CARDIOGENIC SHOCK
DR.MAHI
18/01/2019
Definition:-
Shock may be defined as complex
acute systemic circulatory failure
associated with hypo perfusion of
tissues, which is incompatible with life
if untreated and persisting for more
than a short time.
CLASSIFICATION
 HYPOVOLAEMIC
 CARDIOGENIC
 SEPTIC
 ANAPHYLACTIC
 NEUROGENIC
CARDIOGENIC SHOCK —
BACKGROUND
CARDIOGENIC SHOCK — BACKGROUND
Definition of Cardiogenic Shock
 State of inadequate tissue perfusion due to cardiac
dysfunction or a state of end-organ hypo-perfusion
due to cardiac failure
Mortality rate for Cardiogenic Shock
 50% - 80%
Incidence of Cardiogenic Shock
 5% - 8%
Cardiogenic shock is the leading cause of
death
for patients hospitalized with acute MI
CARDIOGENIC
SHOCK
 Persistent (>30 minutes) hypotension with
systolic arterial pressure <90mm Hg
 Reduction in cardiac index <2.2 litres/min/m2
 Presence of elevated left ventricle filling
pressure(PCWP>18 mm Hg)
 Signs and symptoms of end organ
hypoperfusion (restlessness,confusion,cold
cyanotic extremeties,oliguria<30ml/hr)
CARDIOGENIC SHOCK — BACKGROUNDACUTE MYOCARDIAL INFARCTION AND
CARDIOGENIC SHOCK
 The most common cause of
cardiogenic shock is extensive acute
myocardial infarction
 Patients with previous impairment of
ventricular function may also
experience shock with the occurrence
of a small infarction
 The cardiovascular system fails to
maintain sufficient perfusion resulting
in inadequate cellular metabolism and
eventually cell death
 The consequence is irreversible cell
damage
CARDIOGENIC SHOCK — BACKGROUND
TIMEFRAME FOR DEVELOPMENT OF CARDIOGENIC
SHOCK
 Median time frame for
development of cardiogenic
shock is 12 hours into AMI
 39.6% develop cardiogenic
shock within 6 hours
 63.2% develop cardiogenic
shock within 24 hours
 The majority of patients
develop shock after arrival to
the hospital
CARDIOGENIC SHOCK — BACKGROUND
THE PATHOPHYSIOLOGY OF CARDIOGENIC
SHOCK
 Myocardial injury causes
systolic and diastolic
dysfunction
 A decrease in cardiac output
leads to a decrease in
systemic and coronary
perfusion
 This reduction in systemic and
coronary perfusion worsens
ischemia and causes cell death
in the infarct border zone and
the remote zone of
myocardium
Pathophysiology of CS
 Acute MI
 LV Systolic failure
 RV infraction
 Papillary muscle rupture(1%)
 Acute VSD(1-3%)
 Free wall rapture(1-6%)
Causes of Cardiogenic Shock
Predominant LV Failure
74.5%
Acute Severe MR
8.3%
VSD
4.6%
RV Shock
3.4%
Tamponade/rupture
1.7%
Other
7.5%
Predisposing Factors for Cardiogenic
Shock
 Age
 Sysolic blood pressure
 Heart rate
 Killip class
 Diabetes
 Anterior infarction
 Previous infarction
 Peripheral vascular disease
 Reduced ejection fraction
 Large infarctions
 Cardiac power
SIGNS AND SYMPTOMS
Increased respiratory rate
Decrease heart rate
Decrease urine output
decreased level of consciousness
That because we have decrease
in the pressure that cause
decrease oxygenation that
means our brain non getting O2
so your brain will breaks down
Decrease pressure Decrease perfusion or O2
What about our brain ?
How to identify Cardiogenic
Shock
 History
 Physical Exam
 EKG
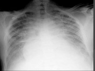
 Chest xray
 Echocardiogram
 Swan-Ganz Catheter
Diagnosis
 G/E-decreased conscious
level,confusion,cyanosis,diaphoresis,
pale,cool pheripheries
 Tachycardia or bradycardia
 Tachypnoea
 Systolic BP<90mm Hg with narrow pulse
pressure
 Elevated JVP
CARDIOGENIC SHOCK — BACKGROUNDPATIENT
PRESENTATION
 cyanotic and have cool skin
and mottled extremities
 Peripheral pulses are rapid and
faint and may be irregular if
arrhythmias are present
 Jugular venous distention and
crackles in the lungs are
usually (but not always) present
 Patients show signs of
hypoperfusion, such as altered
mental status and decreased
urine output
 AUSCULTATION-
Precordium :
Apex -dyskinetic in anterior MI /LV aneurysm
-hyperdynamic in VSR and MR
-absent in tamponade
Thrill / murmur : ventricular septal rupture/MR S3 gallop
when LA pressure is high
Systolic murmur- louder upon valsalva and prompt
standing (HOCM)
Chest : Bilateral crackles
EKG
 If STEMI, degree and severity of EKG should agree with
severity of clinical condition
 If ST elevations in precordial leads -> likely anterior MI ->
LV pump failure is likely cause
 If inferior STEMI -> need marked ST elevations with
reciprocal ST depressions on EKG. Check RV leads. If
no reciprocal changes or RV infarct, think mechanical
problems such as papillary muscle rupture
 Normal EKG (especially with arrhythmias): think
myocarditis
ECHOCARDIOGRAM
• Overall and regional systolic
function
• Mechanical causes of shock
• Papillary muscle rupture
• Acute VSD
• Free wall rupture
• Degree of mitral regurgitation
• Right ventricular infarction
• Other causes of shock
(tamponade, PE, valvular
stenosis)
SWAN GANZ CATHETER
Therapy/Treatment
 ACC Guidelines
 Vasopressors and Inotropes
 Diuretics
 Cardiac Catheterization
 Intra-aortic balloon pumps (IABPs)
 Left Ventricular Assist Devices (LVADs)
VASOPRESSORS AND
INOTROPES
 Goal: optimize perfusion while minimizing toxicity
 Low output syndrome without shock: start with an inotrope
such as dobutamine
 Low output syndrome with shock: start with dopamine or
norepinephrine
 VASOPRESSORS:- INCREASE SVR
 INOTROPES:- INCREASE CO
Vasopressors and Inotropes
VASOPRESSORS AND
INOTROPES
 Dobutamine: B1 and B2, inotropic but also
causes peripheral vasodilation
 Good for non-hypotensive cardiogenic shock
 INC CO & MYOCARDIAL CONTRACTILITY
 DOC FOR CHF WITH CAD
 Start with 5 ug/kg/min, don’t go higher than 20
ug/kg/min
DRUGS
 Dopamine: inotrope and vasopressor in
hypotensive cardiogenic shock
 Up to 3 ug/kg/min – vasodilation and increase
blood flow to tissue beds, but no good evidence for
“renal-dose dopamine” D1 RECEPTOR
 Start at 5 ug/kg/min up to 1O ug/kg/min. Good
inotropic and chronotropic INC HR & BP (B1)
 Mild peripheral vasoconstriction beyond 10
ug/kg/min (A1)
Vasopressors and
Inotropes
 Norepinephrine: primarily vasoconstrictor,
mild inotrope(A1 & B1)
 Increases SBP/DBP and pulse pressure.
 Increases coronary flow
 Start 0.01 to 3 ug/kg/min
 Good for severe shock with profound hypotension
 Epinephrine: B1/2 effects at low doses, A1
effects at higher doses
 Increases coronary blood flow (increases time in
diastole)
 Prolonged exposure -> myocyte damage
vasopressors and
inotropes
 Milrinone: phosphodiesterase inhibitor,
decreases rate of intracellcular cAMP
degradation -> increases cytosolic calcium
 Increases cardiac contractility at expense of
increase myocardial oxygen consumption
 More vasodilation than dobutamine
Vasopressors and
Inotropes
 Can be combined with dobutamine
to increases inotropy
 Start bolus 25 ug/kg (if pt is not
hypotensive) over 10-20 min then
0.25-0.75 ug/kg/min
Vasopressors and
Inotropes
 Vasopressin: causes vasoconstriction,
glyconeogenesis, platelet aggregation and
ACTH release
 Neutral or depressant effect on cardiac output
 Increases vascular sensitivity to
norepinephrine
 Good for norepinephrine-resistant shock
DIURETICS
 Mainstay of therapy to treat pulmonary edema
and augment urine output
 No good data regarding optimal diuretic
protocol or whether diuretics improve outcome
in renal failure
 Lower doses of lasix are needed to maintain
urine output when continuous infusions are
used
 Start at 5 mg/hr, can increase up to 20 mg/hr
Cardiac Catheterization in
Cardiogenic Shock
 ACC Guidelines: emergent coronary
revascularization is the standard of care
for CS due to pump failure (acute MI
and shock).
 INTRA –AORTIC BALLOON PUMP(IABP)
 PERCUTANEOUS VENTRICULAR ASSIST
DEVICES (pVAD)
 EXTRACORPOREAL MEMBRANE
OXYGENATION(ECMO)
Diastole
Inflation
Systole
Intra-Aortic Balloon
Counterpulsation
Standby Counterpulsation
Arterial Pressure
SMH #619 2008
Deflation Inflation
Intra-Aortic Balloon Counter
pulsation
 Reduces afterload and augments diastolic perfusion
pressure
 Beneficial effects occur without increase in oxygen
demand
 No improvement in blood flow distal to critical
coronary stenosis
 No improvement in survival when used alone
 May be essential support mechanism to allow for
definitive therapy
 Percutaneous
 Tandem Heart
○ Complete support
○ Trans-septal puncture
○ Need good RV function
 Impella
○ Complete support
○ Easy to insert
○ Also need good RV function
Left ventricular assist devices
Left Ventricular Assist Devices
(LVADs)
IMPELLA
To prevent
Thanks to all of you for your attention

CARDIOGENIC SHOCK

  • 1.
  • 2.
    Definition:- Shock may bedefined as complex acute systemic circulatory failure associated with hypo perfusion of tissues, which is incompatible with life if untreated and persisting for more than a short time.
  • 3.
    CLASSIFICATION  HYPOVOLAEMIC  CARDIOGENIC SEPTIC  ANAPHYLACTIC  NEUROGENIC
  • 4.
  • 5.
    CARDIOGENIC SHOCK —BACKGROUND Definition of Cardiogenic Shock  State of inadequate tissue perfusion due to cardiac dysfunction or a state of end-organ hypo-perfusion due to cardiac failure Mortality rate for Cardiogenic Shock  50% - 80% Incidence of Cardiogenic Shock  5% - 8% Cardiogenic shock is the leading cause of death for patients hospitalized with acute MI CARDIOGENIC SHOCK
  • 6.
     Persistent (>30minutes) hypotension with systolic arterial pressure <90mm Hg  Reduction in cardiac index <2.2 litres/min/m2  Presence of elevated left ventricle filling pressure(PCWP>18 mm Hg)  Signs and symptoms of end organ hypoperfusion (restlessness,confusion,cold cyanotic extremeties,oliguria<30ml/hr)
  • 7.
    CARDIOGENIC SHOCK —BACKGROUNDACUTE MYOCARDIAL INFARCTION AND CARDIOGENIC SHOCK  The most common cause of cardiogenic shock is extensive acute myocardial infarction  Patients with previous impairment of ventricular function may also experience shock with the occurrence of a small infarction  The cardiovascular system fails to maintain sufficient perfusion resulting in inadequate cellular metabolism and eventually cell death  The consequence is irreversible cell damage
  • 8.
    CARDIOGENIC SHOCK —BACKGROUND TIMEFRAME FOR DEVELOPMENT OF CARDIOGENIC SHOCK  Median time frame for development of cardiogenic shock is 12 hours into AMI  39.6% develop cardiogenic shock within 6 hours  63.2% develop cardiogenic shock within 24 hours  The majority of patients develop shock after arrival to the hospital
  • 9.
    CARDIOGENIC SHOCK —BACKGROUND THE PATHOPHYSIOLOGY OF CARDIOGENIC SHOCK  Myocardial injury causes systolic and diastolic dysfunction  A decrease in cardiac output leads to a decrease in systemic and coronary perfusion  This reduction in systemic and coronary perfusion worsens ischemia and causes cell death in the infarct border zone and the remote zone of myocardium
  • 10.
  • 11.
     Acute MI LV Systolic failure  RV infraction  Papillary muscle rupture(1%)  Acute VSD(1-3%)  Free wall rapture(1-6%)
  • 12.
    Causes of CardiogenicShock Predominant LV Failure 74.5% Acute Severe MR 8.3% VSD 4.6% RV Shock 3.4% Tamponade/rupture 1.7% Other 7.5%
  • 13.
    Predisposing Factors forCardiogenic Shock  Age  Sysolic blood pressure  Heart rate  Killip class  Diabetes  Anterior infarction  Previous infarction  Peripheral vascular disease  Reduced ejection fraction  Large infarctions  Cardiac power
  • 16.
  • 18.
    Increased respiratory rate Decreaseheart rate Decrease urine output
  • 19.
    decreased level ofconsciousness That because we have decrease in the pressure that cause decrease oxygenation that means our brain non getting O2 so your brain will breaks down Decrease pressure Decrease perfusion or O2 What about our brain ?
  • 20.
    How to identifyCardiogenic Shock  History  Physical Exam  EKG  Chest xray  Echocardiogram  Swan-Ganz Catheter
  • 21.
  • 23.
     G/E-decreased conscious level,confusion,cyanosis,diaphoresis, pale,coolpheripheries  Tachycardia or bradycardia  Tachypnoea  Systolic BP<90mm Hg with narrow pulse pressure  Elevated JVP
  • 24.
    CARDIOGENIC SHOCK —BACKGROUNDPATIENT PRESENTATION  cyanotic and have cool skin and mottled extremities  Peripheral pulses are rapid and faint and may be irregular if arrhythmias are present  Jugular venous distention and crackles in the lungs are usually (but not always) present  Patients show signs of hypoperfusion, such as altered mental status and decreased urine output
  • 25.
     AUSCULTATION- Precordium : Apex-dyskinetic in anterior MI /LV aneurysm -hyperdynamic in VSR and MR -absent in tamponade Thrill / murmur : ventricular septal rupture/MR S3 gallop when LA pressure is high Systolic murmur- louder upon valsalva and prompt standing (HOCM) Chest : Bilateral crackles
  • 27.
    EKG  If STEMI,degree and severity of EKG should agree with severity of clinical condition  If ST elevations in precordial leads -> likely anterior MI -> LV pump failure is likely cause  If inferior STEMI -> need marked ST elevations with reciprocal ST depressions on EKG. Check RV leads. If no reciprocal changes or RV infarct, think mechanical problems such as papillary muscle rupture  Normal EKG (especially with arrhythmias): think myocarditis
  • 30.
    ECHOCARDIOGRAM • Overall andregional systolic function • Mechanical causes of shock • Papillary muscle rupture • Acute VSD • Free wall rupture • Degree of mitral regurgitation • Right ventricular infarction • Other causes of shock (tamponade, PE, valvular stenosis)
  • 31.
  • 33.
    Therapy/Treatment  ACC Guidelines Vasopressors and Inotropes  Diuretics  Cardiac Catheterization  Intra-aortic balloon pumps (IABPs)  Left Ventricular Assist Devices (LVADs)
  • 35.
    VASOPRESSORS AND INOTROPES  Goal:optimize perfusion while minimizing toxicity  Low output syndrome without shock: start with an inotrope such as dobutamine  Low output syndrome with shock: start with dopamine or norepinephrine  VASOPRESSORS:- INCREASE SVR  INOTROPES:- INCREASE CO
  • 36.
  • 37.
    VASOPRESSORS AND INOTROPES  Dobutamine:B1 and B2, inotropic but also causes peripheral vasodilation  Good for non-hypotensive cardiogenic shock  INC CO & MYOCARDIAL CONTRACTILITY  DOC FOR CHF WITH CAD  Start with 5 ug/kg/min, don’t go higher than 20 ug/kg/min
  • 39.
    DRUGS  Dopamine: inotropeand vasopressor in hypotensive cardiogenic shock  Up to 3 ug/kg/min – vasodilation and increase blood flow to tissue beds, but no good evidence for “renal-dose dopamine” D1 RECEPTOR  Start at 5 ug/kg/min up to 1O ug/kg/min. Good inotropic and chronotropic INC HR & BP (B1)  Mild peripheral vasoconstriction beyond 10 ug/kg/min (A1)
  • 42.
    Vasopressors and Inotropes  Norepinephrine:primarily vasoconstrictor, mild inotrope(A1 & B1)  Increases SBP/DBP and pulse pressure.  Increases coronary flow  Start 0.01 to 3 ug/kg/min  Good for severe shock with profound hypotension  Epinephrine: B1/2 effects at low doses, A1 effects at higher doses  Increases coronary blood flow (increases time in diastole)  Prolonged exposure -> myocyte damage
  • 44.
    vasopressors and inotropes  Milrinone:phosphodiesterase inhibitor, decreases rate of intracellcular cAMP degradation -> increases cytosolic calcium  Increases cardiac contractility at expense of increase myocardial oxygen consumption  More vasodilation than dobutamine
  • 45.
    Vasopressors and Inotropes  Canbe combined with dobutamine to increases inotropy  Start bolus 25 ug/kg (if pt is not hypotensive) over 10-20 min then 0.25-0.75 ug/kg/min
  • 48.
    Vasopressors and Inotropes  Vasopressin:causes vasoconstriction, glyconeogenesis, platelet aggregation and ACTH release  Neutral or depressant effect on cardiac output  Increases vascular sensitivity to norepinephrine  Good for norepinephrine-resistant shock
  • 51.
    DIURETICS  Mainstay oftherapy to treat pulmonary edema and augment urine output  No good data regarding optimal diuretic protocol or whether diuretics improve outcome in renal failure  Lower doses of lasix are needed to maintain urine output when continuous infusions are used  Start at 5 mg/hr, can increase up to 20 mg/hr
  • 53.
    Cardiac Catheterization in CardiogenicShock  ACC Guidelines: emergent coronary revascularization is the standard of care for CS due to pump failure (acute MI and shock).
  • 55.
     INTRA –AORTICBALLOON PUMP(IABP)  PERCUTANEOUS VENTRICULAR ASSIST DEVICES (pVAD)  EXTRACORPOREAL MEMBRANE OXYGENATION(ECMO)
  • 57.
  • 58.
    Intra-Aortic Balloon Counter pulsation Reduces afterload and augments diastolic perfusion pressure  Beneficial effects occur without increase in oxygen demand  No improvement in blood flow distal to critical coronary stenosis  No improvement in survival when used alone  May be essential support mechanism to allow for definitive therapy
  • 59.
     Percutaneous  TandemHeart ○ Complete support ○ Trans-septal puncture ○ Need good RV function  Impella ○ Complete support ○ Easy to insert ○ Also need good RV function Left ventricular assist devices
  • 60.
    Left Ventricular AssistDevices (LVADs)
  • 63.
  • 65.
  • 66.
    Thanks to allof you for your attention