΢εμηκάνηα ΢οκεπηδόμεκεξ Γθπαίδεοζεξ
              Αζήκα Νμέμβνημξ 2011


1.SPECT/ CT
  Ιζηορική αμαδρομή-Γεμικά ζηοιχεία

2.Εθαρμογή ζηημ Εμδοκριμολογία.

                   Σ. ΢πονηδςκίδεξ
                   Πονεκηθόξ Ιαηνόξ
                  Γπημειεηήξ A. Γ΢Τ
             Γνγαζηήνημ Πονεκηθήξ Ιαηνηθήξ
                  Π.Π. Γ. Ν. Παηνώκ
David Kuhl θαη Roy Edwards 1963
         Πνώηε
       ‘emmision’
       ημμμγναθία
     (Pennsylvania)




Ανπή SPECT, PET


                             14/5/1965 Kuhl, Hale, Eaton
                                                         Πνώημ
                            Τοποθέηηζη Am-241
     Mark II                   αμαζύζηαζη με:
                          filtered-back projection
   brain scanner
                                                   ‘transmission scan’
                                                       ημο ζώναθα
1971 πνώημξ αλμκηθόξ ημμμγνάθμξ ΓΜΙ-scanner
                                Godfrey Hounsfield
                                    Μηχανικός
                                   (1919-2004)
                                       (UK)




                          Λήρε 4 min
                          Γπελενγαζία 7 min
Πνμζπάζεηα ημμμγναθηθήξ απεηθόκηζεξ ‘εθπμμπήξ’
          με πενηζηνμθή ημο αζζεκμύξ

              Gerd Muehllehner
                                        Tom Bundiger



1968                                      1970-74
1976 SPECT-ANGER CAMERA




        Ron Jaszczak
          Φοζηθόξ




         John Keyes
Πνμζπάζεηεξ γηα ηαοηόπνμκε aπεηθόκηζε εθπμμπήξ-μεηάδμζεξ
                  (emission-transmission )
            1987                        1989
    Mirshanov Soviet patent
    for emission-trasmission
     computed tomography



                                                    X-ray
Πνμζπάζεηεξ θμηκμύ ακηπκεοηή γηα x-ray, ‘emission’
              Γπμπή ημο Βruce Hasegawa
                                             1951 – 2008
             1989-1991                         Φοζηθόξ
      University of California (UCSF)




                Αζζεκήξ




                                          Ίδημξ ακηπκεοηήξ
                          Mibi             High-Purity-Ge
                                                (HPG)
                                                 γηα
                                        emission-transmission
1996-1999
Hasegawa
  (UCSF-GE)



   1995
GE 600 XR/T
SPECT system
with a GE 9800
Quick CT canner.
1999  GE -Hawkeye
SPECT (VG) Infinia, Non-Diagnostic CT 1 slice (10mm)
 Rotation time 20-23 sec/slice (40 cm 10-15 min)
       Slice width 1cm, 2,5 mm CT resolution
       x-ray tube: 2,5 mA , 350 W , 140kV)
Infinia-Hawkeye 4 Hawkeye HD
        CT 4 slices (4x5mm)
    (CT dose range 0,1-1.8 mSv).
Conventional CT > 6,5 mSv. 20-80mA.       Alkyone Technology
                                          Nuclear Cardiology
      mA: 1-2,5 , 40 cm/ 5 min.
                                        Cadmium Zinc Telluride
                                      focused pin-hole collimation



                               Discovery™ NM/CT 670
                                     CT 16 slice
Philips




        BrightView XCT
Flat panel detector X-ray CT
 ‘Low Dose’-High Resolution
    Dose (CTDI) - Typical:
  ~6 mGy (body localization)
        ~1 mGy (AC)               Precedence
    CT  πενίπμο 2 min.            SPECT –MSCT
                                 Diagnostic CT-6/16
                                   kVp: 90, 120 or 140
                                      mA: 20 – 500
                               Dose (CTDI):
                               12.85 mGy/100 mAs (head),
                               6.5 mGy/100 mAs (body)
Siemens




         Symbia
Diagnostic CT- 2/6/16/64
 x-ray tube: 20-345 mA
MEDISO



                        AnyScan SC




  AnyScan
Spect-CT-PET
Animal
SPECT/CT
Γηαηί SPECT /CT;
Μόκμ
ε ιεηημονγηθή απεηθόκηζε



Υςνίξ ηεκ ζοζπέηηζε με
ηεκ ακαημμηθή εκηόπηζε


Μπμνεί κα μδεγήζεη ζε
 απώιεηα ηεξ ζςζηήξ
     δηάγκςζεξ
ΓΠΙΠΡΟ΢ΘΓΣΗ ΒΟΗΘΓΙΑ
1.   Αθνηβήξ ακαημμηθή εκηόπηζε ηςκ εονεμάηςκ πμο ακαδεηθκύμκηαη με ημ SPECT/CT.
     - δηάθνηζε παζμιμγηθμύ – θοζημιμγηθμύ  αύλεζε ηεξ εηδηθόηεηαξ
     - ζςζηή αλημιόγεζε ηςκ βιαβώκ -αιιαγή ζεναπεοηηθώκ απμθάζεςκ.
                                                                                     Bg                 T
2.   Δηόνζςζε γηα ηεκ ελαζζέκεζε ηεξ γ-αθηηκμβμιίαξ          Bg                  T

     με πάνηεξ απμννόθεζεξ βαζηζμέκμοξ ζηεκ CT.
     (non uniform attenuation correction).
     εηθόκεξ αολεμέκεξ ακηίζεζεξ αύλεζε   εοαηζζεζίαξ;
                                                                                          Attenuation
3. Σειεοηαία, αθνηβέζηενμη οπμιμγηζμμί όγθςκ θαηακμμήξ
                                                               Non-Attenuation
                                                                  Correction              Correction


   ημο ν/θ θαη δμζημεηνίαξ ηόζμ γηα ζεναπεοηηθέξ                  T/Bg = 3.3          T/Bg = 5.6
   πμνεγήζεηξ ηζμηόπςκ αιιά όζμ θαη γηα ηεκ ΑΚΘ.

                            Attenuation correction
                            Scatter correction
4. Νέα ζοζηήμαηα με
                            Collimator geometry correction          Πμζμηηθμπμίεζε ?
                            Partial volume effect correction

5. Γπηπνόζζεηε δηαγκςζηηθή πιενμθμνία ηεξ CT.
MEIONEKTHMATA

 Κόζημξ

 Αθηηκμιμγηθή επηβάνοκζε
                                Γίδμξ
                                 CT
 Γπηπιέμκ πνόκμξ ιήρεξ        (2/4/16/64
                                Flat panel)




 Σεπκηθά ζθάιμαηα-αrtifacts
No. presentations SNM 2006: ~30
No. presentations SNM 2010: >150
SPECT/CT ΢ΣΟ ΓΝΔΟΚΡΙΝΙΚΟ ΢Τ΢ΣΗΜΑ


 Καιμήζεηξ παζήζεηξ ζονεμεηδμύξ
  (θαηαδοόμεκε βνμγπμθήιε)


 Κανθίκμξ ζονεμεηδμύξ.

 Απεηθόκηζε παναζονεμεηδώκ αδέκςκ
  (πνςημπαζήξ οπενπαναζονεμεηδηζμόξ)


 Πνςημπαζήξ οπεν-αιδμζηενμκηζμόξ
Καιμήζεηξ παζήζεηξ ζονεμεηδμύξ θαηαδοόμεκε βνμγπμθήιε




                                               99mTc-O4




                      Marker ΢θαγήξ.

                  Άκδναξ 82 εηώκ
                  - Ιζημνηθό Ca ΔΓ πκεύμμκα.
                  - Υεηνμονγεζέκ πνμ 3 εηίαξ
                  - Τπενζονεμεηδηζμόξ
                  - Πμιομδώδε θαηαδοόμεκε βνμγπμθήιε
                  - Γομεγέζε μάδα μεζμζςναθίμο
                  - Φαίκεηαη κα ζοκέπεηαη με ηεκ
                     βνμγπμθήιε
CT
Coronals
SPECT/CT
    Βαζηθέξ θιηκηθέξ εθανμμγέξ




Κανθίκμξ ζονεμεηδμύξ
   Οιόζςμμ Ι-131
Δηαθμνμπμηεμέκμ θανθίκμ ημο ζονεμεηδμύξ
WB Ι-131, Ι-123         Απμθογή ρεοδώξ ζεηηθώκ απμηειεζμάηςκ




                                            Leitha Th, Staudenherz
                                            A. Nuklearmedizin
                                            2003;42:55-62
“Hot Nose”
     “The clown’s nose”




RL              LL
΢ογθεκηνώζεηξ ζημ ζηόμα
΢ογθέκηνςζε ζημ ζηόμα;




Τπμγκάζημξ
Λεμθαδέκαξ


  ΢ΦΡΑΓΙ΢ΜΑΣΑ
I-123 10 mCi




               SPECT
               coronal
Λεμθαδέκαξ?
                  Καηαθνάηεζε
              ζηέιμο ζημκ μηζμθάγμ




                         Οηζοθάγος




                         Οηζοθάγος
Γμβνοσθό οπόιεημμα
Γμβνοσθό οπόιεημμα;




Σρατειηθός ιεκθαδέλας
Θσρεοεηδηθό σπόιεηκκα;
  Θσρεοεηδηθό σπόιεηκκα



Τπερθιείδηος ιεκθαδέλας


Οζηηθή κεηάζηαζε κεηάζηαζε
    Λεκθαδεληθή
Πνόζιερε ζημ
μεζμζςνάθημ




  Πνόζζημ
 μεζμζςνάθημ
πνόζιερε από
     ζύμμ
Καιοήζες θύζηε λεθρού
Καιμήζεξ επαηηθή θύζηε
Γσλαίθα 29 y.o. κε ζσιαθηώδες Ca, Ιτ ζσρεοεηδεθηοκής ιήυε Ι-131 ablation.




                                 Struma Ovari;
Γοκαίθα 42 εηώκ

- Υεηνμονγεζέκ πνμ εηώκ
  ζοιαθηώδεξ Ca
  ζονεμεηδμύξ

- Τπμηνμπή πνμ 2 εηίαξ.

- Απεηθόκηζε μεηά από
  ζεναπεοηηθή   πμνήγεζε
  Ι-131
Γοκαίθα 62 εηώκ

             - Υεηνμονγεζέκ πνμ εηώκ
               ζειώδεξ Ca ζονεμεηδμύξ

             - Μεγάιε ημπηθή οπμηνμπή.

             - Απεηθόκηζε μεηά από
               ζεναπεοηηθή πμνήγεζε Ι-131




Ant   Post
Πλεσκοληθές κίθρο –κάθρο κεηαζηάζεης.
Μεηαζηάζεηξ δηαθμνεηηθήξ δηαθμνμπμίεζεξ
Μελέτη           Ν      Διευκρίνιση βλαβών       Αλλαγή θεραπευτικού πλάνου
    Ruf et al       25             44%                         25%
   NMC 2004

  Tharp et al       71             57%                         41%
  EJNM 2004
  Schnidt et al     75             35%                         25%
   JNM 2009
  Spanou et al                     68%                         36%
   JNM 2009
    Alde et al      55             20%
J Cl Endocr 2009
   Wang et al       94             21%                         15%
Cl Imaging 2009
Kohlfluerst et al   41            63,6%                        25%
  EJNM 2009
   Chen et al        66                                        47%
   JNM 2008
                    (23)
  Wong et al        48                                         58%
  AJR 2010
  Grewal et al      145            48%
   JNM 2010                Απουυγή αλλων εξετάσεων
 Barwick et al      85             70%                         11%
EJ Endocr 2010
151 αζζεκείξ (96 με μηθνμ-θανθίκςμα)        SPECT/CT> WBS
                                                      24,5%




       26% 22%
                                Papillary pT1m (0.3 cm; 0.7 cm) Nx; 74 years old male
SPECT /CT ζημκ α’παζή οπενπαναζονεμεηδηζμό
(Βαζηθή θιηκηθή εθανμμγή)
Nuklear Medizine 2010; 49;187-94
  Tunninen V, Kauppinen T, Eskola H, Koskinen MO


                                                Parathyroid scintigraphy
                                              protocols in Finland in 2010.
                                                Results of the query and
                                                    current status.

                                                      19 Νμζμθμμεία


                                                      18 δηαθμνεηηθά
                                                       πνςηόθμιια

                                                      SPECT 63%,
                                                     SPECT/CT 42%
Φηιακδία (πιεζ 5.300.000)
2 μειέηεξ


   U/S        SPECT       4D-CT
Sens 76%,    Sens 79%   Sens 89%,
PPV 93,2%   PPV 90,7%   PPV 93,5%
Μελέτες                  N     Επ Aπεικόνιση   Pinhole        SPECT(sENS/SPEC)   SPECT/CT    U/S   4D-CT
Loberboym, Scacther
2003, 2004 JNucl Med     82    79%                            96%
Schacthter 2005


Sharma 2006                                    Όχι όλοι όλα
Surgery                  833   62%                            73%                87%
Loveley 2007
jnmed                    110   34-57%/98%                     61-64%/ 98%        72-3%/99%
Tomas 2008
J Nucl Med               50    56%/96%         89%/93%
Neuman 2008
J Nucl Med               61                                   71%/48%            70%/96%
Shon 2008
Nucl Med Communication   62                    81%            65%
Tublin 2009
JUltrasound Med          144                                  58%                            78%
Promegger 2009       (EANM GUIDELINE 2009  Pinhole> SPECT/CT πενημπή ηναπήιμο)
Ann Surgery              116                                  59%/95%            88%/99%           70%/94%
Lingvist 2009
Langebecks Arch Surg     264                                  84%/91%
Swanson 2010
Am J sURGERY             176                                  TPR 56%
Patel 2010
Clinical Radiology       55                                                      90%         64%
Pata 2010
Thyroid                  33                                   80%/87%            93,7%/92%
Starker 2011
Ann Surg Oncol           87                                   40,4%                          48%   85,7%
Memet OKSUZ 2011
Diag Interv Radiol       60    69%                            95%                95%
Nichols 2011
Radiology                462                   85-87%         84%
Pata 2011
Annals Surg. Oncol       55                                   61%/90%            86%/97,4%
ΓΝΣΟΠΙ΢Η
    πνηκ ημ πεηνμονγείμ

 Γθημπία άκς παναζονεμεηδώκ  5-9%
MIP (minimal invasive από ζονεμεηδή <1%
                   πάκς
                        parathyroidectomy)
      επηηοπία > 97-99% από ηναπεία-μηζμθάγμ 1-4%
                     πίζς επηπιμθέξ 1.3%
MIRP (minimal invasive radioguided parathyroidectomy)
                               εκδμζονεμεηδηθά 3%

Endoscopic – Video Assisted parathyroidectomy
         θάης παναζονεμεηδώκ  34%-36%
Radioguided Surgery
                          ζονεμζομηθό ζύκδεζμμ-ζύμμ    26%

Τπμηνμπή-επακεγπείνεζε         πνόζζημ μεζμζςνάθημ
                                    εκδμζονεμεηδηθά
                                                       4-5%
                                                       3%
                                  θανςηηδηθό έιοηνμ    1-2%


  Τπενάνηζμμξ παναζονεμεηδήξ 13%
Αζζεκήξ 1   Γκηόπηζε   Αζζεκήξ 2




  ΢θαγή
Αζζελής κε κεγάιο κε
                                        ιεηηοσργηθό όδο ΑΡ ιοβού
                          Αδέλφκα       θαη σπερπαραζσρεοεηδηζκό
           Θσρ. όδος
                       παραζσρεοεηδώλ

      Πνςσμε ιήρε


                                   Πρόζιευε 99mTc-
Αδέλφκα παραζσρεοεηδώλ πίζφ από όδο ζσρεοεηδούς όδο
                                 Sestamibi από ηολ


          2 ώνεξ
Οπηζζο-ηρατεηαθό αδέλφκα
                 ΓΝΣΟΠΙ΢Η




                             Ονζόημπμ
Mibi early       Mibi late
                             αδέκςμα;
 Pertechnetate




                 Αθαίνεζε
Οπηζζο-οηζοθαγηθό αδέλφκα




        Πνώσμε                        2 ώνεξ

                    Φοπνόξ
                  ζονεμεηδηθόξ
                     όδμξ                      Όδμξ




                                            Αδέκςμα
         Tc-99m                  Αθαίνεζε
EANM 2009
SPECT/Low Resolution CT Sestamibi Scintigraphy compared to Four-
      dimensional CT for Parathyroid Localization in Primary
                      Hyperparathyroidism.
 N. Papandrianos,1 C. Kalogeropoulou,2 T. Spyridonidis,1 P. Zabakis,2 C. Savvopoulos,1 V. Lakiotis,1 Th. Alexandrides,3 T. Petsas,2 P.J.
       Vassilakos,1 D.J. Apostolopoulos.1
                                                                                             Planar              SPECT/CT COMBINATION
                                                                                            (dual phase
                                                                      FINDINGS             + subtraction)          alone


                                                                      True positive             19                     25                  27
30 αζζεκείξ , 29 γοκαίθεξ, 4 άκδνεξ
                                                                      False positive             3                      5                  2
                                                                      Equivocal                  2                     10                  6
                                                                      Sensitivity            59.4 %                78.1 %             84.4 %

                  SCINTIGRAPHY
                                 RADIOLOGY COMBINATION
 FINDINGS           (SPECT/CT
                                   (4D-CT)
                    plus Planar)

 True positive              27                      29                  30
 False positive              2                       1                   0
 Equivocal                   6                       2                   1
 Sensitivity             84.4 %                 90.6 %              93.7 %
Πενίπηςζε –Νμ 9
Γοκαίθα, 57 πν.




MIBI EARLY      MIBI LATE                                2.



                                                 1.
PERTECHNETATE   SUBTRACTION



Α. Γπίπεδε απεηθόκηζε
δηπιήξ θάζεξ θαη
αθαηνεηηθή ηεπκηθή
ανκεηηθή
                                B. SPECT/CT δείπκεη δύμ ύπμπηα- αζαθή εονήμαηα
                                Όπςξ θαίκεηαη ζηηξ ζέζεηξ πμο δείπκμοκ ηα βέιε
Pt No 9




                           1




  1



C. SPECT/CT θαη 4D-CT ζημ επίπεδμ ημο εονήμαημξ 1.
Πνόθεηηαη γηα μπίζζηα επέθηαζε ημο ΔΓ ιμβμύ ημο
ζονεμεηδμύξ (με μηθνμ-μδώδε οθή), πμο πηζακόηενα
δηθαημιμγεί ηεκ πνόζιερε ημο ηεπκεηίμο
Pt No 9




              2




                  D. SPECT/CT θαη 4D-CT ζημ επίπεδμ ημο
                  εονήμαημξ 2. Ακηηζημηπεί ζε μηθνή ελςζονεμεηδηθή
                  βιάβε (9π8π9mm), πμο απμδείπζεθε πεηνμονγηθά
          2
                  αδέκςμα παναζονεμεηδώκ.
Πενίπηςζε – Νμ19
                                          Γοκαίθα 58 πν.
EARLY




                 LATE
                 MIBI
MIBI
 PERTWCHNETATE




                   SUBTRACTION




A. Γζηηαθή πνόζιερε MIBI
θαη θαηαθνάηεζε πςνίξ κα
οπάνπεη ακηίζημηπε πνόζιερε
ζημ ηεκπήηημ ζε ζέζε όμςξ
πμο ζα μπμνμύζε κα είκαη θαη
ζημκ ζονεμεηδή.
Pt No 19




Η 4D-CT δεκ ακέδεηλε ελς-ζονεμεηδηθή βιάβε αιιά μηα ζονεμεηδηθή βιάβε πμο
έδεηπκε πενηθενηθή εκίζποζε με ημ ζθηαζηηθό θαη θεκηνηθή εθθύιηζε μπόηε ζεςνήζεθε
εθθοιηζμέκμξ ζονεμεηδηθόξ όδμξ. Ιζημιμγηθά μεηά ημ πεηνμονγείμ απμδείπζεθε όηη
ήηακ εκδμ-ζονεμεηδηθό αδέκςμα παναζονεμεηδώκ.
΢ύγθνηζε SPECT/CT MIBI, SPECT/CT TC99m


                                    SPECT/CT
                                      MIBI
                                      1 ώνα




                                    SPECT/CT
                                       TC99m
                                   (ζε άιιε μένα)




                                     Fusion
                                    (AMIDE)
SPECT/CT




                                   Γπίπεδε μειέηε
                                    δηπιήξ θάζεξ
                                    θαη αθαίνεζεξ
                                   πηζακά ανκεηηθή
       1. Αδέκςμα παναζονεμεηδώκ
2μ αδέκςμα;




1 αδέκςμα
Βμήζεηα εκηόπηζεξ άιιςκ ηοπαίςκ εονεμάηςκ



             15 min




2 Hrs
131I-Norchol            (NP-59)
             Πνςημπαζήξ οπεν-αιδμζηενμκηζμόξ

                                                   επίπηςζε 5-12%
20-30% πιεζοζμμύ  ΑΤ                              20% ζε ακζεθηηθή οπένηαζε



  Rossi et al. PAPY STUDY, JACC 2006;48:2293-300


 Adrenal Venous Sampling


 20% με δηαγκςζηηθό
 Γλεηδηθεομέκα θέκηνα <5%-10%
 Γπεμβαηηθή-επηπιμθέξ 2,5-3%                          Aldosterone Producing Adenoma (APA)

                                                      Idiopathic Hyper-Aldosteronism (IHA)
D Simon, M Palese Current Urology Reports 2008;9:80-87




 2001

 1999

 2000
 2003
               CT




               MRI

2003
1997
1989
1988
1983
        1999
1990
1984
1979
1979
          NP-59
1979
2052 αζζ.  952 CT ή ΜRΙ θαη AVS
  14,6% (138 αζζ) πεηνμονγείμ γηα IHA
 3,9% (37 αζζ) πεηνμονγείμ ζε ιάζμξ επηκεθνίδημ
 19,1% (182 αζζ) θανμαθεοηηθή αγςγή γηα APA
27 αζζεκείξ με αζαθή εονήμαηα ζε CT, AVS
131I-Norchol


Πνόζζηα    3 Ημένεξ      Οπίζζηα




                         ????

Πνςημπαζήξ οπεναιδμζηενμκηζμόξ
SPECT/CT

   IHA




Transverse
Γοπανηζηώ γηα ηεκ οπμμμκή ζαξ

H θέση του SPECT-CT στην ενδοκρινολογία

  • 1.
    ΢εμηκάνηα ΢οκεπηδόμεκεξ Γθπαίδεοζεξ Αζήκα Νμέμβνημξ 2011 1.SPECT/ CT Ιζηορική αμαδρομή-Γεμικά ζηοιχεία 2.Εθαρμογή ζηημ Εμδοκριμολογία. Σ. ΢πονηδςκίδεξ Πονεκηθόξ Ιαηνόξ Γπημειεηήξ A. Γ΢Τ Γνγαζηήνημ Πονεκηθήξ Ιαηνηθήξ Π.Π. Γ. Ν. Παηνώκ
  • 2.
    David Kuhl θαηRoy Edwards 1963 Πνώηε ‘emmision’ ημμμγναθία (Pennsylvania) Ανπή SPECT, PET 14/5/1965 Kuhl, Hale, Eaton Πνώημ Τοποθέηηζη Am-241 Mark II αμαζύζηαζη με: filtered-back projection brain scanner ‘transmission scan’ ημο ζώναθα
  • 3.
    1971 πνώημξ αλμκηθόξημμμγνάθμξ ΓΜΙ-scanner Godfrey Hounsfield Μηχανικός (1919-2004) (UK) Λήρε 4 min Γπελενγαζία 7 min
  • 4.
    Πνμζπάζεηα ημμμγναθηθήξ απεηθόκηζεξ‘εθπμμπήξ’ με πενηζηνμθή ημο αζζεκμύξ Gerd Muehllehner Tom Bundiger 1968 1970-74
  • 5.
    1976 SPECT-ANGER CAMERA Ron Jaszczak Φοζηθόξ John Keyes
  • 6.
    Πνμζπάζεηεξ γηα ηαοηόπνμκεaπεηθόκηζε εθπμμπήξ-μεηάδμζεξ (emission-transmission ) 1987 1989 Mirshanov Soviet patent for emission-trasmission computed tomography X-ray
  • 7.
    Πνμζπάζεηεξ θμηκμύ ακηπκεοηήγηα x-ray, ‘emission’ Γπμπή ημο Βruce Hasegawa 1951 – 2008 1989-1991 Φοζηθόξ University of California (UCSF) Αζζεκήξ Ίδημξ ακηπκεοηήξ Mibi High-Purity-Ge (HPG) γηα emission-transmission
  • 8.
    1996-1999 Hasegawa (UCSF-GE) 1995 GE 600 XR/T SPECT system with a GE 9800 Quick CT canner.
  • 9.
    1999  GE-Hawkeye SPECT (VG) Infinia, Non-Diagnostic CT 1 slice (10mm) Rotation time 20-23 sec/slice (40 cm 10-15 min) Slice width 1cm, 2,5 mm CT resolution x-ray tube: 2,5 mA , 350 W , 140kV)
  • 10.
    Infinia-Hawkeye 4 HawkeyeHD CT 4 slices (4x5mm) (CT dose range 0,1-1.8 mSv). Conventional CT > 6,5 mSv. 20-80mA. Alkyone Technology Nuclear Cardiology mA: 1-2,5 , 40 cm/ 5 min. Cadmium Zinc Telluride focused pin-hole collimation Discovery™ NM/CT 670 CT 16 slice
  • 11.
    Philips BrightView XCT Flat panel detector X-ray CT ‘Low Dose’-High Resolution Dose (CTDI) - Typical: ~6 mGy (body localization) ~1 mGy (AC) Precedence CT  πενίπμο 2 min. SPECT –MSCT Diagnostic CT-6/16 kVp: 90, 120 or 140 mA: 20 – 500 Dose (CTDI): 12.85 mGy/100 mAs (head), 6.5 mGy/100 mAs (body)
  • 12.
    Siemens Symbia Diagnostic CT- 2/6/16/64 x-ray tube: 20-345 mA
  • 13.
    MEDISO AnyScan SC AnyScan Spect-CT-PET
  • 14.
  • 15.
  • 16.
    Μόκμ ε ιεηημονγηθή απεηθόκηζε Υςνίξηεκ ζοζπέηηζε με ηεκ ακαημμηθή εκηόπηζε Μπμνεί κα μδεγήζεη ζε απώιεηα ηεξ ζςζηήξ δηάγκςζεξ
  • 17.
    ΓΠΙΠΡΟ΢ΘΓΣΗ ΒΟΗΘΓΙΑ 1. Αθνηβήξ ακαημμηθή εκηόπηζε ηςκ εονεμάηςκ πμο ακαδεηθκύμκηαη με ημ SPECT/CT. - δηάθνηζε παζμιμγηθμύ – θοζημιμγηθμύ  αύλεζε ηεξ εηδηθόηεηαξ - ζςζηή αλημιόγεζε ηςκ βιαβώκ -αιιαγή ζεναπεοηηθώκ απμθάζεςκ. Bg T 2. Δηόνζςζε γηα ηεκ ελαζζέκεζε ηεξ γ-αθηηκμβμιίαξ Bg T με πάνηεξ απμννόθεζεξ βαζηζμέκμοξ ζηεκ CT. (non uniform attenuation correction). εηθόκεξ αολεμέκεξ ακηίζεζεξ αύλεζε εοαηζζεζίαξ; Attenuation 3. Σειεοηαία, αθνηβέζηενμη οπμιμγηζμμί όγθςκ θαηακμμήξ Non-Attenuation Correction Correction ημο ν/θ θαη δμζημεηνίαξ ηόζμ γηα ζεναπεοηηθέξ T/Bg = 3.3 T/Bg = 5.6 πμνεγήζεηξ ηζμηόπςκ αιιά όζμ θαη γηα ηεκ ΑΚΘ. Attenuation correction Scatter correction 4. Νέα ζοζηήμαηα με Collimator geometry correction Πμζμηηθμπμίεζε ? Partial volume effect correction 5. Γπηπνόζζεηε δηαγκςζηηθή πιενμθμνία ηεξ CT.
  • 18.
    MEIONEKTHMATA  Κόζημξ  Αθηηκμιμγηθήεπηβάνοκζε Γίδμξ CT  Γπηπιέμκ πνόκμξ ιήρεξ (2/4/16/64 Flat panel)  Σεπκηθά ζθάιμαηα-αrtifacts
  • 19.
    No. presentations SNM2006: ~30 No. presentations SNM 2010: >150
  • 20.
    SPECT/CT ΢ΣΟ ΓΝΔΟΚΡΙΝΙΚΟ΢Τ΢ΣΗΜΑ  Καιμήζεηξ παζήζεηξ ζονεμεηδμύξ (θαηαδοόμεκε βνμγπμθήιε)  Κανθίκμξ ζονεμεηδμύξ.  Απεηθόκηζε παναζονεμεηδώκ αδέκςκ (πνςημπαζήξ οπενπαναζονεμεηδηζμόξ)  Πνςημπαζήξ οπεν-αιδμζηενμκηζμόξ
  • 21.
    Καιμήζεηξ παζήζεηξ ζονεμεηδμύξθαηαδοόμεκε βνμγπμθήιε 99mTc-O4 Marker ΢θαγήξ. Άκδναξ 82 εηώκ - Ιζημνηθό Ca ΔΓ πκεύμμκα. - Υεηνμονγεζέκ πνμ 3 εηίαξ - Τπενζονεμεηδηζμόξ - Πμιομδώδε θαηαδοόμεκε βνμγπμθήιε - Γομεγέζε μάδα μεζμζςναθίμο - Φαίκεηαη κα ζοκέπεηαη με ηεκ βνμγπμθήιε
  • 22.
  • 23.
    SPECT/CT Βαζηθέξ θιηκηθέξ εθανμμγέξ Κανθίκμξ ζονεμεηδμύξ Οιόζςμμ Ι-131
  • 24.
    Δηαθμνμπμηεμέκμ θανθίκμ ημοζονεμεηδμύξ WB Ι-131, Ι-123 Απμθογή ρεοδώξ ζεηηθώκ απμηειεζμάηςκ Leitha Th, Staudenherz A. Nuklearmedizin 2003;42:55-62
  • 25.
    “Hot Nose” “The clown’s nose” RL LL
  • 26.
  • 27.
  • 28.
    I-123 10 mCi SPECT coronal
  • 29.
    Λεμθαδέκαξ? Καηαθνάηεζε ζηέιμο ζημκ μηζμθάγμ Οηζοθάγος Οηζοθάγος
  • 30.
  • 31.
  • 32.
    Θσρεοεηδηθό σπόιεηκκα; Θσρεοεηδηθό σπόιεηκκα Τπερθιείδηος ιεκθαδέλας Οζηηθή κεηάζηαζε κεηάζηαζε Λεκθαδεληθή
  • 33.
    Πνόζιερε ζημ μεζμζςνάθημ Πνόζζημ μεζμζςνάθημ πνόζιερε από ζύμμ
  • 34.
  • 35.
  • 36.
    Γσλαίθα 29 y.o.κε ζσιαθηώδες Ca, Ιτ ζσρεοεηδεθηοκής ιήυε Ι-131 ablation. Struma Ovari;
  • 37.
    Γοκαίθα 42 εηώκ -Υεηνμονγεζέκ πνμ εηώκ ζοιαθηώδεξ Ca ζονεμεηδμύξ - Τπμηνμπή πνμ 2 εηίαξ. - Απεηθόκηζε μεηά από ζεναπεοηηθή πμνήγεζε Ι-131
  • 38.
    Γοκαίθα 62 εηώκ - Υεηνμονγεζέκ πνμ εηώκ ζειώδεξ Ca ζονεμεηδμύξ - Μεγάιε ημπηθή οπμηνμπή. - Απεηθόκηζε μεηά από ζεναπεοηηθή πμνήγεζε Ι-131 Ant Post
  • 40.
  • 41.
  • 43.
    Μελέτη Ν Διευκρίνιση βλαβών Αλλαγή θεραπευτικού πλάνου Ruf et al 25 44% 25% NMC 2004 Tharp et al 71 57% 41% EJNM 2004 Schnidt et al 75 35% 25% JNM 2009 Spanou et al 68% 36% JNM 2009 Alde et al 55 20% J Cl Endocr 2009 Wang et al 94 21% 15% Cl Imaging 2009 Kohlfluerst et al 41 63,6% 25% EJNM 2009 Chen et al 66 47% JNM 2008 (23) Wong et al 48 58% AJR 2010 Grewal et al 145 48% JNM 2010 Απουυγή αλλων εξετάσεων Barwick et al 85 70% 11% EJ Endocr 2010
  • 44.
    151 αζζεκείξ (96με μηθνμ-θανθίκςμα) SPECT/CT> WBS 24,5% 26% 22% Papillary pT1m (0.3 cm; 0.7 cm) Nx; 74 years old male
  • 46.
    SPECT /CT ζημκα’παζή οπενπαναζονεμεηδηζμό (Βαζηθή θιηκηθή εθανμμγή)
  • 47.
    Nuklear Medizine 2010;49;187-94 Tunninen V, Kauppinen T, Eskola H, Koskinen MO Parathyroid scintigraphy protocols in Finland in 2010. Results of the query and current status. 19 Νμζμθμμεία 18 δηαθμνεηηθά πνςηόθμιια SPECT 63%, SPECT/CT 42% Φηιακδία (πιεζ 5.300.000)
  • 48.
    2 μειέηεξ U/S SPECT 4D-CT Sens 76%, Sens 79% Sens 89%, PPV 93,2% PPV 90,7% PPV 93,5%
  • 49.
    Μελέτες N Επ Aπεικόνιση Pinhole SPECT(sENS/SPEC) SPECT/CT U/S 4D-CT Loberboym, Scacther 2003, 2004 JNucl Med 82 79% 96% Schacthter 2005 Sharma 2006 Όχι όλοι όλα Surgery 833 62% 73% 87% Loveley 2007 jnmed 110 34-57%/98% 61-64%/ 98% 72-3%/99% Tomas 2008 J Nucl Med 50 56%/96% 89%/93% Neuman 2008 J Nucl Med 61 71%/48% 70%/96% Shon 2008 Nucl Med Communication 62 81% 65% Tublin 2009 JUltrasound Med 144 58% 78% Promegger 2009 (EANM GUIDELINE 2009  Pinhole> SPECT/CT πενημπή ηναπήιμο) Ann Surgery 116 59%/95% 88%/99% 70%/94% Lingvist 2009 Langebecks Arch Surg 264 84%/91% Swanson 2010 Am J sURGERY 176 TPR 56% Patel 2010 Clinical Radiology 55 90% 64% Pata 2010 Thyroid 33 80%/87% 93,7%/92% Starker 2011 Ann Surg Oncol 87 40,4% 48% 85,7% Memet OKSUZ 2011 Diag Interv Radiol 60 69% 95% 95% Nichols 2011 Radiology 462 85-87% 84% Pata 2011 Annals Surg. Oncol 55 61%/90% 86%/97,4%
  • 50.
    ΓΝΣΟΠΙ΢Η πνηκ ημ πεηνμονγείμ Γθημπία άκς παναζονεμεηδώκ  5-9% MIP (minimal invasive από ζονεμεηδή <1% πάκς parathyroidectomy) επηηοπία > 97-99% από ηναπεία-μηζμθάγμ 1-4% πίζς επηπιμθέξ 1.3% MIRP (minimal invasive radioguided parathyroidectomy) εκδμζονεμεηδηθά 3% Endoscopic – Video Assisted parathyroidectomy θάης παναζονεμεηδώκ  34%-36% Radioguided Surgery ζονεμζομηθό ζύκδεζμμ-ζύμμ  26% Τπμηνμπή-επακεγπείνεζε πνόζζημ μεζμζςνάθημ εκδμζονεμεηδηθά  4-5%  3% θανςηηδηθό έιοηνμ  1-2% Τπενάνηζμμξ παναζονεμεηδήξ 13%
  • 52.
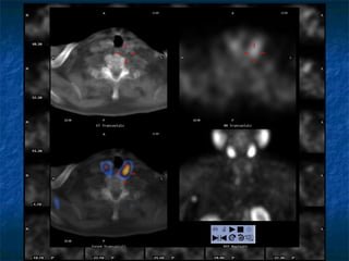
    Αζζεκήξ 1 Γκηόπηζε Αζζεκήξ 2 ΢θαγή
  • 53.
    Αζζελής κε κεγάιοκε ιεηηοσργηθό όδο ΑΡ ιοβού Αδέλφκα θαη σπερπαραζσρεοεηδηζκό Θσρ. όδος παραζσρεοεηδώλ Πνςσμε ιήρε Πρόζιευε 99mTc- Αδέλφκα παραζσρεοεηδώλ πίζφ από όδο ζσρεοεηδούς όδο Sestamibi από ηολ 2 ώνεξ
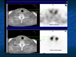
  • 54.
    Οπηζζο-ηρατεηαθό αδέλφκα ΓΝΣΟΠΙ΢Η Ονζόημπμ Mibi early Mibi late αδέκςμα; Pertechnetate Αθαίνεζε
  • 55.
    Οπηζζο-οηζοθαγηθό αδέλφκα Πνώσμε 2 ώνεξ Φοπνόξ ζονεμεηδηθόξ όδμξ Όδμξ Αδέκςμα Tc-99m Αθαίνεζε
  • 56.
    EANM 2009 SPECT/Low ResolutionCT Sestamibi Scintigraphy compared to Four- dimensional CT for Parathyroid Localization in Primary Hyperparathyroidism. N. Papandrianos,1 C. Kalogeropoulou,2 T. Spyridonidis,1 P. Zabakis,2 C. Savvopoulos,1 V. Lakiotis,1 Th. Alexandrides,3 T. Petsas,2 P.J. Vassilakos,1 D.J. Apostolopoulos.1 Planar SPECT/CT COMBINATION (dual phase FINDINGS + subtraction) alone True positive 19 25 27 30 αζζεκείξ , 29 γοκαίθεξ, 4 άκδνεξ False positive 3 5 2 Equivocal 2 10 6 Sensitivity 59.4 % 78.1 % 84.4 % SCINTIGRAPHY RADIOLOGY COMBINATION FINDINGS (SPECT/CT (4D-CT) plus Planar) True positive 27 29 30 False positive 2 1 0 Equivocal 6 2 1 Sensitivity 84.4 % 90.6 % 93.7 %
  • 57.
    Πενίπηςζε –Νμ 9 Γοκαίθα,57 πν. MIBI EARLY MIBI LATE 2. 1. PERTECHNETATE SUBTRACTION Α. Γπίπεδε απεηθόκηζε δηπιήξ θάζεξ θαη αθαηνεηηθή ηεπκηθή ανκεηηθή B. SPECT/CT δείπκεη δύμ ύπμπηα- αζαθή εονήμαηα Όπςξ θαίκεηαη ζηηξ ζέζεηξ πμο δείπκμοκ ηα βέιε
  • 58.
    Pt No 9 1 1 C. SPECT/CT θαη 4D-CT ζημ επίπεδμ ημο εονήμαημξ 1. Πνόθεηηαη γηα μπίζζηα επέθηαζε ημο ΔΓ ιμβμύ ημο ζονεμεηδμύξ (με μηθνμ-μδώδε οθή), πμο πηζακόηενα δηθαημιμγεί ηεκ πνόζιερε ημο ηεπκεηίμο
  • 59.
    Pt No 9 2 D. SPECT/CT θαη 4D-CT ζημ επίπεδμ ημο εονήμαημξ 2. Ακηηζημηπεί ζε μηθνή ελςζονεμεηδηθή βιάβε (9π8π9mm), πμο απμδείπζεθε πεηνμονγηθά 2 αδέκςμα παναζονεμεηδώκ.
  • 60.
    Πενίπηςζε – Νμ19 Γοκαίθα 58 πν. EARLY LATE MIBI MIBI PERTWCHNETATE SUBTRACTION A. Γζηηαθή πνόζιερε MIBI θαη θαηαθνάηεζε πςνίξ κα οπάνπεη ακηίζημηπε πνόζιερε ζημ ηεκπήηημ ζε ζέζε όμςξ πμο ζα μπμνμύζε κα είκαη θαη ζημκ ζονεμεηδή.
  • 61.
    Pt No 19 Η4D-CT δεκ ακέδεηλε ελς-ζονεμεηδηθή βιάβε αιιά μηα ζονεμεηδηθή βιάβε πμο έδεηπκε πενηθενηθή εκίζποζε με ημ ζθηαζηηθό θαη θεκηνηθή εθθύιηζε μπόηε ζεςνήζεθε εθθοιηζμέκμξ ζονεμεηδηθόξ όδμξ. Ιζημιμγηθά μεηά ημ πεηνμονγείμ απμδείπζεθε όηη ήηακ εκδμ-ζονεμεηδηθό αδέκςμα παναζονεμεηδώκ.
  • 62.
    ΢ύγθνηζε SPECT/CT MIBI,SPECT/CT TC99m SPECT/CT MIBI 1 ώνα SPECT/CT TC99m (ζε άιιε μένα) Fusion (AMIDE)
  • 63.
    SPECT/CT Γπίπεδε μειέηε δηπιήξ θάζεξ θαη αθαίνεζεξ πηζακά ανκεηηθή 1. Αδέκςμα παναζονεμεηδώκ
  • 64.
  • 67.
    Βμήζεηα εκηόπηζεξ άιιςκηοπαίςκ εονεμάηςκ 15 min 2 Hrs
  • 68.
    131I-Norchol (NP-59) Πνςημπαζήξ οπεν-αιδμζηενμκηζμόξ επίπηςζε 5-12% 20-30% πιεζοζμμύ  ΑΤ 20% ζε ακζεθηηθή οπένηαζε Rossi et al. PAPY STUDY, JACC 2006;48:2293-300 Adrenal Venous Sampling 20% με δηαγκςζηηθό Γλεηδηθεομέκα θέκηνα <5%-10% Γπεμβαηηθή-επηπιμθέξ 2,5-3% Aldosterone Producing Adenoma (APA) Idiopathic Hyper-Aldosteronism (IHA)
  • 69.
    D Simon, MPalese Current Urology Reports 2008;9:80-87 2001 1999 2000 2003 CT MRI 2003 1997 1989 1988 1983 1999 1990 1984 1979 1979 NP-59 1979
  • 70.
    2052 αζζ. 952 CT ή ΜRΙ θαη AVS 14,6% (138 αζζ) πεηνμονγείμ γηα IHA 3,9% (37 αζζ) πεηνμονγείμ ζε ιάζμξ επηκεθνίδημ 19,1% (182 αζζ) θανμαθεοηηθή αγςγή γηα APA
  • 71.
    27 αζζεκείξ μεαζαθή εονήμαηα ζε CT, AVS
  • 72.
    131I-Norchol Πνόζζηα 3 Ημένεξ Οπίζζηα ???? Πνςημπαζήξ οπεναιδμζηενμκηζμόξ
  • 73.
    SPECT/CT IHA Transverse
  • 75.
    Γοπανηζηώ γηα ηεκοπμμμκή ζαξ