Presented by – Dr. Gurunathreddy
Guided by – Dr. Sreenidhi G M
Introduction
 The bacillus causing tuberculosis, Mycobacterium
tuberculosis, was identified and described on March
24, 1882 by Robert Koch.
Epidemiology
Incidence
 The World Health Organization (WHO) estimates
that 9.29 million new cases of TB occurred in 2014,
compared with 9.26 million new cases in 2013.
 An estimated 1.38 million of the cases in 2014 were
HIV-positive
Genitourinary TB
 Extra pulmonary sites account for 10% of tuberculosis
cases. Genitourinary TB accounts for 30% to 40% of all
extra pulmonary TB,
 Second only to lymphonodal affection. In developed
countries, urogenital tuberculosis occurs in 2% to 10%
of cases of pulmonary tuberculosis, while in
developing countries it occurs in as many as 15% to
20% of cases
 The kidney, epididymis in men, and fallopian
tubes in women are the primary landing sites for
hematogenous spread of TB.
 The prostate is also considered one of the sites for
hematogenous spread, though its involvement with TB
bacilli in urine is more common.
 Other genitourinary organs are involved by direct,
endoluminal, or lymphatic spread from these sites.
Pathologic Features
Kidney
 The kidneys are the primary site of hematogenous
spread of TB. Mycobacteria lodge in the renal
capillaries causing microscopic foci near the glomeruli
bilaterally,
 the cortex being favored due to its greater blood
supply and higher oxygen tension An initial acute
inflammatory response ensues, resulting in
polymorphonuclear leukocytes infiltration.
 Over the following 3 to 6 weeks leading to the formation
of dormant TB foci.
 Central caseous necrosis builds up within the tubercles,
and neighboring tuberculous foci coalesce to form
confluent areas of caseation.
progression of the disease
 Renal papilla involvement results in sloughing and
caseous material gaining access to the collecting system
by calyceal ulceration.
 Renal tuberculosis often becomes clinically evident at
this stage. Extensive fibrosis accompanying healing
tubercles results in cicatricial complications,
 such as calyceal infundibular narrowing,
ureteropelvic junction scarring, and disfiguration
leading to segmental or generalized hydronephrosis
 localised to one pole of the kidney.
 Extension of pyonephrosis or tuberculous renal abscess
leads to perinephric abscess and the kidney is
progressively replaced by caseous material (putty kidney),
 which maybe calcified (cement kidney).
Clinical Findings of Kidney and Ureter
 20 and 40 years of age, and is more common in men
than women.
 A history of present or past tuberculosis else where
in the body
 Urinary frequency is often the earliest symptom and
may be the only one.
 progressive increase in both daytime and night-time
frequency.
 Most symptoms of this disease, even in the most
advanced stage, are vesical in origin (cystitis).
Pain
 Painful micturition is a feature of tuberculous cystitis.
First, there is a suprapubic pain if voiding is delayed;
later, a burning pain accompanies micturition.
 When there is secondary infection, a superadded
agonising pain referred to the tip of the penis or to the
vulva is often associated with haematuria and
 strangury.
 Renal pain is often minimal but there may be a dull
ache in the loin.
Haematuria
 In 5 per cent of cases, the first symptom is haematuria
occurring from an ulcer on a renal papilla.
 A tuberculous kidney is oedematous and friable and is
more liable to damage than a normal kidney.
 Malaise and weight loss are usual and a low-level
evening pyrexia is typical.
 A high temperature suggests secondary infection or
dissemination, i.e. miliary tuberculosis
Ureter
 Tuberculosis of the ureter is almost always a direct
extension of TB of the kidney.
 This usually affects the lower ureter, commonly the
ureterovesical junction,
 Tubercle formation is soon followed by ulceration of
the mucosa and subsequent fibrosis and scarring,
leading to ureteric stricture disease and obstruction.
 leading to encasement of the ureter and angulation
by contracted cicatricial bands .
Bladder
 Tuberculosis of the bladder occurs secondary to TB of
the kidney.
 The bladder urothelium is very resistant to
infection by TB bacilli.
 The most common sites affected by TB are the areas
surrounding the ureteric orifices and the trigone.
 The urothelium is initially swollen and inflamed,
following the formation of tubercles within the
bladder mucosa.
Bladder
 The earliest symptoms of renal tuberculosis may arise
from secondary vesical involvement.
 These include burning, frequency.
 Hematuria is occasionally found and is of either
renal or vesical origin.
Diagnosis
Urinalysis and Culture
 identification of Mycobacterium tuberculosis in the urine.
 Unlike sputum examination, Ziehl-Neelsen staining of concentrated
urine samples for acid-fast bacilli is often negative.
 a large majority of patients with genitourinary TB have “sterile
pyuria,”
 ‘Sterile’ pyuria -Routine urine culture is negative but there are white
cells in the urine
 often accompanied by hematuria and proteinuria,
whereas up to 20% may have superimposed bacterial
infection
 Urine cultures are carried out on standard solid media
optimized for mycobacterial growth, namely egg-based
(Löwenstein- Jensen) or agar-based (e.g., Middlebrook )
media.
 Optimizing factors include aniline dyes, such as malachite
green, that inhibit growth of bacterial contaminants.
 Intermittent release of the organism in urine makes multiple
sampling necessary.
 Three to five early-morning urine samples should be cultured
soon after collection rather than 24-hour samples, because
exposure to urine acidity for prolonged periods retards
mycobacterial growth.
 Species identification is done using growing colonies tested
with DNA strip assays. These provide rapid confirmation of
pathogenic Mycobacterium TB in culture .
 It may take up to 6 weeks to yield clinically reliable
results. Radiometric detection of mycobacterial
activity in liquid culture media allows a more rapid
diagnosis.
 One of the most popular systems using this principle is
the BACTEC 460TB.
Purified Protein Derivative–Tuberculin
Test—Mantoux Test
 Purified protein derivative (PPD) tuberculin is a
precipitate of non–species-specific molecules obtained
from glycerol extracted filtrates of sterilized,
concentrated cultures of tubercle bacilli.
 a standard dose of 5 tuberculin units (0.1 mL) is
injected intradermal into the volar or dorsal surface of
the forearm and read 48 to 72 hours later.
 Antigen stimulation of memory cells leads to cytokine
release that induces induration via local
vasodilatation, fibrin deposition, and recruitment
of other inflammatory cells into the area.
 These begin to accumulate within 24 hours and reach
their peak after 48 to 72 hours, hence the timing of
test interpretation.
 Patients who have been exposed to TB are expected to
mount an immune response to PPD .
 Tuberculin test is nondiagnostic, and is of value only if
positive.
Interpretation of Tuberculin Test
 Three distinct cut points for positivity have been
defined.
1. Five millimeters or more of induration is
considered positive in persons with the highest
likelihood of developing active disease.
 These include patients with HIV infection, organ
transplants, and immunosuppression as well as those
having close contact with persons having active
tuberculosis cases or radiographic findings consistent
with old tuberculosis.
Interpretation of Tuberculin Test
2) Ten millimeters or more of induration is considered
positive in those who do not meet the preceding
criteria but who are at high risk for tuberculosis.
3) Fifteen millimeters or more of induration is
considered positive in anyone.
 It is important to note that prior vaccination with
bacillus Calmette-Guérin (BCG) may lead to a false-
positive tuberculin test
Nucleic Acid Amplification (NAA) Testing—PCR
 Nucleic acid amplification tests (NAAT), such as the polymerase
chain reaction (PCR) and other methods for amplifying DNA and
RNA, facilitate rapid detection of microorganisms, particularly
those difficult to culture.
 The high sensitivity of PCR is particularly useful in non-
pulmonary tuberculosis where discharge of the organism is
sporadic and present in small amounts.
 The PCR test has been extensively studied and has shown reliably
high sensitivity, specificity, and rapid results.
Plain Radiograph
 50% of patients may show positive findings on chest
radiograph.
 Disparity in renal size on plain films may indicate early
increase in size of the affected kidney due to caseous
lesions or a shrunken fibrotic kidney of
autonephrectomy. Calcifications are seen in 30% to
50% of cases.
 Focal calcifications occur within the caseating
lesions(pseudocalculi) .
 A characteristic diffuse, uniform, extensive
parenchymal calcification,
 Calculi may also be seen in the collecting system or
ureter secondary to stricture formation.
 Calcifications of the prostate and seminal vesicles
are seen in 10% of cases.
Intravenous Urography (IVU)
 The most common findings being hydrocalycosis,
hydronephrosis, or hydroureter due to stricture formation.
 Early signs include the moth-eaten appearance of calyceal
erosion and papillary irregularity. These signs are best seen on
early excretory films.
 Calyceal obliteration and amputation, hydrocalycosis,
segmental or total hydronephrosis, and a s reduced capacity
renal pelvis may all be signs of renal tuberculosis .
Ureter and Bladder
 Scarring and angulation of the ureteropelvic junction
(UPJ) may also occur, the so-called “Kerr’s kink”.
 If nonvisualized on IVU, the kidney is best evaluated by
computed tomography (CT) or ultrasonography.
 Tuberculosis of the ureter is commonly seen as a rigid,
straightened “pipe-stem” ureter. A beaded, corkscrew
appearance is sometimes also seen.
 Ureterovesical junction obstruction is caused by
tuberculous cystitis or strictures of the distal third of
the ureter.
 The cystogram films may show a small contracted
bladder due to excessive fibrosis (thimble bladder).
 Thimble or systolic bladder – inability to relax and
distend (capacity <100ml)
IVU of ureter and bladder
Ultrasonography
 Ultrasonography has a limited role in diagnosis because it
provides nonspecific findings. However, it may be used to
follow up cases presenting with hydronephrosis during the
course of treatment;
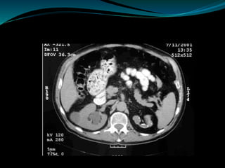
Computed Tomography
 The most common findings on contrast-enhanced CT
include renal parenchymal masses and scarring, thick
urinary tract walls (ureter and bladder) and extraurinary
tubercular manifestations particularly in miliary TB .
 CT allows for evaluation of renal function, grading of
hydronephrosis and parenchymal scarring .
 CT is most sensitive in detecting renal calcifications .
Cystoscopy and Ureteroscopy
 Endoscopy plays a limited role in the diagnosis of TB.
Despite direct visualization of lesions, there are no
pathognomonic findings that are specific for
tuberculosis.
 Ulcerative lesions may mimic malignancy. A “golf-
hole” ureteric orifice is suggestive of tuberculosis, and,
when found, upper tract imaging or endoscopy should
be obtained .
 However, a biopsy should be done when in doubt of
malignancy.
Retrograde Pyelogram and Antegrade Pyelogram
 Diagnosis using contrast studies by directly injecting a
contrast medium, whether using endoscopy or
percutaneous puncture, have largely been superseded by
noninvasive imaging techniques such as CT urography
and magnetic resonance imaging (MRI).
 The value of these modalities lies in the ability to obtain a
urine sample from the upper tract, particularly where it is
important to identify the affected side (as in surgical
planning).
 Percutaneous puncture is particularly useful in cases
where fibrosis has sealed the affected side, such that
organisms are no longer discharged in urine.
Treatment
 Successful treatment of genitourinary tuberculosis
relies on the early diagnosis and the prompt initiation
of an adequate drug regimen.
 Prior to successful antituberculous chemotherapy ,
surgery was the initial form of treatment.
 Currently surgical treatment is reserved for advanced
cases, often to correct the obstructive effects of fibrosis
and scarring rather than the removal of infected
tissues.
 Thus the balanced medical-surgical approach is ideally
aimed at the preservation of renal (organ)
function and eradication of mycobacteria.
 Despite standardized regimens and surgical
indications, treatment must also be individualized;
“No disease process is as atypical as a typical
tuberculous process
Aims of treatment are:
 to achieve TB cure
 to prevent the long term sequelae
 to restore normal anatomy if it has been distorted.
medical
 First-Line Antituberculous Drugs
DRUG/FORMUL
ATION
ADULT DOSAGE
(DAILY)
ADULT DOSAGE
(INTERMITTENT
MAIN ADVERSE
EFFECTS
Isoniazid 5 mg/kg (max 300
mg) PO, IM, IV
(INH15 mg/kg
(max 300 mg)
2-3 times/week
Hepatic toxicity,
peripheral
neuropathy
Rifampicin 10 mg/kg (max 600
mg) PO, IV
10 mg/kg (max 600
mg)
2-3 times/week
Hepatic toxicity,
flulike syndrome,
pruritus, drug
interactions
Pyrazinamide 20-25 mg/kg PO 30-50 mg/kg
2-3 times/week
(max 4 g);
3 times/week
Arthralgias, hepatic
toxicity, pruritus,
rash, hyperuricemia,
gastrointestinal upse
Ethambutol 15-25 mg/kg PO 20-50 mg/kg
2-3 times/week
(max 4 g);
Decreased red-green
color
discrimination,
Streptomycin 15 mg/kg IM, IV
(max 1 g)
Vestibular and auditory
toxicity, renal damage
 First line treatment for adults and children with
urinary TB
 Drugs 2RHZE/4RHE
 Duration -Six months
 Assess response to treatment at 8 weeks – resolution of
systemic symptoms, improvement in urinary
symptoms, check renal function.
 Repeat imaging may be indicated, especially if partial
or impending ureteric stricture was identified at
diagnosis.
 Obstruction can occur as a late complication as the
healing of the lesion results in fibrotic stricture.
 If early morning urine culture is positive at diagnosis,
this may be repeated at 8 weeks, and at the end of ATT.
Second-Line Antituberculous Drugs
DRUG/FORMULATION ADULT DOSAGE
(DAILY)
MAIN ADVERSE EFFECTS
Capreomycin 15 mg/kg IM, IV (max 1 g) Auditory and vestibular
toxicity, renal damage,
electrolyte imbalance
Kanamycin 15 mg/kg IM, IV (max 1 g) Auditory , renal damage
Amikacin 15 mg/kg IM, IV (max 1 g) Auditory , renal damage
Cycloserine 10-15 mg/kg in two doses
(max 500 mg bid)
Psychiatric symptoms,
seizures
Ethionamide 15-20 mg/kg in two doses
(max 500 mg bid) PO
GI and hepatic toxicity,
hypothyroidism
Levofloxacin 500-1000 mg POIV abdominal pain,
restlessness, dysglycemia
Moxifloxacin 400 mg PO, IV abdominal pain,
restlessness, dysglycemia
Aminosalicylic acid (PAS 8-12 g in 2-3 doses PO Gastrointestinal
disturbance
SURGERY
Indications for surgical management follow broad lines:
 Procedures to relieve obstruction and drain infected
material,
 Definitive local treatment,
 upper urinary tract reconstruction, lower urinary tract
reconstruction, and
 surgery for genital TB.
Procedures to Relieve Obstruction
 The prompt relief of obstruction is emergently required in cases of
uremia or sepsis.
 Bilateral hydronephrosis or unilateral hydronephrosis of a solitary
or functionally solitary kidney is often the cause of renal failure.
 Early ureteral stenting or percutaneous nephrostomy (PCN) for
tuberculous ureteral strictures have been demonstrated to decrease
the loss of renal function and increase the opportunity for later
reconstructive surgery .
 In such cases, temporary and immediate drainage of
hydronephrosis, preferably by retrograde ureteric
stenting if possible, is required
 An indwelling double J stent can be left until the
patient’s condition is optimized.
 When this is not technically feasible, percutaneous
puncture of the hydronephrotic kidney is done to pass
an antegrade stent.
 If that also fails, a percutaneous tube is left until
definitive management is done.
 In cases of segmental hydronephrosis, more than one
PCN may be required to achieve adequate drainage
 must be followed by correcting the cause of
obstruction.
 A tuberculous cutaneous fistula invariably develops if
the PCN is simply removed.
 If the renal unit is deemed unsalvageable or shows no
function, a nephrectomy is inevitable to prevent this
complication.
 Avoid the use of high-contrast injection pressures,
because this may lead to possible dissemination of
infection
Nephrectomy
 The indications -nonfunctioning despite adequate
drainage and medical treatment
 Other indications include extensive parenchymal
destruction involving the whole kidney associated
with hypertension
Partial Nephrectomy
 Partial nephrectomy is permissible only where
parenchymal destruction is clearly localized,
 such as a calcified polar cavitary lesion or localized
lesions that progress to calcification despite 6 weeks of
adequate chemotherapy. Early localized lesions are
adequately managed by medical treatment.
 Ensure that no obstruction is present at the level of
the renal pelvis or ureter to avoid tuberculous fistula
formation.
Ureteropelvic and Ureteral
Surgery
 Strictures of the UPJ and ureter may be temporarily
stented, as mentioned above, to allow improvement of
renal function, after which a definitive decision on the
appropriate management of the stricture is made.
 Upper and midureteric strictures are rare and may be
amenable to endourologic treatment.
 Lower ureteric strictures are the commonest form and
will often require surgical intervention.
Endoscopic Management
 Tuberculous ureteric strictures are characterized by
mucosal ischemia and dense fibrosis.
 Generally, short, passable strictures, with good renal
function yield the best endoscopic outcome.
 Strictures forming during medical treatment and managed
by early stenting (double J placement) have been shown to
stabilize and require no further treatment .
 Follow-up of all cases of ureteric strictures by imaging
(ultrasonography or IVU), especially those managed
endoscopically, is needed because some strictures will
worsen during the healing process due to fibrosis and
cicatrization.
 Corticosteroids may be added if deterioration is
detected. Consequently, up to 72% of cases will show
relief of obstruction , and stent placement, if still
needed, is often possible at this time.
 Failure to respond or progression after 6 weeks is an
indication for definitive management
 Balloon dilatation by retrograde or antegrade access
has been described for TB strictures of the ureter, PUJ,
and calyceal infundibula . A stent is left after
dilatation.
 Due to high failure rates, repeated procedures are
needed.
Surgical Options
 Long, complex strictures require surgical repair.
 Due to loss of elasticity, fibrosis, and reduced
vascularity, mobilization of structures may be difficult,
and thus the surgeon should be open to alternative
options.
 The choice of procedure largely depends on the degree
of scarring and contraction of the pelvis.
 Nondismembered (flap) pyeloplasty is preferred for
longer strictures, but may not be feasible due to
excessive scarring of the pelvis.
 When anatomic reconstruction is not possible,
ureterocalicostomy (ureter to the lower pole calyx) is
an option. It is important to cover the exposed lower
pole parenchyma (using preserved capsule or
omentum) to avoid fibrosis and constriction around
the anastomosis.
 Upper and middle ureteric strictures can be managed
by excision of the diseased segment and, with
adequate mobilization,
 A primary tension-free ureteroureterostomy can be
performed if endourologic management has failed.
Alternatively, lysis of adhesions and intubation may be
done.
 Lower ureter strictures requiring surgery are best managed
by complete excision of the entire affected ureteric segment
back to healthy ureteric mucosa having good blood supply.
 Affection of the bladder around the ureteric orifice is also
common, and the area of anastomosis must also be healthy
 The main focus then becomes to bridge the resultant gap
with a tension-free, well vascularized anastomotic technique.
GENITAL SYSTEM
Epididymis, Vas, and Testis
 Tubercle bacilli reach the epididymis by hematogenous
spread.
 Tubercles form within the epididymal epithelium eliciting a
chronic inflammatory reaction that subsequently leads to
fibrous narrowing and possible obliteration of the lumen.
 With disease progression, may form large caseous foci
leading to a nodular epididymis.
 These lesions may become adherent to the overlying skin and
ulcerate through giving the classic picture of a tuberculous
sinus
 that is typically located on the posterior surface of the
scrotum.
 Spread of the infection along the lumen, with the flow
of secretion, will lead to affection of the vas deferens in
a similar pattern.
 The classical finding is that of a beaded vas as a result
of tubercles eventually inducing dense fibrosis.
TESTIS
 Tuberculosis of the testis is secondary to that of the
epididymis and is due to direct extension of the
disease.
 Tubercles form within the seminiferous tubular
epithelium as well as in the connective tissue septa of
the testis. 30% patients have secondary hydrocele.
 eventually replaced by caseous material and
fibrosis. Such lesions may be clinically difficult to
distinguish from a testicular tumor.
Seminal Vesicles
 Tuberculosis of the seminal vesicle is rarely seen in
modern times.
 The bacilli can reach the seminal vesicles through the
vas deferens in cases of tuberculosis of the testis or
epididymis,
 or through the urethra and ejaculatory duct because of
tuberculosis of the kidneys, bladder, or prostate.
 Caseous masses develop in the walls, and the lumen
may be filled caseation
Penis and Urethra
 Tuberculosis of the penis in adults is very rare and is
secondary to infection of the kidney and bladder.
 It starts as a chronic process, by the formation of
infected granulation tissue, which gradually
infiltrates the glandular and cavernous tissues and may
invade the whole thickness of the penis.
 As the infection progresses, isolated pea-sized masses
can be felt in the cavernous bodies and urethra, and in
some cases directly under the skin
 One rare presentation is an ulcerative lesion of the glans.
 This primary infection can be acquired by sexual relations
with partners having genital or perineal tuberculous
lesions
 Urethral tuberculosis is rare, often only seen at the
meatus.
 Small miliary tubercles are seen over the surface and
throughout the urethra.
 Late cases may have advanced fibrotic strictures.
Female Genital Tract
 Infections are usually carried by the bloodstream;
rarely, they are the result of sexual contact with an
infected male.
 The uterine tubes may be affected. Other
presentations include endarteritis, localized adnexal
masses (usually bilateral), and tuberculous cervicitis,
but granulomatous lesions of the vaginal canal and
vulva are rare
Clinical Findings
 prostate and seminal vesicles usually causes no
symptoms.
 Evidence of extragenital tuberculosis may be found
(lungs, bone, lymph nodes, intestines).
 The first clue to the presence of tuberculous infection
of these organs is the onset of a tuberculous
epididymitis.
 Tuberculosis of the epididymis usually presents as a
painless or only mildly painful swelling.
 A chronic draining sinus should be regarded as
tuberculous until proved otherwise.
 In the more advanced stages, the epididymis cannot be
differentiated from the testis on palpation.
 beaded or thickened vas,
 induration or nodulation of the prostate and
thickening of one or both seminal vesicles (especially
in a young man).
Diagnosis
Urinalysis and Culture
Test—Mantoux Test
Nucleic Acid Amplification (NAA) Testing—PCR
Plain Radiograph :- Calcifications of the prostate
and seminal vesicles are seen in 10% of cases.
 Ultrasonography is useful in the demonstration of
epididymal and testicular lesions.
 Transrectal ultrasonography may also show seminal
vesicular and prostatic lesions. All findings are
nonspecific and should be interpreted in light of the
clinical picture.
 Computed Tomography:- Tuberculosis of the prostate or
seminal vesicles may lead to calcification, caseation, and
necrosis causing hypoattenuation or cavity formation.
 However, in the absence of calcification tuberculous prostatic
lesions may mimic a pyogenic abscess or carcinoma,
especially that prostate-specific antigen (PSA) may be
elevated in one third of cases .
 FNAC Selected Where accessible mass lesions or fluid
collections are identified on imaging,
 radiologically guided aspiration with specimens
subjected to staining and microscopy for AFBs, culture
and cytology may confirm the diagnosis of TB.
TREATMENT
 Medical management- ATT
 Surgery is considered only for established male genital
tuberculosis when symptoms have failed to respond to
chemotherapy and for nonresolving caseating abscesses.
 Surgical options involve excision of the diseased tissue.
Involvement of the epididymis without clear affection of the
testis is often the case, and
 every effort should be made to perform an epididymectomy
rather than excision of the testis.
 If testicular involvement is evident, a scrotal
orchiectomy is done.
 Involvement of the vas deferens by TB is usually distal
to the external ring and ligation at the level of the ring
is possible and sufficient.
Prostate and Urethra
 Bladder neck contracture or severe granulomatous
prostatitis is best managed endoscopically by
transurethral incision of the contracture or resection
of the prostate.
 A tuberculous prostatic abscess can be managed by
transurethral drainage or aspiration with ultrasound
guidance.
 Urethral strictures may also be managed
endoscopically and will often require repeated
procedures.
 Tuberculous urethral fistulae are best managed by
initiation of medical therapy and suprapubic bladder
drainage. Delayed reconstruction is preferred.
 Drainage of a seminal vesicle TB cavity into the
bladder by cold knife incision has been reported
Thank you

Genitourinary tuberculosis

  • 1.
    Presented by –Dr. Gurunathreddy Guided by – Dr. Sreenidhi G M
  • 2.
    Introduction  The bacilluscausing tuberculosis, Mycobacterium tuberculosis, was identified and described on March 24, 1882 by Robert Koch.
  • 3.
    Epidemiology Incidence  The WorldHealth Organization (WHO) estimates that 9.29 million new cases of TB occurred in 2014, compared with 9.26 million new cases in 2013.  An estimated 1.38 million of the cases in 2014 were HIV-positive
  • 4.
    Genitourinary TB  Extrapulmonary sites account for 10% of tuberculosis cases. Genitourinary TB accounts for 30% to 40% of all extra pulmonary TB,  Second only to lymphonodal affection. In developed countries, urogenital tuberculosis occurs in 2% to 10% of cases of pulmonary tuberculosis, while in developing countries it occurs in as many as 15% to 20% of cases
  • 5.
     The kidney,epididymis in men, and fallopian tubes in women are the primary landing sites for hematogenous spread of TB.  The prostate is also considered one of the sites for hematogenous spread, though its involvement with TB bacilli in urine is more common.  Other genitourinary organs are involved by direct, endoluminal, or lymphatic spread from these sites.
  • 6.
    Pathologic Features Kidney  Thekidneys are the primary site of hematogenous spread of TB. Mycobacteria lodge in the renal capillaries causing microscopic foci near the glomeruli bilaterally,  the cortex being favored due to its greater blood supply and higher oxygen tension An initial acute inflammatory response ensues, resulting in polymorphonuclear leukocytes infiltration.
  • 7.
     Over thefollowing 3 to 6 weeks leading to the formation of dormant TB foci.  Central caseous necrosis builds up within the tubercles, and neighboring tuberculous foci coalesce to form confluent areas of caseation.
  • 8.
    progression of thedisease  Renal papilla involvement results in sloughing and caseous material gaining access to the collecting system by calyceal ulceration.  Renal tuberculosis often becomes clinically evident at this stage. Extensive fibrosis accompanying healing tubercles results in cicatricial complications,
  • 9.
     such ascalyceal infundibular narrowing, ureteropelvic junction scarring, and disfiguration leading to segmental or generalized hydronephrosis  localised to one pole of the kidney.  Extension of pyonephrosis or tuberculous renal abscess leads to perinephric abscess and the kidney is progressively replaced by caseous material (putty kidney),  which maybe calcified (cement kidney).
  • 14.
    Clinical Findings ofKidney and Ureter  20 and 40 years of age, and is more common in men than women.  A history of present or past tuberculosis else where in the body  Urinary frequency is often the earliest symptom and may be the only one.  progressive increase in both daytime and night-time frequency.  Most symptoms of this disease, even in the most advanced stage, are vesical in origin (cystitis).
  • 15.
    Pain  Painful micturitionis a feature of tuberculous cystitis. First, there is a suprapubic pain if voiding is delayed; later, a burning pain accompanies micturition.  When there is secondary infection, a superadded agonising pain referred to the tip of the penis or to the vulva is often associated with haematuria and  strangury.  Renal pain is often minimal but there may be a dull ache in the loin.
  • 16.
    Haematuria  In 5per cent of cases, the first symptom is haematuria occurring from an ulcer on a renal papilla.  A tuberculous kidney is oedematous and friable and is more liable to damage than a normal kidney.  Malaise and weight loss are usual and a low-level evening pyrexia is typical.  A high temperature suggests secondary infection or dissemination, i.e. miliary tuberculosis
  • 17.
    Ureter  Tuberculosis ofthe ureter is almost always a direct extension of TB of the kidney.  This usually affects the lower ureter, commonly the ureterovesical junction,  Tubercle formation is soon followed by ulceration of the mucosa and subsequent fibrosis and scarring, leading to ureteric stricture disease and obstruction.  leading to encasement of the ureter and angulation by contracted cicatricial bands .
  • 19.
    Bladder  Tuberculosis ofthe bladder occurs secondary to TB of the kidney.  The bladder urothelium is very resistant to infection by TB bacilli.  The most common sites affected by TB are the areas surrounding the ureteric orifices and the trigone.  The urothelium is initially swollen and inflamed, following the formation of tubercles within the bladder mucosa.
  • 20.
    Bladder  The earliestsymptoms of renal tuberculosis may arise from secondary vesical involvement.  These include burning, frequency.  Hematuria is occasionally found and is of either renal or vesical origin.
  • 22.
    Diagnosis Urinalysis and Culture identification of Mycobacterium tuberculosis in the urine.  Unlike sputum examination, Ziehl-Neelsen staining of concentrated urine samples for acid-fast bacilli is often negative.  a large majority of patients with genitourinary TB have “sterile pyuria,”  ‘Sterile’ pyuria -Routine urine culture is negative but there are white cells in the urine
  • 23.
     often accompaniedby hematuria and proteinuria, whereas up to 20% may have superimposed bacterial infection  Urine cultures are carried out on standard solid media optimized for mycobacterial growth, namely egg-based (Löwenstein- Jensen) or agar-based (e.g., Middlebrook ) media.  Optimizing factors include aniline dyes, such as malachite green, that inhibit growth of bacterial contaminants.
  • 24.
     Intermittent releaseof the organism in urine makes multiple sampling necessary.  Three to five early-morning urine samples should be cultured soon after collection rather than 24-hour samples, because exposure to urine acidity for prolonged periods retards mycobacterial growth.  Species identification is done using growing colonies tested with DNA strip assays. These provide rapid confirmation of pathogenic Mycobacterium TB in culture .
  • 25.
     It maytake up to 6 weeks to yield clinically reliable results. Radiometric detection of mycobacterial activity in liquid culture media allows a more rapid diagnosis.  One of the most popular systems using this principle is the BACTEC 460TB.
  • 26.
    Purified Protein Derivative–Tuberculin Test—MantouxTest  Purified protein derivative (PPD) tuberculin is a precipitate of non–species-specific molecules obtained from glycerol extracted filtrates of sterilized, concentrated cultures of tubercle bacilli.  a standard dose of 5 tuberculin units (0.1 mL) is injected intradermal into the volar or dorsal surface of the forearm and read 48 to 72 hours later.
  • 27.
     Antigen stimulationof memory cells leads to cytokine release that induces induration via local vasodilatation, fibrin deposition, and recruitment of other inflammatory cells into the area.  These begin to accumulate within 24 hours and reach their peak after 48 to 72 hours, hence the timing of test interpretation.  Patients who have been exposed to TB are expected to mount an immune response to PPD .  Tuberculin test is nondiagnostic, and is of value only if positive.
  • 28.
    Interpretation of TuberculinTest  Three distinct cut points for positivity have been defined. 1. Five millimeters or more of induration is considered positive in persons with the highest likelihood of developing active disease.  These include patients with HIV infection, organ transplants, and immunosuppression as well as those having close contact with persons having active tuberculosis cases or radiographic findings consistent with old tuberculosis.
  • 29.
    Interpretation of TuberculinTest 2) Ten millimeters or more of induration is considered positive in those who do not meet the preceding criteria but who are at high risk for tuberculosis. 3) Fifteen millimeters or more of induration is considered positive in anyone.  It is important to note that prior vaccination with bacillus Calmette-Guérin (BCG) may lead to a false- positive tuberculin test
  • 30.
    Nucleic Acid Amplification(NAA) Testing—PCR  Nucleic acid amplification tests (NAAT), such as the polymerase chain reaction (PCR) and other methods for amplifying DNA and RNA, facilitate rapid detection of microorganisms, particularly those difficult to culture.  The high sensitivity of PCR is particularly useful in non- pulmonary tuberculosis where discharge of the organism is sporadic and present in small amounts.  The PCR test has been extensively studied and has shown reliably high sensitivity, specificity, and rapid results.
  • 31.
    Plain Radiograph  50%of patients may show positive findings on chest radiograph.  Disparity in renal size on plain films may indicate early increase in size of the affected kidney due to caseous lesions or a shrunken fibrotic kidney of autonephrectomy. Calcifications are seen in 30% to 50% of cases.  Focal calcifications occur within the caseating lesions(pseudocalculi) .
  • 33.
     A characteristicdiffuse, uniform, extensive parenchymal calcification,  Calculi may also be seen in the collecting system or ureter secondary to stricture formation.  Calcifications of the prostate and seminal vesicles are seen in 10% of cases.
  • 34.
    Intravenous Urography (IVU) The most common findings being hydrocalycosis, hydronephrosis, or hydroureter due to stricture formation.  Early signs include the moth-eaten appearance of calyceal erosion and papillary irregularity. These signs are best seen on early excretory films.  Calyceal obliteration and amputation, hydrocalycosis, segmental or total hydronephrosis, and a s reduced capacity renal pelvis may all be signs of renal tuberculosis .
  • 36.
    Ureter and Bladder Scarring and angulation of the ureteropelvic junction (UPJ) may also occur, the so-called “Kerr’s kink”.  If nonvisualized on IVU, the kidney is best evaluated by computed tomography (CT) or ultrasonography.  Tuberculosis of the ureter is commonly seen as a rigid, straightened “pipe-stem” ureter. A beaded, corkscrew appearance is sometimes also seen.
  • 37.
     Ureterovesical junctionobstruction is caused by tuberculous cystitis or strictures of the distal third of the ureter.  The cystogram films may show a small contracted bladder due to excessive fibrosis (thimble bladder).  Thimble or systolic bladder – inability to relax and distend (capacity <100ml)
  • 38.
    IVU of ureterand bladder
  • 39.
    Ultrasonography  Ultrasonography hasa limited role in diagnosis because it provides nonspecific findings. However, it may be used to follow up cases presenting with hydronephrosis during the course of treatment;
  • 40.
    Computed Tomography  Themost common findings on contrast-enhanced CT include renal parenchymal masses and scarring, thick urinary tract walls (ureter and bladder) and extraurinary tubercular manifestations particularly in miliary TB .  CT allows for evaluation of renal function, grading of hydronephrosis and parenchymal scarring .  CT is most sensitive in detecting renal calcifications .
  • 42.
    Cystoscopy and Ureteroscopy Endoscopy plays a limited role in the diagnosis of TB. Despite direct visualization of lesions, there are no pathognomonic findings that are specific for tuberculosis.  Ulcerative lesions may mimic malignancy. A “golf- hole” ureteric orifice is suggestive of tuberculosis, and, when found, upper tract imaging or endoscopy should be obtained .  However, a biopsy should be done when in doubt of malignancy.
  • 46.
    Retrograde Pyelogram andAntegrade Pyelogram  Diagnosis using contrast studies by directly injecting a contrast medium, whether using endoscopy or percutaneous puncture, have largely been superseded by noninvasive imaging techniques such as CT urography and magnetic resonance imaging (MRI).
  • 47.
     The valueof these modalities lies in the ability to obtain a urine sample from the upper tract, particularly where it is important to identify the affected side (as in surgical planning).  Percutaneous puncture is particularly useful in cases where fibrosis has sealed the affected side, such that organisms are no longer discharged in urine.
  • 48.
    Treatment  Successful treatmentof genitourinary tuberculosis relies on the early diagnosis and the prompt initiation of an adequate drug regimen.  Prior to successful antituberculous chemotherapy , surgery was the initial form of treatment.  Currently surgical treatment is reserved for advanced cases, often to correct the obstructive effects of fibrosis and scarring rather than the removal of infected tissues.
  • 49.
     Thus thebalanced medical-surgical approach is ideally aimed at the preservation of renal (organ) function and eradication of mycobacteria.  Despite standardized regimens and surgical indications, treatment must also be individualized; “No disease process is as atypical as a typical tuberculous process
  • 50.
    Aims of treatmentare:  to achieve TB cure  to prevent the long term sequelae  to restore normal anatomy if it has been distorted.
  • 51.
  • 52.
    DRUG/FORMUL ATION ADULT DOSAGE (DAILY) ADULT DOSAGE (INTERMITTENT MAINADVERSE EFFECTS Isoniazid 5 mg/kg (max 300 mg) PO, IM, IV (INH15 mg/kg (max 300 mg) 2-3 times/week Hepatic toxicity, peripheral neuropathy Rifampicin 10 mg/kg (max 600 mg) PO, IV 10 mg/kg (max 600 mg) 2-3 times/week Hepatic toxicity, flulike syndrome, pruritus, drug interactions Pyrazinamide 20-25 mg/kg PO 30-50 mg/kg 2-3 times/week (max 4 g); 3 times/week Arthralgias, hepatic toxicity, pruritus, rash, hyperuricemia, gastrointestinal upse Ethambutol 15-25 mg/kg PO 20-50 mg/kg 2-3 times/week (max 4 g); Decreased red-green color discrimination,
  • 53.
    Streptomycin 15 mg/kgIM, IV (max 1 g) Vestibular and auditory toxicity, renal damage
  • 54.
     First linetreatment for adults and children with urinary TB  Drugs 2RHZE/4RHE  Duration -Six months  Assess response to treatment at 8 weeks – resolution of systemic symptoms, improvement in urinary symptoms, check renal function.
  • 55.
     Repeat imagingmay be indicated, especially if partial or impending ureteric stricture was identified at diagnosis.  Obstruction can occur as a late complication as the healing of the lesion results in fibrotic stricture.  If early morning urine culture is positive at diagnosis, this may be repeated at 8 weeks, and at the end of ATT.
  • 56.
    Second-Line Antituberculous Drugs DRUG/FORMULATIONADULT DOSAGE (DAILY) MAIN ADVERSE EFFECTS Capreomycin 15 mg/kg IM, IV (max 1 g) Auditory and vestibular toxicity, renal damage, electrolyte imbalance Kanamycin 15 mg/kg IM, IV (max 1 g) Auditory , renal damage Amikacin 15 mg/kg IM, IV (max 1 g) Auditory , renal damage Cycloserine 10-15 mg/kg in two doses (max 500 mg bid) Psychiatric symptoms, seizures Ethionamide 15-20 mg/kg in two doses (max 500 mg bid) PO GI and hepatic toxicity, hypothyroidism Levofloxacin 500-1000 mg POIV abdominal pain, restlessness, dysglycemia Moxifloxacin 400 mg PO, IV abdominal pain, restlessness, dysglycemia Aminosalicylic acid (PAS 8-12 g in 2-3 doses PO Gastrointestinal disturbance
  • 57.
    SURGERY Indications for surgicalmanagement follow broad lines:  Procedures to relieve obstruction and drain infected material,  Definitive local treatment,  upper urinary tract reconstruction, lower urinary tract reconstruction, and  surgery for genital TB.
  • 58.
    Procedures to RelieveObstruction  The prompt relief of obstruction is emergently required in cases of uremia or sepsis.  Bilateral hydronephrosis or unilateral hydronephrosis of a solitary or functionally solitary kidney is often the cause of renal failure.  Early ureteral stenting or percutaneous nephrostomy (PCN) for tuberculous ureteral strictures have been demonstrated to decrease the loss of renal function and increase the opportunity for later reconstructive surgery .
  • 59.
     In suchcases, temporary and immediate drainage of hydronephrosis, preferably by retrograde ureteric stenting if possible, is required  An indwelling double J stent can be left until the patient’s condition is optimized.  When this is not technically feasible, percutaneous puncture of the hydronephrotic kidney is done to pass an antegrade stent.
  • 60.
     If thatalso fails, a percutaneous tube is left until definitive management is done.  In cases of segmental hydronephrosis, more than one PCN may be required to achieve adequate drainage  must be followed by correcting the cause of obstruction.
  • 61.
     A tuberculouscutaneous fistula invariably develops if the PCN is simply removed.  If the renal unit is deemed unsalvageable or shows no function, a nephrectomy is inevitable to prevent this complication.  Avoid the use of high-contrast injection pressures, because this may lead to possible dissemination of infection
  • 62.
    Nephrectomy  The indications-nonfunctioning despite adequate drainage and medical treatment  Other indications include extensive parenchymal destruction involving the whole kidney associated with hypertension
  • 63.
    Partial Nephrectomy  Partialnephrectomy is permissible only where parenchymal destruction is clearly localized,  such as a calcified polar cavitary lesion or localized lesions that progress to calcification despite 6 weeks of adequate chemotherapy. Early localized lesions are adequately managed by medical treatment.  Ensure that no obstruction is present at the level of the renal pelvis or ureter to avoid tuberculous fistula formation.
  • 64.
    Ureteropelvic and Ureteral Surgery Strictures of the UPJ and ureter may be temporarily stented, as mentioned above, to allow improvement of renal function, after which a definitive decision on the appropriate management of the stricture is made.  Upper and midureteric strictures are rare and may be amenable to endourologic treatment.  Lower ureteric strictures are the commonest form and will often require surgical intervention.
  • 65.
    Endoscopic Management  Tuberculousureteric strictures are characterized by mucosal ischemia and dense fibrosis.  Generally, short, passable strictures, with good renal function yield the best endoscopic outcome.  Strictures forming during medical treatment and managed by early stenting (double J placement) have been shown to stabilize and require no further treatment .
  • 66.
     Follow-up ofall cases of ureteric strictures by imaging (ultrasonography or IVU), especially those managed endoscopically, is needed because some strictures will worsen during the healing process due to fibrosis and cicatrization.  Corticosteroids may be added if deterioration is detected. Consequently, up to 72% of cases will show relief of obstruction , and stent placement, if still needed, is often possible at this time.
  • 67.
     Failure torespond or progression after 6 weeks is an indication for definitive management  Balloon dilatation by retrograde or antegrade access has been described for TB strictures of the ureter, PUJ, and calyceal infundibula . A stent is left after dilatation.  Due to high failure rates, repeated procedures are needed.
  • 68.
    Surgical Options  Long,complex strictures require surgical repair.  Due to loss of elasticity, fibrosis, and reduced vascularity, mobilization of structures may be difficult, and thus the surgeon should be open to alternative options.  The choice of procedure largely depends on the degree of scarring and contraction of the pelvis.
  • 69.
     Nondismembered (flap)pyeloplasty is preferred for longer strictures, but may not be feasible due to excessive scarring of the pelvis.  When anatomic reconstruction is not possible, ureterocalicostomy (ureter to the lower pole calyx) is an option. It is important to cover the exposed lower pole parenchyma (using preserved capsule or omentum) to avoid fibrosis and constriction around the anastomosis.
  • 70.
     Upper andmiddle ureteric strictures can be managed by excision of the diseased segment and, with adequate mobilization,  A primary tension-free ureteroureterostomy can be performed if endourologic management has failed. Alternatively, lysis of adhesions and intubation may be done.
  • 71.
     Lower ureterstrictures requiring surgery are best managed by complete excision of the entire affected ureteric segment back to healthy ureteric mucosa having good blood supply.  Affection of the bladder around the ureteric orifice is also common, and the area of anastomosis must also be healthy  The main focus then becomes to bridge the resultant gap with a tension-free, well vascularized anastomotic technique.
  • 72.
  • 73.
    Epididymis, Vas, andTestis  Tubercle bacilli reach the epididymis by hematogenous spread.  Tubercles form within the epididymal epithelium eliciting a chronic inflammatory reaction that subsequently leads to fibrous narrowing and possible obliteration of the lumen.  With disease progression, may form large caseous foci leading to a nodular epididymis.  These lesions may become adherent to the overlying skin and ulcerate through giving the classic picture of a tuberculous sinus
  • 74.
     that istypically located on the posterior surface of the scrotum.  Spread of the infection along the lumen, with the flow of secretion, will lead to affection of the vas deferens in a similar pattern.  The classical finding is that of a beaded vas as a result of tubercles eventually inducing dense fibrosis.
  • 75.
    TESTIS  Tuberculosis ofthe testis is secondary to that of the epididymis and is due to direct extension of the disease.  Tubercles form within the seminiferous tubular epithelium as well as in the connective tissue septa of the testis. 30% patients have secondary hydrocele.  eventually replaced by caseous material and fibrosis. Such lesions may be clinically difficult to distinguish from a testicular tumor.
  • 76.
    Seminal Vesicles  Tuberculosisof the seminal vesicle is rarely seen in modern times.  The bacilli can reach the seminal vesicles through the vas deferens in cases of tuberculosis of the testis or epididymis,  or through the urethra and ejaculatory duct because of tuberculosis of the kidneys, bladder, or prostate.  Caseous masses develop in the walls, and the lumen may be filled caseation
  • 77.
    Penis and Urethra Tuberculosis of the penis in adults is very rare and is secondary to infection of the kidney and bladder.  It starts as a chronic process, by the formation of infected granulation tissue, which gradually infiltrates the glandular and cavernous tissues and may invade the whole thickness of the penis.  As the infection progresses, isolated pea-sized masses can be felt in the cavernous bodies and urethra, and in some cases directly under the skin
  • 78.
     One rarepresentation is an ulcerative lesion of the glans.  This primary infection can be acquired by sexual relations with partners having genital or perineal tuberculous lesions  Urethral tuberculosis is rare, often only seen at the meatus.  Small miliary tubercles are seen over the surface and throughout the urethra.  Late cases may have advanced fibrotic strictures.
  • 79.
    Female Genital Tract Infections are usually carried by the bloodstream; rarely, they are the result of sexual contact with an infected male.  The uterine tubes may be affected. Other presentations include endarteritis, localized adnexal masses (usually bilateral), and tuberculous cervicitis, but granulomatous lesions of the vaginal canal and vulva are rare
  • 80.
    Clinical Findings  prostateand seminal vesicles usually causes no symptoms.  Evidence of extragenital tuberculosis may be found (lungs, bone, lymph nodes, intestines).  The first clue to the presence of tuberculous infection of these organs is the onset of a tuberculous epididymitis.
  • 81.
     Tuberculosis ofthe epididymis usually presents as a painless or only mildly painful swelling.  A chronic draining sinus should be regarded as tuberculous until proved otherwise.  In the more advanced stages, the epididymis cannot be differentiated from the testis on palpation.
  • 82.
     beaded orthickened vas,  induration or nodulation of the prostate and thickening of one or both seminal vesicles (especially in a young man).
  • 83.
    Diagnosis Urinalysis and Culture Test—MantouxTest Nucleic Acid Amplification (NAA) Testing—PCR Plain Radiograph :- Calcifications of the prostate and seminal vesicles are seen in 10% of cases.
  • 84.
     Ultrasonography isuseful in the demonstration of epididymal and testicular lesions.  Transrectal ultrasonography may also show seminal vesicular and prostatic lesions. All findings are nonspecific and should be interpreted in light of the clinical picture.
  • 85.
     Computed Tomography:-Tuberculosis of the prostate or seminal vesicles may lead to calcification, caseation, and necrosis causing hypoattenuation or cavity formation.  However, in the absence of calcification tuberculous prostatic lesions may mimic a pyogenic abscess or carcinoma, especially that prostate-specific antigen (PSA) may be elevated in one third of cases .
  • 86.
     FNAC SelectedWhere accessible mass lesions or fluid collections are identified on imaging,  radiologically guided aspiration with specimens subjected to staining and microscopy for AFBs, culture and cytology may confirm the diagnosis of TB.
  • 87.
    TREATMENT  Medical management-ATT  Surgery is considered only for established male genital tuberculosis when symptoms have failed to respond to chemotherapy and for nonresolving caseating abscesses.  Surgical options involve excision of the diseased tissue. Involvement of the epididymis without clear affection of the testis is often the case, and  every effort should be made to perform an epididymectomy rather than excision of the testis.
  • 88.
     If testicularinvolvement is evident, a scrotal orchiectomy is done.  Involvement of the vas deferens by TB is usually distal to the external ring and ligation at the level of the ring is possible and sufficient.
  • 89.
    Prostate and Urethra Bladder neck contracture or severe granulomatous prostatitis is best managed endoscopically by transurethral incision of the contracture or resection of the prostate.  A tuberculous prostatic abscess can be managed by transurethral drainage or aspiration with ultrasound guidance.
  • 90.
     Urethral stricturesmay also be managed endoscopically and will often require repeated procedures.  Tuberculous urethral fistulae are best managed by initiation of medical therapy and suprapubic bladder drainage. Delayed reconstruction is preferred.  Drainage of a seminal vesicle TB cavity into the bladder by cold knife incision has been reported
  • 91.