From 373:383
Case scenario
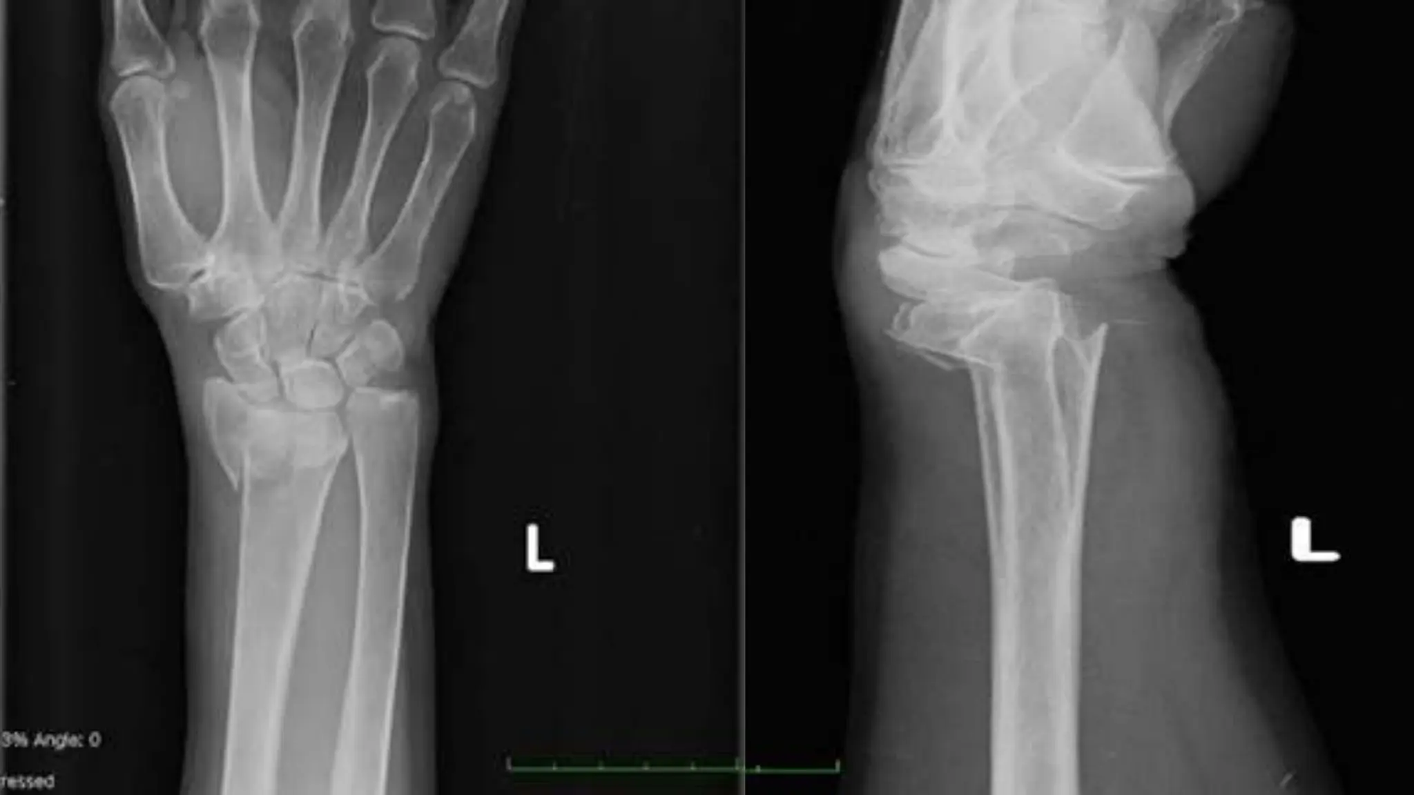
58 years old white woman presents to accident and emergency
department with left wrist pain, swelling, and displacement following a
fall onto outstretched hand at home.
Menstrual history: menopause 50 years’ old
Past history: asthma since childhood (treated with corticosteroids),
gastric ulcer aged 45, right wrist fracture aged 57.
Family history: stroke in sister aged 65, hip fracture in mother aged 78.
Social history: lives alone, 2 children, retired, smokes 5 cigarettes
per day, occasional alcohol, takes no exercise, fully mobile and
able to complete all ADLs (activities of daily living).
On examination: wrist displaced, swollen, no open wound No loss
of sensation or vascular compromise.
X-ray: Colles’ fracture of distal radius present. Colles’ fracture
treated conservatively with cast and analgesia
OBJECTIVES
1
 Differential diagnosis for this case? How to differentiate?
 What underlying condition contributed to this fracture? Key point
from history and examination?
 Age and Sex related differences in bone mass?
 What is bone strength?
 What is RANK, RANKL and OPG pathway?
 Mention pathogenesis of this disease? risk factors?
 What sites of fracture are most common in this condition?
 Further Investigation to support your diagnosis?
 What is the differences between T-score and Z-score?
 Management Plan?
Pathologic fractures :(minor trauma ) occur through
areas of weakened bone due to primary malignant
lesions, benign lesions, metastasis, or underlying
metabolic abnormalities as fragility fracture which
result from a minor trauma, most commonly occur at
the hip, spine, or wrist, and indicate that osteoporosis.
Traumatic fracture : (major trauma) occurs when
significant or extreme force is applied to a bone.
caused by a fall or car accident as stress fractures
which are tiny cracks in a bone ,commonly, in the
weight-bearing bones of the lower leg and foot.
 Differential diagnosis for this case? How to differentiate?
 What underlying condition contributed to this fracture? Key
point from history and examination?
 Age and Sex related differences in bone mass?
 What is bone strength?
 What is RANK, RANKL and OPG pathway?
 Mention pathogenesis of this disease? risk factors?
 What sites of fracture are most common in this condition?
 Further Investigation to support your diagnosis?
 What is the differences between T-score and Z-score?
 Management Plan?
Key points from history and examination?
o 58 years old woman (advanced age >50 years)
o Post menopausal state
o White ethnicity
o Full onto outstretched hand
o Treated with corticosteroids
o History of gastric ulcer ( may be treated with PPI)
o History of fractures
o Smoking 5 cigarettes per day
o Occasionally alcohol
o No exercise inspite of fully mobile and able to complete ADLs
o Wrist displaced
o No loss of sensation o vascular
compromise
o Colles fracture of distal radius
o Family history of fracture
 Differential diagnosis for this case? How to differentiate?
 What underlying condition contributed to this fracture? Key point
from history and examination?
 Age and Sex related differences in bone mass?
 What is bone strength?
 What is RANK, RANKL and OPG pathway?
 Mention pathogenesis of this disease? risk factors?
 What sites of fracture are most common in this condition?
 Further Investigation to support your diagnosis?
 What is the differences between T-score and Z-score?
 Management Plan?
In young: the body makes new bone faster than it breaks down
old bones, and the bone mass increases.
In mid 30s: reaches the beak bone mass.
After 40: bone remolding continues, but loses slightly more
than gain.
At menopause: when estrogen levels drops, bone loss
increases.
The role of sex hormones: Low estrogen or testosterone as in
late menarche, premature menopause, menopausal state,
testosterone deficiency in males decreases the bone mass.
Bone mass decreases in female more than male
 Differential diagnosis for this case? How to differentiate?
 What underlying condition contributed to this fracture? Key point
from history and examination?
 Age and Sex related differences in bone mass?
 What is bone strength?
 What is RANK, RANKL and OPG pathway?
 Mention pathogenesis of this disease? risk factors?
 What sites of fracture are most common in this condition?
 Further Investigation to support your diagnosis?
 What is the differences between T-score and Z-score?
 Management Plan?
Bone strength ( density and quality of
bone):
It is determined by bone geometry (size
,shape), cortical thickness, porosity and
trabecular bone morphology.
Bone strength is indirectly estimated by
bone mineral density using Dual energy
X-Ray absorptiometry (DXA).
 Differential diagnosis for this case? How to differentiate?
 What underlying condition contributed to this fracture? Key point
from history and examination?
 Age and Sex related differences in bone mass?
 What is bone strength?
 What is RANK, RANKL and OPG pathway?
 Mention pathogenesis of this disease? risk factors?
 What sites of fracture are most common in this condition?
 Further Investigation to support your diagnosis?
 What is the differences between T-score and Z-score?
 Management Plan?
RANK ligand:
o It is a protein on the surface of
osteoblast.
o when RANK ligand is attached with
RANK on osteoclast precursor, this
activate osteoclast which actives bone
resorption OPG (osteoprotegenin )
osteoclastgenesis inhibiting factor
 Differential diagnosis for this case? How to differentiate?
 What underlying condition contributed to this fracture? Key point
from history and examination?
 Age and Sex related differences in bone mass?
 What is bone strength?
 What is RANK, RANKL and OPG pathway?
 Mention pathogenesis of this disease? risk factors?
 What sites of fracture are most common in this condition?
 Further Investigation to support your diagnosis?
 What is the differences between T-score and Z-score?
 Management Plan?
Pathogenesis
Bone mass peaks around the third decade of life and slowly
decrease afterward. Therefore nutrition and physical activity
are important during growth and development .
Physiologically bone remodeling has 4 sequential phases :
Activation :
conversion of bone surface
from quiscence to Active form
Reversal :
octeoclast complete the
resorption. produce signals that
initiate bone formation
Resorption :
differentiation of osteoclast
into maturity
Formation:
Mesenchyme cells differentiate
into functional osteoblasts to
make the bone matrix
01
03
02
04
Bone Remodeling :4 phase
 Under physiologic conditions bone formation and resorption are in fair balance
a change in this balance may lead to osteoporosis.
Risk factors of osteoporosis:
 Differential diagnosis for this case? How to differentiate?
 What underlying condition contributed to this fracture? Key point
from history and examination?
 Age and Sex related differences in bone mass?
 What is bone strength?
 What is RANK, RANKL and OPG pathway?
 Mention pathogenesis of this disease? risk factors?
 What sites of fracture are most common in this condition?
 Further Investigation to support your diagnosis?
 What is the differences between T-score and Z-score?
 Management Plan?
Fractures caused by osteoporosis
most often occur in the spine.
Spinal fractures — called vertebral
compression fractures and also
affect ribs ,hip and wrist.
 Differential diagnosis for this case? How to differentiate?
 What underlying condition contributed to this fracture? Key point
from history and examination?
 Age and Sex related differences in bone mass?
 What is bone strength?
 What is RANK, RANKL and OPG pathway?
 Mention pathogenesis of this disease? risk factors?
 What sites of fracture are most common in this condition?
 Further Investigation to support your diagnosis?
 What is the differences between T-score and Z-score?
 Management Plan?
o Laboratory markers: to exclude secondary cause
of osteoporosis .
o Plain radiography: indicated if fracture is
already suspected or if patient have lost more
than 1.5 inch.
o Dual energy x ray( DXA) : Gold standard used
to calculate BMD.
o Quantitative computed tomography (QCT).
o Magnetic resonance imaging (MRI).
 Differential diagnosis for this case? How to differentiate?
 What underlying condition contributed to this fracture? Key point
from history and examination?
 Age and Sex related differences in bone mass?
 What is bone strength?
 What is RANK, RANKL and OPG pathway?
 Mention pathogenesis of this disease? risk factors?
 What sites of fracture are most common in this condition?
 Further Investigation to support your diagnosis?
 What is the differences between T-score and Z-score?
 Management Plan?
The T-score is a comparison of a person’s bone density with
that of a healthy 30-year-old of the same sex.
The Z-score is a comparison of a person’s bone density with
that of an average person of the same age and sex.
Lower scores (more negative) mean lower bone density:
A T-score of -2.5 or lower qualifies as osteoporosis.
A T-score of -1.0 to -2.5 signifies osteopenia, meaning
below-normal bone density without full .
Z-scores are not used to formally diagnose osteoporosis. Low
Z-scores can sometimes be a clue to look for a cause of
osteoporosis.
 Differential diagnosis for this case? How to differentiate?
 What underlying condition contributed to this fracture? Key point
from history and examination?
 Age and Sex related differences in bone mass?
 What is bone strength?
 What is RANK, RANKL and OPG pathway?
 Mention pathogenesis of this disease? risk factors?
 What sites of fracture are most common in this condition?
 Further Investigation to support your diagnosis?
 What is the differences between T-score and Z-score?
 Management Plan?
o Bisphosphonates (antiresorptive drugs) slow bone loss.
o Parathyroid hormone analogue ( Teriparatide )
o Calcitonin: helps prevent spine fraction - nasal spray or injection
under skin
o Selective estrogen receptor modulators SERMS , mimic
estrogen's good effects on bones without some of the serious side
effects such as breast cancer
o Densomab: is monoclonal antibody against the receptor activator
of legend ( RANKL )
o Parathyroid hormone analogue ( Teriparatide )helps stimulate
bone formation
Prevention :
o Vitamin D intake : 1000 IU daily .
o Exercise , awareness of falls and fall prevention .
o Smoking cessation and avoid alcohol use .
o Calcium intake :1200 mg / day from all sources
Team Members:
o Dina Hazem
o Dina Khalid
o Dina Salah
o Dina Ezzat
o Dina Mohamed Elshal
o Dina Mohamed Ashosh
o Roaa Ibrahim
o Ranya Sherif
o Rabab Yahia
o Rehab Mamdouh
THANKS!

Case senario presentation...............

  • 1.
  • 3.
    58 years oldwhite woman presents to accident and emergency department with left wrist pain, swelling, and displacement following a fall onto outstretched hand at home. Menstrual history: menopause 50 years’ old Past history: asthma since childhood (treated with corticosteroids), gastric ulcer aged 45, right wrist fracture aged 57. Family history: stroke in sister aged 65, hip fracture in mother aged 78.
  • 4.
    Social history: livesalone, 2 children, retired, smokes 5 cigarettes per day, occasional alcohol, takes no exercise, fully mobile and able to complete all ADLs (activities of daily living). On examination: wrist displaced, swollen, no open wound No loss of sensation or vascular compromise. X-ray: Colles’ fracture of distal radius present. Colles’ fracture treated conservatively with cast and analgesia
  • 6.
  • 7.
     Differential diagnosisfor this case? How to differentiate?  What underlying condition contributed to this fracture? Key point from history and examination?  Age and Sex related differences in bone mass?  What is bone strength?  What is RANK, RANKL and OPG pathway?  Mention pathogenesis of this disease? risk factors?  What sites of fracture are most common in this condition?  Further Investigation to support your diagnosis?  What is the differences between T-score and Z-score?  Management Plan?
  • 8.
    Pathologic fractures :(minortrauma ) occur through areas of weakened bone due to primary malignant lesions, benign lesions, metastasis, or underlying metabolic abnormalities as fragility fracture which result from a minor trauma, most commonly occur at the hip, spine, or wrist, and indicate that osteoporosis. Traumatic fracture : (major trauma) occurs when significant or extreme force is applied to a bone. caused by a fall or car accident as stress fractures which are tiny cracks in a bone ,commonly, in the weight-bearing bones of the lower leg and foot.
  • 9.
     Differential diagnosisfor this case? How to differentiate?  What underlying condition contributed to this fracture? Key point from history and examination?  Age and Sex related differences in bone mass?  What is bone strength?  What is RANK, RANKL and OPG pathway?  Mention pathogenesis of this disease? risk factors?  What sites of fracture are most common in this condition?  Further Investigation to support your diagnosis?  What is the differences between T-score and Z-score?  Management Plan?
  • 10.
    Key points fromhistory and examination? o 58 years old woman (advanced age >50 years) o Post menopausal state o White ethnicity o Full onto outstretched hand o Treated with corticosteroids o History of gastric ulcer ( may be treated with PPI) o History of fractures o Smoking 5 cigarettes per day o Occasionally alcohol o No exercise inspite of fully mobile and able to complete ADLs o Wrist displaced o No loss of sensation o vascular compromise o Colles fracture of distal radius o Family history of fracture
  • 11.
     Differential diagnosisfor this case? How to differentiate?  What underlying condition contributed to this fracture? Key point from history and examination?  Age and Sex related differences in bone mass?  What is bone strength?  What is RANK, RANKL and OPG pathway?  Mention pathogenesis of this disease? risk factors?  What sites of fracture are most common in this condition?  Further Investigation to support your diagnosis?  What is the differences between T-score and Z-score?  Management Plan?
  • 12.
    In young: thebody makes new bone faster than it breaks down old bones, and the bone mass increases. In mid 30s: reaches the beak bone mass. After 40: bone remolding continues, but loses slightly more than gain. At menopause: when estrogen levels drops, bone loss increases. The role of sex hormones: Low estrogen or testosterone as in late menarche, premature menopause, menopausal state, testosterone deficiency in males decreases the bone mass. Bone mass decreases in female more than male
  • 13.
     Differential diagnosisfor this case? How to differentiate?  What underlying condition contributed to this fracture? Key point from history and examination?  Age and Sex related differences in bone mass?  What is bone strength?  What is RANK, RANKL and OPG pathway?  Mention pathogenesis of this disease? risk factors?  What sites of fracture are most common in this condition?  Further Investigation to support your diagnosis?  What is the differences between T-score and Z-score?  Management Plan?
  • 14.
    Bone strength (density and quality of bone): It is determined by bone geometry (size ,shape), cortical thickness, porosity and trabecular bone morphology. Bone strength is indirectly estimated by bone mineral density using Dual energy X-Ray absorptiometry (DXA).
  • 15.
     Differential diagnosisfor this case? How to differentiate?  What underlying condition contributed to this fracture? Key point from history and examination?  Age and Sex related differences in bone mass?  What is bone strength?  What is RANK, RANKL and OPG pathway?  Mention pathogenesis of this disease? risk factors?  What sites of fracture are most common in this condition?  Further Investigation to support your diagnosis?  What is the differences between T-score and Z-score?  Management Plan?
  • 16.
    RANK ligand: o Itis a protein on the surface of osteoblast. o when RANK ligand is attached with RANK on osteoclast precursor, this activate osteoclast which actives bone resorption OPG (osteoprotegenin ) osteoclastgenesis inhibiting factor
  • 17.
     Differential diagnosisfor this case? How to differentiate?  What underlying condition contributed to this fracture? Key point from history and examination?  Age and Sex related differences in bone mass?  What is bone strength?  What is RANK, RANKL and OPG pathway?  Mention pathogenesis of this disease? risk factors?  What sites of fracture are most common in this condition?  Further Investigation to support your diagnosis?  What is the differences between T-score and Z-score?  Management Plan?
  • 18.
    Pathogenesis Bone mass peaksaround the third decade of life and slowly decrease afterward. Therefore nutrition and physical activity are important during growth and development . Physiologically bone remodeling has 4 sequential phases :
  • 19.
    Activation : conversion ofbone surface from quiscence to Active form Reversal : octeoclast complete the resorption. produce signals that initiate bone formation Resorption : differentiation of osteoclast into maturity Formation: Mesenchyme cells differentiate into functional osteoblasts to make the bone matrix 01 03 02 04 Bone Remodeling :4 phase
  • 20.
     Under physiologicconditions bone formation and resorption are in fair balance a change in this balance may lead to osteoporosis.
  • 21.
    Risk factors ofosteoporosis:
  • 23.
     Differential diagnosisfor this case? How to differentiate?  What underlying condition contributed to this fracture? Key point from history and examination?  Age and Sex related differences in bone mass?  What is bone strength?  What is RANK, RANKL and OPG pathway?  Mention pathogenesis of this disease? risk factors?  What sites of fracture are most common in this condition?  Further Investigation to support your diagnosis?  What is the differences between T-score and Z-score?  Management Plan?
  • 24.
    Fractures caused byosteoporosis most often occur in the spine. Spinal fractures — called vertebral compression fractures and also affect ribs ,hip and wrist.
  • 26.
     Differential diagnosisfor this case? How to differentiate?  What underlying condition contributed to this fracture? Key point from history and examination?  Age and Sex related differences in bone mass?  What is bone strength?  What is RANK, RANKL and OPG pathway?  Mention pathogenesis of this disease? risk factors?  What sites of fracture are most common in this condition?  Further Investigation to support your diagnosis?  What is the differences between T-score and Z-score?  Management Plan?
  • 27.
    o Laboratory markers:to exclude secondary cause of osteoporosis . o Plain radiography: indicated if fracture is already suspected or if patient have lost more than 1.5 inch. o Dual energy x ray( DXA) : Gold standard used to calculate BMD. o Quantitative computed tomography (QCT). o Magnetic resonance imaging (MRI).
  • 29.
     Differential diagnosisfor this case? How to differentiate?  What underlying condition contributed to this fracture? Key point from history and examination?  Age and Sex related differences in bone mass?  What is bone strength?  What is RANK, RANKL and OPG pathway?  Mention pathogenesis of this disease? risk factors?  What sites of fracture are most common in this condition?  Further Investigation to support your diagnosis?  What is the differences between T-score and Z-score?  Management Plan?
  • 30.
    The T-score isa comparison of a person’s bone density with that of a healthy 30-year-old of the same sex. The Z-score is a comparison of a person’s bone density with that of an average person of the same age and sex. Lower scores (more negative) mean lower bone density: A T-score of -2.5 or lower qualifies as osteoporosis. A T-score of -1.0 to -2.5 signifies osteopenia, meaning below-normal bone density without full . Z-scores are not used to formally diagnose osteoporosis. Low Z-scores can sometimes be a clue to look for a cause of osteoporosis.
  • 32.
     Differential diagnosisfor this case? How to differentiate?  What underlying condition contributed to this fracture? Key point from history and examination?  Age and Sex related differences in bone mass?  What is bone strength?  What is RANK, RANKL and OPG pathway?  Mention pathogenesis of this disease? risk factors?  What sites of fracture are most common in this condition?  Further Investigation to support your diagnosis?  What is the differences between T-score and Z-score?  Management Plan?
  • 33.
    o Bisphosphonates (antiresorptivedrugs) slow bone loss. o Parathyroid hormone analogue ( Teriparatide ) o Calcitonin: helps prevent spine fraction - nasal spray or injection under skin o Selective estrogen receptor modulators SERMS , mimic estrogen's good effects on bones without some of the serious side effects such as breast cancer o Densomab: is monoclonal antibody against the receptor activator of legend ( RANKL ) o Parathyroid hormone analogue ( Teriparatide )helps stimulate bone formation
  • 34.
    Prevention : o VitaminD intake : 1000 IU daily . o Exercise , awareness of falls and fall prevention . o Smoking cessation and avoid alcohol use . o Calcium intake :1200 mg / day from all sources
  • 36.
    Team Members: o DinaHazem o Dina Khalid o Dina Salah o Dina Ezzat o Dina Mohamed Elshal o Dina Mohamed Ashosh o Roaa Ibrahim o Ranya Sherif o Rabab Yahia o Rehab Mamdouh
  • 37.