INDICES USED FOR
DENTAL FLUOROSIS
BY
NITYA SHARMA
INTRODUCTION




INDEX : an index has been defined as a numerical
value describing the relative status of a population
on a graduated scale with definite upper and
lower limits which is designed to permit and
facilitate comparison with other populations
classified by same criteria and methods.(Russel)
DENTAL FLUOROSIS : is a hypoplasia or
hypomineralisation of tooth enamel or dentine
produced by the chronic ingestion of excessive
amounts of fluoride during the period when teeth
are developing.
HISTORY









1888 : “KUHNS” described teeth of persons in
areas of Mexico that were opaque, discolored and
disfigured. (Kuhns1888; Moller 1982).
1901 Dr. Fredrick Mckay of Colorado USA
discovered permanent stains on teeth of his
patients which were referred as Colorado stains.
Mckay named then “mottled enamel”.
An Assitant surgeon of U.S marine hospital
service reported similar condition in Italians
emigrating from USA from Naples named it denti
di chiaie. ( Eager 1901).
1916 Mckay and Black published a series of
articles in dental cosmos.





In 1931 this condition of teeth was found to b
correlated to fluoride content of drinking water.
(Churchill 1931; Smith et al 1931)
1931 shoe leather survey by Trendley H. Dean
1934 DEAN‟S FLUOROSIS INDEX was given
by Trendley H.Dean
CLASSIFICATION OF
FLUOROSIS MEASURING
INDICES
FLUOROSIS
SPECIFIC

DESCRIPTIVE

DEAN’S INDEX

DEVELOPMENTAL
DEFECTS OF
ENAMEL INDEX

THYLSTRUP AND
FERJESKOV

TOOTH SURFACE
INDEX FOR
FLUOROSIS

FLUOROSIS RISK
INDEX

JACKSON AlALOUSI INDEX

MURRAY SHAW
INDEX
DEAN’S FLUOROSIS INDEX


1934; TRENDLEY H.DEAN
devised an index for
assessing the presence and
severity of mottled enamel.
The fluorosis index set
criteria for categorisation of
dental fluorosis on a 7point
scale.

Although no numbers were
used it was considered to be
on ordinal scale.

SALIENT
FEATURES
Children who had not lived in
the community continously
or had obtained domestic
water from other than public
supply are eliminated

Under his classification all
those showing hypoplasia
other than mottling of enamel
were placed in normal
category
METHOD ( as implied by
DEAN)
Each individual recieves a score
corresponding to clinical appearance of two
most affected teeth.
• Examinations are made in good natural light with the
subject sitting facing the window

No specific information as to whether the
teeth were cleaned or dried before
examination is given
• Mouth mirror and probes were utilised for examination.
• Slight
aberrations in
translucency
of normal
enamel
ranging from
few white
flecks to
occasional
white spots,
1-2mm in
diameter.

VERY MILD

• The enamel
represents
the usual
transluceny
semivitriform
type of
structure
• The surface is
smooth,
glossy and
usually of
pale creamy
white color

QUESTIONABLE

NORMAL

CLASSIFICATION AND
CRITERIA
• Small, opaque,
paper white ares
are scatterd
irregularily or
streaked over the
tooth surface
• Observed on labial
and buccal
surfaces ; <25% of
teeth surface
involved.
• Small pitted white
areas are
frequently found
on summits of
cusps
• No brown stain
• Smoky white
appearance
• Pitting is
more
frequent and
generally
seen on all
surfaces
• Brown stain if
present has
more hue and
involves all
surfaces

SEVERE

• No change
in form of
tooth but all
surfaces are
involved
• Surfaces
subjected to
attrition are
definitely
marked
• Minute
pitting is
present on
buccal n
labial
surfaces

MODERATELY SEVERE

MODERATE

MILD

• White
opaque
areas
involve half
of tooth
surface.
• Surfaces of
cuspids n
bicuspids
prone to
attrition
show thin
white layers
worn off and
bluish
shades of
normal
enamel
• Faint brown
stains are
apparent

• Form of
teeth are
affected.
• Pits are
deeper and
confluent
• Stains are
widespread
and range
from
choclate
brown to
almost black
Based on this index, Dean. Dixon and
Cohen(1935) proposed that their
classification should determine a mottled
enamel index of a community for
epidemiological purpose
negative

boderline

Slight

Medium

Rather
marked

Very
marked




1939 Dean combined the “moderarely severe”
and “severe” into a single category “severe”.
1942 Dean introduced the revised scale for
fluorosis index where now he used the six
point scale.
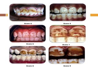
Deans revised index (1942)

NORMAL (0) The
enamel represents the
usual translucent
semivitriform type of
structure. The surface is
smooth , glossy and
usually of a pale, creamy
white colour.
QUESTIONABLE(0.5) The enamel
discloses slight aberrations from the
translucency of normal enamel,
ranging from a few white fleck to
occasional white spots. This
classification is used in those
instances where a definite diagnosis
of the mildest form of fluorosis is not
warranted and a classification of
“normal” not justified.
VERY MILD (1) Small, opaque, paper
white areas scattered irregularly over
the tooth , but not involving as much as
approximately 25% of tooth surface.
Frequently included in this
classification are teeth showing no
more than about 1-2 mm of white
opacity at the tip of the summit of the
cusps of bicuspids or second molars.
MILD (2)The white opaque
areas in the enamel of
teeth are more extensive
but do not involves as
much as 50% of tooth.
MODERATE (3) All enamel
surfaces of the teeth are
affected and surfaces subject
to attrition show wear. Brown
stain is frequently a disfiguring
feature.
SEVERE (4) All enamel surfaces
of the tooth are affected and
hypoplasia is so marked that the
general form of the tooth may be
affected. The major diagnostic
sign of this classification is
discrete or confluent pitting.
Brown stains are widespread
and teeth often present a
corroded-like appearance.
MODIFICATIONS


Moller (1965) in Denmark introduced three
intermediate classifications and variations in
the weightings to be ascribed to each
category.
USES












Most widely used index to measure dental
fluorosis.
Helped to indicate prevalence of moderate to
severe fluorosis in many communities as
Sweden by Forsman in 1974
Austria by Binder in 1973
England by Murray et al(1956), Forrest (1965),
Goward (1976)
USA by Galagan and Lamson (1953)
India by Nanda et al (1974)
The National Survey of Children‟s Dental
Health in Ireland in 1984 measured fluorosis
using Dean‟s index to provide baseline data for
future refernce.
( Whelton HP;Ketley CE;Mcsweeny
F;O’Mullane DM;2004)
 National Fluorosis Survey in USA in 1986-87
to note baseline values was done using
Dean‟s index.

LIMITATIONS
Does not give sufficient information on distribution
of fluorosis withtin the dentition.
 Isolated defects are not recorded.
 The distinction amongst the categories is unclear,
indistinct and lacking sensitivity.
 Even though Dean‟s scale is ordinal , it involves
averaging of the scores which is inappropriate.
(A. Rizan Mohamed,W. Murray Thomson;Timothy
D. Mackay, An epidemiological comparison of
Dean’s index and the Developmental Defects
of Enamel (DDE) index; JPHD ISSN 0022-4006)

COMMUNITY FLUOROSIS
INDEX




1942 , based on the revised fluorosis index
scale , he developed a scoring system so as to
derive a COMMUNITY FLUOROSIS INDEX .
On basis of the number and distribution of
individual scores, a community index for dental
fluorosis (Fci) can be calculated by the formula
Fci = sum of( no. of individuals*stastical
weights)/ no. of individuals examined
RANGE OF SCORES FOR CFI

SIGNIFICANCE



0.0 – 0.4



0.4 – 0.5



0.5 – 1.0





1.0 – 2.0





2.0 – 3.0





3.0 – 4.0






Negative
Borderline
Slight
Medium
Marked
Very Marked








It gives an indication of public health significance
of fluorosis.
It was used by Galagan and Lamson (1953) in
their investigation of climate and endemic
fluorosis.
Minoguchi (1970) refined the above analysis to
take into account the total fluoride content from
the diet by a community.
Myers(1978) suggested a graphic method of
abtaining optimal fluoride concentration by
comparing CFI against water fluoride content at
different temperatures.
THYLSTRUP – FEJERSKOV
CLASSIFICATION OF
FLUOROSIS


1978 ; Thylstrup and Frejeskov suggested a
10point classification system designed to
categorise the degree of fluorosis affecting
buccal/lingual and occlusal surfaces.
Plane mirror n
probes are used
Prior to
examination the
teeth are dried
with cottonwool
rolls

Examination is
done on a
portable chair
out in daylight.

SALIENT
FEATURES
THYLSTRUP – FEJERSKOV
CLASSIFICATION OF
FLUOROSIS
Score

Criteria


0
1

.



Normal translucency
of enamel remains
after prolonged air –
drying
Narrow white lines
located
corresponding to the
perikymata.
Score


2

Criteria

Smooth surfaces;
More pronounced lines
of opacity which follow
the perikymata.
Occasionally,
confluence of adjacent
lines.
Occlusal surfaces:
Scattered areas of
opacity of 2mm in
diameter and
pronounced opacity of
cuspal ridges.
Score


3

Criteria

Smooth surfaces:
Merging and irregular
cloudy areas of opacity.
Accentuated drawing of
perikymata often visible
between opacities.
Occlusal surfaces :
Confluent areas of marked
opacity. Worn areas appear
almost normal but usually
circumscribed by a rim of
Score


4

Criteria

Smooth surfaces:
The entire surface exhibits
marked opacities or
appears chalky white.
Parts of surface exposed
to attrition appear less
affected.
Occlusal surfaces :
Entire surface exhibits
marked opacity. Attrition is
often pronounced shortly
after eruption.
Score


5

Criteria


Smooth and
Occlusal surfaces:
Entire surface
displays marked
opacity with focal
loss of outermost
enamel (pits) 2mm
in diameter.
Score


6



7

Criteria
Smooth surfaces: Pits are
regularlyarranged in
horizontal bands 2mm in
vertical extension.
Occlusal surfaces:
Confluent areas 3mm
in diameter exhibit loss
of enamel. Marked attrition
Smooth surfaces: Loss of
outermost enamel in irregular
areas involving half of the
entire surface.
Occlusal surfaces: Changes
in the morphology caused by
the merging pits
and
marked attrition.
Score


8



9

Criteria

Smooth and Occlusal
surfaces: Loss of
outermost enamel
involving half of the
surface.
Smooth and Occlusal
surfaces: Loss of main
part of enamel with
change in anatomic
appearance of
surfaces. Cervical rim
of almost unaffected
enamel is often noted
Advantages






It attempts to validate the visual appearance
against the histological defect.
Most sensitive of all fluorosis measuring
indices.
Granath et al. (1985), comparing the DEAN
and T-F indexes, concluded that the latter was
more detailed and sensitive because it was
based on biological aspects where there is an
increase in hypo mineralization with a
simultaneous increase in the depth of the
enamel surface in direction of the amelodentin junction.


Cleaton-Jones and Hargreaves (1990)
compared the three fluorosis indexes (DEAN,
T-F and TSIF) in deciduous dentition,
reporting that the prevalence of fluorosis in
individual teeth was more frequently
diagnosed with the T-F index. They concluded
that the T-F index is the most indicated for
work where detailed information about the
problem is required.
USES






To assess the impact of enamel fluorosis in three
communities examined in project FLINT.(
Sigourjon’s H et al 2004)
Clark et al 1993 showed an increasing level of
dissatisfaction by both parents and children with
appearance as the child‟s TSIF index grade rose.
Burger et al. (1987), recommended the T-F index
for future field studies, due to the facility of use
and better defined criteria.
Disadvantages


Clarkson (1989) reported that in TF index
drying of teeth creates an unnatural situation
due to which changes in score 1 and 2 are
very minor.
The aesthetic significance of these changes
are questionable.
TOOTH SURFACE FLUOROSIS
INDEX
It was developed by HOROWITZ et al. in 1984
at National Institute of Dental Research U.S.A
AIM

Numerical score

Descriptive Criteria

0



1



Enamel shows no evidence of
fluorosis
Enamel shows definite
evidence of fluorosis namely
areas with parchment-white
colour that total less than one
third of the visible enamel
surface. Includes fluorosis
confined only to incisal edges
of anterior teeth and cusp tips
of posterior teeth (Snow


2



3



4

Parchment – white fluorosis
totals at least 1/3 of the
visible enamel surface, but
less than 2/3
Parchment – white fluorosis
totals at least 2/3 of visible
enamel surface.
Enamel shows staining in
conjunction with any of the
preceding
levels
of
fluorosis.
Staining
is
defined as an area of
definite discoloration that
may range from light to
very dark brown.


5



6



7

Discrete pitting of enamel exists,
unaccompanied
by
evidence of staining of
intact enamel. A pit is
defined as a definite
physical defect in the
enamel surface with a
rough
floor
that
is
surrounded
by
intact
enamel. The pitted area is
usually stained or differs in
colour from the surrounding
enamel.
Both discrete pitting and staining
of the intact enamel exist.
Confluent pitting of the enamel
surface exist. Large areas
of enamel may be missing
and anatomy of tooth
Intent to use






TSIF index - studies in which an aesthetic basis is
desired for defining case and it may be used
where risk factors are identified or when the teeth
may not be cleaned and dried. (Antonio Carlos
PEREIRA
Ben-Hur Wey MOREIRA 1999)
It doesnot have questionable category as in
Dean‟s index and is based on the premise that
any sign of fluorosis regardless of extent is
positive for a case
The TSIF described by Horowitz et al. makes a
useful contribution because it provides clearer
diagnostic criteria and provides for an analysis
based on esthetic concerns. .( R.Gary Rozier
1999)
FLUOROSIS RISK INDEX
Introduced by DAVID G. PENDRYS in 1990
AIM
To improve researcher‟s ability to relate the risk
of fluorosis to developmental stage of
permanent dentition at the time of exposure to
fluorosis.

Incisal edges of 11
21 32 31 41 42 and
occlusal tables of 16
26 36 46.

FR1- those begin
to form in first year
of life

Surface zones
which donot
come under
above groups
are left
unassigned

FR2- those
who donot
begin to form
until 2nd year of
life

Cervical
third of
incisors,mi
ddle third
of canines,
occlusal
table,incisal
third and
middle third
of bicuspid
and 2nd
molars
FR 1

112

FR 2

UNASSIGN
ED

•1O

•48
•54
SCORING CRITERIA

NEGATIVE
FINDING

SCORE =0

Complete
absence of any
white spots or
striations.
SCORE = 1

White
spots, striations
or fluorotic
defects that
cover 50% or
less surface zone

SCORE = 7

Any surface
that has an
opacity that
appears to be a
non fluoride
opacity

QUESTIONABLE
SCORE = 2

A surface
zone with
greater than
50% of zone
displaying
parchment
white
striations.

SCORE =
3

Surface
zone with
greater than
50% of zone
that
displays
pitting,
staining and
deformity

POSITIVE
FINDING

Incisal edges
and occlusal
tables with
greater than
50% of
surface
marked by
snowcapping
SURFACE ZONE
EXCLUDED

SCORE = 9

Incomplete
eruption ,
orthodontic
appliances and
bands, surface
crowned or
restored, gross
plaque and
debris
CASES

Subject who has a
positive score on 2 or
more enamel surface
zones

CONTROLS

Subject who has no
positive or
questionable scores
on any enamel surface
zones

CLASSIFICATION 1


To obtain the FRI score for each individual the
scores of classification 1 and 2 are combined
into one summary score.
USES
Risk factors for enamel fluorosis in a
fluoridated population. (Pendrys DG, Katz RV,
Morse DE. 1994)
 Risk factors for enamel fluorosis in a
nonfluoridated population. (Pendrys DG, Katz
RV, Morse DE1999)
 The Iowa Fluoride Study(2005)
(Steven M. Levy; Liang Hong,; John J. Warren,
Barbara Broffitt,)

DEVELOPMENTAL DEFECTS OF
INDEX


The developmental defects of enamel was
developed by “ FDI – Commission on Oral
Health, Research and Epidemiology” in 1982
to avoid need for diagnosing fluorosis before
recording enamel opacities.
PROCEDURE

Tooth surface is
inspected visually
and defective areas
are tactilely
explored with a
probe.

Natural or artificial
light

Teeth should
receive a
prophylaxis and be
dried at time of
examination
CODING AND CRITERIA









Unerupted, missing, heavily restored , bacle
decayed , fractured teeth and teeth or tooth
surfaces which for any other reason cannot be
classified with defects must be coded ‘X‟.
Permanent teeth are number coded.
Primary teeth are letter coded.
When in doubt the tooth surface should be scored
„normal’.
when an abnormality is present but cannot be
classified into listed categories, it should be
scored as „other defects’.
TYPE OF DEFECT
• OPACITY
• HYPOPLASIA
• DISCOLORATION

NUMBER
• SINGLE
• MULTIPLE

DEMARCATION
• DEMARCATED
• DIFFUSE

LOCATION OF
DEFECTS
• GINGIVAL OR
INCISAL HALF
• OCCLUSAL
• CUSPAL
• WHOLE
SURFACE
MODIFICATIONS





Clarkson J.J and O‟Mullane D.M in 1989
modified the DDE to be used in one of the two
manners
General purpose epidemiology studies
Screening surveys
General purpose
epidemiological studies












NORMAL
DEMARCATED OPACITY
White/cream
Yellow/brown
DIFFUSE OPACITY
Diffuse lines
Diffuse patchy
Diffuse confluent
Confluent +Staining+loss Of
Enamel



Code 0



Code 1
Code 2





Code 3
Code 4
Code 5



Code 6









HYPOPLASIA
Pits
Missing enamel
ANY OTHER
DEFECTS





Code 7
Code 8
Code 9
Extent of defect






Normal
< 1/3rd
At least 1/3rd < 2/3rd
At least 2/3rd







Code 0
Code 1
Code 2
Code 3
Screening surveys









NORMAL
DEMARCATED
OPACITY
DIFFUSE OPACITY
HYPOPLASIA PITS
OTHER DEFECTS









CODE 0
CODE 1
CODE 2
CODE 3
CODE 4




In UK, DDE has been the most frequently used
index
However since it is not fluorosis specific , it is
difficult to analyze prevalence of fluorosis from
this index.
YOUNG’S CLASSIFICATION OF
ENAMEL FLUOROSIS





Developed by YOUNG M.A in 1973.
Similar classification was developed by AlLousi et al in 1975.
Recording of any
Principle
condition once
defined must be
made on baisi of that
definition and not on
basis of presumed
etiology.
TYPE A

TYPE B

• White areas less than 2mm in diameter
• White areas of > 2mm diameter

TYPE C

• Colored areas <2mm in diameter irrespective
of white areas.

TYPE D

• Colored areas of <2mm diameter irrespective
of area covered
TYPE E

TYPE F

• Horizontal white lines irrespective of
there being any non linear lines

• Colored or white lines or areas
associated with pits or hypoplastic
areas
MURRAY AND SHAW’S
CLASSIFICATION OF ENAMEL
FLUOROSIS



Developed by Murray J.J and Shaw L in 1979.
Based on young‟s classification with two
modifications
Colored
flecks and
patches were
combined
into one
group

Occlusal and
lingual/palatal
surfaces
were also
included
REFERENCES








Whelton HP;Ketley CE;Mcsweeny F;O’Mullane
DM; A review on fluorosis in European
Union:prevelance risk factors and aesthetic
issues,CDOE2004,32;9-18.
Antonio Carlos PEREIRA ;Ben-Hur Wey
MOREIRA; Analysis of Three Dental Fluorosis
Indexes Used in Epidemiologic Trials, Braz Dent
J (1999) 10(1): 1-60
Pendrys DG, Katz RV, Morse DE. Risk factors
for enamel fluorosis in a fluoridated population.
Am J Epidemiol 1994;140:461-71.
Pendrys DG, Katz RV, Morse DE. Risk factors
for enamel fluorosis in a nonfluoridated
population. Am J Epidemiol1996;143:808-15.




R.G Rosier, Epidemiologic Indices for
Measuring the Clinical Manifestations of
Dental Fluorosis: Overview and Critique;
ADR June 1994 vol. 8 no. 1 39-55.
A. Rizan Mohamed;W. Murray Thomson,
;Timothy D. Mackay; An epidemiological
comparison of Dean‟s index and the
Developmental Defects of Enamel (DDE)
index; doi: 10.1111/j.1752-7325.2010.00186.x






Steven M. Levy; Liang Hong; John J.
Warren;Barbara Broffitt; Use of the Fluorosis
Risk Index in a Cohort Study:The Iowa Fluoride
Study;JPHD Vol. 66, No. 2, Spring2006.
David G. Pendrys; Analytical Studies of Enamel
Fluorosis: Methodological Considerations.oxford
journals Vol. 21, No. 2.
Chankanka O, Levy SM, Warren JJ, Chalmers
JM. A literature review ofaesthetic perceptions of
dental fluorosis and relationships with
psychosocialaspects ⁄ oral health-related quality of
life.CDOE 2010. 38: 97–109


R. Gary Rozier; The Prevalence and Severity
of Enamel Fluorosis in North American
Children; Vol. 59, No. 4, Fall 1999

indices measuring dental fluorosis

  • 1.
    INDICES USED FOR DENTALFLUOROSIS BY NITYA SHARMA
  • 2.
    INTRODUCTION   INDEX : anindex has been defined as a numerical value describing the relative status of a population on a graduated scale with definite upper and lower limits which is designed to permit and facilitate comparison with other populations classified by same criteria and methods.(Russel) DENTAL FLUOROSIS : is a hypoplasia or hypomineralisation of tooth enamel or dentine produced by the chronic ingestion of excessive amounts of fluoride during the period when teeth are developing.
  • 3.
    HISTORY      1888 : “KUHNS”described teeth of persons in areas of Mexico that were opaque, discolored and disfigured. (Kuhns1888; Moller 1982). 1901 Dr. Fredrick Mckay of Colorado USA discovered permanent stains on teeth of his patients which were referred as Colorado stains. Mckay named then “mottled enamel”. An Assitant surgeon of U.S marine hospital service reported similar condition in Italians emigrating from USA from Naples named it denti di chiaie. ( Eager 1901). 1916 Mckay and Black published a series of articles in dental cosmos.
  • 4.
       In 1931 thiscondition of teeth was found to b correlated to fluoride content of drinking water. (Churchill 1931; Smith et al 1931) 1931 shoe leather survey by Trendley H. Dean 1934 DEAN‟S FLUOROSIS INDEX was given by Trendley H.Dean
  • 5.
    CLASSIFICATION OF FLUOROSIS MEASURING INDICES FLUOROSIS SPECIFIC DESCRIPTIVE DEAN’SINDEX DEVELOPMENTAL DEFECTS OF ENAMEL INDEX THYLSTRUP AND FERJESKOV TOOTH SURFACE INDEX FOR FLUOROSIS FLUOROSIS RISK INDEX JACKSON AlALOUSI INDEX MURRAY SHAW INDEX
  • 6.
    DEAN’S FLUOROSIS INDEX  1934;TRENDLEY H.DEAN devised an index for assessing the presence and severity of mottled enamel.
  • 7.
    The fluorosis indexset criteria for categorisation of dental fluorosis on a 7point scale. Although no numbers were used it was considered to be on ordinal scale. SALIENT FEATURES Children who had not lived in the community continously or had obtained domestic water from other than public supply are eliminated Under his classification all those showing hypoplasia other than mottling of enamel were placed in normal category
  • 8.
    METHOD ( asimplied by DEAN) Each individual recieves a score corresponding to clinical appearance of two most affected teeth. • Examinations are made in good natural light with the subject sitting facing the window No specific information as to whether the teeth were cleaned or dried before examination is given • Mouth mirror and probes were utilised for examination.
  • 9.
    • Slight aberrations in translucency ofnormal enamel ranging from few white flecks to occasional white spots, 1-2mm in diameter. VERY MILD • The enamel represents the usual transluceny semivitriform type of structure • The surface is smooth, glossy and usually of pale creamy white color QUESTIONABLE NORMAL CLASSIFICATION AND CRITERIA • Small, opaque, paper white ares are scatterd irregularily or streaked over the tooth surface • Observed on labial and buccal surfaces ; <25% of teeth surface involved. • Small pitted white areas are frequently found on summits of cusps • No brown stain
  • 10.
    • Smoky white appearance •Pitting is more frequent and generally seen on all surfaces • Brown stain if present has more hue and involves all surfaces SEVERE • No change in form of tooth but all surfaces are involved • Surfaces subjected to attrition are definitely marked • Minute pitting is present on buccal n labial surfaces MODERATELY SEVERE MODERATE MILD • White opaque areas involve half of tooth surface. • Surfaces of cuspids n bicuspids prone to attrition show thin white layers worn off and bluish shades of normal enamel • Faint brown stains are apparent • Form of teeth are affected. • Pits are deeper and confluent • Stains are widespread and range from choclate brown to almost black
  • 11.
    Based on thisindex, Dean. Dixon and Cohen(1935) proposed that their classification should determine a mottled enamel index of a community for epidemiological purpose negative boderline Slight Medium Rather marked Very marked
  • 12.
      1939 Dean combinedthe “moderarely severe” and “severe” into a single category “severe”. 1942 Dean introduced the revised scale for fluorosis index where now he used the six point scale.
  • 13.
    Deans revised index(1942) NORMAL (0) The enamel represents the usual translucent semivitriform type of structure. The surface is smooth , glossy and usually of a pale, creamy white colour.
  • 14.
    QUESTIONABLE(0.5) The enamel disclosesslight aberrations from the translucency of normal enamel, ranging from a few white fleck to occasional white spots. This classification is used in those instances where a definite diagnosis of the mildest form of fluorosis is not warranted and a classification of “normal” not justified.
  • 15.
    VERY MILD (1)Small, opaque, paper white areas scattered irregularly over the tooth , but not involving as much as approximately 25% of tooth surface. Frequently included in this classification are teeth showing no more than about 1-2 mm of white opacity at the tip of the summit of the cusps of bicuspids or second molars.
  • 16.
    MILD (2)The whiteopaque areas in the enamel of teeth are more extensive but do not involves as much as 50% of tooth.
  • 17.
    MODERATE (3) Allenamel surfaces of the teeth are affected and surfaces subject to attrition show wear. Brown stain is frequently a disfiguring feature.
  • 18.
    SEVERE (4) Allenamel surfaces of the tooth are affected and hypoplasia is so marked that the general form of the tooth may be affected. The major diagnostic sign of this classification is discrete or confluent pitting. Brown stains are widespread and teeth often present a corroded-like appearance.
  • 19.
    MODIFICATIONS  Moller (1965) inDenmark introduced three intermediate classifications and variations in the weightings to be ascribed to each category.
  • 20.
    USES        Most widely usedindex to measure dental fluorosis. Helped to indicate prevalence of moderate to severe fluorosis in many communities as Sweden by Forsman in 1974 Austria by Binder in 1973 England by Murray et al(1956), Forrest (1965), Goward (1976) USA by Galagan and Lamson (1953) India by Nanda et al (1974)
  • 21.
    The National Surveyof Children‟s Dental Health in Ireland in 1984 measured fluorosis using Dean‟s index to provide baseline data for future refernce. ( Whelton HP;Ketley CE;Mcsweeny F;O’Mullane DM;2004)  National Fluorosis Survey in USA in 1986-87 to note baseline values was done using Dean‟s index. 
  • 22.
    LIMITATIONS Does not givesufficient information on distribution of fluorosis withtin the dentition.  Isolated defects are not recorded.  The distinction amongst the categories is unclear, indistinct and lacking sensitivity.  Even though Dean‟s scale is ordinal , it involves averaging of the scores which is inappropriate. (A. Rizan Mohamed,W. Murray Thomson;Timothy D. Mackay, An epidemiological comparison of Dean’s index and the Developmental Defects of Enamel (DDE) index; JPHD ISSN 0022-4006) 
  • 23.
    COMMUNITY FLUOROSIS INDEX   1942 ,based on the revised fluorosis index scale , he developed a scoring system so as to derive a COMMUNITY FLUOROSIS INDEX . On basis of the number and distribution of individual scores, a community index for dental fluorosis (Fci) can be calculated by the formula Fci = sum of( no. of individuals*stastical weights)/ no. of individuals examined
  • 24.
    RANGE OF SCORESFOR CFI SIGNIFICANCE  0.0 – 0.4  0.4 – 0.5  0.5 – 1.0   1.0 – 2.0   2.0 – 3.0   3.0 – 4.0    Negative Borderline Slight Medium Marked Very Marked
  • 25.
        It gives anindication of public health significance of fluorosis. It was used by Galagan and Lamson (1953) in their investigation of climate and endemic fluorosis. Minoguchi (1970) refined the above analysis to take into account the total fluoride content from the diet by a community. Myers(1978) suggested a graphic method of abtaining optimal fluoride concentration by comparing CFI against water fluoride content at different temperatures.
  • 27.
    THYLSTRUP – FEJERSKOV CLASSIFICATIONOF FLUOROSIS  1978 ; Thylstrup and Frejeskov suggested a 10point classification system designed to categorise the degree of fluorosis affecting buccal/lingual and occlusal surfaces.
  • 28.
    Plane mirror n probesare used Prior to examination the teeth are dried with cottonwool rolls Examination is done on a portable chair out in daylight. SALIENT FEATURES
  • 29.
    THYLSTRUP – FEJERSKOV CLASSIFICATIONOF FLUOROSIS Score Criteria  0 1 .  Normal translucency of enamel remains after prolonged air – drying Narrow white lines located corresponding to the perikymata.
  • 30.
    Score  2 Criteria Smooth surfaces; More pronouncedlines of opacity which follow the perikymata. Occasionally, confluence of adjacent lines. Occlusal surfaces: Scattered areas of opacity of 2mm in diameter and pronounced opacity of cuspal ridges.
  • 31.
    Score  3 Criteria Smooth surfaces: Merging andirregular cloudy areas of opacity. Accentuated drawing of perikymata often visible between opacities. Occlusal surfaces : Confluent areas of marked opacity. Worn areas appear almost normal but usually circumscribed by a rim of
  • 32.
    Score  4 Criteria Smooth surfaces: The entiresurface exhibits marked opacities or appears chalky white. Parts of surface exposed to attrition appear less affected. Occlusal surfaces : Entire surface exhibits marked opacity. Attrition is often pronounced shortly after eruption.
  • 33.
    Score  5 Criteria  Smooth and Occlusal surfaces: Entiresurface displays marked opacity with focal loss of outermost enamel (pits) 2mm in diameter.
  • 34.
    Score  6  7 Criteria Smooth surfaces: Pitsare regularlyarranged in horizontal bands 2mm in vertical extension. Occlusal surfaces: Confluent areas 3mm in diameter exhibit loss of enamel. Marked attrition Smooth surfaces: Loss of outermost enamel in irregular areas involving half of the entire surface. Occlusal surfaces: Changes in the morphology caused by the merging pits and marked attrition.
  • 35.
    Score  8  9 Criteria Smooth and Occlusal surfaces:Loss of outermost enamel involving half of the surface. Smooth and Occlusal surfaces: Loss of main part of enamel with change in anatomic appearance of surfaces. Cervical rim of almost unaffected enamel is often noted
  • 37.
    Advantages    It attempts tovalidate the visual appearance against the histological defect. Most sensitive of all fluorosis measuring indices. Granath et al. (1985), comparing the DEAN and T-F indexes, concluded that the latter was more detailed and sensitive because it was based on biological aspects where there is an increase in hypo mineralization with a simultaneous increase in the depth of the enamel surface in direction of the amelodentin junction.
  • 38.
     Cleaton-Jones and Hargreaves(1990) compared the three fluorosis indexes (DEAN, T-F and TSIF) in deciduous dentition, reporting that the prevalence of fluorosis in individual teeth was more frequently diagnosed with the T-F index. They concluded that the T-F index is the most indicated for work where detailed information about the problem is required.
  • 39.
    USES    To assess theimpact of enamel fluorosis in three communities examined in project FLINT.( Sigourjon’s H et al 2004) Clark et al 1993 showed an increasing level of dissatisfaction by both parents and children with appearance as the child‟s TSIF index grade rose. Burger et al. (1987), recommended the T-F index for future field studies, due to the facility of use and better defined criteria.
  • 40.
    Disadvantages  Clarkson (1989) reportedthat in TF index drying of teeth creates an unnatural situation due to which changes in score 1 and 2 are very minor. The aesthetic significance of these changes are questionable.
  • 41.
    TOOTH SURFACE FLUOROSIS INDEX Itwas developed by HOROWITZ et al. in 1984 at National Institute of Dental Research U.S.A AIM 
  • 42.
    Numerical score Descriptive Criteria 0  1  Enamelshows no evidence of fluorosis Enamel shows definite evidence of fluorosis namely areas with parchment-white colour that total less than one third of the visible enamel surface. Includes fluorosis confined only to incisal edges of anterior teeth and cusp tips of posterior teeth (Snow
  • 43.
     2  3  4 Parchment – whitefluorosis totals at least 1/3 of the visible enamel surface, but less than 2/3 Parchment – white fluorosis totals at least 2/3 of visible enamel surface. Enamel shows staining in conjunction with any of the preceding levels of fluorosis. Staining is defined as an area of definite discoloration that may range from light to very dark brown.
  • 44.
     5  6  7 Discrete pitting ofenamel exists, unaccompanied by evidence of staining of intact enamel. A pit is defined as a definite physical defect in the enamel surface with a rough floor that is surrounded by intact enamel. The pitted area is usually stained or differs in colour from the surrounding enamel. Both discrete pitting and staining of the intact enamel exist. Confluent pitting of the enamel surface exist. Large areas of enamel may be missing and anatomy of tooth
  • 45.
    Intent to use    TSIFindex - studies in which an aesthetic basis is desired for defining case and it may be used where risk factors are identified or when the teeth may not be cleaned and dried. (Antonio Carlos PEREIRA Ben-Hur Wey MOREIRA 1999) It doesnot have questionable category as in Dean‟s index and is based on the premise that any sign of fluorosis regardless of extent is positive for a case The TSIF described by Horowitz et al. makes a useful contribution because it provides clearer diagnostic criteria and provides for an analysis based on esthetic concerns. .( R.Gary Rozier 1999)
  • 46.
    FLUOROSIS RISK INDEX Introducedby DAVID G. PENDRYS in 1990 AIM To improve researcher‟s ability to relate the risk of fluorosis to developmental stage of permanent dentition at the time of exposure to fluorosis. 
  • 47.
    Incisal edges of11 21 32 31 41 42 and occlusal tables of 16 26 36 46. FR1- those begin to form in first year of life Surface zones which donot come under above groups are left unassigned FR2- those who donot begin to form until 2nd year of life Cervical third of incisors,mi ddle third of canines, occlusal table,incisal third and middle third of bicuspid and 2nd molars
  • 48.
  • 49.
  • 50.
    SCORE = 1 White spots,striations or fluorotic defects that cover 50% or less surface zone SCORE = 7 Any surface that has an opacity that appears to be a non fluoride opacity QUESTIONABLE
  • 51.
    SCORE = 2 Asurface zone with greater than 50% of zone displaying parchment white striations. SCORE = 3 Surface zone with greater than 50% of zone that displays pitting, staining and deformity POSITIVE FINDING Incisal edges and occlusal tables with greater than 50% of surface marked by snowcapping
  • 52.
    SURFACE ZONE EXCLUDED SCORE =9 Incomplete eruption , orthodontic appliances and bands, surface crowned or restored, gross plaque and debris
  • 53.
    CASES Subject who hasa positive score on 2 or more enamel surface zones CONTROLS Subject who has no positive or questionable scores on any enamel surface zones CLASSIFICATION 1
  • 54.
     To obtain theFRI score for each individual the scores of classification 1 and 2 are combined into one summary score.
  • 55.
    USES Risk factors forenamel fluorosis in a fluoridated population. (Pendrys DG, Katz RV, Morse DE. 1994)  Risk factors for enamel fluorosis in a nonfluoridated population. (Pendrys DG, Katz RV, Morse DE1999)  The Iowa Fluoride Study(2005) (Steven M. Levy; Liang Hong,; John J. Warren, Barbara Broffitt,) 
  • 56.
    DEVELOPMENTAL DEFECTS OF INDEX  Thedevelopmental defects of enamel was developed by “ FDI – Commission on Oral Health, Research and Epidemiology” in 1982 to avoid need for diagnosing fluorosis before recording enamel opacities.
  • 57.
    PROCEDURE Tooth surface is inspectedvisually and defective areas are tactilely explored with a probe. Natural or artificial light Teeth should receive a prophylaxis and be dried at time of examination
  • 58.
    CODING AND CRITERIA      Unerupted,missing, heavily restored , bacle decayed , fractured teeth and teeth or tooth surfaces which for any other reason cannot be classified with defects must be coded ‘X‟. Permanent teeth are number coded. Primary teeth are letter coded. When in doubt the tooth surface should be scored „normal’. when an abnormality is present but cannot be classified into listed categories, it should be scored as „other defects’.
  • 59.
    TYPE OF DEFECT •OPACITY • HYPOPLASIA • DISCOLORATION NUMBER • SINGLE • MULTIPLE DEMARCATION • DEMARCATED • DIFFUSE LOCATION OF DEFECTS • GINGIVAL OR INCISAL HALF • OCCLUSAL • CUSPAL • WHOLE SURFACE
  • 60.
    MODIFICATIONS    Clarkson J.J andO‟Mullane D.M in 1989 modified the DDE to be used in one of the two manners General purpose epidemiology studies Screening surveys
  • 61.
    General purpose epidemiological studies          NORMAL DEMARCATEDOPACITY White/cream Yellow/brown DIFFUSE OPACITY Diffuse lines Diffuse patchy Diffuse confluent Confluent +Staining+loss Of Enamel  Code 0  Code 1 Code 2   Code 3 Code 4 Code 5  Code 6  
  • 62.
  • 63.
    Extent of defect     Normal <1/3rd At least 1/3rd < 2/3rd At least 2/3rd     Code 0 Code 1 Code 2 Code 3
  • 64.
    Screening surveys      NORMAL DEMARCATED OPACITY DIFFUSE OPACITY HYPOPLASIAPITS OTHER DEFECTS      CODE 0 CODE 1 CODE 2 CODE 3 CODE 4
  • 65.
      In UK, DDEhas been the most frequently used index However since it is not fluorosis specific , it is difficult to analyze prevalence of fluorosis from this index.
  • 66.
    YOUNG’S CLASSIFICATION OF ENAMELFLUOROSIS    Developed by YOUNG M.A in 1973. Similar classification was developed by AlLousi et al in 1975. Recording of any Principle condition once defined must be made on baisi of that definition and not on basis of presumed etiology.
  • 67.
    TYPE A TYPE B •White areas less than 2mm in diameter • White areas of > 2mm diameter TYPE C • Colored areas <2mm in diameter irrespective of white areas. TYPE D • Colored areas of <2mm diameter irrespective of area covered
  • 68.
    TYPE E TYPE F •Horizontal white lines irrespective of there being any non linear lines • Colored or white lines or areas associated with pits or hypoplastic areas
  • 69.
    MURRAY AND SHAW’S CLASSIFICATIONOF ENAMEL FLUOROSIS   Developed by Murray J.J and Shaw L in 1979. Based on young‟s classification with two modifications Colored flecks and patches were combined into one group Occlusal and lingual/palatal surfaces were also included
  • 70.
    REFERENCES     Whelton HP;Ketley CE;McsweenyF;O’Mullane DM; A review on fluorosis in European Union:prevelance risk factors and aesthetic issues,CDOE2004,32;9-18. Antonio Carlos PEREIRA ;Ben-Hur Wey MOREIRA; Analysis of Three Dental Fluorosis Indexes Used in Epidemiologic Trials, Braz Dent J (1999) 10(1): 1-60 Pendrys DG, Katz RV, Morse DE. Risk factors for enamel fluorosis in a fluoridated population. Am J Epidemiol 1994;140:461-71. Pendrys DG, Katz RV, Morse DE. Risk factors for enamel fluorosis in a nonfluoridated population. Am J Epidemiol1996;143:808-15.
  • 71.
      R.G Rosier, EpidemiologicIndices for Measuring the Clinical Manifestations of Dental Fluorosis: Overview and Critique; ADR June 1994 vol. 8 no. 1 39-55. A. Rizan Mohamed;W. Murray Thomson, ;Timothy D. Mackay; An epidemiological comparison of Dean‟s index and the Developmental Defects of Enamel (DDE) index; doi: 10.1111/j.1752-7325.2010.00186.x
  • 72.
       Steven M. Levy;Liang Hong; John J. Warren;Barbara Broffitt; Use of the Fluorosis Risk Index in a Cohort Study:The Iowa Fluoride Study;JPHD Vol. 66, No. 2, Spring2006. David G. Pendrys; Analytical Studies of Enamel Fluorosis: Methodological Considerations.oxford journals Vol. 21, No. 2. Chankanka O, Levy SM, Warren JJ, Chalmers JM. A literature review ofaesthetic perceptions of dental fluorosis and relationships with psychosocialaspects ⁄ oral health-related quality of life.CDOE 2010. 38: 97–109
  • 73.
     R. Gary Rozier;The Prevalence and Severity of Enamel Fluorosis in North American Children; Vol. 59, No. 4, Fall 1999

Editor's Notes

  • #7 Ordinal scale because the conditions were expressed on a severity scale.
  • #40 Project FLINT- a investigation of prevelance of fluorosis and fluoride ingestion from toothpaste conducted among children living in communities in seven european countries.