Integrated Approach
to Infertility Work-
Up
EMAD DARWISH MD
PROFESSOR OF OBSTETRICS AND GYNECOLOGY
INTEGRATED FERTILITY CENTER
ALEXANDRIA
Etiology of infertility:
Male factor 30%
Female factor 40%
Combined
factors
10-20 %
Unexplained 10-20%
Infertility
Male factor
Female factor
Combined
factors
Meet the couple
History: 1- Married for how long?
2- For how long together?
L.M.P. 1- Date
2- Regularity
Past History: Pelvic Surgery eg myomectomy, ovarian
cystectomy ( H.P. ) to exclude endometriosis.
Medical disorders thyroid, Diabetes
Male partner mumps, orchitis, surgery
Husband Job eg drivers
Previous investigations: HSG, Endoscopy, IUI, ICSI
Details about sexual intercourse.
Four Points to be Covered
1- Male Partner
2- Ovarian function
3- Tubal function
4- Utereus
Male Partener
 History
 Examination: General and Local
 Semen Analysis: Conventional or CASA
DNA fragmentation
 If azospermia Serum FSH : Obstructive or Testicular or
Hypo-Hypo
 TESE Where to do ?
Volume Normal: 2-6 ml
> 6 ml  may be due to chronic prostatitis or seminal vesiculitis.
<2 ml  may be due to obstruction or retrograde ejaculation
(hypospermia)
Sperm count: > 20 million/ml (new WHO strict criteria: < 15 million/ml)
Reaction (pH): 7.2-8 (alkaline)
Liquefaction: Completed within 30 minutes.
Motility: > 50 % motile
morphology: > 30 % is considered normal according to the WHO criteria.
Agglutination: not exceed 10 %.
Cellular
elements:
< 5 x106/ml rounded cells of which < 1x106/ml are WBCs.
Semen Analysis
Important items in Semen report
 Count more than 15 million/ml
 Motility
A ( fast forward) 25%
B (slow forward) 25%
C ( shaking)
D ( immotile)
 Normal Forms more than 4%
Ovarian Function
 Regular Cycles
 TVS for follicular scanning
 Mid luteal phase serum Progesterone
 PCOS: Trunkal obesity, Hirsutism,
Oligomenorrhoea, TVS , family H. of Diabetes
Lab: LH:FSH ratio, AMH, Prolactin, Testosteron
Insulin resistance FBS and Fasting serum
insulin
Continue
 Ovarian Reserve
1- Age
2- AFC day 3 of cycle
3- FSH day 3 of cycle
4- History of previous COH
Continue
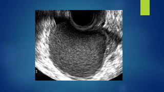
 Choclate Cyst
Diagnosis: TVS
Laparoscopy limited rule now for
diagnosis, treatment mainly for pain, before ICSI ??
Tubal Function
 HSG
 Laparoscopy
 Hysteroscopy
Uterine Factor
 HSG
 2D and 3D TVS, SIS
 Hysteroscopy
Endometrial biopsy for diagnosis of
chronic endometritis
 HSG:
 To diagnose uterine congenital anomalies, intrauterine adhesions,
submucous fibromyomata..
 Hysteroscopy:
 For direct visualization of the interior of the uterus,
diagnosis and surgical correction of intrauterine
adhesions, uterine anomalies & submucous
fibromyomata.
Lab Investigations
 Serum Progesterone
 FSH
 AMH
 FBS and Fasting serum insulin
 E2
 Prolactine
 TSH

Integrated approach to infertility work up

  • 1.
    Integrated Approach to InfertilityWork- Up EMAD DARWISH MD PROFESSOR OF OBSTETRICS AND GYNECOLOGY INTEGRATED FERTILITY CENTER ALEXANDRIA
  • 2.
    Etiology of infertility: Malefactor 30% Female factor 40% Combined factors 10-20 % Unexplained 10-20% Infertility Male factor Female factor Combined factors
  • 3.
    Meet the couple History:1- Married for how long? 2- For how long together? L.M.P. 1- Date 2- Regularity Past History: Pelvic Surgery eg myomectomy, ovarian cystectomy ( H.P. ) to exclude endometriosis. Medical disorders thyroid, Diabetes Male partner mumps, orchitis, surgery Husband Job eg drivers Previous investigations: HSG, Endoscopy, IUI, ICSI Details about sexual intercourse.
  • 4.
    Four Points tobe Covered 1- Male Partner 2- Ovarian function 3- Tubal function 4- Utereus
  • 5.
    Male Partener  History Examination: General and Local  Semen Analysis: Conventional or CASA DNA fragmentation  If azospermia Serum FSH : Obstructive or Testicular or Hypo-Hypo  TESE Where to do ?
  • 6.
    Volume Normal: 2-6ml > 6 ml  may be due to chronic prostatitis or seminal vesiculitis. <2 ml  may be due to obstruction or retrograde ejaculation (hypospermia) Sperm count: > 20 million/ml (new WHO strict criteria: < 15 million/ml) Reaction (pH): 7.2-8 (alkaline) Liquefaction: Completed within 30 minutes. Motility: > 50 % motile morphology: > 30 % is considered normal according to the WHO criteria. Agglutination: not exceed 10 %. Cellular elements: < 5 x106/ml rounded cells of which < 1x106/ml are WBCs. Semen Analysis
  • 7.
    Important items inSemen report  Count more than 15 million/ml  Motility A ( fast forward) 25% B (slow forward) 25% C ( shaking) D ( immotile)  Normal Forms more than 4%
  • 9.
    Ovarian Function  RegularCycles  TVS for follicular scanning  Mid luteal phase serum Progesterone  PCOS: Trunkal obesity, Hirsutism, Oligomenorrhoea, TVS , family H. of Diabetes Lab: LH:FSH ratio, AMH, Prolactin, Testosteron Insulin resistance FBS and Fasting serum insulin
  • 10.
    Continue  Ovarian Reserve 1-Age 2- AFC day 3 of cycle 3- FSH day 3 of cycle 4- History of previous COH
  • 11.
    Continue  Choclate Cyst Diagnosis:TVS Laparoscopy limited rule now for diagnosis, treatment mainly for pain, before ICSI ??
  • 13.
    Tubal Function  HSG Laparoscopy  Hysteroscopy
  • 17.
    Uterine Factor  HSG 2D and 3D TVS, SIS  Hysteroscopy Endometrial biopsy for diagnosis of chronic endometritis
  • 18.
     HSG:  Todiagnose uterine congenital anomalies, intrauterine adhesions, submucous fibromyomata..
  • 21.
     Hysteroscopy:  Fordirect visualization of the interior of the uterus, diagnosis and surgical correction of intrauterine adhesions, uterine anomalies & submucous fibromyomata.
  • 22.
    Lab Investigations  SerumProgesterone  FSH  AMH  FBS and Fasting serum insulin  E2  Prolactine  TSH