KANSER SERVIKS
Malaysia
Bilangan Kanser Di Kalangan Wanita, 2000
0 100 200 300 400 500 600
X 1000 cases
Breasts
Cervix
Colorectum
Lungs
stomach
Ovary
Uterus
Liver
Esophagus Developing Countries
Developed Countries
10 Kanser utama wanita di Malaysia 2003
2.7
2.9
3.8
4.0
4.1
4.1
4.3
6.0
12.9
31.0
0 5 10 15 20 25 30 35
Percentage of all cancers
OTHER SKIN
STOMACH
LUNG
LEUKAEMIAS
OVARY
RECTUM
CORPUS UTERI
COLON
CERVIX UTERI
FEMALE BREAST
Malaysian National Cancer Registry
2003
 12.9% daripada keseluruhan Kanser Wanita
 Kadar Umur Rata 19.2 /100,000
 Cina ASR 28.8 per 100,000
 India ASR 22.4 per 100,000
 Melayu ASR 10.5 per 100,000
 Kejadian tertinggi pada umur 60-69 Tahun
Cervix Uteri Age specific Cancer Incidence per 100,000 population,
Peninsular Malaysia 2003
AgespecificCancerIncidenceper100000population
0-9 10-19 20-29 30-39 40-49 50-59 60-69 70+
0.0
70.6
Teens adults elderly
Transformation zone
Siapa yang berisiko?
 Memulakan hubungan seks di awal usia
 Berbilang pasangan
 Suami pernah berkahwin dan isteri lama penghidap kanser
serviks
 Penyakit bawaan kelamin
 Suami menghidap penyakit bawaan kelamin
 Merokok
• > 135 Jenis,70 jenis menjangkiti
manusia
•35 jenis menjangkiti alat kelamin
•HPV Jenis 16,18,31 and 45 menyebabkan
80 % kes Kanser serviks
Punca- Human Papillomavirus (HPV)Punca- Human Papillomavirus (HPV)
HPV exposure
PATHOGENESIS Squamous metaplasia
Transformation zone cells
SI
Penyumbang kearah jangkitan virus HPV?
 Merokok* [OR 3.0]
 Status Imuniti
 Faktor Pemakanan
 Taraf hidup rendah
 Hormon
 Pengaruh Individu
 Jumlah Virus yang terjangkit
 Jangkitan Alat Kelamin
HPV berperanan sebagai pemula kepada proses kanser
(oncogenesis) – memerlukan interaksi daripada faktor
persekitaran untuk menyebabkan kanser
* Can Detectn & Prev 2002; 26(2)
Bagaimana Virus HPV menyebabkan Kanser Serviks?
Jangkitan
HPV
Jangkitan
HPV
Jangkitan HPV
yang Berulang
Jangkitan HPV
yang Berulang
Ketidakaturan SelKetidakaturan Sel Pembentukan
Kanser Awal
Pembentukan
Kanser Awal
Kanser
Berbahaya
Kanser
Berbahaya
Faktor ImunitiFaktor Imuniti
Faktor PenyumbangFaktor Penyumbang
Cancerous cervix
Persistent HPV infection
Dysplasia
[intraepihelial
cancer
SI
HPV + coF
Gejala
 Tiada Gejala - CIN (Kanser Awal) ; 30-an
 Kanser ; - 50-an
 Pendarahan tak tentu
 Selalu keluar Lendir kekuningan
 Sakit semasa hubungan seks
 Sakit ketika buang air kecil
 Simptom perebakan kanser ke organ lain
CERVIX - CANCER
Perebakan
 Secara Terus :Rahim,Pundi
Kencing,Salur
Kencing,rectum,vagina
 Melalui Sistem Limfa –
Stesen Pertama
 Paracervical
 Hypogastric
 Obturator
 External iliac
 Melalui Sistem Limfa –
Stesen Kedua
 Sacral
 Common iliac
 Aortic
 Inguinal
 Melalui Darah : Paru-paru,
Hati, Sum2 Tulang
PROGNOSIS
 Clinical stage
 Nodal status
 Tumour size
 Dept of invasion
 Parametrial involvement
 Endometrial extension
 Blood vessel invasion
 Microscopic grading/type
 Cell proliferative indices -
eg angiogenesis etc
Jangkaan Hidup 5 Tahun
 0 - 100%
 I - 80 - 90%
 II - 75%
 III - 35%
 IV - 10-15%
Screening- PAP SMEAR
APA itu Pap smear?
KENAPA mesti buat?
BAGAIMANA mengambil sampel?
SIAPA yang ambil sampel?
 BAGAIMANA membaca
keputusan??
KENAPA..?
Untuk mengenalpasti Tanda2
Kanser awal (ie,dysplasia/CIS,CIN,
SIL)
Pap smear
 30% pengurangan risiko jika 10 tahun sekali dilakukan
 80% ------------------------------ 5 yrs
 90% ------------------------------ 3 yrs
 91% ------------------------------ 2 yrs
 93% ------------------------------ 1 yr
Bagaimana ?..Dimana..?
 Wooden Ayer spatula
 Cytobrush
 Transformation zone :
teens 20-50 postmenopausal
Vaksinasi HPV
Klinik Nur Sejahtera Sandakan
Lot. 17, Bandar Maju, Batu 1 1/2, Jalan Utara, 90000 Sandakan,
Sabah
089-221437 (Telefon) 088-252214 (Fax)

Kanser Serviks

  • 1.
  • 2.
  • 3.
    Bilangan Kanser DiKalangan Wanita, 2000 0 100 200 300 400 500 600 X 1000 cases Breasts Cervix Colorectum Lungs stomach Ovary Uterus Liver Esophagus Developing Countries Developed Countries
  • 4.
    10 Kanser utamawanita di Malaysia 2003 2.7 2.9 3.8 4.0 4.1 4.1 4.3 6.0 12.9 31.0 0 5 10 15 20 25 30 35 Percentage of all cancers OTHER SKIN STOMACH LUNG LEUKAEMIAS OVARY RECTUM CORPUS UTERI COLON CERVIX UTERI FEMALE BREAST
  • 8.
    Malaysian National CancerRegistry 2003  12.9% daripada keseluruhan Kanser Wanita  Kadar Umur Rata 19.2 /100,000  Cina ASR 28.8 per 100,000  India ASR 22.4 per 100,000  Melayu ASR 10.5 per 100,000  Kejadian tertinggi pada umur 60-69 Tahun
  • 9.
    Cervix Uteri Agespecific Cancer Incidence per 100,000 population, Peninsular Malaysia 2003 AgespecificCancerIncidenceper100000population 0-9 10-19 20-29 30-39 40-49 50-59 60-69 70+ 0.0 70.6
  • 12.
  • 13.
    Siapa yang berisiko? Memulakan hubungan seks di awal usia  Berbilang pasangan  Suami pernah berkahwin dan isteri lama penghidap kanser serviks  Penyakit bawaan kelamin  Suami menghidap penyakit bawaan kelamin  Merokok
  • 14.
    • > 135Jenis,70 jenis menjangkiti manusia •35 jenis menjangkiti alat kelamin •HPV Jenis 16,18,31 and 45 menyebabkan 80 % kes Kanser serviks Punca- Human Papillomavirus (HPV)Punca- Human Papillomavirus (HPV)
  • 15.
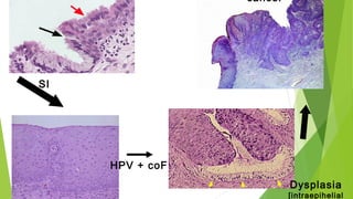
    HPV exposure PATHOGENESIS Squamousmetaplasia Transformation zone cells SI
  • 16.
    Penyumbang kearah jangkitanvirus HPV?  Merokok* [OR 3.0]  Status Imuniti  Faktor Pemakanan  Taraf hidup rendah  Hormon  Pengaruh Individu  Jumlah Virus yang terjangkit  Jangkitan Alat Kelamin HPV berperanan sebagai pemula kepada proses kanser (oncogenesis) – memerlukan interaksi daripada faktor persekitaran untuk menyebabkan kanser * Can Detectn & Prev 2002; 26(2)
  • 17.
    Bagaimana Virus HPVmenyebabkan Kanser Serviks? Jangkitan HPV Jangkitan HPV Jangkitan HPV yang Berulang Jangkitan HPV yang Berulang Ketidakaturan SelKetidakaturan Sel Pembentukan Kanser Awal Pembentukan Kanser Awal Kanser Berbahaya Kanser Berbahaya Faktor ImunitiFaktor Imuniti Faktor PenyumbangFaktor Penyumbang
  • 18.
  • 19.
  • 20.
    Gejala  Tiada Gejala- CIN (Kanser Awal) ; 30-an  Kanser ; - 50-an  Pendarahan tak tentu  Selalu keluar Lendir kekuningan  Sakit semasa hubungan seks  Sakit ketika buang air kecil  Simptom perebakan kanser ke organ lain
  • 21.
  • 22.
    Perebakan  Secara Terus:Rahim,Pundi Kencing,Salur Kencing,rectum,vagina  Melalui Sistem Limfa – Stesen Pertama  Paracervical  Hypogastric  Obturator  External iliac  Melalui Sistem Limfa – Stesen Kedua  Sacral  Common iliac  Aortic  Inguinal  Melalui Darah : Paru-paru, Hati, Sum2 Tulang
  • 23.
    PROGNOSIS  Clinical stage Nodal status  Tumour size  Dept of invasion  Parametrial involvement  Endometrial extension  Blood vessel invasion  Microscopic grading/type  Cell proliferative indices - eg angiogenesis etc
  • 24.
    Jangkaan Hidup 5Tahun  0 - 100%  I - 80 - 90%  II - 75%  III - 35%  IV - 10-15%
  • 25.
    Screening- PAP SMEAR APAitu Pap smear? KENAPA mesti buat? BAGAIMANA mengambil sampel? SIAPA yang ambil sampel?  BAGAIMANA membaca keputusan??
  • 26.
    KENAPA..? Untuk mengenalpasti Tanda2 Kanserawal (ie,dysplasia/CIS,CIN, SIL)
  • 27.
    Pap smear  30%pengurangan risiko jika 10 tahun sekali dilakukan  80% ------------------------------ 5 yrs  90% ------------------------------ 3 yrs  91% ------------------------------ 2 yrs  93% ------------------------------ 1 yr
  • 28.
    Bagaimana ?..Dimana..?  WoodenAyer spatula  Cytobrush  Transformation zone : teens 20-50 postmenopausal
  • 30.
  • 31.
    Klinik Nur SejahteraSandakan Lot. 17, Bandar Maju, Batu 1 1/2, Jalan Utara, 90000 Sandakan, Sabah 089-221437 (Telefon) 088-252214 (Fax)

Editor's Notes

  • #18 Next, we examine the progression of HPV infection to cervical cancer. After exposure to HPV, events in the viral life cycle are initiated, with specific activity regulated by the factors responsible for the host’s immune response. HPV infection alone is not sufficient to induce an immediate carcinoma because malignant tumors develop only after HPV-induced lesions persist for several months or even years. There is a large reservoir of HPV infection in young women in their teens and twenties. Only a few of these women go on to develop persistent HPV infection. Progression depends on viral type, immunologic factors and possibly co-carcinogens. Persistent high-risk infections can lead to cellular deregulation. Over time, this cellular deregulation can cause high-grade cervical lesions and ultimately, cervical cancer. Oncogenic activity has been attributed to the viral oncoproteins E6 and E7, which are crucial for malignant transformation of HPV associated cancers. In non-malignant cells, inter- and intra- cellular signals suppress these oncogenes at the transcriptional level thus limiting malignant progression. The E6 and E7 viral proteins interfere with cellular proteins that are involved in cell cycle control. They cause the human cell to experience disturbed physiologic function and genetic instability. Mutations in cellular genes devoted to the intracellular surveillance of HPV infections, integration of viral DNA, and deletions or mutations of viral transcription control sequences lead to a significantly increased expression of the E6/E7 genes, which is a consistent characteristic of high-grade intraepithelial neoplasia and cancers.6