Lichen planus/
'' Leichen‘’ means tree moss,
and ''planus'' means flat.
Immune-mediated dermatosis,
It involves skin, hair follicles, nails and/or mucosae (Oral,
Vulvovaginal)
There are several clinical types of lichen planus that share
similar features on histopathology.
Skin, Six P’s :
Planar (Flat-topped).
Purple (Post- hyperpigmentation).
Polygonal.
Pruritic (Rubbing rather Scratching).
Papules.
Plaques.
Mucosa : Wickham striae
Nail : Onychorrhexis, Onychoschezia, Dorsal Pterygium,
Trachyonychia, and Anonychia.
Characteristics
Skin, Six P’s :
Planar (Flat-topped).
Purple (Post-Inflammatory hyperpigmentation).
Polygonal.
Pruritic (Rubbing rather Scratching).
Papules.
Plaques.
Mucosa : Wickham striae, Macroscopic appearance shows
hypergranulosis
Nail : Onychorrhexis, Onychoschezia, Dorsal Pterygium,
Trachyonychia, and Anonychia.
Characteristics
➢ Exact cause is Unknown.
➢ Genetic predisposition : MHC-1 (HLA-B7,8), MHC-2 (HLA DR1,10).
➢ Associations : Hepatitis C (Oral LP)
Aetiology
➢ Drugs : NSAIDs, ACEIs, Chloroquine, Mercury, Gold injections (in the past),
nickel sensitivity seen in oral LP.
and Ulcerative colitis, Alopecia areata, Vitiligo and dermatomyositis.
Pathogenesis
T-cell-mediated autoimmune injury to basal keratinocytes whose surface self-antigens have been altered
by Trauma or Infection (Altered MHC, HLA ).
Keratinocyte
Langerhan’s Cell
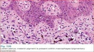
Histopathological changes
Histopathological changes
Histopathological changes
1.
2.
3.
4.
5.
6.
Classification
Cicatricial Alopecia
Three forms recognized ;
Classic,
Frontal fibrosing alopecia,
Graham little syndrome.
Classic (Follicular lichen planus)
Triad of : Cicatricial scalp alopecia , non-Cicatricial alopecia of the axilla,
eyebrows and groin, and Follicular lichen planus on the body.
Oral Lichen Planus
• Clinically: wickham striae.
• Associated highly with HCV.
• Resistant Non-healing oral lichen transforms into SCC!
Palmoplantar LP
Genital LP / Penile LP
• Site: glans penis.
• Clinically: classical papules in a ring around the glans. White streaks and
erosive lichen planus may occur but are less common.
• DDx/ Eczema, Psoriasis, Fixed drug eruption..
According to Shape and distribution
Acute generalized LP
• The Center is hyperpigmented or skin-coloured,
• Lesions resemble Granuloma Annulare.
Linear LP
following the lines of Blaschko.
LP Pigmentosus
Sun exposed areas and friction sites.
LP Pigmentosus
Hypertrophic LP
Atrophic LP
Treatment :
• Avoid sun exposure, sunscreen,
• Avoid Stress,
• Avoid offending drugs.
Topical Treatment :
✓ Topical Potent Steroid
✓ Topical Calcineurin Inhibitor
Systemic Treatment :
• Antihistaminics .
• Steroids e.g. prednisolone
Systemic Treatment : (cont.)
• PUVA: ( anti-mitotic, immunosuppressive)
• Narrow band UVB
• Cyclosporine (1-2.5 mg/kg/day)
• Anti-Malarial (hydroxychloroquine) especially in oral
lichen planus.
Lichen Planus.pdf

Lichen Planus.pdf