5 DIFFERENTIAL DIAGNOSIS
OF PERICORONAL
RADIOLUCENCIES
MUHSINA T
FINAL YEAR PART 1
CONTENTS
• INTRODUCTION
• PERICORONAL RADIOLUCENCIES
• DIFFERENTIAL DIAGNOSIS
• CONCLUSION
• REFERENCE
INTRODUCTION
• Pericoronal radiolucencies - lesions which cause radiolucency in the
coronal region of the teeth
• The crowns of unerupted teeth are surrounded by dental follicle,
pathological changes can occur in these follicles
• Is the most common finding during routine radiographic examination
associated with impacted, embedded, and unerupted tooth.
PERICORONAL RADIOLUCENCIES
• PERICORONAL OR FOLLICULAR SPACE
• UNICYSTIC (MURAL) AMELOBLASTOMA
• AMELOBLASTOMA
• ADENAMATOID ODONTOGENIC TUMOR
• CALCIFYING ODONTOGENIC CYST OR TUMOR
• AMELOBLASTIC FIBROMA
RARITIES
• Ameloblastic variants
• Calcifying epithelial odontogenic
tumor
• Envelopmental primordial cyst
• Ewings sarcoma
• Extra follicular dentigerous cyst
• Follicular primodial cyst
• Odontogenic carcinoma
• Odontogenic fibroma
• Odontogenic keratocyst
• Odontogenic myxoma
• Odontoma in pericoronal location
• Ossifying fibroma
5 DIFFERENTIAL DIAGNOSIS OF
PERICORONAL RADIOLUCENCIES
PREDO
MINT
GENDER
PEAK
AGE
(YEAR)
MOST
FREQUENT
JAW
INVOLVED
MOST
FREQUENT
AREA OF
JAW
INVOLVED
MOST
FREQUENT
TOOTH
INVOLVED
SIGNS OR
SYMPTOMS
RECURRENCE
FOLLICULA
R SPACES
DEVELOPI
NG TEETH
IMPACTED
TEETH
_
M~F
4-12
OVER
18 Mandible
Posterior Mandibular
3rd molar
None
Delayed
eruption of
tooth
Recurs as cyst or
ameloblastoma
DENTIGER
OUS CYST
M~F OVER
18
mandible posterior Mandibular
3rd molar
Delayed
eruption of
tooth
Swelling,
asymmetry
Recurs as cyst or
ameloblastoma
PREDO
MINT
GENDER
PEAK
AGE
MOST
FREQUENT
JAW
INVOLVED
MOST
FREQU
ENT
AREA
OF
JAW
INVOLV
ED
MOST
FREQUENT
TOOTH
INVOLVED
SIGNS OR
SYMPTOMS
RECURRENCE
ADENOMA
TOID
ODONTOG
ENIC
TUMORS
F:M 2:1 10 – 21
(average
16.5)
Maxilla Anterior
(90%)
Maxillary
canine (60%)
Delayed eruption
of tooth, Swelling
asymmetry
Unusual
AMELOBLA
STIC
FIBROMAS
M~F 70%
under
20
(average
14 –
15.5)
Mandible posterior Mandibular
molar and
premolar
Delayed eruption
of tooth,
advanced
Swelling,
asymmetry
Unusual
PREDO
MINT
GENDE
R
PEAK
AGE
MOST
FREQU
ENT
JAW
INVOL
VED
MOST
FREQUE
NT
AREA
OF JAW
INVOLV
ED
MOST
FREQUEN
T TOOTH
INVOLVED
SIGNS OR
SYMPTOMS
RECURRE
NCE
UNICYSTIC
(MURAL)
AMELOBLAST
OMA
M~F 85%
under 30
( average
21 yrs)
mandibl
e
posterior Mandibular
3rd molar
Delayed eruption of
tooth
Swelling, asymmetry
occasional
AMELOBLAST
OMA
M~F Average
38.9
Mandibl
e
posterior Mandibular
3rd molar
Delayed eruption of
tooth, Swelling
asymmetry
Significant
1. PERICORONAL OR FOLLICULAR
SPACE
PERICORONAL OR FOLLICULAR SPACE
• The follicle appears on radiograph as a homogenous radiolucent halo.
• Halo - thin outer radiopaque border, representing compact bone that
is continuous with the lamina dura
• The radiolucent halo merges with the periodontal ligament space
• Halo varies in depth because of the varying thickness of the follicles
and the accumulation of fluid
• The unerupted maxillary canines frequently have enlarged follicular
spaces , especially when their eruption has been delayed
• Some children have generalized enlargement and hyperplasia of their
follicular spaces
• Hyperplastic dental follicles have been reported with rough
hypoplastic amelogenesis imperfecta and in Lowe syndrome
Hyperplastic dental follicle
Guidelines
•
1. When an asymptomatic follicular radiolucency becomes
approximately 2.5cm in diameter and surrounding cortical plate is
poorly defined, disease is strongly suggested
2. If the coronal space reaches 2.5 mm in width on the radiograph ,
this is presumptive evidence that fluid is collecting within the
follicle and pathoses is present in 80% cases
MANAGEMENT
• The absence of clinical symptoms ,it is advisable to radiograghically
examine equivocally enlarged or enlarging follicles at least every 6
months
• If eruption delayed , a dentigerous cyst or another pericoronal
pathological condition must be considered, and surgical intervention
is indicated
2. DENTIGEROUS CYST
DENTIGEROUS CYST
• Synonym – follicular cyst
• Most common odontogenic cyst after the
radicular cyst
• Associated with the crowns of unerupted or
developing teeth
• The etiology of cystic formation is unknown
• Classified as developmental cyst
Clinical features
• Most common pericoronal radiolucency
• Incidence is equal in both sexes
• The most frequently affected-
mandibular 3rd molars > the maxillary canines >
the mandibular premolars > and the maxillary 3rd
molars
• Commonly associated with maxillary mesiodens
(90%)
• Size - less than 2 cm diameter to massive expansion
• May cause painless enlargement of the jaws and facial asymmetry.
• The slowly expanding cyst erodes cortical plates,on palpation reveals
a rubbery , fluctuant, nonemptiable mass
• Aspiration yields a straw colored, thin liquid with Cholesterol crystals.
• Usually painless, delayed eruption of tooth may be the clinical sign
• Pain usually indicates the presence of infection
• Rapidly expanding cyst may presses on a sensory nerve causes
pain, may referred to any part of the face and is frequently
described as a headache
Multiple dentigerous cysts are found, in association with
• basal cell nevus syndrome
• cliedocranial dysplasia
• rare form of amelogenesis imperfecta
RADIOLOGIC CLASSIFICATION
CLASSIFICATION
• According to Thomas
Central variety:
• Here the crown is enveloped
symmetrically
• Pressure applied to the crown of the
tooth and may be push it away from its
direction of eruption
Lateral type:
• In this type the dentigerous cyst is a
radiographic appearance which
results from the dilatation of the
follicle on one aspect of the crown.
• The type us commonly seen when an
impacted molar is partially erupted so
that its superior aspect is exposed
Circumferential type
• In this entire tooth appears
to be enveloped by the cyst
• The entire enamel organ
around the neck of the tooth
becomes cystic often
allowing the tooth to erupt
through the cyst
• According to Mourshed
 class I dentigerous cyst associated with completely unerupted teeth
Dentigerous cyst associated with unerupted teeth, who fail to erupt
due to lack of space in the dental arch
Dentigerous cyst associated with unerupted teeth, who fail to erupt
due to malpositioning of the tooth germ
Dentigerous cyst associated with unerupted supernumerary teeth
Class II dentigerous cyst associated with partial partially erupted
teeth
IMAGING FEATURES
 LOCATION
• the epicenter of cyst is found just above the crown of the involved
tooth,
• Important diagnostic point – cyst is attaches at the CEJ
• most commonly mandibular or maxillary 3rd molar or a maxillary
canine.
• Cysts related to maxillary 3rd molars
grow into the maxillary antrum and
may become large before they
discovered
• Cyst attached to mandibular molars
my extend a considerable distance
into ramus or lower border mandible
PERIPHERY AND SHAPE
• Typically have a well defined cortex with curved outline or circular
outline.
• If infection present, the cortex may be missing
INTERNAL STRUCTURE:
• The internal aspect is completely radiolucent except for crown of the
involved tooth
EFFECTS ON SURROUNDING STRUCTURES
• May displace and resorb adjacent teeth
• It commonly displaces the associated tooth away from its direction of
eruption
• Thus the maxillary 3rd molar may be found at the floor of the
maxillary antrum
• The mandibular 3rd molar may be found at the lower border of the
mandible and in the ascending ramus
• maxillary canine in the sinus as far as the floor of the orbit
• The slowly expanding cyst erodes cortical plates
• Cause resorption of adjacent tooth roots in 55% of cases
DIFFERENTIAL DIAGNOSIS
 Hyperplastic follicle
• If the follicular space is more than 5 mm (normal 2-3mm) a
dentigerous cyst is suspected
• The region may be re-examined 4-6 monthly to detect increase inn
size and changes in the surrounding structures
Keratocystic odontogenic tumor
• Does not expand the bone to the same degree a dentigerous cyst
• Less likely to resorb teeth
• May attach further apically on root instead of the CEJ
 Ameloblastoma and ameloblastomic fibroma
• These are multilocular , most associated with crown of unerupted
tooth
• They grow laterally away from the tooth in comparison with
dentigerous cyst, which envelop the tooth symmetrically
• Common in premolar – molar area
 Radicular cyst
• Deep caries or extensive restoration in the primary tooth – radicular
cyst
• At the apex of the primary tooth, surrounds the crown of the
developing permanent tooth positioned apical to it - false diagnosis as
dentigerous cyst (mandibular deciduous molars ,developing
bicuspids)
MANAGEMENT
• Surgical removal, may include tooth as well
• Large cyst may treated by marsupialization before removal
3. UNICYSTIC (MURAL) AMELOBLASTOMA
UNICYSTIC (MURAL) AMELOBLASTOMA
• The unicystic ameloblastoma that forms in the wall of dentigerous
cyst is the most frequently occurring pericoronal radiolucency
• 5% of all ameloblastoma
• It is 2nd and far less frequent growth pattern seen in the intraosseous
ameloblastoma
• The minimum diagnostic criteria - single cystic sac with an
odontogenic epithelium, which is present only in focal areas.
• Unicystic type has a considerably better overall prognosis
• Reduced incidence of recurrence compared with ameloblastoma
Clinical features
• 15% to 30% of all ameloblastomas form in the wall of dentigerous
cyst
• Sex predilection – occurring approximately equally in men and
women
• Site- most common in mandibular 3rd molar region
• Age – occurs in younger age group ( average 21.8 yrs)
• The unicystic ameloblastoma is asymptomatic and remains
undetected until is seen on the routine radiogragh.
• lesion slowly enlarges , nontender swelling apparent on clinical
examination
RADIOGRAGHIC FEATURES
• LOCATION
Most ameloblastomas (80%) develop in the molar ramus region of the
mandible
Most lesions that occur in the maxilla are in the 3rd molar area
• PERIPHERY
Well defined and frequently delineated by a cortical border
• INTERNAL STRUCTURE
Totally radiolucent
• EFFECT ON SURROUNDING STRUCTURES
 Causes extensive root resorption
 Tooth displacement common
 May cause extreme expansion of the mandibular ramus, and often
the anterior border of the ramus no longer visible in the panoramic
image
DIFFERENTIAL DIAGNOSIS
 Dentigerous cyst
• Small unilocular ameloblastomas that are located around the crown
of an unerupted tooth often differentiated from dentigerous cyst.
Residual cyst
• history of extraction the teeth
Lateral periodontal cyst
• Found in incisor, canine , premolar area of maxilla
Giant cell granuloma
• Found areas anterior to the molars, younger age group, more
granular and with ill- defined septae
MANAGEMENT
• Complete removal with resection
• Intra oral block excision
• Peripheral osteotomy
• Radiation therapy ( inoperable tumors)
4. CALCIFYING ODONTOGENIC CYST
OR TUMOR (CENTRAL)
CALCIFYING ODONTOGENIC CYST OR TUMOR
(CENTRAL)
• Approximately 1% of odontogenic tumors
• Synonym- pindborg tumor
• Less aggressive than ameloblastoma
• Majority Intraosseous, rarely extraosseous
CLINICAL FEATURES
• Age predilection – 9-92 yrs ( average 40 yrs)
(average age is younger in men and older in women)
• Gender - M=F
• Site predilection – Mandible : maxilla (2:1)
• Commonly occurs as a painless, slowly increasing expansion of jaws
• Palpation of the swelling reveals a hard tumor
RADIOGRAPHIC FEATURES
RADIOGRAPHIC APPEARANCE
1. A pericoronal radiolucency
2. A pericoronal radiolucency with radiopaque foci
3. A mixed radiolucent –radiopaque lesion not associated with an
unerupted teeth
4. A “driven snow”appearance
5. Dense radiopacity
IMAGING FEATURES
LOCATION
predilection mandibular molar region (68%)>maxillary molar
region> mandibular premolar region
• Mostly associated with unerupted tooth or impacted tooth (52%)
PERIPHERY
• Border may have well defined cyst like cortex
• In some, boundary may be ill defined or irregular
INTERNAL STRUCTURE
• Unilocular or multilocular with numerous scattered, radiopaque foci
of varying size and density
• Characteristic diagnostic finding – appearance of the radiopacities
close to the crown of the embedded tooth
• Small, thin, opaque, trabeculae may cross the radiolucency in many
directions
EFFECTS ON SURROUNDING
STRUCTURES
• May displace a developing tooth
or prevents its eruption
• Associated expansion of the jaw
with maintenance of a cortical
boundary
DIFFERENTIAL DIAGNOSIS
 dentigerous cyst
• cyst is attaches at the CEJ
• most commonly mandibular or maxillary 3rd molar or a maxillary
canine.
Ameloblastoma
• radiolucent with Well defined cortical border
• May multilocular , most associated with crown of unerupted tooth
DIFFERENTIAL DIAGNOSIS
 Adenamatoid odontogenic tumor
• More common in anterior maxilla as compared to CEOT
• Common in mandibular premolar – molar region
 ameloblastic fibro odontoma
• Multilocular and radiopacities of enamel and dentin are see inside
the radiolucency
MANAGEMENT
• More conservative treatment than ameloblastoma
• Local resection with limited margins
5. ADENAMATOID ODONTOGENIC TUMOR
5. ADENAMATOID ODONTOGENIC TUMOR
• Synonym –adenoameloblastoma , ameloblastic adenamatoid tumor
• uncommon ,benign, and non invasive tumor of odontogenic origin
• 3% of all odontogenic tumors
• Origin is uncertain, but thought to be arises from residual
odontogenic epithelium
• Some investigators considered it as hamartomous malformation
Clinical features
• Sex predilection – M:F – 1:2
• Age of occurrence – second decade (Average 17 yrs)
• Types – central and peripheral
central includes follicular and extra follicular
• Tumor is slow growing and manifests as gradually enlarging, painless
swelling or asymmetry, often associated with unerupted tooth
RADIOGRAPHIC FEATURES
• LOCATION
• Site - 90% have occurred in anterior portion of the jaws
1⅟2 times more frequent in maxilla
73% occurs association with unerupted teeth or walls of
dentigerous cyst
maxillary canine > lateral incisor > mandibular premolars
PERIPHERY
• Well defined corticated or sclerotic border
INTERNAL STRUCTURE
• Internal radiopaque foci develop in two third of cases
• may completely radiolucent, or contain faint radiopaque foci, or some
show dense clusters of well defined radiopacities
• Calcifications are small with well defined borders, similar to a cluster
of small pebbles
• Intra oral radiographs may be required to demonstrate the
calcifications within the lesions, which may not be seen in panoramic
radiograph
EFFECT ON SURROUNDING STRUCTURES
• As the tumor enlarges, adjacent teeth are displaced
• Root resorption rare
• Inhibit eruption of involved tooth
• Some expansion of jaw occur, the outer cortex is maintained
DIFFERENTIAL DIAGNOSIS
• Follicular cyst
The attachment of the radiolucent lesion is more apical than the CEJ
• Calcifying odontogenic cyst
It is difficult to differentiate age group from the extrafollicular typ of
AOT
Occurs in the older age group usually in the premolar-molar area
 ameloblastic fibro odontoma
• Found commonly in the posterior mandibular region
• Multilocular and radiopacities of enamel and dentin are see inside the
radiolucency, whereas in AOT the snow flakes are seen at periphery.
 Odontogenic fibroma or myxoma
• Tennis racket appearance
MANAGEMENT
• Conservative surgical excision with curettage
CONCLUSION
• When the clinician confronted by a pericoronal radiolucency , the
surgical team must be prepared for the anticipated procedure
• Accomplished by the formulation of a list of possible diagnosis
arranged in order of probability
Example ……….
A 50 years old woman with a well defined pericoronal
radiolucency associated with impacted lower 3rd molar
DIAGNOSIS????
g
Intrafollicular space measuring is 2cm ( normal follicular space
usually decrease in size spaces with age)
Unicystic ameloblastoma – seldom occurs in persons over 30 years of
age
Calcifying odontogenic cyst - occur as a pericoronal radiolucency and
may be unsuspected until small radiopaque foci appear
Ameloblastic fibroma, mixed odontogenic tumor occurs most frequently in
mandibular premolar-molar area and seldom in patients over 20 yrs of age
AOT – predilection to anterior region
seen in young persons
Follicular cyst - surrounds the crown
The cyst lining is attached to the neck of the tooth
Working diagnosis – dentigerous cyst
unicystic ameloblastoma ( second on the formulated list)
REFERENCE
• Differential Diagnosis Of Oral And Maxillofacial Lesions- NORMAN K.
WOOD & PAUL W. GOAZ
• Oral Radiology Principles And Interpretation – STUART C. WHITE &
MICHAEL J. PHAROAH
• Essentials Of Oral & Maxillofacial Radiology – FRENY R KARJODKAR
• Shafer`s Textbook Of Oral Pathology
differential diagnosis

differential diagnosis

  • 2.
    5 DIFFERENTIAL DIAGNOSIS OFPERICORONAL RADIOLUCENCIES MUHSINA T FINAL YEAR PART 1
  • 3.
    CONTENTS • INTRODUCTION • PERICORONALRADIOLUCENCIES • DIFFERENTIAL DIAGNOSIS • CONCLUSION • REFERENCE
  • 4.
    INTRODUCTION • Pericoronal radiolucencies- lesions which cause radiolucency in the coronal region of the teeth • The crowns of unerupted teeth are surrounded by dental follicle, pathological changes can occur in these follicles • Is the most common finding during routine radiographic examination associated with impacted, embedded, and unerupted tooth.
  • 5.
    PERICORONAL RADIOLUCENCIES • PERICORONALOR FOLLICULAR SPACE • UNICYSTIC (MURAL) AMELOBLASTOMA • AMELOBLASTOMA • ADENAMATOID ODONTOGENIC TUMOR • CALCIFYING ODONTOGENIC CYST OR TUMOR • AMELOBLASTIC FIBROMA
  • 6.
    RARITIES • Ameloblastic variants •Calcifying epithelial odontogenic tumor • Envelopmental primordial cyst • Ewings sarcoma • Extra follicular dentigerous cyst • Follicular primodial cyst • Odontogenic carcinoma • Odontogenic fibroma • Odontogenic keratocyst • Odontogenic myxoma • Odontoma in pericoronal location • Ossifying fibroma
  • 7.
    5 DIFFERENTIAL DIAGNOSISOF PERICORONAL RADIOLUCENCIES
  • 8.
    PREDO MINT GENDER PEAK AGE (YEAR) MOST FREQUENT JAW INVOLVED MOST FREQUENT AREA OF JAW INVOLVED MOST FREQUENT TOOTH INVOLVED SIGNS OR SYMPTOMS RECURRENCE FOLLICULA RSPACES DEVELOPI NG TEETH IMPACTED TEETH _ M~F 4-12 OVER 18 Mandible Posterior Mandibular 3rd molar None Delayed eruption of tooth Recurs as cyst or ameloblastoma DENTIGER OUS CYST M~F OVER 18 mandible posterior Mandibular 3rd molar Delayed eruption of tooth Swelling, asymmetry Recurs as cyst or ameloblastoma
  • 9.
    PREDO MINT GENDER PEAK AGE MOST FREQUENT JAW INVOLVED MOST FREQU ENT AREA OF JAW INVOLV ED MOST FREQUENT TOOTH INVOLVED SIGNS OR SYMPTOMS RECURRENCE ADENOMA TOID ODONTOG ENIC TUMORS F:M 2:110 – 21 (average 16.5) Maxilla Anterior (90%) Maxillary canine (60%) Delayed eruption of tooth, Swelling asymmetry Unusual AMELOBLA STIC FIBROMAS M~F 70% under 20 (average 14 – 15.5) Mandible posterior Mandibular molar and premolar Delayed eruption of tooth, advanced Swelling, asymmetry Unusual
  • 10.
    PREDO MINT GENDE R PEAK AGE MOST FREQU ENT JAW INVOL VED MOST FREQUE NT AREA OF JAW INVOLV ED MOST FREQUEN T TOOTH INVOLVED SIGNSOR SYMPTOMS RECURRE NCE UNICYSTIC (MURAL) AMELOBLAST OMA M~F 85% under 30 ( average 21 yrs) mandibl e posterior Mandibular 3rd molar Delayed eruption of tooth Swelling, asymmetry occasional AMELOBLAST OMA M~F Average 38.9 Mandibl e posterior Mandibular 3rd molar Delayed eruption of tooth, Swelling asymmetry Significant
  • 11.
    1. PERICORONAL ORFOLLICULAR SPACE
  • 12.
    PERICORONAL OR FOLLICULARSPACE • The follicle appears on radiograph as a homogenous radiolucent halo. • Halo - thin outer radiopaque border, representing compact bone that is continuous with the lamina dura • The radiolucent halo merges with the periodontal ligament space • Halo varies in depth because of the varying thickness of the follicles and the accumulation of fluid
  • 14.
    • The uneruptedmaxillary canines frequently have enlarged follicular spaces , especially when their eruption has been delayed • Some children have generalized enlargement and hyperplasia of their follicular spaces • Hyperplastic dental follicles have been reported with rough hypoplastic amelogenesis imperfecta and in Lowe syndrome
  • 15.
  • 16.
    Guidelines • 1. When anasymptomatic follicular radiolucency becomes approximately 2.5cm in diameter and surrounding cortical plate is poorly defined, disease is strongly suggested 2. If the coronal space reaches 2.5 mm in width on the radiograph , this is presumptive evidence that fluid is collecting within the follicle and pathoses is present in 80% cases
  • 17.
    MANAGEMENT • The absenceof clinical symptoms ,it is advisable to radiograghically examine equivocally enlarged or enlarging follicles at least every 6 months • If eruption delayed , a dentigerous cyst or another pericoronal pathological condition must be considered, and surgical intervention is indicated
  • 18.
  • 19.
    DENTIGEROUS CYST • Synonym– follicular cyst • Most common odontogenic cyst after the radicular cyst • Associated with the crowns of unerupted or developing teeth • The etiology of cystic formation is unknown • Classified as developmental cyst
  • 20.
    Clinical features • Mostcommon pericoronal radiolucency • Incidence is equal in both sexes • The most frequently affected- mandibular 3rd molars > the maxillary canines > the mandibular premolars > and the maxillary 3rd molars • Commonly associated with maxillary mesiodens (90%)
  • 21.
    • Size -less than 2 cm diameter to massive expansion • May cause painless enlargement of the jaws and facial asymmetry. • The slowly expanding cyst erodes cortical plates,on palpation reveals a rubbery , fluctuant, nonemptiable mass • Aspiration yields a straw colored, thin liquid with Cholesterol crystals.
  • 22.
    • Usually painless,delayed eruption of tooth may be the clinical sign • Pain usually indicates the presence of infection • Rapidly expanding cyst may presses on a sensory nerve causes pain, may referred to any part of the face and is frequently described as a headache
  • 23.
    Multiple dentigerous cystsare found, in association with • basal cell nevus syndrome • cliedocranial dysplasia • rare form of amelogenesis imperfecta
  • 24.
  • 25.
    CLASSIFICATION • According toThomas Central variety: • Here the crown is enveloped symmetrically • Pressure applied to the crown of the tooth and may be push it away from its direction of eruption
  • 26.
    Lateral type: • Inthis type the dentigerous cyst is a radiographic appearance which results from the dilatation of the follicle on one aspect of the crown. • The type us commonly seen when an impacted molar is partially erupted so that its superior aspect is exposed
  • 27.
    Circumferential type • Inthis entire tooth appears to be enveloped by the cyst • The entire enamel organ around the neck of the tooth becomes cystic often allowing the tooth to erupt through the cyst
  • 28.
    • According toMourshed  class I dentigerous cyst associated with completely unerupted teeth Dentigerous cyst associated with unerupted teeth, who fail to erupt due to lack of space in the dental arch Dentigerous cyst associated with unerupted teeth, who fail to erupt due to malpositioning of the tooth germ
  • 29.
    Dentigerous cyst associatedwith unerupted supernumerary teeth Class II dentigerous cyst associated with partial partially erupted teeth
  • 30.
    IMAGING FEATURES  LOCATION •the epicenter of cyst is found just above the crown of the involved tooth, • Important diagnostic point – cyst is attaches at the CEJ • most commonly mandibular or maxillary 3rd molar or a maxillary canine.
  • 31.
    • Cysts relatedto maxillary 3rd molars grow into the maxillary antrum and may become large before they discovered • Cyst attached to mandibular molars my extend a considerable distance into ramus or lower border mandible
  • 32.
    PERIPHERY AND SHAPE •Typically have a well defined cortex with curved outline or circular outline. • If infection present, the cortex may be missing
  • 33.
    INTERNAL STRUCTURE: • Theinternal aspect is completely radiolucent except for crown of the involved tooth
  • 34.
    EFFECTS ON SURROUNDINGSTRUCTURES • May displace and resorb adjacent teeth • It commonly displaces the associated tooth away from its direction of eruption • Thus the maxillary 3rd molar may be found at the floor of the maxillary antrum
  • 36.
    • The mandibular3rd molar may be found at the lower border of the mandible and in the ascending ramus • maxillary canine in the sinus as far as the floor of the orbit • The slowly expanding cyst erodes cortical plates • Cause resorption of adjacent tooth roots in 55% of cases
  • 37.
    DIFFERENTIAL DIAGNOSIS  Hyperplasticfollicle • If the follicular space is more than 5 mm (normal 2-3mm) a dentigerous cyst is suspected • The region may be re-examined 4-6 monthly to detect increase inn size and changes in the surrounding structures
  • 38.
    Keratocystic odontogenic tumor •Does not expand the bone to the same degree a dentigerous cyst • Less likely to resorb teeth • May attach further apically on root instead of the CEJ
  • 39.
     Ameloblastoma andameloblastomic fibroma • These are multilocular , most associated with crown of unerupted tooth • They grow laterally away from the tooth in comparison with dentigerous cyst, which envelop the tooth symmetrically • Common in premolar – molar area
  • 40.
     Radicular cyst •Deep caries or extensive restoration in the primary tooth – radicular cyst • At the apex of the primary tooth, surrounds the crown of the developing permanent tooth positioned apical to it - false diagnosis as dentigerous cyst (mandibular deciduous molars ,developing bicuspids)
  • 41.
    MANAGEMENT • Surgical removal,may include tooth as well • Large cyst may treated by marsupialization before removal
  • 42.
    3. UNICYSTIC (MURAL)AMELOBLASTOMA
  • 43.
    UNICYSTIC (MURAL) AMELOBLASTOMA •The unicystic ameloblastoma that forms in the wall of dentigerous cyst is the most frequently occurring pericoronal radiolucency • 5% of all ameloblastoma • It is 2nd and far less frequent growth pattern seen in the intraosseous ameloblastoma
  • 44.
    • The minimumdiagnostic criteria - single cystic sac with an odontogenic epithelium, which is present only in focal areas. • Unicystic type has a considerably better overall prognosis • Reduced incidence of recurrence compared with ameloblastoma
  • 45.
    Clinical features • 15%to 30% of all ameloblastomas form in the wall of dentigerous cyst • Sex predilection – occurring approximately equally in men and women • Site- most common in mandibular 3rd molar region • Age – occurs in younger age group ( average 21.8 yrs)
  • 46.
    • The unicysticameloblastoma is asymptomatic and remains undetected until is seen on the routine radiogragh. • lesion slowly enlarges , nontender swelling apparent on clinical examination
  • 47.
    RADIOGRAGHIC FEATURES • LOCATION Mostameloblastomas (80%) develop in the molar ramus region of the mandible Most lesions that occur in the maxilla are in the 3rd molar area • PERIPHERY Well defined and frequently delineated by a cortical border
  • 48.
  • 49.
    • EFFECT ONSURROUNDING STRUCTURES  Causes extensive root resorption  Tooth displacement common  May cause extreme expansion of the mandibular ramus, and often the anterior border of the ramus no longer visible in the panoramic image
  • 51.
    DIFFERENTIAL DIAGNOSIS  Dentigerouscyst • Small unilocular ameloblastomas that are located around the crown of an unerupted tooth often differentiated from dentigerous cyst. Residual cyst • history of extraction the teeth
  • 52.
    Lateral periodontal cyst •Found in incisor, canine , premolar area of maxilla Giant cell granuloma • Found areas anterior to the molars, younger age group, more granular and with ill- defined septae
  • 53.
    MANAGEMENT • Complete removalwith resection • Intra oral block excision • Peripheral osteotomy • Radiation therapy ( inoperable tumors)
  • 54.
    4. CALCIFYING ODONTOGENICCYST OR TUMOR (CENTRAL)
  • 55.
    CALCIFYING ODONTOGENIC CYSTOR TUMOR (CENTRAL) • Approximately 1% of odontogenic tumors • Synonym- pindborg tumor • Less aggressive than ameloblastoma • Majority Intraosseous, rarely extraosseous
  • 56.
    CLINICAL FEATURES • Agepredilection – 9-92 yrs ( average 40 yrs) (average age is younger in men and older in women) • Gender - M=F • Site predilection – Mandible : maxilla (2:1) • Commonly occurs as a painless, slowly increasing expansion of jaws • Palpation of the swelling reveals a hard tumor
  • 57.
    RADIOGRAPHIC FEATURES RADIOGRAPHIC APPEARANCE 1.A pericoronal radiolucency 2. A pericoronal radiolucency with radiopaque foci 3. A mixed radiolucent –radiopaque lesion not associated with an unerupted teeth 4. A “driven snow”appearance 5. Dense radiopacity
  • 58.
    IMAGING FEATURES LOCATION predilection mandibularmolar region (68%)>maxillary molar region> mandibular premolar region • Mostly associated with unerupted tooth or impacted tooth (52%) PERIPHERY • Border may have well defined cyst like cortex • In some, boundary may be ill defined or irregular
  • 60.
    INTERNAL STRUCTURE • Unilocularor multilocular with numerous scattered, radiopaque foci of varying size and density • Characteristic diagnostic finding – appearance of the radiopacities close to the crown of the embedded tooth • Small, thin, opaque, trabeculae may cross the radiolucency in many directions
  • 61.
    EFFECTS ON SURROUNDING STRUCTURES •May displace a developing tooth or prevents its eruption • Associated expansion of the jaw with maintenance of a cortical boundary
  • 62.
    DIFFERENTIAL DIAGNOSIS  dentigerouscyst • cyst is attaches at the CEJ • most commonly mandibular or maxillary 3rd molar or a maxillary canine. Ameloblastoma • radiolucent with Well defined cortical border • May multilocular , most associated with crown of unerupted tooth
  • 63.
    DIFFERENTIAL DIAGNOSIS  Adenamatoidodontogenic tumor • More common in anterior maxilla as compared to CEOT • Common in mandibular premolar – molar region  ameloblastic fibro odontoma • Multilocular and radiopacities of enamel and dentin are see inside the radiolucency
  • 64.
    MANAGEMENT • More conservativetreatment than ameloblastoma • Local resection with limited margins
  • 65.
  • 66.
    5. ADENAMATOID ODONTOGENICTUMOR • Synonym –adenoameloblastoma , ameloblastic adenamatoid tumor • uncommon ,benign, and non invasive tumor of odontogenic origin • 3% of all odontogenic tumors • Origin is uncertain, but thought to be arises from residual odontogenic epithelium • Some investigators considered it as hamartomous malformation
  • 67.
    Clinical features • Sexpredilection – M:F – 1:2 • Age of occurrence – second decade (Average 17 yrs) • Types – central and peripheral central includes follicular and extra follicular • Tumor is slow growing and manifests as gradually enlarging, painless swelling or asymmetry, often associated with unerupted tooth
  • 68.
    RADIOGRAPHIC FEATURES • LOCATION •Site - 90% have occurred in anterior portion of the jaws 1⅟2 times more frequent in maxilla 73% occurs association with unerupted teeth or walls of dentigerous cyst maxillary canine > lateral incisor > mandibular premolars
  • 70.
    PERIPHERY • Well definedcorticated or sclerotic border INTERNAL STRUCTURE • Internal radiopaque foci develop in two third of cases • may completely radiolucent, or contain faint radiopaque foci, or some show dense clusters of well defined radiopacities
  • 71.
    • Calcifications aresmall with well defined borders, similar to a cluster of small pebbles • Intra oral radiographs may be required to demonstrate the calcifications within the lesions, which may not be seen in panoramic radiograph
  • 72.
    EFFECT ON SURROUNDINGSTRUCTURES • As the tumor enlarges, adjacent teeth are displaced • Root resorption rare • Inhibit eruption of involved tooth • Some expansion of jaw occur, the outer cortex is maintained
  • 74.
    DIFFERENTIAL DIAGNOSIS • Follicularcyst The attachment of the radiolucent lesion is more apical than the CEJ • Calcifying odontogenic cyst It is difficult to differentiate age group from the extrafollicular typ of AOT Occurs in the older age group usually in the premolar-molar area
  • 75.
     ameloblastic fibroodontoma • Found commonly in the posterior mandibular region • Multilocular and radiopacities of enamel and dentin are see inside the radiolucency, whereas in AOT the snow flakes are seen at periphery.  Odontogenic fibroma or myxoma • Tennis racket appearance
  • 76.
    MANAGEMENT • Conservative surgicalexcision with curettage
  • 77.
    CONCLUSION • When theclinician confronted by a pericoronal radiolucency , the surgical team must be prepared for the anticipated procedure • Accomplished by the formulation of a list of possible diagnosis arranged in order of probability
  • 78.
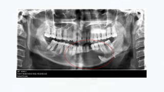
    Example ………. A 50years old woman with a well defined pericoronal radiolucency associated with impacted lower 3rd molar DIAGNOSIS???? g
  • 79.
    Intrafollicular space measuringis 2cm ( normal follicular space usually decrease in size spaces with age) Unicystic ameloblastoma – seldom occurs in persons over 30 years of age Calcifying odontogenic cyst - occur as a pericoronal radiolucency and may be unsuspected until small radiopaque foci appear
  • 80.
    Ameloblastic fibroma, mixedodontogenic tumor occurs most frequently in mandibular premolar-molar area and seldom in patients over 20 yrs of age AOT – predilection to anterior region seen in young persons Follicular cyst - surrounds the crown The cyst lining is attached to the neck of the tooth
  • 81.
    Working diagnosis –dentigerous cyst unicystic ameloblastoma ( second on the formulated list)
  • 82.
    REFERENCE • Differential DiagnosisOf Oral And Maxillofacial Lesions- NORMAN K. WOOD & PAUL W. GOAZ • Oral Radiology Principles And Interpretation – STUART C. WHITE & MICHAEL J. PHAROAH • Essentials Of Oral & Maxillofacial Radiology – FRENY R KARJODKAR • Shafer`s Textbook Of Oral Pathology