Most of the cases have both visceral and bone metastases • Data from metastatic prostate cancer available mostly.
  • 60.
    • TAX327 PhaseIII trial • 1006 men with hormone resistant metastatic prostate cancer • Arm A : Prednisone + Docetaxel • Arm B : Prednisone + Mitoxantrone • Docetaxel arm showed improvement in – Lower Tumour related pain – Better Tumour control – Improve overall survival
  • 61.
    • Bone isthe only site of metastatic disease that has separate criteria for evaluation of response to treatment, based on bone repair and destruction rather than on changes in tumour volume • Both sets of criteria, which have been largely supplanted by RECIST and RECIST 1.1, consider bone metastases to be measurable disease. Additionally, the WHO criteria include radiograph-based guidelines for the interpretation of bone metastases. • however, these guidelines were not adopted by RECIST or RECIST 1.1. The resultant void regarding the evaluation of bone metastases led to the development of bone-specific response criteria at The University of Texas MD Anderson Cancer Center in 2004 Assessment
  • 64.
    Conclusion • Pain managementshould be ‘round o clock’ instead of ‘on demand’. • Bone targeted agents should be started as soon as possible and should be continued. • Single dose treatment of 8 Gy provide similar relief in comparison to longer treatment regimens , but owing to increased retreatment in short course treatment other factor should also be took in to consideration. • Bone metastases is a poor outcome indicator but still better QOL can be given to patient if managed adequately.
  • 65.