RADIOLOGY CASE
CONFERENCE
SEPTEMBER 6, 2017.
DR. JAYANTH H. KESHAVAMURTHY. M.D.
THEME : ABDOMINAL CALCIFICATIONS
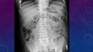
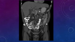
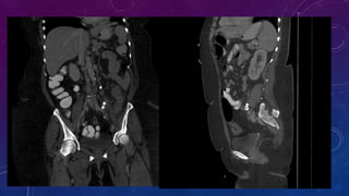
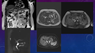
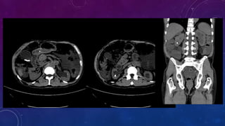
MULTIPLE GALL STONES
GB AND RIGHT RENAL CALCULI.
DIAGNOSIS
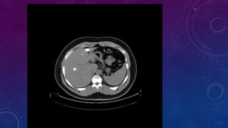
CHRONIC CALCIFIC PANCREATITIS
HTTPS://RADIOPAEDIA.ORG/CASES/GALLBLADDER-
MILK-OF-CALCIUM
GALL BLADDER WALL CALCIFICATION AND
CHOLANGIOCARCINOMA
WHAT DISEASE? WHICH IS ABNORMAL ORGAN?
SICKLE CELL DISEASE AND SPLEEN CALCIFIED
FROM AUTO SPLENECTOMY
HYPERDENSE SPLEEN- THOROTRAST?
Thorotrast is a radioactive radiographic contrast
agent containing thorium dioxide first produced in
Germany in 1928 and was in use until the 1950s. It
was used primarily for cerebral angiography, and 90%
of the estimated 50,000-100,000 patients who
received it were studied for this purpose.
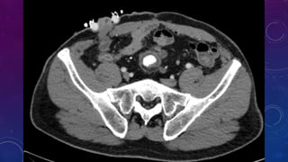
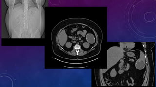
• Large rim calcified cyst in the spleen, likely
benign. This could be secondary to previous
trauma.
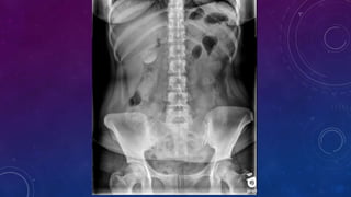
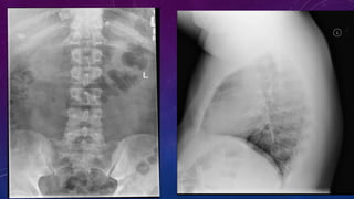
CT SCOUT RADIOGRAPHS
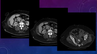
CYSTIC RENAL DISEASE
LUPUS
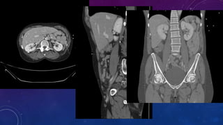
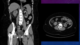
CALCIFIED SPLENIC GRANULOMAS
• Other than granuloma think of other causes for
liver and spleen calcifications.
• Evaluate chart for any treated lymphoma as in this
case here.
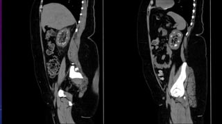
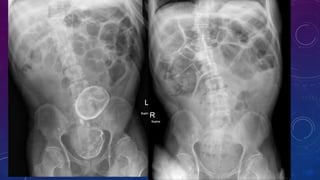
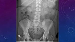
• Multiple pelvic phleboliths.
• Small well-defined round osseous lesions in the left
side of the abdomen, adjacent to midline represent
calcified lymph node in the para-aortic and left
common iliac groups, also visualized on the
corresponding CT.
HTTPS://3S.ACR.ORG/CIP/PAGES/CASEVIEW?CASEID=
7UNM+HKBKSA%3D&PREVIEW=TRUE
PRE TRANSPLANT
EVALUATION
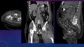
VAS DEFERENS CALCIFICATION
CASE 2
• Failed kidney transplant
• Seminal vesicle / vas deferens calcification
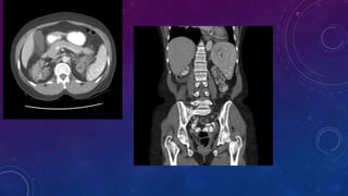
PRE TRANSPLANT
EVALUATION
FAILED BILATERAL RENAL TRANSPLANTS
CALCIFICATION
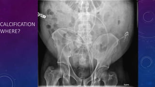
WHERE?
PROSTATIC CALCIFICATION
SPOT 3 ORGANS
WITH
CALCIFICATIONS
Gall stone
Calcific pancreatiits
Penile calcification
?
LEFT ADRENAL CALCIFICATION LIKELY FROM OLD TRAUMA
FECOLITH BEFORE AND AFTER TREATMENT
PRE RENAL TRANSPLANT EVALUATION.
WHAT ARE THE
Active extravasation from the
left gastric artery which was
successfully treated with coil
embolization.
RIGHT RENAL ARTERY ANEURYSM
RUPTURED MYCOTIC ANEURYSM FROM BRUCELLOSIS
Bladder exstrophy or ectopia vesicae is characterized by deficient lower anterior abdominal wall
along with anterior walls of urinary bladder. The severity of these defects is widely variable. There
may be rudimentary posterior wall of urinary bladder.
The estimated incidence of bladder exstrophy is 1:10,000-50,000 live births. There is a recognized
male predilection with a male to female ratio of 3:1 . Most cases are sporadic.
Associated bony findings include widely separated pubic bones with absent symphysis pubis
leading to characteristic " waddling gait". This appearance on AP plain radiograph of the pelvis has
been likened to a manta ray swimming towards you (manta ray sign).
Bladder exstrophy is caused by a developmental defect of the cloacal membrane.
Associated defects in males include cryptorchidism, inguinal hernia and epispadia.
Associated defects in females include vaginal duplication and clitoral cleft. This is associated
prenatally with elevated maternal alpha feto protein levels.
Common complications include urinary incontinence, infertility, urinary infections and
increased risk of bladder malignancy in the extruded bladder. Treatment is with surgical
intervention (primary closure/excision with urinary diversion) and prognosis is generally
good.
SEVERELY DILATED URINARY BLADDER WITH
DIVERTICULAE AND CALCULI

Abdominal Radiology -Case conference September 6, 2017

Editor's Notes

  • #13 Chronic calcific pancreatitis
  • #16 Milk of calcium
  • #24 Spleen from SCD
  • #32 spleen
  • #35 Splenic granulomas
  • #39 Treated lymphoma
  • #55 Renal and fibroid
  • #62 Failed kidney transplant Seminal vesicle / vas deferens calcification
  • #69 Prostatic calcification
  • #73 Gall stone Calcific pancreatiits Penile calcification