Serrated polyps,
the canaries of the colon.
Recognition and management.
Douglas Riegert-Johnson, MD
Mayo Clinic Florida
Gastroenterology and Genetics
Riegertjohnson.douglas@mayo.edu
Florida GI Society - September 11, 2016
Open access to other slide sets on slideshare.net
Hyperlink
Additional slides at end of presentation.
They are associated with interval colon cancers.
Fortunately, interval cancers are uncommon.
(1 per 1075 colonoscopies® , 1 per 166 colonoscopy where adenoma found)
• Causes of interval colon cancer
– Not seen about ½ (50%)
– New lesions about ¼ (25%)
– Incomplete resection (19%)
– Failed biopsy detection (5%)
Systematic review and meta analysis of interval colorectal cancers: American J Gastro 2014.
Colorectal cancers soon after colonoscopy: a pooled multicohort analysis. Gut 2014
Relevance of Sessile Serrated Polyps
Scott Haldene
British physiologist 1860 - 1936
“Animal Sentinel”
Last use in the UK in 1986
“Colonic sentinel”
Red cap.
Increased likelihood
Interval colon cancer
Dr. Emina Torlakovic coined
the term sessile serrated A/P
Deadly CO in coal mines
Lifetime
odds of
colorectal
cancer
diagnosis
1/300 Postulated lower limit
(1/300 individuals have a hereditary syndrome
pre disposing to rapid polyp growth eg Lynch syndrome)
1/300
1/10
1/150
Lifetime colorectal cancer risk with no screening
Draining the Lake with Colonoscopy
Lifetime risk for patients in colonoscopy
program
All odds are approximated.
Relevance of SSPs
Illustrated with the lake of colorectal cancer risk
Risk Stratification
What is still left in the lake?
Polyps.
Not seen
Newly formed
Not completely removed
Proof of Relevance of SSPs
Risk Stratification for Colorectal Cancer in the future
Patients with serrated polyps had higher 10 year colon cancer risk than
patients with advanced adenomas (3.7% @ 10 years)
A population-
based randomized
trial, 12 955
individuals aged
50-64 years were
screened with
flexible
sigmoidoscopy.
Norway Gut 2014
Terminology
The classification of polyps is unnecessarily
confusing, conflicting and not clinically
relevant.
Sessile serrated adenoma or
sessile serrated polyp are both accepted.
Current trend is to use sessile serrated polyp.
1 in 3 polyps is serrated, 1 in
10 polyps is a sessile serrated polyp
Colon polyps
30% Serrated
Polyps
10 % SSPs
Complete Adenoma Resection Study (CARE): Gastroenterology 2013
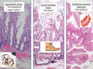
There are three types of serrated polyps
by pathology.
The boot. The red fern.The powder sugar cookie.
Hyperplastic polyp
“The powdered
sugar cookie”
Sessile Serrated
Polyp
“The boot”
Traditional serrated
adenoma
“The red fern”
This talk will focus on
sessile serrated polyps as they are
the most relevant to clinical practice.
Serrated polyposis syndrome (SPS)
will be discussed at end.
Recognition of Sessile Serrated Polyps
• Not detected by FIT, about ½ by sDNA+FIT
• SSP detection rate on colonoscopy –
about 2% (> 10 mm per 100 c- scope).
• Image enhanced endoscopy (e.g. NBI) no clear
benefit
• Colonoscopy technique
– Predominance in the right colon.
– Can try repeat examination of right colon (increase
ADR by 3%). Retroflexion no better than repeat examination.
– Mucus cap!
Image enhanced endoscopy for SSP http://www.ncbi.nlm.nih.gov/pubmed/27223636.
GIE 2013 Spain PrevColon 1.8% LSP rate.
Gut 2016 Sessile serrated adenoma detection rate in Italy (EquIPE study).
ADR increase by repeat forward examination of right colon:
Retroflexion no better than forward viewing. (http://www.ncbi.nlm.nih.gov/pubmed/21679946)
SSP completely and easily seen on retroflex.
Note mucus cap.
Same SSP, incompletely
seen with difficulty on
forward view.
Removal
How often are sessile serrated polyps
incompletely resected?
From the Complete Adenoma Resection study
(CARE Gastroenterology 2013, Vermont), what
percentage of sessile serrated polyps 10 mm –
20 mm were incompletely resected?
• A. 15%
• B. 30%
• C. 50%
Complete Adenoma Resection Study (CARE): Gastroenterology 2013
Removal
Answer: 50%
SSPs are often incompletely resected
• After complete polypectomy by visible
inspection, for small polyps 2 marginal biopsies
were taken adjacent to polypectomy site, for
large polyps 4 biopsies were taken.
• For large (10-20 mm) SSPs, 48% were
incompletely removed.
• For SSPs overall, 30% were not completely
resected (13/42).
• Of 346 neoplastic polyps removed by 11
gastroenterologists, 10% were incompletely
resected.
Complete Adenoma Resection Study (CARE): Gastroenterology 2013
Regrowth of sessile serrated
polyp at site of polypectomy in a
61 year old man with serrated
polyposis syndrome.
Sessile Serrated Polyp Case A
Beginning of margin biopsies.
(from DRJ practice)
• 54 yo female presented for first time
colonoscopy for colorectal cancer prevention.
• No family history of colorectal cancer.
Recognition
Recognition
Mucus cap
Review for other neoplasia
• 1 in 3 patients with an SSP will have an
adenoma
• DRJ: Before attempting to remove a large
suspected SSP, I always search for others!
Removal > 5mm
? Saline lift polypectomy,
Sometimes use contrast
Removal
cautery snare.
All visible polyp tissue removed.
Removal
Marginal bx
Removal
Sessile Serrated Polyp Case A Outcome
• Polyp found to be SSP.
• Marginal biopsies showed a fragment
suggestive of sessile serrated polyp.
Take away:
If possible, need a visible normal margin on
snare polypectomy.
Removal
• Most important step is removal of all visible polyp
tissue and attempt marginal bx.
• Margin biopsies
– Can complete an incomplete resection.
– Rapid and focused feedback to endoscopist.
– Clinical significance of microscopic residual polyp
unclear. Does a positive marginal mean closer follow
up is needed?
• Less data than the other option (APC to margin
APC to margin 2002).
Sessile Serrated Polyp Case B
After a year of margin biopsies.
DRJ practice
• 62 year old man. First colonoscopy.
Reminder to
Review for other
neoplasia
Return
Consensus recommendations for sessile serrated
adenomas and traditional serrated adenomas are similar
to that for adenomas
Histology Size Number Interval in years
SSA/P or TSA Large (≥10 mm) 1 3
SSA/P or TSA Small (<10 mm) 1 or 2 5
SSA/P or TSA <10 mm 3 or more 3
Serrated lesions: Recommendations from an expert panel 2012.
For any location. Piecemeal resection follow up 3-6 month.
Follow up for hyperplastic polyps included as addendum.
Return
What to do if pathology interpreted as
hyperplastic, when thought to be SSP?
• Recommendation:
Treat as a sessile serrated polyp.
• Reason: Dx of SSP varies by pathologist. 2014
Septin 9 study the % of polyps dx as SSPs
ranged from 0% to 9%.
Serrated Polyposis Syndrome (SPS)
* Any type of serrated polyp.
20 serrated polyps totaled all time,
any location in the colon.
WHO criterion 3. 80% of patients with
serrated polyposis meet this criteria,
remaining 20% meet Criterion 1.
WHO Criterion 1. At least 5 serrated polyps proximal
to the sigmoid colon, of which 2 measure at least
10 mm in diameter). 5 × 2 = 10.
Serrated polyposis syndrome is
uncommon (but not rare) and requires
yearly follow up
• About one in 150 patients in FIT based
colorectal cancer prevention programs.
• 1-year surveillance interval recommended by
US Multi-Society Task Force on Colorectal
Cancer and the European Society of
Gastrointestinal Endoscopy.
Serrated lesions: Recommendations from an expert panel.
Colonoscopy for family members of SPS patients is
recommended.
• First degree relatives of SPS should have
colonoscopy at age 40 or 10 years prior to
proband’s diagnosis of SPS
• 4/10 significant polyp, 1/7 will have serrated
polyposis syndrome Serrated polyposis family member
reference.
For most patients,
the cause of SPS is known
• Smoking causes SPS. Usually patients with hyperplastic SPS, rather than
sessile serrated polyps. Stopping smoking results in polyp regression.
• Genetic evaluation yield is very low, but is recommended in European
guidelines.
– Genetic DDX includes
• MYH associated polyposis (MAP) 0.8% SPS patients positive.
• Newly described genes, for which testing is not available (RNAF4
gene.)
• Patients can be referred to a genomic counselor using an online database
(www.nsgc.org).
• Without family history of colon cancer, and age >50 yo I usually do not
offer genomic testing.
MUTYH mutations in patients with hyperplastic polyposis syndrome. Gastroenterology. 2009.
Surgery not often needed for SPS
• Usually 3 colonoscopies needed to remove all
polyps.
• In patients were all polyps appear to have
been removed, follow up cancers are rare with
colonoscopy every year
(260 SPS pts, 2 had eventual CRC dx
1 CRC for about every 500 years of screening).
• TIP: Yearly colonoscopy should be scheduled
with the expectation of EMR.
Clinical risk factors for cancer in SPS. Dutch 2015.26603485.
Summary 5 R’s
• Sessile serrated polyps (adenoma) represent 1 in 10 colon
polyps, and have a “boot” histopathology.
• Relevance. SSPs may be canary signal to interval colon cancer
as they are associated with missed lesions
• Recognition. Repeat exam of the right colon increases yield ?
retroflexion.
• Review. If SSP found, other polyps are common so search for
them.
• Removal. Frequently incomplete, consider lift with cautery
snare with margin of normal tissue, ?marginal bx, ?APC.
• Return. Current recommendations for SSP surveillance are
similar to those for adenomas
– SSP more than or = 10 mm in size, follow up in 3 years
• Serrated polyposis syndrome (SPS) requires yearly follow up
colonoscopy and colonoscopy is recommended for family
members.
Supplemental Slides
Will not be discussed during talk
Relevance of SSPs
Lesions not seen:
Maybe SSPs themselves not so important,
but are markers for danger like canaries in a coal mine
• Low CA risk for sessile serrated adenomas
– Twenty-three large serrated polyps (>10 mm) found at
screening were left in situ for a median of 11.0 years. None
developed into a malignant tumour.
• Sessile serrated polyps as markers for present
and future neoplasia.
– Present : 1 of 3 colonoscopies where a SSA is found, a
conventional adenoma will also be found.
– Future neoplasia > Next slide.
Norway Gut 2014
2014 USA Septin 9 trial data on SAs per center
Norwegian Study
Conclusion
“The excess risk of
CRC in patients
with large serrated
polyps may not be
due to malignant
growth of the
serrated polyp, but
to a ‘field’-effect in
the patient with
these polyps.”
Norway Gut 2014
Macaronesia, home of the canary
My predictions for the future of clinical
management of SSPs
• For the individual large SSA, removed with the
optimal technique and negative marginal
biopsies close follow will not be needed.
Question: Is there malignant potential to the
individual SSP? SSP incomplete polypectomies,
really much ado about nothing.
• For the “field defect”, life long increased
surveillance with colonoscopy every ? 7 years.
APC following piecemeal polypectomy

Florida GI Society. Serrated polyps. Version i.

  • 1.
    Serrated polyps, the canariesof the colon. Recognition and management. Douglas Riegert-Johnson, MD Mayo Clinic Florida Gastroenterology and Genetics Riegertjohnson.douglas@mayo.edu Florida GI Society - September 11, 2016 Open access to other slide sets on slideshare.net Hyperlink Additional slides at end of presentation.
  • 2.
    They are associatedwith interval colon cancers. Fortunately, interval cancers are uncommon. (1 per 1075 colonoscopies® , 1 per 166 colonoscopy where adenoma found) • Causes of interval colon cancer – Not seen about ½ (50%) – New lesions about ¼ (25%) – Incomplete resection (19%) – Failed biopsy detection (5%) Systematic review and meta analysis of interval colorectal cancers: American J Gastro 2014. Colorectal cancers soon after colonoscopy: a pooled multicohort analysis. Gut 2014 Relevance of Sessile Serrated Polyps
  • 3.
    Scott Haldene British physiologist1860 - 1936 “Animal Sentinel” Last use in the UK in 1986 “Colonic sentinel” Red cap. Increased likelihood Interval colon cancer Dr. Emina Torlakovic coined the term sessile serrated A/P Deadly CO in coal mines
  • 4.
    Lifetime odds of colorectal cancer diagnosis 1/300 Postulatedlower limit (1/300 individuals have a hereditary syndrome pre disposing to rapid polyp growth eg Lynch syndrome) 1/300 1/10 1/150 Lifetime colorectal cancer risk with no screening Draining the Lake with Colonoscopy Lifetime risk for patients in colonoscopy program All odds are approximated. Relevance of SSPs Illustrated with the lake of colorectal cancer risk Risk Stratification What is still left in the lake? Polyps. Not seen Newly formed Not completely removed
  • 5.
    Proof of Relevanceof SSPs Risk Stratification for Colorectal Cancer in the future Patients with serrated polyps had higher 10 year colon cancer risk than patients with advanced adenomas (3.7% @ 10 years) A population- based randomized trial, 12 955 individuals aged 50-64 years were screened with flexible sigmoidoscopy. Norway Gut 2014
  • 6.
    Terminology The classification ofpolyps is unnecessarily confusing, conflicting and not clinically relevant. Sessile serrated adenoma or sessile serrated polyp are both accepted. Current trend is to use sessile serrated polyp.
  • 7.
    1 in 3polyps is serrated, 1 in 10 polyps is a sessile serrated polyp Colon polyps 30% Serrated Polyps 10 % SSPs Complete Adenoma Resection Study (CARE): Gastroenterology 2013
  • 8.
    There are threetypes of serrated polyps by pathology. The boot. The red fern.The powder sugar cookie.
  • 9.
    Hyperplastic polyp “The powdered sugarcookie” Sessile Serrated Polyp “The boot” Traditional serrated adenoma “The red fern”
  • 10.
    This talk willfocus on sessile serrated polyps as they are the most relevant to clinical practice. Serrated polyposis syndrome (SPS) will be discussed at end.
  • 11.
    Recognition of SessileSerrated Polyps • Not detected by FIT, about ½ by sDNA+FIT • SSP detection rate on colonoscopy – about 2% (> 10 mm per 100 c- scope). • Image enhanced endoscopy (e.g. NBI) no clear benefit • Colonoscopy technique – Predominance in the right colon. – Can try repeat examination of right colon (increase ADR by 3%). Retroflexion no better than repeat examination. – Mucus cap! Image enhanced endoscopy for SSP http://www.ncbi.nlm.nih.gov/pubmed/27223636. GIE 2013 Spain PrevColon 1.8% LSP rate. Gut 2016 Sessile serrated adenoma detection rate in Italy (EquIPE study). ADR increase by repeat forward examination of right colon: Retroflexion no better than forward viewing. (http://www.ncbi.nlm.nih.gov/pubmed/21679946)
  • 12.
    SSP completely andeasily seen on retroflex. Note mucus cap.
  • 13.
    Same SSP, incompletely seenwith difficulty on forward view.
  • 14.
    Removal How often aresessile serrated polyps incompletely resected? From the Complete Adenoma Resection study (CARE Gastroenterology 2013, Vermont), what percentage of sessile serrated polyps 10 mm – 20 mm were incompletely resected? • A. 15% • B. 30% • C. 50% Complete Adenoma Resection Study (CARE): Gastroenterology 2013
  • 15.
    Removal Answer: 50% SSPs areoften incompletely resected • After complete polypectomy by visible inspection, for small polyps 2 marginal biopsies were taken adjacent to polypectomy site, for large polyps 4 biopsies were taken. • For large (10-20 mm) SSPs, 48% were incompletely removed. • For SSPs overall, 30% were not completely resected (13/42). • Of 346 neoplastic polyps removed by 11 gastroenterologists, 10% were incompletely resected. Complete Adenoma Resection Study (CARE): Gastroenterology 2013
  • 16.
    Regrowth of sessileserrated polyp at site of polypectomy in a 61 year old man with serrated polyposis syndrome.
  • 17.
    Sessile Serrated PolypCase A Beginning of margin biopsies. (from DRJ practice) • 54 yo female presented for first time colonoscopy for colorectal cancer prevention. • No family history of colorectal cancer.
  • 18.
  • 19.
  • 20.
    Review for otherneoplasia • 1 in 3 patients with an SSP will have an adenoma • DRJ: Before attempting to remove a large suspected SSP, I always search for others!
  • 21.
    Removal > 5mm ?Saline lift polypectomy, Sometimes use contrast
  • 22.
  • 23.
  • 24.
    Removal Sessile Serrated PolypCase A Outcome • Polyp found to be SSP. • Marginal biopsies showed a fragment suggestive of sessile serrated polyp. Take away: If possible, need a visible normal margin on snare polypectomy.
  • 25.
    Removal • Most importantstep is removal of all visible polyp tissue and attempt marginal bx. • Margin biopsies – Can complete an incomplete resection. – Rapid and focused feedback to endoscopist. – Clinical significance of microscopic residual polyp unclear. Does a positive marginal mean closer follow up is needed? • Less data than the other option (APC to margin APC to margin 2002).
  • 26.
    Sessile Serrated PolypCase B After a year of margin biopsies. DRJ practice • 62 year old man. First colonoscopy.
  • 28.
    Reminder to Review forother neoplasia
  • 29.
    Return Consensus recommendations forsessile serrated adenomas and traditional serrated adenomas are similar to that for adenomas Histology Size Number Interval in years SSA/P or TSA Large (≥10 mm) 1 3 SSA/P or TSA Small (<10 mm) 1 or 2 5 SSA/P or TSA <10 mm 3 or more 3 Serrated lesions: Recommendations from an expert panel 2012. For any location. Piecemeal resection follow up 3-6 month. Follow up for hyperplastic polyps included as addendum.
  • 30.
    Return What to doif pathology interpreted as hyperplastic, when thought to be SSP? • Recommendation: Treat as a sessile serrated polyp. • Reason: Dx of SSP varies by pathologist. 2014 Septin 9 study the % of polyps dx as SSPs ranged from 0% to 9%.
  • 31.
    Serrated Polyposis Syndrome(SPS) * Any type of serrated polyp. 20 serrated polyps totaled all time, any location in the colon. WHO criterion 3. 80% of patients with serrated polyposis meet this criteria, remaining 20% meet Criterion 1. WHO Criterion 1. At least 5 serrated polyps proximal to the sigmoid colon, of which 2 measure at least 10 mm in diameter). 5 × 2 = 10.
  • 32.
    Serrated polyposis syndromeis uncommon (but not rare) and requires yearly follow up • About one in 150 patients in FIT based colorectal cancer prevention programs. • 1-year surveillance interval recommended by US Multi-Society Task Force on Colorectal Cancer and the European Society of Gastrointestinal Endoscopy. Serrated lesions: Recommendations from an expert panel.
  • 33.
    Colonoscopy for familymembers of SPS patients is recommended. • First degree relatives of SPS should have colonoscopy at age 40 or 10 years prior to proband’s diagnosis of SPS • 4/10 significant polyp, 1/7 will have serrated polyposis syndrome Serrated polyposis family member reference.
  • 34.
    For most patients, thecause of SPS is known • Smoking causes SPS. Usually patients with hyperplastic SPS, rather than sessile serrated polyps. Stopping smoking results in polyp regression. • Genetic evaluation yield is very low, but is recommended in European guidelines. – Genetic DDX includes • MYH associated polyposis (MAP) 0.8% SPS patients positive. • Newly described genes, for which testing is not available (RNAF4 gene.) • Patients can be referred to a genomic counselor using an online database (www.nsgc.org). • Without family history of colon cancer, and age >50 yo I usually do not offer genomic testing. MUTYH mutations in patients with hyperplastic polyposis syndrome. Gastroenterology. 2009.
  • 35.
    Surgery not oftenneeded for SPS • Usually 3 colonoscopies needed to remove all polyps. • In patients were all polyps appear to have been removed, follow up cancers are rare with colonoscopy every year (260 SPS pts, 2 had eventual CRC dx 1 CRC for about every 500 years of screening). • TIP: Yearly colonoscopy should be scheduled with the expectation of EMR. Clinical risk factors for cancer in SPS. Dutch 2015.26603485.
  • 36.
    Summary 5 R’s •Sessile serrated polyps (adenoma) represent 1 in 10 colon polyps, and have a “boot” histopathology. • Relevance. SSPs may be canary signal to interval colon cancer as they are associated with missed lesions • Recognition. Repeat exam of the right colon increases yield ? retroflexion. • Review. If SSP found, other polyps are common so search for them. • Removal. Frequently incomplete, consider lift with cautery snare with margin of normal tissue, ?marginal bx, ?APC. • Return. Current recommendations for SSP surveillance are similar to those for adenomas – SSP more than or = 10 mm in size, follow up in 3 years • Serrated polyposis syndrome (SPS) requires yearly follow up colonoscopy and colonoscopy is recommended for family members.
  • 38.
    Supplemental Slides Will notbe discussed during talk
  • 39.
    Relevance of SSPs Lesionsnot seen: Maybe SSPs themselves not so important, but are markers for danger like canaries in a coal mine • Low CA risk for sessile serrated adenomas – Twenty-three large serrated polyps (>10 mm) found at screening were left in situ for a median of 11.0 years. None developed into a malignant tumour. • Sessile serrated polyps as markers for present and future neoplasia. – Present : 1 of 3 colonoscopies where a SSA is found, a conventional adenoma will also be found. – Future neoplasia > Next slide. Norway Gut 2014 2014 USA Septin 9 trial data on SAs per center
  • 40.
    Norwegian Study Conclusion “The excessrisk of CRC in patients with large serrated polyps may not be due to malignant growth of the serrated polyp, but to a ‘field’-effect in the patient with these polyps.” Norway Gut 2014 Macaronesia, home of the canary
  • 41.
    My predictions forthe future of clinical management of SSPs • For the individual large SSA, removed with the optimal technique and negative marginal biopsies close follow will not be needed. Question: Is there malignant potential to the individual SSP? SSP incomplete polypectomies, really much ado about nothing. • For the “field defect”, life long increased surveillance with colonoscopy every ? 7 years. APC following piecemeal polypectomy

Editor's Notes

  • #3 Gut 2014 The 9167 studied patients were mostly men (71.2%) and Caucasian (89.1%), and their mean age was 62.0 years. The median clinical follow-up for the entire patient group was 47.2 months (range of medians among studies 36.9–59.0 months) and the majority underwent at least one colonoscopy during that period, ranging among studies from 81% in the National Polyp Study (NPS) to 97% in the VA study.27 A total of 58 patients (0.63%) were diagnosed with invasive CRC following a colonoscopy that had been deemed clear of neoplasia for an incidence rate of interval cancers of 1.71 per 1000 person-years of follow-up. In 46 cases (79%), the indication for the colonoscopy that detected the cancer was routine surveillance. In nine cases, the indication was symptoms suggestive of CRC, and the other three were performed to follow-up an abnormal colonoscopic finding or at patient request. Patients found with cancer were older (mean age=67.4±6.9 years) than those without cancer (mean age=61.9±9.5 years; p=0.0003) and were more likely to be men (86.2% of those with cancer vs 71.1% of those without; p<0.0001). Interval cancers were detected in each of the eight studies (table 3) and were distributed throughout all sections of the large bowel: 29 (50%) were on the right side of the colon and most (78%) were Stage I or II (see online supplementary material table S2). However, nine of the patients with cancer (15%) subsequently died of CRC during a median follow-up of 4.7 years in these cases. The incidence of interval cancer varied across studies ranging from a low of 1.14 cancers/1000 person-years of follow-up (NPS) to a high of 2.24 cancers per 1000 person-years of follow-up (Calcium Polyp Prevention Study). In four of the eight studies at least one subject died of CRC.