Definition:
It is the decrease in arterial blood supply to the
tissues due to partial or total occlusion of
arteries. Stenosis or occlusion produces
symptoms & signs that are related to the
tissues supplied by the artery. The severity of
symptoms is related to the size of the vessel
occluded & alternative routes (collaterals)
available for blood flow ,and adaptive limb
changes causing trophic changes.
Aetiology
1- Atherosclerosis
2- Buerger’s disease
3- Vasospastic disorders
• Primary (Raynaud’s disease)
• Secondary (Raynaud’s phenomenon)
4- Vasculitis
 Takayasu disease
 Behcet disease
 Non-specific
Atherosclerosis
It is the process underlying the formation of
focal obstructions or plaques in large &
medium sized arteries. It is characterized by
the presence of focal intimal thickening,
these intimal elevations being made up of
accumulations of cholesterol rich & a
proliferation of connective tissue. An
essential component of atherogenesis is
inflammation involving monocytes /
macrophages, T lymphocytes & mast cells.
Predisposing factors:
1- Smoking
2- Diabetes mellitus
3- Hypercholesterolemia
4- Aging
5-Genetic
Atherosclerosis
Anatomical sites
At sites of arterial branching or tethering
- Aortoiliac disease.
- Femoropopliteal disease.
- Tibial disease
Development of collaterals
0 ----------> Asymptomatic patient.
1 ----------> *
2 ----------> *
3 ----------> *
4 ----------> Rest pain.
5 ----------> Trophic changes &/or Minimal gangrene
requiring minor amputation.
6 ----------> Major gangrene requiring major amputation
above mid-tarsal with loss of foot function.
Intermittent claudication
Stages of chronic ischemia
Lafontain classification
1st: Asymtomatic.
2nd: Intermittent claudication.
3rd: Rest pain’ trophic changes, ulcers.
4th: Gangrene.
WWW.SMSO.NET
Clinical features
General examination
Local examination
Signs:
1- Trophic changes.
Clinical features
General examination
Local examination
Signs:
1- Trophic changes.
2- Temperature changes
3- Color changes.
Clinical features
General examination
Local examination
Signs:
1- Trophic changes.
2- Temperature changes
3- Color changes.
4- Absence of pulses:
Clinical features
General examination
Local examination
Signs:
1- Trophic changes.
2- Temperature changes
3- Color changes.
4- Absence of pulses:
5- Special tests:
- Sluggish capillary circulation
- Buerger’s angle.
Buerger’s angle
Clinical features
General examination
Local examination
Signs:
1- Trophic changes.
2- Temperature changes
3- Color changes.
4- Absence of pulses:
5- Special tests:
- Sluggish capillary circulation
- Buerger’s angle.
- Harvey’s venous refilling time
1- Laboratory investigations.
2- Imaging:
- Doppler flow study.
1- Laboratory investigations:
2- Imaging:
- Doppler flow study.
• ABI
• Segmental pressure
- Duplex scanning
Duplex
1- Laboratory investigations:
2- Imaging:
 - Doppler flow study.
ABI
Segmental pressure
 - Duplex scanning
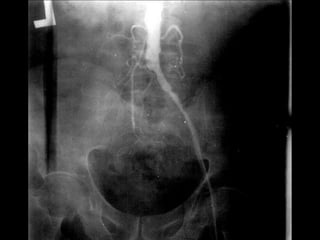
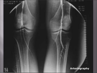
 -Angiography
1- Laboratory investigations:
2- Imaging:
- Doppler flow study.
• ABI
• Segmental pressure
- Duplex scanning
- Arteriography
Arteriography
Digital subtraction
Treatment:
1- Conservative
2- Endovascular
3- Open surgery
Conservative treatment:
1- Abstinence from smoking
2- Control of risk factors:
- DM
- Hypertension
- Hypercholesterolemia (statins / fibrates)
3- Foot Care
4- Medications:
- Vasoactive drugs ( Cilostazol-Naftidrufuryl
- Pentoxyfylline? )
-Anti-platelets (clopidogril – ASA )
1- Critical ischemia
2- Severe incapacitating claudication
Indications for intervention:
Treatment:
Treatment:
Endovascular surgery
• Percutaneous transluminal angioplasty (PTA).
• Intravascular stents , and covered stents.
•Catheter directed thrombolysis.
•Mechanical atherectomy catheters.
•Excimer laser.
•Drug eluting baloons and stents. (paclitaxel)
 It is controlled fracture of the atheromatous
plaque ,and pushing it to the periphery of the
artery by the balloon inflation, thus creating a
space in the artery center.
WWW.SMSO.NET
WWW.SMSO.NET
 Limitations of endovascular
 High re-occlusion rate in long
lesions.
 Guide wire can fail to cross
highly calcific chronic total
occlusion (CTO).
WWW.SMSO.NET
 Closure of the tract of an arterio-venous fistula.
 Sealing of a large perforation if it happens in a
large artery during angioplasty which does not
respond to balloon inflation for a few minutes.
Endovascular techniques
 Progression of the original disease .
Prevention by controling the risk factors and immuno
modulation of autoimmune diseases
 Intimal hyperplasia
Reaction to mechanical manipulations or barotrauma to the
wall of an artery that causes migration of myoepithelial cells
from the media to the sub-intima with proliferation that
causes sub-intimal tissue growth with narrowing of the
arterial wall .
Prevention by drug eluting balloons or stents.
Treatment:
Open surgical techniques
• Thromboendarterectomy.
• Bypass surgery:
Aortobifemoral bypass
Femoropopliteal bypass
Femoro or popliteo-distal bypass
 Reversed saphenous vein graft.
 In-situ saphenous vein graft.
 Synthetyic graft.
• Sympathectomy.
• Amputation.
Treatment:
Open surgical techniques
• Thromboendarterectomy.
• Bypass surgery:
Aortobifemoral bypass
Femoropopliteal bypass
Femoro or popliteo-distal bypass
 Reversed saphenous vein graft.
 In-situ saphenous vein graft.
 Synthetyic graft.
• Sympathectomy.
• Amputation.
Thromb-angitis obliterans
(Buerger’s disease)
Aetiology:
1- It affects mostly males.
2- Age: between 20 and 40 years.
3- Heavy Smokers.
4-Progressive course with periods of
remissions but not to baseline.
Clinical features:
1.Usually Young male
2. Heavy smoker
3. Migratory thrombophlebitis
4. ± Raynaud’s phenomenon
Observe
*Affection
from distal to
proximal.
*Pruning of
tibial vessels
and foot arch.
Treatment:
1. Smoking must be stopped
2. Vasoactive drugs
3. Sympathectomy
4. Amputation
Vasospastic disorders:
Raynaud’s disease
Aetiology:
1. Sensitivity of the small arteries to
cold.
2. Increased sympathetic tone.
3. Psychological instability.
4. The presence of cold agglutinins.
Diagnosis:
1. Bilateral
2. Young females
3. Attacks are precipitated by exposure to cold
4. Attacks consist of: Pallor ,Cyanosis,Redness
5. Radial and ulnar pulses are preserved
6. No major gangrene.
Treatment:
1. Avoid coldness.
2. Vasodilator drugs.
3. Calcium channel antagonists.
4. Surgery: cervico-dorsal sympathectomy.
Raynaud’s phenomenon
Definition:
Raynaud’s disease accompanying organic
diseases including:
1. Collagen disorders.
2. Thoracic outlet syndrome e.g.
cervical rib.
3. Occupations: vibrating tools
laborers.
4. Drugs: ergotamines.
Treatment:
1. Of the original disease.
2. Vasodilators may be used.
3. Sympathectomy may be used to tide
the patient over the acute crisis.
 Usually affects the aortic arch and its major
branches.
 The pulseles disease.
 Common in the far east.
 Severe forms can affect all the Aortic branches.
 Depostion of firm rubbery material in the
subintima. Autoimmune.
WWW.SMSO.NET
WWW.SMSO.NET
THANK YOU

Chronic lower limb ischemia

  • 3.
    Definition: It is thedecrease in arterial blood supply to the tissues due to partial or total occlusion of arteries. Stenosis or occlusion produces symptoms & signs that are related to the tissues supplied by the artery. The severity of symptoms is related to the size of the vessel occluded & alternative routes (collaterals) available for blood flow ,and adaptive limb changes causing trophic changes.
  • 4.
    Aetiology 1- Atherosclerosis 2- Buerger’sdisease 3- Vasospastic disorders • Primary (Raynaud’s disease) • Secondary (Raynaud’s phenomenon)
  • 5.
    4- Vasculitis  Takayasudisease  Behcet disease  Non-specific
  • 6.
    Atherosclerosis It is theprocess underlying the formation of focal obstructions or plaques in large & medium sized arteries. It is characterized by the presence of focal intimal thickening, these intimal elevations being made up of accumulations of cholesterol rich & a proliferation of connective tissue. An essential component of atherogenesis is inflammation involving monocytes / macrophages, T lymphocytes & mast cells.
  • 7.
    Predisposing factors: 1- Smoking 2-Diabetes mellitus 3- Hypercholesterolemia 4- Aging 5-Genetic
  • 11.
  • 12.
    Anatomical sites At sitesof arterial branching or tethering - Aortoiliac disease. - Femoropopliteal disease. - Tibial disease
  • 21.
  • 22.
    0 ----------> Asymptomaticpatient. 1 ----------> * 2 ----------> * 3 ----------> * 4 ----------> Rest pain. 5 ----------> Trophic changes &/or Minimal gangrene requiring minor amputation. 6 ----------> Major gangrene requiring major amputation above mid-tarsal with loss of foot function. Intermittent claudication
  • 23.
    Stages of chronicischemia Lafontain classification 1st: Asymtomatic. 2nd: Intermittent claudication. 3rd: Rest pain’ trophic changes, ulcers. 4th: Gangrene.
  • 24.
  • 27.
    Clinical features General examination Localexamination Signs: 1- Trophic changes.
  • 29.
    Clinical features General examination Localexamination Signs: 1- Trophic changes. 2- Temperature changes 3- Color changes.
  • 32.
    Clinical features General examination Localexamination Signs: 1- Trophic changes. 2- Temperature changes 3- Color changes. 4- Absence of pulses:
  • 35.
    Clinical features General examination Localexamination Signs: 1- Trophic changes. 2- Temperature changes 3- Color changes. 4- Absence of pulses: 5- Special tests: - Sluggish capillary circulation - Buerger’s angle.
  • 36.
  • 37.
    Clinical features General examination Localexamination Signs: 1- Trophic changes. 2- Temperature changes 3- Color changes. 4- Absence of pulses: 5- Special tests: - Sluggish capillary circulation - Buerger’s angle. - Harvey’s venous refilling time
  • 38.
    1- Laboratory investigations. 2-Imaging: - Doppler flow study.
  • 40.
    1- Laboratory investigations: 2-Imaging: - Doppler flow study. • ABI • Segmental pressure - Duplex scanning
  • 42.
  • 44.
    1- Laboratory investigations: 2-Imaging:  - Doppler flow study. ABI Segmental pressure  - Duplex scanning  -Angiography
  • 46.
    1- Laboratory investigations: 2-Imaging: - Doppler flow study. • ABI • Segmental pressure - Duplex scanning - Arteriography Arteriography
  • 47.
  • 48.
  • 49.
    Conservative treatment: 1- Abstinencefrom smoking 2- Control of risk factors: - DM - Hypertension - Hypercholesterolemia (statins / fibrates) 3- Foot Care 4- Medications: - Vasoactive drugs ( Cilostazol-Naftidrufuryl - Pentoxyfylline? ) -Anti-platelets (clopidogril – ASA )
  • 50.
    1- Critical ischemia 2-Severe incapacitating claudication Indications for intervention: Treatment:
  • 51.
    Treatment: Endovascular surgery • Percutaneoustransluminal angioplasty (PTA). • Intravascular stents , and covered stents. •Catheter directed thrombolysis. •Mechanical atherectomy catheters. •Excimer laser. •Drug eluting baloons and stents. (paclitaxel)
  • 52.
     It iscontrolled fracture of the atheromatous plaque ,and pushing it to the periphery of the artery by the balloon inflation, thus creating a space in the artery center.
  • 55.
  • 56.
  • 60.
     Limitations ofendovascular  High re-occlusion rate in long lesions.  Guide wire can fail to cross highly calcific chronic total occlusion (CTO). WWW.SMSO.NET
  • 63.
     Closure ofthe tract of an arterio-venous fistula.  Sealing of a large perforation if it happens in a large artery during angioplasty which does not respond to balloon inflation for a few minutes.
  • 65.
  • 66.
     Progression ofthe original disease . Prevention by controling the risk factors and immuno modulation of autoimmune diseases  Intimal hyperplasia Reaction to mechanical manipulations or barotrauma to the wall of an artery that causes migration of myoepithelial cells from the media to the sub-intima with proliferation that causes sub-intimal tissue growth with narrowing of the arterial wall . Prevention by drug eluting balloons or stents.
  • 67.
    Treatment: Open surgical techniques •Thromboendarterectomy. • Bypass surgery: Aortobifemoral bypass Femoropopliteal bypass Femoro or popliteo-distal bypass  Reversed saphenous vein graft.  In-situ saphenous vein graft.  Synthetyic graft. • Sympathectomy. • Amputation.
  • 75.
    Treatment: Open surgical techniques •Thromboendarterectomy. • Bypass surgery: Aortobifemoral bypass Femoropopliteal bypass Femoro or popliteo-distal bypass  Reversed saphenous vein graft.  In-situ saphenous vein graft.  Synthetyic graft. • Sympathectomy. • Amputation.
  • 80.
  • 81.
    Aetiology: 1- It affectsmostly males. 2- Age: between 20 and 40 years. 3- Heavy Smokers. 4-Progressive course with periods of remissions but not to baseline.
  • 85.
    Clinical features: 1.Usually Youngmale 2. Heavy smoker 3. Migratory thrombophlebitis 4. ± Raynaud’s phenomenon
  • 86.
  • 88.
    Treatment: 1. Smoking mustbe stopped 2. Vasoactive drugs 3. Sympathectomy 4. Amputation
  • 89.
  • 90.
    Aetiology: 1. Sensitivity ofthe small arteries to cold. 2. Increased sympathetic tone. 3. Psychological instability. 4. The presence of cold agglutinins.
  • 91.
    Diagnosis: 1. Bilateral 2. Youngfemales 3. Attacks are precipitated by exposure to cold 4. Attacks consist of: Pallor ,Cyanosis,Redness 5. Radial and ulnar pulses are preserved 6. No major gangrene.
  • 93.
    Treatment: 1. Avoid coldness. 2.Vasodilator drugs. 3. Calcium channel antagonists. 4. Surgery: cervico-dorsal sympathectomy.
  • 94.
  • 95.
    Definition: Raynaud’s disease accompanyingorganic diseases including: 1. Collagen disorders. 2. Thoracic outlet syndrome e.g. cervical rib. 3. Occupations: vibrating tools laborers. 4. Drugs: ergotamines.
  • 97.
    Treatment: 1. Of theoriginal disease. 2. Vasodilators may be used. 3. Sympathectomy may be used to tide the patient over the acute crisis.
  • 98.
     Usually affectsthe aortic arch and its major branches.  The pulseles disease.  Common in the far east.  Severe forms can affect all the Aortic branches.  Depostion of firm rubbery material in the subintima. Autoimmune. WWW.SMSO.NET
  • 99.
  • 100.