Embed presentation
Download to read offline












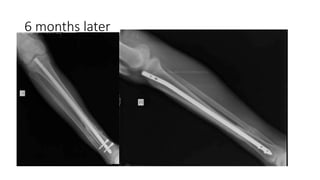
The document outlines a surgical procedure for treating malunion of the distal tibia, detailing steps that include applying an external fixator, performing an open reduction, and using fibular osteotomy. Key steps involve exposing the tibia, mobilizing and lengthening the fracture, and ensuring anatomic reduction during the insertion of a rod. The procedure emphasizes the importance of maintaining stability and avoiding proximal locking if possible.











