Дереш Наталия Deresh Nataliya Областной противотуберкулезный диспансер   Кабинет компьютерной томографии « Vitacom »  Тернополь
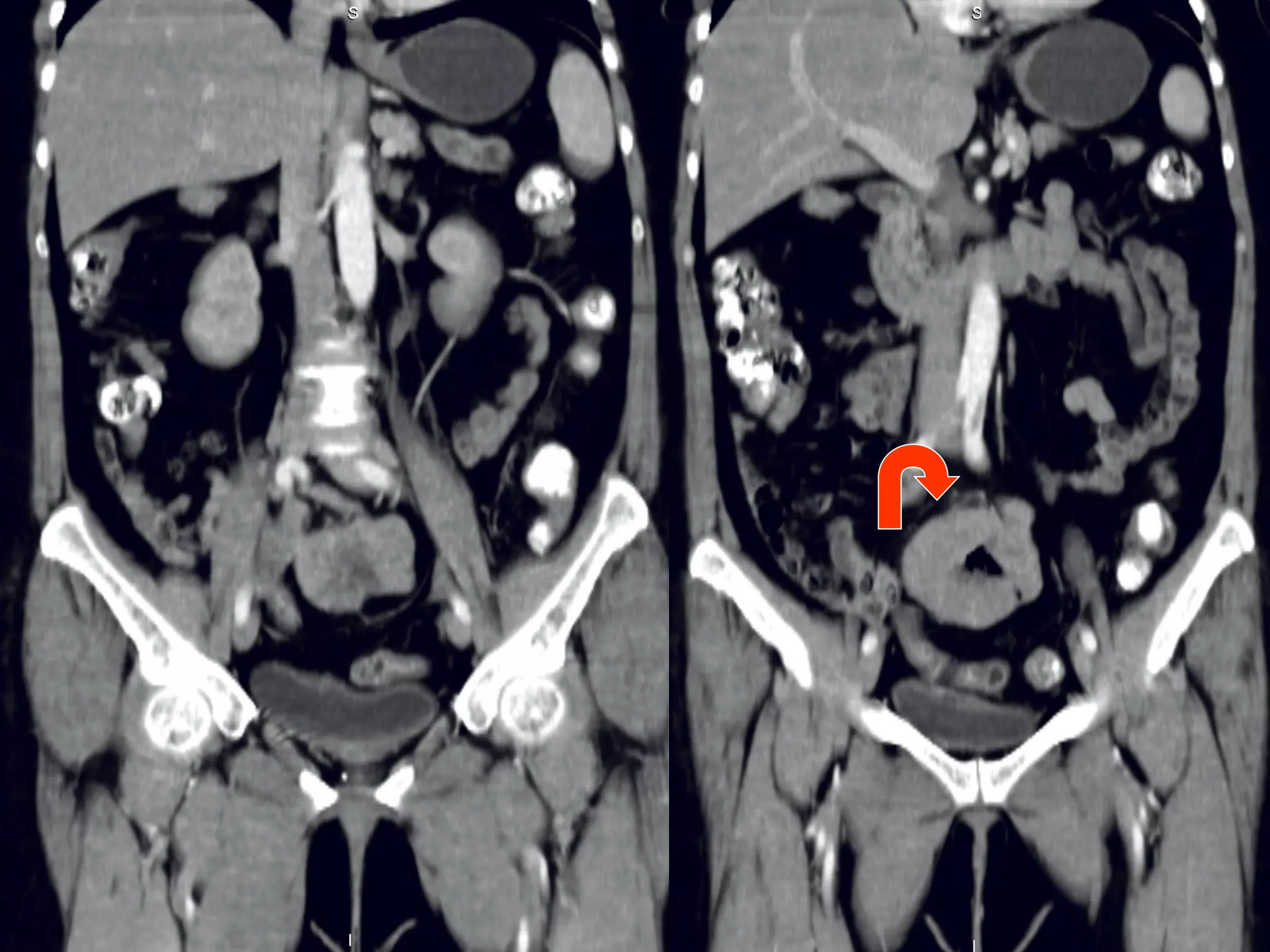
Случай 1. - женщина, 60 лет, госпитализирована в отделение сосудистой хирургии с диагнозом острый тромбоз левой бедренной артерии при скриннинговом УЗИ брюшной полости над мочевым пузырем обнаружено опухолевидное образование  из анамнеза – жалобы на боли в левой ноге, абдоминальных болей, нарушений частоты или консистенции стула не предъявляет при пальпации  объемное эластичное подвижное образование в гипогастральной зоне, чувствительное при глубокой пальпации. В анализах – умеренная гипохромная анемия. Гинекологический статус – без патологических находок. Ирригография– без патологических находок.
 
 
 
 
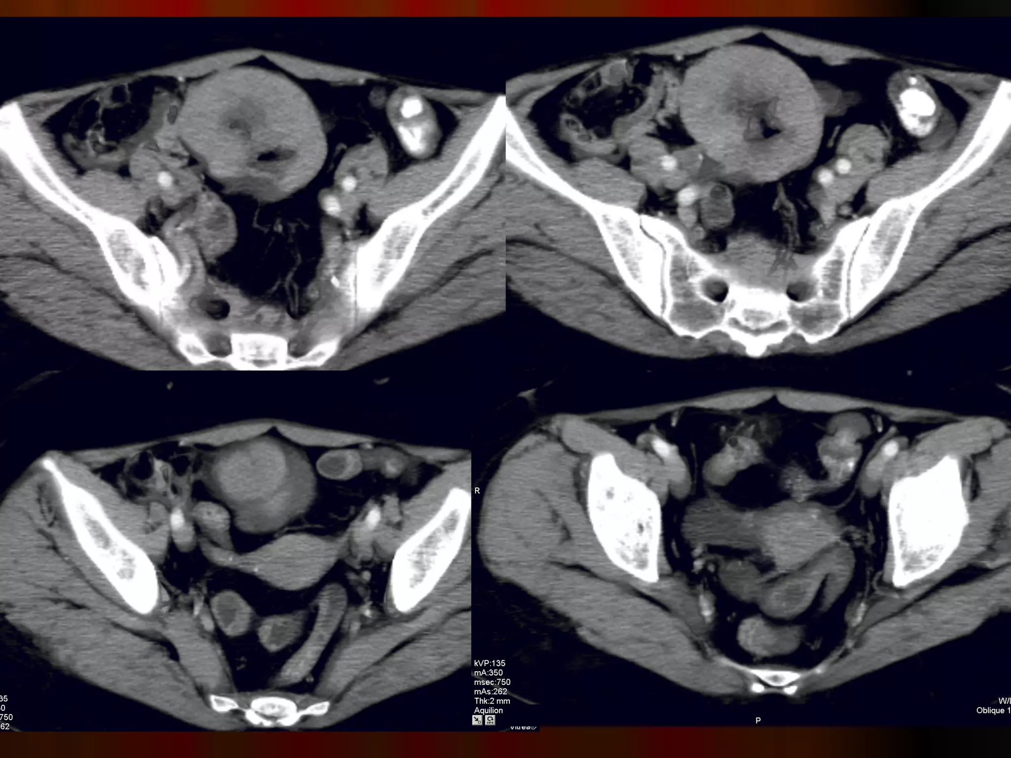
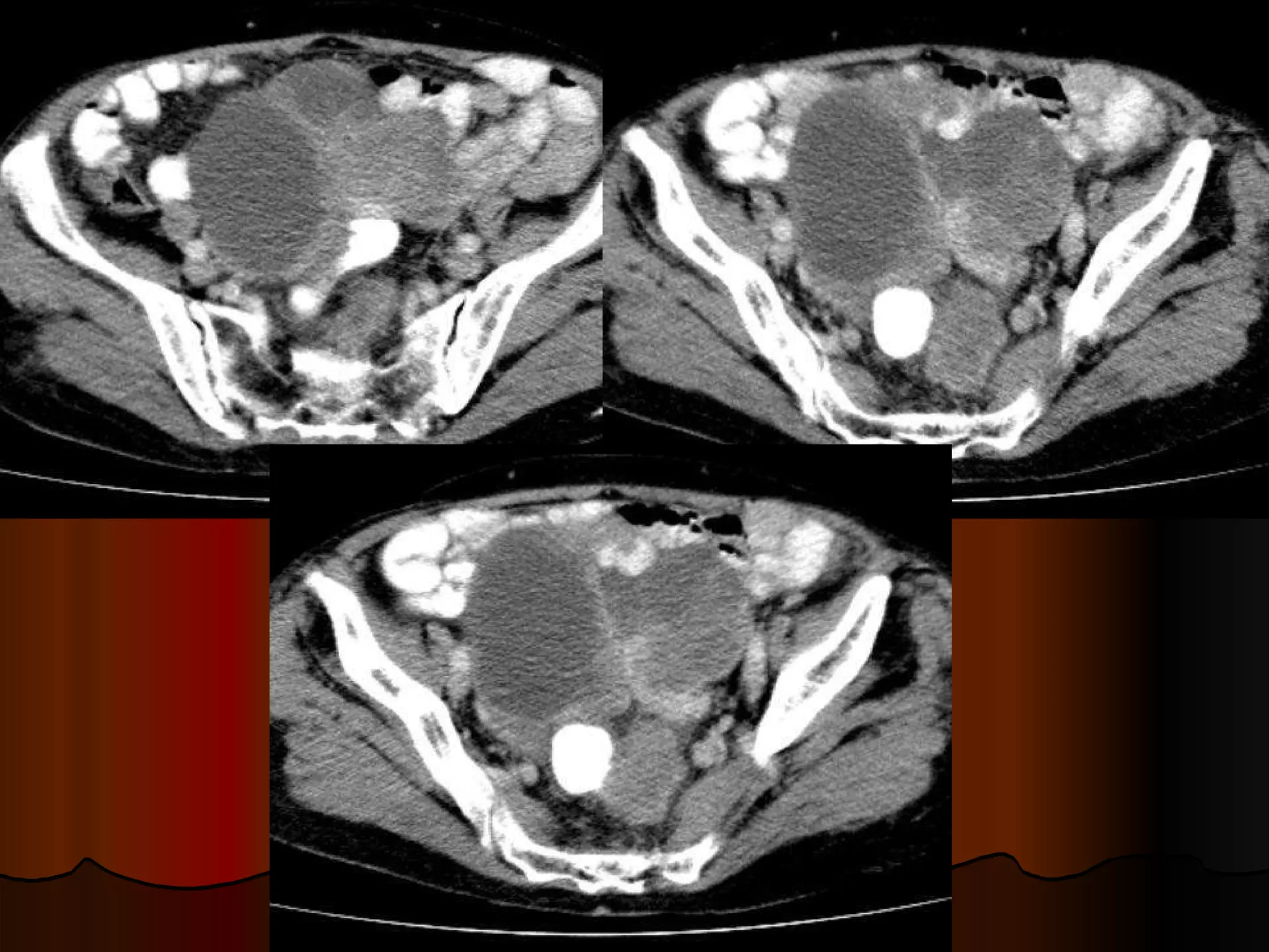
КТ-находки Образование с признаками экспансивного роста Локализация -  интраперитонеально инфрамезентериально по срединной линии  По строению напоминает кишечную трубку с циркулярным утолщением стенок, прослеживается их слоистость, просвет выполнен воздухом и жидкостью, четкие контуры Органная принадлежность – подвздошная кишка/ брыжейка, однако не видно типично «входящей» и «отходящей» петли, скорее прилежит к протитво-брыжеечному краю Гомогенно усиливается без признаков гиперваскулярности, внутренний «слой» гиподенсный Нет признаков кишечной обструкции, реакции перифокального жира, лимфаденопатии, подвздошые сосуды не компрессированы, печень не поражена Пристеночный линейный тромб на уровне устья  общей подвздошной артерии слева
Вопросы для дискуссии Сообщение с просветом кишки - следствие некроза или естественный просвет? Почему нет признаков кишечной обструкции? Если опухоль, то какая? Возможно ли, что не опухоль, учитывая анатомическую область?
Gastrointestinal stromal tumor  ( GIST )? Гастроинтестинальные стромальные опухоли (GIST-Gastrointestinal Stromal Tumors) составляют от 0,1% до 3% от всех злокачественных новообразований желудочно-кишечного тракта Типичной локализацией GIST является желудок (60-70%), тонкая кишка (25-35%), толстая и прямая кишка (5%).  Возраст 50-70 лет Часто асимптоматичные, случайные находки, если есть симптомы – обычно это боли в животе, изъязвление, кровотечения и их осложенения.  Просвет обычно не стенозирован, поскольку длительно сохраняется эластичность кишечной трубки, в отличии от карцином обычно медленный рост, метастазируют в печень и по брыжейке Показано иммуногистохимическое исследование
Gastrointestinal stromal tumor (GIST)  CT scan obtained in the same patient as in Image 5 shows a focal segment of diffusely thickened ileum Author: Vu H Nguyen, MD, Staff Physician, Department of Radiology, University of Wisconsin Hospitals and Clinics Coauthor(s): Andrew Taylor, MD, Professor, Department of Radiology, University of Wisconsin Hospitals and Clinics  emedicine.medscape.com/ article/369803-overview
Дивертикул Меккеля? конгенитальная патология,  представляет собой остаток желточного (омфаломезенетриального) протока. Частота 2—3%. Располагается на противо-брыжеечном крае подвздошной кишки в 60— 100 см от илеоцекального угла. Это истинный дивертикул, в его стенке находятся все слои кишки; могут быть и эктопированная ткань желудка, поджелудочной железы, островки толстокишечного эпителия. Обычно асимптоматичен, может осложнятся: перекрут, кишечная обструкция дивертикулит, изъязвление, кровоточение, перфорация грыжа опухолевое поражение
Stromal tumour within a Meckel's diverticulum: CT findings British Journal of Radiology RadioGraphics www.gfmer.ch/genetic_ diseases_v2/gendis_detai.
Tumora stromala de diverticul Meckel - cauza rara de hemoragie digestiva si problema de diagnostic   Articol din Revista Societatii Romane de Chirurgie  (Chirurgia, 100 (1): 69-73) Autori: M. Barbulescu, T. Burcos, C.D. Ungureanu, I. Zodieru-Popa www.emcb.ro/article. php?story=20070306171103202
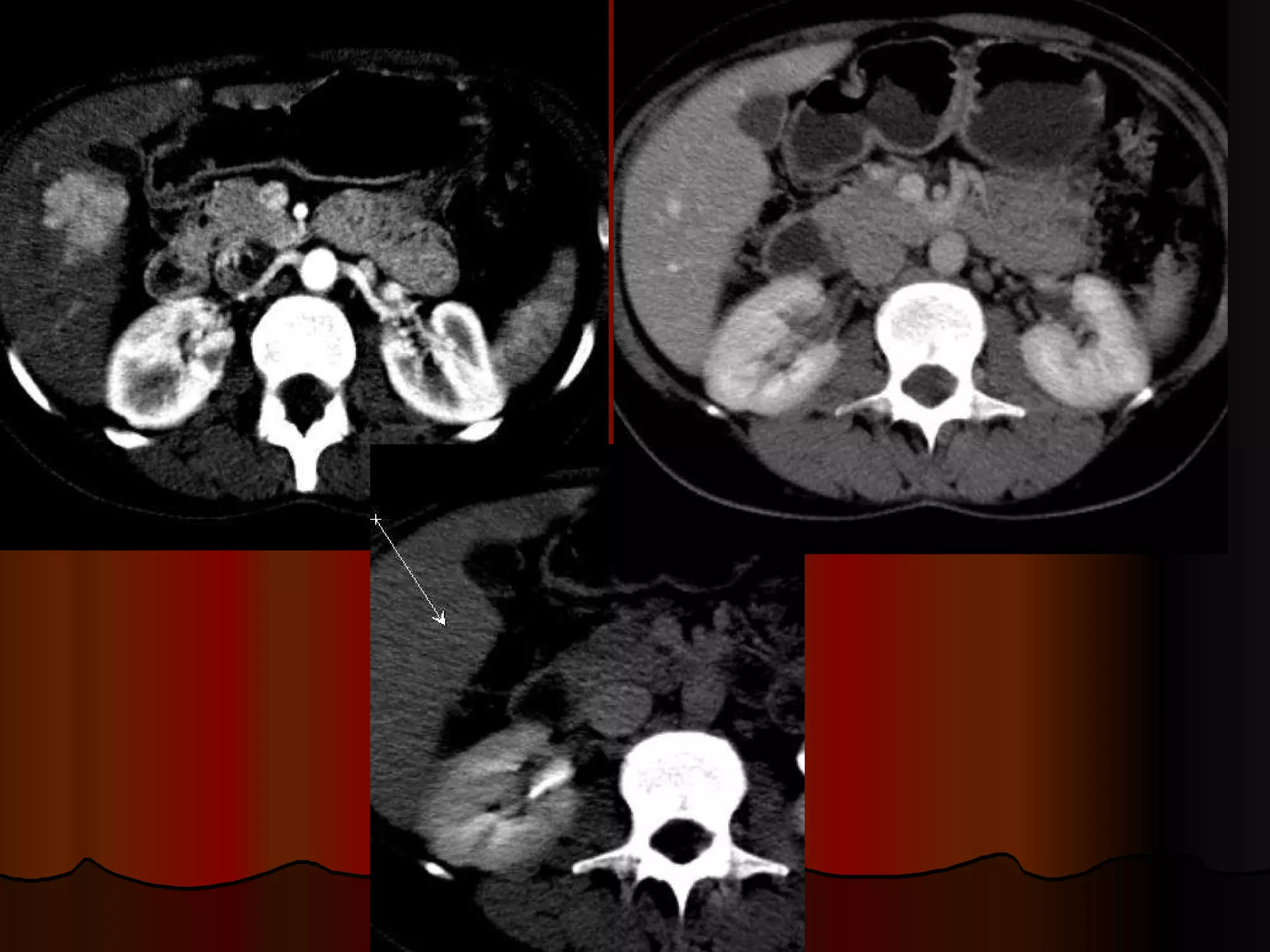
Случай 2. Мужчина, 25 лет поступил в неврологическое отделение Жалобы  - головная  боль, клинически слабо выраженный  правосторонний гемипарез  по центральному типу, менингеальные знаки +.  Из анамнеза – начало заболевания постепенное, субфебрилитет, повышенная потливость, покашливание. Лечился самостоятельно как от простуды. К врачам обратился через 1 мес., когда появились неврологические изменения. В ликворе – умеренный лимфоцитоз, снижение уровня глюкозы. Рентгенограмма органов грудной полости – диффузное усиление легочного рисунка.
КТ-находки при поступлении Какие заболевания можно выставить в дифряд?
КТ легких того же пациента Легочная милиарная  диссеминация В  S3  слева плотный очаг с кальцинатами,  уплотнен лимфоузел в корне
КТ-контроль в динамике
Туберкулезный  менингоэнцефалит, милиарный легочной туберкулез Из мокроты при бакпосеве выделены МБТ. Динамика лечения противотуберкулезными препаратами – в легких практически полное разрешение милдиарной диссемигации, в головном мозге – рассасывание мелких очагов, слияние крупных очагов с дальнейшим  развитием кистозной  энцефаломаляции,  неврологический дефицит купирован частично.
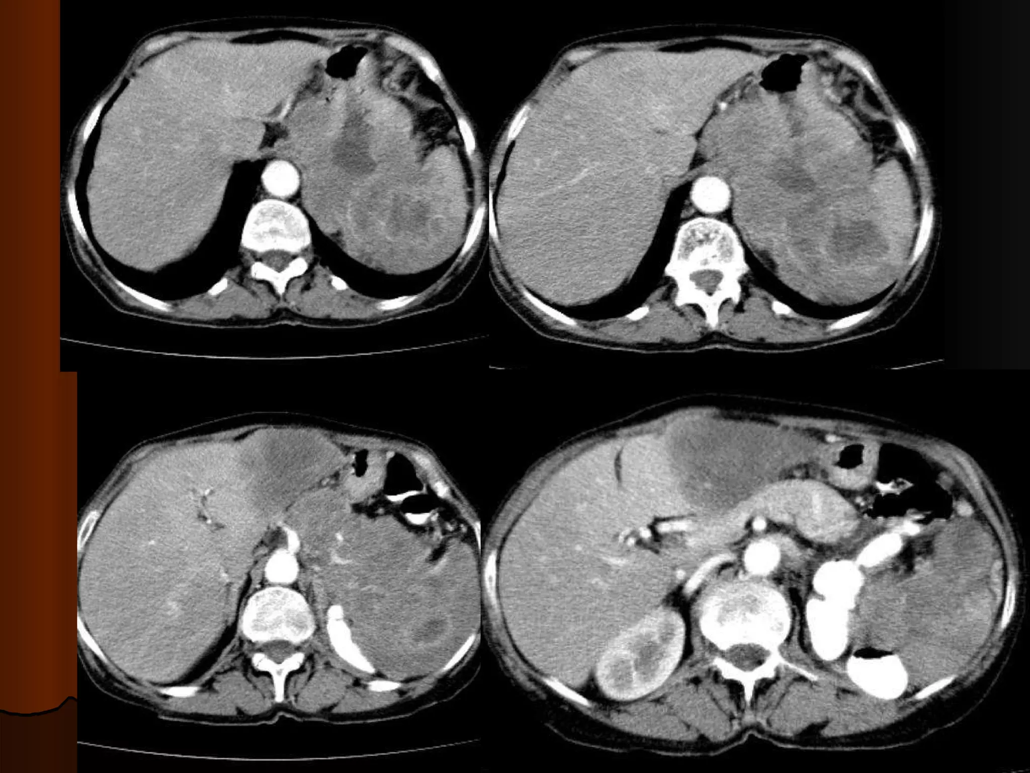
Случай 3. Различные КТ-находки в печени у одной молодой пациентки
 
Вопросы для дискуссии Какие фазы контрастирования представлены В чем их диагностическая ценность Характер усиления образований в печени Дифряд
Flash – гемангиомы Фибронодуляный гиперпластический узел Аденома?
Женщина, 70 лет, боли в эпигастрии, анемия, резкая потеря веса Случай 4.
 
 
Инфильтративная форма рака желудка с региональным прорастанием, метастазы в яичники ( рак Крукенберга) и параректальную клетчатку ( Шницлеровский метастаз)

ESOR - Education in partnership

  • 1.
    Дереш Наталия DereshNataliya Областной противотуберкулезный диспансер Кабинет компьютерной томографии « Vitacom » Тернополь
  • 2.
    Случай 1. -женщина, 60 лет, госпитализирована в отделение сосудистой хирургии с диагнозом острый тромбоз левой бедренной артерии при скриннинговом УЗИ брюшной полости над мочевым пузырем обнаружено опухолевидное образование из анамнеза – жалобы на боли в левой ноге, абдоминальных болей, нарушений частоты или консистенции стула не предъявляет при пальпации объемное эластичное подвижное образование в гипогастральной зоне, чувствительное при глубокой пальпации. В анализах – умеренная гипохромная анемия. Гинекологический статус – без патологических находок. Ирригография– без патологических находок.
  • 3.
  • 4.
  • 5.
  • 6.
  • 7.
    КТ-находки Образование спризнаками экспансивного роста Локализация - интраперитонеально инфрамезентериально по срединной линии По строению напоминает кишечную трубку с циркулярным утолщением стенок, прослеживается их слоистость, просвет выполнен воздухом и жидкостью, четкие контуры Органная принадлежность – подвздошная кишка/ брыжейка, однако не видно типично «входящей» и «отходящей» петли, скорее прилежит к протитво-брыжеечному краю Гомогенно усиливается без признаков гиперваскулярности, внутренний «слой» гиподенсный Нет признаков кишечной обструкции, реакции перифокального жира, лимфаденопатии, подвздошые сосуды не компрессированы, печень не поражена Пристеночный линейный тромб на уровне устья общей подвздошной артерии слева
  • 8.
    Вопросы для дискуссииСообщение с просветом кишки - следствие некроза или естественный просвет? Почему нет признаков кишечной обструкции? Если опухоль, то какая? Возможно ли, что не опухоль, учитывая анатомическую область?
  • 9.
    Gastrointestinal stromal tumor ( GIST )? Гастроинтестинальные стромальные опухоли (GIST-Gastrointestinal Stromal Tumors) составляют от 0,1% до 3% от всех злокачественных новообразований желудочно-кишечного тракта Типичной локализацией GIST является желудок (60-70%), тонкая кишка (25-35%), толстая и прямая кишка (5%). Возраст 50-70 лет Часто асимптоматичные, случайные находки, если есть симптомы – обычно это боли в животе, изъязвление, кровотечения и их осложенения. Просвет обычно не стенозирован, поскольку длительно сохраняется эластичность кишечной трубки, в отличии от карцином обычно медленный рост, метастазируют в печень и по брыжейке Показано иммуногистохимическое исследование
  • 10.
    Gastrointestinal stromal tumor(GIST) CT scan obtained in the same patient as in Image 5 shows a focal segment of diffusely thickened ileum Author: Vu H Nguyen, MD, Staff Physician, Department of Radiology, University of Wisconsin Hospitals and Clinics Coauthor(s): Andrew Taylor, MD, Professor, Department of Radiology, University of Wisconsin Hospitals and Clinics emedicine.medscape.com/ article/369803-overview
  • 11.
    Дивертикул Меккеля? конгенитальнаяпатология, представляет собой остаток желточного (омфаломезенетриального) протока. Частота 2—3%. Располагается на противо-брыжеечном крае подвздошной кишки в 60— 100 см от илеоцекального угла. Это истинный дивертикул, в его стенке находятся все слои кишки; могут быть и эктопированная ткань желудка, поджелудочной железы, островки толстокишечного эпителия. Обычно асимптоматичен, может осложнятся: перекрут, кишечная обструкция дивертикулит, изъязвление, кровоточение, перфорация грыжа опухолевое поражение
  • 12.
    Stromal tumour withina Meckel's diverticulum: CT findings British Journal of Radiology RadioGraphics www.gfmer.ch/genetic_ diseases_v2/gendis_detai.
  • 13.
    Tumora stromala dediverticul Meckel - cauza rara de hemoragie digestiva si problema de diagnostic Articol din Revista Societatii Romane de Chirurgie (Chirurgia, 100 (1): 69-73) Autori: M. Barbulescu, T. Burcos, C.D. Ungureanu, I. Zodieru-Popa www.emcb.ro/article. php?story=20070306171103202
  • 14.
    Случай 2. Мужчина,25 лет поступил в неврологическое отделение Жалобы - головная боль, клинически слабо выраженный правосторонний гемипарез по центральному типу, менингеальные знаки +. Из анамнеза – начало заболевания постепенное, субфебрилитет, повышенная потливость, покашливание. Лечился самостоятельно как от простуды. К врачам обратился через 1 мес., когда появились неврологические изменения. В ликворе – умеренный лимфоцитоз, снижение уровня глюкозы. Рентгенограмма органов грудной полости – диффузное усиление легочного рисунка.
  • 15.
    КТ-находки при поступленииКакие заболевания можно выставить в дифряд?
  • 16.
    КТ легких тогоже пациента Легочная милиарная диссеминация В S3 слева плотный очаг с кальцинатами, уплотнен лимфоузел в корне
  • 17.
  • 18.
    Туберкулезный менингоэнцефалит,милиарный легочной туберкулез Из мокроты при бакпосеве выделены МБТ. Динамика лечения противотуберкулезными препаратами – в легких практически полное разрешение милдиарной диссемигации, в головном мозге – рассасывание мелких очагов, слияние крупных очагов с дальнейшим развитием кистозной энцефаломаляции, неврологический дефицит купирован частично.
  • 19.
    Случай 3. РазличныеКТ-находки в печени у одной молодой пациентки
  • 20.
  • 21.
    Вопросы для дискуссииКакие фазы контрастирования представлены В чем их диагностическая ценность Характер усиления образований в печени Дифряд
  • 22.
    Flash – гемангиомыФибронодуляный гиперпластический узел Аденома?
  • 23.
    Женщина, 70 лет,боли в эпигастрии, анемия, резкая потеря веса Случай 4.
  • 24.
  • 25.
  • 26.
    Инфильтративная форма ракажелудка с региональным прорастанием, метастазы в яичники ( рак Крукенберга) и параректальную клетчатку ( Шницлеровский метастаз)