CHROMOSOMŲCHROMOSOMŲ
IR GENŲIR GENŲ
MUTACIJOSMUTACIJOS
7.1 GENETINIO KINTAMUMO
TIPAI
 Genetinis kintamumas apibūdinamas kaip
skirtumai, stebimi tarp tos pačios rūšies
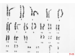
individų arba tarp skirtingų rūšių
 Alelinis kintamumas atsiranda dėl mutacijų
individualiuose genuose
 Chromosomų aberacijos atsiranda dėl esminių
chromosomų struktūros pokyčių

Jos, kaip taisyklė, paveikia daugiau nei vieną geną

Jos taip pat vadinamos chromosomų mutacijomis
7-2
Mutacijos
 Terminas “mutacija” reiškia genetinės medžiagos
paveldimą pokytį
 Mutacijos sukuria alelinį kintamumą
 Teigiama mutacijų savybė yra ta, kod jos sukuria
genetinį evoliucijos pagrindą
 Neigiama mutacijų savybė yra ta, kad jos yra daugelio
ligų priežastis
 Kadangi mutacijos gali būti gana žalingos,
organizmuose išsivystė DNR reparacijos
priemonės
7-3
Mutacijos
7-4
 Mutacijos gali būti trijų pagrindinių tipų
 1. Chromosomų mutacijos

Chromosomų struktūros pokyčiai
 2. Genominės mutacijos

Chromosomų skaičiaus pokyčiai
 3. Genų mutacijos

Palyginti nedideli DNR struktūros pokyčiai, įvykę
viename gene
 Chromosominio kintamumo tyrimai svarbūs dėl
keleto priežasčių
 1. Jis gali turėti didelės reikšmės organizmo fenotipui
 2. Jis gali turėti didelės reikšmės organizmo
palikuonims
 3. Jis yra rūšių evoliucijos svarbi varomoji jėga
7-5
7.2 CHROMOSOMŲ
STRUKTŪROS KINTAMUMAS
 Citogenetika yra genetikos sritis, nagrinėjanti
chromosomų struktūrą ir jų kiekį bei pokyčius.
 Paprastai citogenetiniai tyrimai atliekami
mikroskopu, nustatant individualių ląstelių ar
organizmų chromosomų sudėtį
 Tai leidžia nustatyti individus, turinčius nenormalius
chromosomų kiekius arba struktūrą
 Šiuo metodu taip pat galima atskirti įvairias rūšis
7-6
Citogenetika
7-7
 Klasikinėje citogenetikoje
chromosomos atskiriamos
pagal tris pagrindinius
požymius
 1. Dydį
 2. Centromeros padėtį
 3. Ruožų piešinį

Visos šios ypatybės yra matomos
kariotipe – organizmo chromosomų
rinkinyje, išdėstytame pagal
chromosomų dydį ir centromeros
padėtį
Citogenetika
7-8
Trumpasis petys;
petite (Pranc.)
Ilgasis petys
Chromosomų klasifikacija pagal centromeros padėtį
Metacentrinė Submetacentrinė Akrocentrinė Telocentrinė
7-9
 Tiksliai identifikacijai chromosomas reikia dažyti
naudojant specialius metodus tam, kad išryškėtų
būdingas ruožų piešinys
 Pavyzdys: G-ruožuotumas

Chromosomos yra paveikiamos proteolitiniais fermentais
(tripsinu) ir dažomos Giemsa dažais

Prie kai kurių segmetų prisitvirtina daug dažo molekulių
 Tamsūs ruožai

Prie kitų segmentų dažo prisijungia nedaug
 Šviesūs ruožai

Žmogaus chromosomose
 300 G ruožų matoma metafazės stadijoje
 2,000 G ruožų – profazėje
Citogenetika
7-10
Ruožuo-
tumas
metafazėje
Ruožuo-
tumas
profazėje
Žmogaus chromosomų G ruožai ir jų numeravimas
7-11
 Dažymas išryškinant ruožuotumą yra
naudingas keletu požiūriu:
 1. Padeda atskirti chromosomas vieną nuo kitos
 2. Padeda aptikti net subtilius chromosomų
struktūros pokyčius
 3. Padeda nustatyti glaudžiai susijusių rūšių
evoliucinius ryšius
Citogenetika
7-12
 Šiuolaikinėje citogenetikoje chromosomų
identifikacijai plačiai taikomas fluorescencinės in
situ hibridizacijos metodas (FISH) ir jo modifikacijos
Citogenetika
7-13
 Yra du pagrindiniai chromosomų struktūros
persitvarkymo būdai
 1. Bendras genetinės informacijos kiekis
chromosomoje pakinta

Delecijos

Duplikacijos
 2. Genetinė medžiaga lieka ta pati, tačiau ji
pertvarkoma

Inversijos

Translokacijos
7-14
Mutacijos gali pakeisti
chromosomų struktūrą
7-15
 Delecija
 Chromosomos segmento praradimas
 Duplikacija
 Chromosominio segmento pasikartojimas, lyginant su
normalia chromosoma
 Inversija
 Genetinės medžiagos išsidėstymo krypties pasikeitimas
individualioje chromosomoje
 Translokacija
 Vienos chromosomos segmento prisitvirtinimas prie kitos
chromosomos
 Paprasta translokacija

Vienkryptė pernaša
 Reciprokinė translokacija

Dvikryptė pernaša
7-16
Žmogaus 1-ma
chromosoma
Žmogaus 21-ma
chromosoma
Delecija
Duplikacija
Inversija
Paprasta
translokacija
Reciprokinė
translokacija
7-17
 Delecija įvyksta tada, kai chromosoma sulūžta, o
susidaręs fragmentas yra pametamas
Delecijos
a) Terminalinė delecija b) Intersticinė delecija
Vienas trūkis
Pametamas ir degraduoja Pametamas ir degraduoja
Du trūkiai ir likusių
dalių
susijungimas
7-18
 Fenotipinės delecijų pasekmės priklauso
 1. Nuo delecijos dydžio
 2. Nuo to, kurioje chromosomos vietoje įvyko delecija

Ar pamesti genai yra gyvybiškai svarbūs organizmui
Delecijos
 Kai delecijos pasireiškia
fenotipiškai, jos, kaip
taisyklė, būna žalingos
Pavyzdžiui žmogaus cri-du-
chat sindromas

Atsiranda dėl 5 chromosmos
trumpojo peties delecijos
7-19
 Chromosomų delecijos aptinkamos įvairiais būdais
 Citologiniais metodais

Naudojami didelėms delecijoms aptikti
 Molekuliniais metodais
 Genetiniais metodais

Jei mutantai negali sugrįžti į laukinį tipą, tai gali būti delecijos
požymis
 Dėl delecijų gali atsirasti reiškinys, vadinamas
pseudodominavimu
 Viena geno kopija pašalinama dėl delecijos
 Tada gali vykti kitoje chromosomoje esančios
recesyvinio alelio ekspresija
7-20
 Chromosmų duplikacijos dažniausiai atsiranda dėl
rekombinacijos sutrikimų
Duplikacijos
Nelygus
krosingoveri
s
Duplikacija
Delecija
7-21
 Duplikacijų, kaip ir delecijų, fenotipinės pasekmės
priklauso nuo dydžio
 Fenotipinių pasekmių tikimybė tuo didesnė, kuo didesnė
duplikacija
 Tačiau duplikacijos, kaip taisyklė, yra mažiau
žalingos negu tokio paties dydžio delecijos
Duplikacijos
7-22
 Dauguma mažų duplikacijų neturi fenotipinių
pasekmių
 Tačiau jos yra labai svarbios, nes padeda atsirasti
papildomiems genams
 Galiausiai tai gali suformuoti genų šeimas
 Genų šeimas sudaro du ar daugiau panašių genų
Duplikacijos ir genų šeimos
7-23
Genai, kilę iš
vieno pirmtako
Nenormalūs genetiniai procesai
Sukelia geno duplikaciją
Per daugelį generacijų genai gali
pradėti skirtis dėl laipsniškos
mutacijų akumuliacijos
Mutacijų taškai
Homologiniai
genai
7-24
 Geras pavyzdys yra globinų genų šeima
 Šie genai koduoja baltymus, kurių funkcija yra surišti
deguonį

Pvz.: hemoglobinas
 Globinų genų šeimą sudaro 14 homologinių genų,
išsidėsčiusių trijose skirtingose chromosomose
 Visi 14 genų yra kilę iš vieno protėvių geno
 Skirtingų mutacijų kaupimasis skirtinguose šeimos
genuose sukūrė

1. Globinų genus, kurių ekspresija vyksta skirtingomis žmogaus
vystymosi stadijomis

2. Globinų baltymus, kurių funkcijos labiau specializuotos
7-25
Duplikacija
Geriau prisijungia
ir saugo deguonį
raumenų ląstelėse
Geriau prisijungia
ir saugo deguonį
eritrocituose
Ekspresija ankstyvojo
embrioninio periodo
metu
Maksimali ekspresija nėštumo
antrojo ir trečiojo trimestro metu
Ekspresija po gimimo
7-26
 Inversija yra chromosomos segmentas, pakeitęs
savo orientaciją priešinga kryptimi
Inversijos
Centromera
invertuotos
srities viduje
Centromera už
invertuotos
srities ribų
a) Pericentrinė inversija b) Paracentrinė inversija
Normali chromosoma
Invertuota sritis Invertuota sritis
7-27
 Inversijos atveju bendras genetinės informacijos kiekis
nekinta
 Todėl dauguma inversijų neturi fenotipinių pasekmių
 Retais atvejais inversijos gali keisti individo fenotipą
 Trūkio vietos pasekmė

Trūkiai, dėl kurių susidaro inversija, įvyksta gyvybiškai svarbiuose
genuose
 Padėties pasikeitimo pasekmė

Dėl padėties pasikeitimo pasikeičia ir geno ekspresija
 Maždaug 2% žmonių turi inversijas, kurias galima aptikti
šviesiniu mikroskopu
 Dauguma individų yra fenotipiškai normalūs
 Tačiau kai kurių palikuonys gali turėti genetinių defektų
7-28
 Chromosomų translokacija atsiranda tada, kai
vienos chromosomos segmentas prisitvirtina prie
kitos chromosomos
 Formuojantis reciprokinėms translokacijoms,
genetine medžiaga apsikeičia dvi nehomologinės
chromosomos
 Reciprokinės translokacijos atsiranda dėl skirtingų
priežasčių

1. Chromosomų trūkiai ir reparacija

2. Nenormalus krosingoveris
Translokacijos
7-29
Telomeros saugo
chromosomų DNR nuo
sulipimo su kitos
chromosomos DNR
a) Chromosomų trūkiai ir reparacija
b) Nehomologinis
krosingoveris
7-30
 Reciprokinės translokacijos pertvarko genetinę
medžiagą, tačiau nekeičia jos bendro kiekio
 Todėl jos vadinamos subalansuotomis translokacijomis
 Reciprokinės translokacijos, kaip ir inversijos,
dažniausiai neturi fenotipinių pasekmių
 Retais atvejais jos gali sukelti padėties pasikeitimo
pasekmes
 Paprastos translokacijos genetinę medžiagą
perneša tik viena kryptimi
 Jos taip pat vadinamos nesubalansuotomis
translokacijomis
Translokacijos
7-31
 Pavyzdys: šeiminis Dauno (Down) sindromas
 Didesnioji 21-os chromosomos dalis yra
prisitvirtinusi prie 14-os chromosomos
 Individas turi tris kopijas genų, esančių 21-oje
chromosomoje
 Todėl jam būdingi Dauno sindromo bruožai
7-32
 Šeiminis Dauno sindromas yra Robertsono
translokacijos pavyzdys
 Ši translokacija susiformuoja taip
 Trūkiai įvyksta dviejų nehomologinių akrocentrinių
chromosomų pačiuose galuose
 Maži acentriniai fragmentai pametami
 Didesnieji fragmentai susilieja centromerinėmis sritimis,
sudarydami vieną chromosomą
 Šio tipo translokacijos dažniausiai sutinkamos
žmogaus organizme
 Nesubalansuotos translokacijos dažniausiai sukelia
sunkias fenotipines pasekmes ar net letalumą
 Chromosomos persitvarkymas gali paveikti geno
veiklą dėl to, kad trūkis įvyksta geno viduje
 Kai kuriais atvejais genas lieka nepaliestas, tačiau jo
ekspresija pakinta dėl jo naujos padėties
 Tai vadinama padėties efektu
 Padėties efektas pasireiškia dėl dviejų dažniausių
priežasčių:
 1. Geno persikraustymo prie kitų reguliacinių sričių
 2. Geno persikraustymo į heterochromatininę
chromosomos sritį
Chromosomų struktūros pokyčiai
gali veikti genų ekspresiją
7-33
7-34
Reguliacinės sekos
dažnai yra dvikryptės
a) Padėties efektas dėl reguliacinių sekų
b) Padėties efektas dėl translokacijos į heterochromatininę sritį
 Chromosomų skaičius gali kisti dviem
pagrindiniais būdais
 Euploidija

Ištisų chromosomų rinkinių kiekio kitimas
 Aneuploidija

Chromosomų rinkinio pavienių chromosomų skaičiaus kitimai
 Euploidinis kintamumas retkarčiais aptinkamas tarp
gyvūnų ir dažnai – tarp augalų
 Aneuploidinis kintamumas sukelia įvairius
nenormalumus
7.3 Chromosomų skaičiaus
kintamumas
7-35
7-36
Poliploidiniai organizmai
turi tris ar daugiau
chromosomų rinkinius
Individas vadinamas
trisomiku
Individas vadinamas
monosomiku
7-37
 Kiekvienos eukariotų rūšies fenotipas priklauso nuo
tūkstančių skirtingų genų
 Šių genų ekspresija yra sudėtingai koordinuojama tam, kad
išsivystytų fenotipiškai normalus individas
 Aneuploidija dažniausiai sukelia nenormalų fenotipą
 Tai įvyksta dėl genų produktų kiekio disbalanso
Aneuploidija
7-38
Daugeliu atveju tokie
pokyčiai yra žalingi. Jie
sukuria individus,
kuriems tikimybė
išgyventi yra mažesnė
nei euploidiniams
individams
7-39
 Visais 12 galimų trisomijų
atvejais formavosi dėžutės
(išdžiūvę vaisiai), kurių
fenotipai skyrėsi
 Be to, aneuploidiniai augalai
pasižymėjo ir kitomis
morfologinėmis ypatybėmis

Tarp jų buvo ir žalingų požymių
Aneuploidija
Žalingas aneuploidijos
poveikis pirmą kartą buvo
nustatytas, tiriant paprastąją
durnaropę Datura
stramonium
7-40
Silpni augalai, su
artimai išsidėsčiusiais
ir susipynusiais lapais
7-41
 Chromosomų skaičiaus pokyčiai gana dažnai įvyksta
formuojantis gametoms
 Maždaug 5-10% visų žmogaus embrionų turi nenormalų
chromosomų skaičių
 ~ 50% visų spontaninių abortų yra dėl šios anomalijos
 Kai kuriais atvejais chromosomų skaičiaus pokyčiai
nėra letalūs ir embrionai išgyvena. Tačiau tai visada
susiję su didesnio ar mažesnio laipsnio vystymosi
sutrikimais ir patologija
Aneuploidija
Žmogaus sindromai, susiję su aneuploidijomis
Stovis Dažnis Sindromas Ypatybės
Autosomų anomalijos
Trisomija 21 1/800 Dauno Protinis atsilikimas, nenormali dermatoglifika,
siauros akys, plokščias veidas, žemas ūgis
Trisomija 18 1/6000 Edvardo Protiniai ir fiziniai defektai, veido anomalijos,
aukštas raumenų tonusas, ankstyva mirtis
Trisomija 13 1/15000 Patau Protiniai ir fiziniai defektai, daugybinės vidaus
organų pažaidos, didelė trikampė nosis, ankstyva
mirtis
Lytinių chromosomų anomalijos
XXY 1/1000 (v) Klainfelterio Nevaisingumas, krūtinės pabrinkimas, elgsenos
anomalijos
XYY 1/1000 (v) Jakobso Aukštas ūgis, elgsenos anomalijos
XXX 1/1500 (m) Trigubos X Aukštos ir kūdos, nereguliarios menstruacijos,
didesnis psichinių ligų dažnis
X0 1/5000 (m) Ternerio Žemas ūgis, klostuostas kaklas, lytinis
neišsivystymas, lengvas protinis atsilikimas
7-42
7-43
 Autosomų aneuploidijos, leidžiančios embrionui
išgyventi, yra 13, 18 ir 21chromosomų trisomijos
 Šios chromosomos yra santykinai mažos ir turi daug
heterochromatino
 Lytinių chromosomų aneuploidijos sukelia mažiau
sunkias pasekmes negu autosomų aneuploidijos
 Tai galima paaiškinti X chromosomos inaktyvacija
 Todėl fenotipinės pasekmės gali atsirasti dėl

1. X chromosomoje esančių genų ekspresija iki X chromosomos
inaktyvacijos embrione

2. Pseudoautosominių genų ekspresijos disbalansu
7-44
 Kai kurių žmogaus aneuploidijų dažnis priklauso nuo
tėvų amžiaus
 Vyresni tėvai dažniau susilaukia nenormalių palikuonių
 Pavyzdys: Dauno sindromas (21 chr. trisomija)

Dažnis ypač priklauso nuo motinos amžiaus
7-45
 Dauguma gyvūnų rūšių yra diploidinės
 Daugeliu atveju euploidiškumo pokyčiai nėra
toleruojami
 Gyvūnams poliploidija dažniausiai yra letali
 Tačiau kai kurie euploidijos variantai yra natūraliai
sutinkami gamtoje
 Bičių patelės yra diploidinės
 Bičių patinai (tranai) yra monoploidai

Jie turi tiktai vieną chromosomų rinkinį
Euploidija (gyvūnai)
 Gamtoje aptikta tiktai keletas poliploidinių
stuburinių rūšių
Hyla chrysocelis (2n) Hyla versicolor (4n)
7-46
7-47
 Tačiau daugelio gyvūnų organizme yra audinių,
kuriuose chromosomų rinkinių skaičius varijuoja
natūraliai
 Diploidiniai gyvūnai kartais turi poliploidinių audinių
 Šis reiškinys vadinamas endopoliploidija

Pavyzdžiui, kepenų ląstelės gali būti triploidinės, tetraploidinės ar
net oktoploidinės (8n)
 Vabzdžių politeninės chromosomos yra geras
natūralaus ploidiškumo kitimo pavyzdys
Euploidija (gyvūnai)
7-48
 Dažniausiai susidaro drozofilos ir kitų vabzdžių seilių
liaukose
 Chromosomos keletą kartų replikuojasi, tačiau
ląstelės nesidalija
 Drozofilos seilių liaukų chromosomų poros dvigubėja
maždaug 9 kartus (29
= 512)
 Šie dvigubėjimai sudaro paraleliai išsidėsčiusių
chromosomų ryšulius
 Tokios chromosomos vadinamos politeninėmis
Politeninės chromosomos
7-49
Kiekviena chromosoma prisitvirtina prie
chromocentro šalia savo centromeros
Kartotinė chromosomų replikacija sukuria
politenines chromosomas
Politetinių chromosomų susidarymas
Iš normalių drozofilos chromosomų
Kiekvieną politeninės
chromosomos petį
sudaro šimtai
lygiagrečiai išsidėsčiusių
chromosomų
Chromocentras
Centrinis taškas, kur agreguoja
visos chromosomos
7-50
 Politetines chromosomas nesunku tirti mikroskopu dėl
jų ypatingo dydžio
 Jos yra tokios didelės, kad gali būti tiriamos interfazėje
 Politeninėms chromosomoms būdingas specifinis
ruožuotumas
 Kiekvienas tamsus ruožas vadinamas chromomera

Tamsaus ruožo DNR yra kompaktiškesnė, nei esanti tarpruožyje

Drozofilos politeninėse chromosomose rasta apie 5000 ruožų
Politeninių chromosomų tyrimai padėjo išsiaiškinti
daugelį procesų, vykstančių chromosomose
interfazėje
7-51
 Priešingai nei gyvūnų, augalų poliploidija yra
būdingas reiškinys
 30-35% visų paparčių ir žydinčių augalų yra poliploidai
 Dauguma maistui vartojamų vaisių ir grūdų taip pat yra
poliploidiniai
 Gana dažnai poliploidiniai augalai pasižymi geromis
agrokultūrinėmis ypatybėmis
 Jie būna didesni ir atsparesni aplinkos poveikiui
Euploidija (augalai)
Diploidinės petunijos Tetraploidinės petunijos
7-52
 Poliploidai, turintys nelyginį chromosomų rinkinių
skaičių, paprastai būna sterilūs
 Šių augalų gametos dažnai yra aneuploidinės

Pavyzdys: Triploidiniame organizme trys homologinės
chromosomos anafazės I metu netolygiai pasiskirsto tarp dukterinių
ląstelių
Kiekviena ląstelė
gauna po vieną kai
kurių chromosomų
kopiją
ir po dvi kitų
chromosomų kopijas
7-53
 Sterilumas paprastai yra žalingas požymis
 Tačiau jis gali būti agrokultūriškai naudingas, nes
gali sukurti
 1. Besėklius vaisius

Besėkliai arbūzai ir bananai
 Triploidinės veislės

Dauginami nelytiniu keliu ūgliais
 2. Besėkles gėles

Triploidinės veislės
Mitozės anomalijos
 Genetinės anomalijos, įvykusios po apvaisinimo,
sukuria mozaicizmą
 Dalis organizmo turi ląsteles, kurios genetiškai skiriasi nuo
likusios dalies ląstelių
 Mozaikinės srities dydis ir padėtis priklauso nuo to,
kuriuo embrioninio vystymosi metu susidarė
anomalija
 Kraštutiniu atveju anomalija gali įvykti pirmojo mitozinio
dalijimosi metu
7-54
 Apvaisintas drozofilos kiaušinis turi dvi X chromosomas (XX)
 Viena X chromosoma pametama pirmojo mitozinio dalijimosi metu

Tai sukuria XX ir X0 ląsteles
7-55
Iš ląstelės XX vystosi
moteriška drozofilos pusė
Iš ląstelės X0 vystosi
vyriška drozofilos pusė
 Šis ypatingas ir retas individas yra vadinamas bilateraliniu
ginandromorfu
Tarprūšiniai hibridai
 Pilnas neišsiskyrimas gali sukurti individus su
papildomais chromosomų rinkiniais
 Tai vadinama autopoliploidija
7-56
Autopoliploidija
Tarprūšiniai hibridai
 Daug dažnesnis chromosomų rinkinių skaičiaus
kitimo mechanizmas yra aloploidija
 Ji atsiranda dėl tarprūšinės hibridizacijos
7-57
Aloploidija
 Alodiploidai turi vieną chromosomų rinkinį, sudarytą
iš susikryžminusių rūšių chromosomų
7-58
 Pavyzdys yra dviejų antilopių
(Hippotragus equinus ir
Hippotragus niger) hibridas

Šios dvi artimos rūšys turi vienodą
chromosomų skaičių, kurios, be to,
yra panašaus dydžio ir ruožuotumo

Evoliuciškai susijusios dviejų
skirtingų rūšių chromosomos
vadinamos homeologinėmis

Šis alodiploidas yra fertilus, nes
homeologinės chromosomos gali
sudaryti sinapses mejozės metu
 Alopoliploidai susiformuoja įvykus autopoliploidijai ir
aloploidijai
 Pavyzdžiai: Raphanobrasicca, Triticale, Gossipium var.
americana
7-59
Alotetraploidas:
turi du pilnus
chromosomų
rinkinius, gautus
iš skirtingų rūšių
Alopoliploidija
 Taškinė mutacija yra vienos bazių poros pokytis
 Tai gali būti bazių pakaitos
7-60
5’ AACGCTAGATC 3’
3’ TTGCGATCTAG 5’
5’ AACGCGAGATC 3’
3’ TTGCGCTCTAG 5’
 Tranzicija yra pirimidino (C, T) pakeitimas kitu pirimidinu
arba purino (A, G) pakeitimas kitu purinu
 Transversija yra pirimidino pakeitimas purinu ir
atvirkščiai
 Tranzicijos aptinkamos dažniau už transversijas
7.4 GENŲ MUTACIJOS
Genų mutacijos keičia DNR sekas
 Taškinės mutacijos taip pat susiformuoja dėl trumpų
DNR sekų insercijų (intarpų) ar delecijų (iškritų)
Genų mutacijos keičia DNR sekas
7-61
5’ AACGCTAGATC 3’
3’ TTGCGATCTAG 5’
5’ AACGCGC 3’
3’ TTGCGCG 5’
5’ AACGCTAGATC 3’
3’ TTGCGATCTAG 5’
5’ AACAGTCGCTAGATC 3’
3’ TTGTCAGCGATCTAG 5’
Keturių bazių porų delecija
Keturių bazių porų insercija
 Mutacijos, įvykusios struktūrinio geno koduojančioje
srityje, gali turėti įvairias pasekmes polipeptidui
 Tylinčios mutacijos yra tokios bazių pakaitos, kurios
nepakeičia aminorūgščių sekos polipeptide

Tai vyksta dėl genetinio kodo išsigimimo
 Misens mutacijos yra tos bazių pakaitos, kurios pakeičia
aminorūgščių seką polipeptide

Pavyzdys: Siklemija

Jei pakeista aminorūgštis pasižymi panašiomis savybėmis, kaip ir
ankstesnioji, tai tokia mutacija vadinama neutralia
Genų mutacijos gali pakeisti
koduojančias geno sekas
7-62
Misens mutacija sukelia siklemiją
 Siklemiją sukelia taškinė mutacija, dėl kurios β globino
polipeptide glutamo rūgštis pakeičiama valinu
a) Normalūs eritrocitai b) Siklemija sergančio žmogaus eritrocitai
7-63
 Mutacijos, įvykusios struktūrinio geno koduojančioje
srityje, gali turėti įvairias pasekmes polipeptidui
Genų mutacijos gali pakeisti
koduojančias geno sekas
7-64
 Nonsens mutacijos keičia normalų kodoną į terminalinį
kodoną
 Rėmėlio poslinkio (frameshift) mutacijos atsiranda dėl
vienos bazės ar kartotinio dviems bazių skaičiaus
insercijos ar delecijos

Tai pakeičia skaitymo rėmelį taip, kad pasroviui nuo mutacijos
susiformuoja visiškai skirtinga aminorūgščių seka
7-65
Taškinių mutacijų, įvykusių koduojančiose
sekose, pasekmės
Mutacijos
tipas
Mutacija
DNR
Pavyzdys
Nėra
Tylinti
Misens
Nonsens
Rėmelio
poslinkio
Nėra
Bazių pakaita
Bazių pakaita
Bazių pakaita
Insercija
 Gamtinėse populiacijose dažniausiai sutinkamas
genotipas vadinamas laukinio tipo genotipu
 Tiesioginė mutacija keičia laukinio tipo genotipą į
naują
 Jei mutacija naudinga, naujas genotipas gali būti
išsaugotas evoliucijos
 Priešingu atveju mutacija greičiausiai bus pašalinta iš
populiacijos
 Grįžtamoji mutacija turi priešingą poveikį
 Ji taip pat vadinama reversija
Genų mutacijos ir jų pasekmės
genotipui ir fenotipui
7-66
 Mutavę individai dažnai skiriasi savo sugebėjimu
išgyventi
 Žalingos mutacijos sumažina išgyvenimo tikimybę

Kraštutinis atvejis yra letalios mutacijos
 Naudingos mutacijos sustiprina organizmo išgyvenamumą
arba jo reprodukcinę sėkmę
 Kai kurios mutacijos yra vadinamos sąlyginėmis
 Jos veikia fenotipą tik esant tam tikroms sąlygoms
 Pavyzdžiui, temperatūrai jautrūs mutantai
7-67
Genų mutacijos ir jų pasekmės
genotipui ir fenotipui
 Įvykusi antroji mutacija kartais turi įtakos pirmosios
mutacijos fenotipinei ekspresijai
 Šios mutacijos vadinamos supresinėmis
mutacijomis arba tiesiog supresoriais
 Supresoriai skirstomi į dvi grupes
 Intrageniniai supresoriai

Antrosios mutacijos vieta yra tame pačiame gene (tačiau ne toje
pačioje vietoje!), kur įvyko pirmoji mutacija
 Intergeniniai supresoriai

Antrosios mutacijos vieta yra kitame gene
7-68
Genų mutacijos ir jų pasekmės
genotipui ir fenotipui
7-69
Normalu Mutacija Intergeninė supresija
 Mutacijos nekoduojančiose sekose taip pat gali
paveikti genų ekspresiją
 Mutacija gali pakeisti promotoriaus seką

Mutacijos “į promotorių” padaro promotorių panašesnį į konsenso
seką
 Tai gali sustiprinti transkripciją

Mutacijos “nuo promotoriaus” mažina promotoriaus sekos
panašumą į konsenso seką
 Tai gali susilpninti transkripciją
 Mutacijos taip pat gali pakeisti splaisingo vietas eukariotų
genuose
Genų mutacijos nekoduojančiose
sekose
7-70
 Keletas žmogaus genetinių ligų atsiranda dėl
neįprasto mutacijų tipo, vadinamo trinukleotidų
kartotinių sekų ekspansija (TNRE)
 Dėl šio reiškinio ilgis sekų, sudarytų iš pasikartojančių 3
nukleotidų, gali keistis iš kartos į kartą
 Dėl trinukleotidų ekspansijos atsiranda tokios
žmogaus ligos kaip:
 Hantingtono liga
 Martino-Belo sindromas (lūžiosios X sindromas;FRAXA)
 Miotoninė raumenų distrofija
Mutacijos dėl kartotinių
trinukleotidų sekų
7-71
 Kai kurios chromosomų sritys turi trinukleotidines
sekas, išsidėsčiusias tandemiškai
 Sveiki individai perduoda nepakitusio ilgio sekas savo
palikuonims
 Individų, sergančių trinuleotidų ekspansijos ligomis, sekų
ilgis viršija tam tikrą kritinę ribą

Jos taip pat gali lengvai pailgėti dar labiau

Tipiškas pavyzdys yra trinukleotido CAG ekspansija
7-72
CAGCAGCAGCAGCAGCAGCAGCAGCAGCAGCAG
CAGCAGCAGCAGCAGCAGCAGCAGCAGCAGCAGCAGCAGCAGCAGCAGCAGCAG
n = 11
n = 18
Mutacijos dėl kartotinių
trinukleotidų sekų
 Kai kada ekspansija vyksta koduojančioje geno
sekoje (Hantingtono liga)
 Dažniausiai tai būna trinukleotidas CAG (glutaminas)
 Todėl koduojamas baltymas turi ilgas glutamino sekas

Tai priverčia baltymus agreguoti

Agregacijos laipsnis koreliuoja su ligos sunkumu
 Kitais atvejais ekspansija vyksta nekoduojančiose
geno srityse (Martino-Belo sindromas)
 Tai sukelia DNR struktūros pokyčius

Dėl šių pokyčių atsiranda ligos simptomai
7-73
Mutacijos dėl kartotinių
trinukleotidų sekų
 Trinukleotidų ekspansijos ligos pasižymi dviem
neįprastomis savybėmis
 1. Šios ligos sunkumas progresuoja iš kartos į kartą

Šis reiškinys vadinamas anticipacija
 2. Ligos sunkumas priklauso nuo to, kuris iš tėvų perdavė
trinukleotidinių pasikartojimų seką

Hantingtono ligos tikimybė didesnė, jei ji paveldima tėvo linija

Miotoninės raumenų distrofijos tikimybė didesnė, jei paveldima
motinos linija
7-74
Mutacijos dėl kartotinių
trinukleotidų sekų
Lūžios X chromosomos FMR1 geno
transkripcija
 Premutacija virsta mutacija, bręstant moteriškoms lytinėms
ląstelėms. Ji pasireiškia tik premutaciją turinčių moterų sūnums
 Ilgesni nei 200 CGG pasikartojimų ilgio DNR fragmentai yra metilinami.
Jei organizme dėl kokių nors priežasčių yra sutrikęs metilinimas,
Martino-Belo sindromas nepasireiškia
 Geno FMR1 produktas baltymas FMRP nebesintetinamas
 FMRP dalyvauja pernešant mRNR į poliribosomas dendrituose, todėl jo
trūkumas sukelia neuronų funkcionavimo sutrikimus
7-75
 Oganizmų ląstelės gali būti dviejų tipų:
 Generatyvinės ląstelės

Iš jų vystosi gametos, tokios kaip kiaušialąstė ir spermatozoidai
 Somatinės ląstelės

Visos likusios ląstelės
 Generatyvinės mutacijos tiesiogiai įvyksta kiaušialąstėse
ar spermatozoiduose arba šių lytinių ląstelių pirmtakuose
 Somatinės mutacijos tiesiogiai įvyksta somatinėse
ląstelėse arba jų pirmtakuose
Mutacijos gali vykti lytinėse arba
somatinėse ląstelėse
7-76
7-77
Mutacija gali būti
perduota sekančioms
kartoms
Dėmės dydis priklauso nuo
mutacijos atsiradimo laiko
Kuo anksčiau įvyko
mutacija, tuo didesnė dėmė
Mutacija negali būti
perduota sekančioms
kartoms
a) Generatyvinė mutacija b) Somatinė mutacija
 Individai, turintys genotipiškai skirtingas somatines
sritis yra vadinami genetinėmis mozaikomis
7-78
 Mutacijos gali atsirasti spontaniškai arba būti
indukuotos
 Spontaninės mutacijos
 Atsiranda dėl ląstelinių ar biologinių procesų sutrikimo

Pavyzdžiui, DNR replikacijos klaidos
 Indukuotos mutacijos
 Sukelia aplinkos veiksniai
 Veiksniai, galintys pakeisti DNR struktūrą, yra vadinami
mutagenais

Tai gali būti biologiniai, cheminiai arba fiziniai veiksniai
7.4 MUTACIJŲ ATSIRADIMAS IR
PRIEŽASTYS
7-79
Mutacijų priežastys
7-80
Mutacijų priežastys Aprašymas
Spontaninės mutacijos
Nenormali rekombinacija Nenormalus krosingoveris gali sukelti delecijas, duplikacijas, translokacijas ir
inversijas
Nenormali segregacija Nenormali segregacija gali sukelti aneuploidiją ir poliploidiją
DNR replikacijos klaidos DNR polimerazės klaidos gali sukelti taškines mutacijas
Toksiški metabolizmo
produktai
Normalių metabolizmo procesų galutiniai arba tarpiniai produktai gali būti
chemiškai aktyvūs junginiai, pažeidžiantys DNR struktūrą
Transpozabilūs elementai Gali įsiterpti į geną ir sutrikdyti jo veiklą
Depurininimas Retkarčiais gali nutrūkti ryšys tarp purino ir dezoksiribozės
Deamininimas Citozinas ir 5-metilcitozinas gali būti deamininami ir virsti į uracilą ar timiną
Tautomeriniai virsmai Spontaniniai bazių struktūros pokyčiai gali sukelti mutacijas, jei jie įvyksta prieš
pat DNR replikaciją
Indukuotos mutacijos
Cheminiai veiksniai Cheminės medžiagos gali pakeisti DNR struktūrą
Fiziniai veiksniai UV šviesa ir rentgeno spinduliai gali pažeisti DNR struktūrą
 Mutavimo greitis yra tikimybė, kad gene įvyks nauja
mutacija
 Jo dažniausia išraiška yra naujų mutacijų skaičius, įvykęs
tiriamame gene per vieną generaciją
 Mutavimo greičio skaitinė išraiška paprastai būna nuo 10-5
iki 10-9
per vieną generaciją
 Tiriamojo geno mutavimo greitis nėra pastovus dydis
 Jis gali padidėti, jei aplinkoje yra mutagenų
 Skirtingų rūšių ar net skirtingų tos pačios rūšies linijų
mutavimo greitis gali gana žymiai skirtis
Mutavimo greitis ir mutacijų dažnis
7-81
 Net to paties individo skirtingų genų mutavimo
greitis gali būti skirtingas
 Kai kurie genai yra didesni už kitus

Tai padidina mutacijos tikimybę
 Kai kurie genai yra taip išsidėstę chromosomose, kad
tampa jautresni mutacijoms

Jie yra vadinami karštaisiais taškais (hot spots)
 Karštieji taškai taip pat gali būti randami ir geno viduje

Gene aptinkamos tam tikros sritys, kuriose mutacijos vyksta
žymiai dažniau, nei kitose srityse
Mutavimo greitis ir mutacijų dažnis
7-82
7-83
Daug mutacijų vyksta
tiksliai toje pačioje geno
vietoje
 Geno mutacijų dažnis yra nustatomas mutavusių
genų skaičių padalinus iš bendro genų skaičiaus
populiacijoje
 Jei 1 milijonas bakterijų buvo išsėta ir tarp jų nustatyta 10
mutantų, tada

mutacijų dažnis yra 1 iš 100,000 arba 10-5
 Mutacijų dažnis priklauso ne tik nuo mutavimo greičio,
bet ir nuo

Mutacijų pasireiškimo laiko

Tikimybės, kad mutacija bus perduota sekančioms kartoms
Mutavimo greitis ir mutacijų dažnis
7-84
 Spontaninės mutacijos atsiranda dėl trijų tipų
cheminių pokyčių
 1. Depurininimo
 2. Deamininimo
 3. Tautomerinių virsmų
Spontaninių mutacijų priežastys
7-85
Dažniausias pokytis
 Depurininimas yra purinų (guanino ir adenino)
pašalinimas iš DNR
 Kovalentinės jungtys tarp dezoksiribozės ir purino yra kiek
nestabilios

Kartais įvyksta spontaninė reakcija su vandeniu, dėl kurios bazė
atkabinama nuo cukraus
 Susidaro apurininis saitas (vieta)
 Apurininiai saitai gali būti reparuojami

Tačiau jei reparacijos sitema nesuveikia, vykstant replikacijai gali
susidaryti mutacija
7-86
Spontaninių mutacijų priežastys
7-87
Spontaninis depurininimas
a) Depurininimas
b) Apurininio saito replikacija
Depurininimas Apurininis saitas
DNR replikacija
X gali būti
A, T, G ar C
Trys iš keturių (A, T ir G) yra
neteisingi nukleotidai
Todėl mutacijos tikimybė
yra 75%
 Deamininimas yra aminogrupės pašalinimas iš
citozino
 Kitos bazės nėra lengvai deamininamos
7-88
 DNR reparacijos fermentai gali atpažinti uracilą kaip
netinkamą DNR bazę ir jį pašalinti
 Tačiau jei reparacijos sitema nesuveikia, po replikacijos į vyksta
mutacija, kurios metu C-G virsta į A-T
Citozino deamininimas
 Taip pat gali vykti 5-metilcitozino deamininimas
7-89
 Timinas yra normalus DNR komponentas
 Tai sukelia problemų reparacijos fermentams
 Jie negali nustatyti, kuri iš dviejų bazių, esančių dviejose DNR
grandinėse, yra klaidinga
 Todėl metilintas citozinas yra mutacijų atsiradimo karštasis
taškas
5-metilcitozino deamininimas
 Tautomeriniai virsmai yra laikinas bazių struktūros
pokytis
 Įprastinė, stabili timino ir guanino yra ketoninė forma

Nedidelis T ir G bazių kiekis gali virsti enoline forma
 Įprastinė, stabili adenino ir citozino yra amino forma

Nedidelis A ir C bazių kiekis gali virsti imino forma
 Šios retos formos skatina AC ir GT bazių porų
susidarymą
 Tautomeriniai virsmai sukelia mutacijas tada, kai
įvyksta prieš pat DNR replikaciją
7-90
7-91
RetaĮprasta
7-92
Klaidingas bazių poravimasis dėl tautomerinių virsmų
7-93
Laikinas
tautomerinis
virsmas
Grįžęs atgal į
normalią formą
Tautomeriniai virsmai ir replikacija sukelia mutacijas
Iki replikacijos
vyksta adenino
tautomerinis
virsmas
Poravimosi
klaida
Vyksta antroji
DNR
replikacija
DNR molekulės, randamos
4 dukterinėse ląstelėse
Mutacija
 Daugelis veiksnių gali veikti kaip mutagenai, negrįžtamai
pakeičiantys DNR struktūrą
 Mutagenai kelia problemų dėl dviejų pagrindinių priežasčių:
 1. Mutagenai dažnai dalyvauja išsivystant žmogaus
onkologinėms ligoms
 2. Mutagenai gali sukelti genų mutacijas, kurios gali būti žalingos
sekančioms organizmų kartoms
 Mutageniški veiksniai dažnai klasifikuojami kaip cheminiai
arba fiziniai mutagenai
 Kai kurie biologiniai veiksniai taip pat gali sukelti mutacijas
7-94
Mutagenų tipai
Mutagenų pavyzdžiai
7-95
Mutagenai Poveikis DNR struktūrai
Cheminiai mutagenai
Nitritinė rūgštis Deaminina bazes
Hidroksilaminas Hidroksilina citoziną
Azoto ipritas Alkilina bazes
Etilmetansulfonatas Alkilina bazes
Proflavinas Įsiterpia (interkaliuoja) į DNR grandinę
5-bromuracilas Bazės analogas (įsijungia į DNR vietoje timino)
2-aminopurinas Bazės analogas (įsijungia į DNR vietoje purino)
Fiziniai mutagenai
UV šviesa Skatina timino dimerų susiformavimą
Rentgeno spinduliai Sukelia bazių iškritas, DNR grandinių trūkius, sąsiuvas ir chromosomų trūkius
 Cheminiai mutagenai skirstomi į tris pagrindines
grupes
 1. Bazių modifikatoriai
 2. Bazių analogai
 3. Interkaliuojantys junginiai
7-96
Mutagenai pažeidžia DNR
struktūrą skirtingais būdais
 Bazių modifikatoriai kovalentiškai modifikuoja
nukleotido struktūrą
 Pavyzdžiui, nitritinė rūgštis pakeičia amino grupes keto
grupėmis (–NH2 į =O)
 Tai gali paversti citoziną į uracilą, o adeniną į hipoksantiną

Tokios modifikuotos bazės poruojasi su kitokiais nukleotidais, nei
nemodifikuotos
 Kai kurie cheminiai mutagenai suardo taisyklingas poras
alkilindami bazes, esančias DNR struktūroje

Pavyzdžiai: Azoto ipritas ir etilmetansulfonatas (EMS)
7-97
7-98
Šis klaidingas poravimasis
gali sukelti mutacijas naujose
grandinėse po replikacijos
Modifikuotų bazių netaisyklingas poravimasis
Matricinė grandinė Po replikacijos
 Interkaliuojantys junginiai turi plokščias planarines
struktūras, kurios geba įsiterpti į dvigubą DNR
spiralę
 Tai pažeidžia spiralės struktūrą
 Kai DNR, turinti šiuos įsiterpusius mutagenus,
replikuojasi, dukterinėje grandinėje gali susidaryti vieno
nukleotido intarpai arba iškritos
 Pavyzdžiai:

Akridino dažai

Proflavinas
7-99
 Bazių analogai įsijungia į dukterinę DNR grandinę
replikacijos metu
 Pavyzdžiui, 5-bromuracilas yra timino analogas
 Jis gali būti įjungtas į DNR vietoje timino
7-100
Normali pora
Šis tautomerinis
virsmas vyksta gana
dažnai
Klaidingas
poravimasis
5-BU poravimasis su adeninu arba guaninu
7-101
5-bromuracilas gali paskatinti AT
bazių porą virsti GC bazių pora
Mutacijų susidarymas replikacijos metu dėl įjungiamo 5-bromuracilo
 Fiziniai mutagenai būna dviejų pagrindinių tipų
 1. Jonizuojanti radiacija
 2. Nejonizuojanti radiacija
 Jonizuojanti radiacija
 Rentgeno ir gama spinduliai
 Pasižymi trumpu bangos ilgiu ir didele energija
 Gali gilia įsiskverbti į biologines molekules
 Sukuria chemiškai aktyvias molekules, vadinamas laisvaisiais
radikalais
 Gali sukelti

Bazių delecijas

DNR grandinių trūkius

Sąsiuvas

Chromosomų trūkius
7-102
7-103
 Nejonizuojanti radiacija
 UV šviesa
 Turi mažiau energijos
 Negali giliai prasiskverbti į
biologines molekules
 Formuoja susiūtus timino
dimerus
 Timino dimerai gali sukelti
mutacijas kai vyksta DNR
replikacija
 Mutageniškumui įvertinti yra naudojama daug
įvairių testų
 Vienas dažniausiai naudojamų yra Eimso testas
 Metodą sukūrė Briusas Eimsas (Bruce Ames)
 Naudojamas Salmonella typhimurium kamienas, nesugebantis
sintetinti histidino
 Šios bakterijos turi mutaciją gene, dalyvaujančiame histidino
biosintezėje. Todėl jos negali augti mitybinėje terpėje, kurioje nėra
histidino
 Įvykusi kita mutacija (t.y. reversija) atstato gebėjimą sintetinti
histidiną. Tokios bakterijos sugeba augti terpėje be histidino
 Eimso testu nustatomas mutantų kiekis, susiformavęs Petri
lėkštelėje, kurioje auga paveiktos tiriamąja medžiaga bakterijos
7-104
Tyrimai gali nustatyti, ar medžiaga
yra mutagenas
7-105
Eimso mutageniškumo tyrimo testas
Fermentų,
galinčių
metabolizuoti
mutageną, šaltinis
Kontrolinė
lėkštelė rodo, kad
spontaninių
mutacijų dažnis
yra žemasDidelis kolonijų kiekis
rodo, kad tiriama medžiaga
gali būti mutagenas
7-106

Chromosomų ir genų mutacijos

  • 1.
  • 2.
    7.1 GENETINIO KINTAMUMO TIPAI Genetinis kintamumas apibūdinamas kaip skirtumai, stebimi tarp tos pačios rūšies individų arba tarp skirtingų rūšių  Alelinis kintamumas atsiranda dėl mutacijų individualiuose genuose  Chromosomų aberacijos atsiranda dėl esminių chromosomų struktūros pokyčių  Jos, kaip taisyklė, paveikia daugiau nei vieną geną  Jos taip pat vadinamos chromosomų mutacijomis 7-2
  • 3.
    Mutacijos  Terminas “mutacija”reiškia genetinės medžiagos paveldimą pokytį  Mutacijos sukuria alelinį kintamumą  Teigiama mutacijų savybė yra ta, kod jos sukuria genetinį evoliucijos pagrindą  Neigiama mutacijų savybė yra ta, kad jos yra daugelio ligų priežastis  Kadangi mutacijos gali būti gana žalingos, organizmuose išsivystė DNR reparacijos priemonės 7-3
  • 4.
    Mutacijos 7-4  Mutacijos galibūti trijų pagrindinių tipų  1. Chromosomų mutacijos  Chromosomų struktūros pokyčiai  2. Genominės mutacijos  Chromosomų skaičiaus pokyčiai  3. Genų mutacijos  Palyginti nedideli DNR struktūros pokyčiai, įvykę viename gene
  • 5.
     Chromosominio kintamumotyrimai svarbūs dėl keleto priežasčių  1. Jis gali turėti didelės reikšmės organizmo fenotipui  2. Jis gali turėti didelės reikšmės organizmo palikuonims  3. Jis yra rūšių evoliucijos svarbi varomoji jėga 7-5 7.2 CHROMOSOMŲ STRUKTŪROS KINTAMUMAS
  • 6.
     Citogenetika yragenetikos sritis, nagrinėjanti chromosomų struktūrą ir jų kiekį bei pokyčius.  Paprastai citogenetiniai tyrimai atliekami mikroskopu, nustatant individualių ląstelių ar organizmų chromosomų sudėtį  Tai leidžia nustatyti individus, turinčius nenormalius chromosomų kiekius arba struktūrą  Šiuo metodu taip pat galima atskirti įvairias rūšis 7-6 Citogenetika
  • 7.
    7-7  Klasikinėje citogenetikoje chromosomosatskiriamos pagal tris pagrindinius požymius  1. Dydį  2. Centromeros padėtį  3. Ruožų piešinį  Visos šios ypatybės yra matomos kariotipe – organizmo chromosomų rinkinyje, išdėstytame pagal chromosomų dydį ir centromeros padėtį Citogenetika
  • 8.
    7-8 Trumpasis petys; petite (Pranc.) Ilgasispetys Chromosomų klasifikacija pagal centromeros padėtį Metacentrinė Submetacentrinė Akrocentrinė Telocentrinė
  • 9.
    7-9  Tiksliai identifikacijaichromosomas reikia dažyti naudojant specialius metodus tam, kad išryškėtų būdingas ruožų piešinys  Pavyzdys: G-ruožuotumas  Chromosomos yra paveikiamos proteolitiniais fermentais (tripsinu) ir dažomos Giemsa dažais  Prie kai kurių segmetų prisitvirtina daug dažo molekulių  Tamsūs ruožai  Prie kitų segmentų dažo prisijungia nedaug  Šviesūs ruožai  Žmogaus chromosomose  300 G ruožų matoma metafazės stadijoje  2,000 G ruožų – profazėje Citogenetika
  • 10.
  • 11.
  • 12.
     Dažymas išryškinantruožuotumą yra naudingas keletu požiūriu:  1. Padeda atskirti chromosomas vieną nuo kitos  2. Padeda aptikti net subtilius chromosomų struktūros pokyčius  3. Padeda nustatyti glaudžiai susijusių rūšių evoliucinius ryšius Citogenetika 7-12
  • 13.
     Šiuolaikinėje citogenetikojechromosomų identifikacijai plačiai taikomas fluorescencinės in situ hibridizacijos metodas (FISH) ir jo modifikacijos Citogenetika 7-13
  • 14.
     Yra dupagrindiniai chromosomų struktūros persitvarkymo būdai  1. Bendras genetinės informacijos kiekis chromosomoje pakinta  Delecijos  Duplikacijos  2. Genetinė medžiaga lieka ta pati, tačiau ji pertvarkoma  Inversijos  Translokacijos 7-14 Mutacijos gali pakeisti chromosomų struktūrą
  • 15.
    7-15  Delecija  Chromosomossegmento praradimas  Duplikacija  Chromosominio segmento pasikartojimas, lyginant su normalia chromosoma  Inversija  Genetinės medžiagos išsidėstymo krypties pasikeitimas individualioje chromosomoje  Translokacija  Vienos chromosomos segmento prisitvirtinimas prie kitos chromosomos  Paprasta translokacija  Vienkryptė pernaša  Reciprokinė translokacija  Dvikryptė pernaša
  • 16.
  • 17.
    7-17  Delecija įvykstatada, kai chromosoma sulūžta, o susidaręs fragmentas yra pametamas Delecijos a) Terminalinė delecija b) Intersticinė delecija Vienas trūkis Pametamas ir degraduoja Pametamas ir degraduoja Du trūkiai ir likusių dalių susijungimas
  • 18.
    7-18  Fenotipinės delecijųpasekmės priklauso  1. Nuo delecijos dydžio  2. Nuo to, kurioje chromosomos vietoje įvyko delecija  Ar pamesti genai yra gyvybiškai svarbūs organizmui Delecijos  Kai delecijos pasireiškia fenotipiškai, jos, kaip taisyklė, būna žalingos Pavyzdžiui žmogaus cri-du- chat sindromas  Atsiranda dėl 5 chromosmos trumpojo peties delecijos
  • 19.
    7-19  Chromosomų delecijosaptinkamos įvairiais būdais  Citologiniais metodais  Naudojami didelėms delecijoms aptikti  Molekuliniais metodais  Genetiniais metodais  Jei mutantai negali sugrįžti į laukinį tipą, tai gali būti delecijos požymis  Dėl delecijų gali atsirasti reiškinys, vadinamas pseudodominavimu  Viena geno kopija pašalinama dėl delecijos  Tada gali vykti kitoje chromosomoje esančios recesyvinio alelio ekspresija
  • 20.
    7-20  Chromosmų duplikacijosdažniausiai atsiranda dėl rekombinacijos sutrikimų Duplikacijos Nelygus krosingoveri s Duplikacija Delecija
  • 21.
    7-21  Duplikacijų, kaipir delecijų, fenotipinės pasekmės priklauso nuo dydžio  Fenotipinių pasekmių tikimybė tuo didesnė, kuo didesnė duplikacija  Tačiau duplikacijos, kaip taisyklė, yra mažiau žalingos negu tokio paties dydžio delecijos Duplikacijos
  • 22.
    7-22  Dauguma mažųduplikacijų neturi fenotipinių pasekmių  Tačiau jos yra labai svarbios, nes padeda atsirasti papildomiems genams  Galiausiai tai gali suformuoti genų šeimas  Genų šeimas sudaro du ar daugiau panašių genų Duplikacijos ir genų šeimos
  • 23.
    7-23 Genai, kilę iš vienopirmtako Nenormalūs genetiniai procesai Sukelia geno duplikaciją Per daugelį generacijų genai gali pradėti skirtis dėl laipsniškos mutacijų akumuliacijos Mutacijų taškai Homologiniai genai
  • 24.
    7-24  Geras pavyzdysyra globinų genų šeima  Šie genai koduoja baltymus, kurių funkcija yra surišti deguonį  Pvz.: hemoglobinas  Globinų genų šeimą sudaro 14 homologinių genų, išsidėsčiusių trijose skirtingose chromosomose  Visi 14 genų yra kilę iš vieno protėvių geno  Skirtingų mutacijų kaupimasis skirtinguose šeimos genuose sukūrė  1. Globinų genus, kurių ekspresija vyksta skirtingomis žmogaus vystymosi stadijomis  2. Globinų baltymus, kurių funkcijos labiau specializuotos
  • 25.
    7-25 Duplikacija Geriau prisijungia ir saugodeguonį raumenų ląstelėse Geriau prisijungia ir saugo deguonį eritrocituose Ekspresija ankstyvojo embrioninio periodo metu Maksimali ekspresija nėštumo antrojo ir trečiojo trimestro metu Ekspresija po gimimo
  • 26.
    7-26  Inversija yrachromosomos segmentas, pakeitęs savo orientaciją priešinga kryptimi Inversijos Centromera invertuotos srities viduje Centromera už invertuotos srities ribų a) Pericentrinė inversija b) Paracentrinė inversija Normali chromosoma Invertuota sritis Invertuota sritis
  • 27.
    7-27  Inversijos atvejubendras genetinės informacijos kiekis nekinta  Todėl dauguma inversijų neturi fenotipinių pasekmių  Retais atvejais inversijos gali keisti individo fenotipą  Trūkio vietos pasekmė  Trūkiai, dėl kurių susidaro inversija, įvyksta gyvybiškai svarbiuose genuose  Padėties pasikeitimo pasekmė  Dėl padėties pasikeitimo pasikeičia ir geno ekspresija  Maždaug 2% žmonių turi inversijas, kurias galima aptikti šviesiniu mikroskopu  Dauguma individų yra fenotipiškai normalūs  Tačiau kai kurių palikuonys gali turėti genetinių defektų
  • 28.
    7-28  Chromosomų translokacijaatsiranda tada, kai vienos chromosomos segmentas prisitvirtina prie kitos chromosomos  Formuojantis reciprokinėms translokacijoms, genetine medžiaga apsikeičia dvi nehomologinės chromosomos  Reciprokinės translokacijos atsiranda dėl skirtingų priežasčių  1. Chromosomų trūkiai ir reparacija  2. Nenormalus krosingoveris Translokacijos
  • 29.
    7-29 Telomeros saugo chromosomų DNRnuo sulipimo su kitos chromosomos DNR a) Chromosomų trūkiai ir reparacija b) Nehomologinis krosingoveris
  • 30.
    7-30  Reciprokinės translokacijospertvarko genetinę medžiagą, tačiau nekeičia jos bendro kiekio  Todėl jos vadinamos subalansuotomis translokacijomis  Reciprokinės translokacijos, kaip ir inversijos, dažniausiai neturi fenotipinių pasekmių  Retais atvejais jos gali sukelti padėties pasikeitimo pasekmes  Paprastos translokacijos genetinę medžiagą perneša tik viena kryptimi  Jos taip pat vadinamos nesubalansuotomis translokacijomis Translokacijos
  • 31.
    7-31  Pavyzdys: šeiminisDauno (Down) sindromas  Didesnioji 21-os chromosomos dalis yra prisitvirtinusi prie 14-os chromosomos  Individas turi tris kopijas genų, esančių 21-oje chromosomoje  Todėl jam būdingi Dauno sindromo bruožai
  • 32.
    7-32  Šeiminis Daunosindromas yra Robertsono translokacijos pavyzdys  Ši translokacija susiformuoja taip  Trūkiai įvyksta dviejų nehomologinių akrocentrinių chromosomų pačiuose galuose  Maži acentriniai fragmentai pametami  Didesnieji fragmentai susilieja centromerinėmis sritimis, sudarydami vieną chromosomą  Šio tipo translokacijos dažniausiai sutinkamos žmogaus organizme  Nesubalansuotos translokacijos dažniausiai sukelia sunkias fenotipines pasekmes ar net letalumą
  • 33.
     Chromosomos persitvarkymasgali paveikti geno veiklą dėl to, kad trūkis įvyksta geno viduje  Kai kuriais atvejais genas lieka nepaliestas, tačiau jo ekspresija pakinta dėl jo naujos padėties  Tai vadinama padėties efektu  Padėties efektas pasireiškia dėl dviejų dažniausių priežasčių:  1. Geno persikraustymo prie kitų reguliacinių sričių  2. Geno persikraustymo į heterochromatininę chromosomos sritį Chromosomų struktūros pokyčiai gali veikti genų ekspresiją 7-33
  • 34.
    7-34 Reguliacinės sekos dažnai yradvikryptės a) Padėties efektas dėl reguliacinių sekų b) Padėties efektas dėl translokacijos į heterochromatininę sritį
  • 35.
     Chromosomų skaičiusgali kisti dviem pagrindiniais būdais  Euploidija  Ištisų chromosomų rinkinių kiekio kitimas  Aneuploidija  Chromosomų rinkinio pavienių chromosomų skaičiaus kitimai  Euploidinis kintamumas retkarčiais aptinkamas tarp gyvūnų ir dažnai – tarp augalų  Aneuploidinis kintamumas sukelia įvairius nenormalumus 7.3 Chromosomų skaičiaus kintamumas 7-35
  • 36.
    7-36 Poliploidiniai organizmai turi trisar daugiau chromosomų rinkinius Individas vadinamas trisomiku Individas vadinamas monosomiku
  • 37.
    7-37  Kiekvienos eukariotųrūšies fenotipas priklauso nuo tūkstančių skirtingų genų  Šių genų ekspresija yra sudėtingai koordinuojama tam, kad išsivystytų fenotipiškai normalus individas  Aneuploidija dažniausiai sukelia nenormalų fenotipą  Tai įvyksta dėl genų produktų kiekio disbalanso Aneuploidija
  • 38.
    7-38 Daugeliu atveju tokie pokyčiaiyra žalingi. Jie sukuria individus, kuriems tikimybė išgyventi yra mažesnė nei euploidiniams individams
  • 39.
    7-39  Visais 12galimų trisomijų atvejais formavosi dėžutės (išdžiūvę vaisiai), kurių fenotipai skyrėsi  Be to, aneuploidiniai augalai pasižymėjo ir kitomis morfologinėmis ypatybėmis  Tarp jų buvo ir žalingų požymių Aneuploidija Žalingas aneuploidijos poveikis pirmą kartą buvo nustatytas, tiriant paprastąją durnaropę Datura stramonium
  • 40.
    7-40 Silpni augalai, su artimaiišsidėsčiusiais ir susipynusiais lapais
  • 41.
    7-41  Chromosomų skaičiauspokyčiai gana dažnai įvyksta formuojantis gametoms  Maždaug 5-10% visų žmogaus embrionų turi nenormalų chromosomų skaičių  ~ 50% visų spontaninių abortų yra dėl šios anomalijos  Kai kuriais atvejais chromosomų skaičiaus pokyčiai nėra letalūs ir embrionai išgyvena. Tačiau tai visada susiję su didesnio ar mažesnio laipsnio vystymosi sutrikimais ir patologija Aneuploidija
  • 42.
    Žmogaus sindromai, susijęsu aneuploidijomis Stovis Dažnis Sindromas Ypatybės Autosomų anomalijos Trisomija 21 1/800 Dauno Protinis atsilikimas, nenormali dermatoglifika, siauros akys, plokščias veidas, žemas ūgis Trisomija 18 1/6000 Edvardo Protiniai ir fiziniai defektai, veido anomalijos, aukštas raumenų tonusas, ankstyva mirtis Trisomija 13 1/15000 Patau Protiniai ir fiziniai defektai, daugybinės vidaus organų pažaidos, didelė trikampė nosis, ankstyva mirtis Lytinių chromosomų anomalijos XXY 1/1000 (v) Klainfelterio Nevaisingumas, krūtinės pabrinkimas, elgsenos anomalijos XYY 1/1000 (v) Jakobso Aukštas ūgis, elgsenos anomalijos XXX 1/1500 (m) Trigubos X Aukštos ir kūdos, nereguliarios menstruacijos, didesnis psichinių ligų dažnis X0 1/5000 (m) Ternerio Žemas ūgis, klostuostas kaklas, lytinis neišsivystymas, lengvas protinis atsilikimas 7-42
  • 43.
    7-43  Autosomų aneuploidijos,leidžiančios embrionui išgyventi, yra 13, 18 ir 21chromosomų trisomijos  Šios chromosomos yra santykinai mažos ir turi daug heterochromatino  Lytinių chromosomų aneuploidijos sukelia mažiau sunkias pasekmes negu autosomų aneuploidijos  Tai galima paaiškinti X chromosomos inaktyvacija  Todėl fenotipinės pasekmės gali atsirasti dėl  1. X chromosomoje esančių genų ekspresija iki X chromosomos inaktyvacijos embrione  2. Pseudoautosominių genų ekspresijos disbalansu
  • 44.
    7-44  Kai kuriųžmogaus aneuploidijų dažnis priklauso nuo tėvų amžiaus  Vyresni tėvai dažniau susilaukia nenormalių palikuonių  Pavyzdys: Dauno sindromas (21 chr. trisomija)  Dažnis ypač priklauso nuo motinos amžiaus
  • 45.
    7-45  Dauguma gyvūnųrūšių yra diploidinės  Daugeliu atveju euploidiškumo pokyčiai nėra toleruojami  Gyvūnams poliploidija dažniausiai yra letali  Tačiau kai kurie euploidijos variantai yra natūraliai sutinkami gamtoje  Bičių patelės yra diploidinės  Bičių patinai (tranai) yra monoploidai  Jie turi tiktai vieną chromosomų rinkinį Euploidija (gyvūnai)
  • 46.
     Gamtoje aptiktatiktai keletas poliploidinių stuburinių rūšių Hyla chrysocelis (2n) Hyla versicolor (4n) 7-46
  • 47.
    7-47  Tačiau daugeliogyvūnų organizme yra audinių, kuriuose chromosomų rinkinių skaičius varijuoja natūraliai  Diploidiniai gyvūnai kartais turi poliploidinių audinių  Šis reiškinys vadinamas endopoliploidija  Pavyzdžiui, kepenų ląstelės gali būti triploidinės, tetraploidinės ar net oktoploidinės (8n)  Vabzdžių politeninės chromosomos yra geras natūralaus ploidiškumo kitimo pavyzdys Euploidija (gyvūnai)
  • 48.
    7-48  Dažniausiai susidarodrozofilos ir kitų vabzdžių seilių liaukose  Chromosomos keletą kartų replikuojasi, tačiau ląstelės nesidalija  Drozofilos seilių liaukų chromosomų poros dvigubėja maždaug 9 kartus (29 = 512)  Šie dvigubėjimai sudaro paraleliai išsidėsčiusių chromosomų ryšulius  Tokios chromosomos vadinamos politeninėmis Politeninės chromosomos
  • 49.
    7-49 Kiekviena chromosoma prisitvirtinaprie chromocentro šalia savo centromeros Kartotinė chromosomų replikacija sukuria politenines chromosomas Politetinių chromosomų susidarymas Iš normalių drozofilos chromosomų Kiekvieną politeninės chromosomos petį sudaro šimtai lygiagrečiai išsidėsčiusių chromosomų Chromocentras Centrinis taškas, kur agreguoja visos chromosomos
  • 50.
    7-50  Politetines chromosomasnesunku tirti mikroskopu dėl jų ypatingo dydžio  Jos yra tokios didelės, kad gali būti tiriamos interfazėje  Politeninėms chromosomoms būdingas specifinis ruožuotumas  Kiekvienas tamsus ruožas vadinamas chromomera  Tamsaus ruožo DNR yra kompaktiškesnė, nei esanti tarpruožyje  Drozofilos politeninėse chromosomose rasta apie 5000 ruožų Politeninių chromosomų tyrimai padėjo išsiaiškinti daugelį procesų, vykstančių chromosomose interfazėje
  • 51.
    7-51  Priešingai neigyvūnų, augalų poliploidija yra būdingas reiškinys  30-35% visų paparčių ir žydinčių augalų yra poliploidai  Dauguma maistui vartojamų vaisių ir grūdų taip pat yra poliploidiniai  Gana dažnai poliploidiniai augalai pasižymi geromis agrokultūrinėmis ypatybėmis  Jie būna didesni ir atsparesni aplinkos poveikiui Euploidija (augalai) Diploidinės petunijos Tetraploidinės petunijos
  • 52.
    7-52  Poliploidai, turintysnelyginį chromosomų rinkinių skaičių, paprastai būna sterilūs  Šių augalų gametos dažnai yra aneuploidinės  Pavyzdys: Triploidiniame organizme trys homologinės chromosomos anafazės I metu netolygiai pasiskirsto tarp dukterinių ląstelių Kiekviena ląstelė gauna po vieną kai kurių chromosomų kopiją ir po dvi kitų chromosomų kopijas
  • 53.
    7-53  Sterilumas paprastaiyra žalingas požymis  Tačiau jis gali būti agrokultūriškai naudingas, nes gali sukurti  1. Besėklius vaisius  Besėkliai arbūzai ir bananai  Triploidinės veislės  Dauginami nelytiniu keliu ūgliais  2. Besėkles gėles  Triploidinės veislės
  • 54.
    Mitozės anomalijos  Genetinėsanomalijos, įvykusios po apvaisinimo, sukuria mozaicizmą  Dalis organizmo turi ląsteles, kurios genetiškai skiriasi nuo likusios dalies ląstelių  Mozaikinės srities dydis ir padėtis priklauso nuo to, kuriuo embrioninio vystymosi metu susidarė anomalija  Kraštutiniu atveju anomalija gali įvykti pirmojo mitozinio dalijimosi metu 7-54
  • 55.
     Apvaisintas drozofiloskiaušinis turi dvi X chromosomas (XX)  Viena X chromosoma pametama pirmojo mitozinio dalijimosi metu  Tai sukuria XX ir X0 ląsteles 7-55 Iš ląstelės XX vystosi moteriška drozofilos pusė Iš ląstelės X0 vystosi vyriška drozofilos pusė  Šis ypatingas ir retas individas yra vadinamas bilateraliniu ginandromorfu
  • 56.
    Tarprūšiniai hibridai  Pilnasneišsiskyrimas gali sukurti individus su papildomais chromosomų rinkiniais  Tai vadinama autopoliploidija 7-56 Autopoliploidija
  • 57.
    Tarprūšiniai hibridai  Daugdažnesnis chromosomų rinkinių skaičiaus kitimo mechanizmas yra aloploidija  Ji atsiranda dėl tarprūšinės hibridizacijos 7-57 Aloploidija
  • 58.
     Alodiploidai turivieną chromosomų rinkinį, sudarytą iš susikryžminusių rūšių chromosomų 7-58  Pavyzdys yra dviejų antilopių (Hippotragus equinus ir Hippotragus niger) hibridas  Šios dvi artimos rūšys turi vienodą chromosomų skaičių, kurios, be to, yra panašaus dydžio ir ruožuotumo  Evoliuciškai susijusios dviejų skirtingų rūšių chromosomos vadinamos homeologinėmis  Šis alodiploidas yra fertilus, nes homeologinės chromosomos gali sudaryti sinapses mejozės metu
  • 59.
     Alopoliploidai susiformuojaįvykus autopoliploidijai ir aloploidijai  Pavyzdžiai: Raphanobrasicca, Triticale, Gossipium var. americana 7-59 Alotetraploidas: turi du pilnus chromosomų rinkinius, gautus iš skirtingų rūšių Alopoliploidija
  • 60.
     Taškinė mutacijayra vienos bazių poros pokytis  Tai gali būti bazių pakaitos 7-60 5’ AACGCTAGATC 3’ 3’ TTGCGATCTAG 5’ 5’ AACGCGAGATC 3’ 3’ TTGCGCTCTAG 5’  Tranzicija yra pirimidino (C, T) pakeitimas kitu pirimidinu arba purino (A, G) pakeitimas kitu purinu  Transversija yra pirimidino pakeitimas purinu ir atvirkščiai  Tranzicijos aptinkamos dažniau už transversijas 7.4 GENŲ MUTACIJOS Genų mutacijos keičia DNR sekas
  • 61.
     Taškinės mutacijostaip pat susiformuoja dėl trumpų DNR sekų insercijų (intarpų) ar delecijų (iškritų) Genų mutacijos keičia DNR sekas 7-61 5’ AACGCTAGATC 3’ 3’ TTGCGATCTAG 5’ 5’ AACGCGC 3’ 3’ TTGCGCG 5’ 5’ AACGCTAGATC 3’ 3’ TTGCGATCTAG 5’ 5’ AACAGTCGCTAGATC 3’ 3’ TTGTCAGCGATCTAG 5’ Keturių bazių porų delecija Keturių bazių porų insercija
  • 62.
     Mutacijos, įvykusiosstruktūrinio geno koduojančioje srityje, gali turėti įvairias pasekmes polipeptidui  Tylinčios mutacijos yra tokios bazių pakaitos, kurios nepakeičia aminorūgščių sekos polipeptide  Tai vyksta dėl genetinio kodo išsigimimo  Misens mutacijos yra tos bazių pakaitos, kurios pakeičia aminorūgščių seką polipeptide  Pavyzdys: Siklemija  Jei pakeista aminorūgštis pasižymi panašiomis savybėmis, kaip ir ankstesnioji, tai tokia mutacija vadinama neutralia Genų mutacijos gali pakeisti koduojančias geno sekas 7-62
  • 63.
    Misens mutacija sukeliasiklemiją  Siklemiją sukelia taškinė mutacija, dėl kurios β globino polipeptide glutamo rūgštis pakeičiama valinu a) Normalūs eritrocitai b) Siklemija sergančio žmogaus eritrocitai 7-63
  • 64.
     Mutacijos, įvykusiosstruktūrinio geno koduojančioje srityje, gali turėti įvairias pasekmes polipeptidui Genų mutacijos gali pakeisti koduojančias geno sekas 7-64  Nonsens mutacijos keičia normalų kodoną į terminalinį kodoną  Rėmėlio poslinkio (frameshift) mutacijos atsiranda dėl vienos bazės ar kartotinio dviems bazių skaičiaus insercijos ar delecijos  Tai pakeičia skaitymo rėmelį taip, kad pasroviui nuo mutacijos susiformuoja visiškai skirtinga aminorūgščių seka
  • 65.
    7-65 Taškinių mutacijų, įvykusiųkoduojančiose sekose, pasekmės Mutacijos tipas Mutacija DNR Pavyzdys Nėra Tylinti Misens Nonsens Rėmelio poslinkio Nėra Bazių pakaita Bazių pakaita Bazių pakaita Insercija
  • 66.
     Gamtinėse populiacijosedažniausiai sutinkamas genotipas vadinamas laukinio tipo genotipu  Tiesioginė mutacija keičia laukinio tipo genotipą į naują  Jei mutacija naudinga, naujas genotipas gali būti išsaugotas evoliucijos  Priešingu atveju mutacija greičiausiai bus pašalinta iš populiacijos  Grįžtamoji mutacija turi priešingą poveikį  Ji taip pat vadinama reversija Genų mutacijos ir jų pasekmės genotipui ir fenotipui 7-66
  • 67.
     Mutavę individaidažnai skiriasi savo sugebėjimu išgyventi  Žalingos mutacijos sumažina išgyvenimo tikimybę  Kraštutinis atvejis yra letalios mutacijos  Naudingos mutacijos sustiprina organizmo išgyvenamumą arba jo reprodukcinę sėkmę  Kai kurios mutacijos yra vadinamos sąlyginėmis  Jos veikia fenotipą tik esant tam tikroms sąlygoms  Pavyzdžiui, temperatūrai jautrūs mutantai 7-67 Genų mutacijos ir jų pasekmės genotipui ir fenotipui
  • 68.
     Įvykusi antrojimutacija kartais turi įtakos pirmosios mutacijos fenotipinei ekspresijai  Šios mutacijos vadinamos supresinėmis mutacijomis arba tiesiog supresoriais  Supresoriai skirstomi į dvi grupes  Intrageniniai supresoriai  Antrosios mutacijos vieta yra tame pačiame gene (tačiau ne toje pačioje vietoje!), kur įvyko pirmoji mutacija  Intergeniniai supresoriai  Antrosios mutacijos vieta yra kitame gene 7-68 Genų mutacijos ir jų pasekmės genotipui ir fenotipui
  • 69.
  • 70.
     Mutacijos nekoduojančiosesekose taip pat gali paveikti genų ekspresiją  Mutacija gali pakeisti promotoriaus seką  Mutacijos “į promotorių” padaro promotorių panašesnį į konsenso seką  Tai gali sustiprinti transkripciją  Mutacijos “nuo promotoriaus” mažina promotoriaus sekos panašumą į konsenso seką  Tai gali susilpninti transkripciją  Mutacijos taip pat gali pakeisti splaisingo vietas eukariotų genuose Genų mutacijos nekoduojančiose sekose 7-70
  • 71.
     Keletas žmogausgenetinių ligų atsiranda dėl neįprasto mutacijų tipo, vadinamo trinukleotidų kartotinių sekų ekspansija (TNRE)  Dėl šio reiškinio ilgis sekų, sudarytų iš pasikartojančių 3 nukleotidų, gali keistis iš kartos į kartą  Dėl trinukleotidų ekspansijos atsiranda tokios žmogaus ligos kaip:  Hantingtono liga  Martino-Belo sindromas (lūžiosios X sindromas;FRAXA)  Miotoninė raumenų distrofija Mutacijos dėl kartotinių trinukleotidų sekų 7-71
  • 72.
     Kai kurioschromosomų sritys turi trinukleotidines sekas, išsidėsčiusias tandemiškai  Sveiki individai perduoda nepakitusio ilgio sekas savo palikuonims  Individų, sergančių trinuleotidų ekspansijos ligomis, sekų ilgis viršija tam tikrą kritinę ribą  Jos taip pat gali lengvai pailgėti dar labiau  Tipiškas pavyzdys yra trinukleotido CAG ekspansija 7-72 CAGCAGCAGCAGCAGCAGCAGCAGCAGCAGCAG CAGCAGCAGCAGCAGCAGCAGCAGCAGCAGCAGCAGCAGCAGCAGCAGCAGCAG n = 11 n = 18 Mutacijos dėl kartotinių trinukleotidų sekų
  • 73.
     Kai kadaekspansija vyksta koduojančioje geno sekoje (Hantingtono liga)  Dažniausiai tai būna trinukleotidas CAG (glutaminas)  Todėl koduojamas baltymas turi ilgas glutamino sekas  Tai priverčia baltymus agreguoti  Agregacijos laipsnis koreliuoja su ligos sunkumu  Kitais atvejais ekspansija vyksta nekoduojančiose geno srityse (Martino-Belo sindromas)  Tai sukelia DNR struktūros pokyčius  Dėl šių pokyčių atsiranda ligos simptomai 7-73 Mutacijos dėl kartotinių trinukleotidų sekų
  • 74.
     Trinukleotidų ekspansijosligos pasižymi dviem neįprastomis savybėmis  1. Šios ligos sunkumas progresuoja iš kartos į kartą  Šis reiškinys vadinamas anticipacija  2. Ligos sunkumas priklauso nuo to, kuris iš tėvų perdavė trinukleotidinių pasikartojimų seką  Hantingtono ligos tikimybė didesnė, jei ji paveldima tėvo linija  Miotoninės raumenų distrofijos tikimybė didesnė, jei paveldima motinos linija 7-74 Mutacijos dėl kartotinių trinukleotidų sekų
  • 75.
    Lūžios X chromosomosFMR1 geno transkripcija  Premutacija virsta mutacija, bręstant moteriškoms lytinėms ląstelėms. Ji pasireiškia tik premutaciją turinčių moterų sūnums  Ilgesni nei 200 CGG pasikartojimų ilgio DNR fragmentai yra metilinami. Jei organizme dėl kokių nors priežasčių yra sutrikęs metilinimas, Martino-Belo sindromas nepasireiškia  Geno FMR1 produktas baltymas FMRP nebesintetinamas  FMRP dalyvauja pernešant mRNR į poliribosomas dendrituose, todėl jo trūkumas sukelia neuronų funkcionavimo sutrikimus 7-75
  • 76.
     Oganizmų ląstelėsgali būti dviejų tipų:  Generatyvinės ląstelės  Iš jų vystosi gametos, tokios kaip kiaušialąstė ir spermatozoidai  Somatinės ląstelės  Visos likusios ląstelės  Generatyvinės mutacijos tiesiogiai įvyksta kiaušialąstėse ar spermatozoiduose arba šių lytinių ląstelių pirmtakuose  Somatinės mutacijos tiesiogiai įvyksta somatinėse ląstelėse arba jų pirmtakuose Mutacijos gali vykti lytinėse arba somatinėse ląstelėse 7-76
  • 77.
    7-77 Mutacija gali būti perduotasekančioms kartoms Dėmės dydis priklauso nuo mutacijos atsiradimo laiko Kuo anksčiau įvyko mutacija, tuo didesnė dėmė Mutacija negali būti perduota sekančioms kartoms a) Generatyvinė mutacija b) Somatinė mutacija
  • 78.
     Individai, turintysgenotipiškai skirtingas somatines sritis yra vadinami genetinėmis mozaikomis 7-78
  • 79.
     Mutacijos galiatsirasti spontaniškai arba būti indukuotos  Spontaninės mutacijos  Atsiranda dėl ląstelinių ar biologinių procesų sutrikimo  Pavyzdžiui, DNR replikacijos klaidos  Indukuotos mutacijos  Sukelia aplinkos veiksniai  Veiksniai, galintys pakeisti DNR struktūrą, yra vadinami mutagenais  Tai gali būti biologiniai, cheminiai arba fiziniai veiksniai 7.4 MUTACIJŲ ATSIRADIMAS IR PRIEŽASTYS 7-79
  • 80.
    Mutacijų priežastys 7-80 Mutacijų priežastysAprašymas Spontaninės mutacijos Nenormali rekombinacija Nenormalus krosingoveris gali sukelti delecijas, duplikacijas, translokacijas ir inversijas Nenormali segregacija Nenormali segregacija gali sukelti aneuploidiją ir poliploidiją DNR replikacijos klaidos DNR polimerazės klaidos gali sukelti taškines mutacijas Toksiški metabolizmo produktai Normalių metabolizmo procesų galutiniai arba tarpiniai produktai gali būti chemiškai aktyvūs junginiai, pažeidžiantys DNR struktūrą Transpozabilūs elementai Gali įsiterpti į geną ir sutrikdyti jo veiklą Depurininimas Retkarčiais gali nutrūkti ryšys tarp purino ir dezoksiribozės Deamininimas Citozinas ir 5-metilcitozinas gali būti deamininami ir virsti į uracilą ar timiną Tautomeriniai virsmai Spontaniniai bazių struktūros pokyčiai gali sukelti mutacijas, jei jie įvyksta prieš pat DNR replikaciją Indukuotos mutacijos Cheminiai veiksniai Cheminės medžiagos gali pakeisti DNR struktūrą Fiziniai veiksniai UV šviesa ir rentgeno spinduliai gali pažeisti DNR struktūrą
  • 81.
     Mutavimo greitisyra tikimybė, kad gene įvyks nauja mutacija  Jo dažniausia išraiška yra naujų mutacijų skaičius, įvykęs tiriamame gene per vieną generaciją  Mutavimo greičio skaitinė išraiška paprastai būna nuo 10-5 iki 10-9 per vieną generaciją  Tiriamojo geno mutavimo greitis nėra pastovus dydis  Jis gali padidėti, jei aplinkoje yra mutagenų  Skirtingų rūšių ar net skirtingų tos pačios rūšies linijų mutavimo greitis gali gana žymiai skirtis Mutavimo greitis ir mutacijų dažnis 7-81
  • 82.
     Net topaties individo skirtingų genų mutavimo greitis gali būti skirtingas  Kai kurie genai yra didesni už kitus  Tai padidina mutacijos tikimybę  Kai kurie genai yra taip išsidėstę chromosomose, kad tampa jautresni mutacijoms  Jie yra vadinami karštaisiais taškais (hot spots)  Karštieji taškai taip pat gali būti randami ir geno viduje  Gene aptinkamos tam tikros sritys, kuriose mutacijos vyksta žymiai dažniau, nei kitose srityse Mutavimo greitis ir mutacijų dažnis 7-82
  • 83.
    7-83 Daug mutacijų vyksta tiksliaitoje pačioje geno vietoje
  • 84.
     Geno mutacijųdažnis yra nustatomas mutavusių genų skaičių padalinus iš bendro genų skaičiaus populiacijoje  Jei 1 milijonas bakterijų buvo išsėta ir tarp jų nustatyta 10 mutantų, tada  mutacijų dažnis yra 1 iš 100,000 arba 10-5  Mutacijų dažnis priklauso ne tik nuo mutavimo greičio, bet ir nuo  Mutacijų pasireiškimo laiko  Tikimybės, kad mutacija bus perduota sekančioms kartoms Mutavimo greitis ir mutacijų dažnis 7-84
  • 85.
     Spontaninės mutacijosatsiranda dėl trijų tipų cheminių pokyčių  1. Depurininimo  2. Deamininimo  3. Tautomerinių virsmų Spontaninių mutacijų priežastys 7-85 Dažniausias pokytis
  • 86.
     Depurininimas yrapurinų (guanino ir adenino) pašalinimas iš DNR  Kovalentinės jungtys tarp dezoksiribozės ir purino yra kiek nestabilios  Kartais įvyksta spontaninė reakcija su vandeniu, dėl kurios bazė atkabinama nuo cukraus  Susidaro apurininis saitas (vieta)  Apurininiai saitai gali būti reparuojami  Tačiau jei reparacijos sitema nesuveikia, vykstant replikacijai gali susidaryti mutacija 7-86 Spontaninių mutacijų priežastys
  • 87.
    7-87 Spontaninis depurininimas a) Depurininimas b)Apurininio saito replikacija Depurininimas Apurininis saitas DNR replikacija X gali būti A, T, G ar C Trys iš keturių (A, T ir G) yra neteisingi nukleotidai Todėl mutacijos tikimybė yra 75%
  • 88.
     Deamininimas yraaminogrupės pašalinimas iš citozino  Kitos bazės nėra lengvai deamininamos 7-88  DNR reparacijos fermentai gali atpažinti uracilą kaip netinkamą DNR bazę ir jį pašalinti  Tačiau jei reparacijos sitema nesuveikia, po replikacijos į vyksta mutacija, kurios metu C-G virsta į A-T Citozino deamininimas
  • 89.
     Taip patgali vykti 5-metilcitozino deamininimas 7-89  Timinas yra normalus DNR komponentas  Tai sukelia problemų reparacijos fermentams  Jie negali nustatyti, kuri iš dviejų bazių, esančių dviejose DNR grandinėse, yra klaidinga  Todėl metilintas citozinas yra mutacijų atsiradimo karštasis taškas 5-metilcitozino deamininimas
  • 90.
     Tautomeriniai virsmaiyra laikinas bazių struktūros pokytis  Įprastinė, stabili timino ir guanino yra ketoninė forma  Nedidelis T ir G bazių kiekis gali virsti enoline forma  Įprastinė, stabili adenino ir citozino yra amino forma  Nedidelis A ir C bazių kiekis gali virsti imino forma  Šios retos formos skatina AC ir GT bazių porų susidarymą  Tautomeriniai virsmai sukelia mutacijas tada, kai įvyksta prieš pat DNR replikaciją 7-90
  • 91.
  • 92.
    7-92 Klaidingas bazių poravimasisdėl tautomerinių virsmų
  • 93.
    7-93 Laikinas tautomerinis virsmas Grįžęs atgal į normaliąformą Tautomeriniai virsmai ir replikacija sukelia mutacijas Iki replikacijos vyksta adenino tautomerinis virsmas Poravimosi klaida Vyksta antroji DNR replikacija DNR molekulės, randamos 4 dukterinėse ląstelėse Mutacija
  • 94.
     Daugelis veiksniųgali veikti kaip mutagenai, negrįžtamai pakeičiantys DNR struktūrą  Mutagenai kelia problemų dėl dviejų pagrindinių priežasčių:  1. Mutagenai dažnai dalyvauja išsivystant žmogaus onkologinėms ligoms  2. Mutagenai gali sukelti genų mutacijas, kurios gali būti žalingos sekančioms organizmų kartoms  Mutageniški veiksniai dažnai klasifikuojami kaip cheminiai arba fiziniai mutagenai  Kai kurie biologiniai veiksniai taip pat gali sukelti mutacijas 7-94 Mutagenų tipai
  • 95.
    Mutagenų pavyzdžiai 7-95 Mutagenai PoveikisDNR struktūrai Cheminiai mutagenai Nitritinė rūgštis Deaminina bazes Hidroksilaminas Hidroksilina citoziną Azoto ipritas Alkilina bazes Etilmetansulfonatas Alkilina bazes Proflavinas Įsiterpia (interkaliuoja) į DNR grandinę 5-bromuracilas Bazės analogas (įsijungia į DNR vietoje timino) 2-aminopurinas Bazės analogas (įsijungia į DNR vietoje purino) Fiziniai mutagenai UV šviesa Skatina timino dimerų susiformavimą Rentgeno spinduliai Sukelia bazių iškritas, DNR grandinių trūkius, sąsiuvas ir chromosomų trūkius
  • 96.
     Cheminiai mutagenaiskirstomi į tris pagrindines grupes  1. Bazių modifikatoriai  2. Bazių analogai  3. Interkaliuojantys junginiai 7-96 Mutagenai pažeidžia DNR struktūrą skirtingais būdais
  • 97.
     Bazių modifikatoriaikovalentiškai modifikuoja nukleotido struktūrą  Pavyzdžiui, nitritinė rūgštis pakeičia amino grupes keto grupėmis (–NH2 į =O)  Tai gali paversti citoziną į uracilą, o adeniną į hipoksantiną  Tokios modifikuotos bazės poruojasi su kitokiais nukleotidais, nei nemodifikuotos  Kai kurie cheminiai mutagenai suardo taisyklingas poras alkilindami bazes, esančias DNR struktūroje  Pavyzdžiai: Azoto ipritas ir etilmetansulfonatas (EMS) 7-97
  • 98.
    7-98 Šis klaidingas poravimasis galisukelti mutacijas naujose grandinėse po replikacijos Modifikuotų bazių netaisyklingas poravimasis Matricinė grandinė Po replikacijos
  • 99.
     Interkaliuojantys junginiaituri plokščias planarines struktūras, kurios geba įsiterpti į dvigubą DNR spiralę  Tai pažeidžia spiralės struktūrą  Kai DNR, turinti šiuos įsiterpusius mutagenus, replikuojasi, dukterinėje grandinėje gali susidaryti vieno nukleotido intarpai arba iškritos  Pavyzdžiai:  Akridino dažai  Proflavinas 7-99
  • 100.
     Bazių analogaiįsijungia į dukterinę DNR grandinę replikacijos metu  Pavyzdžiui, 5-bromuracilas yra timino analogas  Jis gali būti įjungtas į DNR vietoje timino 7-100 Normali pora Šis tautomerinis virsmas vyksta gana dažnai Klaidingas poravimasis 5-BU poravimasis su adeninu arba guaninu
  • 101.
    7-101 5-bromuracilas gali paskatintiAT bazių porą virsti GC bazių pora Mutacijų susidarymas replikacijos metu dėl įjungiamo 5-bromuracilo
  • 102.
     Fiziniai mutagenaibūna dviejų pagrindinių tipų  1. Jonizuojanti radiacija  2. Nejonizuojanti radiacija  Jonizuojanti radiacija  Rentgeno ir gama spinduliai  Pasižymi trumpu bangos ilgiu ir didele energija  Gali gilia įsiskverbti į biologines molekules  Sukuria chemiškai aktyvias molekules, vadinamas laisvaisiais radikalais  Gali sukelti  Bazių delecijas  DNR grandinių trūkius  Sąsiuvas  Chromosomų trūkius 7-102
  • 103.
    7-103  Nejonizuojanti radiacija UV šviesa  Turi mažiau energijos  Negali giliai prasiskverbti į biologines molekules  Formuoja susiūtus timino dimerus  Timino dimerai gali sukelti mutacijas kai vyksta DNR replikacija
  • 104.
     Mutageniškumui įvertintiyra naudojama daug įvairių testų  Vienas dažniausiai naudojamų yra Eimso testas  Metodą sukūrė Briusas Eimsas (Bruce Ames)  Naudojamas Salmonella typhimurium kamienas, nesugebantis sintetinti histidino  Šios bakterijos turi mutaciją gene, dalyvaujančiame histidino biosintezėje. Todėl jos negali augti mitybinėje terpėje, kurioje nėra histidino  Įvykusi kita mutacija (t.y. reversija) atstato gebėjimą sintetinti histidiną. Tokios bakterijos sugeba augti terpėje be histidino  Eimso testu nustatomas mutantų kiekis, susiformavęs Petri lėkštelėje, kurioje auga paveiktos tiriamąja medžiaga bakterijos 7-104 Tyrimai gali nustatyti, ar medžiaga yra mutagenas
  • 105.
    7-105 Eimso mutageniškumo tyrimotestas Fermentų, galinčių metabolizuoti mutageną, šaltinis Kontrolinė lėkštelė rodo, kad spontaninių mutacijų dažnis yra žemasDidelis kolonijų kiekis rodo, kad tiriama medžiaga gali būti mutagenas
  • 106.