Hypertrophic
Cardiomyopathy
Discussed here
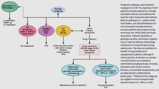
1. Definition
2. Genetics of HCM and screening in family members
1. Outcome of Genotype positive Phenotype negative patients
3. Phenotype – Gross morphology on imaging and Histopathology
4. Clinical Features
5. Natural Course and Outcomes
1. HF
1. With obstruction
2. Without obstruction
2. SCD
1. Risk Stratification
2. Prevention
3. AF
Definition
Definition
▪ HCM is characterized by a
thickened but nondilated left ventricle
in the absence of another cardiac or systemic condition (e.g., aortic
valve stenosis, systemic hypertension, and some expressions of
physiologic athlete’s heart)
capable of producing the magnitude of left ventricular (LV)
hypertrophy evident
Epidemiology
▪ Regarded as the most common
inherited cardiac disease
▪ Prevalence of HCM in the
general population at least 1 in
500
▪ Most affected individuals are not
diagnosed clinically
(Tip of the iceberg)
Genetics
Genetics
▪ May be inherited –
– Autosomal dominant Mendelian pattern,
– variable expressivity, and
– age-related (and incomplete) penetrance
– Offspring of affected individual have a 50% probability of inheriting a mutation
and risk for the disease
▪ Sporadic cases may be due to de novo mutations (absent in parents)
Genetics
▪ HCM is caused by mutations in 11 or more genes
▪ Encoding
thick and thin contractile myofilament protein components of the
sarcomere,
or
adjacent Z-disc,
which are expressed primarily or exclusively in the heart
Genetics
▪ 70% of successfully genotyped patients are found to have mutations
in the 2 most common genes,
Beta-myosin heavy chain (BMHC) and
Myosin-binding protein C (MBPC)
▪ Whereas several other genes are much less common, accounting for
<5% of patients
*Patients without LV outflow tract gradient
(<30 mm Hg) at rest should also undergo
stress (exercise) echocardiography.
On initial evaluation,
all HCM patients undergo sudden death risk
stratification †Generally regarded as $30
mm Hg outflow gradient, but $50 mm Hg
when septal reduction intervention is
considered (i.e., septal myectomy; alcohol
ablation).
‡No or trivial (<30 mm Hg) outflow gradient
at rest and with exercise.
§No data on benefit of pharmacologic
therapy, although beta-blockers are often
administered prophylactically in clinical
practice.
Obstructive: usually, beta-blockers or
possibly calcium channel antagonists
(verapamil), or disopyramide.
Nonobstructive: beta-blockers, calcium
channel antagonists, and possibly diuretics
administered judiciously. ¶Screening
targets relatives
without clinical evidence of HCM
phenotype.
#Could differentiate hypertrophic
cardiomyopathy (HCM) from other causes
of left ventricular
hypertrophy (LVH), including patients with
history of systemic hypertension, or highly
trained athletes
Genetic Testing Results
▪ Recent clinical genetic studies have shown that using single nucleotide
sarcomere mutations to judge prognosis or predict outcome is unreliable
for individual patients
▪ Genetic testing in HCM
does not influence treatment strategies and
specifically does not identify high-risk patients who may benefit from
ICD therapy
▪ Most compelling reason to consider genetic testing
is to identify family members affected by HCM but without LVH, who
may be at risk for developing this disease
▪ Genetic testing screening strategy requires
successful identification of a pathogenic sarcomere
mutation in
a clinically expressed (positive phenotype) HCM
proband
▪ However, likelihood that a pathogenic mutation will be
found in the proband is only 35% overall
(somewhat higher with positive family history)
▪ When a pathogenic mutation is identified in a family
member, all other relatives can be screened;
those without the genetic abnormality found in the
proband
have a very low risk for developing the disease
Clinical utility of Genetic testing
HCM Genotype Without LVH
▪ Relatives identified with pathogenic mutations but without evidence
of the disease phenotype are designated as
genotype positive-phenotype negative
▪ Such individuals demonstrate the principle that any
absolute LV wall thickness is compatible with HCM
▪ The precise risk of eventually developing LVH in this group remains
uncertain, largely due to lack of data
▪ Although phenotypic conversion is probably common, it is also
possible that some relatives may never develop hypertrophy (i.e.,
incomplete penetrance)
HCM Genotype Without LVH – Subclinical
▪ ECG abnormalities and subclinical diastolic dysfunction can be noninvasive
markers for future development of LVH in gene carriers
▪ Despite the absence of LVH, gene carriers may show
various LV morphologic abnormalities,
including
fibrosis imaged by contrast CMR,
collagen biomarkers,
mitral leaflet elongation,
and blood-filled crypts
▪ These markers suggest affected status
▪ Thus the importance of formal genotyping to achieve a definitive HCM
diagnosis and
close follow-up for detecting development of clinical disease with LVH
HCM Genotype Without LVH – SCD Risk
▪ No compelling evidence that genetically affected relatives without
LVH are at increased risk of SCD
▪ Bethesda Conference #36 consensus recommendations do not
exclude genotype positive phenotype negative individuals
from competitive sports
Defining Pathogenicity
▪ Mutations are assigned
pathogenic (or likely pathogenic) status on a probabilistic basis—not
necessarily as a definitive yes or no
▪ Using the preponderance of evidence available from a variety of criteria,
including previous reports that a given mutation has caused HCM in other
families
▪ If the genetic test in the proband is negative for a sarcomere mutation, or
alternatively a novel DNA sequence variant for which pathogenicity is
unresolved (i.e., “variant of unknown significance”) is reported,
then this testing strategy cannot be applied to determine whether other
relatives are genetically affected
Differential Diagnosis
▪ Genetic testing has the unique potential to clarify
diagnosis in some patients with metabolic storage
diseases
Like PRKAG2, Fabry disease, LAMP2 cardiomyopathy
(Danon disease),
which differ from sarcomeric HCM with respect to
pathophysiology, natural history and management,
but share similar clinical expression and the pattern of
LVH
Clinical Family Screening
▪ Screening for HCM is universally recommended for families
▪ First option for assessment of family members is usually clinical screening with
imaging tests (echocardiography and CMR) and ECG
▪ Usually initiated during adolescence, the time at which the development of LVH
most often occurs in HCM
▪ Echocardiographic screening most often begins at 12 years of age,
continuing thereafter at 12- to 18-month intervals, until full physical maturity is
achieved between 18 and 20 years of age
▪ Because of rare possibility of adult onset hypertrophy and phenotypic conversion
later in life between 20 and 50 years of age,
further serial imaging at approximately 5-year intervals may be appropriate
▪ Consider screening with CMR, particularly if the 12-lead ECG is abnormal, because
in some patients, segmental areas of LVH may be identifiable only with high-
resolution tomographicCMR
Morphologic findings and the
role of Imaging
Phenotype and Left Ventricular
Hypertrophy
▪ Diverse patterns of asymmetric LV hypertrophy are characteristic of
HCM even in related patients (although identical twins share the
same morphology)
▪ Typically,
Some areas more hypertrophic than others,
sharp demarcation at the point of transition in thickness,
or there are noncontiguous patterns of segmental hypertrophy as
well as extension into the right ventricular (RV) wall
▪ No single morphologic form of HCM is considered “classic” or typical
Phenotype and Left Ventricular
Hypertrophy
▪ Hypertrophy is frequently extensive, involving the ventricular septum
and LV free wall
▪ In a sizeable minority,
wall thickening is limited to segmental areas,
including the most distal portion of the LV chamber (i.e., apical
HCM);
- this is a distinctive morphologic form associated with markedT-
wave negativity on ECG, which is part of the HCM clinical spectrum
caused by sarcomere mutations
▪ In 20% of patients, the LV mass calculated by CMR
may be normal or near-normal because of hypertrophy localized to
small areas of the left ventricle
Phenotype and Left Ventricular
Hypertrophy
▪ Usually, the HCM phenotype remains incomplete until adolescence
▪ Accelerated growth and maturation are accompanied by
spontaneous (often striking) increases in LV wall thickness and a
more extensive distribution of hypertrophy
▪ Occasionally, these structural changes may not occur until midlife or
even later (late-onset adult LV hypertrophy)
although not usually associated with the development of symptoms
or arrhythmic events
Clinical Diagnosis and HCM Phenotype:
Contemporary Imaging
▪ HCM with LVH
– Clinical diagnosis of HCM requires confirmation with cardiac imaging of
phenotypic expression, that is, an unexplained increase in LV wall thickness
(≥ 15 mm in adults) associated with a nondilated LV chamber
– Lesser degrees of wall thickness (i.e., 13 to 14 mm) can also be diagnostic of
HCM, particularly when identified in family members
– CMR provides more precise LV wall thickness measurements and improved
risk stratification by imaging myocardial scars (i.e., late gadolinium
enhancement)
– CMR may be the sole method for reliably confirming the HCM phenotype
and diagnosis, when increased wall thickness is confined to specific areas of
the LV chamber
Clinical Diagnosis and HCM Phenotype:
Contemporary Imaging
▪ CMR provides more complete interrogation of HCM morphology
including
right ventricular hypertrophy,
high-risk LV apical aneurysms with regional scarring, and
abnormalities that may contribute to subaortic obstruction (i.e.,
elongated mitral valves, aberrant papillary muscles, and
accessory muscle bundles),
anomalous insertion of anterolateral papillary muscle directly
into the mitral valve, producing mid-cavitary muscular
obstruction
▪ CMR also may allow differentiation of apical HCM from LV
noncompaction
Clinical Diagnosis and HCM Phenotype:
Contemporary Imaging
▪ Wide range in maximal LV wall thicknesses up to >50 mm are consistent
with HCM
▪ Important minority of patients (10% to 20%) show relatively mild degrees
of LVH evident in localized segments of the chamber and with normal CMR-
calculated LV mass
▪ This underscores the principle that increased LV mass is not a prerequisite
for a HCM diagnosis
▪ Any asymmetric pattern of LVH can be observed in phenotypically
expressed HCM, with maximum wall thickening found at virtually any
location
most commonly at the confluence of the anterior septum and contiguous
anterior free wall
Clinical Diagnosis and HCM Phenotype:
Contemporary Imaging
▪ Specific patterns of LVH do not predict outcome, although mild
localized wall thickening is generally associated with lower risk,
independent of its location
▪ Absence of hyperdynamic systolic function, systolic anterior motion
of the mitral valve, or myocardial scarring on CMR does not exclude a
HCM diagnosis
▪ Extrinsic factors, such as obesity, may influence primary phenotypic
expression of HCM (including LV mass) and HF symptoms
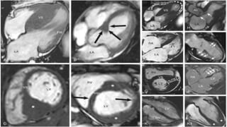
(A) Asymmetric hypertrophy of
ventricular septum (VS), sparing
the left ventricular (LV) free
wall. (B) Focal hypertrophy
sharply confined to
basal anterior septum (arrows).
(C)Thin-walled apical aneurysm
(arrowheads) with muscular
mid-ventricular apposition of
hypertrophied
septum and LV wall (asterisks),
and distinct proximal (P) and
distal (D) chambers.
(D) Extensive, transmural late
gadolinium enhancement
involving ventricular septum
(arrows). (E) Massive thickening
(i.e., 33 mm) confined
largely to anterolateral LV wall,
greatly underestimated by
echocardiography
(arrowheads). (F) Genotype
positive-phenotype negative
HCM family member with 3
myocardial crypts penetrating
thickness of basal inferior wall
(arrows).
Mitral Valve Apparatus – Elongation of
leaflets
▪ Primary structural abnormalities of the mitral apparatus occur
▪ Responsible for LV outflow obstruction
▪ Part of the phenotypic expression of HCM
▪ Mitral valve may be > 2x the normal size
due to elongation of both leaflets
▪ There may be segmental enlargement of only the anterior or posterior
leaflet, more frequently observed in younger patients
▪ In older patients, outflow obstruction often occurs in the presence of a small LV
outflow tract,
mitral leaflets of normal length, and
mitral-septal contact created by
a modest anterior excursion of the valve combined with
posterior motion of the septum
Histopathology – Disarray and Small
vessel ischemia
▪ In HCM, hypertrophied myocytes
in both the ventricular septum and LV free wall
have bizarre shapes and are often arranged in a chaotic and disorganized
architectural pattern
▪ Patients also exhibit structurally abnormal
intramural coronary arterioles with thickened vessel walls caused by media smooth
muscle hyperplasia
▪ Microvascular changes cause narrowing of the vessel lumen,
which is responsible for
an impaired vasodilator response and
blunting of the coronary flow reserve
▪ Believed to cause “small-vessel” ischemia, which, over extended periods of time,
results in myocyte death and a repair process characterized by
replacement myocardial fibrosis
Histopathology – Disarray and small
vessel ischemia
▪ Volume of the interstitial (matrix) collagen compartment is greatly
expanded
▪ Combination of
disorganized cellular architecture, microvascular ischemia, and
replacement fibrosis
predisposes to disordered patterns and
increased dispersion of electrical depolarization and repolarization
▪ This in turn serves as an unstable electrophysiologic substrate
predisposing to reentry ventricular tachyarrhythmias and
a likely mechanism for SCD
Pathophysiology
Dynamic
LVOTO
Diastolic
Dysfunction
Small vessel
ischemia
Pathophysiology
▪ HCM is predominantly a disease of mechanical obstruction,
in which the majority of patients (70%) have the propensity to
develop impedance to LV outflow
▪ Dynamic gradients of 30 mm Hg or more, either at rest or with
physiologic exercise
▪ Long-standing outflow obstruction is the most relevant clinical
determinant of HCM-related progressive heart failure symptoms
▪ Alternatively, only a weak relationship has been demonstrated
between outflow obstruction and SCD risk
Pathophysiology – key to figure
Dynamic LV outflow obstruction. A to E, Subaortic obstruction due to systolic anterior motion (SAM) of the mitral
valve.
Echocardiographic apical four-chamber view at (A) end-diastole and at (B) end-systole as the anterior mitral
leaflet bends acutely with septal contact (arrow).
C, Continuous-wave (CW) Doppler interrogation of the LV outflow tract showing the typical late-peaking
waveform, with velocity of 4.2 m/s in midsystole, estimating a gradient of 70 mm Hg (arrow).
D and E, transesophageal echo plane showing incomplete mitral leaflet coaptation during SAM (arrow),
producing posteriorly directed mitral regurgitation (MR) jet.
F to I, Midventricular obstruction.
Echocardiographic apical four-chamber view at end-diastole (F) and end-systole, showing hypertrophied
anterolateral papillary muscle appearing to insert directly into anterior mitral leaflet, creating midventricular
muscular obstruction (G) (arrow).
H, CW Doppler interrogation of LV outflow tract showing late-peaking waveform with peak velocity of 3.3 m/s,
estimating a gradient of 45 mm Hg (arrow).
I, LV ventriculogram showing hourglass contour of chamber associated with midventricular obstruction (arrow)
Pathophysiology – Dynamic LVOTO and SAM
▪ Dynamic subaortic obstruction in HCM is usually produced by
systolic anterior motion (SAM) of the mitral valve
Elongated leaflets bend sharply,
contacting the ventricular septum in mid systole by means of a drag
effect,
i.e., pushing force of flow directly on the leaflets,
producing markedly increased intraventricular systolic pressures
▪ Over time raised intraventricular pressures increase the myocardial
wall stress and oxygen demand
Pathophysiology – Dynamic nature of
LVOTO
▪ Subaortic gradients (and associated systolic ejection murmurs) can be
spontaneously variable
▪ Reduced, or abolished by interventions –
those which decrease myocardial contractility
(e.g., beta-adrenergic blocking drugs) or
those which increase ventricular volume or arterial pressure
(e.g., squatting, isometric handgrip, phenylephrine)
▪ Augmented, by maneuvers –
those by which LV contractility is increased
(as with premature ventricular contractions, infusion of isoproterenol or
dobutamine, or physiologic exercise) or
those by which arterial pressure or ventricular volume is reduced
(e.g.,Valsalva maneuver, administration of nitroglycerin or amyl nitrite, blood
loss, dehydration)
Pathophysiology – Mitral abnormalities
▪ The magnitude of the outflow gradient is directly related to the
duration of mitral valve–septal contact
with posteriorly directed mitral regurgitation a secondary consequence
▪ A central or anteriorly directed mitral regurgitation jet usually
suggests an intrinsic mitral valve abnormality (e.g., with myxomatous
degeneration)
▪ A congenital anomaly of the anterolateral papillary muscle insertion
directly into the anterior leaflet (without interposition of chordae
tendineae) can produce
mid cavity muscular obstruction and is identifiable by both
echocardiography and CMR
Pathophysiology –
Latent LVOTO as opposed to Manifest LVOTO
▪ Provocable physiologic gradients are associated with
severe heart failure symptoms in some patients
(who become candidates for septal reduction therapy)
▪ In asymptomatic or mildly symptomatic HCM patients,
such latent gradients can be predictive of progression in heart failure
symptoms over time
▪ Provocable gradients can be blunted by inhibition of sympathetic
stimulation with beta blockers
Nonobstructive Hypertrophic
Cardiomyopathy
▪ In ≈ 10% patients with the nonobstructive form of HCM
(gradient < 30 mm Hg at rest and with physiologic exercise)
progressive heart failure to NYHA class III or IV occurs
▪ At this point they may become candidates for heart transplant, with
(or without) systolic dysfunction
▪ Nonobstructive HCM patients are 5 x less likely to develop NYHA
class III or IV symptoms than are patients with obstruction
Pathophysiology - Diastolic Dysfunction
▪ Evidence of impaired LV relaxation and filling is present in most HCM patients
▪ Probably contributes to symptoms of exertional dyspnea, although unrelated to the severity
of LV hypertrophy
▪ In particular, diastolic dysfunction is the likely cause of limiting symptoms in patients with
nonobstructive disease;
it represents the mechanism by which progressive heart failure develops in the presence of
preserved LV systolic function,
which is occasionally refractory to medical management and ultimately requires heart
transplant
▪ The most commonly observed pattern is delayed relaxation,
characterized by
prolonged rapid filling phase
decreased rate and volume of LV filling and
(in sinus rhythm) a compensatory increase in the contribution of atrial systole to overall
filling
Pathophysiology - Microvascular
Dysfunction
▪ Myocardial ischemia occurs due to microvascular dysfunction
▪ Promoting adverse LV remodeling and ultimately affecting the
clinical course
▪ Best detected by PET scan; yet to be incorporated into practice
guidelines
▪ Marked reduction in coronary reserve demonstrated by PET
early in the clinical course is reportedly a determinant of the
prognosis
Clinical Features
Symptoms
▪ Heart failure may develop at any age, with functional limitation
predominantly resulting from exertional dyspnea and fatigue
▪ Orthopnea or paroxysmal nocturnal dyspnea occasionally occurs in
advanced stages
▪ Disability can be exacerbated by
large meals or
ingestion of alcohol and
is frequently accompanied by chest pain, either typical or atypical of
angina, possibly related to structural microvasculature abnormalities
▪ Impaired consciousness with syncope or near-syncope and light-
headedness explained by arrhythmias or outflow obstruction
▪ Palpitations – due to SVT(including AF) or ventricular ectopy
Clinical Features
▪ Pulse - brisk or sharp upstroke that literally taps against
the palpating fingers
Bisferiens pulse contour (Spike and dome) may be felt
▪ JVP – “a” prominent – due to stiff RV myocardium and
forceful atrial contraction
when extremely prominent, think about RVOTO
Mean JVP normal unless CCF in end-stage disease
More on Pulse
▪ The classic pulse contour in HC consists of
a rapid upstroke,
followed by a midsystolic dip or collapse,
▪ Which in turn is followed by
a second late systolic wave
▪ The first peak is the equivalent of a sharp percussion wave, and
the second peak represents a prominent, delayed tidal wave
▪ The mechanism for the secondary wave is unclear;
the second peak occurs at the time when LV ejection is minimal, and
it probably is a reflected wave or rebound phenomenon
▪ The magnitude of the midsystolic dip correlates with the size of the
LV-aortic pressure gradient
▪ The typical bifid pulse contour in HCM has been
called the "spike and dome" or "pointed finger" pulse
More on pulse
▪ PostVPC pulse
may be
diminutive -
reflecting the
decreased
arterial pulse
pressure that
may be seen post
VPC –
Brockenborough
Braunwald
Morrow
Phenomenon
Clinical Features
▪ Apex –
The hallmark of precordial
examination is the ubiquitous
presence of a loud and typically
palpable S4 (presystolic distension
of the LV) accompanied by
a late systolic apical heave
▪ The combined presence of
a palpable S4,
(normal) early systolic impulse and
a late systolic bulge
may produce a tirifid contour to the
apex impulse;
this has been called the “triple
ripple” or “triple cadence”
Clinical Features
▪ Typical LV impulse in HCM is
sustained, forceful, and
palpable in more than one
interspace
▪ Systolic thrill is often
palpable and is directly
related to the presence and
severity of a resting gradient
▪ Thrill is maximal at LLSB or
apex
Clinical Features
▪ Abnormal parasternal impulse or heave may suggest RVOTO
▪ But may be normally felt in thin individuals or in patients with
asymmetric septal hypertrophy and does not always mean RVOTO
Clinical Features - Auscultation
▪ S1 - normal or accentuated in HCM
An increased intensity of S1 is probably related to the abnormally rapid rate of rise
of LV pressure during isovolumic systole
▪ S2 - Splitting of S2 may be abnormal in HCM,
particularly when there is a LVOTO
Left ventricular ejection is usually prolonged, and as a result S2 is often narrowly
split with inspiration
When significant obstruction is present,
A2 may be delayed beyond P2 and reversed or paradoxical splitting of S2 appears
▪ S3 -When present, does not indicate poor LV function,
but may reflect the alteration in left ventricular diastolic compliance.
An S3 is more likely to be present when there is associated MR
▪ S4 - commonly heard or palpated in obstructive or nonobstructive HC
unlikely HCM if no S4!
Clinical Features
▪ Murmur :
Patients with LVOTO have a
medium-pitch ,
late peaking (proportional to severity of obstruction),
Systolic ejection murmur, at the
lower left sternal border and apex
that varies in intensity with the magnitude of the subaortic gradient;
Beginning after s1, Ending before A2
It increases with theValsalva maneuver, during or immediately after exercise, or on standing
Such variability, together with the characteristic lack of radiation of the murmur to the neck, aids
in differentiating dynamic subaortic obstruction from fixed aortic stenosis
Most HCM patients with loud murmurs of at least grade 3/6 are likely to have
LV outflow gradients of more than 30 mm Hg;
▪ Murmur may seem longer at apex than the base if there is associated MR
▪ If murmur is loud at base, suspect co-existent RVOTO
ECG
▪ Abnormal in about 90% of probands and in about 75% of asymptomatic
relatives
▪ Wide variety of abnormal patterns may be seen
▪ Some of which are distinctly abnormal or even bizarre, but none are
pathognomonic of the disease or can be used alone to predict the outcome
▪ Most common abnormalities include
increased voltages consistent with LVH
ST-T changes (including markedT-wave inversion in the lateral precordial
leads),
LAE
Deep and narrow Q waves, and
Diminished R waves in the lateral precordial leads
Clinical Course and Natural
History
Clinical Course and Natural History
▪ HCM has potential for identification, clinical presentation, and
progression during all phases of life, from infancy to advanced age
▪ HCM is frequently compatible with normal life expectancy, often
without functional disability or disease-related events, nor the
necessity for major therapeutic interventions
▪ This underscores the principle that mortality in most HCM patients is
ultimately attributable to non-HCM and non-cardiovascular causes
▪ Some subgroups are at risk for important disease complications and
premature death
Clinical Course and Natural History
▪ Patients may be situated in, or progress to, specific adverse pathways, with the
natural history of their disease punctuated by events that may be the target of
specific treatment strategies:
1) risk of SD;
2) progressive HF with exertional dyspnea and functional limitation (with or
without chest pain);
3) paroxysmal or chronicAF
▪ Among these progressive heart failure now predominates;
arrhythmic SD events are the least common
▪ Approximately 40% of patients referred to tertiary HCM centers will experience
one of these end-points,
although the risk of incurring two of these complications in any single patient is
uncommon (<10%).
Clinical Course and Natural History –
Effect of Age
▪ Patient age itself is an important determinant of HCM-related event
rates and clinical course
▪ SCD events are most common in young patients <30 years of age,
but paradoxically,
SD is very uncommon in patients >60 years, even among those with
acknowledged risk factors
▪ In this age group, HCM appears to have a more benign expression
and a lower risk status by virtue of decades of stability and survival
▪ Both sexes have similar SD risk, although women are diagnosed later
in life, often with more advanced HF symptoms
Clinical Course and Natural History
▪ The unpredictability of the HCM disease process requires regular
(usually annual) surveillance to monitor potential clinical and/or risk
profile changes
Heart Failure Sudden Cardiac Death AF
Some element of heart failure with exertional
dyspnea is common in HCM
May occur at a wide range of ages, most
commonly <30 years.Very uncommon after
60 years
Most common disease complication and sustained
arrhythmia
Occurs in 25% patients, 4x more common than
general population,
more than 10 years earlier onset than general
population
Determinants of HF are-
LVOTO if obstructive
Diastolic Dysfunction if non-obstructive
SCD may be first presentation of disease
May be asymptomatic/ silent
May not be well tolerated when associated
with LV outflow tract obstruction/ diastolic
dysfunction
May be paroxysmal or permanent
2-3% develop end stage failure due to combination
of microvasc ischemia and fibrosis – associated with
adverse LV remodeling, chamber thinning and
dilatation
Risk factor for this type of failure- is family history of
end stage failure due to HCM
Leads to need for transplant at relatively young age
May be predicted by Non-Obstr HCM with low to
normal EF and substantial LGE
Most SCDs occur during sedentary or modest
physical activities, but not uncommonly associated
with vigorous exertion;
HCM is the most common cardiovascular cause of
SCD in competitive athletes, including high school,
college, and postgraduate participants
SCD more common in patients with certain markers
(see risk stratification)
Risk for AF –
increasing age,
greater left atrial volume and/or
impaired left atrial EF
Atrial Fibrillation
▪ Susceptibility to AF is linked to
increasing age,
greater left atrial volume and/or
impaired left atrial EF
▪ AF onset is at 55 years on average, ≥10 years earlier than in the
general population, but is rare in children and young adults
▪ AF may not be well tolerated when associated with LV outflow tract
obstruction, and not uncommonly occurs in patients with systolic
dysfunction and advanced HF (end-stage)
▪ AF and left atrial remodeling are inter-related and independent
predictors of adverse outcome in HCM
SCD Risk Stratification
Risk Stratification – SCD Risk
▪ SCD is confined to a relatively small subset of patients within the broad
disease spectrum,
most commonly young people through mid-life
▪ SCD usually occurs without premonitory warning signs or symptoms, but
not uncommonly is associated with vigorous physical activity
▪ Mechanism of SCD in HCM is primary ventricular tachycardia and/or
ventricular fibrillation
▪ Targeting candidates for prophylactic ICD therapy can be complex, due to
the unpredictability of the arrhythmogenic substrate,
absence of a single dominant risk marker, and
the impracticability of prospective randomized trials
Novel Marker
Risk Stratification - Algorithm
▪ The HCM risk stratification algorithm is effective in identifying
patients who will benefit from ICD
- Relies on 5 major risk markers (novel marker now added)
▪ Risk prediction model used in adult HCM patients is not easily
translated to children,
although a marked degree of LVH or syncope have proved the most
reliable markers in this age group
▪ LV apical aneurysms with regional scarring or end-stage with LV
systolic dysfunction) may justify consideration for primary prevention
ICDs
Risk Stratification – Gray Zone
Modifiers
▪ Disease features, such as
marked LV outflow obstruction at rest or diffuse LVH with wall
thickness approaching 30 mm can serve as “gray zone modifiers” or
arbitrators for ICD decision making
on a case-by-case basis when assessment is ambiguous using
conventional markers
▪ Engagement in intense competitive sports is a modifiable SD risk
factor, even in the absence of other markers, leading to
disqualification to reduce risk, as recommended by Bethesda
Conference #36
Risk Stratification – The problem with
conventional risk markers
▪ The absence of all risk factors does not convey immunity to SCD in
HCM
▪ Present risk model used in HCM is incomplete
▪ Infrequently, SCD events occur in diagnosed patients judged to be at
low risk and ineligible for ICDs on the basis of the absence of
conventional markers (approximately 0.5%/year)
Risk Stratification – LGE on CMR
▪ Attempts to improve risk prediction - led to identification of a
Novel primary risk predictor (and arbitrator) in HCM
▪ SD risk is proportional to the amount of LGE, with ≥ 15% (of LV mass)
equivalent to a 2-fold risk compared to patients without LGE
▪ Extensive LGE is a marker of SD risk, even among patients otherwise
considered at low risk and who do not have established markers, but
nevertheless can benefit from primary prevention ICD therapy
▪ Also prospectively identifies HCM patients who will develop adverse LV
remodeling and progress to the end stage with systolic dysfunction
▪ Treatment with aldosterone inhibitors does not alter development or
progression of myocardial fibrosis in HCM
Impact of Implantable
Cardioverter –Defibrillator
in prevention of SCD
Impact of ICD In prevention of SCD
▪ No evidence that drugs administered prophylactically (e.g., beta-blockers
or verapamil) prevent SCD in HCM
▪ ICD is the only treatment strategy shown to prolong life in HCM due to its
potential to reliably interrupt life threatening ventricular tachyarrhythmias,
and prevent sudden and unexpected death
▪ ICD is effective despite substantial LVH, outflow obstruction, diastolic
dysfunction, and microvascular ischemia
▪ Appropriate termination of ventricular tachycardia and/or ventricular
fibrillation -4%/year for primary prevention (cumulative, 25% over 5 years),
largely in asymptomatic patients, and
12%/year for secondary prevention after cardiac arrest
- Multicenter registry involving more than 500 HCM patients
Impact of ICD In prevention of SCD
▪ Unpredictability of the electrical myocardial substrate is substantial,
and relevant to the principle of ICD therapy
▪ Extensive variability in the time intervals between recognition of
high-risk status at implantation and the initial appropriate ICD
intervention, with delays of 5 to 10 years or even longer reported
▪ ICD shocks occur randomly during the day without defined circadian
periodicity, often unassociated with physical activity and sometimes
during sleep
▪ There is a relationship between patient age and susceptibility to ICD
interventions: uncommon after 60 years of age, but on average occur
at about 40 years of age on average
Impact of ICD In prevention of SCD
▪ Single-chamber ICDs are most appropriate for young high-risk
patients, whereas
Dual-chamber ICDs are largely reserved for those with paroxysmal AF
and/or LV outflow obstruction
▪ Subcutaneous defibrillators are untested in HCM, caution is
warranted in considering implantation in patients with this disease
Heart Failure in HCM
Heart Failure
▪ HF occurs in approximately 50% of HCM patients
▪ Expressed clinically as exertional dyspnea due to a variety of
mechanisms, in the presence of preserved systolic function
▪ However, it is rarely associated with clinical manifestations
characteristic of ischemic and non-ischemic cardiomyopathies (e.g.,
volume overload)
▪ Such symptoms can be accompanied by chest pain (atypical or
typical of atherosclerotic CAD), which are likely related to
microvascular ischemia
▪ Chest pain may also present in HCM- anecdotal evidence favors
verapamil for achieving symptom benefit
Heart Failure - In Obstructive HCM
(HOCM)
▪ Most important cause of limiting HF symptoms in HCM is
mechanical impedance to LV outflow, usually due to SAM
Gradients of ≥30 mm Hg an independent determinant of progressive
HF symptoms and HF or stroke death
▪ Outflow gradients are dynamic with spontaneous variability
influenced by altered myocardial contractility and loading conditions
Heart Failure – Latent Obstruction
(Provocable HOCM)
▪ For patients without obstruction at rest, exercise (stress) echocardiography
is the preferred method for provoking physiological gradients
▪ Exercise induced outflow gradients (≥30 mm Hg) identify patients at
greater risk for future symptomatic progression, and thereby the possibility
of septal reduction intervention
▪ Non-physiological provocation with pharmacological agents
(i.e. amyl nitrite or isoproterenol) or theValsalva maneuver are alternative
methods for provoking subaortic gradients
- although these maneuvers may not reliably mimic the hemodynamics
responsible for symptoms during daily physical activities
▪ Cath may resolve ambiguity in presence or magnitude of gradient
▪ HF symptoms may also be due to diastolic dysfunction or AF
Heart Failure With Obstruction -
Medical Treatment
▪ In HCM patients with outflow tract obstruction who develop limiting HF symptoms,
the first option to control symptoms is pharmacological therapy with beta-
adrenergic blockers
▪ Verapamil can also be considered, caution should be exercised in its administration
to patients with marked resting gradients and advanced HF
▪ LV filling can be improved by these drugs, although basal gradients are not usually
mitigated significantly
▪ Beta-blockers are most effective in blunting gradients provoked with exercise
Disopyramide is the most reliable drug for reducing outflow gradients at rest in
HCM, although long-term use may be limited by parasympathetic side effects
▪ Current pharmacological therapy for HCM does not alter outcome or phenotypic
expression
Heart Failure With Obstruction -
Invasive Treatment
▪ Because of the duration of experience, documented long-term results, and
safety data
Surgical septal myectomy is considered the preferred treatment for patients
with advanced limiting HF symptoms due to outflow gradients of ≥ 50 mm
Hg (at rest and/or with physiologic [exercise] provocation)
who are refractory to maximal medical management
▪ Long-term studies over 40 years in HCM have shown that
surgical myectomy reliably reverses HF symptoms by permanently
abolishing obstruction,
restoring normal LV pressures, and reducing or abolishing mitral
regurgitation
▪ Operative mortality for septal myectomy is now <1%
(A) Patients with outflow gradients $30
mm Hg at rest are at greater risk for HCM-
related progressive heart failure, or heart
failure or stroke death.
(B) Abolition of LV outflow gradient by
surgical septal myectomy is associated
with
long-term survival (with respect to all-
cause mortality) similar to expected in
age- and sex-matched general U.S.
population, and exceeding
that in a comparison group of
symptomatic non operated patients with
obstruction.
(C) Most HCM patients (i.e., 70%) have LV
outflow obstruction present at rest or
with physiologic exercise. Some patients
with only exercise-provoked
gradients develop marked heart failure
symptoms and also become candidates
for septal reduction.
(D) Different morphologic consequences
of alcohol septal ablation (left) and
surgical septal myectomy (right) shown
with post-contrast
CMR images. Alcohol ablation results in a
bright, dense transmural scar (arrow),
whereas intramyocardial scarring is
absent after myectomy.
NYHA=NewYork Heart Association;
RR=relative risk;
Heart Failure With Obstruction -
Invasive Treatment
▪ Percutaneous alcohol septal ablation has become an alternative to
surgical myectomy in selected patients
▪ Factors that influence the decision to proceed with alcohol ablation
include
advanced age,
significant comorbidity that increases surgical risk, or
the strong desire of patients to avoid open-heart surgery
Heart Failure With Obstruction -
Invasive Treatment
▪ Alcohol ablation reduces LV outflow gradient (and symptoms) by
creating a large basal ventricular septal infarction
▪ Approx. 10% of the LV wall, 30% of the septum
▪ Accomplished by infusion of absolute alcohol into a major septal
perforator coronary artery
▪ Ablation data derived from some retrospective studies show short
term survival (with respect to all-cause mortality) to be similar to
myectomy
▪ Procedural mortality, low in experienced myectomy programs is
similar for both interventions
Septal Myomectomy PTSMA
Provides better symptom and gradient
improvement in patients <65 years of age
Provides the opportunity to address
complex LV morphologic abnormalities
that may contribute to outflow
obstruction
-papillary muscle anomalies;
-aberrant intraventricular muscle
bundles;
-massive septal hypertrophy;
-intrinsic mitral valve disease
(requiring repair or replacement); and
-associatedCAD that requires bypass
grafting
Associated with the likelihood of
permanent pacemaker implantation for
CHB
(in 10% to 15% of patients) and
repeat procedures due to persistent
obstruction (in 12% of patients)
Incompletely defined risk for life-
threatening ventricular tachyarrhythmias
and SCD due to the potentially
arrhythmogenic septal scar
Heart Failure Without Obstruction
▪ About one-third of HCM patients have the nonobstructive form with
absent or small (<30 mm Hg) outflow gradients at rest and with
physiological exercise
▪ Majority of nonobstructive HCM patients experience a relatively
stable clinical course without significant symptoms, high-risk profile,
or the necessity of major treatment options
▪ Only a minority of nonobstructive patients will experience
progressive, limiting HF symptoms predominantly due to diastolic
dysfunction
Heart Failure Without Obstruction
▪ Medical treatment is limited to atrioventricular nodal blocking agents
(and possibly low dose diuretics)
that may exert a beneficial effect on diastolic function by increasing
myocardial blood flow and LV filling time,
but often without long-term efficacy
▪ The clinical severity of diastolic dysfunction in HCM is difficult to
assess directly because noninvasive measures of diastolic function do
not accurately reflect LV filling pressures
Heart Failure Without Obstruction
▪ Most advanced form of HF within the HCM spectrum is the end-stage
(or “burned out”) phase occurring in a distinctive subset of patients
with nonobstructive HCM (prevalence, 3%)
▪ HF progression associated with conversion to systolic dysfunction
(ejection fraction <50%) and adverse LV remodeling with extensive
myocardial scarring, often resulting in regression of hypertrophy
and/or cavity enlargement
▪ Initial treatment considerations are beta-blockers, diuretics, and
afterload reducing agents, as well as prophylactic ICDs
Heart Failure Without Obstruction
▪ The clinical course of end-stage patients is variable and unpredictable, but
HF symptoms may progress rapidly in some, suggesting the prudence of
early listing for transplantation
▪ This remains the only definitive therapeutic option for this relatively young
patient group (average age, 43 years)
▪ Post transplantation survival (75% at 5 years; 60% at 10 years) is similar or
possibly more favorable than that for patients with other cardiac diseases
▪ The only known predictor of end-stage HCM is a family history of end-stage
disease
▪ A small subset of nonobstructive HCM patients with preserved systolic
function who develop refractory HF symptoms
due to diastolic dysfunction can also become heart transplantation
candidates
Atrial Fibrillation
Atrial Fibrillation
▪ Rarely the initial manifestation of HCM,
AF (or atrial flutter) represents the most common disease
complication and sustained arrhythmia
▪ Occurring in 25% of patients, which is 4-fold more common than in
the general population
▪ Asymptomatic and clinically silent periods of this arrhythmia are not
uncommonly detected by random ambulatory monitoring
▪ Most common are paroxysmal episodes, although AF may become
permanent over time in a minority of patients
Atrial Fibrillation
▪ Susceptibility to AF is linked to
increasing age,
greater left atrial volume and/or
impaired left atrial EF
▪ AF onset is at 55 years on average, ≥10 years earlier than in the
general population, but is rare in children and young adults
▪ AF may not be well tolerated when associated with LV outflow tract
obstruction, and not uncommonly occurs in patients with systolic
dysfunction and advanced HF (end-stage)
▪ AF and left atrial remodeling are inter-related and independent
predictors of adverse outcome in HCM
Atrial Fibrillation
▪ Pattern of occurrence and the number of symptomatic AF episodes
are unpredictable and vary considerably among individual patients
▪ However, whether infrequent AF reliably predicts unfavorable long-
term consequences is unresolved
▪ Patients with AF usually experience no or mild symptoms while in
sinus rhythm, unless associated LV outflow obstruction is responsible
for exertional dyspnea
▪ No clinically relevant relationship has been reported between AF and
SD
Management of AF
▪ Relatively infrequent AF episodes are effectively reversed by
electrical or pharmacological cardioversion (or resolve
spontaneously), but occasionally can trigger acute clinical
decompensation
▪ Low-dose amiodarone is generally regarded as the most effective
agent for reducing AF recurrences
▪ Alternative antiarrhythmic drug therapy includes sotalol or possibly
disopyramide in the presence of obstruction
Management of AF
▪ HCM patients with AF have an increased risk of thromboembolic stroke,
0.8%/year
▪ Because of the potential for clot formation in the enlarged left atrium,
stroke prevention with prophylactic anticoagulation with warfarin or newer
oral agents (i.e., dabigatran or rivaroxaban), is tailored to individual patients
after
consideration for
lifestyle modifications,
hemorrhagic risk, and
expectation for compliance
▪ An aggressive posture with a low threshold for anticoagulation has been
recommended for all patients with symptomaticAF episodes
▪ CHADS score is not specifically validated or useful in this disease
Management of AF
▪ When quality of life is significantly affected by frequent symptomatic
AF episodes in drug-refractory patients,
the option of catheter-based ablation (radiofrequency or
cryoablation) has proved promising
▪ Although relatively early in its development, catheter ablation
provides the potential for prolonged restoration of sinus rhythm
▪ Current data in HCM suggest that two-thirds of patients maintain
sinus rhythm for 3 years, although a substantial proportion may
require ≥2 procedures, with most continuing on antiarrhythmic drugs
and anticoagulation
Thank you

Hypertrophic cardiomyopathy

  • 1.
  • 2.
    Discussed here 1. Definition 2.Genetics of HCM and screening in family members 1. Outcome of Genotype positive Phenotype negative patients 3. Phenotype – Gross morphology on imaging and Histopathology 4. Clinical Features 5. Natural Course and Outcomes 1. HF 1. With obstruction 2. Without obstruction 2. SCD 1. Risk Stratification 2. Prevention 3. AF
  • 3.
  • 4.
    Definition ▪ HCM ischaracterized by a thickened but nondilated left ventricle in the absence of another cardiac or systemic condition (e.g., aortic valve stenosis, systemic hypertension, and some expressions of physiologic athlete’s heart) capable of producing the magnitude of left ventricular (LV) hypertrophy evident
  • 5.
    Epidemiology ▪ Regarded asthe most common inherited cardiac disease ▪ Prevalence of HCM in the general population at least 1 in 500 ▪ Most affected individuals are not diagnosed clinically (Tip of the iceberg)
  • 6.
  • 7.
    Genetics ▪ May beinherited – – Autosomal dominant Mendelian pattern, – variable expressivity, and – age-related (and incomplete) penetrance – Offspring of affected individual have a 50% probability of inheriting a mutation and risk for the disease ▪ Sporadic cases may be due to de novo mutations (absent in parents)
  • 8.
    Genetics ▪ HCM iscaused by mutations in 11 or more genes ▪ Encoding thick and thin contractile myofilament protein components of the sarcomere, or adjacent Z-disc, which are expressed primarily or exclusively in the heart
  • 9.
    Genetics ▪ 70% ofsuccessfully genotyped patients are found to have mutations in the 2 most common genes, Beta-myosin heavy chain (BMHC) and Myosin-binding protein C (MBPC) ▪ Whereas several other genes are much less common, accounting for <5% of patients
  • 11.
    *Patients without LVoutflow tract gradient (<30 mm Hg) at rest should also undergo stress (exercise) echocardiography. On initial evaluation, all HCM patients undergo sudden death risk stratification †Generally regarded as $30 mm Hg outflow gradient, but $50 mm Hg when septal reduction intervention is considered (i.e., septal myectomy; alcohol ablation). ‡No or trivial (<30 mm Hg) outflow gradient at rest and with exercise. §No data on benefit of pharmacologic therapy, although beta-blockers are often administered prophylactically in clinical practice. Obstructive: usually, beta-blockers or possibly calcium channel antagonists (verapamil), or disopyramide. Nonobstructive: beta-blockers, calcium channel antagonists, and possibly diuretics administered judiciously. ¶Screening targets relatives without clinical evidence of HCM phenotype. #Could differentiate hypertrophic cardiomyopathy (HCM) from other causes of left ventricular hypertrophy (LVH), including patients with history of systemic hypertension, or highly trained athletes
  • 12.
    Genetic Testing Results ▪Recent clinical genetic studies have shown that using single nucleotide sarcomere mutations to judge prognosis or predict outcome is unreliable for individual patients ▪ Genetic testing in HCM does not influence treatment strategies and specifically does not identify high-risk patients who may benefit from ICD therapy ▪ Most compelling reason to consider genetic testing is to identify family members affected by HCM but without LVH, who may be at risk for developing this disease
  • 13.
    ▪ Genetic testingscreening strategy requires successful identification of a pathogenic sarcomere mutation in a clinically expressed (positive phenotype) HCM proband ▪ However, likelihood that a pathogenic mutation will be found in the proband is only 35% overall (somewhat higher with positive family history) ▪ When a pathogenic mutation is identified in a family member, all other relatives can be screened; those without the genetic abnormality found in the proband have a very low risk for developing the disease Clinical utility of Genetic testing
  • 14.
    HCM Genotype WithoutLVH ▪ Relatives identified with pathogenic mutations but without evidence of the disease phenotype are designated as genotype positive-phenotype negative ▪ Such individuals demonstrate the principle that any absolute LV wall thickness is compatible with HCM ▪ The precise risk of eventually developing LVH in this group remains uncertain, largely due to lack of data ▪ Although phenotypic conversion is probably common, it is also possible that some relatives may never develop hypertrophy (i.e., incomplete penetrance)
  • 15.
    HCM Genotype WithoutLVH – Subclinical ▪ ECG abnormalities and subclinical diastolic dysfunction can be noninvasive markers for future development of LVH in gene carriers ▪ Despite the absence of LVH, gene carriers may show various LV morphologic abnormalities, including fibrosis imaged by contrast CMR, collagen biomarkers, mitral leaflet elongation, and blood-filled crypts ▪ These markers suggest affected status ▪ Thus the importance of formal genotyping to achieve a definitive HCM diagnosis and close follow-up for detecting development of clinical disease with LVH
  • 16.
    HCM Genotype WithoutLVH – SCD Risk ▪ No compelling evidence that genetically affected relatives without LVH are at increased risk of SCD ▪ Bethesda Conference #36 consensus recommendations do not exclude genotype positive phenotype negative individuals from competitive sports
  • 17.
    Defining Pathogenicity ▪ Mutationsare assigned pathogenic (or likely pathogenic) status on a probabilistic basis—not necessarily as a definitive yes or no ▪ Using the preponderance of evidence available from a variety of criteria, including previous reports that a given mutation has caused HCM in other families ▪ If the genetic test in the proband is negative for a sarcomere mutation, or alternatively a novel DNA sequence variant for which pathogenicity is unresolved (i.e., “variant of unknown significance”) is reported, then this testing strategy cannot be applied to determine whether other relatives are genetically affected
  • 18.
    Differential Diagnosis ▪ Genetictesting has the unique potential to clarify diagnosis in some patients with metabolic storage diseases Like PRKAG2, Fabry disease, LAMP2 cardiomyopathy (Danon disease), which differ from sarcomeric HCM with respect to pathophysiology, natural history and management, but share similar clinical expression and the pattern of LVH
  • 19.
    Clinical Family Screening ▪Screening for HCM is universally recommended for families ▪ First option for assessment of family members is usually clinical screening with imaging tests (echocardiography and CMR) and ECG ▪ Usually initiated during adolescence, the time at which the development of LVH most often occurs in HCM ▪ Echocardiographic screening most often begins at 12 years of age, continuing thereafter at 12- to 18-month intervals, until full physical maturity is achieved between 18 and 20 years of age ▪ Because of rare possibility of adult onset hypertrophy and phenotypic conversion later in life between 20 and 50 years of age, further serial imaging at approximately 5-year intervals may be appropriate ▪ Consider screening with CMR, particularly if the 12-lead ECG is abnormal, because in some patients, segmental areas of LVH may be identifiable only with high- resolution tomographicCMR
  • 21.
    Morphologic findings andthe role of Imaging
  • 22.
    Phenotype and LeftVentricular Hypertrophy ▪ Diverse patterns of asymmetric LV hypertrophy are characteristic of HCM even in related patients (although identical twins share the same morphology) ▪ Typically, Some areas more hypertrophic than others, sharp demarcation at the point of transition in thickness, or there are noncontiguous patterns of segmental hypertrophy as well as extension into the right ventricular (RV) wall ▪ No single morphologic form of HCM is considered “classic” or typical
  • 23.
    Phenotype and LeftVentricular Hypertrophy ▪ Hypertrophy is frequently extensive, involving the ventricular septum and LV free wall ▪ In a sizeable minority, wall thickening is limited to segmental areas, including the most distal portion of the LV chamber (i.e., apical HCM); - this is a distinctive morphologic form associated with markedT- wave negativity on ECG, which is part of the HCM clinical spectrum caused by sarcomere mutations ▪ In 20% of patients, the LV mass calculated by CMR may be normal or near-normal because of hypertrophy localized to small areas of the left ventricle
  • 24.
    Phenotype and LeftVentricular Hypertrophy ▪ Usually, the HCM phenotype remains incomplete until adolescence ▪ Accelerated growth and maturation are accompanied by spontaneous (often striking) increases in LV wall thickness and a more extensive distribution of hypertrophy ▪ Occasionally, these structural changes may not occur until midlife or even later (late-onset adult LV hypertrophy) although not usually associated with the development of symptoms or arrhythmic events
  • 27.
    Clinical Diagnosis andHCM Phenotype: Contemporary Imaging ▪ HCM with LVH – Clinical diagnosis of HCM requires confirmation with cardiac imaging of phenotypic expression, that is, an unexplained increase in LV wall thickness (≥ 15 mm in adults) associated with a nondilated LV chamber – Lesser degrees of wall thickness (i.e., 13 to 14 mm) can also be diagnostic of HCM, particularly when identified in family members – CMR provides more precise LV wall thickness measurements and improved risk stratification by imaging myocardial scars (i.e., late gadolinium enhancement) – CMR may be the sole method for reliably confirming the HCM phenotype and diagnosis, when increased wall thickness is confined to specific areas of the LV chamber
  • 28.
    Clinical Diagnosis andHCM Phenotype: Contemporary Imaging ▪ CMR provides more complete interrogation of HCM morphology including right ventricular hypertrophy, high-risk LV apical aneurysms with regional scarring, and abnormalities that may contribute to subaortic obstruction (i.e., elongated mitral valves, aberrant papillary muscles, and accessory muscle bundles), anomalous insertion of anterolateral papillary muscle directly into the mitral valve, producing mid-cavitary muscular obstruction ▪ CMR also may allow differentiation of apical HCM from LV noncompaction
  • 29.
    Clinical Diagnosis andHCM Phenotype: Contemporary Imaging ▪ Wide range in maximal LV wall thicknesses up to >50 mm are consistent with HCM ▪ Important minority of patients (10% to 20%) show relatively mild degrees of LVH evident in localized segments of the chamber and with normal CMR- calculated LV mass ▪ This underscores the principle that increased LV mass is not a prerequisite for a HCM diagnosis ▪ Any asymmetric pattern of LVH can be observed in phenotypically expressed HCM, with maximum wall thickening found at virtually any location most commonly at the confluence of the anterior septum and contiguous anterior free wall
  • 30.
    Clinical Diagnosis andHCM Phenotype: Contemporary Imaging ▪ Specific patterns of LVH do not predict outcome, although mild localized wall thickening is generally associated with lower risk, independent of its location ▪ Absence of hyperdynamic systolic function, systolic anterior motion of the mitral valve, or myocardial scarring on CMR does not exclude a HCM diagnosis ▪ Extrinsic factors, such as obesity, may influence primary phenotypic expression of HCM (including LV mass) and HF symptoms
  • 31.
    (A) Asymmetric hypertrophyof ventricular septum (VS), sparing the left ventricular (LV) free wall. (B) Focal hypertrophy sharply confined to basal anterior septum (arrows). (C)Thin-walled apical aneurysm (arrowheads) with muscular mid-ventricular apposition of hypertrophied septum and LV wall (asterisks), and distinct proximal (P) and distal (D) chambers. (D) Extensive, transmural late gadolinium enhancement involving ventricular septum (arrows). (E) Massive thickening (i.e., 33 mm) confined largely to anterolateral LV wall, greatly underestimated by echocardiography (arrowheads). (F) Genotype positive-phenotype negative HCM family member with 3 myocardial crypts penetrating thickness of basal inferior wall (arrows).
  • 32.
    Mitral Valve Apparatus– Elongation of leaflets ▪ Primary structural abnormalities of the mitral apparatus occur ▪ Responsible for LV outflow obstruction ▪ Part of the phenotypic expression of HCM ▪ Mitral valve may be > 2x the normal size due to elongation of both leaflets ▪ There may be segmental enlargement of only the anterior or posterior leaflet, more frequently observed in younger patients ▪ In older patients, outflow obstruction often occurs in the presence of a small LV outflow tract, mitral leaflets of normal length, and mitral-septal contact created by a modest anterior excursion of the valve combined with posterior motion of the septum
  • 33.
    Histopathology – Disarrayand Small vessel ischemia ▪ In HCM, hypertrophied myocytes in both the ventricular septum and LV free wall have bizarre shapes and are often arranged in a chaotic and disorganized architectural pattern ▪ Patients also exhibit structurally abnormal intramural coronary arterioles with thickened vessel walls caused by media smooth muscle hyperplasia ▪ Microvascular changes cause narrowing of the vessel lumen, which is responsible for an impaired vasodilator response and blunting of the coronary flow reserve ▪ Believed to cause “small-vessel” ischemia, which, over extended periods of time, results in myocyte death and a repair process characterized by replacement myocardial fibrosis
  • 34.
    Histopathology – Disarrayand small vessel ischemia ▪ Volume of the interstitial (matrix) collagen compartment is greatly expanded ▪ Combination of disorganized cellular architecture, microvascular ischemia, and replacement fibrosis predisposes to disordered patterns and increased dispersion of electrical depolarization and repolarization ▪ This in turn serves as an unstable electrophysiologic substrate predisposing to reentry ventricular tachyarrhythmias and a likely mechanism for SCD
  • 35.
  • 36.
    Pathophysiology ▪ HCM ispredominantly a disease of mechanical obstruction, in which the majority of patients (70%) have the propensity to develop impedance to LV outflow ▪ Dynamic gradients of 30 mm Hg or more, either at rest or with physiologic exercise ▪ Long-standing outflow obstruction is the most relevant clinical determinant of HCM-related progressive heart failure symptoms ▪ Alternatively, only a weak relationship has been demonstrated between outflow obstruction and SCD risk
  • 38.
    Pathophysiology – keyto figure Dynamic LV outflow obstruction. A to E, Subaortic obstruction due to systolic anterior motion (SAM) of the mitral valve. Echocardiographic apical four-chamber view at (A) end-diastole and at (B) end-systole as the anterior mitral leaflet bends acutely with septal contact (arrow). C, Continuous-wave (CW) Doppler interrogation of the LV outflow tract showing the typical late-peaking waveform, with velocity of 4.2 m/s in midsystole, estimating a gradient of 70 mm Hg (arrow). D and E, transesophageal echo plane showing incomplete mitral leaflet coaptation during SAM (arrow), producing posteriorly directed mitral regurgitation (MR) jet. F to I, Midventricular obstruction. Echocardiographic apical four-chamber view at end-diastole (F) and end-systole, showing hypertrophied anterolateral papillary muscle appearing to insert directly into anterior mitral leaflet, creating midventricular muscular obstruction (G) (arrow). H, CW Doppler interrogation of LV outflow tract showing late-peaking waveform with peak velocity of 3.3 m/s, estimating a gradient of 45 mm Hg (arrow). I, LV ventriculogram showing hourglass contour of chamber associated with midventricular obstruction (arrow)
  • 39.
    Pathophysiology – DynamicLVOTO and SAM ▪ Dynamic subaortic obstruction in HCM is usually produced by systolic anterior motion (SAM) of the mitral valve Elongated leaflets bend sharply, contacting the ventricular septum in mid systole by means of a drag effect, i.e., pushing force of flow directly on the leaflets, producing markedly increased intraventricular systolic pressures ▪ Over time raised intraventricular pressures increase the myocardial wall stress and oxygen demand
  • 40.
    Pathophysiology – Dynamicnature of LVOTO ▪ Subaortic gradients (and associated systolic ejection murmurs) can be spontaneously variable ▪ Reduced, or abolished by interventions – those which decrease myocardial contractility (e.g., beta-adrenergic blocking drugs) or those which increase ventricular volume or arterial pressure (e.g., squatting, isometric handgrip, phenylephrine) ▪ Augmented, by maneuvers – those by which LV contractility is increased (as with premature ventricular contractions, infusion of isoproterenol or dobutamine, or physiologic exercise) or those by which arterial pressure or ventricular volume is reduced (e.g.,Valsalva maneuver, administration of nitroglycerin or amyl nitrite, blood loss, dehydration)
  • 41.
    Pathophysiology – Mitralabnormalities ▪ The magnitude of the outflow gradient is directly related to the duration of mitral valve–septal contact with posteriorly directed mitral regurgitation a secondary consequence ▪ A central or anteriorly directed mitral regurgitation jet usually suggests an intrinsic mitral valve abnormality (e.g., with myxomatous degeneration) ▪ A congenital anomaly of the anterolateral papillary muscle insertion directly into the anterior leaflet (without interposition of chordae tendineae) can produce mid cavity muscular obstruction and is identifiable by both echocardiography and CMR
  • 42.
    Pathophysiology – Latent LVOTOas opposed to Manifest LVOTO ▪ Provocable physiologic gradients are associated with severe heart failure symptoms in some patients (who become candidates for septal reduction therapy) ▪ In asymptomatic or mildly symptomatic HCM patients, such latent gradients can be predictive of progression in heart failure symptoms over time ▪ Provocable gradients can be blunted by inhibition of sympathetic stimulation with beta blockers
  • 43.
    Nonobstructive Hypertrophic Cardiomyopathy ▪ In≈ 10% patients with the nonobstructive form of HCM (gradient < 30 mm Hg at rest and with physiologic exercise) progressive heart failure to NYHA class III or IV occurs ▪ At this point they may become candidates for heart transplant, with (or without) systolic dysfunction ▪ Nonobstructive HCM patients are 5 x less likely to develop NYHA class III or IV symptoms than are patients with obstruction
  • 45.
    Pathophysiology - DiastolicDysfunction ▪ Evidence of impaired LV relaxation and filling is present in most HCM patients ▪ Probably contributes to symptoms of exertional dyspnea, although unrelated to the severity of LV hypertrophy ▪ In particular, diastolic dysfunction is the likely cause of limiting symptoms in patients with nonobstructive disease; it represents the mechanism by which progressive heart failure develops in the presence of preserved LV systolic function, which is occasionally refractory to medical management and ultimately requires heart transplant ▪ The most commonly observed pattern is delayed relaxation, characterized by prolonged rapid filling phase decreased rate and volume of LV filling and (in sinus rhythm) a compensatory increase in the contribution of atrial systole to overall filling
  • 46.
    Pathophysiology - Microvascular Dysfunction ▪Myocardial ischemia occurs due to microvascular dysfunction ▪ Promoting adverse LV remodeling and ultimately affecting the clinical course ▪ Best detected by PET scan; yet to be incorporated into practice guidelines ▪ Marked reduction in coronary reserve demonstrated by PET early in the clinical course is reportedly a determinant of the prognosis
  • 47.
  • 48.
    Symptoms ▪ Heart failuremay develop at any age, with functional limitation predominantly resulting from exertional dyspnea and fatigue ▪ Orthopnea or paroxysmal nocturnal dyspnea occasionally occurs in advanced stages ▪ Disability can be exacerbated by large meals or ingestion of alcohol and is frequently accompanied by chest pain, either typical or atypical of angina, possibly related to structural microvasculature abnormalities ▪ Impaired consciousness with syncope or near-syncope and light- headedness explained by arrhythmias or outflow obstruction ▪ Palpitations – due to SVT(including AF) or ventricular ectopy
  • 49.
    Clinical Features ▪ Pulse- brisk or sharp upstroke that literally taps against the palpating fingers Bisferiens pulse contour (Spike and dome) may be felt ▪ JVP – “a” prominent – due to stiff RV myocardium and forceful atrial contraction when extremely prominent, think about RVOTO Mean JVP normal unless CCF in end-stage disease
  • 50.
    More on Pulse ▪The classic pulse contour in HC consists of a rapid upstroke, followed by a midsystolic dip or collapse, ▪ Which in turn is followed by a second late systolic wave ▪ The first peak is the equivalent of a sharp percussion wave, and the second peak represents a prominent, delayed tidal wave ▪ The mechanism for the secondary wave is unclear; the second peak occurs at the time when LV ejection is minimal, and it probably is a reflected wave or rebound phenomenon ▪ The magnitude of the midsystolic dip correlates with the size of the LV-aortic pressure gradient ▪ The typical bifid pulse contour in HCM has been called the "spike and dome" or "pointed finger" pulse
  • 51.
    More on pulse ▪PostVPC pulse may be diminutive - reflecting the decreased arterial pulse pressure that may be seen post VPC – Brockenborough Braunwald Morrow Phenomenon
  • 52.
    Clinical Features ▪ Apex– The hallmark of precordial examination is the ubiquitous presence of a loud and typically palpable S4 (presystolic distension of the LV) accompanied by a late systolic apical heave ▪ The combined presence of a palpable S4, (normal) early systolic impulse and a late systolic bulge may produce a tirifid contour to the apex impulse; this has been called the “triple ripple” or “triple cadence”
  • 53.
    Clinical Features ▪ TypicalLV impulse in HCM is sustained, forceful, and palpable in more than one interspace ▪ Systolic thrill is often palpable and is directly related to the presence and severity of a resting gradient ▪ Thrill is maximal at LLSB or apex
  • 54.
    Clinical Features ▪ Abnormalparasternal impulse or heave may suggest RVOTO ▪ But may be normally felt in thin individuals or in patients with asymmetric septal hypertrophy and does not always mean RVOTO
  • 55.
    Clinical Features -Auscultation ▪ S1 - normal or accentuated in HCM An increased intensity of S1 is probably related to the abnormally rapid rate of rise of LV pressure during isovolumic systole ▪ S2 - Splitting of S2 may be abnormal in HCM, particularly when there is a LVOTO Left ventricular ejection is usually prolonged, and as a result S2 is often narrowly split with inspiration When significant obstruction is present, A2 may be delayed beyond P2 and reversed or paradoxical splitting of S2 appears ▪ S3 -When present, does not indicate poor LV function, but may reflect the alteration in left ventricular diastolic compliance. An S3 is more likely to be present when there is associated MR ▪ S4 - commonly heard or palpated in obstructive or nonobstructive HC unlikely HCM if no S4!
  • 56.
    Clinical Features ▪ Murmur: Patients with LVOTO have a medium-pitch , late peaking (proportional to severity of obstruction), Systolic ejection murmur, at the lower left sternal border and apex that varies in intensity with the magnitude of the subaortic gradient; Beginning after s1, Ending before A2 It increases with theValsalva maneuver, during or immediately after exercise, or on standing Such variability, together with the characteristic lack of radiation of the murmur to the neck, aids in differentiating dynamic subaortic obstruction from fixed aortic stenosis Most HCM patients with loud murmurs of at least grade 3/6 are likely to have LV outflow gradients of more than 30 mm Hg; ▪ Murmur may seem longer at apex than the base if there is associated MR ▪ If murmur is loud at base, suspect co-existent RVOTO
  • 57.
    ECG ▪ Abnormal inabout 90% of probands and in about 75% of asymptomatic relatives ▪ Wide variety of abnormal patterns may be seen ▪ Some of which are distinctly abnormal or even bizarre, but none are pathognomonic of the disease or can be used alone to predict the outcome ▪ Most common abnormalities include increased voltages consistent with LVH ST-T changes (including markedT-wave inversion in the lateral precordial leads), LAE Deep and narrow Q waves, and Diminished R waves in the lateral precordial leads
  • 58.
    Clinical Course andNatural History
  • 59.
    Clinical Course andNatural History ▪ HCM has potential for identification, clinical presentation, and progression during all phases of life, from infancy to advanced age ▪ HCM is frequently compatible with normal life expectancy, often without functional disability or disease-related events, nor the necessity for major therapeutic interventions ▪ This underscores the principle that mortality in most HCM patients is ultimately attributable to non-HCM and non-cardiovascular causes ▪ Some subgroups are at risk for important disease complications and premature death
  • 60.
    Clinical Course andNatural History ▪ Patients may be situated in, or progress to, specific adverse pathways, with the natural history of their disease punctuated by events that may be the target of specific treatment strategies: 1) risk of SD; 2) progressive HF with exertional dyspnea and functional limitation (with or without chest pain); 3) paroxysmal or chronicAF ▪ Among these progressive heart failure now predominates; arrhythmic SD events are the least common ▪ Approximately 40% of patients referred to tertiary HCM centers will experience one of these end-points, although the risk of incurring two of these complications in any single patient is uncommon (<10%).
  • 62.
    Clinical Course andNatural History – Effect of Age ▪ Patient age itself is an important determinant of HCM-related event rates and clinical course ▪ SCD events are most common in young patients <30 years of age, but paradoxically, SD is very uncommon in patients >60 years, even among those with acknowledged risk factors ▪ In this age group, HCM appears to have a more benign expression and a lower risk status by virtue of decades of stability and survival ▪ Both sexes have similar SD risk, although women are diagnosed later in life, often with more advanced HF symptoms
  • 63.
    Clinical Course andNatural History ▪ The unpredictability of the HCM disease process requires regular (usually annual) surveillance to monitor potential clinical and/or risk profile changes
  • 64.
    Heart Failure SuddenCardiac Death AF Some element of heart failure with exertional dyspnea is common in HCM May occur at a wide range of ages, most commonly <30 years.Very uncommon after 60 years Most common disease complication and sustained arrhythmia Occurs in 25% patients, 4x more common than general population, more than 10 years earlier onset than general population Determinants of HF are- LVOTO if obstructive Diastolic Dysfunction if non-obstructive SCD may be first presentation of disease May be asymptomatic/ silent May not be well tolerated when associated with LV outflow tract obstruction/ diastolic dysfunction May be paroxysmal or permanent 2-3% develop end stage failure due to combination of microvasc ischemia and fibrosis – associated with adverse LV remodeling, chamber thinning and dilatation Risk factor for this type of failure- is family history of end stage failure due to HCM Leads to need for transplant at relatively young age May be predicted by Non-Obstr HCM with low to normal EF and substantial LGE Most SCDs occur during sedentary or modest physical activities, but not uncommonly associated with vigorous exertion; HCM is the most common cardiovascular cause of SCD in competitive athletes, including high school, college, and postgraduate participants SCD more common in patients with certain markers (see risk stratification) Risk for AF – increasing age, greater left atrial volume and/or impaired left atrial EF
  • 65.
    Atrial Fibrillation ▪ Susceptibilityto AF is linked to increasing age, greater left atrial volume and/or impaired left atrial EF ▪ AF onset is at 55 years on average, ≥10 years earlier than in the general population, but is rare in children and young adults ▪ AF may not be well tolerated when associated with LV outflow tract obstruction, and not uncommonly occurs in patients with systolic dysfunction and advanced HF (end-stage) ▪ AF and left atrial remodeling are inter-related and independent predictors of adverse outcome in HCM
  • 67.
  • 68.
    Risk Stratification –SCD Risk ▪ SCD is confined to a relatively small subset of patients within the broad disease spectrum, most commonly young people through mid-life ▪ SCD usually occurs without premonitory warning signs or symptoms, but not uncommonly is associated with vigorous physical activity ▪ Mechanism of SCD in HCM is primary ventricular tachycardia and/or ventricular fibrillation ▪ Targeting candidates for prophylactic ICD therapy can be complex, due to the unpredictability of the arrhythmogenic substrate, absence of a single dominant risk marker, and the impracticability of prospective randomized trials
  • 69.
  • 71.
    Risk Stratification -Algorithm ▪ The HCM risk stratification algorithm is effective in identifying patients who will benefit from ICD - Relies on 5 major risk markers (novel marker now added) ▪ Risk prediction model used in adult HCM patients is not easily translated to children, although a marked degree of LVH or syncope have proved the most reliable markers in this age group ▪ LV apical aneurysms with regional scarring or end-stage with LV systolic dysfunction) may justify consideration for primary prevention ICDs
  • 72.
    Risk Stratification –Gray Zone Modifiers ▪ Disease features, such as marked LV outflow obstruction at rest or diffuse LVH with wall thickness approaching 30 mm can serve as “gray zone modifiers” or arbitrators for ICD decision making on a case-by-case basis when assessment is ambiguous using conventional markers ▪ Engagement in intense competitive sports is a modifiable SD risk factor, even in the absence of other markers, leading to disqualification to reduce risk, as recommended by Bethesda Conference #36
  • 73.
    Risk Stratification –The problem with conventional risk markers ▪ The absence of all risk factors does not convey immunity to SCD in HCM ▪ Present risk model used in HCM is incomplete ▪ Infrequently, SCD events occur in diagnosed patients judged to be at low risk and ineligible for ICDs on the basis of the absence of conventional markers (approximately 0.5%/year)
  • 74.
    Risk Stratification –LGE on CMR ▪ Attempts to improve risk prediction - led to identification of a Novel primary risk predictor (and arbitrator) in HCM ▪ SD risk is proportional to the amount of LGE, with ≥ 15% (of LV mass) equivalent to a 2-fold risk compared to patients without LGE ▪ Extensive LGE is a marker of SD risk, even among patients otherwise considered at low risk and who do not have established markers, but nevertheless can benefit from primary prevention ICD therapy ▪ Also prospectively identifies HCM patients who will develop adverse LV remodeling and progress to the end stage with systolic dysfunction ▪ Treatment with aldosterone inhibitors does not alter development or progression of myocardial fibrosis in HCM
  • 75.
    Impact of Implantable Cardioverter–Defibrillator in prevention of SCD
  • 76.
    Impact of ICDIn prevention of SCD ▪ No evidence that drugs administered prophylactically (e.g., beta-blockers or verapamil) prevent SCD in HCM ▪ ICD is the only treatment strategy shown to prolong life in HCM due to its potential to reliably interrupt life threatening ventricular tachyarrhythmias, and prevent sudden and unexpected death ▪ ICD is effective despite substantial LVH, outflow obstruction, diastolic dysfunction, and microvascular ischemia ▪ Appropriate termination of ventricular tachycardia and/or ventricular fibrillation -4%/year for primary prevention (cumulative, 25% over 5 years), largely in asymptomatic patients, and 12%/year for secondary prevention after cardiac arrest - Multicenter registry involving more than 500 HCM patients
  • 77.
    Impact of ICDIn prevention of SCD ▪ Unpredictability of the electrical myocardial substrate is substantial, and relevant to the principle of ICD therapy ▪ Extensive variability in the time intervals between recognition of high-risk status at implantation and the initial appropriate ICD intervention, with delays of 5 to 10 years or even longer reported ▪ ICD shocks occur randomly during the day without defined circadian periodicity, often unassociated with physical activity and sometimes during sleep ▪ There is a relationship between patient age and susceptibility to ICD interventions: uncommon after 60 years of age, but on average occur at about 40 years of age on average
  • 78.
    Impact of ICDIn prevention of SCD ▪ Single-chamber ICDs are most appropriate for young high-risk patients, whereas Dual-chamber ICDs are largely reserved for those with paroxysmal AF and/or LV outflow obstruction ▪ Subcutaneous defibrillators are untested in HCM, caution is warranted in considering implantation in patients with this disease
  • 79.
  • 80.
    Heart Failure ▪ HFoccurs in approximately 50% of HCM patients ▪ Expressed clinically as exertional dyspnea due to a variety of mechanisms, in the presence of preserved systolic function ▪ However, it is rarely associated with clinical manifestations characteristic of ischemic and non-ischemic cardiomyopathies (e.g., volume overload) ▪ Such symptoms can be accompanied by chest pain (atypical or typical of atherosclerotic CAD), which are likely related to microvascular ischemia ▪ Chest pain may also present in HCM- anecdotal evidence favors verapamil for achieving symptom benefit
  • 81.
    Heart Failure -In Obstructive HCM (HOCM) ▪ Most important cause of limiting HF symptoms in HCM is mechanical impedance to LV outflow, usually due to SAM Gradients of ≥30 mm Hg an independent determinant of progressive HF symptoms and HF or stroke death ▪ Outflow gradients are dynamic with spontaneous variability influenced by altered myocardial contractility and loading conditions
  • 82.
    Heart Failure –Latent Obstruction (Provocable HOCM) ▪ For patients without obstruction at rest, exercise (stress) echocardiography is the preferred method for provoking physiological gradients ▪ Exercise induced outflow gradients (≥30 mm Hg) identify patients at greater risk for future symptomatic progression, and thereby the possibility of septal reduction intervention ▪ Non-physiological provocation with pharmacological agents (i.e. amyl nitrite or isoproterenol) or theValsalva maneuver are alternative methods for provoking subaortic gradients - although these maneuvers may not reliably mimic the hemodynamics responsible for symptoms during daily physical activities ▪ Cath may resolve ambiguity in presence or magnitude of gradient ▪ HF symptoms may also be due to diastolic dysfunction or AF
  • 83.
    Heart Failure WithObstruction - Medical Treatment ▪ In HCM patients with outflow tract obstruction who develop limiting HF symptoms, the first option to control symptoms is pharmacological therapy with beta- adrenergic blockers ▪ Verapamil can also be considered, caution should be exercised in its administration to patients with marked resting gradients and advanced HF ▪ LV filling can be improved by these drugs, although basal gradients are not usually mitigated significantly ▪ Beta-blockers are most effective in blunting gradients provoked with exercise Disopyramide is the most reliable drug for reducing outflow gradients at rest in HCM, although long-term use may be limited by parasympathetic side effects ▪ Current pharmacological therapy for HCM does not alter outcome or phenotypic expression
  • 84.
    Heart Failure WithObstruction - Invasive Treatment ▪ Because of the duration of experience, documented long-term results, and safety data Surgical septal myectomy is considered the preferred treatment for patients with advanced limiting HF symptoms due to outflow gradients of ≥ 50 mm Hg (at rest and/or with physiologic [exercise] provocation) who are refractory to maximal medical management ▪ Long-term studies over 40 years in HCM have shown that surgical myectomy reliably reverses HF symptoms by permanently abolishing obstruction, restoring normal LV pressures, and reducing or abolishing mitral regurgitation ▪ Operative mortality for septal myectomy is now <1%
  • 85.
    (A) Patients withoutflow gradients $30 mm Hg at rest are at greater risk for HCM- related progressive heart failure, or heart failure or stroke death. (B) Abolition of LV outflow gradient by surgical septal myectomy is associated with long-term survival (with respect to all- cause mortality) similar to expected in age- and sex-matched general U.S. population, and exceeding that in a comparison group of symptomatic non operated patients with obstruction. (C) Most HCM patients (i.e., 70%) have LV outflow obstruction present at rest or with physiologic exercise. Some patients with only exercise-provoked gradients develop marked heart failure symptoms and also become candidates for septal reduction. (D) Different morphologic consequences of alcohol septal ablation (left) and surgical septal myectomy (right) shown with post-contrast CMR images. Alcohol ablation results in a bright, dense transmural scar (arrow), whereas intramyocardial scarring is absent after myectomy. NYHA=NewYork Heart Association; RR=relative risk;
  • 86.
    Heart Failure WithObstruction - Invasive Treatment ▪ Percutaneous alcohol septal ablation has become an alternative to surgical myectomy in selected patients ▪ Factors that influence the decision to proceed with alcohol ablation include advanced age, significant comorbidity that increases surgical risk, or the strong desire of patients to avoid open-heart surgery
  • 87.
    Heart Failure WithObstruction - Invasive Treatment ▪ Alcohol ablation reduces LV outflow gradient (and symptoms) by creating a large basal ventricular septal infarction ▪ Approx. 10% of the LV wall, 30% of the septum ▪ Accomplished by infusion of absolute alcohol into a major septal perforator coronary artery ▪ Ablation data derived from some retrospective studies show short term survival (with respect to all-cause mortality) to be similar to myectomy ▪ Procedural mortality, low in experienced myectomy programs is similar for both interventions
  • 89.
    Septal Myomectomy PTSMA Providesbetter symptom and gradient improvement in patients <65 years of age Provides the opportunity to address complex LV morphologic abnormalities that may contribute to outflow obstruction -papillary muscle anomalies; -aberrant intraventricular muscle bundles; -massive septal hypertrophy; -intrinsic mitral valve disease (requiring repair or replacement); and -associatedCAD that requires bypass grafting Associated with the likelihood of permanent pacemaker implantation for CHB (in 10% to 15% of patients) and repeat procedures due to persistent obstruction (in 12% of patients) Incompletely defined risk for life- threatening ventricular tachyarrhythmias and SCD due to the potentially arrhythmogenic septal scar
  • 90.
    Heart Failure WithoutObstruction ▪ About one-third of HCM patients have the nonobstructive form with absent or small (<30 mm Hg) outflow gradients at rest and with physiological exercise ▪ Majority of nonobstructive HCM patients experience a relatively stable clinical course without significant symptoms, high-risk profile, or the necessity of major treatment options ▪ Only a minority of nonobstructive patients will experience progressive, limiting HF symptoms predominantly due to diastolic dysfunction
  • 91.
    Heart Failure WithoutObstruction ▪ Medical treatment is limited to atrioventricular nodal blocking agents (and possibly low dose diuretics) that may exert a beneficial effect on diastolic function by increasing myocardial blood flow and LV filling time, but often without long-term efficacy ▪ The clinical severity of diastolic dysfunction in HCM is difficult to assess directly because noninvasive measures of diastolic function do not accurately reflect LV filling pressures
  • 92.
    Heart Failure WithoutObstruction ▪ Most advanced form of HF within the HCM spectrum is the end-stage (or “burned out”) phase occurring in a distinctive subset of patients with nonobstructive HCM (prevalence, 3%) ▪ HF progression associated with conversion to systolic dysfunction (ejection fraction <50%) and adverse LV remodeling with extensive myocardial scarring, often resulting in regression of hypertrophy and/or cavity enlargement ▪ Initial treatment considerations are beta-blockers, diuretics, and afterload reducing agents, as well as prophylactic ICDs
  • 93.
    Heart Failure WithoutObstruction ▪ The clinical course of end-stage patients is variable and unpredictable, but HF symptoms may progress rapidly in some, suggesting the prudence of early listing for transplantation ▪ This remains the only definitive therapeutic option for this relatively young patient group (average age, 43 years) ▪ Post transplantation survival (75% at 5 years; 60% at 10 years) is similar or possibly more favorable than that for patients with other cardiac diseases ▪ The only known predictor of end-stage HCM is a family history of end-stage disease ▪ A small subset of nonobstructive HCM patients with preserved systolic function who develop refractory HF symptoms due to diastolic dysfunction can also become heart transplantation candidates
  • 94.
  • 95.
    Atrial Fibrillation ▪ Rarelythe initial manifestation of HCM, AF (or atrial flutter) represents the most common disease complication and sustained arrhythmia ▪ Occurring in 25% of patients, which is 4-fold more common than in the general population ▪ Asymptomatic and clinically silent periods of this arrhythmia are not uncommonly detected by random ambulatory monitoring ▪ Most common are paroxysmal episodes, although AF may become permanent over time in a minority of patients
  • 96.
    Atrial Fibrillation ▪ Susceptibilityto AF is linked to increasing age, greater left atrial volume and/or impaired left atrial EF ▪ AF onset is at 55 years on average, ≥10 years earlier than in the general population, but is rare in children and young adults ▪ AF may not be well tolerated when associated with LV outflow tract obstruction, and not uncommonly occurs in patients with systolic dysfunction and advanced HF (end-stage) ▪ AF and left atrial remodeling are inter-related and independent predictors of adverse outcome in HCM
  • 97.
    Atrial Fibrillation ▪ Patternof occurrence and the number of symptomatic AF episodes are unpredictable and vary considerably among individual patients ▪ However, whether infrequent AF reliably predicts unfavorable long- term consequences is unresolved ▪ Patients with AF usually experience no or mild symptoms while in sinus rhythm, unless associated LV outflow obstruction is responsible for exertional dyspnea ▪ No clinically relevant relationship has been reported between AF and SD
  • 98.
    Management of AF ▪Relatively infrequent AF episodes are effectively reversed by electrical or pharmacological cardioversion (or resolve spontaneously), but occasionally can trigger acute clinical decompensation ▪ Low-dose amiodarone is generally regarded as the most effective agent for reducing AF recurrences ▪ Alternative antiarrhythmic drug therapy includes sotalol or possibly disopyramide in the presence of obstruction
  • 99.
    Management of AF ▪HCM patients with AF have an increased risk of thromboembolic stroke, 0.8%/year ▪ Because of the potential for clot formation in the enlarged left atrium, stroke prevention with prophylactic anticoagulation with warfarin or newer oral agents (i.e., dabigatran or rivaroxaban), is tailored to individual patients after consideration for lifestyle modifications, hemorrhagic risk, and expectation for compliance ▪ An aggressive posture with a low threshold for anticoagulation has been recommended for all patients with symptomaticAF episodes ▪ CHADS score is not specifically validated or useful in this disease
  • 100.
    Management of AF ▪When quality of life is significantly affected by frequent symptomatic AF episodes in drug-refractory patients, the option of catheter-based ablation (radiofrequency or cryoablation) has proved promising ▪ Although relatively early in its development, catheter ablation provides the potential for prolonged restoration of sinus rhythm ▪ Current data in HCM suggest that two-thirds of patients maintain sinus rhythm for 3 years, although a substantial proportion may require ≥2 procedures, with most continuing on antiarrhythmic drugs and anticoagulation
  • 101.