Like your first colour TV 
ECHO BEYOND POCUS & OTHER APPETIZERS 
Dr. P. JANIN 
Royal North Shore Hospital - Sydney
Some Story 
 Obese male 
 Poorly documented past medical history 
 No usual medications 
 Elective cystoscopy /GA
 Becomes hypoxic 15 min post induction 
 Copious amount of frothy proteaceous liquid in 
ETT 
 Rapidly impossible to ventilate 
 Cardiac arrest. Immediate CPR. ROSC. 
 Remains hypoxic on high PEEP / FiO2. High 
dose inotropic support 
 Presumed aspiration? 
Some Story
Some Question 
 V-V ECMO 
 Remains on high dose inotropic support 
 Metabolic acidosis. pH 7.18. 
 Relative bradycardia.
The Question 
 RV dysfunction ? 
• Previous RHF 
• Acidosis / CPR 
• High PEEP
The Tool
The Problem 
 2D Areas <> Volumes 
 Volume change <> Contractility 
 Ideal volumes & Starling curve
Geometry 
 Heart chambers can have a 
complex geometry. 
 EF & Simpson’s method make 
many assumptions. 
Right Ventricule
Geometry 
 EF is not a measure of 
contractility. 
 EF is a measure of the global 
systolic effect, and is highly 
dependent on load.
Caveats 
 Echo can only measure 
deformation. 
 80% of the systolic work is done 
during the Isovolumic Contraction 
Time.
Strain Imaging 
 Not that new 
 Measures deformation of 
ventricular walls: shortening and 
elongation. 
 Part of tissue motion tracking. 
 Much more simple than it sounds.
Speckle Tracking 
 Grayscale pictures consist of a 
speckled pattern, produced by the 
interference pattern of reflected 
ultrasounds. 
 Each portion of the myocardium has 
a unique speckle pattern, that can be 
tracked.
Strain Imaging 
Displacement Curve Strain (Deformation) Curve
Strain Imaging
Strain Rate 
 Rate of relative deformation 
 Closely related to tissue 
velocities
Strain Rate
Deformation Imaging 
 Imaging of wall 
motion instead of 
chambers change. 
 Evolution on the 
concept of cardiac 
performance.
Benefits 
 Strain rate and Tissue velocity are closer to contractility than 
global measures such as EF, strain, global displacement. 
 Comparative study of segments. 
 Prognostic value and early detection of cardiomyopathy (heart 
failure, Anthracyclines toxicity, MV repair). 
 Synchrony. 
 Some reproducibility for follow-up.
Deformation Imaging 
 Limited feasibility and accuracy. 
 Relies on high quality pictures (speckle tracking). 
 Challenging interpretation.
3D live: Thin slice mode
3D live: Zoom mode
3D Imaging: Biplane view
3D FV: 
Tomographic slice
3D FV: 
Volume rendering
3D FV: 
Surface rendering
3D FV: 
Surface rendering
3D FV: 
Colour Doppler
3D FV: 
Colour Doppler
3D Echo: Benefits 
 Multi-plan imaging. Fast acquisition. 
 Volume assessment of complex 
chambers. 
 Improved view on complex problems 
(valvular lesions, VSD, …).
Contrast Imaging
Contrast Imaging
So What ? 
 2D echo is not always the straight forward answer to 
cardiac assessment 
 What we see is not always unravelling what we need to 
measure
So What ? 
 Better technology for more accuracy: 
When machines start to properly 
eyeball the heart, and explore all 
aspects of its complexity.
Thank you 
 Thank you to Dr. T. Kapalli (St George Hospital) 
 Thank you to Dr. Stoylen for his excellent online 
resource

ICU Echo, now in 3D - by Janin

  • 1.
    Like your firstcolour TV ECHO BEYOND POCUS & OTHER APPETIZERS Dr. P. JANIN Royal North Shore Hospital - Sydney
  • 2.
    Some Story Obese male  Poorly documented past medical history  No usual medications  Elective cystoscopy /GA
  • 3.
     Becomes hypoxic15 min post induction  Copious amount of frothy proteaceous liquid in ETT  Rapidly impossible to ventilate  Cardiac arrest. Immediate CPR. ROSC.  Remains hypoxic on high PEEP / FiO2. High dose inotropic support  Presumed aspiration? Some Story
  • 4.
    Some Question V-V ECMO  Remains on high dose inotropic support  Metabolic acidosis. pH 7.18.  Relative bradycardia.
  • 5.
    The Question RV dysfunction ? • Previous RHF • Acidosis / CPR • High PEEP
  • 6.
  • 7.
    The Problem 2D Areas <> Volumes  Volume change <> Contractility  Ideal volumes & Starling curve
  • 8.
    Geometry  Heartchambers can have a complex geometry.  EF & Simpson’s method make many assumptions. Right Ventricule
  • 10.
    Geometry  EFis not a measure of contractility.  EF is a measure of the global systolic effect, and is highly dependent on load.
  • 12.
    Caveats  Echocan only measure deformation.  80% of the systolic work is done during the Isovolumic Contraction Time.
  • 13.
    Strain Imaging Not that new  Measures deformation of ventricular walls: shortening and elongation.  Part of tissue motion tracking.  Much more simple than it sounds.
  • 14.
    Speckle Tracking Grayscale pictures consist of a speckled pattern, produced by the interference pattern of reflected ultrasounds.  Each portion of the myocardium has a unique speckle pattern, that can be tracked.
  • 17.
    Strain Imaging DisplacementCurve Strain (Deformation) Curve
  • 18.
  • 19.
    Strain Rate Rate of relative deformation  Closely related to tissue velocities
  • 20.
  • 23.
    Deformation Imaging Imaging of wall motion instead of chambers change.  Evolution on the concept of cardiac performance.
  • 24.
    Benefits  Strainrate and Tissue velocity are closer to contractility than global measures such as EF, strain, global displacement.  Comparative study of segments.  Prognostic value and early detection of cardiomyopathy (heart failure, Anthracyclines toxicity, MV repair).  Synchrony.  Some reproducibility for follow-up.
  • 25.
    Deformation Imaging Limited feasibility and accuracy.  Relies on high quality pictures (speckle tracking).  Challenging interpretation.
  • 29.
    3D live: Thinslice mode
  • 30.
  • 32.
  • 33.
  • 34.
    3D FV: Volumerendering
  • 35.
    3D FV: Surfacerendering
  • 37.
    3D FV: Surfacerendering
  • 38.
  • 39.
  • 40.
    3D Echo: Benefits  Multi-plan imaging. Fast acquisition.  Volume assessment of complex chambers.  Improved view on complex problems (valvular lesions, VSD, …).
  • 41.
  • 42.
  • 43.
    So What ?  2D echo is not always the straight forward answer to cardiac assessment  What we see is not always unravelling what we need to measure
  • 44.
    So What ?  Better technology for more accuracy: When machines start to properly eyeball the heart, and explore all aspects of its complexity.
  • 45.
    Thank you Thank you to Dr. T. Kapalli (St George Hospital)  Thank you to Dr. Stoylen for his excellent online resource

Editor's Notes

  • #2 Good afternoon. Welcome to this session where we are going to discuss a few interesting, maybe more advanced aspects of cardiac echo. We are going to have a look at what we are currently doing, and at what improvement could be offered by modern echo machine. In particular, we will overview Strain imaging, 3D echo, and Contrast.
  • #3 Let’s start with a clinical scenario. This is the recent story of a patient, overweight male, who was booked for an elective urology procedure. There is not much as past medical history, essentially because the patient doesn’t really like medical attention.
  • #4 The procedure is planned under GA. Apparently uneventful induction, but about 15 min later the patient desaturates and becomes profoundly hypoxic. Very large amount of frothy pulmonary oedema if pouring out the ETT, and the patient becomes very hard to ventilate. To the point that he has a cardiac arrest. Of course he receives immediate CPR, IV adrenaline, and SC is restored rapidly. He remains very had to oxygenate. But very luckily you are working in a tertiary hospital, so ECMO is available and here we go, decision is made to insert cannula and start VV ECMO.
  • #5 Presumably, the patient had an aspiration and bad chemical pneumonitis. ECMO kind of works, because oxygenation seems to improve initially, but the patient remains very acidotic, on high dose inotropic support, and relatively bradycardic. So it seems that there is associated cardiac failure. We are still in OT, and rapidly the question becomes whether the circuit should be converted to VA ECMO. Sure, maybe …?
  • #6 So really the question is a fairly common problem in severe acute respiratory problem. Here we suspect that there could be LV, but more likely RV failure. Certainly the patient could have pre-existing RV dysfunction from OSA and maybe IHD. Put together with severe acidosis, CPR and high pressure mechanical ventilation, there are reasons for RV to be failing. So how to assess the RV, of course we have our usual invasive monitoring, respiratory variations on the arterial trace and the shape of the CVP trace, but you decide that the relationships between pressure and volume are complex, and that you don’t want to rely on it to comment on preload and inotropy.
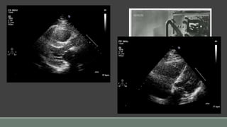
  • #7 Instead, you think that the best tool for the job might be an echo. Whether it is a TOE or a transthoracic doesn’t really matter. In many cases, the conclusion will be fairly obvious with little controversy. Like here on those loops, where the RV looks very dilated, much bigger than the LV, poorly function, with a paradoxicum septum.
  • #8 But in many cases, it will not be that obvious and we will end up saying… well… it looks sluggish… maybe sluggish ++. In fact, there is quite a bit of uncertainty and the little cat on the left side of the slide seems much less confident than before. We have to make a lot of assumptions and rely on rather indirect parameters to estimate ventricular function. We look at 2D areas and have to make estimates of volumes, then we estimate volume changes and take that as a good measure for contractility. And at the same time, we have knowledge of what the ideal volume for a particular patient would be and where he is at on the starling curve. So we end up summarizing the different indirect parameters by simply eyeballing the 2D picture. This means using a personal reference library in our own memory, created from previously seen echos in different clinical situations. So presumably, intensivists will have a slightly different interpretation than cardiologists for contractility for example, because a normal contractility in shocked patients is different to what is seen in ambulatory cardiology rooms.
  • #9 Really, a lot of the problem when we estimate ventricular function is in direct sight of a good understanding of geometry. We normally work on 2D echo pictures, but heart chambers can have a very complex geometry, particularly true for the right heart but also the left in many scenarios. And beside the caveats of calculating volumes from a 2D area, fundamentally EF makes many assumption and is a poor surrogate for LV function
  • #10 Here is an example of pronounced LVH with a small ventricular cavity. This would be fairly common in critically ill patients who might be hypovolemic and have reduced after load. The EF here seems correct, in fact calculated around 55%. But this is purely the effect of geometry, where even mild relative wall thickening will produce a good reduction of the cavity area. In reality, the systolic function of this ventricle is markedly impaired. The opposite would be true in the situation of volume overload and dilated hypertrophy …
  • #11 EF in fact is not a measure of contractility. It is a measure of the global systolic effect, and is highly dependent on load. Both preload and afterload. To the point that we may wonder what is the meaning of hyperdynamic is many situations. Certainly that doesn’t mean hypercontractile.
  • #12 So now, is there a way to see a bit more clearly in the foggy grayscale echo pictures ? Is there a better way to measure LV function and contractility ?
  • #13 Well, yes and no. EF is not a great parameter. It is widely used because it has been extensively studied and linked to prognosis in cardiology studies. But regardless of the parameter that we use, in any case echo, will always at best be capable of measuring deformation, just like any other imaging device. And this can be regarded as necessarily suboptimal, when we realize that 80% of the systolic work is done during the isovumic contraction time where there is no deformation.
  • #14 But maybe echo can still offer interesting methods. And the little act on the left becomes happy again, because he is smelling that there might be interesting value in Strain Imaging. Strain imaging is not really a new thing. It has been around for years now, but has been maybe a bit hard to use and to become very familiar with. Strain is a measure of deformation of the ventricular walls. Shortening and elongation of the walls. So really it is part of being able to track the motion of the tissues. And in fact it is more simple than it sounds.
  • #15 Technically, how does strain imaging work? Grayscale pictures consist of a speckled pattern, produced by the interference pattern of reflected ultrasounds. In other words, the ventricular walls are imaged as grayscales dots, that have a unique pattern that changes as we move along the wall. Strain imaging is essentially based on a software. The software is capable of identifying and tracking the speckle pattern of each portion of the myocardium. This is called speckle tracking.
  • #16 Typically the user will point or trace the ventricular walls. Then, frame by frame, the software will track and follow the motion of the tissues using speckle tracking.
  • #17 This can be done in multiple point at the same time, over the entire cardiac cycle.
  • #18 So the machine will be able to measure deformation of the walls: shortening in systole and lengthening in diastole, for the different segments. The measure is quantitative ; here is the typical curve that is obtained for a segment of myocardium. Displacement curve on the left, with segments moving forward toward the probe in systole. Strain curves on the right, which is the displacement normalized for the length of the wall, with shortening during systole (negative by convention).
  • #19 But really where it becomes interesting is when the measure is made on different segments at the same time, which allows a comparison of the different segments, as shown here.
  • #20 From strain measurement, is derived the Strain rate, which simply incorporates a time factor. Strain rate is just the speed of deformation. So it is looking at how quickly the different portions of the walls move, or more specifically how quickly they shorten of lengthen. Strain rate is therefore the tissue velocities, normalized for the length of the wall. It is in fact closely related to tissue velocities, and all the strain measurements can be derived from the tissue Doppler instead of the speckle tracking method.
  • #21 Strain rate can be represented as curves, or as colour superimposed on the 2D picture, just like tissue Doppler can be superimposed too, which is of very limited interest if no further manipulation is applied. The curves look a bit more funny now, but again what is important is how the different segments compare to each other.
  • #22 Ultimately, data from strain and strain rate can be plotted on more user friendly figures, that make it much easier to spot differences between segments, like here on the left where there is apical and inferior ischemia respectively.
  • #23 Here is a fancy rendering of the strain dataset, that is not the typical result obtained on current machines. But for one of the first time, strain imaging provides a method of actually quantifying ventricular wall deformation, and more precisely recording what we would normally assess with essentially eyeballing.
  • #24 Overall, deformation imaging offers the possibility to image wall motion instead of chamber area change. This is part of the evolution of the concept of cardiac performance, where interest has been gradually shifted from the focus on cardiac output, best assessed by PAC, to the importance of chamber volumes and the pump function, assessed by traditional 2D echo, and now to the focus on the muscular function, as assessed by strain.
  • #25 So how much added value does these techniques offer to conventional echo ? Clearly strain rate and tissue velocity are still far from being perfect representation of contractility, but they are closer than global measures such as EF and global displacement. Strain rate imaging offers a method to properly compare segmental motions. It can protect being mislead by the tethering effect of one segment to the other that could give illusion of preserved motion for example. In the same line of idea, it is probably useful to assess problems such as dysynchrony. It seems to have a prognostic value, and have a role for the early detection of cardiomyopathy, such as chemo toxicity, or recovery after MV repair. And finally, it may offer a more accurate way to assess progress of cardiac dysfunction.
  • #26 Still far from ideal, though, with currently limited feasibility and accuracy, as well as sometimes challenging interpretation. The point here is not claim that everyone should rush to buy a 40.000$ software to upgrade their echo machines. It is more about taking the chance of questioning the meaning and limitations of the parameters the normally use in 2D echo, and maybe taking the offering of a better understanding of cardiac physiology. Applications seems rather easy to imagine for the critical care area, especially if software becomes easier.
  • #27 Certainly strain imaging is a technological effort to have a semi-automated tracking of cardiac walls, and is of great value to help understanding the relationships between geometry and physiology. Geometry can be misleading, but this is not the only problem. As mentioned at the beginning in our case, geometry can be very complex and virtually not suitable for assessment by 2D imaging. This is the case for the RV for example. Recently the development of highly capable probes has led to the development of 3D imaging.
  • #28 Modern probes are capable to produce 3D data, because they have large arrays of crystals and can image in plans that can be electronically steered in many directions. Typically they contain around 3000 crystals. Bottom right is a magnified view, together with a human hair. These probes are the natural evolution in US imaging, having moved from a single line imaging, to a 2D one plan imagine, and now 3D or Multiplan imaging. A 3D picture is simply constructed be using the information from several consecutive plans.
  • #29 Practically, there are limitations on how much data a probe can collect at once, and of course limitations on how to display 3D data on the 2D screen. With a 3D probe, there are different modes to chose from, each being optimized for different applications. Acquisition of the image remains a frame by frame job, so first of all, imaging the whole 3D sector is not feasible all at once, because the speed of acquisition of each frame can never be quick enough compared to the motion of cardiac structures. At best the probe can image live a limited volume, a thin slice. If better resolution is required, then a zoom mode is usually available to focus the imaging resource on a selected volume, that may be thicker. The full volume is not exactly imaged live.
  • #30 Thin slice mode is rather straight forward. It is somehow just a 2D mode view a bit of view on adjacent plans.
  • #31 Here an example of Zoom mode, imaging live a small volume like a valve.
  • #32 If we want to image the full volume, which means the volume within the whole angle of steering capacity, then it will be constructed from thin volumes acquired during consecutive cardiac cycles. This will need a trigger, typically ECG. Then the sub-volumes will be “stitched” together to produce the full dataset. Obviously this process can create artefact, mainly from respiratory movements and arrhythmia. Once obtained, the 3D full volume dataset is a big chunk of data that can be processed to display different types of views. The last mode is when colour Doppler is superimposed to the 3D pictures, just like it happens in 2D imaging.
  • #33 Put into practice, the first benefit of the new matrix probes is to display live multi-plane view at the same time. This is the simultaneous orthogonal 2D slice mode, broadly used in TEE during surgeries, or for segment analysis during stress echo. The benefit here is rapidity and easiness of acquisition of multiple planes.
  • #34 Using the 3D dataset, not exactly live then, a similar application is 2D tomographic slice rendering, where 2D views from any angle can be reconstructed, views that would be otherwise virtually impossible to get from standard acoustic windows. Volume rendering mode, where the 3D dataset will be cropped to show an area of interest.
  • #35 From the full volume 3D dataset, the volume rendering mode will crop the dataset to show an area of interest. Here the left ventricle and the aortic valve. Certainly, complex anomaly can be visualized and understood more easily.
  • #36 Finally, the dataset can be used to render surfaces of objects of interest, typically ventricular chambers. Mathematics can then be applied to calculated volumes.
  • #37 Here is a volume rendering example. Volumes can be calculated, and studied across the cardiac cycle. EF can be derived, and even segmental analysis of the surface change can be done. Obviously the limitation will be to be able to accurately trace and track the surface.
  • #38 There is here the potential to improve accuracy for the study of chamber with complex geometry, whether it is the left ventricle on the left, and maybe the right ventricle here on the right side.
  • #39 Finally, colour Doppler data can be added to the 3D volume views, to offer a more complete view of the blood flows and jets across the valves.
  • #40 Potentially, 3D can offer a better view of the anatomy of the jets, that would otherwise be assumed to be circular and may be underestimated. Complex jets can be properly visualized, for example complex paravalvular leaks.
  • #41 This is a very brief overview of the new possibilities with 3D echo. The main benefits in critical care potentially is to have a probe capable of imaging different plans at the same time and get a fast snapshot of complex chambers and volumes, including calculation of actual volumes and EF. Plus some benefit in more complex situations, such as postoperative period after heart surgery.
  • #42 The problem with 3D, even more than 2D, is to obtain a good delimitation of chambers for surface rendering. The natural complement to 3D is the use of echo contrast. Contrast is quite widely used in the US. It consist of micro-bubbles, encapsulated in various types of shells. Because of the impedance difference, air is a strong US reflecting medium, and produces very bright echos.
  • #43 And here, when used with a 3D echo machine. Chamber tracing becomes quite easier.
  • #44 Let’s conclude. I hope that I have shown how our common 2D echo is not always the obvious, straight forward answer to the evaluation of the cardiac component during haemodynamic assessment. And how what we see is not always a direct representation of what we need to know. There is a lot of invisible components in cardiac function, and the relationship between geometry and physiology is not always simple.
  • #45 Machines and software are getting better. Strain imaging is in the air. It relies on high quality pictures, and is far from being mainstream technology in critical care ultrasound. But it is an invite to inspiring reflexion and maybe the nerve for future development once better accuracy and more automated usage will be achieved. 3D feature is fantastic technology for sensational show, and may well kill a lot of our current technology.