RADIOLOGICALANATOMY OF
BRAIN IN CT SCAN
Akshai George Paul
Systemic Approach to head CT
 Symmetry
 Midline
 Cross-sectional anatomy
o Brain tissue
o CSF space
o Skull and soft tissues
 Subdural space
 Bone windows
Cranial Fossae
Meninges
Fissures
Ventricles
Brain Parenchyma
Grey matter structures
White matter structures
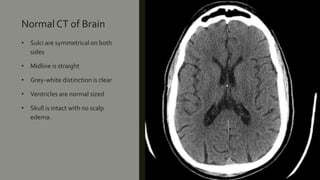
Normal CT of Brain
• Sulci are symmetrical on both
sides
• Midline is straight
• Grey-white distinction is clear
• Ventricles are normal sized
• Skull is intact with no scalp
edema.
Above the level of Foramen Magnum
At the level of FourthVentricle
Above the level of fourth ventricle
At the level of theThirdVentricle
Above theVentricular level
Above the ventricular level
Physiological Calcification
VASCULAR
TERRITORIES
CT IN ISCHEMIC STROKE
Ischemic stroke can be further classified on the basis of the time from the onset of
symptoms as
■ hyperacute
■ acute
■ subacute
■ chronic
the goals of CT in an acute setting are:
1. exclude ICH
2. look for early features of ischemia
3. exclude other IC pathologies that may mimic the stroke
Immediate change
• The earliest CT sign visible is the
hyperdense segment of a vessel,
representing the intravascular thrombus
or emboli.
• Its most often observed in the MCA:
MCA Dot sign/ hyperdense MCA sign
Acute stroke
• Loss of grey-white matter
differentiation .
• Cortical hypodensity with associated
parenchymal swelling with resultant
gyral effacement
• Insular ribbon sign
• There will be significant mass effects
also due to the swelling
Subacute stroke
• The swelling starts to subside and small
amounts of cortical petechial
hemorrhages may appear.
• This is known as CT fogging
phenomenon.
• Can be misleading as the affected
cortex may appear normal.
Chronic infarct
• Here the residual swelling passes and
gliosis sets in.
• Finally it appears as a region of low
density with negative mass effect.
• Sometimes, cortical mineralisation can
be seen as hyperdense areas.
CT perfusion
■ Allows to identify both the core of infarct and the penumbra.
■ The following parameters are used for its identification:
 Cerebral blood volume(CBV)
 Cerebral blood flow(CBF)
 Mean transit time(MTT)
 Time to peak (TTP)
Ct scan agp

Ct scan agp