John Muir
• “Thousands of tired, nerve-shaken, over-civilized
  people are beginning to find out going to the
  mountains is going home ...”

• “… the alpenglow, to me the most impressive of
  all the terrestrial manifestations of God … the
  mountains seemed to kindle to a rapt, religious
  consciousness, and (the beholder) stood hushed
  like devout worshippers waiting to be blessed.”
High Altitude
          Health Effects

the good, the bad and the interesting




       J Pat Herlihy MD
   Jph@houstonlungdocs.com
High Altitude
• International Society for Mountain Medicine:

• High altitude = 1,500–3,500 m (4,900–11,500 ft)

• Very high altitude = 3,500–5,500 m (11,500–18,000 ft)

• Extreme altitude = above 5,500 m (18,000 ft)
City                      Altitude
The 10 highest cities in the world



  1. Lhasa, Tibet, China             12,002 ft./3658 m.


  2. La Paz, Bolivia                 11,910 ft./3630 m.


  3. Cuzco, Peru                     11,152 ft./3399 m.


  4. Sucre, Bolivia                  9331 ft./2844 m.


  5. Quito, Ecuador                  9249 ft./2819 m.


  6. Toluca, Mexico                  8793 ft./2680 m.


  7. Bogotá, Colombia                8675 ft./2644 m.


  8. Cochabamba, Bolivia             8390 ft./2557 m.


  9. Addis Ababa, Ethiopia           7900 ft./2408 m.


  10. Asmara, Ethiopia               7789 ft./2374 m.
Some large cities (and Aspen) at high altitude



 Mexico City                             7350 ft./2240 meters




 Johannesburg                            5750 ft./1750 meters




 Nairobi                                 5,500 ft./1660 meters




 Denver                                  5,300 ft./1610 meters




 Guatemala City                          5,000 ft./1530 meters



 Aspen                                   8,000 ft./2440 meters
Peak                Altitude                   Location
The Seven Summits


 Mount Everest       29,035 ft./8850 m.   Asia


 Mount Kilimanjaro   19,563 ft./5963 m.   Africa


 Mount McKinley      20,320 ft./6194 m.   North America


 Puncak Jaya         16,023 ft./4884 m.   Australia/Oceania


 Vinson Massif       16,066 ft./4897 m.   Antarctica


 Mount Elbrus        18,510 ft./5642 m.   Europe


 Aconcagua           22,841 ft./6962 m.   South America
Highest Ski Resorts
USA                       World
• Breckenridge, CO        • Chalaltaya, Bolivia
   – 12,840 ft, 3914 m       – 17,388 ft, 5300 m

• Loveland, CO
   – 12,700 ft, 3870 m    • Gulmaq, India
                             – 13,058 ft, 3980 m
• Arapahoe Basin, CO
   – 12,472 ft, 3801 m
                          • Tachal, Iran
• Winter Park, CO            – 12,631 ft, 3850 m
   – 12, 060 ft, 3676 m
High Altitude Environment
• Air density – key factor for health related issues

• Air pressure (barometric) lessens as altitude increases

   – As altitudes increases, less air above pressing down

   – Think ocean pressure
      • Pressure at bottom higher from weight of water above
Air Pressure - Altitude
• Less air pressure
  – less dense air – “thin air”
  – Air holds less molecules per area
  – Individual gas’ pressure is less

• 3 important consequences:
  – Lower number of oxygen molecules / area (less ppO2)
  – Lower number of water molecules / area (lower humidity)
  – Less and thinner air above to shield from harmful sun rays
High Altitude Environment
                  Health
• Oxygen
  – Lower air pressure – lower oxygen content in air
  – Major effect for health
• Humidity
  – Lower air pressure – lower water content in air
  – Dehydration risk
• Sun
  – less atmospheric protection from
  – More UV ray exposure
UV Increases at Altitude
Water Vapor Decreases at Altitude
Graphic of Altitude and ppO2
Oxygen and Health
                    The Quick Tour
• Oxygen needed for production of ATP
  –   Key energy molecule of the body
  –   Made in every cell of the body - mitochondria
  –   Needed for function and even survival of cells/body
  –   Hypoxia – tissues don’t have enough O2
  –   Can’t produce normal quantities of energy

• Body can produce ATP without O2
  – anaerobic metabolism or cellular anaerobic respiration
  – 13 times less efficient
O2 - Air to Mitochondria – ATP
                 The Quick Tour
• Lungs’ function – air (O2) to blood

• Red blood cell (RBC) – carries bulk of O2 in blood

• Circulatory system - carries O2 rich blood to
  tissues

• Mitochondria – uses O2 to manufacture ATP, the
  energy molecule
Oxygen from Air to Blood
O2 into blood, then into RBC,
  on to hemaglobin – normally > 97 % sat
RBCs in vessel       Hemaglobin molecule
O2 - Lung to Circulation to Tissue
O2 into Tissues, Cells, Mitochondria
Cell
Mitochondria
ATP
Adenosine Triphosphate
Fun O2 Facts
• Ave rest O2 consumption – 250 ml / minute

• Ave rest amount of O2 from blood – 25 %

• Healthy adult minute ventilation 5 – 8 l/min

• Vt 500 ml, 7 ml/ kg, RR 12 – 20 bpm

• VO2 max 45 ml/kg/minute

• VO2 max 3.5 l / minute
Graphic of Altitude and ppO2
Problem with Altitude – Low 02
Hypoxemia and Altitude
Hypoxemia
                         Hinge Points
Oxygen Carrying                       Altitude O2 Sat
• Normal O2 sat > 97
• 94 %                                • 2000 m sat less than 94%
   – ppO2 blood - 70                     – 6500 ft
   – Humans work to keep O2 at or
     above
• 90 %
   – Below O2 content drops           • 3500 m sat less than 90 %
     dramatically                        – 11,500 ft
   – Hypoxia can occur – low energy
     production
• 80 %
   – Cognitive dysfunction            • 5500 m sat less than 80 %
   – Other organ dysfunction             – 18,000 ft
Oxygen Content – ppO2
Acclimatization
   Adjusting to Thin Air, Low Oxygen
• Begins 1500 m (5000 ft) to 2000 m (6500 ft)

• Intensity depends upon how high, how fast
                   “hypoxic stress”

• Three phases
   – Immediate
   – Intermediate (days)
   – Long term (weeks to 2 mos)
Acclimatization
                            Immediate
• Lung                                   • Cerebral
   – increased respiratory rate             – Increase flow (up to 24 % at
   – increased tidal volume                   4000 m)
   – Pulmonary artery                       – More O2 to highly O2
     vasoconstriction - V/Q                   dependant brain
   – increase O2 in alveoli - blood

• Cardiovascular                         • Digestive
   – increased heart rate /                 – Decreased appetite, digestion
     contraction                            – decreased energy demand
   – increased BP (10mm Hg)/ venous           for taxed body
     tone
   – increase DO2
         • DO2 = CO x O2 content blood
           (hgb x %sat)
         • CO = HR x stroke volume
Ventilation Perfusion Matching
      where less air less blood flow
Acclimatization
               Intermediate - Days
• Kidney
  – bicarbonate diuresis for acid base balance
  – Hyperventilation causes blood alkalosis
  – Kidney compensates

• Pulmonary
  – Ventilation increase and V/Q matching continue for up to one
    week
  – PHTN continues (mean 25 mmHg – mild)

• 2,3 DPG
  – Molecule in RBC that allows Hgb to unload O2 easier into the
    tissues
Acclimatization
              Long Term, Weeks – 2 mos
• Polycythemia                        • Mitochondria - aerobic
   – Kidney puts out erythropoietin      – Decrease number
     – stimulates bone marrow to
     make more RBCs                      – More efficient O2 use
• Increased RBC mass                  • Increased anaerobic
   – More Hgb                           metabolism
• Increased muscle capillaries           – Outside mitochondia
   – More DO2 to exercising              – Increased efficiency
     muscles                          • Heart
• Increased myoglobin                    – HR stays higher
   – Muscle protein holds, stores        – BP comes down
     O2
Adaptation
                            Generations
• Genetic selection of advantageous traits for altitude
• Three populations studied
   – Andeans
       • Above 4000 m (13,000 ft)
       • Increased HGB
   – Tibetans and Nepalese
       •   Above 4000 m (13,00 ft)
       •   Increased ventilation (breathing)
       •   Increased blood vessels, and circulatory performance
       •   Cellular energy – anaerobic and efficient
   – Amhara people Ethiopia
       •   Above 3500 m (11,500 ft)
       •   Normal ventilation
       •   Normal blood vessels
       •   Cellular energy – anaerobic and efficient
Adaptation
                        Generations
• Adapted populations have a different set of genes
  (natural selection) that essentially, augment
  acclimatization
   – U College London
   – U of Colorado
   – Mayo

• Different level of expression of hypoxia beneficial genes
   – 2010 – Science and PNAS - multinational team, led by U
     College London, Hugh Montgomery
      • Tibetans at 15,000 ft have a variant of EPAS1 gene (controls HIF-1)
      • HIF = Hypoxia-Inducible Factor (discovered 1995)
Very Exciting
• HIF – Hypoxia Inducible Factor
   – Discovered 1992
       • Hopkins team investigating erythropoeitin
   – “transcription factor”
   – Turns on hundreds of genes helpful to acclimatization

• All three populations of high altitude people have
  upregulated HIF pathway

• Genes turned on by altitude can help understand hypoxia
  tolerance and develop therapies

• Important in cardiac and pulmonary disease
What to Expect at Altitude
       Normal Acclimatization Response
• Fatigue                         • Increased diuresis
   – Common                          – Up to 4 days
   – Lasts up to 48 hours         • Poor performance
   – Due to energy availability      – Mental but especially physical
• Mild SOB                           – Up to a week
   – Due to increased need for    • Weight loss
     ventilation
                                     – Diuresis
   – 2 – 4 days
                                     – Decreased appetite
• Mildly increased HR, BP         • Disturbed sleep
   – Due to increased DO2
                                     – Periodic breathing
   – BP Up to a week (10 mmHg)
                                     – Due to need to
   – HR stays up                       hyperventilate, and
                                       subsequent alkalosis
USArmy
Institute for Environmental Medicine

• 4,000 ft (1200 m) – physical performance

• 8,000 ft (2440 m) – cognitive performance

• 10,000 ft (3,050 m) - judgement
Physical performance
• After acclimatization (2 weeks) level of fitness
  performance depends upon altitude
  – 1% loss for every 100m above 1500 m


• 90 % at 2500 m (8,200 ft)
• 75 % AT 4000 m (13, 100 ft)
• 65 % AT 8000 m (26, 240 ft)
Altitude Sickness
           Failure of Acclimatization

•   Acute mountain Illness
•   Sleep disordered breathing
•   HAPE – high altitude pulmonary edema
•   HACE – high altitude cerebral edema
•   HARH – high altitude retinal hemaorrhage
•   Chronic Mountain illness
AMI – Risk Above 2500 m (8200 ft)
Cause:                                Timing / treatment
•lung, cardiovacular, renal, energy
    •stress
•Increased cerebral flow
• Symptoms                            •   4 – 6 hours after arrival
    –   Fatigue                       •   Worse after first night
    –   HA                            •   Resolves two days
    –   Light headedness
                                      •   Treatment
    –   Anorexia, nausea, vomiting
                                          –   NSAIDs/tylenol
    –   SOB
                                          –   Acetizolamide (48 – 72 hrs)
    –   Disturbed sleep
                                          –   Dexamethasone (48 – 72 hrs)
• No lab / Xray tests                     –   If does not resolve descend
                                          –   If severe – oxygen 2 – 4 l/min
Nasal O2
Sleep Disordered Breathing
      Above 3500 m (11,500 ft)
• Periodic breathing
   – Periods of rapid breathing during sleep
   – Cycle between normal shallow ventilation of
     sleep, hyperventilation to maintain O2 sat

• Can disrupt deep sleep
   – Frequent arousals
   – Less time in REM – deep sleep

• Oxygen can help

• Resolves 2 – 3 days
HACE / HARH
              Above 4500 m (14,760 ft)
HACE                               HARH
• Cause                            • Similar to HACE
   – Leak from cerebral blood
     vessels – brain swelling         – Retinopathy
   – microhemorrhage                  – microhemorrhage
• Sxs
   –    Start 6 – 12 hrs
   –    Confusion
   –    Impaired motor fxn /gait
   –    Stupor to coma
• Tests
   – MRI
• Treatment
   –    Descend ASAP
   –    Oxygen
   –    Hyperbaric oxygen
   –    dexamethasone
Picture Brain Edema
Portable Hyperbaric Chamber
HAPE
          Above 4500 m (14,760 ft)
Pathophysiology               Clinical
• Severe pulmonary            • 2 – 4 days after arrival
  Hypertension                • SOB
• Some areas pulmonary        • Cough
  vascular bed overperfused   • Hemoptysis
• Blood vessel injury         • Dx
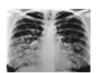
• Fluid leak into lung           – Crackles
• Lung edema – water             – Xray
   – Worsens gas exchange
Ventilation Perfusion Matching
      where less air less blood flow
PHTN
HAPE Treatment
•   Oxygen
•   Descent
•   Hyperbaric chamber
•   Positive Pressure Ventilation
•   B – agonist inhalers
•   Pulmonary vasodilators
    – Nifedipine
    – sildenafil
Chronic Mountain Illness
               Monge’s Disease
       Above 3000 m (9,840 ft)
• Polycythemia
  – Hgb > 20
• Chronic PHTN
• SXs
  – Poor mental function
  – Poor organ function
  – Total body edema
• Treatment
  – descend
Risk of Altitude Sickness
• Risk by altitude
   – AMI - above 2500 m 20 %, above 4500 m 50 %
      • Sleep disordered breathing 3500 m
   – HAPE – above 4500 m 5 - 10 %
      • slow ascent from 2000 m only 1 – 2 %
   – HACE – above 4500 m 1 – 2 %
   – HARH – above 4500 m 1 - 2 %
   – Death zone – above 8000 m – acclimatization not
     possible, survival – hours, days max
   – Adaptation – not above 6000 m, 19,700 ft
   – Everest- 8850 m, 29000 ft
      • Base camp 5100 m (16, 728 ft) – 5400 m (17, 712 ft)
Risk of Altitude Sickness
• Risk by speed
   – Above 3000 m (9800 ft)
       • No more than 500 m /day if low risk AMI
       • No more than 350 m / day if high risk AMI
       • Every two days rest for a day
       • If ascend high quickly, acetazolamide and decadron
• Risk by time at altitude – length of hypoxic stress
   – Pikes peak (4,270 m, 14,000 ft) – low rate
   – Up to 4000m (13, 100 ft) hours
• Risk by sleeping altitude
   – Above 2750 m, 9,000 ft
   – Associated with hypoxic episodes
   – Hike high sleep low
• Pre acclimatization prior stay at altitude - lowers risk
   – 4 days
   – Within months
• Risk by history of AS – at risk if go above 2500 m (8200 ft)
Risk by Medical Illness
   Can’t Compensate for Low ppO2
• Lung disease
• Cadiovascular disease
  – CAD
  – CHF
• Anemia
  – Hct < 30, Hgb < 10
• Hemaglobinopathy
  – Sickle cell, etc.; 2,3 GDP deficiency
• Sleep apnea
Recommendations
     Going to Altitude – Above 2000 m
• People are highly variable in acclimatization
  – Genetically determined (low PDP2 gene
    expression – intolerant of altitude)
  – Not a function of fitness
  – Older age (> 50) may be mildly protective against
    Altitude Sickness
  – Women slightly higher risk
  – Underlying diseases:
     • Lung disease
     • Heart disease
Risk
• Can’t asses with current technology
• Hypoxic exercise – not predictive
• Future gene array or hypoxic HIF levels

•   For now:
•   Altitude
•   History of AS
•   Underlying medical conditions
Recommendations
• If history of AMS / travel above 2500 m (8200 ft)
  ft – acetazolamide
   – 24 hrs before, and for 48 hrs into stay
   – 250 mg bid
• First night sleep at less than 9000 feet (2750 m)
   – (ARC – UC)
• Rest for 2 – 4 days
   – Vigorous exercise may prompt AMI
      • Creating tissue hypoxia
• Gradual activity increase over week
• Signs of AMI – 500 - 1000 m descent
Recommendations
• Alcohol, sleeping pills, other respiratory
  depressants – avoid 2 days to one week
• Caffeine – do not cold turkey – a respiratory
  stimulant
• Avoid salty – increases BP
• No tobacco – CO impairs O2 transport
• Carbohydrates – best fuel for high altitude
  – Helps aerobic / anaerobic metabolism
Above 3500 m
              11,500 ft
• If rapid significant risk AS
   – Acetazolamide
   – Decadron prophylaxis
   – O2
Altitude tolerance - common cardiovascular and
pulmonary diseases

Travel to altitudes above 2000 m inadvisable:
• Cardiovascular diseases
   – Within 3 months of myocardial infarction, stroke, ICD implantation,
     thromboembolic event – within 3 weeks
   – Unstable angina pectoris
   – Before planned coronary interventions
   – Heart failure, NYHA class >II
   – Congenital cyanotic or severe acyanotic heart defect
• Pulmonary diseases
   –   Pulmonary arterial hypertension
   –   Severe or exacerbated COPD (GOLD stage III–IV)
   –   FEV1 <1 liter
   –   CO2 retention
   –   Poorly controlled asthma
Travel to altitudes of 2000-3000 m permissible:

• Cardiac diseases
     –   asymptomatic or stable CAD (CCS I–II)
     –   Stress ECG normal up to 6 METs
     –   Normal performance capacity for age
     –   Blood pressure under good control
     –   No high-grade cardiac arrhythmia
     –   No concomitant illnesses affecting gas exchange

• Pulmonary diseases
     – Stable COPD or asthma under medical treatment, with adequate reserve
       function for the planned activity

• For travel to altitudes above 3000 m:
     – Evaluation by a specialist in altitude medicine and physiology

ICD, implantable cardiac defribrillator; NYHA, New York Heart Association; COPD, chronic
Obstructive pulmonary disease; GOLD, Global Initiative for Chronic Obstructive Lung Disease;
FEV1, forced expiratory volume in 1 second; CHD, coronary heart disease; CCS, Canadian
Cardiovascular Society; MET, metabolic equivalent of task
O2 requirement
    2000 m (6500 ft) – 3000 m(9840 ft)
• O2 Sat greater than 95 % - OK
• O2 Sat less than 92 % - need O2
• Between 92 – 95 % assesment
  – If concurrent lung / heart disease – O2
  – Rule is 2 liters
     • if no O2 2 liters / min
     • If O2 2 liters / min above base - chronic lung disease
SAS
            2000 m (6500 ft)
• Worse at altitude
• 1500 m – diamox
• 2500 m - O2 with CPAP
Pregnancy
• High altitude communities
  – Lower birth weights, though developmentally OK
  – Higher incidence of PIH, preeclampsia, eclampsia
• Physiology
  – Between 2500 and 3000 m, in utero Hgb increases
• Recs
  – Up to between 2500 (8,200 ft) and 3000 (10,000
    ft) safe
Pediatrics
• Younger children (less than 8 y.o.)
  progressively more at risk (up to 4 x) for
  hypoxia and altitude sickness
  – Limited ability to compensate
• Teens twice the risk
• Recs
  – Absolutely no child above 3500 m (11,500 ft)
  – Young children not above 3000 m (10,000 ft)
  – Teens acclimatization and great care above 3500
    m (10,000 ft)
Water
Dehydration                              Symptoms
   – At 6000 m or feet – loose twice     • Lack of perspiration
     as much water
       • Water through skin and          • Overheating
         breathe
   – Hypohydration – increases risk
                                         • Headache
     of AMS                              • Light headed
       • 1999 – Basnyat – AMS risk
         increases by 60 %               • Fatigue
       • Less than 3 Liters per day
                                         • Dark (concentrated urine)
   – Hyperhydration – increases risk
     for AMS/HAPE/HACE
       • 2009 – Richardson – increased
         risk
       • Above 4500 m
Temperature
• Drops 3.5 degree F for every 1000 ft
• Drops 6.5 degree C for every 1000 m
• Contributes to decreased humidity at altitude
Water
                 Hydration Recs
• Usual daily fluid intake
   – 8, 8 oz glasses water /day
   – ½ body weight (lbs) in ozs
• Twice usual intake
   – 3 – 5 Liters / day
• Key to start day, exercise hydrated
   –   O/N lose hydration
   –   Data is that most altitude hikers start hypohydrated
   –   16 ozs to start
   –   Altitude exercise 8 ozs every 20 minutes
Sun
                       UVB &UVA
Altitude                         Other effectors
• For every 1000 ft altitude 4   •    85% increase from snow reflection
                                 •   25% increase from white-water
   – 8 % more UVB exposure           reflection
                                 •   50 % increase from water reflection
                                 •   80% of UV rays pass through cloud
• So at 8000 ft – more than      •   20% from sand and grass
  30 % more exposure                 reflection - and 40% when wet
                                 •   15% reflection from concrete
                                     buildings
                                 •   50% can be reflected into shaded
                                     areas
                                 •   50% UVB and 80% UVA passes
                                     through the upper 50cm of water
UV Exposure
                      Skin
Adverse Effects         Recs
                        • Micro zinc oxide 5 % - only
                          ingredient that blocks all of UVA
• Burn                    and UVB
• Aging                 • SPF – 30 at least
                            – Sun Protection Factor
• Skin cancer                   • amount of UV radiation required
                                  to cause sunburn on skin with the
                                  sunscreen on, as a multiple of the
                                  amount required without the
                                  sunscreen
                                • how long one can stay in the sun
                        • If in water or sweating – water
                          resistant
                        • If in sun more than 30 minutes
                        • Fresh screen
UV Exposure
                            Eye
Complications                        Guidelines – eye wear
• Acute                              • 99-100% UV absorption
   – Photokeratitis - corneal burn
                                     • Polycarbonate or CR-39 lens
                                       (lighter, more comfortable
     – snow blindness                  than glass)
   – Photoconjunctivitis –           • 5-10% visible light
     conjunctival burn                 transmittance “glacier glasses”
• Chronic                            • Large lenses that fit close to
                                       the face
   – Pterygium – conjunctival
     growth
                                     • Wraparound or side shielded
                                       to prevent incidental light
   – Cataracts                         exposure
   – retinopathy                     • If out more than 30 minutes
High Altitude Living – Healthy
           Colorado – Highest State
• J of Epi and Community Health - 2011
    – Colo – lowest death rate from cardiovascular disease
        • Lower rate of HTN
    – Colo – lowest death rate lung and colon CA

• J of Epi and Community Health – 2004
    – Greece - Lower rate of total and cardiovascular deaths at altitude

• Robert Wood Johnson foundation
    – Lowest rate of obesity USA – Colorado
    – 19.8 %

• 7 / 10 counties in US with greatest longevity
    – In Colorado – average altitude
High Altitude Living - Unhealthy
• J of Epi and Community Health - 2011
  • High rate of skin cancer Colo


• Colorado – always in top 10 states suicide rate
• Similar data from around the world
• Perry Menshaw U of Utah, Brain Institute
  – Altitude above 6000 ft is associated with suicide
    rates
Mechanisms
• CV health
  – altitude good for blood vessels and circulation
  – Vessel growth and plasticity
• Vit D (from sunlight) may protect against colon
  and other cancers
• COPDers (smokers) do not tolerate Colo
• Hypoxemia may promote anxiety / depression
Athletes
• U of Utah, UC Colo
  Springs, Australia, Switzerland, Norway
• blood doping (1980s), epo (1990s)– 17 %
  improvement in speed and endurance
• Live high train low – now the standard
  – live 2500 m or sleep in low O2 environments (10
    hours)
     • Trigger better O2 use
  – train low 1250 m, or use supplemental O2
     • To optimally work muscles
  – Improvements average 2 – 3 % - some more
  – Improvements last 2 weeks
Live Low – Sleeping Tent
Aspen

        • Altitude
           – 2450 m (8,000 ft)


        • Baromatric pressure
           – 739 mm hg


        • O2 content
           – ppO2: 112
           – 75 % sea level

High Altitude

  • 2.
    John Muir • “Thousandsof tired, nerve-shaken, over-civilized people are beginning to find out going to the mountains is going home ...” • “… the alpenglow, to me the most impressive of all the terrestrial manifestations of God … the mountains seemed to kindle to a rapt, religious consciousness, and (the beholder) stood hushed like devout worshippers waiting to be blessed.”
  • 3.
    High Altitude Health Effects the good, the bad and the interesting J Pat Herlihy MD Jph@houstonlungdocs.com
  • 4.
    High Altitude • InternationalSociety for Mountain Medicine: • High altitude = 1,500–3,500 m (4,900–11,500 ft) • Very high altitude = 3,500–5,500 m (11,500–18,000 ft) • Extreme altitude = above 5,500 m (18,000 ft)
  • 5.
    City Altitude The 10 highest cities in the world 1. Lhasa, Tibet, China 12,002 ft./3658 m. 2. La Paz, Bolivia 11,910 ft./3630 m. 3. Cuzco, Peru 11,152 ft./3399 m. 4. Sucre, Bolivia 9331 ft./2844 m. 5. Quito, Ecuador 9249 ft./2819 m. 6. Toluca, Mexico 8793 ft./2680 m. 7. Bogotá, Colombia 8675 ft./2644 m. 8. Cochabamba, Bolivia 8390 ft./2557 m. 9. Addis Ababa, Ethiopia 7900 ft./2408 m. 10. Asmara, Ethiopia 7789 ft./2374 m.
  • 6.
    Some large cities(and Aspen) at high altitude Mexico City 7350 ft./2240 meters Johannesburg 5750 ft./1750 meters Nairobi 5,500 ft./1660 meters Denver 5,300 ft./1610 meters Guatemala City 5,000 ft./1530 meters Aspen 8,000 ft./2440 meters
  • 7.
    Peak Altitude Location The Seven Summits Mount Everest 29,035 ft./8850 m. Asia Mount Kilimanjaro 19,563 ft./5963 m. Africa Mount McKinley 20,320 ft./6194 m. North America Puncak Jaya 16,023 ft./4884 m. Australia/Oceania Vinson Massif 16,066 ft./4897 m. Antarctica Mount Elbrus 18,510 ft./5642 m. Europe Aconcagua 22,841 ft./6962 m. South America
  • 8.
    Highest Ski Resorts USA World • Breckenridge, CO • Chalaltaya, Bolivia – 12,840 ft, 3914 m – 17,388 ft, 5300 m • Loveland, CO – 12,700 ft, 3870 m • Gulmaq, India – 13,058 ft, 3980 m • Arapahoe Basin, CO – 12,472 ft, 3801 m • Tachal, Iran • Winter Park, CO – 12,631 ft, 3850 m – 12, 060 ft, 3676 m
  • 9.
    High Altitude Environment •Air density – key factor for health related issues • Air pressure (barometric) lessens as altitude increases – As altitudes increases, less air above pressing down – Think ocean pressure • Pressure at bottom higher from weight of water above
  • 10.
    Air Pressure -Altitude • Less air pressure – less dense air – “thin air” – Air holds less molecules per area – Individual gas’ pressure is less • 3 important consequences: – Lower number of oxygen molecules / area (less ppO2) – Lower number of water molecules / area (lower humidity) – Less and thinner air above to shield from harmful sun rays
  • 11.
    High Altitude Environment Health • Oxygen – Lower air pressure – lower oxygen content in air – Major effect for health • Humidity – Lower air pressure – lower water content in air – Dehydration risk • Sun – less atmospheric protection from – More UV ray exposure
  • 12.
  • 13.
  • 14.
  • 15.
    Oxygen and Health The Quick Tour • Oxygen needed for production of ATP – Key energy molecule of the body – Made in every cell of the body - mitochondria – Needed for function and even survival of cells/body – Hypoxia – tissues don’t have enough O2 – Can’t produce normal quantities of energy • Body can produce ATP without O2 – anaerobic metabolism or cellular anaerobic respiration – 13 times less efficient
  • 16.
    O2 - Airto Mitochondria – ATP The Quick Tour • Lungs’ function – air (O2) to blood • Red blood cell (RBC) – carries bulk of O2 in blood • Circulatory system - carries O2 rich blood to tissues • Mitochondria – uses O2 to manufacture ATP, the energy molecule
  • 17.
  • 18.
    O2 into blood,then into RBC, on to hemaglobin – normally > 97 % sat RBCs in vessel Hemaglobin molecule
  • 19.
    O2 - Lungto Circulation to Tissue
  • 20.
    O2 into Tissues,Cells, Mitochondria
  • 21.
  • 22.
  • 25.
  • 26.
    Fun O2 Facts •Ave rest O2 consumption – 250 ml / minute • Ave rest amount of O2 from blood – 25 % • Healthy adult minute ventilation 5 – 8 l/min • Vt 500 ml, 7 ml/ kg, RR 12 – 20 bpm • VO2 max 45 ml/kg/minute • VO2 max 3.5 l / minute
  • 27.
  • 28.
  • 29.
  • 30.
    Hypoxemia Hinge Points Oxygen Carrying Altitude O2 Sat • Normal O2 sat > 97 • 94 % • 2000 m sat less than 94% – ppO2 blood - 70 – 6500 ft – Humans work to keep O2 at or above • 90 % – Below O2 content drops • 3500 m sat less than 90 % dramatically – 11,500 ft – Hypoxia can occur – low energy production • 80 % – Cognitive dysfunction • 5500 m sat less than 80 % – Other organ dysfunction – 18,000 ft
  • 31.
  • 32.
    Acclimatization Adjusting to Thin Air, Low Oxygen • Begins 1500 m (5000 ft) to 2000 m (6500 ft) • Intensity depends upon how high, how fast “hypoxic stress” • Three phases – Immediate – Intermediate (days) – Long term (weeks to 2 mos)
  • 33.
    Acclimatization Immediate • Lung • Cerebral – increased respiratory rate – Increase flow (up to 24 % at – increased tidal volume 4000 m) – Pulmonary artery – More O2 to highly O2 vasoconstriction - V/Q dependant brain – increase O2 in alveoli - blood • Cardiovascular • Digestive – increased heart rate / – Decreased appetite, digestion contraction – decreased energy demand – increased BP (10mm Hg)/ venous for taxed body tone – increase DO2 • DO2 = CO x O2 content blood (hgb x %sat) • CO = HR x stroke volume
  • 34.
    Ventilation Perfusion Matching where less air less blood flow
  • 35.
    Acclimatization Intermediate - Days • Kidney – bicarbonate diuresis for acid base balance – Hyperventilation causes blood alkalosis – Kidney compensates • Pulmonary – Ventilation increase and V/Q matching continue for up to one week – PHTN continues (mean 25 mmHg – mild) • 2,3 DPG – Molecule in RBC that allows Hgb to unload O2 easier into the tissues
  • 36.
    Acclimatization Long Term, Weeks – 2 mos • Polycythemia • Mitochondria - aerobic – Kidney puts out erythropoietin – Decrease number – stimulates bone marrow to make more RBCs – More efficient O2 use • Increased RBC mass • Increased anaerobic – More Hgb metabolism • Increased muscle capillaries – Outside mitochondia – More DO2 to exercising – Increased efficiency muscles • Heart • Increased myoglobin – HR stays higher – Muscle protein holds, stores – BP comes down O2
  • 37.
    Adaptation Generations • Genetic selection of advantageous traits for altitude • Three populations studied – Andeans • Above 4000 m (13,000 ft) • Increased HGB – Tibetans and Nepalese • Above 4000 m (13,00 ft) • Increased ventilation (breathing) • Increased blood vessels, and circulatory performance • Cellular energy – anaerobic and efficient – Amhara people Ethiopia • Above 3500 m (11,500 ft) • Normal ventilation • Normal blood vessels • Cellular energy – anaerobic and efficient
  • 39.
    Adaptation Generations • Adapted populations have a different set of genes (natural selection) that essentially, augment acclimatization – U College London – U of Colorado – Mayo • Different level of expression of hypoxia beneficial genes – 2010 – Science and PNAS - multinational team, led by U College London, Hugh Montgomery • Tibetans at 15,000 ft have a variant of EPAS1 gene (controls HIF-1) • HIF = Hypoxia-Inducible Factor (discovered 1995)
  • 40.
    Very Exciting • HIF– Hypoxia Inducible Factor – Discovered 1992 • Hopkins team investigating erythropoeitin – “transcription factor” – Turns on hundreds of genes helpful to acclimatization • All three populations of high altitude people have upregulated HIF pathway • Genes turned on by altitude can help understand hypoxia tolerance and develop therapies • Important in cardiac and pulmonary disease
  • 42.
    What to Expectat Altitude Normal Acclimatization Response • Fatigue • Increased diuresis – Common – Up to 4 days – Lasts up to 48 hours • Poor performance – Due to energy availability – Mental but especially physical • Mild SOB – Up to a week – Due to increased need for • Weight loss ventilation – Diuresis – 2 – 4 days – Decreased appetite • Mildly increased HR, BP • Disturbed sleep – Due to increased DO2 – Periodic breathing – BP Up to a week (10 mmHg) – Due to need to – HR stays up hyperventilate, and subsequent alkalosis
  • 44.
    USArmy Institute for EnvironmentalMedicine • 4,000 ft (1200 m) – physical performance • 8,000 ft (2440 m) – cognitive performance • 10,000 ft (3,050 m) - judgement
  • 45.
    Physical performance • Afteracclimatization (2 weeks) level of fitness performance depends upon altitude – 1% loss for every 100m above 1500 m • 90 % at 2500 m (8,200 ft) • 75 % AT 4000 m (13, 100 ft) • 65 % AT 8000 m (26, 240 ft)
  • 46.
    Altitude Sickness Failure of Acclimatization • Acute mountain Illness • Sleep disordered breathing • HAPE – high altitude pulmonary edema • HACE – high altitude cerebral edema • HARH – high altitude retinal hemaorrhage • Chronic Mountain illness
  • 47.
    AMI – RiskAbove 2500 m (8200 ft) Cause: Timing / treatment •lung, cardiovacular, renal, energy •stress •Increased cerebral flow • Symptoms • 4 – 6 hours after arrival – Fatigue • Worse after first night – HA • Resolves two days – Light headedness • Treatment – Anorexia, nausea, vomiting – NSAIDs/tylenol – SOB – Acetizolamide (48 – 72 hrs) – Disturbed sleep – Dexamethasone (48 – 72 hrs) • No lab / Xray tests – If does not resolve descend – If severe – oxygen 2 – 4 l/min
  • 48.
  • 49.
    Sleep Disordered Breathing Above 3500 m (11,500 ft) • Periodic breathing – Periods of rapid breathing during sleep – Cycle between normal shallow ventilation of sleep, hyperventilation to maintain O2 sat • Can disrupt deep sleep – Frequent arousals – Less time in REM – deep sleep • Oxygen can help • Resolves 2 – 3 days
  • 50.
    HACE / HARH Above 4500 m (14,760 ft) HACE HARH • Cause • Similar to HACE – Leak from cerebral blood vessels – brain swelling – Retinopathy – microhemorrhage – microhemorrhage • Sxs – Start 6 – 12 hrs – Confusion – Impaired motor fxn /gait – Stupor to coma • Tests – MRI • Treatment – Descend ASAP – Oxygen – Hyperbaric oxygen – dexamethasone
  • 51.
  • 52.
  • 53.
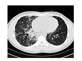
    HAPE Above 4500 m (14,760 ft) Pathophysiology Clinical • Severe pulmonary • 2 – 4 days after arrival Hypertension • SOB • Some areas pulmonary • Cough vascular bed overperfused • Hemoptysis • Blood vessel injury • Dx • Fluid leak into lung – Crackles • Lung edema – water – Xray – Worsens gas exchange
  • 54.
    Ventilation Perfusion Matching where less air less blood flow
  • 55.
  • 58.
    HAPE Treatment • Oxygen • Descent • Hyperbaric chamber • Positive Pressure Ventilation • B – agonist inhalers • Pulmonary vasodilators – Nifedipine – sildenafil
  • 59.
    Chronic Mountain Illness Monge’s Disease Above 3000 m (9,840 ft) • Polycythemia – Hgb > 20 • Chronic PHTN • SXs – Poor mental function – Poor organ function – Total body edema • Treatment – descend
  • 61.
    Risk of AltitudeSickness • Risk by altitude – AMI - above 2500 m 20 %, above 4500 m 50 % • Sleep disordered breathing 3500 m – HAPE – above 4500 m 5 - 10 % • slow ascent from 2000 m only 1 – 2 % – HACE – above 4500 m 1 – 2 % – HARH – above 4500 m 1 - 2 % – Death zone – above 8000 m – acclimatization not possible, survival – hours, days max – Adaptation – not above 6000 m, 19,700 ft – Everest- 8850 m, 29000 ft • Base camp 5100 m (16, 728 ft) – 5400 m (17, 712 ft)
  • 62.
    Risk of AltitudeSickness • Risk by speed – Above 3000 m (9800 ft) • No more than 500 m /day if low risk AMI • No more than 350 m / day if high risk AMI • Every two days rest for a day • If ascend high quickly, acetazolamide and decadron • Risk by time at altitude – length of hypoxic stress – Pikes peak (4,270 m, 14,000 ft) – low rate – Up to 4000m (13, 100 ft) hours • Risk by sleeping altitude – Above 2750 m, 9,000 ft – Associated with hypoxic episodes – Hike high sleep low • Pre acclimatization prior stay at altitude - lowers risk – 4 days – Within months • Risk by history of AS – at risk if go above 2500 m (8200 ft)
  • 63.
    Risk by MedicalIllness Can’t Compensate for Low ppO2 • Lung disease • Cadiovascular disease – CAD – CHF • Anemia – Hct < 30, Hgb < 10 • Hemaglobinopathy – Sickle cell, etc.; 2,3 GDP deficiency • Sleep apnea
  • 64.
    Recommendations Going to Altitude – Above 2000 m • People are highly variable in acclimatization – Genetically determined (low PDP2 gene expression – intolerant of altitude) – Not a function of fitness – Older age (> 50) may be mildly protective against Altitude Sickness – Women slightly higher risk – Underlying diseases: • Lung disease • Heart disease
  • 65.
    Risk • Can’t asseswith current technology • Hypoxic exercise – not predictive • Future gene array or hypoxic HIF levels • For now: • Altitude • History of AS • Underlying medical conditions
  • 66.
    Recommendations • If historyof AMS / travel above 2500 m (8200 ft) ft – acetazolamide – 24 hrs before, and for 48 hrs into stay – 250 mg bid • First night sleep at less than 9000 feet (2750 m) – (ARC – UC) • Rest for 2 – 4 days – Vigorous exercise may prompt AMI • Creating tissue hypoxia • Gradual activity increase over week • Signs of AMI – 500 - 1000 m descent
  • 67.
    Recommendations • Alcohol, sleepingpills, other respiratory depressants – avoid 2 days to one week • Caffeine – do not cold turkey – a respiratory stimulant • Avoid salty – increases BP • No tobacco – CO impairs O2 transport • Carbohydrates – best fuel for high altitude – Helps aerobic / anaerobic metabolism
  • 68.
    Above 3500 m 11,500 ft • If rapid significant risk AS – Acetazolamide – Decadron prophylaxis – O2
  • 69.
    Altitude tolerance -common cardiovascular and pulmonary diseases Travel to altitudes above 2000 m inadvisable: • Cardiovascular diseases – Within 3 months of myocardial infarction, stroke, ICD implantation, thromboembolic event – within 3 weeks – Unstable angina pectoris – Before planned coronary interventions – Heart failure, NYHA class >II – Congenital cyanotic or severe acyanotic heart defect • Pulmonary diseases – Pulmonary arterial hypertension – Severe or exacerbated COPD (GOLD stage III–IV) – FEV1 <1 liter – CO2 retention – Poorly controlled asthma
  • 70.
    Travel to altitudesof 2000-3000 m permissible: • Cardiac diseases – asymptomatic or stable CAD (CCS I–II) – Stress ECG normal up to 6 METs – Normal performance capacity for age – Blood pressure under good control – No high-grade cardiac arrhythmia – No concomitant illnesses affecting gas exchange • Pulmonary diseases – Stable COPD or asthma under medical treatment, with adequate reserve function for the planned activity • For travel to altitudes above 3000 m: – Evaluation by a specialist in altitude medicine and physiology ICD, implantable cardiac defribrillator; NYHA, New York Heart Association; COPD, chronic Obstructive pulmonary disease; GOLD, Global Initiative for Chronic Obstructive Lung Disease; FEV1, forced expiratory volume in 1 second; CHD, coronary heart disease; CCS, Canadian Cardiovascular Society; MET, metabolic equivalent of task
  • 71.
    O2 requirement 2000 m (6500 ft) – 3000 m(9840 ft) • O2 Sat greater than 95 % - OK • O2 Sat less than 92 % - need O2 • Between 92 – 95 % assesment – If concurrent lung / heart disease – O2 – Rule is 2 liters • if no O2 2 liters / min • If O2 2 liters / min above base - chronic lung disease
  • 72.
    SAS 2000 m (6500 ft) • Worse at altitude • 1500 m – diamox • 2500 m - O2 with CPAP
  • 73.
    Pregnancy • High altitudecommunities – Lower birth weights, though developmentally OK – Higher incidence of PIH, preeclampsia, eclampsia • Physiology – Between 2500 and 3000 m, in utero Hgb increases • Recs – Up to between 2500 (8,200 ft) and 3000 (10,000 ft) safe
  • 75.
    Pediatrics • Younger children(less than 8 y.o.) progressively more at risk (up to 4 x) for hypoxia and altitude sickness – Limited ability to compensate • Teens twice the risk • Recs – Absolutely no child above 3500 m (11,500 ft) – Young children not above 3000 m (10,000 ft) – Teens acclimatization and great care above 3500 m (10,000 ft)
  • 76.
    Water Dehydration Symptoms – At 6000 m or feet – loose twice • Lack of perspiration as much water • Water through skin and • Overheating breathe – Hypohydration – increases risk • Headache of AMS • Light headed • 1999 – Basnyat – AMS risk increases by 60 % • Fatigue • Less than 3 Liters per day • Dark (concentrated urine) – Hyperhydration – increases risk for AMS/HAPE/HACE • 2009 – Richardson – increased risk • Above 4500 m
  • 77.
    Temperature • Drops 3.5degree F for every 1000 ft • Drops 6.5 degree C for every 1000 m • Contributes to decreased humidity at altitude
  • 79.
    Water Hydration Recs • Usual daily fluid intake – 8, 8 oz glasses water /day – ½ body weight (lbs) in ozs • Twice usual intake – 3 – 5 Liters / day • Key to start day, exercise hydrated – O/N lose hydration – Data is that most altitude hikers start hypohydrated – 16 ozs to start – Altitude exercise 8 ozs every 20 minutes
  • 80.
    Sun UVB &UVA Altitude Other effectors • For every 1000 ft altitude 4 • 85% increase from snow reflection • 25% increase from white-water – 8 % more UVB exposure reflection • 50 % increase from water reflection • 80% of UV rays pass through cloud • So at 8000 ft – more than • 20% from sand and grass 30 % more exposure reflection - and 40% when wet • 15% reflection from concrete buildings • 50% can be reflected into shaded areas • 50% UVB and 80% UVA passes through the upper 50cm of water
  • 82.
    UV Exposure Skin Adverse Effects Recs • Micro zinc oxide 5 % - only ingredient that blocks all of UVA • Burn and UVB • Aging • SPF – 30 at least – Sun Protection Factor • Skin cancer • amount of UV radiation required to cause sunburn on skin with the sunscreen on, as a multiple of the amount required without the sunscreen • how long one can stay in the sun • If in water or sweating – water resistant • If in sun more than 30 minutes • Fresh screen
  • 83.
    UV Exposure Eye Complications Guidelines – eye wear • Acute • 99-100% UV absorption – Photokeratitis - corneal burn • Polycarbonate or CR-39 lens (lighter, more comfortable – snow blindness than glass) – Photoconjunctivitis – • 5-10% visible light conjunctival burn transmittance “glacier glasses” • Chronic • Large lenses that fit close to the face – Pterygium – conjunctival growth • Wraparound or side shielded to prevent incidental light – Cataracts exposure – retinopathy • If out more than 30 minutes
  • 86.
    High Altitude Living– Healthy Colorado – Highest State • J of Epi and Community Health - 2011 – Colo – lowest death rate from cardiovascular disease • Lower rate of HTN – Colo – lowest death rate lung and colon CA • J of Epi and Community Health – 2004 – Greece - Lower rate of total and cardiovascular deaths at altitude • Robert Wood Johnson foundation – Lowest rate of obesity USA – Colorado – 19.8 % • 7 / 10 counties in US with greatest longevity – In Colorado – average altitude
  • 87.
    High Altitude Living- Unhealthy • J of Epi and Community Health - 2011 • High rate of skin cancer Colo • Colorado – always in top 10 states suicide rate • Similar data from around the world • Perry Menshaw U of Utah, Brain Institute – Altitude above 6000 ft is associated with suicide rates
  • 88.
    Mechanisms • CV health – altitude good for blood vessels and circulation – Vessel growth and plasticity • Vit D (from sunlight) may protect against colon and other cancers • COPDers (smokers) do not tolerate Colo • Hypoxemia may promote anxiety / depression
  • 89.
    Athletes • U ofUtah, UC Colo Springs, Australia, Switzerland, Norway • blood doping (1980s), epo (1990s)– 17 % improvement in speed and endurance • Live high train low – now the standard – live 2500 m or sleep in low O2 environments (10 hours) • Trigger better O2 use – train low 1250 m, or use supplemental O2 • To optimally work muscles – Improvements average 2 – 3 % - some more – Improvements last 2 weeks
  • 90.
    Live Low –Sleeping Tent
  • 91.
    Aspen • Altitude – 2450 m (8,000 ft) • Baromatric pressure – 739 mm hg • O2 content – ppO2: 112 – 75 % sea level