Dental Phobia
Dr. Jeffrey Dorfman
October 26, 2017
1dentist CE
©NYCdentist.com
Objectives
● Define and discuss: Dental Anxiety Scale and Dental Phobia
● Understanding the Phobic Patient
● Marketing/Social Media and Dental Phobia
● First Point of Contact: Getting the Phobic Patient into the Chair
©NYCdentist.com
Dental Anxiety vs Dental Phobia
A phobia is an intense, unreasonable fear. People can fear a specific activity, object or situation. People with
dental phobia often put off routine care for years or even decades. To avoid it, they'll put up with gum infections
(periodontal disease), pain, or even broken and unsightly teeth.
People often use the words "anxiety" and "phobia" to mean the same thing, but they are different.
Those with dental anxiety will have a sense of uneasiness when it's time for their appointments. They'll have
exaggerated or unfounded worries or fears. Dental phobia is a more serious condition. It's an intense fear or
dread. People with dental phobia aren't merely anxious. They are terrified or panic stricken. - Colgate /
Columbia College of Dental Medicine
©NYCdentist.com
Dental anxiety and phobia are extremely common. It has been estimated that 9% to 15% of
Americans avoid seeing the dentist because of anxiety and fear. That's about 30 million to 40
million people. In a survey by the British Dental Health Foundation, 36% of those who didn't
see a dentist regularly said that fear was the main reason.
©NYCdentist.com
ADA Anxiety Guidelines
“Anxiety and pain control can be defined as the application of various physical, chemical and
psychological modalities to the prevention and treatment of preoperative, operative and postoperative
patient anxiety and pain to allow dental treatment to occur in a safe and effective manner. It involves all
disciplines of dentistry and, as such, is one of the most important aspects of dental education.”
©NYCdentist.com
Dental Anxiety Scale
The original dental anxiety scale introduced by Corah in 19693 has been widely used in dental research
JADA: A scale can be used in the dental office or in research projects and is a reliable, valid, and useful measure of anxiety of
dental treatment.
The Corah’s Anxiety Scale unfortunately does not enquire about local anaesthetic injection, which is a focus for some
patients' anxiety - The modified version introduced by Humphris et al. in 1995 involves a brief multiple choice
survey. Some dental practices ask patients to fill out this survey during their initial visit.
©NYCdentist.com
©NYCdentist.com
©NYCdentist.com
©NYCdentist.com
©NYCdentist.com
©NYCdentist.com
Gender & Terminology
Women were more likely to report global dental fear, global fear of dental pain, and specific fear of dental pain than
men, and both women and men were more likely to report 'dread' of dental pain than 'fear' of dental pain.
Our findings suggest that: (i) there are gender differences in reports of dental fear and fear of dental pain; and (ii)
both men and women are more willing to express their fearful feelings regarding dentistry using a more socially
acceptable term.
©NYCdentist.com
©NYCdentist.com
©NYCdentist.com
©NYCdentist.com
©NYCdentist.com
©NYCdentist.com
©NYCdentist.com
©NYCdentist.com
©NYCdentist.com
©NYCdentist.com
©NYCdentist.com
According to the AAPD, “the anesthesia care provider must
have completed a one-or two- year dental anesthesia
residency or medical anesthesia residency approved by
ADA/AMA.”
©NYCdentist.com
©NYCdentist.com
Sources
ADA Guideline for teaching pain control and sedation to dentists and dental students.
https://www.ada.org/~/media/ADA/Member%20Center/FIles/anxiety_guidelines.ashx
Guideline on Use of Anesthesia Personnel in the Administration of Office-based Deep Sedation/ General Anesthesia to the Pediatric Dental Patient.
Last rev 2012. http://www.aapd.org/media/policies_guidelines/g_anesthesiapersonnel.pdf
What is Dental Anxiety and Phobia? http://www.colgate.com/en/us/oc/oral-health/basics/dental-visits/article/what-is-dental-anxiety-and-phobia
Why Adults Forgo Dental Care: Evidence from a New National Survey Authors: Cassandra Yarbrough, M.P.P.; Kamyar Nasseh, Ph.D.; Marko Vujicic,
Ph.D. http://www.ada.org/~/media/ADA/Science%20and%20Research/HPI/Files/HPIBrief_1114_1.ashx
Gender Difference in reported dental fear and fear of dental pain. Heft MW., Meng X, Bradley MM, Lang PJ.
https://www.ncbi.nlm.nih.gov/pubmed/18039283
Corah N L. Development of a dental anxiety scale. J Den Res 1969; 48: 596.
©NYCdentist.com
Successful Approach to
Patients with Dental Phobia
Dr. Jeffrey Dorfman
December 14, 2017
1dentist CE
©NYCdentist.com
Objectives
●Define and discuss: Dental Anxiety vs Dental Phobia
●Use ADA recommendations to categorize effective phobic reconstructions
●Before the Initial Visit
●Initial Consultation & Treatment
●People NOT Teeth (addressing patient’s Chief Complaints, Thorough medical history)
●Commitment to treatment: Goals & Learned Helplessness
●Case Review & Discussion
©NYCdentist.com
Dental Phobia Review
● Dental anxiety and phobia are extremely common. It has been estimated that 9 - 15% of
Americans avoid seeing the dentist because of anxiety and fear
● People often use the words "anxiety" and "phobia" to mean the same thing, but they are
different
● Phobia: “Intense Fear or dread”. People can fear a specific activity, object or situation
● Dental Anxiety: “Uneasiness when it's time for their appointments”
Study by Colgate / Columbia College of Dental Medicine ©NYCdentist.com
➔ Accept suffering for years to avoid dentistry
●https://www.helpguide.org/articles/ptsd-trauma/coping-with-emotional-and-psychological-trauma.htm
●Z
©NYCdentist.com
ADA Approach defined
Anxiety and pain control can be defined as the application of various physical, chemical and
psychological modalities to the prevention and treatment of preoperative, operative and
postoperative patient anxiety and pain to allow dental treatment to occur in a safe and effective
manner. It involves all disciplines of dentistry and, as such, is one of the most important aspects of
dental education.”
©NYCdentist.com
Prior to Initial Consultation (Psychological)
●Marketing/Website Highlight
Comfortable dentistry, Cosmetic results, Phobic patient cases
●Phone calls
Is staff well-trained? Kind? Is the dentist available to speak?
●WaitingRoomDesign
Visual – colors, desks, smiles!
Audio – music, patients screaming?
©NYCdentist.com
Initial Consultation / People NOT Teeth
● Reduced waiting time & Doctor greeting
● Complete Medical & Dental History
● Emotional Support (Office environment & Comforts)
○This includes: friendly staff, length of appointment, music, style of discussion, tissue boxes in room, etc.
©NYCdentist.com
●Focus on Patient’sChief Complaint! Not the “obvious” needed dentistry
©NYCdentist.com
In-Depth Case Review
©NYCdentist.com
©NYCdentist.com
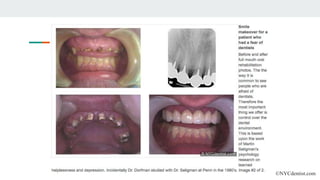
Photos of Initial Presentation
• Years of Neglect
• Fear of change, pain, failure &
costs
• How can we break this cycle
when ALL treatment options will
take time to achieve acceptable
results?
Addressing the Fears: Psychological & Chemical
● Discuss pain control (Gentle anesthesia & pain-free dentistry)
● Pre-medications/Sedation offered when necessary (Valium, Nitrous Oxide Laughing Gas, IV
Sedation)
● Dental Anxiety Reduction with behavioral therapy
● Post-Op medications
©NYCdentist.com
©NYCdentist.com
Pre-medications/Sedation during visits
●Valium, Alcohol – Duration of effect (longer)
●Nitrous Oxide – Convenience, Recovery Time (fast)
●IV Sedation – Cost/Risk
According to the AAPD, “the anesthesia care provider must have completed a one or two-year
dental anesthesia residency or medical anesthesia residency approved by ADA/AMA.”
©NYCdentist.com
©NYCdentist.com
• Relaxed & Pain-Free Procedure
(Including Post-Op)
• ONE VISIT
• DELIVER! (Pain-free LA techniques,
desired aesthetics, upfront fees) –
Honesty
©NYCdentist.com
Treatment Focus
●Address the Chief Complaint
●RealisticTreatmentPlans & Time/Action Calendars based upon individual needs/expectations
●Provideoptions(Build commitment to the choice)
●Set desirable goals that can be achievedimmediately – knowing your own skill
©NYCdentist.com
Learned Helplessness
● Apparently, the conditioned dog had learned more than the connection between the tone and
the shock. It has also learned that trying to escape from the shocks was futile. In other words, the
dog learned to be "helpless." This research formed Seligman's subsequent theory of Learned
Helplessness, which was then extended to human behavior as a model for explaining depression.
According to Seligman, depressed people have learned to be helpless. In other words, depressed
people feel that whatever they do will be futile, and that they have no control over their
environments.
- Dr. Martin Seligman
©NYCdentist.com
©NYCdentist.com
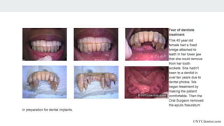
This initial treatment took only two hours.
More dentistry is still needed.
Post-Op Phobia Control
●Appropriate pain medication after office visits
●Don’t lose control (Temps, failed specialty work, delayed treatment)
●Communication with patient after treatment
©NYCdentist.com
©NYCdentist.com
©NYCdentist.com
©NYCdentist.com
©NYCdentist.com
©NYCdentist.com
©NYCdentist.com
©NYCdentist.com
©NYCdentist.com
©NYCdentist.com
©NYCdentist.com
©NYCdentist.com
©NYCdentist.com
References
●https://www.nycdentist.com/more/teaching-private-practice/interpersonal-skills-are-important-in-patient-care/
●https://www.helpguide.org/articles/ptsd-trauma/coping-with-emotional-and-psychological-trauma.htm
●http://www.sidran.org/resources/for-survivors-and-loved-ones/what-is-psychological-trauma/
●http://www.macmillanlearning.com/catalog/static/worth/bloom/content/psychquest/05/0504.htm
●ADA Guideline for teaching pain control and sedation to dentists and dental students.
https://www.ada.org/~/media/ADA/Member%20Center/FIles/anxiety_guidelines.ashx
●What is Dental Anxiety and Phobia? http://www.colgate.com/en/us/oc/oral-health/basics/dental-visits/article/what-is-
dental-anxiety-and-phobia
©NYCdentist.com

Dental Phobia Lectures 1 and 2

  • 1.
    Dental Phobia Dr. JeffreyDorfman October 26, 2017 1dentist CE ©NYCdentist.com
  • 2.
    Objectives ● Define anddiscuss: Dental Anxiety Scale and Dental Phobia ● Understanding the Phobic Patient ● Marketing/Social Media and Dental Phobia ● First Point of Contact: Getting the Phobic Patient into the Chair ©NYCdentist.com
  • 3.
    Dental Anxiety vsDental Phobia A phobia is an intense, unreasonable fear. People can fear a specific activity, object or situation. People with dental phobia often put off routine care for years or even decades. To avoid it, they'll put up with gum infections (periodontal disease), pain, or even broken and unsightly teeth. People often use the words "anxiety" and "phobia" to mean the same thing, but they are different. Those with dental anxiety will have a sense of uneasiness when it's time for their appointments. They'll have exaggerated or unfounded worries or fears. Dental phobia is a more serious condition. It's an intense fear or dread. People with dental phobia aren't merely anxious. They are terrified or panic stricken. - Colgate / Columbia College of Dental Medicine ©NYCdentist.com
  • 4.
    Dental anxiety andphobia are extremely common. It has been estimated that 9% to 15% of Americans avoid seeing the dentist because of anxiety and fear. That's about 30 million to 40 million people. In a survey by the British Dental Health Foundation, 36% of those who didn't see a dentist regularly said that fear was the main reason. ©NYCdentist.com
  • 5.
    ADA Anxiety Guidelines “Anxietyand pain control can be defined as the application of various physical, chemical and psychological modalities to the prevention and treatment of preoperative, operative and postoperative patient anxiety and pain to allow dental treatment to occur in a safe and effective manner. It involves all disciplines of dentistry and, as such, is one of the most important aspects of dental education.” ©NYCdentist.com
  • 6.
    Dental Anxiety Scale Theoriginal dental anxiety scale introduced by Corah in 19693 has been widely used in dental research JADA: A scale can be used in the dental office or in research projects and is a reliable, valid, and useful measure of anxiety of dental treatment. The Corah’s Anxiety Scale unfortunately does not enquire about local anaesthetic injection, which is a focus for some patients' anxiety - The modified version introduced by Humphris et al. in 1995 involves a brief multiple choice survey. Some dental practices ask patients to fill out this survey during their initial visit. ©NYCdentist.com
  • 7.
  • 8.
  • 9.
  • 10.
  • 11.
  • 12.
    Gender & Terminology Womenwere more likely to report global dental fear, global fear of dental pain, and specific fear of dental pain than men, and both women and men were more likely to report 'dread' of dental pain than 'fear' of dental pain. Our findings suggest that: (i) there are gender differences in reports of dental fear and fear of dental pain; and (ii) both men and women are more willing to express their fearful feelings regarding dentistry using a more socially acceptable term. ©NYCdentist.com
  • 13.
  • 14.
  • 15.
  • 16.
  • 17.
  • 18.
  • 19.
  • 20.
  • 21.
  • 22.
  • 23.
    According to theAAPD, “the anesthesia care provider must have completed a one-or two- year dental anesthesia residency or medical anesthesia residency approved by ADA/AMA.” ©NYCdentist.com
  • 24.
  • 25.
    Sources ADA Guideline forteaching pain control and sedation to dentists and dental students. https://www.ada.org/~/media/ADA/Member%20Center/FIles/anxiety_guidelines.ashx Guideline on Use of Anesthesia Personnel in the Administration of Office-based Deep Sedation/ General Anesthesia to the Pediatric Dental Patient. Last rev 2012. http://www.aapd.org/media/policies_guidelines/g_anesthesiapersonnel.pdf What is Dental Anxiety and Phobia? http://www.colgate.com/en/us/oc/oral-health/basics/dental-visits/article/what-is-dental-anxiety-and-phobia Why Adults Forgo Dental Care: Evidence from a New National Survey Authors: Cassandra Yarbrough, M.P.P.; Kamyar Nasseh, Ph.D.; Marko Vujicic, Ph.D. http://www.ada.org/~/media/ADA/Science%20and%20Research/HPI/Files/HPIBrief_1114_1.ashx Gender Difference in reported dental fear and fear of dental pain. Heft MW., Meng X, Bradley MM, Lang PJ. https://www.ncbi.nlm.nih.gov/pubmed/18039283 Corah N L. Development of a dental anxiety scale. J Den Res 1969; 48: 596. ©NYCdentist.com
  • 26.
    Successful Approach to Patientswith Dental Phobia Dr. Jeffrey Dorfman December 14, 2017 1dentist CE ©NYCdentist.com
  • 27.
    Objectives ●Define and discuss:Dental Anxiety vs Dental Phobia ●Use ADA recommendations to categorize effective phobic reconstructions ●Before the Initial Visit ●Initial Consultation & Treatment ●People NOT Teeth (addressing patient’s Chief Complaints, Thorough medical history) ●Commitment to treatment: Goals & Learned Helplessness ●Case Review & Discussion ©NYCdentist.com
  • 28.
    Dental Phobia Review ●Dental anxiety and phobia are extremely common. It has been estimated that 9 - 15% of Americans avoid seeing the dentist because of anxiety and fear ● People often use the words "anxiety" and "phobia" to mean the same thing, but they are different ● Phobia: “Intense Fear or dread”. People can fear a specific activity, object or situation ● Dental Anxiety: “Uneasiness when it's time for their appointments” Study by Colgate / Columbia College of Dental Medicine ©NYCdentist.com ➔ Accept suffering for years to avoid dentistry
  • 29.
  • 30.
    ADA Approach defined Anxietyand pain control can be defined as the application of various physical, chemical and psychological modalities to the prevention and treatment of preoperative, operative and postoperative patient anxiety and pain to allow dental treatment to occur in a safe and effective manner. It involves all disciplines of dentistry and, as such, is one of the most important aspects of dental education.” ©NYCdentist.com
  • 31.
    Prior to InitialConsultation (Psychological) ●Marketing/Website Highlight Comfortable dentistry, Cosmetic results, Phobic patient cases ●Phone calls Is staff well-trained? Kind? Is the dentist available to speak? ●WaitingRoomDesign Visual – colors, desks, smiles! Audio – music, patients screaming? ©NYCdentist.com
  • 32.
    Initial Consultation /People NOT Teeth ● Reduced waiting time & Doctor greeting ● Complete Medical & Dental History ● Emotional Support (Office environment & Comforts) ○This includes: friendly staff, length of appointment, music, style of discussion, tissue boxes in room, etc. ©NYCdentist.com
  • 33.
    ●Focus on Patient’sChiefComplaint! Not the “obvious” needed dentistry ©NYCdentist.com
  • 34.
  • 35.
    ©NYCdentist.com Photos of InitialPresentation • Years of Neglect • Fear of change, pain, failure & costs • How can we break this cycle when ALL treatment options will take time to achieve acceptable results?
  • 36.
    Addressing the Fears:Psychological & Chemical ● Discuss pain control (Gentle anesthesia & pain-free dentistry) ● Pre-medications/Sedation offered when necessary (Valium, Nitrous Oxide Laughing Gas, IV Sedation) ● Dental Anxiety Reduction with behavioral therapy ● Post-Op medications ©NYCdentist.com
  • 37.
  • 38.
    Pre-medications/Sedation during visits ●Valium,Alcohol – Duration of effect (longer) ●Nitrous Oxide – Convenience, Recovery Time (fast) ●IV Sedation – Cost/Risk According to the AAPD, “the anesthesia care provider must have completed a one or two-year dental anesthesia residency or medical anesthesia residency approved by ADA/AMA.” ©NYCdentist.com
  • 39.
    ©NYCdentist.com • Relaxed &Pain-Free Procedure (Including Post-Op) • ONE VISIT • DELIVER! (Pain-free LA techniques, desired aesthetics, upfront fees) – Honesty
  • 40.
  • 41.
    Treatment Focus ●Address theChief Complaint ●RealisticTreatmentPlans & Time/Action Calendars based upon individual needs/expectations ●Provideoptions(Build commitment to the choice) ●Set desirable goals that can be achievedimmediately – knowing your own skill ©NYCdentist.com
  • 42.
    Learned Helplessness ● Apparently,the conditioned dog had learned more than the connection between the tone and the shock. It has also learned that trying to escape from the shocks was futile. In other words, the dog learned to be "helpless." This research formed Seligman's subsequent theory of Learned Helplessness, which was then extended to human behavior as a model for explaining depression. According to Seligman, depressed people have learned to be helpless. In other words, depressed people feel that whatever they do will be futile, and that they have no control over their environments. - Dr. Martin Seligman ©NYCdentist.com
  • 43.
    ©NYCdentist.com This initial treatmenttook only two hours. More dentistry is still needed.
  • 44.
    Post-Op Phobia Control ●Appropriatepain medication after office visits ●Don’t lose control (Temps, failed specialty work, delayed treatment) ●Communication with patient after treatment ©NYCdentist.com
  • 45.
  • 46.
  • 47.
  • 48.
  • 49.
  • 50.
  • 51.
  • 52.
  • 53.
  • 54.
  • 55.
  • 56.
  • 57.
    References ●https://www.nycdentist.com/more/teaching-private-practice/interpersonal-skills-are-important-in-patient-care/ ●https://www.helpguide.org/articles/ptsd-trauma/coping-with-emotional-and-psychological-trauma.htm ●http://www.sidran.org/resources/for-survivors-and-loved-ones/what-is-psychological-trauma/ ●http://www.macmillanlearning.com/catalog/static/worth/bloom/content/psychquest/05/0504.htm ●ADA Guideline forteaching pain control and sedation to dentists and dental students. https://www.ada.org/~/media/ADA/Member%20Center/FIles/anxiety_guidelines.ashx ●What is Dental Anxiety and Phobia? http://www.colgate.com/en/us/oc/oral-health/basics/dental-visits/article/what-is- dental-anxiety-and-phobia ©NYCdentist.com